JavaScript is disabled in your browser. Please enable JavaScript to view this website.
AB74230

Anti-gtf3c3 antibody

Be the first to review this product! Submit a review

|

(1 Publication)

Rabbit Polyclonal gtf3c3 antibody. Suitable for IHC-P, IP, WB and reacts with Human samples. Cited in 1 publication. Immunogen corresponding to Synthetic Peptide within Human General transcription factor 3C polypeptide 3.

View Alternative Names

General transcription factor 3C polypeptide 3, Transcription factor IIIC 102 kDa subunit, Transcription factor IIIC subunit gamma, TFIIIC 102 kDa subunit, TFIIIC102, TF3C-gamma, GTF3C3

3 Images
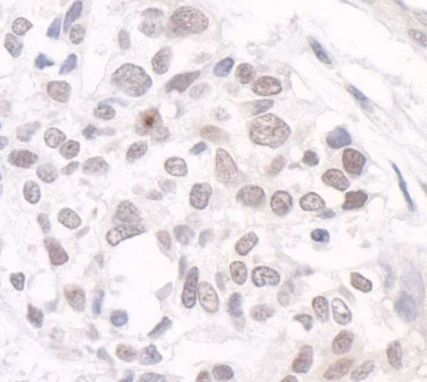
Immunohistochemistry (Formalin/PFA-fixed paraffin-embedded sections) - Anti-gtf3c3 antibody (AB74230)
  • IHC-P

Supplier Data

Immunohistochemistry (Formalin/PFA-fixed paraffin-embedded sections) - Anti-gtf3c3 antibody (AB74230)

Immunohistochemistry (Formalin/PFA-fixed paraffin-embedded sections) analysis of human breast carcinoma tissue labelling gtf3c3 with ab74230 at 1/1000 dilution.

Immunoprecipitation - Anti-gtf3c3 antibody (AB74230)
  • IP

Supplier Data

Immunoprecipitation - Anti-gtf3c3 antibody (AB74230)

gtf3c3 was immunoprecipitated from HEK293T whole cell lysate (1 mg per IP reaction, 20% loaded) with ab74230 at 3 μg per reaction. Western blot was performed on the immunoprecipitate using ab74230 at 1 μg/mL.

Lane 1 : ab74230 IP in HEK293T whole cell lysate.

Lane 2 : ab74230 IP in HEK293T whole cell lysate.

Lane 3 : Control IgG in HeLa whole cell lysate.

Detection : Chemiluminescence with an exposure time of 3 minutes

All lanes:

Immunoprecipitation - Anti-gtf3c3 antibody (ab74230)

Predicted band size: 101 kDa

false

Western blot - Anti-gtf3c3 antibody (AB74230)
  • WB

Supplier Data

Western blot - Anti-gtf3c3 antibody (AB74230)

All lanes:

Western blot - Anti-gtf3c3 antibody (ab74230) at 0.1 µg/mL

Lane 1:

HeLa whole cell lysate at 50 µg

Lane 2:

Jurkat whole cell lysate at 50 µg

Predicted band size: 101 kDa

false

Exposure time: 3min

Key facts

Host species

Rabbit

Clonality

Polyclonal

Isotype

IgG

Carrier free

No

Reacts with

Human

Applications

WB, IHC-P, IP

applications

Immunogen

Synthetic Peptide within Human General transcription factor 3C polypeptide 3. The exact immunogen used to generate this antibody is proprietary information.

Q9Y5Q9

Reactivity data

{ "title": "Reactivity Data", "filters": { "stats": ["", "Species", "Dilution Info", "Notes"], "tabs": { "all-applications": {"fullname" : "All Applications", "shortname": "All Applications"}, "IHCP" : {"fullname" : "Immunohistochemistry (Formalin/PFA-fixed paraffin-embedded sections)", "shortname":"IHC-P"}, "IP" : {"fullname" : "Immunoprecipitation", "shortname":"IP"}, "WB" : {"fullname" : "Western blot", "shortname":"WB"} }, "product-promise": { "all": "all", "testedAndGuaranteed": "tested", "guaranteed": "expected", "predicted": "predicted", "notRecommended": "not-recommended" } }, "values": { "Human": { "IHCP-species-checked": "testedAndGuaranteed", "IHCP-species-dilution-info": "1/200 - 1/1000", "IHCP-species-notes": "<p></p> Perform heat-mediated antigen retrieval with citrate buffer pH 6 before commencing with IHC staining protocol.", "IP-species-checked": "testedAndGuaranteed", "IP-species-dilution-info": "2-5 µg/mg of lysate", "IP-species-notes": "<p></p>", "WB-species-checked": "testedAndGuaranteed", "WB-species-dilution-info": "1/2000 - 1/10000", "WB-species-notes": "<p></p>" }, "Rat": { "IHCP-species-checked": "predicted", "IHCP-species-dilution-info": "", "IHCP-species-notes": "", "IP-species-checked": "predicted", "IP-species-dilution-info": "", "IP-species-notes": "", "WB-species-checked": "predicted", "WB-species-dilution-info": "", "WB-species-notes": "" }, "Chimpanzee": { "IHCP-species-checked": "predicted", "IHCP-species-dilution-info": "", "IHCP-species-notes": "", "IP-species-checked": "predicted", "IP-species-dilution-info": "", "IP-species-notes": "", "WB-species-checked": "predicted", "WB-species-dilution-info": "", "WB-species-notes": "" }, "Cow": { "IHCP-species-checked": "predicted", "IHCP-species-dilution-info": "", "IHCP-species-notes": "", "IP-species-checked": "predicted", "IP-species-dilution-info": "", "IP-species-notes": "", "WB-species-checked": "predicted", "WB-species-dilution-info": "", "WB-species-notes": "" }, "Dog": { "IHCP-species-checked": "predicted", "IHCP-species-dilution-info": "", "IHCP-species-notes": "", "IP-species-checked": "predicted", "IP-species-dilution-info": "", "IP-species-notes": "", "WB-species-checked": "predicted", "WB-species-dilution-info": "", "WB-species-notes": "" }, "Gorilla": { "IHCP-species-checked": "predicted", "IHCP-species-dilution-info": "", "IHCP-species-notes": "", "IP-species-checked": "predicted", "IP-species-dilution-info": "", "IP-species-notes": "", "WB-species-checked": "predicted", "WB-species-dilution-info": "", "WB-species-notes": "" }, "Guinea pig": { "IHCP-species-checked": "predicted", "IHCP-species-dilution-info": "", "IHCP-species-notes": "", "IP-species-checked": "predicted", "IP-species-dilution-info": "", "IP-species-notes": "", "WB-species-checked": "predicted", "WB-species-dilution-info": "", "WB-species-notes": "" }, "Horse": { "IHCP-species-checked": "predicted", "IHCP-species-dilution-info": "", "IHCP-species-notes": "", "IP-species-checked": "predicted", "IP-species-dilution-info": "", "IP-species-notes": "", "WB-species-checked": "predicted", "WB-species-dilution-info": "", "WB-species-notes": "" }, "Orangutan": { "IHCP-species-checked": "predicted", "IHCP-species-dilution-info": "", "IHCP-species-notes": "", "IP-species-checked": "predicted", "IP-species-dilution-info": "", "IP-species-notes": "", "WB-species-checked": "predicted", "WB-species-dilution-info": "", "WB-species-notes": "" }, "Pig": { "IHCP-species-checked": "predicted", "IHCP-species-dilution-info": "", "IHCP-species-notes": "", "IP-species-checked": "predicted", "IP-species-dilution-info": "", "IP-species-notes": "", "WB-species-checked": "predicted", "WB-species-dilution-info": "", "WB-species-notes": "" }, "Rabbit": { "IHCP-species-checked": "predicted", "IHCP-species-dilution-info": "", "IHCP-species-notes": "", "IP-species-checked": "predicted", "IP-species-dilution-info": "", "IP-species-notes": "", "WB-species-checked": "predicted", "WB-species-dilution-info": "", "WB-species-notes": "" }, "Rhesus monkey": { "IHCP-species-checked": "predicted", "IHCP-species-dilution-info": "", "IHCP-species-notes": "", "IP-species-checked": "predicted", "IP-species-dilution-info": "", "IP-species-notes": "", "WB-species-checked": "predicted", "WB-species-dilution-info": "", "WB-species-notes": "" }, "Xenopus tropicalis": { "IHCP-species-checked": "predicted", "IHCP-species-dilution-info": "", "IHCP-species-notes": "", "IP-species-checked": "predicted", "IP-species-dilution-info": "", "IP-species-notes": "", "WB-species-checked": "predicted", "WB-species-dilution-info": "", "WB-species-notes": "" } } }

Properties and storage information

Form
Liquid
Purification technique
Affinity purification Immunogen
Storage buffer
pH: 6.8 - 7.4 Preservative: 0.09% Sodium azide Constituents: Tris buffered saline, 0.1% BSA
Shipped at conditions
Blue Ice
Appropriate short-term storage conditions
+4°C
Appropriate long-term storage conditions
-20°C
Aliquoting information
Upon delivery aliquot
Storage information
Avoid freeze / thaw cycle

Supplementary information

This supplementary information is collated from multiple sources and compiled automatically.

GTF3C3 also known as general transcription factor 3C polypeptide 3 is a protein involved in transcription regulation. It has a known molecular mass of approximately 90 kDa. The protein shows expression in various tissues with significant presence in the nucleus where transcription activities occur. It acts as a component of the transcription factor III complex which plays a role in the transcription of class III genes such as those encoding transfer RNAs (tRNAs).
Biological function summary

GTF3C3 functions as part of a larger multi-subunit complex called TFIIIC. This complex is necessary for the assembly of transcriptional machinery on DNA to initiate the transcription of small RNA genes by RNA polymerase III. The involvement of GTF3C3 in the TFIIIC complex indicates its critical role in maintaining normal cellular functions since these small RNAs are involved in protein synthesis and other essential cellular processes.

Pathways

The transcriptional activities of GTF3C3 align closely with the RNA polymerase III transcription pathway. This pathway is essential for the synthesis of small RNAs which play significant roles in the protein translation process. GTF3C3 interacts with other components of the TFIIIC complex contributing to the precise initiation of transcription. The pathway further involves coordination with proteins such as TFIIIB ensuring the proper functionality of RNA polymerase III in the transcription cycle.

Mutations or dysfunctions in GTF3C3 have associations with certain cancers and developmental disorders. Its role in gene expression regulation makes it an important factor when examining disruptions that lead to abnormal cell growth as seen in cancer. Moreover the protein might interact with other transcription-related proteins like TATA-binding protein (TBP) when these disorders are present indicating a broader impact on transcription regulation and cellular homeostasis.

Product protocols

For this product, it's our understanding that no specific protocols are required. You can visit:

Target data

Involved in RNA polymerase III-mediated transcription. Integral, tightly associated component of the DNA-binding TFIIIC2 subcomplex that directly binds tRNA and virus-associated RNA promoters.
See full target information General transcription factor 3C polypeptide 3

Publications (1)

Recent publications for all applications. Explore the full list and refine your search

Molecular cell 77:475-487.e11 PubMed31759822

2019

TFIIIC Binding to Alu Elements Controls Gene Expression via Chromatin Looping and Histone Acetylation.

Applications

Unspecified application

Species

Unspecified reactive species

Roberto Ferrari,Lara Isabel de Llobet Cucalon,Chiara Di Vona,François Le Dilly,Enrique Vidal,Antonios Lioutas,Javier Quilez Oliete,Laura Jochem,Erin Cutts,Giorgio Dieci,Alessandro Vannini,Martin Teichmann,Susana de la Luna,Miguel Beato
View all publications

Product promise

We are committed to supporting your work with high-quality reagents, and we're here for you every step of the way. In the unlikely event that one of our products does not perform as expected, you're protected by our Product Promise.
For full details, please see our Terms & Conditions

Please note: All products are 'FOR RESEARCH USE ONLY. NOT FOR USE IN DIAGNOSTIC OR THERAPEUTIC PROCEDURES'.

For licensing inquiries, please contact partnerships@abcam.com