JavaScript is disabled in your browser. Please enable JavaScript to view this website.
AB307955

Anti-GWL antibody [EPR26356-80]

Be the first to review this product! Submit a review

|

(0 Publication)

Rabbit Recombinant Monoclonal GWL antibody. Suitable for WB, IHC-P, ICC/IF, Flow Cyt (Intra) and reacts with Human, Mouse samples.

View Alternative Names

GW, GWL, THC2, MASTL, Serine/threonine-protein kinase greatwall, hGWL, Microtubule-associated serine/threonine-protein kinase-like, MAST-L

8 Images
Immunocytochemistry/ Immunofluorescence - Anti-GWL antibody [EPR26356-80] (AB307955)
  • ICC/IF

Supplier Data

Immunocytochemistry/ Immunofluorescence - Anti-GWL antibody [EPR26356-80] (AB307955)

Immunofluorescent analysis of 4% Paraformaldehyde-fixed, 0.1% Triton X-100 permeabilized HeLa (human cervical adenocarcinoma epithelial cell) cells labeling GWL with ab307955 at 1/50 dilution (10.18 ug/ml) followed by ab150081 Goat Anti-Rabbit IgG H&L (Alexa Fluor® 488) preadsorbed antibody at 1/1000 dilution (2 ug/ml) (Green). Confocal image showing positive staining in HeLa cells. Image was taken with a confocal microscope(Leica-Microsystems, TCS SP8). ab195889 Anti-alpha Tubulin mouse monoclonal antibody - Microtubule Marker (Alexa Fluor® 594) was used to counterstain tubulin at 1/200 dilution (2.5 ug/ml) (Red). The nuclear counterstain was DAPI (Blue). Secondary antibody only control : Secondary antibody is ab150081 Goat Anti-Rabbit IgG H&L (Alexa Fluor® 488) preadsorbed at 1/1000 dilution (2 ug/ml) (Green).

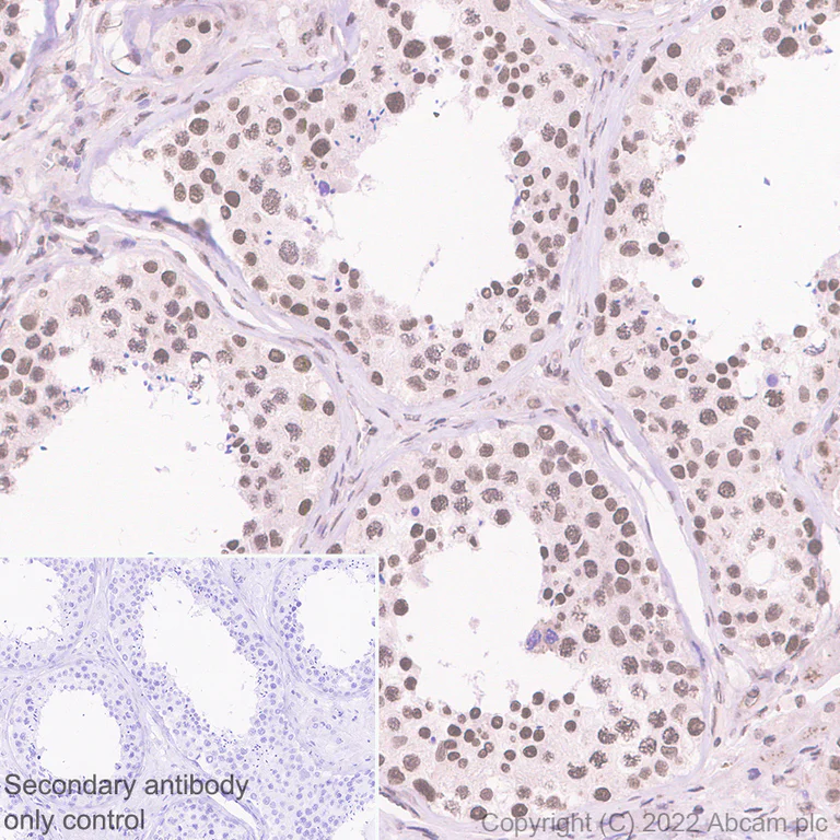
Immunohistochemistry (Formalin/PFA-fixed paraffin-embedded sections) - Anti-GWL antibody [EPR26356-80] (AB307955)
  • IHC-P

Supplier Data

Immunohistochemistry (Formalin/PFA-fixed paraffin-embedded sections) - Anti-GWL antibody [EPR26356-80] (AB307955)

Immunohistochemical analysis of paraffin-embedded human testis tissue labeling GWL with ab307955 at 1/100 dilution (5.09 ug/ml) followed by a ready to use Goat Anti-Rabbit IgG H&L (HRP polymer). Positive staining on human testis. The section was incubated with ab307955 at 4°C overnight. Counterstained with Hematoxylin. Secondary antibody only control : Secondary antibody is a ready to use Goat Anti-Rabbit IgG H&L (HRP polymer). Heat mediated antigen retrieval was performed using ab93684 (Tris/EDTA buffer, pH 9.0).

Flow Cytometry (Intracellular) - Anti-GWL antibody [EPR26356-80] (AB307955)
  • Flow Cyt (Intra)

Supplier Data

Flow Cytometry (Intracellular) - Anti-GWL antibody [EPR26356-80] (AB307955)

Flow cytometric analysis of 4% paraformaldehyde fixed 90% methanol permeabilized HeLa (Human cervix adenocarcinoma epithethial cell) cells labeling GWL with ab307955 at 1/50 dilution (1 ug) (Red) compared with a Rabbit monoclonal IgG (ab172730) (Black) isotype control and an unlabeled control (cells without incubation with primary antibody and secondary antibody) (Blue). A Goat Anti-Rabbit IgG (Alexa Fluor® 488, ab150081) at 1/5000 dilution was used as the secondary antibody.

Flow Cytometry (Intracellular) - Anti-GWL antibody [EPR26356-80] (AB307955)
  • Flow Cyt (Intra)

Supplier Data

Flow Cytometry (Intracellular) - Anti-GWL antibody [EPR26356-80] (AB307955)

Flow cytometric analysis of 4% paraformaldehyde fixed 90% methanol permeabilized NIH/3T3 (mouse embryonic fibroblast) cells labeling GWL with ab307955 at 1/50 dilution (1 ug) (Red) compared with a Rabbit monoclonal IgG (ab172730) (Black) isotype control and an unlabeled control (cells without incubation with primary antibody and secondary antibody) (Blue). A Goat Anti-Rabbit IgG (Alexa Fluor® 488, ab150081) at 1/5000 dilution was used as the secondary antibody.

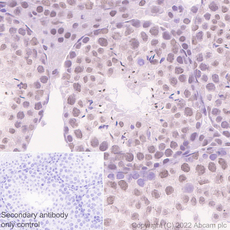
Immunohistochemistry (Formalin/PFA-fixed paraffin-embedded sections) - Anti-GWL antibody [EPR26356-80] (AB307955)
  • IHC-P

Supplier Data

Immunohistochemistry (Formalin/PFA-fixed paraffin-embedded sections) - Anti-GWL antibody [EPR26356-80] (AB307955)

Immunohistochemical analysis of paraffin-embedded mouse testis tissue labeling GWL with ab307955 at 1/100 dilution (5.09 ug/ml) followed by a ready to use Goat Anti-Rabbit IgG H&L (HRP polymer). Positive staining on mouse testis. The section was incubated with ab307955 at 4°C overnight. Counterstained with Hematoxylin. Secondary antibody only control : Secondary antibody is a ready to use Goat Anti-Rabbit IgG H&L (HRP polymer). Heat mediated antigen retrieval was performed using ab93684 (Tris/EDTA buffer, pH 9.0).

Immunocytochemistry/ Immunofluorescence - Anti-GWL antibody [EPR26356-80] (AB307955)
  • ICC/IF

Supplier Data

Immunocytochemistry/ Immunofluorescence - Anti-GWL antibody [EPR26356-80] (AB307955)

Immunofluorescent analysis of 4% Paraformaldehyde-fixed, 0.1% Triton X-100 permeabilized NIH/3T3 (mouse embryonic fibroblast) cells labeling GWL with ab307955 at 1/50 dilution (10.18 ug/ml) followed by ab150081 Goat Anti-Rabbit IgG H&L (Alexa Fluor® 488) preadsorbed antibody at 1/1000 dilution (2 ug/ml) (Green). Confocal image showing positive staining in NIH/3T3 cells. Image was taken with a confocal microscope(Leica-Microsystems, TCS SP8). ab195889 Anti-alpha Tubulin mouse monoclonal antibody - Microtubule Marker (Alexa Fluor® 594) was used to counterstain tubulin at 1/200 dilution (2.5 ug/ml) (Red). The nuclear counterstain was DAPI (Blue). Secondary antibody only control : Secondary antibody is ab150081 Goat Anti-Rabbit IgG H&L (Alexa Fluor® 488) preadsorbed at 1/1000 dilution (2 ug/ml) (Green).

Western blot - Anti-GWL antibody [EPR26356-80] (AB307955)
  • WB

Supplier Data

Western blot - Anti-GWL antibody [EPR26356-80] (AB307955)

Blocking/Dilution buffer : 5% NFDM/TBST. In Western blot, anti-GAPDH antibody (ab181602) loading control staining at 1/200000 dilution. Exposure time : 26 seconds.

All lanes:

Western blot - Anti-GWL antibody [EPR26356-80] (ab307955) at 1/1000 dilution

Lane 1:

HeLa (human cervix adenocarcinoma epithelial cell) transfected with scrambled siRNA control whole cell lysate at 20 µg

Lane 2:

HeLa transfected with siRNA specifically targeting GWL whole cell lysate at 20 µg

Secondary

All lanes:

Western blot - Goat Anti-Rabbit IgG H&L (HRP) (<a href='/en-us/products/secondary-antibodies/goat-rabbit-igg-h-l-hrp-ab97051'>ab97051</a>) at 1/20000 dilution

Predicted band size: 97 kDa

Observed band size: 110 kDa

false

Exposure time: 26s

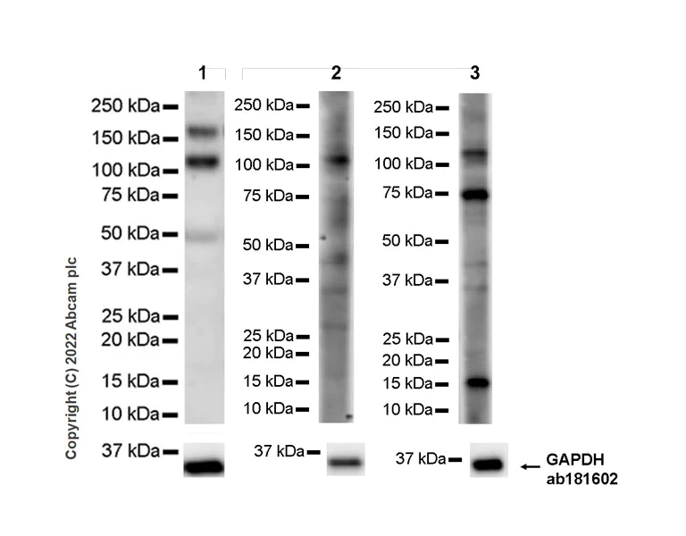
Western blot - Anti-GWL antibody [EPR26356-80] (AB307955)
  • WB

Supplier Data

Western blot - Anti-GWL antibody [EPR26356-80] (AB307955)

Blocking/Dilution buffer : 5% NFDM/TBST.

Exposure times : Lane 1 : 158 seconds, Lane 2 : 92 seconds, Lane 3 : 81 seconds.

The Lanes 2 and 3 were developed using a high sensitivity ECL substrate.

The identity of band at approximately 150 kDa (in lane 1) and 75 kDa (in lane 3) are unknown.

In Western blot, anti-GAPDH antibody (ab181602) loading control staining at 1/200000 dilution.

All lanes:

Western blot - Anti-GWL antibody [EPR26356-80] (ab307955) at 1/1000 dilution

Lane 1:

Human testis tissue lysate at 20 µg

Lane 2:

Mouse testis tissue lysate at 20 µg

Lane 3:

NIH/3T3 (mouse embryonic fibroblast) whole cell lysate at 20 µg

Secondary

All lanes:

Western blot - Goat Anti-Rabbit IgG H&L (HRP) (<a href='/en-us/products/secondary-antibodies/goat-rabbit-igg-h-l-hrp-ab97051'>ab97051</a>) at 1/20000 dilution

true

  • Carrier free

    Anti-GWL antibody [EPR26356-80] - BSA and Azide free

Key facts

Host species

Rabbit

Clonality

Monoclonal

Clone number

EPR26356-80

Isotype

IgG

Carrier free

No

Reacts with

Human, Mouse

Applications

IHC-P, WB, ICC/IF, Flow Cyt (Intra)

applications

Immunogen

The exact immunogen used to generate this antibody is proprietary information.

Reactivity data

{ "title": "Reactivity Data", "filters": { "stats": ["", "Species", "Dilution Info", "Notes"], "tabs": { "all-applications": {"fullname" : "All Applications", "shortname": "All Applications"}, "WB" : {"fullname" : "Western blot", "shortname":"WB"}, "IHCP" : {"fullname" : "Immunohistochemistry (Formalin/PFA-fixed paraffin-embedded sections)", "shortname":"IHC-P"}, "ICCIF" : {"fullname" : "Immunocytochemistry/ Immunofluorescence", "shortname":"ICC/IF"}, "FlowCytIntra" : {"fullname" : "Flow Cytometry (Intracellular)", "shortname":"Flow Cyt (Intra)"}, "IP" : {"fullname" : "Immunoprecipitation", "shortname":"IP"}, "IHCFr" : {"fullname" : "Immunohistochemistry (Frozen sections)", "shortname":"IHC-Fr"} }, "product-promise": { "all": "all", "testedAndGuaranteed": "tested", "guaranteed": "expected", "predicted": "predicted", "notRecommended": "not-recommended" } }, "values": { "Human": { "WB-species-checked": "testedAndGuaranteed", "WB-species-dilution-info": "1/1000", "WB-species-notes": "<p></p>", "IHCP-species-checked": "testedAndGuaranteed", "IHCP-species-dilution-info": "1/100", "IHCP-species-notes": "<p></p> Perform heat-mediated antigen retrieval with Tris/EDTA buffer pH 9.0 before commencing with IHC staining protocol.", "ICCIF-species-checked": "testedAndGuaranteed", "ICCIF-species-dilution-info": "1/50", "ICCIF-species-notes": "<p></p>", "FlowCytIntra-species-checked": "testedAndGuaranteed", "FlowCytIntra-species-dilution-info": "1/50", "FlowCytIntra-species-notes": "<p></p>", "IP-species-checked": "notRecommended", "IP-species-dilution-info": "", "IP-species-notes": "<p></p>", "IHCFr-species-checked": "notRecommended", "IHCFr-species-dilution-info": "", "IHCFr-species-notes": "" }, "Mouse": { "WB-species-checked": "testedAndGuaranteed", "WB-species-dilution-info": "1/1000", "WB-species-notes": "<p></p>", "IHCP-species-checked": "testedAndGuaranteed", "IHCP-species-dilution-info": "1/100", "IHCP-species-notes": "<p></p> Perform heat-mediated antigen retrieval with Tris/EDTA buffer pH 9.0 before commencing with IHC staining protocol.", "ICCIF-species-checked": "testedAndGuaranteed", "ICCIF-species-dilution-info": "1/50", "ICCIF-species-notes": "<p></p>", "FlowCytIntra-species-checked": "testedAndGuaranteed", "FlowCytIntra-species-dilution-info": "1/50", "FlowCytIntra-species-notes": "<p></p>", "IP-species-checked": "notRecommended", "IP-species-dilution-info": "", "IP-species-notes": "", "IHCFr-species-checked": "notRecommended", "IHCFr-species-dilution-info": "", "IHCFr-species-notes": "<p></p>" }, "Rat": { "WB-species-checked": "notRecommended", "WB-species-dilution-info": "1/1000", "WB-species-notes": "<p></p>", "IHCP-species-checked": "notRecommended", "IHCP-species-dilution-info": "1/100", "IHCP-species-notes": "<p></p> Perform heat-mediated antigen retrieval with Tris/EDTA buffer pH 9.0 before commencing with IHC staining protocol.", "ICCIF-species-checked": "notRecommended", "ICCIF-species-dilution-info": "", "ICCIF-species-notes": "", "FlowCytIntra-species-checked": "notRecommended", "FlowCytIntra-species-dilution-info": "", "FlowCytIntra-species-notes": "", "IP-species-checked": "notRecommended", "IP-species-dilution-info": "", "IP-species-notes": "", "IHCFr-species-checked": "notRecommended", "IHCFr-species-dilution-info": "", "IHCFr-species-notes": "<p></p>" } } }

Product details

Patented technology
Our RabMAb® technology is a patented hybridoma-based technology for making rabbit monoclonal antibodies. For details on our patents, please refer to RabMAb® patents.

What are the advantages of a recombinant monoclonal antibody?
This product is a recombinant monoclonal antibody, which offers several advantages including:

  • - High batch-to-batch consistency and reproducibility
  • - Improved sensitivity and specificity
  • - Long-term security of supply
  • - Animal-free batch production

For more information, read more on recombinant antibodies.

Properties and storage information

Form
Liquid
Purification technique
Affinity purification Protein A
Storage buffer
pH: 7.2 - 7.4 Preservative: 0.01% Sodium azide Constituents: PBS, 40% Glycerol (glycerin, glycerine), 0.05% BSA
Shipped at conditions
Blue Ice
Appropriate short-term storage duration
1-2 weeks
Appropriate short-term storage conditions
+4°C
Appropriate long-term storage conditions
-20°C
Aliquoting information
Upon delivery aliquot
Storage information
Avoid freeze / thaw cycle

Supplementary information

This supplementary information is collated from multiple sources and compiled automatically.

GWL also known as Greatwall kinase (and occasionally Mastl) is a protein kinase with a calculated molecular mass of about 58 kDa. This protein mainly expresses in various tissues but it shows higher expression in organs such as the heart liver and skeletal muscle. GWL plays a mechanical role in the regulation of cell cycle through its kinase activity which phosphorylates other key proteins involved in mitosis.
Biological function summary

GWL influences the cell cycle and mitotic progression by modulating the activity of the phosphatase inhibitor proteins ENSA and ARPP19. It is part of a functional complex with these proteins when activated leading to the inhibition of Protein Phosphatase 2A (PP2A) during mitosis which allows for proper chromosome condensation and segregation. This ensures that the cells divide accurately maintaining genomic stability.

Pathways

Different cellular pathways integrate their signals through GWL to regulate mitosis. One of the key pathways is the cell cycle control pathway where GWL works alongside CDK1 and is essential for the phosphorylation cascade that leads to mitotic entry. Another pathway of note is the mitotic spindle assembly checkpoint where GWL interacts with proteins such as BUB1 and MAD2 helping establish mechanisms that ensure cells do not prematurely progress through mitosis with errors.

GWL dysfunction links to cancer due to its critical role in cell division. Aberrant expression or mutation of GWL can lead to aneuploidy and genomic instability factors that contribute to tumorigenesis. Moreover abnormalities in GWL expression have been associated with neurological disorders like Alzheimer's disease where it may interact with tau protein aggregation pathways. In cancer GWL often works in conjunction with oncogenes like MYC and tumor suppressors such as p53 influencing their roles in controlling cell proliferation and survival.

Product protocols

For this product, it's our understanding that no specific protocols are required. You can visit:

Target data

Serine/threonine kinase that plays a key role in M phase by acting as a regulator of mitosis entry and maintenance. Acts by promoting the inactivation of protein phosphatase 2A (PP2A) during M phase : does not directly inhibit PP2A but acts by mediating phosphorylation and subsequent activation of ARPP19 and ENSA at 'Ser-62' and 'Ser-67', respectively. ARPP19 and ENSA are phosphatase inhibitors that specifically inhibit the PPP2R2D (PR55-delta) subunit of PP2A. Inactivation of PP2A during M phase is essential to keep cyclin-B1-CDK1 activity high. Following DNA damage, it is also involved in checkpoint recovery by being inhibited. Phosphorylates histone protein in vitro; however such activity is unsure in vivo. May be involved in megakaryocyte differentiation.
See full target information MASTL

Product promise

We are committed to supporting your work with high-quality reagents, and we're here for you every step of the way. In the unlikely event that one of our products does not perform as expected, you're protected by our Product Promise.
For full details, please see our Terms & Conditions

Please note: All products are 'FOR RESEARCH USE ONLY. NOT FOR USE IN DIAGNOSTIC OR THERAPEUTIC PROCEDURES'.

For licensing inquiries, please contact partnerships@abcam.com