JavaScript is disabled in your browser. Please enable JavaScript to view this website.
AB16915

Anti-H-FABP antibody [66E2]

Be the first to review this product! Submit a review

|

(8 Publications)

Mouse Monoclonal H-FABP antibody. Suitable for IHC-Fr and reacts with Human samples. Cited in 8 publications. Immunogen corresponding to Native Full Length Protein corresponding to Human FABP3.

View Alternative Names

FABP11, MDGI, FABP3, Fatty acid-binding protein 3, Heart-type fatty acid-binding protein, Mammary-derived growth inhibitor, Muscle fatty acid-binding protein, H-FABP, M-FABP

1 Images
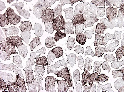
Immunohistochemistry (Frozen sections) - Anti-H-FABP antibody [66E2] (AB16915)
  • IHC-Fr

Supplier Data

Immunohistochemistry (Frozen sections) - Anti-H-FABP antibody [66E2] (AB16915)

Immunohistochemical staining of H-FABP in human skeletal muscle tissue.

Key facts

Host species

Mouse

Clonality

Monoclonal

Clone number

66E2

Isotype

IgG1

Carrier free

No

Reacts with

Human

Applications

IHC-Fr

applications

Immunogen

Native Full Length Protein corresponding to Human FABP3.

P05413

Specificity

ab16915 binds to H-FABP and shows no cross reactivity to human intestinal or liver FABP

Reactivity data

{ "title": "Reactivity Data", "filters": { "stats": ["", "Species", "Dilution Info", "Notes"], "tabs": { "all-applications": {"fullname" : "All Applications", "shortname": "All Applications"}, "IHCFr" : {"fullname" : "Immunohistochemistry (Frozen sections)", "shortname":"IHC-Fr"} }, "product-promise": { "all": "all", "testedAndGuaranteed": "tested", "guaranteed": "expected", "predicted": "predicted", "notRecommended": "not-recommended" } }, "values": { "Human": { "IHCFr-species-checked": "testedAndGuaranteed", "IHCFr-species-dilution-info": "", "IHCFr-species-notes": "<p></p>" }, "Mouse": { "IHCFr-species-checked": "predicted", "IHCFr-species-dilution-info": "", "IHCFr-species-notes": "" }, "Rat": { "IHCFr-species-checked": "predicted", "IHCFr-species-dilution-info": "", "IHCFr-species-notes": "" }, "Pig": { "IHCFr-species-checked": "predicted", "IHCFr-species-dilution-info": "", "IHCFr-species-notes": "" } } }

Product details

This antibody can be used to detect ischemia areas of human heart. It is also useful as marker for brain damage.

Properties and storage information

Form
Liquid
Purification technique
Affinity purification Protein G
Purification notes
Provided as a 0.2µm filtered antibody solution.
Storage buffer
Preservative: 0.02% Sodium azide Constituents: PBS, 0.1% BSA
Shipped at conditions
Blue Ice
Appropriate short-term storage conditions
+4°C
Appropriate long-term storage conditions
-20°C
Aliquoting information
Upon delivery aliquot
Storage information
Avoid freeze / thaw cycle

Supplementary information

This supplementary information is collated from multiple sources and compiled automatically.

H-FABP also known as heart-type fatty acid binding protein is a small protein with a molecular mass of approximately 14.5 kDa. This protein is primarily found in the cytoplasm of cardiac muscle cells but it also can be detected in skeletal muscles and other tissues at lower concentrations. H-FABP binds long-chain fatty acids and is important for the intracellular transport and metabolism of these molecules. The protein is often used as a biomarker for cardiac injury due to its rapid release into the bloodstream following muscle damage.
Biological function summary

Fatty acid binding largely defines H-FABP's role facilitating the transport of fatty acids within cells which is key for energy production. It is not part of a larger protein complex but plays into broader lipid metabolism processes. The efficiency of H-FABP in fatty acid binding and transport helps maintain cellular energy homeostasis especially in tissues with high fatty acid metabolism like the heart.

Pathways

H-FABP integrates into the fatty acid metabolic pathways and the beta-oxidation pathway. It is associated with the transport and utilization of fatty acids linking it to the peroxisome proliferator-activated receptor (PPAR) signaling pathway an important regulator of lipid metabolism. Proteins such as CD36 and PPARα interact with H-FABP within these pathways influencing lipid storage and energy balance.

Disruptions in H-FABP levels or function correlate with cardiovascular diseases including myocardial infarction. Elevated blood levels of H-FABP provide early markers of cardiac cell injury. Additionally alterations can also relate to metabolic disorders like obesity where lipid metabolism gets impaired. In these contexts proteins such as troponin and creatine kinase may also serve as biomarkers elucidating the relationship between H-FABP and myocardial stress or damage.

Product protocols

For this product, it's our understanding that no specific protocols are required. You can visit:

Target data

FABPs are thought to play a role in the intracellular transport of long-chain fatty acids and their acyl-CoA esters.
See full target information FABP3

Publications (8)

Recent publications for all applications. Explore the full list and refine your search

Molecular medicine reports 24: PubMed34476499

2021

Effect of N‑terminal region of human parvovirus B19‑VP1 unique region on cardiac injury in naïve mice.

Applications

Unspecified application

Species

Unspecified reactive species

Kuo-Chuan Hung,Zi-Yun Huang,Jia Le Yow,Tsai-Ching Hsu,Bor-Show Tzang

The FEBS journal 283:459-71 PubMed26565144

2015

Plasma biomarkers for neuronal ceroid lipofuscinosis.

Applications

Unspecified application

Species

Unspecified reactive species

Samantha L Hersrud,Ryan D Geraets,Krystal L Weber,Chun-Hung Chan,David A Pearce

American journal of physiology. Endocrinology and metabolism 302:E1352-62 PubMed22338075

2012

Myocardial macronutrient transporter adaptations in the adult pregestational female intrauterine and postnatal growth-restricted offspring.

Applications

Unspecified application

Species

Rat

Afshan Abbasi,Manikkavasagar Thamotharan,Bo-Chul Shin,Maria C Jordan,Kenneth P Roos,Andreas Stahl,Sherin U Devaskar

Molecular medicine reports 5:497-502 PubMed22109570

2011

Effects of leptin on the expression of fatty acid-binding proteins in human placental cell cultures.

Applications

Unspecified application

Species

Unspecified reactive species

Athanasios V Mousiolis,Panagoula Kollia,Chara Skentou,Ioannis E Messinis

Journal of biomedicine & biotechnology 2010:648501 PubMed20508850

2010

Proteomic Profiling of the Dystrophin-Deficient MDX Heart Reveals Drastically Altered Levels of Key Metabolic and Contractile Proteins.

Applications

WB

Species

Mouse

Caroline Lewis,Harald Jockusch,Kay Ohlendieck

Clinical cancer research : an official journal of 15:6570-81 PubMed19825952

2009

Mammary-derived growth inhibitor alters traffic of EGFR and induces a novel form of cetuximab resistance.

Applications

WB

Species

Human

Jonna Nevo,Elina Mattila,Teijo Pellinen,Daniel L Yamamoto,Henri Sara,Kristiina Iljin,Olli Kallioniemi,Petri Bono,Päivi Heikkilä,Heikki Joensuu,Anni Wärri,Johanna Ivaska

FASEB journal : official publication of the Federa 23:3865-73 PubMed19625659

2009

Fatty acid binding protein 4 is a target of VEGF and a regulator of cell proliferation in endothelial cells.

Applications

Unspecified application

Species

Unspecified reactive species

Harun Elmasri,Cagatay Karaaslan,Yaroslav Teper,Elisa Ghelfi,Meiqian Weng,Tan A Ince,Harry Kozakewich,Joyce Bischoff,Sule Cataltepe

Cardiovascular research 72:430-7 PubMed17034771

2006

Fatty acid transporter levels and palmitate oxidation rate correlate with ejection fraction in the infarcted rat heart.

Applications

Unspecified application

Species

Unspecified reactive species

Lisa C Heather,Mark A Cole,Craig A Lygate,Rhys D Evans,Daniel J Stuckey,Andrew J Murray,Stefan Neubauer,Kieran Clarke
View all publications

Product promise

We are committed to supporting your work with high-quality reagents, and we're here for you every step of the way. In the unlikely event that one of our products does not perform as expected, you're protected by our Product Promise.
For full details, please see our Terms & Conditions

Please note: All products are 'FOR RESEARCH USE ONLY. NOT FOR USE IN DIAGNOSTIC OR THERAPEUTIC PROCEDURES'.

For licensing inquiries, please contact partnerships@abcam.com