JavaScript is disabled in your browser. Please enable JavaScript to view this website.
AB248565

Anti-H-FABP antibody [EPR6126] - BSA and Azide free

Be the first to review this product! Submit a review

|

(0 Publication)

Rabbit Recombinant Monoclonal H-FABP antibody. Carrier free. Suitable for IHC-P, WB and reacts with Human, Mouse, Rat samples.

View Alternative Names

FABP11, MDGI, FABP3, Fatty acid-binding protein 3, Heart-type fatty acid-binding protein, Mammary-derived growth inhibitor, Muscle fatty acid-binding protein, H-FABP, M-FABP

3 Images
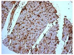
Immunohistochemistry (Formalin/PFA-fixed paraffin-embedded sections) - Anti-H-FABP antibody [EPR6126] - BSA and Azide free (AB248565)
  • IHC-P

Unknown

Immunohistochemistry (Formalin/PFA-fixed paraffin-embedded sections) - Anti-H-FABP antibody [EPR6126] - BSA and Azide free (AB248565)

This data was developed using ab133585, the same antibody clone in a different buffer formulation.

Immunohistochemical analysis of paraffin embedded Human heart tissue labelling H-FABP with ab133585 at 1/100 dilution.

Perform heat mediated antigen retrieval with citrate buffer pH 6 before commencing with IHC staining protocol.

Western blot - Anti-H-FABP antibody [EPR6126] - BSA and Azide free (AB248565)
  • WB

Unknown

Western blot - Anti-H-FABP antibody [EPR6126] - BSA and Azide free (AB248565)

This data was developed using ab133585, the same antibody clone in a different buffer formulation.

All lanes:

Western blot - Anti-H-FABP antibody [EPR6126] (<a href='/en-us/products/primary-antibodies/h-fabp-antibody-epr6126-ab133585'>ab133585</a>) at 1/1000 dilution

Lane 1:

Fetal muscle tissue lysate at 10 µg

Lane 2:

Fetal heart tissue lysate at 10 µg

Secondary

All lanes:

HRP labelled Goat anti-Rabbit IgG at 1/2000 dilution

Predicted band size: 15 kDa

false

OI-RD Scanning - Anti-H-FABP antibody [EPR6126] - BSA and Azide free (AB248565)
  • OI-RD Scanning

Unknown

OI-RD Scanning - Anti-H-FABP antibody [EPR6126] - BSA and Azide free (AB248565)

We have systematically measured KD (the equilibrium dissociation constant between the antibody and its antigen), of more than 840 recombinant antibodies to assess not only their individual KD values but also to see the average affinity of antibody. Based on the comparison with published literature values for mouse monoclonal antibodies, Recombinant antibodies appear to be on average 1-2 order of magnitude higher affinity.

Key facts

Host species

Rabbit

Clonality

Monoclonal

Clone number

EPR6126

Isotype

IgG

Carrier free

Yes

Reacts with

Human

Applications

WB, IHC-P

applications

Immunogen

The exact immunogen used to generate this antibody is proprietary information.

Reactivity data

{ "title": "Reactivity Data", "filters": { "stats": ["", "Species", "Dilution Info", "Notes"], "tabs": { "all-applications": {"fullname" : "All Applications", "shortname": "All Applications"}, "IHCP" : {"fullname" : "Immunohistochemistry (Formalin/PFA-fixed paraffin-embedded sections)", "shortname":"IHC-P"}, "ICCIF" : {"fullname" : "Immunocytochemistry/ Immunofluorescence", "shortname":"ICC/IF"}, "IP" : {"fullname" : "Immunoprecipitation", "shortname":"IP"}, "WB" : {"fullname" : "Western blot", "shortname":"WB"} }, "product-promise": { "all": "all", "testedAndGuaranteed": "tested", "guaranteed": "expected", "predicted": "predicted", "notRecommended": "not-recommended" } }, "values": { "Human": { "IHCP-species-checked": "testedAndGuaranteed", "IHCP-species-dilution-info": "", "IHCP-species-notes": "<p></p>", "ICCIF-species-checked": "notRecommended", "ICCIF-species-dilution-info": "", "ICCIF-species-notes": "<p></p>", "IP-species-checked": "notRecommended", "IP-species-dilution-info": "", "IP-species-notes": "<p></p>", "WB-species-checked": "testedAndGuaranteed", "WB-species-dilution-info": "", "WB-species-notes": "<p></p>" }, "Mouse": { "IHCP-species-checked": "predicted", "IHCP-species-dilution-info": "", "IHCP-species-notes": "", "ICCIF-species-checked": "notRecommended", "ICCIF-species-dilution-info": "", "ICCIF-species-notes": "", "IP-species-checked": "notRecommended", "IP-species-dilution-info": "", "IP-species-notes": "", "WB-species-checked": "guaranteed", "WB-species-dilution-info": "", "WB-species-notes": "<p></p>" }, "Rat": { "IHCP-species-checked": "predicted", "IHCP-species-dilution-info": "", "IHCP-species-notes": "", "ICCIF-species-checked": "notRecommended", "ICCIF-species-dilution-info": "", "ICCIF-species-notes": "", "IP-species-checked": "notRecommended", "IP-species-dilution-info": "", "IP-species-notes": "", "WB-species-checked": "guaranteed", "WB-species-dilution-info": "", "WB-species-notes": "<p></p>" } } }

Product details

ab248565 is the carrier-free version of ab133585.

Patented technology
Our RabMAb® technology is a patented hybridoma-based technology for making rabbit monoclonal antibodies. For details on our patents, please refer to RabMAb® patents.

What are the advantages of a recombinant monoclonal antibody?
This product is a recombinant monoclonal antibody, which offers several advantages including:

  • - High batch-to-batch consistency and reproducibility
  • - Improved sensitivity and specificity
  • - Long-term security of supply
  • - Animal-free batch production

For more information, read more on recombinant antibodies.

Conjugation ready
Our carrier-free antibodies are typically supplied in a PBS-only formulation, purified and free of BSA, sodium azide and glycerol. This conjugation-ready format is designed for use with fluorochromes, metal isotopes, oligonucleotides, and enzymes, which makes them ideal for antibody labelling, functional and cell-based assays, flow-based assays (e.g. mass cytometry) and Multiplex Imaging applications.

Use our conjugation kits for antibody conjugates that are ready-to-use in as little as 20 minutes with 1 minute hands-on-time and 100% antibody recovery: available for fluorescent dyes, HRP, biotin and gold.

Compatibility
This product is compatible with the Maxpar® Antibody Labeling Kit from Fluidigm, without the need for antibody preparation. Maxpar® is a trademark of Fluidigm Canada Inc.

Properties and storage information

Form
Liquid
Purification technique
Affinity purification Protein A
Storage buffer
pH: 7.2 - 7.4 Constituents: PBS
Shipped at conditions
Blue Ice
Appropriate short-term storage conditions
+4°C
Appropriate long-term storage conditions
+4°C
Storage information
Do Not Freeze

Supplementary information

This supplementary information is collated from multiple sources and compiled automatically.

H-FABP also known as heart-type fatty acid binding protein is a small protein with a molecular mass of approximately 14.5 kDa. This protein is primarily found in the cytoplasm of cardiac muscle cells but it also can be detected in skeletal muscles and other tissues at lower concentrations. H-FABP binds long-chain fatty acids and is important for the intracellular transport and metabolism of these molecules. The protein is often used as a biomarker for cardiac injury due to its rapid release into the bloodstream following muscle damage.
Biological function summary

Fatty acid binding largely defines H-FABP's role facilitating the transport of fatty acids within cells which is key for energy production. It is not part of a larger protein complex but plays into broader lipid metabolism processes. The efficiency of H-FABP in fatty acid binding and transport helps maintain cellular energy homeostasis especially in tissues with high fatty acid metabolism like the heart.

Pathways

H-FABP integrates into the fatty acid metabolic pathways and the beta-oxidation pathway. It is associated with the transport and utilization of fatty acids linking it to the peroxisome proliferator-activated receptor (PPAR) signaling pathway an important regulator of lipid metabolism. Proteins such as CD36 and PPARα interact with H-FABP within these pathways influencing lipid storage and energy balance.

Disruptions in H-FABP levels or function correlate with cardiovascular diseases including myocardial infarction. Elevated blood levels of H-FABP provide early markers of cardiac cell injury. Additionally alterations can also relate to metabolic disorders like obesity where lipid metabolism gets impaired. In these contexts proteins such as troponin and creatine kinase may also serve as biomarkers elucidating the relationship between H-FABP and myocardial stress or damage.

Product protocols

For this product, it's our understanding that no specific protocols are required. You can visit:

Target data

FABPs are thought to play a role in the intracellular transport of long-chain fatty acids and their acyl-CoA esters.
See full target information FABP3

Product promise

We are committed to supporting your work with high-quality reagents, and we're here for you every step of the way. In the unlikely event that one of our products does not perform as expected, you're protected by our Product Promise.
For full details, please see our Terms & Conditions

Please note: All products are 'FOR RESEARCH USE ONLY. NOT FOR USE IN DIAGNOSTIC OR THERAPEUTIC PROCEDURES'.

For licensing inquiries, please contact partnerships@abcam.com