JavaScript is disabled in your browser. Please enable JavaScript to view this website.
AB236632

Anti-HA tag antibody [EPR22819-101]

  • BOND RX™ Validated
  • RabMAb
  • Recombinant
  • Lab Essentials
  • 20ul selling size
  • What is this?

3

(1 Review)

|

(71 Publications)

Anti-HA tag antibody [EPR22819-101] (ab236632) is a rabbit monoclonal antibody detecting HA tag in Western Blot, Flow Cytometry (Intra), Flow Cytometry, IP, ICC/IF.

- Biophysical QC for unrivalled batch-batch consistency
- Optimized for sensitivity and reproducibility across assays
- Over 20 publications

View Alternative Names

Hemagglutinin, HA

9 Images
Immunohistochemistry (Formalin/PFA-fixed paraffin-embedded sections) - Anti-HA tag antibody [EPR22819-101] (AB236632)
  • IHC-P

Supplier Data

Immunohistochemistry (Formalin/PFA-fixed paraffin-embedded sections) - Anti-HA tag antibody [EPR22819-101] (AB236632)

Immunohistochemical analysis of paraffin-embedded (A) HEK-293T (human embryonic kidney epithelial cell) transfected with a HA Tag expression vector, (B) HEK-293T transfected with empty vector labelling HA tag with ab236632 at 1/5000 (0.124 ug/ml) dilution, followed by a ready to use LeicaDS9800 (Bond™ Polymer Refine Detection).

Positive staining on HEK-293T transfected with a HA Tag expression vector (Image A) and no staining on (B) HEK-293T transfected with empty vector (Image B)
The section was incubated with ab236632 for 30 mins at room temperature.
The immunostaining was performed on a Leica Biosystems BOND RX instrument.

Counterstained with Hematoxylin.

Secondary antibody only control : Secondary antibody is a ready to use LeicaDS9800 (Bond™ Polymer Refine Detection).

Heat mediated antigen retrieval was performed with Tris-EDTA buffer (pH 9.0, Epitope Retrieval Solution2) for 20 mins.

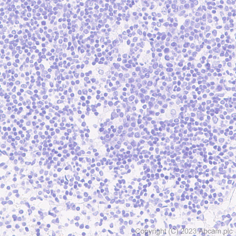
Immunohistochemistry (Formalin/PFA-fixed paraffin-embedded sections) - Anti-HA tag antibody [EPR22819-101] (AB236632)
  • IHC-P

Supplier Data

Immunohistochemistry (Formalin/PFA-fixed paraffin-embedded sections) - Anti-HA tag antibody [EPR22819-101] (AB236632)

Immunohistochemical analysis of paraffin-embedded human tonsil with ab236632 at 1/5000 dilution, followed by a ready to use LeicaDS9800 (Bond™ Polymer Refine Detection).

Negative control : No staining on human tonsil.

The section was incubated with ab236632 for 30 mins at room temperature.

The immunostaining was performed on a Leica Biosystems BOND RX instrument.

Counterstained with Hematoxylin.

Heat mediated antigen retrieval was performed with Tris-EDTA buffer (pH 9.0, Epitope Retrieval Solution2) for 20 mins.

Immunocytochemistry/ Immunofluorescence - Anti-HA tag antibody [EPR22819-101] (AB236632)
  • ICC/IF

Unknown

Immunocytochemistry/ Immunofluorescence - Anti-HA tag antibody [EPR22819-101] (AB236632)

Immunofluorescent analysis of 4% paraformaldehyde-fixed, 0.1% Triton X-100 permeabilized HEK-293T (human embryonic kidney epithelial cell) transfected with HA-tagged TATA-box-binding protein (WT) expression vector labeling HA tag with ab236632 at 1/1000 (0.6 μg/ml) dilution, followed by ab150077 AlexaFluor®488 Goat anti-Rabbit secondary antibody at 1/1000, (2 μg/ml) dilution (Green). Confocal image showing nuclear staining in HEK-293T cells transfected with HA-tagged TATA-box-binding protein (WT) expression vector is observed. Anti-HA.11 Epitope Tag antibody (Alexa Fluor® 647) was used to counterstain tubulin at 1/200 dilution (Red). The nuclear counterstain was DAPI (Blue).

Secondary antibody only control : Used PBS instead of primary antibody, secondary antibody is ab150077 AlexaFluor®488 Goat anti-Rabbit secondary at 1/1000 (2 μg/ml) dilution.

Flow Cytometry (Intracellular) - Anti-HA tag antibody [EPR22819-101] (AB236632)
  • Flow Cyt (Intra)

Unknown

Flow Cytometry (Intracellular) - Anti-HA tag antibody [EPR22819-101] (AB236632)

Intracellular flow cytometric analysis of 4% paraformaldehyde fixed, 90% methanol permeabilized HEK-293T (human embryonic kidney) transfected with TATA-box-binding protein (WT) expression vector containing HA-tag (Right) / HEK-293T (Left) cells labeling HA tag with ab236632 at 1/600 dilution. A Goat anti rabbit IgG (Alexa Fluor® 488, ab150077) at 1/2000 dilution was used as the secondary antibody.

Immunoprecipitation - Anti-HA tag antibody [EPR22819-101] (AB236632)
  • IP

Unknown

Immunoprecipitation - Anti-HA tag antibody [EPR22819-101] (AB236632)

HA tag was immunoprecipitated from 0.35 mg HEK-293T (human embryonic kidney) transfected with TIM 4 (WT) expression vector containing a HA-GFP-tag and PDGFR TM domain whole cell lysate 10μg with ab236632 at 1/30 dilution (2μg in 0.35mg lysates). Western blot was performed on the immunoprecipitate using ab236632. VeriBlot for IP Detection Reagent (HRP) (ab131366) was used at 1/2000 dilution.

Lane 1 : HEK-293T (human embryonic kidney) transfected with TIM 4 (WT) expression vector containing a HA-GFP-tag and PDGFR TM domain whole cell lysate 10μg.

Lane 2 : ab236632 IP in HEK-293T transfected with TIM 4 (WT) expression vector containing a HA-GFP-tag and PDGFR TM domain whole cell lysate.

Lane 3 : Rabbit monoclonal IgG (ab172730) instead of ab236632 in HEK-293T transfected with TIM 4 (WT) expression vector containing a HA-GFP-tag and PDGFR TM domain whole cell lysate.

Blocking and dilution buffer and concentration/ 5% NFDM/TBST.

Exposure time : 3 seconds.

All lanes:

Immunoprecipitation - Anti-HA tag antibody [EPR22819-101] (ab236632)

Predicted band size: 64 kDa

false

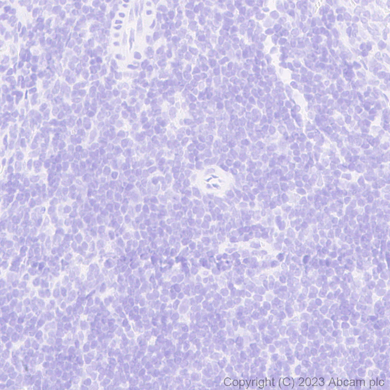
Immunohistochemistry (Formalin/PFA-fixed paraffin-embedded sections) - Anti-HA tag antibody [EPR22819-101] (AB236632)
  • IHC-P

Supplier Data

Immunohistochemistry (Formalin/PFA-fixed paraffin-embedded sections) - Anti-HA tag antibody [EPR22819-101] (AB236632)

Immunohistochemical analysis of paraffin-embedded Rat spleen with ab236632 at 1/5000 dilution, followed by a ready to use LeicaDS9800 (Bond™ Polymer Refine Detection).

Negative control : No staining on Rat spleen.

The section was incubated with ab236632 for 30 mins at room temperature.

The immunostaining was performed on a Leica Biosystems BOND RX instrument.

Counterstained with Hematoxylin.

Heat mediated antigen retrieval was performed with Tris-EDTA buffer (pH 9.0, Epitope Retrieval Solution2) for 20 mins.

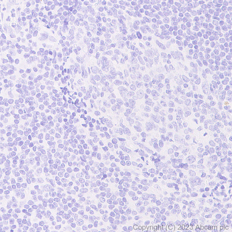
Immunohistochemistry (Formalin/PFA-fixed paraffin-embedded sections) - Anti-HA tag antibody [EPR22819-101] (AB236632)
  • IHC-P

Supplier Data

Immunohistochemistry (Formalin/PFA-fixed paraffin-embedded sections) - Anti-HA tag antibody [EPR22819-101] (AB236632)

Immunohistochemical analysis of paraffin-embedded Mouse spleen with ab236632 at 1/5000 dilution, followed by a ready to use LeicaDS9800 (Bond™ Polymer Refine Detection).

Negative control : No staining on Mouse spleen.

The section was incubated with ab236632 for 30 mins at room temperature.

The immunostaining was performed on a Leica Biosystems BOND RX instrument.

Counterstained with Hematoxylin.

Heat mediated antigen retrieval was performed with Tris-EDTA buffer (pH 9.0, Epitope Retrieval Solution2) for 20 mins.

Western blot - Anti-HA tag antibody [EPR22819-101] (AB236632)
  • WB

Lab

Western blot - Anti-HA tag antibody [EPR22819-101] (AB236632)

Antibodies used in the control panels are (Anti-TIM 4 antibody), ab9110 (Anti-HA tag antibody - ChIP Grade) and ab181602 (Anti-GAPDH antibody [EPR16891] - Loading Control).

Exposure time : 3 minutes.

Blocking and Diluting Buffer and concentration : 5% NFDM/TBST.

All lanes:

Western blot - Anti-HA tag antibody [EPR22819-101] (ab236632) at 1/1000 dilution

Lane 1:

HEK-293T (human embryonic kidney) transfected with an empty vector (vector control), containing a HA-myc-His-GFP-tag and PDGFR TM domain, whole cell lysate at 10 µg

Lane 2:

HEK-293T transfected with TIM 4 (WT) expression vector containing a HA-myc-His-GFP-tag and PDGFR TM domain, whole cell lysate at 10 µg

Secondary

All lanes:

Western blot - Goat Anti-Rabbit IgG H&L (HRP) (<a href='/en-us/products/secondary-antibodies/goat-rabbit-igg-h-l-hrp-ab97051'>ab97051</a>) at 1/100000 dilution

Predicted band size: 64 kDa

Observed band size: 37 kDa,78 kDa

false

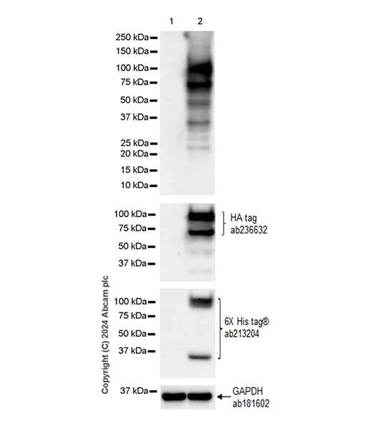
Western blot - Anti-HA tag antibody [EPR22819-101] (AB236632)
  • WB

Supplier Data

Western blot - Anti-HA tag antibody [EPR22819-101] (AB236632)

Rfx Cas13d may cleave to two fragments close to C-term, and this antibody can recognize the full length and N-terminal fragment. HA tag antibody can recognize the full length and N-terminal fragment. His-tag antibody can recognize full length and C-terminal fragment because the His-tag of this overexpression vector located on C-term, HA-myc-tag of this overexpression vector located on N-term.

In Western blot, Anti-GAPDH antibody [EPR16891] - Loading Control (ab181602) staining at 1/200000 dilution.

In Western blot, Anti-HA tag antibody [EPR22819-101] - (ab236632) staining at 1/1000 dilution.

In Western blot, Anti-6XHis tag® antibody [EPR20547] - ChIP Grade (ab213204) staining at 1/5000 dilution.

All lanes:

Western blot - Anti-Rfx Cas13d (N-term) antibody [EPR23965-31] (<a href='/en-us/products/primary-antibodies/rfx-cas13d-n-term-antibody-epr23965-31-ab314741'>ab314741</a>) at 1/1000 dilution

Lane 1:

293T (human embryonic kidney epithelial cell) cells transfected with an empty vector containing a myc-His-tag®, whole cell lysate at 10 µg

Lane 2:

293T cells transfected with a Ruminococcus flavefaciens cas13d expression vector containing a HA-myc-tag (N-term) and a His-tag® (C-term), whole cell lysate at 10 µg

Secondary

All lanes:

Western blot - Goat Anti-Rabbit IgG H&L (HRP) (<a href='/en-us/products/secondary-antibodies/goat-rabbit-igg-h-l-hrp-ab97051'>ab97051</a>) at 1/100000 dilution

Observed band size: 110 kDa,70 kDa,36 kDa,40 kDa

false

Exposure time: 6s

  • 665 Alexa Fluor® 647

    Alexa Fluor® 647 Anti-HA tag antibody [EPR22819-101]

  • 578 PE

    PE Anti-HA tag antibody [EPR22819-101]

  • Carrier free

    Anti-HA tag antibody [EPR22819-101] - BSA and Azide free

  • 519 Alexa Fluor® 488

    Alexa Fluor® 488 Anti-HA tag antibody [EPR22819-101]

  • 519 FITC

    FITC Anti-HA tag antibody [EPR22819-101]

Key facts

Host species

Rabbit

Clonality

Monoclonal

Clone number

EPR22819-101

Isotype

IgG

Carrier free

No

Applications

WB, IP, ICC/IF, IHC-P, Flow Cyt (Intra)

applications

Immunogen

The exact immunogen used to generate this antibody is proprietary information.

Reactivity data

{ "title": "Reactivity Data", "filters": { "stats": ["", "Species", "Dilution Info", "Notes"], "tabs": { "all-applications": {"fullname" : "All Applications", "shortname": "All Applications"}, "ChIP" : {"fullname" : "ChIP", "shortname":"ChIP"}, "IP" : {"fullname" : "Immunoprecipitation", "shortname":"IP"}, "WB" : {"fullname" : "Western blot", "shortname":"WB"}, "ICCIF" : {"fullname" : "Immunocytochemistry/ Immunofluorescence", "shortname":"ICC/IF"}, "FlowCytIntra" : {"fullname" : "Flow Cytometry (Intracellular)", "shortname":"Flow Cyt (Intra)"}, "IHCP" : {"fullname" : "Immunohistochemistry (Formalin/PFA-fixed paraffin-embedded sections)", "shortname":"IHC-P"} }, "product-promise": { "all": "all", "testedAndGuaranteed": "tested", "guaranteed": "expected", "predicted": "predicted", "notRecommended": "not-recommended" } }, "values": { "Tag": { "ChIP-species-checked": "notRecommended", "ChIP-species-dilution-info": "", "ChIP-species-notes": "<p></p>", "IP-species-checked": "testedAndGuaranteed", "IP-species-dilution-info": "1/30", "IP-species-notes": "<p></p>", "WB-species-checked": "testedAndGuaranteed", "WB-species-dilution-info": "1/1000", "WB-species-notes": "<p></p>", "ICCIF-species-checked": "testedAndGuaranteed", "ICCIF-species-dilution-info": "1/1000", "ICCIF-species-notes": "<p></p>", "FlowCytIntra-species-checked": "testedAndGuaranteed", "FlowCytIntra-species-dilution-info": "1/600", "FlowCytIntra-species-notes": "<p></p>", "IHCP-species-checked": "testedAndGuaranteed", "IHCP-species-dilution-info": "", "IHCP-species-notes": "<p></p>" } } }

Product details

Product Specifications
Anti-HA tag antibody [EPR22819-101] (ab236632) is a rabbit recombinant monoclonal antibody and is validated for use in Flow Cyt (Intra), ICC/IF, IHC, IP, WB.
HA tag antibodies are used to visualize proteins labelled with this tag in a variety of applications (for example imaging and Flow cytometry). To enable specific detection of your tagged protein, Anti-HA tag antibody [EPR22819-101] (ab236632) has been validated in Flow Cyt (Intra), ICC/IF, IHC, IP, WB
Anti-HA tag antibody [EPR22819-101] (ab236632) specifically detects HA tag (UniProt ID: P03437; Molecular weight: 62kDa) and is sold in 100 µL and 1 mL selling sizes.



Related Products
Conjugation-ready, carrier free format available for antibody clone EPR22819-101 - ab256483.
Antibody clone EPR22819-101 is also available pre-conjugated to a variety of labels for your convenience - Alexa Fluor® 647, PE, Alexa Fluor® 488, FITC (ab288325, ab303586, ab305269, ab316174).

Patented technology
Our RabMAb® technology is a patented hybridoma-based technology for making rabbit monoclonal antibodies. For details on our patents, please refer to RabMAb® patents.

What are the advantages of a recombinant monoclonal antibody?
This product is a recombinant monoclonal antibody, which offers several advantages including:

  • - High batch-to-batch consistency and reproducibility
  • - Improved sensitivity and specificity
  • - Long-term security of supply
  • - Animal-free batch production

For more information, read more on recombinant antibodies.

Properties and storage information

Form
Liquid
Purification technique
Affinity purification Protein A
Storage buffer
pH: 7.2 - 7.4 Preservative: 0.01% Sodium azide Constituents: PBS, 40% Glycerol (glycerin, glycerine), 0.05% BSA
Shipped at conditions
Blue Ice
Appropriate short-term storage duration
1-2 weeks
Appropriate short-term storage conditions
+4°C
Appropriate long-term storage conditions
-20°C
Aliquoting information
Upon delivery aliquot
Storage information
Avoid freeze / thaw cycle

Product protocols

For this product, it's our understanding that no specific protocols are required. You can visit:

Target data

Binds to sialic acid-containing receptors on the cell surface, bringing about the attachment of the virus particle to the cell. This attachment induces virion internalization of about two third of the virus particles through clathrin-dependent endocytosis and about one third through a clathrin- and caveolin-independent pathway. Plays a major role in the determination of host range restriction and virulence. Class I viral fusion protein. Responsible for penetration of the virus into the cell cytoplasm by mediating the fusion of the membrane of the endocytosed virus particle with the endosomal membrane. Low pH in endosomes induces an irreversible conformational change in HA2, releasing the fusion hydrophobic peptide. Several trimers are required to form a competent fusion pore.. Binds to sialic acid-containing receptors on the cell surface, bringing about the attachment of the virus particle to the cell. This attachment induces virion internalization either through clathrin-dependent endocytosis or through clathrin- and caveolin-independent pathway. Plays a major role in the determination of host range restriction and virulence. Class I viral fusion protein. Responsible for penetration of the virus into the cell cytoplasm by mediating the fusion of the membrane of the endocytosed virus particle with the endosomal membrane. Low pH in endosomes induces an irreversible conformational change in HA2, releasing the fusion hydrophobic peptide. Several trimers are required to form a competent fusion pore.
See full target information HA

Publications (71)

Recent publications for all applications. Explore the full list and refine your search

Materials today. Bio 35:102311 PubMed41050091

2025

Targeting chaperone-mediated autophagy to regulate osteoclast activity as a therapeutic strategy for osteoporosis.

Applications

Unspecified application

Species

Unspecified reactive species

Yunhui Zhang,Quanfeng Li,Xiaoshuai Peng,Pengfei Ji,Yibin Zhang,Jiahao Jin,Zihao Yuan,Jianan Jiang,Guangqi Tian,Mingxi Cai,Pei Feng,Yanfeng Wu,Wenjie Liu,Peng Wang

Experimental and therapeutic medicine 30:224 PubMed41018883

2025

Circular RNA expression profiling and the potential role of hsa_circ_0005379 in decreased ovarian reserve.

Applications

Unspecified application

Species

Unspecified reactive species

Pengyu Huang,Suzhu Chen,Jianshu Cai,Caihong Jiang,Bichen Liu,Yun Fu,Dianliang Lin

Biomolecules 15: PubMed40867552

2025

ENO1 from Disrupts Host Glycolysis and Inflammation by Binding ACTB.

Applications

Unspecified application

Species

Unspecified reactive species

Rui-Rui Li,Xiao-Jiao Yu,Jia-Yin Liang,Jin-Liang Sheng,Hui Zhang,Chuang-Fu Chen,Zhong-Chen Ma,Yong Wang

Nature communications 16:7336 PubMed40781249

2025

The TaNHLP1-TaRACK1A module regulates tillering via abscisic acid signaling in wheat.

Applications

Unspecified application

Species

Unspecified reactive species

Yaoqi Si,Shuiquan Tian,Jianqing Niu,Qiao Lu,Qiushuang Shang,Shengwei Ma,Zhimeng Zhang,Tingting Du,Huilan Wu,Jundong Li,Xiansheng Zhang,Fang Wang,Hong-Qing Ling,Shusong Zheng

Drug design, development and therapy 19:6301-6317 PubMed40717825

2025

Sevoflurane Alleviates Cardiomyocyte Ferroptosis via Ubiquitin-Specific Protease 7/Phosphatase and Tensin Homolog Modulation.

Applications

Unspecified application

Species

Unspecified reactive species

Jiashun Xu,Zongyue Wang,Huifang Wei,Liqin Wang,Yun Hong,Wenqing Xu,Meifen Ding,Zheming Song

Nature communications 16:6461 PubMed40651965

2025

Notch activity is modulated by the aGPCR Latrophilin binding the DSL ligand in C. elegans.

Applications

Unspecified application

Species

Unspecified reactive species

Willem Berend Post,Victoria Elisabeth Groß,Daniel Matúš,Iannis Charnay,Fabian Liessmann,Florian Seufert,Peter Hildebrand,Jens Meiler,Anette Kaiser,Torsten Schöneberg,Simone Prömel

Cell death & disease 16:470 PubMed40593489

2025

PKIB facilitates bladder cancer proliferation and metastasis through mediation of HSP27 phosphorylation by PKA.

Applications

Unspecified application

Species

Unspecified reactive species

Xiaolong Liu,Xiaoyu Yin,Feng Yuan,Shiqing Li,Fei Xiao,Feng Zhou,Xudong Pan,Yatfaat Ho,Shuo Dong,Duan Xu,Yunqing Ma,Zhengding Cao,Zhe Lei,Yi Sun

Theranostics 15:6839-6856 PubMed40585977

2025

Divergent splicing factor SRSF1 signaling promotes inflammation post-CME: the SRSF1/ENPP3 axis acts via inhibition of BRD4 O-GlcNAcylation to enhance NF-κB activation and accelerate heart failure.

Applications

Unspecified application

Species

Unspecified reactive species

Chen-Kai Hu,Lei He,Wan-Zhong Huang,Yuan Huang,Ri-Xin Dai,Chen Chang,Jun-Xiong Qiu,Qiang Wu,Qiang Su

Pathogens (Basel, Switzerland) 14: PubMed40430799

2025

Modulates RIPK3 Cellular Levels but Does Not Inhibit Necroptosis.

Applications

Unspecified application

Species

Unspecified reactive species

Thomas E Siff,Paige E Allen,David L Armistead,Jason R Hunt,Steven J Rolland,Hervé Agaisse,Jason A Carlyon

Discover oncology 16:894 PubMed40410440

2025

Timosaponin B-II suppresses gastric cancer cell proliferation and induces apoptosis via the Nrf2/miR-455-3p/KLF6 pathway.

Applications

Unspecified application

Species

Unspecified reactive species

Qiaoyan Cui,Ruijie Zhang,Shiqiao Zhao,Jian Wang,Yafen Dong,Xuesong Bai,Ye Chen,Yan Qiu
View all publications

Product promise

We are committed to supporting your work with high-quality reagents, and we're here for you every step of the way. In the unlikely event that one of our products does not perform as expected, you're protected by our Product Promise.
For full details, please see our Terms & Conditions

Please note: All products are 'FOR RESEARCH USE ONLY. NOT FOR USE IN DIAGNOSTIC OR THERAPEUTIC PROCEDURES'.

For licensing inquiries, please contact partnerships@abcam.com