JavaScript is disabled in your browser. Please enable JavaScript to view this website.
AB256483

Anti-HA tag antibody [EPR22819-101] - BSA and Azide free

Be the first to review this product! Submit a review

|

(1 Publication)

Rabbit Recombinant Monoclonal Hemagglutinin antibody. Carrier free. Suitable for IP, WB, ICC/IF, Flow Cyt (Intra), IHC-P and reacts with Tag samples. Cited in 1 publication.

View Alternative Names

Hemagglutinin, HA

7 Images
Immunohistochemistry (Formalin/PFA-fixed paraffin-embedded sections) - Anti-HA tag antibody [EPR22819-101] - BSA and Azide free (AB256483)
  • IHC-P

Supplier Data

Immunohistochemistry (Formalin/PFA-fixed paraffin-embedded sections) - Anti-HA tag antibody [EPR22819-101] - BSA and Azide free (AB256483)

This data was developed using the same antibody clone in a different buffer formulation containing PBS, BSA, glycerol, and sodium azide (ab236632).

Immunohistochemical analysis of paraffin-embedded (A) HEK-293T (human embryonic kidney epithelial cell) transfected with a HA Tag expression vector, (B) HEK-293T transfected with empty vector labelling HA tag with ab236632 at 1/5000 (0.124 ug/ml) dilution, followed by a ready to use LeicaDS9800 (Bond™ Polymer Refine Detection).

Positive staining on HEK-293T transfected with a HA Tag expression vector (Image A) and no staining on (B) HEK-293T transfected with empty vector (Image B)
The section was incubated with ab236632 for 30 mins at room temperature.
The immunostaining was performed on a Leica Biosystems BOND RX instrument.

Counterstained with Hematoxylin.

Secondary antibody only control : Secondary antibody is a ready to use LeicaDS9800 (Bond™ Polymer Refine Detection).

Heat mediated antigen retrieval was performed with Tris-EDTA buffer (pH 9.0, Epitope Retrieval Solution2) for 20 mins.

Immunocytochemistry/ Immunofluorescence - Anti-HA tag antibody [EPR22819-101] - BSA and Azide free (AB256483)
  • ICC/IF

Unknown

Immunocytochemistry/ Immunofluorescence - Anti-HA tag antibody [EPR22819-101] - BSA and Azide free (AB256483)

Immunofluorescent analysis of 4% paraformaldehyde-fixed, 0.1% Triton X-100 permeabilized HEK-293T (human embryonic kidney epithelial cell) transfected with HA-tagged TATA-box-binding protein (WT) expression vector labeling HA tag with ab236632 at 1/1000 (0.6 μg/ml) dilution, followed by ab150077 AlexaFluor®488 Goat anti-Rabbit secondary antibody at 1/1000, 2 μg/ml dilution (Green). Confocal image showing nuclear staining in HEK-293T cells transfected with HA-tagged TATA-box-binding protein (WT) expression vector is observed. Anti-HA.11 Epitope Tag antibody (Alexa Fluor® 647) was used to counterstain tubulin at 1/200 dilution (Red). The nuclear counterstain was DAPI (Blue).

Secondary antibody only control : Used PBS instead of primary antibody, secondary antibody is ab150077 AlexaFluor®488 Goat anti-Rabbit secondary at 1/1000 (2 μg/ml) dilution.

This data was developed using the same antibody clone in a different buffer formulation containing PBS, BSA, glycerol, and sodium azide (ab236632).

Flow Cytometry (Intracellular) - Anti-HA tag antibody [EPR22819-101] - BSA and Azide free (AB256483)
  • Flow Cyt (Intra)

Unknown

Flow Cytometry (Intracellular) - Anti-HA tag antibody [EPR22819-101] - BSA and Azide free (AB256483)

Intracellular flow cytometric analysis of 4% paraformaldehyde fixed, 90% methanol permeabilized HEK-293T (human embryonic kidney) transfected with TATA-box-binding protein (WT) expression vector containing HA-tag (Right) / HEK-293T (Left) cells labeling HA tag with ab236632 at 1/600 dilution. A Goat anti rabbit IgG (Alexa Fluor® 488, ab150077) at 1/2000 dilution was used as the secondary antibody.

This data was developed using the same antibody clone in a different buffer formulation containing PBS, BSA, glycerol, and sodium azide (ab236632).

Immunohistochemistry (Formalin/PFA-fixed paraffin-embedded sections) - Anti-HA tag antibody [EPR22819-101] - BSA and Azide free (AB256483)
  • IHC-P

Supplier Data

Immunohistochemistry (Formalin/PFA-fixed paraffin-embedded sections) - Anti-HA tag antibody [EPR22819-101] - BSA and Azide free (AB256483)

This data was developed using the same antibody clone in a different buffer formulation containing PBS, BSA, glycerol, and sodium azide (ab236632).

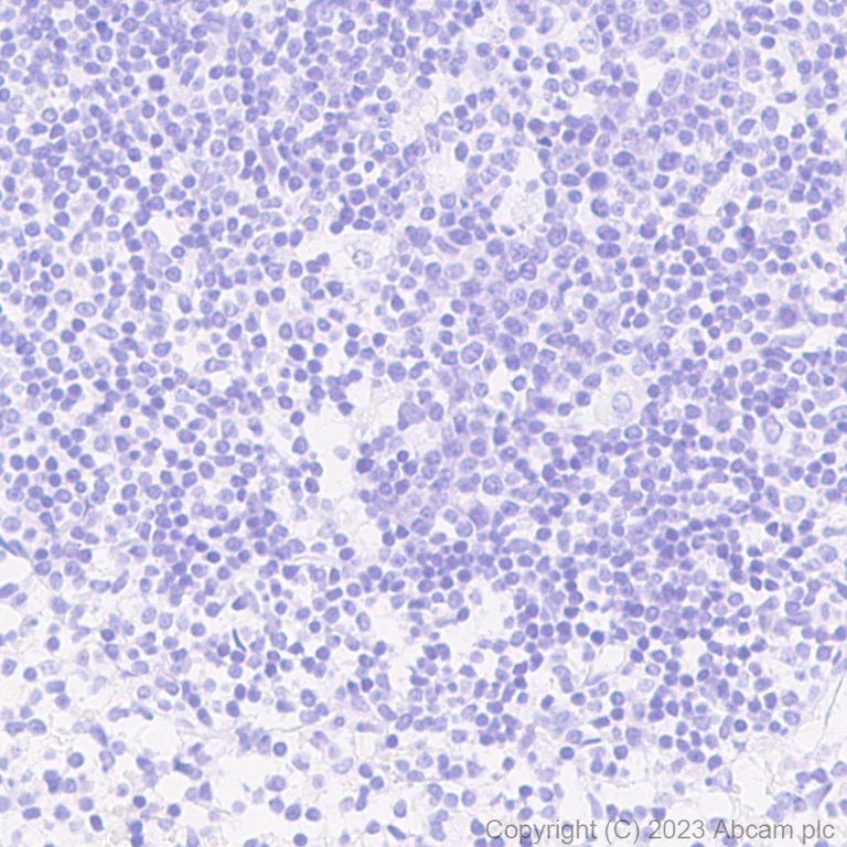
Immunohistochemical analysis of paraffin-embedded human tonsil with ab236632 at 1/5000 dilution, followed by a ready to use LeicaDS9800 (Bond™ Polymer Refine Detection).

Negative control : No staining on human tonsil.

The section was incubated with ab236632 for 30 mins at room temperature.

The immunostaining was performed on a Leica Biosystems BOND RX instrument.

Counterstained with Hematoxylin.

Heat mediated antigen retrieval was performed with Tris-EDTA buffer (pH 9.0, Epitope Retrieval Solution2) for 20 mins.

Immunoprecipitation - Anti-HA tag antibody [EPR22819-101] - BSA and Azide free (AB256483)
  • IP

Unknown

Immunoprecipitation - Anti-HA tag antibody [EPR22819-101] - BSA and Azide free (AB256483)

HA tag was immunoprecipitated from 0.35 mg HEK-293T (human embryonic kidney) transfected with TIM 4 (WT) expression vector containing a HA-GFP-tag and PDGFR TM domain whole cell lysate 10μg with ab236632 at 1/30 dilution (2μg in 0.35mg lysates). Western blot was performed on the immunoprecipitate using ab236632. VeriBlot for IP Detection Reagent (HRP) (ab131366) was used at 1/2000 dilution.

Lane 1 : HEK-293T (human embryonic kidney) transfected with TIM 4 (WT) expression vector containing a HA-GFP-tag and PDGFR TM domain whole cell lysate 10μg.

Lane 2 : ab236632 IP in HEK-293T transfected with TIM 4 (WT) expression vector containing a HA-GFP-tag and PDGFR TM domain whole cell lysate.

Lane 3 : Rabbit monoclonal IgG (ab172730) instead of ab236632 in HEK-293T transfected with TIM 4 (WT) expression vector containing a HA-GFP-tag and PDGFR TM domain whole cell lysate.

Blocking and dilution buffer and concentration/ 5% NFDM/TBST.

Exposure time : 3 seconds.

This data was developed using the same antibody clone in a different buffer formulation containing PBS, BSA, glycerol, and sodium azide (ab236632).

All lanes:

Immunoprecipitation - Anti-HA tag antibody [EPR22819-101] (<a href='/en-us/products/primary-antibodies/ha-tag-antibody-epr22819-101-ab236632'>ab236632</a>)

Predicted band size: 64 kDa

false

Immunohistochemistry (Formalin/PFA-fixed paraffin-embedded sections) - Anti-HA tag antibody [EPR22819-101] - BSA and Azide free (AB256483)
  • IHC-P

Supplier Data

Immunohistochemistry (Formalin/PFA-fixed paraffin-embedded sections) - Anti-HA tag antibody [EPR22819-101] - BSA and Azide free (AB256483)

This data was developed using the same antibody clone in a different buffer formulation containing PBS, BSA, glycerol, and sodium azide (ab236632).

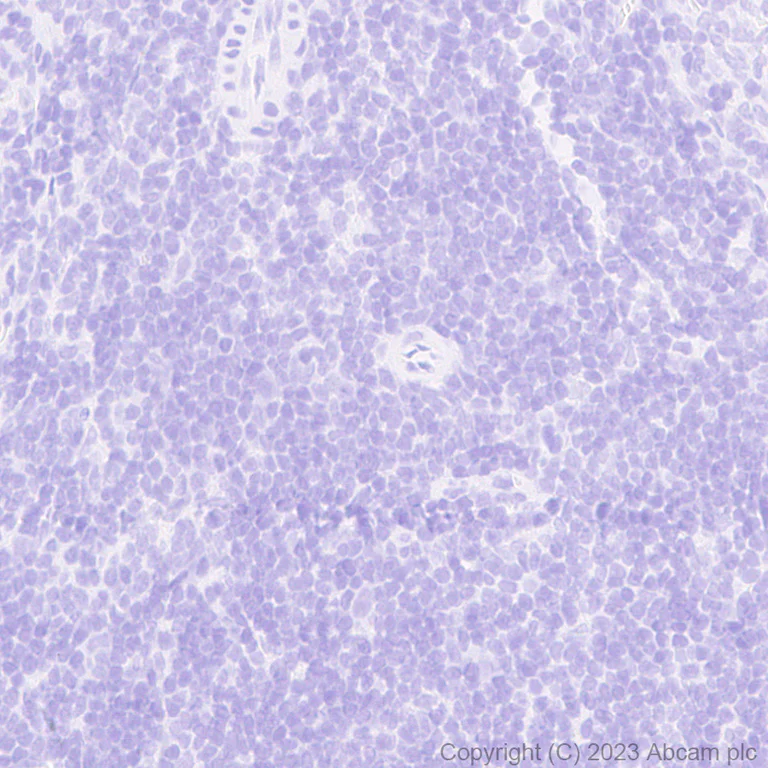
Immunohistochemical analysis of paraffin-embedded Mouse spleen with ab236632 at 1/5000 dilution, followed by a ready to use LeicaDS9800 (Bond™ Polymer Refine Detection).

Negative control : No staining on Mouse spleen.

The section was incubated with ab236632 for 30 mins at room temperature.

The immunostaining was performed on a Leica Biosystems BOND RX instrument.

Counterstained with Hematoxylin.

Heat mediated antigen retrieval was performed with Tris-EDTA buffer (pH 9.0, Epitope Retrieval Solution2) for 20 mins.

Immunohistochemistry (Formalin/PFA-fixed paraffin-embedded sections) - Anti-HA tag antibody [EPR22819-101] - BSA and Azide free (AB256483)
  • IHC-P

Supplier Data

Immunohistochemistry (Formalin/PFA-fixed paraffin-embedded sections) - Anti-HA tag antibody [EPR22819-101] - BSA and Azide free (AB256483)

This data was developed using the same antibody clone in a different buffer formulation containing PBS, BSA, glycerol, and sodium azide (ab236632).

Immunohistochemical analysis of paraffin-embedded Rat spleen with ab236632 at 1/5000 dilution, followed by a ready to use LeicaDS9800 (Bond™ Polymer Refine Detection).

Negative control : No staining on Rat spleen.

The section was incubated with ab236632 for 30 mins at room temperature.

The immunostaining was performed on a Leica Biosystems BOND RX instrument.

Counterstained with Hematoxylin.

Heat mediated antigen retrieval was performed with Tris-EDTA buffer (pH 9.0, Epitope Retrieval Solution2) for 20 mins.

  • Unconjugated

    Anti-HA tag antibody [EPR22819-101]

  • 519 FITC

    FITC Anti-HA tag antibody [EPR22819-101]

  • 665 Alexa Fluor® 647

    Alexa Fluor® 647 Anti-HA tag antibody [EPR22819-101]

  • 578 PE

    PE Anti-HA tag antibody [EPR22819-101]

  • 519 Alexa Fluor® 488

    Alexa Fluor® 488 Anti-HA tag antibody [EPR22819-101]

Key facts

Host species

Rabbit

Clonality

Monoclonal

Clone number

EPR22819-101

Isotype

IgG

Carrier free

Yes

Applications

IHC-P, WB, ICC/IF, Flow Cyt (Intra), IP

applications

Immunogen

The exact immunogen used to generate this antibody is proprietary information.

Reactivity data

{ "title": "Reactivity Data", "filters": { "stats": ["", "Species", "Dilution Info", "Notes"], "tabs": { "all-applications": {"fullname" : "All Applications", "shortname": "All Applications"}, "IP" : {"fullname" : "Immunoprecipitation", "shortname":"IP"}, "ChIP" : {"fullname" : "ChIP", "shortname":"ChIP"}, "WB" : {"fullname" : "Western blot", "shortname":"WB"}, "ICCIF" : {"fullname" : "Immunocytochemistry/ Immunofluorescence", "shortname":"ICC/IF"}, "FlowCytIntra" : {"fullname" : "Flow Cytometry (Intracellular)", "shortname":"Flow Cyt (Intra)"}, "IHCP" : {"fullname" : "Immunohistochemistry (Formalin/PFA-fixed paraffin-embedded sections)", "shortname":"IHC-P"} }, "product-promise": { "all": "all", "testedAndGuaranteed": "tested", "guaranteed": "expected", "predicted": "predicted", "notRecommended": "not-recommended" } }, "values": { "Human": { "IP-species-checked": "notRecommended", "IP-species-dilution-info": "", "IP-species-notes": "", "ChIP-species-checked": "notRecommended", "ChIP-species-dilution-info": "", "ChIP-species-notes": "<p></p>", "WB-species-checked": "notRecommended", "WB-species-dilution-info": "", "WB-species-notes": "", "ICCIF-species-checked": "notRecommended", "ICCIF-species-dilution-info": "", "ICCIF-species-notes": "", "FlowCytIntra-species-checked": "notRecommended", "FlowCytIntra-species-dilution-info": "", "FlowCytIntra-species-notes": "", "IHCP-species-checked": "notRecommended", "IHCP-species-dilution-info": "", "IHCP-species-notes": "" }, "Tag": { "IP-species-checked": "testedAndGuaranteed", "IP-species-dilution-info": "", "IP-species-notes": "<p></p>", "ChIP-species-checked": "notRecommended", "ChIP-species-dilution-info": "", "ChIP-species-notes": "", "WB-species-checked": "guaranteed", "WB-species-dilution-info": "", "WB-species-notes": "<p></p>", "ICCIF-species-checked": "testedAndGuaranteed", "ICCIF-species-dilution-info": "", "ICCIF-species-notes": "<p></p>", "FlowCytIntra-species-checked": "testedAndGuaranteed", "FlowCytIntra-species-dilution-info": "", "FlowCytIntra-species-notes": "<p></p>", "IHCP-species-checked": "testedAndGuaranteed", "IHCP-species-dilution-info": "", "IHCP-species-notes": "<p></p>" } } }

Product details

ab256483 is the carrier-free version of ab236632.

Patented technology
Our RabMAb® technology is a patented hybridoma-based technology for making rabbit monoclonal antibodies. For details on our patents, please refer to RabMAb® patents.

What are the advantages of a recombinant monoclonal antibody?
This product is a recombinant monoclonal antibody, which offers several advantages including:

  • - High batch-to-batch consistency and reproducibility
  • - Improved sensitivity and specificity
  • - Long-term security of supply
  • - Animal-free batch production

For more information, read more on recombinant antibodies.

Conjugation ready
Our carrier-free antibodies are typically supplied in a PBS-only formulation, purified and free of BSA, sodium azide and glycerol. This conjugation-ready format is designed for use with fluorochromes, metal isotopes, oligonucleotides, and enzymes, which makes them ideal for antibody labelling, functional and cell-based assays, flow-based assays (e.g. mass cytometry) and Multiplex Imaging applications.

Use our conjugation kits for antibody conjugates that are ready-to-use in as little as 20 minutes with 1 minute hands-on-time and 100% antibody recovery: available for fluorescent dyes, HRP, biotin and gold.

Compatibility
This product is compatible with the Maxpar® Antibody Labeling Kit from Fluidigm, without the need for antibody preparation. Maxpar® is a trademark of Fluidigm Canada Inc.

Properties and storage information

Form
Liquid
Purification technique
Affinity purification Protein A
Storage buffer
pH: 7.2 - 7.4 Constituents: PBS
Shipped at conditions
Blue Ice
Appropriate short-term storage conditions
+4°C
Appropriate long-term storage conditions
+4°C
Storage information
Do Not Freeze

Product protocols

For this product, it's our understanding that no specific protocols are required. You can visit:

Target data

Binds to sialic acid-containing receptors on the cell surface, bringing about the attachment of the virus particle to the cell. This attachment induces virion internalization of about two third of the virus particles through clathrin-dependent endocytosis and about one third through a clathrin- and caveolin-independent pathway. Plays a major role in the determination of host range restriction and virulence. Class I viral fusion protein. Responsible for penetration of the virus into the cell cytoplasm by mediating the fusion of the membrane of the endocytosed virus particle with the endosomal membrane. Low pH in endosomes induces an irreversible conformational change in HA2, releasing the fusion hydrophobic peptide. Several trimers are required to form a competent fusion pore.. Binds to sialic acid-containing receptors on the cell surface, bringing about the attachment of the virus particle to the cell. This attachment induces virion internalization either through clathrin-dependent endocytosis or through clathrin- and caveolin-independent pathway. Plays a major role in the determination of host range restriction and virulence. Class I viral fusion protein. Responsible for penetration of the virus into the cell cytoplasm by mediating the fusion of the membrane of the endocytosed virus particle with the endosomal membrane. Low pH in endosomes induces an irreversible conformational change in HA2, releasing the fusion hydrophobic peptide. Several trimers are required to form a competent fusion pore.
See full target information HA

Publications (1)

Recent publications for all applications. Explore the full list and refine your search

iScience 27:109471 PubMed38551005

2024

T cells with increased responsiveness cause obesity in mice without diet intervention.

Applications

Unspecified application

Species

Unspecified reactive species

Ida Gregersen,Xiang Y Kong,Sander Kooijman,Håvard Foyn,Helene Grannes,Maria B Olsen,Anna M Lone,Kuan Yang,Ana Quiles-Jiménez,Marianne Tran,Jonas Øgaard,Filip M Segers,Azita Rashidi,Ellen Lund Sagen,Knut H Lauritzen,Amanda C M Pronk,Jan Freark de Boer,Kirsten B Holven,Espen Melum,Pål Aukrust,Kjetil Taskén,Sverre Holm,Patrick C N Rensen,Tuva B Dahl,Bente Halvorsen
View all publications

Product promise

We are committed to supporting your work with high-quality reagents, and we're here for you every step of the way. In the unlikely event that one of our products does not perform as expected, you're protected by our Product Promise.
For full details, please see our Terms & Conditions

Please note: All products are 'FOR RESEARCH USE ONLY. NOT FOR USE IN DIAGNOSTIC OR THERAPEUTIC PROCEDURES'.

For licensing inquiries, please contact partnerships@abcam.com