JavaScript is disabled in your browser. Please enable JavaScript to view this website.
AB231169

Anti-HADHA antibody [EPR17940] - BSA and Azide free

Be the first to review this product! Submit a review

|

(0 Publication)

Rabbit Recombinant Monoclonal HADHA antibody. Carrier free. Suitable for IP, WB, ICC/IF, Flow Cyt (Intra), IHC-P and reacts with Human, Mouse, Rat samples.

View Alternative Names

HADH, HADHA, 78 kDa gastrin-binding protein, Monolysocardiolipin acyltransferase, TP-alpha

8 Images
Immunocytochemistry/ Immunofluorescence - Anti-HADHA antibody [EPR17940] - BSA and Azide free (AB231169)
  • ICC/IF

Supplier Data

Immunocytochemistry/ Immunofluorescence - Anti-HADHA antibody [EPR17940] - BSA and Azide free (AB231169)

Immunofluorescent analysis of 4% paraformaldehyde-fixed, 0.1% Triton X-100 permeabilized Jurkat (Human T cell leukemia cells from peripheral blood) cells labeling HADHA with ab203114 at 1/250 dilution, followed by Goat anti-rabbit IgG (Alexa Fluor® 488) (ab150077) secondary antibody at 1/1000 dilution (green). Confocal image showing cytoplasmic staining on Jurkat cell line.

The nuclear counter stain is DAPI (blue). COX IV is detected with ab33985 (anti-COX IV Mitochondrial Marker mouse mAb) at 1/1000 dilution and ab150120 (AlexaFluor®594 Goat anti-Mouse secondary) at 1/1000 dilution (red).

The negative controls are as follows :
-ve control 1 : ab203114 at 1/250 dilution followed by ab150120 (AlexaFluor®594 Goat anti-Mouse secondary) at 1/1000 dilution.
-ve control 2 : ab33985 (anti-COX IV Mitochondrial Marker mouse mAb) at 1/1000 dilution followed by ab150077 (Alexa Fluor®488 Goat Anti-Rabbit IgG H&L) at 1/1000 dilution.

This data was developed using the same antibody clone in a different buffer formulation containing PBS, BSA, glycerol, and sodium azide (ab203114).

Immunocytochemistry/ Immunofluorescence - Anti-HADHA antibody [EPR17940] - BSA and Azide free (AB231169)
  • ICC/IF

Supplier Data

Immunocytochemistry/ Immunofluorescence - Anti-HADHA antibody [EPR17940] - BSA and Azide free (AB231169)

Immunofluorescent analysis of 4% paraformaldehyde-fixed, 0.1% Triton X-100 permeabilized HeLa (Human epithelial cells from cervix adenocarcinoma) cells labeling HADHA with ab203114 at 1/250 dilution, followed by Goat anti-rabbit IgG (Alexa Fluor® 488) (ab150077) secondary antibody at 1/1000 dilution (green). Confocal image showing cytoplasmic staining on HeLa cell line.

The nuclear counter stain is DAPI (blue). COX IV is detected with ab33985 (anti-COX IV Mitochondrial Marker mouse mAb) at 1/1000 dilution and ab150120 (AlexaFluor®594 Goat anti-Mouse secondary) at 1/1000 dilution (red).

The negative controls are as follows :
-ve control 1 : ab203114 at 1/250 dilution followed by ab150120 (AlexaFluor®594 Goat anti-Mouse secondary) at 1/1000 dilution.
-ve control 2 : ab33985 (anti-COX IV Mitochondrial Marker mouse mAb) at 1/1000 dilution followed by ab150077 (Alexa Fluor®488 Goat Anti-Rabbit IgG H&L) at 1/1000 dilution.

This data was developed using the same antibody clone in a different buffer formulation containing PBS, BSA, glycerol, and sodium azide (ab203114).

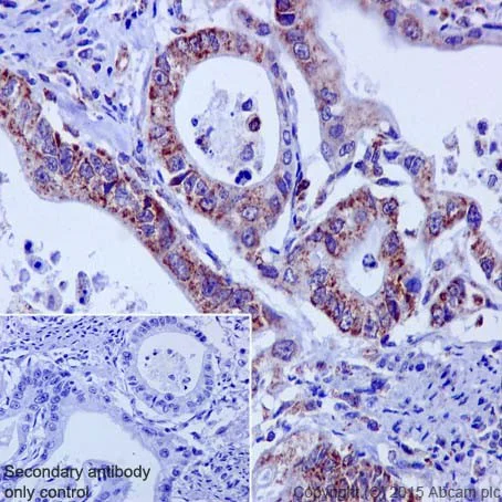
Immunohistochemistry (Formalin/PFA-fixed paraffin-embedded sections) - Anti-HADHA antibody [EPR17940] - BSA and Azide free (AB231169)
  • IHC-P

Supplier Data

Immunohistochemistry (Formalin/PFA-fixed paraffin-embedded sections) - Anti-HADHA antibody [EPR17940] - BSA and Azide free (AB231169)

This IHC data was generated using the same anti-HADHA antibody clone, EPR17940, in a different buffer formulation (cat# ab203114).

Immunohistochemical analysis of paraffin-embedded Human cervix carcinoma tissue labeling HADHA with ab203114 at 1/50 dilution, followed by Goat Anti-Rabbit IgG H&L (HRP) (ab97051) at 1/500 dilution. Cytoplasmic staining on Human cervix carcinoma tissue is observed. Counter stained with Hematoxylin.

Secondary antibody only control : Used PBS instead of primary antibody, secondary antibody is Goat Anti-Rabbit IgG H&L (HRP) (ab97051) at 1/500 dilution.

Heat mediated antigen retrieval was performed with Tris/EDTA buffer pH 9.0 before commencing with IHC staining protocol.

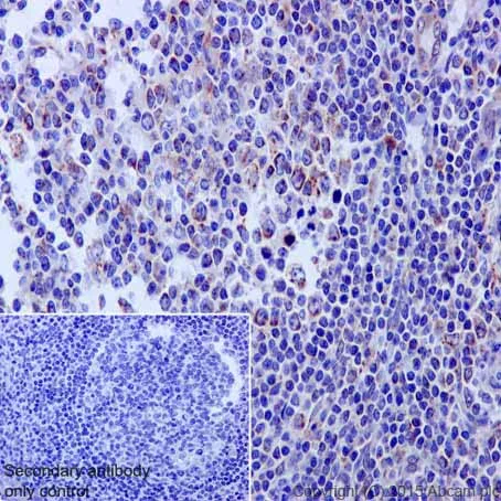
Immunohistochemistry (Formalin/PFA-fixed paraffin-embedded sections) - Anti-HADHA antibody [EPR17940] - BSA and Azide free (AB231169)
  • IHC-P

Supplier Data

Immunohistochemistry (Formalin/PFA-fixed paraffin-embedded sections) - Anti-HADHA antibody [EPR17940] - BSA and Azide free (AB231169)

Immunohistochemical analysis of paraffin-embedded Human tonsil tissue labeling HADHA with ab203114 at 1/50 dilution, followed by Goat Anti-Rabbit IgG H&L (HRP) (ab97051) at 1/500 dilution. Cytoplasmic staining on Human tonsil tissue is observed. Counter stained with Hematoxylin.

Secondary antibody only control : Used PBS instead of primary antibody, secondary antibody is Goat Anti-Rabbit IgG H&L (HRP) (ab97051) at 1/500 dilution.

This data was developed using the same antibody clone in a different buffer formulation containing PBS, BSA, glycerol, and sodium azide (ab203114).

Heat mediated antigen retrieval was performed with Tris/EDTA buffer pH 9.0 before commencing with IHC staining protocol.

Flow Cytometry (Intracellular) - Anti-HADHA antibody [EPR17940] - BSA and Azide free (AB231169)
  • Flow Cyt (Intra)

Supplier Data

Flow Cytometry (Intracellular) - Anti-HADHA antibody [EPR17940] - BSA and Azide free (AB231169)

Intracellular flow cytometric analysis of 4% paraformaldehyde-fixed HeLa (Human epithelial cells from cervix adenocarcinoma) cells labeling HADHA with ab203114 at 1/100 dilution (red) compared with a rabbit monoclonal IgG isotype control (ab172730; black) and an unlabelled control (cells without incubation with primary antibody and secondary antibody; blue). Goat anti rabbit IgG (FITC) at 1/500 dilution was used as the secondary antibody.

This data was developed using the same antibody clone in a different buffer formulation containing PBS, BSA, glycerol, and sodium azide (ab203114).

Immunoprecipitation - Anti-HADHA antibody [EPR17940] - BSA and Azide free (AB231169)
  • IP

Supplier Data

Immunoprecipitation - Anti-HADHA antibody [EPR17940] - BSA and Azide free (AB231169)

HADHA was immunoprecipitated from 1mg of HeLa (Human epithelial cells from cervix adenocarcinoma) whole cell lysate with ab203114 at 1/400 dilution. Western blot was performed from the immunoprecipitate using ab203114 at 1/1000 dilution. Anti-Rabbit IgG (HRP), specific to the non-reduced form of IgG, was used as secondary antibody at 1/1500 dilution.

Lane 1 : HeLa whole cell lysate 10ug (Input). Lane 2 : ab203114 IP in HeLa whole cell lysate. Lane 3 : Rabbit monoclonal IgG (ab172730) instead of ab203114 in HeLa whole cell lysate.

Blocking and dilution buffer and concentration : 5% NFDM/TBST.

Exposure time : 3 seconds.

This data was developed using the same antibody clone in a different buffer formulation containing PBS, BSA, glycerol, and sodium azide (ab203114).

All lanes:

Immunoprecipitation - Anti-HADHA antibody [EPR17940] (<a href='/en-us/products/primary-antibodies/hadha-antibody-epr17940-ab203114'>ab203114</a>)

Predicted band size: 83 kDa

false

Western blot - Anti-HADHA antibody [EPR17940] - BSA and Azide free (AB231169)
  • WB

Lab

Western blot - Anti-HADHA antibody [EPR17940] - BSA and Azide free (AB231169)

This data was developed using the same antibody clone in a different buffer formulation (ab203114).

Lanes 1-4 : Merged signal (red and green). Green - ab203114 observed at 82 kDa. Red - loading control ab8245 observed at 37 kDa.

ab203114 Anti-HADHA antibody [EPR17940] was shown to specifically react with HADHA in wild-type HEK-293T cells. Loss of signal was observed when knockout cell line ab266274 (knockout cell lysate ab257464) was used. Wild-type and HADHA knockout samples were subjected to SDS-PAGE. ab203114 and Anti-GAPDH antibody [6C5] - Loading Control (ab8245) were incubated overnight at 4°C at 1 in 1000 and 1 in 20000 dilution respectively. Blots were developed with Goat anti-Rabbit IgG H&L (IRDye® 800CW) preadsorbed (ab216773) and Goat anti-Mouse IgG H&L (IRDye® 680RD) preadsorbed (ab216776) secondary antibodies at 1 in 20000 dilution for 1 hour at room temperature before imaging.

All lanes:

Western blot - Anti-HADHA antibody [EPR17940] (<a href='/en-us/products/primary-antibodies/hadha-antibody-epr17940-ab203114'>ab203114</a>) at 1/1000 dilution

Lane 1:

Wild-type HEK-293T cell lysate at 20 µg

Lane 2:

HADHA knockout HEK-293T cell lysate at 20 µg

Lane 2:

Western blot - Human HADHA knockout HEK-293T cell line (<a href='/en-us/products/cell-lines/human-hadha-knockout-hek-293t-cell-line-ab266274'>ab266274</a>)

Lane 3:

HepG2 cell lysate at 20 µg

Lane 4:

SH-SY5Y cell lysate at 20 µg

Predicted band size: 83 kDa

Observed band size: 82 kDa

false

Western blot - Anti-HADHA antibody [EPR17940] - BSA and Azide free (AB231169)
  • WB

Lab

Western blot - Anti-HADHA antibody [EPR17940] - BSA and Azide free (AB231169)

This WB data was generated using the same anti-HADHA antibody clone, EPR17940, in a different buffer formulation (cat# ab203114).

Lanes 1 - 4 : Merged signal (red and green). Green - ab203114 observed at 82 kDa. Red - loading control, ab8245, observed at 37 kDa.

ab203114 was shown to specifically react with HADHA when HADHA knockout samples were used. Wild-type and HADHA knockout samples were subjected to SDS-PAGE. ab203114 and ab8245 (loading control to GAPDH) were diluted at 1/1000 and 1/10 000 respectively and incubated overnight at 4°C. Blots were developed with Goat anti-Rabbit IgG H&L (IRDye® 800CW) preadsorbed (ab216773) and Goat anti-Mouse IgG H&L (IRDye® 680RD) preadsorbed (ab216776) secondary antibodies at 1/10000 dilution for 1 h at room temperature before imaging.

All lanes:

Western blot - Anti-HADHA antibody [EPR17940] (<a href='/en-us/products/primary-antibodies/hadha-antibody-epr17940-ab203114'>ab203114</a>) at 1/1000 dilution

Lane 1:

Wild-type HAP1 cell lysate at 20 µg

Lane 2:

HADHA knockout HAP1 cell lysate at 20 µg

Lane 3:

HEK293 cell lysate at 20 µg

Lane 4:

HepG2 cell lysate at 20 µg

Predicted band size: 83 kDa

false

Key facts

Host species

Rabbit

Clonality

Monoclonal

Clone number

EPR17940

Isotype

IgG

Carrier free

Yes

Reacts with

Mouse, Rat, Human

Applications

ICC/IF, IP, Flow Cyt (Intra), IHC-P, WB

applications

Immunogen

The exact immunogen used to generate this antibody is proprietary information.

Reactivity data

{ "title": "Reactivity Data", "filters": { "stats": ["", "Species", "Dilution Info", "Notes"], "tabs": { "all-applications": {"fullname" : "All Applications", "shortname": "All Applications"}, "IP" : {"fullname" : "Immunoprecipitation", "shortname":"IP"}, "WB" : {"fullname" : "Western blot", "shortname":"WB"}, "ICCIF" : {"fullname" : "Immunocytochemistry/ Immunofluorescence", "shortname":"ICC/IF"}, "FlowCytIntra" : {"fullname" : "Flow Cytometry (Intracellular)", "shortname":"Flow Cyt (Intra)"}, "IHCP" : {"fullname" : "Immunohistochemistry (Formalin/PFA-fixed paraffin-embedded sections)", "shortname":"IHC-P"} }, "product-promise": { "all": "all", "testedAndGuaranteed": "tested", "guaranteed": "expected", "predicted": "predicted", "notRecommended": "not-recommended" } }, "values": { "Human": { "IP-species-checked": "testedAndGuaranteed", "IP-species-dilution-info": "", "IP-species-notes": "<p></p>", "WB-species-checked": "testedAndGuaranteed", "WB-species-dilution-info": "", "WB-species-notes": "<p></p>", "ICCIF-species-checked": "testedAndGuaranteed", "ICCIF-species-dilution-info": "", "ICCIF-species-notes": "<p></p>", "FlowCytIntra-species-checked": "testedAndGuaranteed", "FlowCytIntra-species-dilution-info": "", "FlowCytIntra-species-notes": "<p><a href='/en-us/products/primary-antibodies/rabbit-igg-monoclonal-epr25a-isotype-control-low-endotoxin-azide-free-ab199376'>ab199376</a> - Rabbit monoclonal IgG (Low endotoxin, Azide free), is suitable for use as an isotype control with this antibody.</p>", "IHCP-species-checked": "testedAndGuaranteed", "IHCP-species-dilution-info": "", "IHCP-species-notes": "<p></p>" }, "Mouse": { "IP-species-checked": "guaranteed", "IP-species-dilution-info": "", "IP-species-notes": "", "WB-species-checked": "testedAndGuaranteed", "WB-species-dilution-info": "", "WB-species-notes": "<p></p>", "ICCIF-species-checked": "guaranteed", "ICCIF-species-dilution-info": "", "ICCIF-species-notes": "", "FlowCytIntra-species-checked": "guaranteed", "FlowCytIntra-species-dilution-info": "", "FlowCytIntra-species-notes": "", "IHCP-species-checked": "guaranteed", "IHCP-species-dilution-info": "", "IHCP-species-notes": "" }, "Rat": { "IP-species-checked": "guaranteed", "IP-species-dilution-info": "", "IP-species-notes": "", "WB-species-checked": "testedAndGuaranteed", "WB-species-dilution-info": "", "WB-species-notes": "<p></p>", "ICCIF-species-checked": "guaranteed", "ICCIF-species-dilution-info": "", "ICCIF-species-notes": "", "FlowCytIntra-species-checked": "guaranteed", "FlowCytIntra-species-dilution-info": "", "FlowCytIntra-species-notes": "", "IHCP-species-checked": "guaranteed", "IHCP-species-dilution-info": "", "IHCP-species-notes": "" } } }

Product details

ab231169 is the carrier-free version of ab203114.

Conjugation ready
Our carrier-free antibodies are typically supplied in a PBS-only formulation, purified and free of BSA, sodium azide and glycerol. This conjugation-ready format is designed for use with fluorochromes, metal isotopes, oligonucleotides, and enzymes, which makes them ideal for antibody labelling, functional and cell-based assays, flow-based assays (e.g. mass cytometry) and Multiplex Imaging applications.

Use our conjugation kits for antibody conjugates that are ready-to-use in as little as 20 minutes with 1 minute hands-on-time and 100% antibody recovery: available for fluorescent dyes, HRP, biotin and gold.

Compatibility
This product is compatible with the Maxpar® Antibody Labeling Kit from Fluidigm, without the need for antibody preparation. Maxpar® is a trademark of Fluidigm Canada Inc.

Properties and storage information

Form
Liquid
Purification technique
Affinity purification Protein A
Storage buffer
pH: 7.2 - 7.4 Constituents: PBS
Shipped at conditions
Blue Ice
Appropriate short-term storage conditions
+4°C
Appropriate long-term storage conditions
+4°C
Storage information
Do Not Freeze

Supplementary information

This supplementary information is collated from multiple sources and compiled automatically.

The HADHA protein also called hydroxyacyl-CoA dehydrogenase trifunctional multienzyme complex subunit alpha is an essential component of the mitochondrial trifunctional protein complex. This protein has a molecular mass of about 79 kDa and is expressed mainly in tissues with high fatty acid oxidation rates like liver heart and muscle. HADHA plays a significant role in the beta-oxidation of long-chain fatty acids acting on hydroxyacyl-CoA substrates during this critical metabolic process.
Biological function summary

HADHA is a part of the mitochondrial trifunctional protein complex which consists of four alpha and four beta subunits. It facilitates the hydration of enoyl-CoA to 3-hydroxyacyl-CoA and the subsequent dehydrogenation to 3-ketoacyl-CoA. This enzyme works closely with its partner the HADHB protein to carry out these reactions efficiently. These functions are important for energy production as they are steps in the breakdown of fatty acids necessary for ATP generation.

Pathways

HADHA participates in the mitochondrial beta-oxidation pathway an essential pathway for energy production from fats. Alongside HADHB it catalyzes key reactions that allow the progressive shortening of fatty acid chains which further feeds into the citric acid cycle. This pathway links HADHA not only to HADHB but also to other enzymes involved in lipid metabolism and energy homeostasis including medium-chain specific acyl-CoA dehydrogenase (MCAD) reflecting its role in comprehensive metabolic networks.

Defects in HADHA are associated with mitochondrial trifunctional protein deficiency and long-chain 3-hydroxyacyl-CoA dehydrogenase deficiency. Both disorders disrupt normal fatty acid oxidation leading to a spectrum of symptoms including hypoketotic hypoglycemia and cardiomyopathy. These conditions highlight the relationship between HADHA and other proteins involved in fatty acid metabolism such as HADHB further highlighting their collective role in maintaining cellular energy balance.

Product protocols

For this product, it's our understanding that no specific protocols are required. You can visit:

Target data

Mitochondrial trifunctional enzyme catalyzes the last three of the four reactions of the mitochondrial beta-oxidation pathway (PubMed : 1550553, PubMed : 29915090, PubMed : 30850536, PubMed : 8135828). The mitochondrial beta-oxidation pathway is the major energy-producing process in tissues and is performed through four consecutive reactions breaking down fatty acids into acetyl-CoA (PubMed : 29915090). Among the enzymes involved in this pathway, the trifunctional enzyme exhibits specificity for long-chain fatty acids (PubMed : 30850536). Mitochondrial trifunctional enzyme is a heterotetrameric complex composed of two proteins, the trifunctional enzyme subunit alpha/HADHA described here carries the 2,3-enoyl-CoA hydratase and the 3-hydroxyacyl-CoA dehydrogenase activities while the trifunctional enzyme subunit beta/HADHB bears the 3-ketoacyl-CoA thiolase activity (PubMed : 29915090, PubMed : 30850536, PubMed : 8135828). Independently of the subunit beta, the trifunctional enzyme subunit alpha/HADHA also has a monolysocardiolipin acyltransferase activity (PubMed : 23152787). It acylates monolysocardiolipin into cardiolipin, a major mitochondrial membrane phospholipid which plays a key role in apoptosis and supports mitochondrial respiratory chain complexes in the generation of ATP (PubMed : 23152787). Allows the acylation of monolysocardiolipin with different acyl-CoA substrates including oleoyl-CoA for which it displays the highest activity (PubMed : 23152787).
See full target information HADHA

Product promise

We are committed to supporting your work with high-quality reagents, and we're here for you every step of the way. In the unlikely event that one of our products does not perform as expected, you're protected by our Product Promise.
For full details, please see our Terms & Conditions

Please note: All products are 'FOR RESEARCH USE ONLY. NOT FOR USE IN DIAGNOSTIC OR THERAPEUTIC PROCEDURES'.

For licensing inquiries, please contact partnerships@abcam.com