JavaScript is disabled in your browser. Please enable JavaScript to view this website.
AB272721

Anti-HAI-1 antibody [EPR23294-49]

Be the first to review this product! Submit a review

|

(0 Publication)

Rabbit Recombinant Monoclonal HAI-1 antibody. Suitable for IP, WB, ICC/IF, Flow Cyt (Intra), IHC-P and reacts with Mouse, Rat, Human samples.

View Alternative Names

HAI1, UNQ223/PRO256, SPINT1, Kunitz-type protease inhibitor 1, Hepatocyte growth factor activator inhibitor type 1, HAI-1

8 Images
Immunocytochemistry/ Immunofluorescence - Anti-HAI-1 antibody [EPR23294-49] (AB272721)
  • ICC/IF

Unknown

Immunocytochemistry/ Immunofluorescence - Anti-HAI-1 antibody [EPR23294-49] (AB272721)

Immunofluorescent analysis of 4% Paraformaldehyde-fixed, 0.1% Triton X-100 permeabilized T-47D cells labelling HAI-1 with ab272721 at 1/50 dilution, followed by ab150077 Goat Anti-Rabbit IgG H&L (Alexa Fluor® 488) antibody at 1/1000 (2μg/ml) dilution (Green). Confocal image showing membranous staining in T-47D cell line.

Negative control : Daudi (PMID : 24070417).

ab195889 anti-alpha Tubulin mouse monoclonal antibody - Microtubule Marker (Alexa Fluor® 594) was used to counterstain tubulin at 1/200 (2.5μg/ml) dilution (Red). The nuclear counterstain was DAPI (Blue).

Secondary antibody only control : Secondary antibody is ab150077 Goat Anti-Rabbit IgG H&L (Alexa Fluor® 488) at 1/1000 (2μg/ml) dilution.

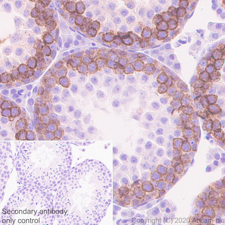
Immunohistochemistry (Formalin/PFA-fixed paraffin-embedded sections) - Anti-HAI-1 antibody [EPR23294-49] (AB272721)
  • IHC-P

Unknown

Immunohistochemistry (Formalin/PFA-fixed paraffin-embedded sections) - Anti-HAI-1 antibody [EPR23294-49] (AB272721)

Immunohistochemical analysis of paraffin-embedded mouse testis tissue labeling HAI-1 with ab272721 at 1/2000 followed by ready to use Rabbit specific IHC polymer detection kit HRP/DAB (ab209101). Positive staining on germ cells of mouse testis (PMID : 16740973). The section was incubated with ab272721 for 30 mins at room temperature. The immunostaining was performed on a Leica Biosystems BOND® RX instrument. Counterstained with Hematoxylin.

Secondary antibody only control : Secondary antibody is ready to use Rabbit specific IHC polymer detection kit HRP/DAB (ab209101).

Heat mediated antigen retrieval with Tris-EDTA buffer (pH 9.0, epitope retrieval solution2) for 20 mins.

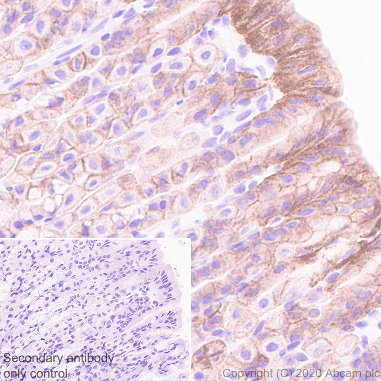
Immunohistochemistry (Formalin/PFA-fixed paraffin-embedded sections) - Anti-HAI-1 antibody [EPR23294-49] (AB272721)
  • IHC-P

Unknown

Immunohistochemistry (Formalin/PFA-fixed paraffin-embedded sections) - Anti-HAI-1 antibody [EPR23294-49] (AB272721)

Immunohistochemical analysis of paraffin-embedded mouse stomach tissue labeling HAI-1 with ab272721 at 1/2000 followed by ready to use Rabbit specific IHC polymer detection kit HRP/DAB (ab209101). Positive staining on mouse stomach. The section was incubated with ab272721 for 30 mins at room temperature. The immunostaining was performed on a Leica Biosystems BOND® RX instrument. Counterstained with Hematoxylin.

Secondary antibody only control : Secondary antibody is ready to use Rabbit specific IHC polymer detection kit HRP/DAB (ab209101).

Heat mediated antigen retrieval with Tris-EDTA buffer (pH 9.0, epitope retrieval solution2) for 20 mins.

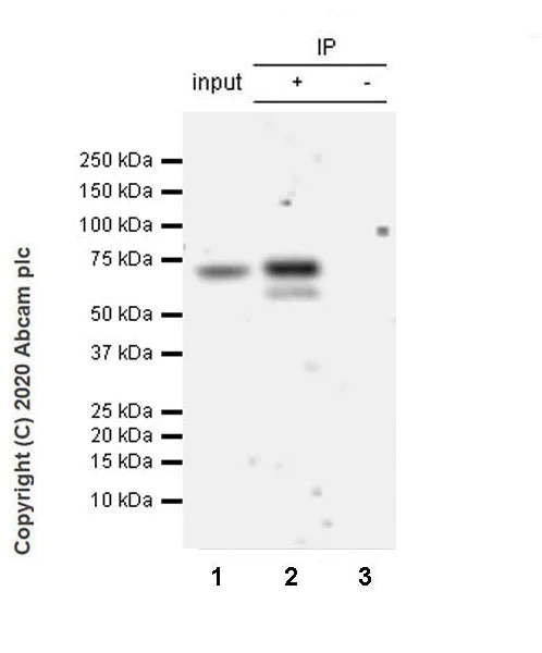
Immunoprecipitation - Anti-HAI-1 antibody [EPR23294-49] (AB272721)
  • IP

Unknown

Immunoprecipitation - Anti-HAI-1 antibody [EPR23294-49] (AB272721)

HAI-1 was immunoprecipitated from mouse placenta tissue lysate with ab272721 at 1/30 dilution (2μg in 0.35mg lysates). Western blot was performed on the immunoprecipitate using ab272721 at 1/1000 dilution. VeriBlot for IP Detection Reagent (HRP)(ab131366) was used at 1/5000 dilution.

Lane 1 : Mouse placenta tissue lysate 10μg.

Lane 2 : ab272721 IP in mouse placenta tissue lysate.

Lane 3 : Rabbit monoclonal IgG (ab172730) instead of ab272721 in mouse placenta tissue lysate.

Blocking and dilution buffer and concentration : 5% NFDM/TBST.

Exposure time : 3 minutes.

This blot was developed using a higher sensitivity ECL substrate.

All lanes:

Immunoprecipitation - Anti-HAI-1 antibody [EPR23294-49] (ab272721)

Predicted band size: 58 kDa

Observed band size: 56 kDa,66 kDa

false

Western blot - Anti-HAI-1 antibody [EPR23294-49] (AB272721)
  • WB

Lab

Western blot - Anti-HAI-1 antibody [EPR23294-49] (AB272721)

Blocking and diluting buffer and concentration : 5% NFDM/TBST.

This blot was developed using a higher sensitivity ECL substrate.

Low expression cell line : Daudi (PMID : 24070417).

The molecular weight observed is consistent with what has been described in the literature (PMID : 11013244 ).

Exposure time : 3 minutes.

All lanes:

Western blot - Anti-HAI-1 antibody [EPR23294-49] (ab272721) at 1/1000 dilution

Lane 1:

Human placenta tissue lysate at 20 µg

Lane 2:

T47D (human ductal breast epithelial tumor epithelial cell), whole cell lysate at 20 µg

Lane 3:

Daudi (human Burkitts lymphoma lymphoblast), whole cell lysate at 20 µg

Secondary

All lanes:

Goat Anti-Rabbit IgG, (H+L), Peroxidase conjugated (<a href='/en-us/products/secondary-antibodies/goat-rabbit-igg-h-l-hrp-ab97051'>ab97051</a>) at 1/100000 dilution

Predicted band size: 58 kDa

Observed band size: 56 kDa,66 kDa

false

Western blot - Anti-HAI-1 antibody [EPR23294-49] (AB272721)
  • WB

Lab

Western blot - Anti-HAI-1 antibody [EPR23294-49] (AB272721)

Blocking and diluting buffer and concentration : 5% NFDM/TBST.

Low expression tissue : liver (PMID : 21840293).

The molecular weight observed is consistent with what has been described in the literature (PMID : 11013244).

Exposure time : 3 minutes.

All lanes:

Western blot - Anti-HAI-1 antibody [EPR23294-49] (ab272721) at 1/1000 dilution

Lane 1:

Mouse large intestine tissue lysate at 20 µg

Lane 2:

Mouse small intestine tissue lysate at 20 µg

Lane 3:

Mouse placenta tissue lysate at 20 µg

Lane 4:

Mouse stomach tissue lysate at 20 µg

Lane 5:

Mouse liver tissue lysate at 20 µg

Secondary

All lanes:

Goat Anti-Rabbit IgG, (H+L), Peroxidase conjugated (<a href='/en-us/products/secondary-antibodies/goat-rabbit-igg-h-l-hrp-ab97051'>ab97051</a>) at 1/100000 dilution

Predicted band size: 58 kDa

Observed band size: 56 kDa,66 kDa

false

Western blot - Anti-HAI-1 antibody [EPR23294-49] (AB272721)
  • WB

Lab

Western blot - Anti-HAI-1 antibody [EPR23294-49] (AB272721)

Blocking and diluting buffer and concentration : 5% NFDM/TBST.

Low expression tissue : liver (PMID : 21840293).

Exposure time : 3 minutes.

All lanes:

Western blot - Anti-HAI-1 antibody [EPR23294-49] (ab272721) at 1/1000 dilution

Lane 1:

Rat placenta tissue lysate at 20 µg

Lane 2:

Rat liver tissue lysate at 20 µg

Secondary

All lanes:

Goat Anti-Rabbit IgG, (H+L), Peroxidase conjugated (<a href='/en-us/products/secondary-antibodies/goat-rabbit-igg-h-l-hrp-ab97051'>ab97051</a>) at 1/100000 dilution

Predicted band size: 58 kDa

Observed band size: 66 kDa

false

Flow Cytometry (Intracellular) - Anti-HAI-1 antibody [EPR23294-49] (AB272721)
  • Flow Cyt (Intra)

Unknown

Flow Cytometry (Intracellular) - Anti-HAI-1 antibody [EPR23294-49] (AB272721)

Intracellular flow cytometric analysis of 4% paraformaldehyde fixed 90% methanol permeabilized Daudi (Human Burkitt's lymphoma lymphoblast) (Left panel) / T-47D (Human ductal breast epithelial tumor epithelial cell) (Right panel) cells labelling HAI-1 with ab272721 at 1/600 dilution (0.1μg) (Red) compared with a Rabbit monoclonal IgG (ab172730) (Black) isotype control and an unlabelled control (cells without incubation with primary antibody and secondary antibody) (Blue). A Goat anti rabbit IgG (Alexa Fluor® 488, ab150077) at 1/2000 dilution was used as the secondary antibody.

Negative control : Daudi (PMID : 24070417).

  • Carrier free

    Anti-HAI-1 antibody [EPR23294-49] - BSA and Azide free

Key facts

Host species

Rabbit

Clonality

Monoclonal

Clone number

EPR23294-49

Isotype

IgG

Carrier free

No

Reacts with

Human, Mouse, Rat

Applications

IP, IHC-P, Flow Cyt (Intra), ICC/IF, WB

applications

Immunogen

The exact immunogen used to generate this antibody is proprietary information.

Specificity

Unsuitable for human and rat IHC-P.

Reactivity data

{ "title": "Reactivity Data", "filters": { "stats": ["", "Species", "Dilution Info", "Notes"], "tabs": { "all-applications": {"fullname" : "All Applications", "shortname": "All Applications"}, "IP" : {"fullname" : "Immunoprecipitation", "shortname":"IP"}, "WB" : {"fullname" : "Western blot", "shortname":"WB"}, "ICCIF" : {"fullname" : "Immunocytochemistry/ Immunofluorescence", "shortname":"ICC/IF"}, "IHCFr" : {"fullname" : "Immunohistochemistry (Frozen sections)", "shortname":"IHC-Fr"}, "FlowCytIntra" : {"fullname" : "Flow Cytometry (Intracellular)", "shortname":"Flow Cyt (Intra)"}, "IHCP" : {"fullname" : "Immunohistochemistry (Formalin/PFA-fixed paraffin-embedded sections)", "shortname":"IHC-P"} }, "product-promise": { "all": "all", "testedAndGuaranteed": "tested", "guaranteed": "expected", "predicted": "predicted", "notRecommended": "not-recommended" } }, "values": { "Human": { "IP-species-checked": "notRecommended", "IP-species-dilution-info": "1/30", "IP-species-notes": "<p>(2μg in 0.35mg lysates)</p>", "WB-species-checked": "testedAndGuaranteed", "WB-species-dilution-info": "1/1000", "WB-species-notes": "<p>(0.616 μg/ml).</p>", "ICCIF-species-checked": "testedAndGuaranteed", "ICCIF-species-dilution-info": "1/50", "ICCIF-species-notes": "<p></p>", "IHCFr-species-checked": "notRecommended", "IHCFr-species-dilution-info": "", "IHCFr-species-notes": "", "FlowCytIntra-species-checked": "testedAndGuaranteed", "FlowCytIntra-species-dilution-info": "1/600", "FlowCytIntra-species-notes": "<p>(0.1ug)</p>", "IHCP-species-checked": "notRecommended", "IHCP-species-dilution-info": "1/2000", "IHCP-species-notes": "<p>This antibody is not suitable for human and rat species in IHC-P application.</p>" }, "Mouse": { "IP-species-checked": "testedAndGuaranteed", "IP-species-dilution-info": "1/30", "IP-species-notes": "<p>(2μg in 0.35mg lysates)</p>", "WB-species-checked": "testedAndGuaranteed", "WB-species-dilution-info": "1/1000", "WB-species-notes": "<p>(0.616 μg/ml).</p>", "ICCIF-species-checked": "guaranteed", "ICCIF-species-dilution-info": "", "ICCIF-species-notes": "", "IHCFr-species-checked": "notRecommended", "IHCFr-species-dilution-info": "", "IHCFr-species-notes": "<p></p>", "FlowCytIntra-species-checked": "guaranteed", "FlowCytIntra-species-dilution-info": "", "FlowCytIntra-species-notes": "", "IHCP-species-checked": "testedAndGuaranteed", "IHCP-species-dilution-info": "1/2000", "IHCP-species-notes": "<p>This antibody is not suitable for human and rat species in IHC-P application.</p>" }, "Rat": { "IP-species-checked": "notRecommended", "IP-species-dilution-info": "1/30", "IP-species-notes": "<p>(2μg in 0.35mg lysates)</p>", "WB-species-checked": "testedAndGuaranteed", "WB-species-dilution-info": "1/1000", "WB-species-notes": "<p>(0.616 μg/ml).</p>", "ICCIF-species-checked": "guaranteed", "ICCIF-species-dilution-info": "", "ICCIF-species-notes": "", "IHCFr-species-checked": "notRecommended", "IHCFr-species-dilution-info": "", "IHCFr-species-notes": "", "FlowCytIntra-species-checked": "guaranteed", "FlowCytIntra-species-dilution-info": "", "FlowCytIntra-species-notes": "", "IHCP-species-checked": "notRecommended", "IHCP-species-dilution-info": "1/2000", "IHCP-species-notes": "<p>This antibody is not suitable for human and rat species in IHC-P application.</p>" } } }

Product details

Patented technology
Our RabMAb® technology is a patented hybridoma-based technology for making rabbit monoclonal antibodies. For details on our patents, please refer to RabMAb® patents.

What are the advantages of a recombinant monoclonal antibody?
This product is a recombinant monoclonal antibody, which offers several advantages including:

  • - High batch-to-batch consistency and reproducibility
  • - Improved sensitivity and specificity
  • - Long-term security of supply
  • - Animal-free batch production

For more information, read more on recombinant antibodies.

Properties and storage information

Form
Liquid
Purification technique
Affinity purification Protein A
Storage buffer
pH: 7.2 - 7.4 Preservative: 0.01% Sodium azide Constituents: PBS, 40% Glycerol (glycerin, glycerine), 0.05% BSA
Shipped at conditions
Blue Ice
Appropriate short-term storage duration
1-2 weeks
Appropriate short-term storage conditions
+4°C
Appropriate long-term storage conditions
-20°C
Aliquoting information
Upon delivery aliquot
Storage information
Avoid freeze / thaw cycle

Supplementary information

This supplementary information is collated from multiple sources and compiled automatically.

HAI-1 known also as Hepatocyte Growth Factor Activator Inhibitor 1 or SPINT1 is a type 1 transmembrane protein with a molecular mass of around 55 kDa. This protein commonly expresses in epithelial cells particularly in tissues like the stomach and liver. It serves as a serine protease inhibitor playing a role in regulating the activity of certain proteases. Mouse HAI protein comparable in function and structure is often used in research as a model for understanding HAI-1 in humans. Researchers frequently use HAI detectors and HAI-1 ELISA methods for precise quantification and analysis.
Biological function summary

HAI-1 performs a regulatory role by inhibiting proteases such as matriptase and hepsin which are critical for many cellular functions. As part of a complex HAI-1 binds to these proteases controlling their activity to prevent excessive proteolysis which can damage tissues. This regulatory function is key in maintaining epithelial integrity and homeostasis impacting processes like cell growth and migration. Anti-HAI studies show that disrupting this balance can lead to a cascade of biological alterations.

Pathways

Several cellular processes heavily depend on the balance maintained by HAI-1 in protease activity. One significant pathway involves the HGF/c-Met signaling cascade which impacts cell motility and proliferation. By inhibiting matriptase HAI-1 indirectly affects this pathway regulating cellular responses. Additionally HAI-1 also relates to epithelial-mesenchymal transition (EMT) through controlling proteolytic activity which can influence how cells migrate and differentiate in development or healing.

Deregulation of HAI-1 often links to cancer progression specifically in cases like breast or prostate cancer. In these contexts improper regulation of proteases can lead to enhanced tumor invasiveness and metastasis. HAI-1's interaction with the c-Met receptor pathway facilitated by HGFA illustrates its significant role in cancer biology. Disorders of the liver such as fibrosis also reveal connections where HAI-1 modulation of protease activity affects extracellular matrix turnover implicating HAI-1 in the fibrogenic response alongside proteins like matriptase.

Product protocols

For this product, it's our understanding that no specific protocols are required. You can visit:

Target data

Inhibitor of HGFAC (PubMed : 9045658). Inhibits serine protease activity of ST14/matriptase in vitro (PubMed : 28710277). Inhibits serine protease activity of TMPRSS13, via the BPTI/Kunitz inhibitor 1 domain (PubMed : 20977675).
See full target information SPINT1

Product promise

We are committed to supporting your work with high-quality reagents, and we're here for you every step of the way. In the unlikely event that one of our products does not perform as expected, you're protected by our Product Promise.
For full details, please see our Terms & Conditions

Please note: All products are 'FOR RESEARCH USE ONLY. NOT FOR USE IN DIAGNOSTIC OR THERAPEUTIC PROCEDURES'.

For licensing inquiries, please contact partnerships@abcam.com