JavaScript is disabled in your browser. Please enable JavaScript to view this website.
AB273506

Anti-HAI-1 antibody [EPR23294-49] - BSA and Azide free

Be the first to review this product! Submit a review

|

(0 Publication)

Rabbit Recombinant Monoclonal HAI-1 antibody. Carrier free. Suitable for IP, WB, ICC/IF, Flow Cyt (Intra), IHC-P and reacts with Mouse, Rat, Human samples.

View Alternative Names

HAI1, UNQ223/PRO256, SPINT1, Kunitz-type protease inhibitor 1, Hepatocyte growth factor activator inhibitor type 1, HAI-1

5 Images
Immunocytochemistry/ Immunofluorescence - Anti-HAI-1 antibody [EPR23294-49] - BSA and Azide free (AB273506)
  • ICC/IF

Unknown

Immunocytochemistry/ Immunofluorescence - Anti-HAI-1 antibody [EPR23294-49] - BSA and Azide free (AB273506)

Immunofluorescent analysis of 4% Paraformaldehyde-fixed, 0.1% Triton X-100 permeabilized T-47D cells labelling HAI-1 with ab272721 at 1/50 dilution, followed by ab150077 Goat Anti-Rabbit IgG H&L (Alexa Fluor® 488) antibody at 1/1000 (2μg/ml) dilution (Green). Confocal image showing membranous staining in T-47D cell line.

Negative control : Daudi (PMID : 24070417).

ab195889 anti-alpha Tubulin mouse monoclonal antibody - Microtubule Marker (Alexa Fluor® 594) was used to counterstain tubulin at 1/200 (2.5μg/ml) dilution (Red). The nuclear counterstain was DAPI (Blue).

Secondary antibody only control : Secondary antibody is ab150077 Goat Anti-Rabbit IgG H&L (Alexa Fluor® 488) at 1/1000 (2μg/ml) dilution.

This data was developed using the same antibody clone in a different buffer formulation containing PBS, BSA, glycerol, and sodium azide (ab272721).

Immunoprecipitation - Anti-HAI-1 antibody [EPR23294-49] - BSA and Azide free (AB273506)
  • IP

Unknown

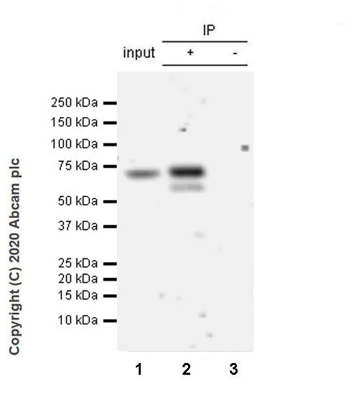
Immunoprecipitation - Anti-HAI-1 antibody [EPR23294-49] - BSA and Azide free (AB273506)

HAI-1 was immunoprecipitated from mouse placenta tissue lysate with ab272721 at 1/30 dilution (2μg in 0.35mg lysates). Western blot was performed on the immunoprecipitate using ab272721 at 1/1000 dilution. VeriBlot for IP Detection Reagent (HRP)(ab131366) was used at 1/5000 dilution.

Lane 1 : Mouse placenta tissue lysate 10μg.

Lane 2 : ab272721 IP in mouse placenta tissue lysate.

Lane 3 : Rabbit monoclonal IgG (ab172730) instead of ab272721 in mouse placenta tissue lysate.

Blocking and dilution buffer and concentration : 5% NFDM/TBST.

Exposure time : 3 minutes.

This blot was developed using a higher sensitivity ECL substrate.

This data was developed using the same antibody clone in a different buffer formulation containing PBS, BSA, glycerol, and sodium azide (ab272721).

All lanes:

Immunoprecipitation - Anti-HAI-1 antibody [EPR23294-49] (<a href='/en-us/products/primary-antibodies/hai-1-antibody-epr23294-49-ab272721'>ab272721</a>)

Predicted band size: 58 kDa

Observed band size: 56 kDa,66 kDa

false

Immunohistochemistry (Formalin/PFA-fixed paraffin-embedded sections) - Anti-HAI-1 antibody [EPR23294-49] - BSA and Azide free (AB273506)
  • IHC-P

Unknown

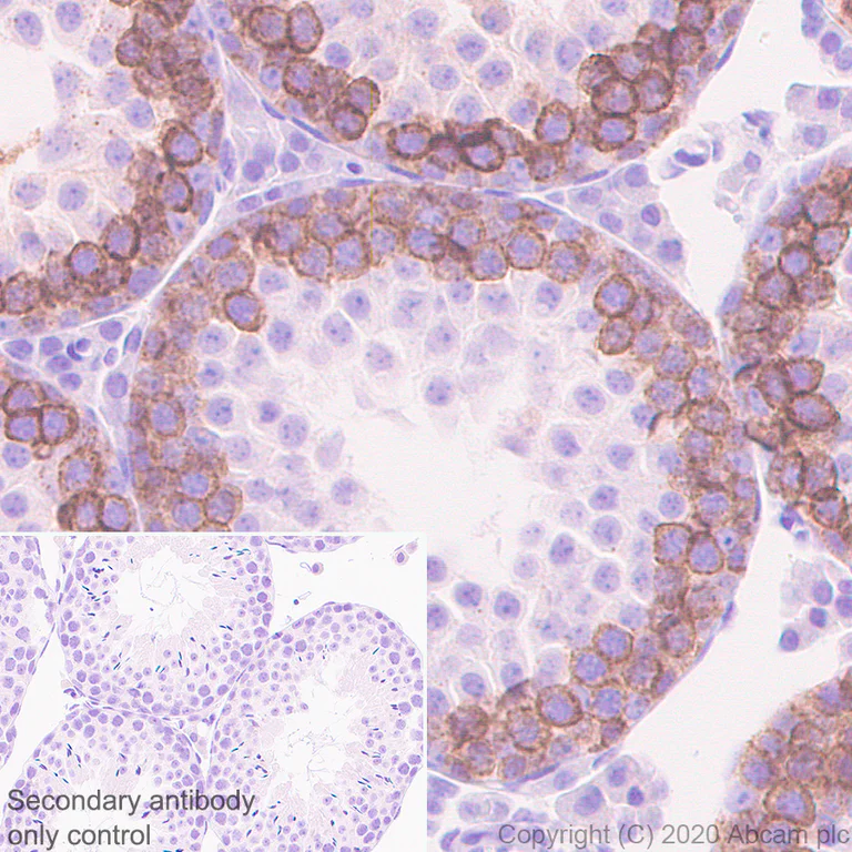
Immunohistochemistry (Formalin/PFA-fixed paraffin-embedded sections) - Anti-HAI-1 antibody [EPR23294-49] - BSA and Azide free (AB273506)

Immunohistochemical analysis of paraffin-embedded mouse testis tissue labeling HAI-1 with ab272721 at 1/2000 followed by ready to use Rabbit specific IHC polymer detection kit HRP/DAB (ab209101). Positive staining on germ cells of mouse testis (PMID : 16740973). The section was incubated with ab272721 for 30 mins at room temperature. The immunostaining was performed on a Leica Biosystems BOND® RX instrument. Counterstained with Hematoxylin.

Secondary antibody only control : Secondary antibody is ready to use Rabbit specific IHC polymer detection kit HRP/DAB (ab209101).

Heat mediated antigen retrieval with Tris-EDTA buffer (pH 9.0, epitope retrieval solution2) for 20 mins.

This data was developed using the same antibody clone in a different buffer formulation containing PBS, BSA, glycerol, and sodium azide (ab272721).

Immunohistochemistry (Formalin/PFA-fixed paraffin-embedded sections) - Anti-HAI-1 antibody [EPR23294-49] - BSA and Azide free (AB273506)
  • IHC-P

Unknown

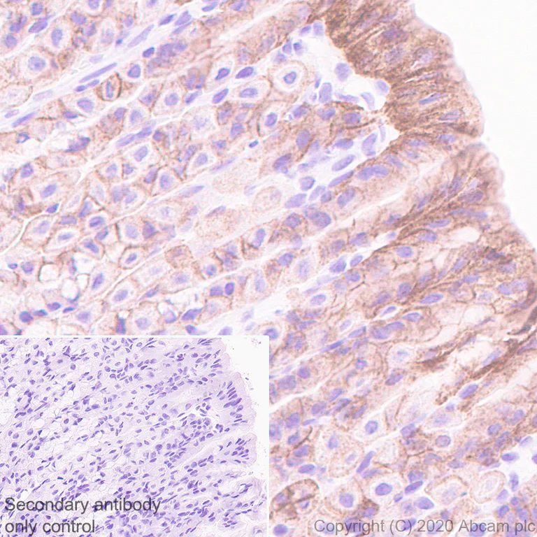
Immunohistochemistry (Formalin/PFA-fixed paraffin-embedded sections) - Anti-HAI-1 antibody [EPR23294-49] - BSA and Azide free (AB273506)

Immunohistochemical analysis of paraffin-embedded mouse stomach tissue labeling HAI-1 with ab272721 at 1/2000 followed by ready to use Rabbit specific IHC polymer detection kit HRP/DAB (ab209101). Positive staining on mouse stomach. The section was incubated with ab272721 for 30 mins at room temperature. The immunostaining was performed on a Leica Biosystems BOND® RX instrument. Counterstained with Hematoxylin.

Secondary antibody only control : Secondary antibody is ready to use Rabbit specific IHC polymer detection kit HRP/DAB (ab209101).

Heat mediated antigen retrieval with Tris-EDTA buffer (pH 9.0, epitope retrieval solution2) for 20 mins.

This data was developed using the same antibody clone in a different buffer formulation containing PBS, BSA, glycerol, and sodium azide (ab272721).

Flow Cytometry (Intracellular) - Anti-HAI-1 antibody [EPR23294-49] - BSA and Azide free (AB273506)
  • Flow Cyt (Intra)

Unknown

Flow Cytometry (Intracellular) - Anti-HAI-1 antibody [EPR23294-49] - BSA and Azide free (AB273506)

Intracellular flow cytometric analysis of 4% paraformaldehyde fixed 90% methanol permeabilized Daudi (Human Burkitt's lymphoma lymphoblast) (Left panel) / T-47D (Human ductal breast epithelial tumor epithelial cell) (Right panel) cells labelling HAI-1 with ab272721 at 1/600 dilution (0.1μg) (Red) compared with a Rabbit monoclonal IgG (ab172730) (Black) isotype control and an unlabelled control (cells without incubation with primary antibody and secondary antibody) (Blue). A Goat anti rabbit IgG (Alexa Fluor®488, ab150077) at 1/2000 dilution was used as the secondary antibody.

Negative control : Daudi (PMID : 24070417).

This data was developed using the same antibody clone in a different buffer formulation containing PBS, BSA, glycerol, and sodium azide (ab272721).

Key facts

Host species

Rabbit

Clonality

Monoclonal

Clone number

EPR23294-49

Isotype

IgG

Carrier free

Yes

Reacts with

Mouse, Rat, Human

Applications

IHC-P, WB, IP, ICC/IF, Flow Cyt (Intra)

applications

Immunogen

The exact immunogen used to generate this antibody is proprietary information.

Specificity

Unsuitable for human and rat IHC-P.

Reactivity data

{ "title": "Reactivity Data", "filters": { "stats": ["", "Species", "Dilution Info", "Notes"], "tabs": { "all-applications": {"fullname" : "All Applications", "shortname": "All Applications"}, "IP" : {"fullname" : "Immunoprecipitation", "shortname":"IP"}, "WB" : {"fullname" : "Western blot", "shortname":"WB"}, "ICCIF" : {"fullname" : "Immunocytochemistry/ Immunofluorescence", "shortname":"ICC/IF"}, "IHCFr" : {"fullname" : "Immunohistochemistry (Frozen sections)", "shortname":"IHC-Fr"}, "FlowCytIntra" : {"fullname" : "Flow Cytometry (Intracellular)", "shortname":"Flow Cyt (Intra)"}, "IHCP" : {"fullname" : "Immunohistochemistry (Formalin/PFA-fixed paraffin-embedded sections)", "shortname":"IHC-P"} }, "product-promise": { "all": "all", "testedAndGuaranteed": "tested", "guaranteed": "expected", "predicted": "predicted", "notRecommended": "not-recommended" } }, "values": { "Human": { "IP-species-checked": "notRecommended", "IP-species-dilution-info": "", "IP-species-notes": "<p></p>", "WB-species-checked": "guaranteed", "WB-species-dilution-info": "", "WB-species-notes": "<p></p>", "ICCIF-species-checked": "testedAndGuaranteed", "ICCIF-species-dilution-info": "", "ICCIF-species-notes": "<p></p>", "IHCFr-species-checked": "notRecommended", "IHCFr-species-dilution-info": "", "IHCFr-species-notes": "<p></p>", "FlowCytIntra-species-checked": "testedAndGuaranteed", "FlowCytIntra-species-dilution-info": "", "FlowCytIntra-species-notes": "<p></p>", "IHCP-species-checked": "notRecommended", "IHCP-species-dilution-info": "", "IHCP-species-notes": "<p></p>" }, "Mouse": { "IP-species-checked": "guaranteed", "IP-species-dilution-info": "", "IP-species-notes": "<p></p>", "WB-species-checked": "guaranteed", "WB-species-dilution-info": "", "WB-species-notes": "<p></p>", "ICCIF-species-checked": "guaranteed", "ICCIF-species-dilution-info": "", "ICCIF-species-notes": "", "IHCFr-species-checked": "notRecommended", "IHCFr-species-dilution-info": "", "IHCFr-species-notes": "<p></p>", "FlowCytIntra-species-checked": "guaranteed", "FlowCytIntra-species-dilution-info": "", "FlowCytIntra-species-notes": "", "IHCP-species-checked": "testedAndGuaranteed", "IHCP-species-dilution-info": "", "IHCP-species-notes": "<p>This antibody is not suitable for human and rat species in IHC-P application.</p>" }, "Rat": { "IP-species-checked": "notRecommended", "IP-species-dilution-info": "", "IP-species-notes": "<p></p>", "WB-species-checked": "guaranteed", "WB-species-dilution-info": "", "WB-species-notes": "<p></p>", "ICCIF-species-checked": "predicted", "ICCIF-species-dilution-info": "", "ICCIF-species-notes": "", "IHCFr-species-checked": "notRecommended", "IHCFr-species-dilution-info": "", "IHCFr-species-notes": "<p></p>", "FlowCytIntra-species-checked": "predicted", "FlowCytIntra-species-dilution-info": "", "FlowCytIntra-species-notes": "", "IHCP-species-checked": "notRecommended", "IHCP-species-dilution-info": "", "IHCP-species-notes": "<p></p>" } } }

You may be interested in:

AB288176

Human HAI-1 ELISA Kit

0

0 Reviews

View product

We recommend this product because it’s often used in the same experiment or related research.

We advise that you always check the datasheet to ensure it fits your experiments, or contact ourtechnical teamfor help.

Product details

ab273506 is the carrier-free version of ab272721.

Patented technology
Our RabMAb® technology is a patented hybridoma-based technology for making rabbit monoclonal antibodies. For details on our patents, please refer to RabMAb® patents.

What are the advantages of a recombinant monoclonal antibody?
This product is a recombinant monoclonal antibody, which offers several advantages including:

  • - High batch-to-batch consistency and reproducibility
  • - Improved sensitivity and specificity
  • - Long-term security of supply
  • - Animal-free batch production

For more information, read more on recombinant antibodies.

Conjugation ready
Our carrier-free antibodies are typically supplied in a PBS-only formulation, purified and free of BSA, sodium azide and glycerol. This conjugation-ready format is designed for use with fluorochromes, metal isotopes, oligonucleotides, and enzymes, which makes them ideal for antibody labelling, functional and cell-based assays, flow-based assays (e.g. mass cytometry) and Multiplex Imaging applications.

Use our conjugation kits for antibody conjugates that are ready-to-use in as little as 20 minutes with 1 minute hands-on-time and 100% antibody recovery: available for fluorescent dyes, HRP, biotin and gold.

Compatibility
This product is compatible with the Maxpar® Antibody Labeling Kit from Fluidigm, without the need for antibody preparation. Maxpar® is a trademark of Fluidigm Canada Inc.

Properties and storage information

Form
Liquid
Purification technique
Affinity purification Protein A
Storage buffer
pH: 7.2 - 7.4 Constituents: PBS
Shipped at conditions
Blue Ice
Appropriate short-term storage conditions
+4°C
Appropriate long-term storage conditions
+4°C
Storage information
Do Not Freeze

Supplementary information

This supplementary information is collated from multiple sources and compiled automatically.

HAI-1 known also as Hepatocyte Growth Factor Activator Inhibitor 1 or SPINT1 is a type 1 transmembrane protein with a molecular mass of around 55 kDa. This protein commonly expresses in epithelial cells particularly in tissues like the stomach and liver. It serves as a serine protease inhibitor playing a role in regulating the activity of certain proteases. Mouse HAI protein comparable in function and structure is often used in research as a model for understanding HAI-1 in humans. Researchers frequently use HAI detectors and HAI-1 ELISA methods for precise quantification and analysis.
Biological function summary

HAI-1 performs a regulatory role by inhibiting proteases such as matriptase and hepsin which are critical for many cellular functions. As part of a complex HAI-1 binds to these proteases controlling their activity to prevent excessive proteolysis which can damage tissues. This regulatory function is key in maintaining epithelial integrity and homeostasis impacting processes like cell growth and migration. Anti-HAI studies show that disrupting this balance can lead to a cascade of biological alterations.

Pathways

Several cellular processes heavily depend on the balance maintained by HAI-1 in protease activity. One significant pathway involves the HGF/c-Met signaling cascade which impacts cell motility and proliferation. By inhibiting matriptase HAI-1 indirectly affects this pathway regulating cellular responses. Additionally HAI-1 also relates to epithelial-mesenchymal transition (EMT) through controlling proteolytic activity which can influence how cells migrate and differentiate in development or healing.

Deregulation of HAI-1 often links to cancer progression specifically in cases like breast or prostate cancer. In these contexts improper regulation of proteases can lead to enhanced tumor invasiveness and metastasis. HAI-1's interaction with the c-Met receptor pathway facilitated by HGFA illustrates its significant role in cancer biology. Disorders of the liver such as fibrosis also reveal connections where HAI-1 modulation of protease activity affects extracellular matrix turnover implicating HAI-1 in the fibrogenic response alongside proteins like matriptase.

Product protocols

For this product, it's our understanding that no specific protocols are required. You can visit:

Target data

Inhibitor of HGFAC (PubMed : 9045658). Inhibits serine protease activity of ST14/matriptase in vitro (PubMed : 28710277). Inhibits serine protease activity of TMPRSS13, via the BPTI/Kunitz inhibitor 1 domain (PubMed : 20977675).
See full target information SPINT1

Product promise

We are committed to supporting your work with high-quality reagents, and we're here for you every step of the way. In the unlikely event that one of our products does not perform as expected, you're protected by our Product Promise.
For full details, please see our Terms & Conditions

Please note: All products are 'FOR RESEARCH USE ONLY. NOT FOR USE IN DIAGNOSTIC OR THERAPEUTIC PROCEDURES'.

For licensing inquiries, please contact partnerships@abcam.com