JavaScript is disabled in your browser. Please enable JavaScript to view this website.
AB279367

Anti-Hairless antibody [OTI1D9]

Be the first to review this product! Submit a review

|

(1 Publication)

Mouse Monoclonal Hairless antibody. Suitable for IHC-P and reacts with Human samples. Cited in 1 publication. Immunogen corresponding to Recombinant Fragment Protein within Human HR aa 900 to C-terminus.

View Alternative Names

Lysine-specific demethylase hairless, [histone H3]-dimethyl-L-lysine(9) demethylase hairless, HR

3 Images
Immunohistochemistry (Formalin/PFA-fixed paraffin-embedded sections) - Anti-Hairless antibody [OTI1D9] (AB279367)
  • IHC-P

Supplier Data

Immunohistochemistry (Formalin/PFA-fixed paraffin-embedded sections) - Anti-Hairless antibody [OTI1D9] (AB279367)

Paraffin embedded adenocarcinoma of human colon tissue stained for Hairless using ab279367 at 1/150 dilution in immunohistochemical analysis. Heat-induced epitope retrieval by Tris-EDTA, pH8.0.

Immunohistochemistry (Formalin/PFA-fixed paraffin-embedded sections) - Anti-Hairless antibody [OTI1D9] (AB279367)
  • IHC-P

Supplier Data

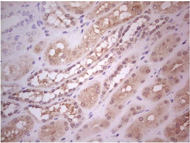
Immunohistochemistry (Formalin/PFA-fixed paraffin-embedded sections) - Anti-Hairless antibody [OTI1D9] (AB279367)

Paraffin embedded human kidney tissue stained for Hairless using ab279367 at 1/150 dilution in immunohistochemical analysis. Heat-induced epitope retrieval by Tris-EDTA, pH8.0.

Immunohistochemistry (Formalin/PFA-fixed paraffin-embedded sections) - Anti-Hairless antibody [OTI1D9] (AB279367)
  • IHC-P

Supplier Data

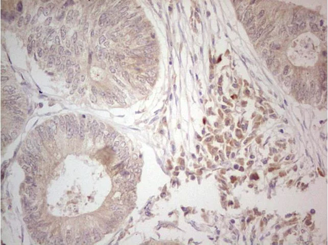
Immunohistochemistry (Formalin/PFA-fixed paraffin-embedded sections) - Anti-Hairless antibody [OTI1D9] (AB279367)

Paraffin embedded human prostate tissue stained for Hairless using ab279367 at 1/150 dilution in immunohistochemical analysis. Heat-induced epitope retrieval by Tris-EDTA, pH8.0.

Key facts

Host species

Mouse

Clonality

Monoclonal

Clone number

OTI1D9

Isotype

IgG1

Carrier free

No

Reacts with

Human

Applications

IHC-P

applications

Immunogen

Recombinant Fragment Protein within Human HR aa 900 to C-terminus. The exact immunogen used to generate this antibody is proprietary information.

O43593

Reactivity data

{ "title": "Reactivity Data", "filters": { "stats": ["", "Species", "Dilution Info", "Notes"], "tabs": { "all-applications": {"fullname" : "All Applications", "shortname": "All Applications"}, "IHCP" : {"fullname" : "Immunohistochemistry (Formalin/PFA-fixed paraffin-embedded sections)", "shortname":"IHC-P"} }, "product-promise": { "all": "all", "testedAndGuaranteed": "tested", "guaranteed": "expected", "predicted": "predicted", "notRecommended": "not-recommended" } }, "values": { "Human": { "IHCP-species-checked": "testedAndGuaranteed", "IHCP-species-dilution-info": "1/150", "IHCP-species-notes": "<p></p>" } } }

Properties and storage information

Form
Liquid
Purification technique
Affinity purification Protein A/G
Storage buffer
pH: 7.3 Preservative: 0.02% Sodium azide Constituents: 50% Glycerol (glycerin, glycerine), 1% BSA
Shipped at conditions
Blue Ice
Appropriate short-term storage duration
1-2 weeks
Appropriate short-term storage conditions
+4°C
Appropriate long-term storage conditions
-20°C
Aliquoting information
Upon delivery aliquot
Storage information
Avoid freeze / thaw cycle

Supplementary information

This supplementary information is collated from multiple sources and compiled automatically.

Hairless also known as HR is a nuclear receptor corepressor that plays an important role in hair follicle development. With a molecular mass of approximately 130 kDa it acts mechanistically by interacting with transcription factors to regulate gene expression. Hairless is expressed mainly in the skin particularly in the hair follicles but it can also be found in other tissues like the brain adipose tissue and testes. Its ability to localize in the nucleus allows Hairless to directly control chromatin structure and transcriptional activity.
Biological function summary

Hairless is involved in the regulation of hair cycling and differentiation. It functions as part of a larger repressor complex recruiting histone deacetylases to histones which results in gene silencing. This activity is important for the transition between different phases of the hair growth cycle such as anagen and telogen phases. Hairless also plays a role in repressing certain genes involved in epidermal differentiation thereby maintaining stem cell populations necessary for continuous hair growth.

Pathways

Hairless significantly impacts the Wnt signaling pathway and the Notch signaling pathway. In the Wnt pathway Hairless collaborates with proteins like beta-catenin to influence follicle morphogenesis and hair cycle progression. In the Notch signaling cascade Hairless interacts with Notch receptors regulating cell fate decisions during hair development. These pathways are essential for proper hair follicle regeneration and maintenance highlighting Hairless's critical role in hair biology.

Hairless has been implicated in alopecia universalis a condition characterized by complete hair loss. Mutations in the Hairless gene can result in faulty protein function causing disruption in hair development and cycling. Furthermore Hairless has ties to Marie Unna hereditary hypotrichosis a genetic disorder leading to sparse hair and scalp abnormalities. The implicated pathways also involve proteins such as Notch1 and beta-catenin which are associated with defects in hair follicle development and structure.

Product protocols

For this product, it's our understanding that no specific protocols are required. You can visit:

Target data

Histone demethylase that specifically demethylates both mono- and dimethylated 'Lys-9' of histone H3. May act as a transcription regulator controlling hair biology (via targeting of collagens), neural activity, and cell cycle.
See full target information HR

Publications (1)

Recent publications for all applications. Explore the full list and refine your search

Journal of ovarian research 17:61 PubMed38486335

2024

Unraveling the molecular mechanisms of lymph node metastasis in ovarian cancer: focus on MEOX1.

Applications

Unspecified application

Species

Unspecified reactive species

Jiajia Li,Yihua Sun,Xiuling Zhi,Yating Sun,Zulimire Abudousalamu,Qianhan Lin,Bin Li,Liangqing Yao,Mo Chen
View all publications

Product promise

We are committed to supporting your work with high-quality reagents, and we're here for you every step of the way. In the unlikely event that one of our products does not perform as expected, you're protected by our Product Promise.
For full details, please see our Terms & Conditions

Please note: All products are 'FOR RESEARCH USE ONLY. NOT FOR USE IN DIAGNOSTIC OR THERAPEUTIC PROCEDURES'.

For licensing inquiries, please contact partnerships@abcam.com