JavaScript is disabled in your browser. Please enable JavaScript to view this website.
AB282016

Anti-Hamartin antibody [EPR24364-109] - BSA and Azide free

Be the first to review this product! Submit a review

|

(0 Publication)

Rabbit Recombinant Monoclonal Hamartin antibody. Carrier free. Suitable for ICC/IF, IP, WB and reacts with Human, Rat, Mouse samples.

View Alternative Names

KIAA0243, TSC, TSC1, Hamartin, Tuberous sclerosis 1 protein

8 Images
Immunocytochemistry/ Immunofluorescence - Anti-Hamartin antibody [EPR24364-109] - BSA and Azide free (AB282016)
  • ICC/IF

Lab

Immunocytochemistry/ Immunofluorescence - Anti-Hamartin antibody [EPR24364-109] - BSA and Azide free (AB282016)

ab270967 staining Hamartin in wild-type HAP1 cells (top panel) and TSC1 knockout HAP1 cells (bottom panel). The cells were fixed with 4% paraformaldehyde (10 min), permeabilized with 0.1% PBS-Triton X-100 for 5 minutes and then blocked with 1% BSA/10% normal goat serum/0.3M glycine in 0.1%PBS-Tween for 1h. The cells were then incubated overnight at 4°C with ab270967 at 0.2µg/ml and ab7291, Mouse monoclonal [DM1A] to alpha Tubulin - Loading Control. Cells were then incubated with ab150081, Goat polyclonal Secondary Antibody to Rabbit IgG - H&L (Alexa Fluor® 488), pre-adsorbed at 1/1000 dilution (shown in green) and ab150120, Goat polyclonal Secondary Antibody to Mouse IgG - H&L (Alexa Fluor® 594), pre-adsorbed at 1/1000 dilution (shown in pseudocolour red). Nuclear DNA was labelled with DAPI (shown in blue). The antibody is not suitable to detect Hamartin in cells fixed with 100% methanol (5 min). Image was acquired with a high-content analyser (Operetta CLS, Perkin Elmer) and a maximum intensity projection of confocal sections is shown.

Immunocytochemistry/ Immunofluorescence - Anti-Hamartin antibody [EPR24364-109] - BSA and Azide free (AB282016)
  • ICC/IF

Lab

Immunocytochemistry/ Immunofluorescence - Anti-Hamartin antibody [EPR24364-109] - BSA and Azide free (AB282016)

This data was developed using ab270967, the same antibody clone in a different buffer formulation.

ab270967 was shown to react with TSC1 in wild-type HAP1 cells in immunocytochemistry with loss of signal observed in a TSC1 knockout cell line. ab270967 at  1/500 dilution.

These data were provided by YCharOS Inc., an open science company with the mission of characterizing commercially available antibody reagents for all human proteins. Abcam and YCharOS are working together to help address the reproducibility crisis by enabling the life science community to better evaluate commercially available antibodies.

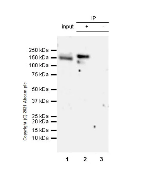
Immunoprecipitation - Anti-Hamartin antibody [EPR24364-109] - BSA and Azide free (AB282016)
  • IP

Supplier Data

Immunoprecipitation - Anti-Hamartin antibody [EPR24364-109] - BSA and Azide free (AB282016)

This data was developed using ab270967, the same antibody clone in a different buffer formulation.

Hamartin was immunoprecipitated from 0.35 mg HeLa (human cervix adenocarcinoma epithelial cell) whole cell lysate with ab270967 at 1/30 dilution (2ug in 0.35mg lysates). Western blot was performed on the immunoprecipitate using ab270967 at 1/1000 dilution. VeriBlot for IP secondary antibody (HRP) (ab131366) was used at 1/5000 dilution.

Lane 1 : HeLa (human cervix adenocarcinoma epithelial cell) whole cell lysate 10 ug

Lane 2 : ab270967 IP in HeLa whole cell lysate

Lane 3 : Rabbit monoclonal IgG (ab172730) instead of ab270967 in HeLa whole cell lysate

Blocking and dilution buffer and concentration : 5% NFDM/TBST.

Exposure time : 3 minutes.

All lanes:

Immunoprecipitation - Anti-Hamartin antibody [EPR24364-109] (<a href='/en-us/products/primary-antibodies/hamartin-antibody-epr24364-109-ab270967'>ab270967</a>)

Predicted band size: 130 kDa

Observed band size: 150 kDa

false

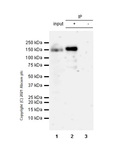
Immunoprecipitation - Anti-Hamartin antibody [EPR24364-109] - BSA and Azide free (AB282016)
  • IP

Supplier Data

Immunoprecipitation - Anti-Hamartin antibody [EPR24364-109] - BSA and Azide free (AB282016)

This data was developed using ab270967, the same antibody clone in a different buffer formulation.

Hamartin was immunoprecipitated from 0.35 mg NIH/3T3 (mouse embryonic fibroblast) whole cell lysate with ab270967 at 1/30 dilution (2ug in 0.35mg lysates). Western blot was performed on the immunoprecipitate using ab270967 at 1/1000 dilution. VeriBlot for IP secondary antibody (HRP) (ab131366) was used at 1/5000 dilution.

Lane 1 : NIH/3T3 (mouse embryonic fibroblast) whole cell lysate 10 ug

Lane 2 : ab270967 IP in NIH/3T3 whole cell lysate

Lane 3 : Rabbit monoclonal IgG (ab172730) instead of ab270967 in NIH/3T3 whole cell lysate

Blocking and dilution buffer and concentration : 5% NFDM/TBST.

Exposure time : 3 minutes.

All lanes:

Immunoprecipitation - Anti-Hamartin antibody [EPR24364-109] (<a href='/en-us/products/primary-antibodies/hamartin-antibody-epr24364-109-ab270967'>ab270967</a>)

Predicted band size: 130 kDa

Observed band size: 150 kDa

false

Western blot - Anti-Hamartin antibody [EPR24364-109] - BSA and Azide free (AB282016)
  • WB

Lab

Western blot - Anti-Hamartin antibody [EPR24364-109] - BSA and Azide free (AB282016)

Western blot : Anti-TSC1 antibody [EPR24364-109] (ab270967) staining at 1/1000 dilution, shown in green; Mouse anti-CANX [CANX/1543] (ab238078) loading control staining at 1/20000 dilution, shown in magenta. In Western blot, ab270967 was shown to bind specifically to TSC1. A band was observed at 140-150 kDa in wild-type MCF7 cell lysates with no signal observed at this size in TSC1 knockout cell line. To generate this image, wild-type and TSC1 knockout MCF7 cell lysates were analysed. First, samples were run on an SDS-PAGE gel then transferred onto a nitrocellulose membrane. Membranes were blocked in 5 % milk in TBS-0.1 % Tween® 20 (TBS-T) before incubation with primary antibodies overnight at 4 °C. Blots were washed four times in TBS-T, incubated with secondary antibodies for 1 h at room temperature, washed again four times then imaged. Secondary antibodies used were Goat anti-Rabbit IgG H&L 800CW and Goat anti-Mouse IgG H&L 680RD at 1/20000 dilution.

All lanes:

Western blot - Anti-Hamartin antibody [EPR24364-109] (<a href='/en-us/products/primary-antibodies/hamartin-antibody-epr24364-109-ab270967'>ab270967</a>) at 1/1000 dilution

Lane 1:

Wild-type MCF7 cell lysate at 20 µg

Lane 2:

TSC1 knockout MCF7 cell lysate at 20 µg

Lane 3:

Wild-type A549 cell lysate at 20 µg

Lane 4:

TSC1 knockout A549 cell lysate at 20 µg

Lane 5:

Wild-type HAP1 cell lysate at 20 µg

Lane 6:

TSC1 knockout HAP1 cell lysate at 20 µg

Secondary

All lanes:

Goat anti-Rabbit IgG H&L 800CW and Goat anti-Mouse IgG H&L 680RD at 1/20000 dilution

false

Western blot - Anti-Hamartin antibody [EPR24364-109] - BSA and Azide free (AB282016)
  • WB

Lab

Western blot - Anti-Hamartin antibody [EPR24364-109] - BSA and Azide free (AB282016)

This data was developed using ab270967, the same antibody clone in a different buffer formulation.

ab270967 was shown to react with TSC1 in wild-type HAP1 cells in Western blot with loss of signal observed in a TSC1 knockout cell line. Wild-type HAP1 and TSC1 knockout cell lysates were subjected to SDS-PAGE. Membranes were blocked in 5% milk in TBST for 1 hr before incubation with ab270967 overnight at 4 °C at a 1/1000 dilution. Blots were incubated with secondary antibodies at 0.2 µg/mL before imaging.

These data were provided by YCharOS Inc., an open science company with the mission of characterizing commercially available antibody reagents for all human proteins. Abcam and YCharOS are working together to help address the reproducibility crisis by enabling the life science community to better evaluate commercially available antibodies.

All lanes:

Western blot - Anti-Hamartin antibody [EPR24364-109] (<a href='/en-us/products/primary-antibodies/hamartin-antibody-epr24364-109-ab270967'>ab270967</a>) at 1/1000 dilution

Lane 1:

Wild-type HAP1 lysate at 100 µg

Lane 2:

TSC1 knock-out HAP1 lysate at 100 µg

false

Western blot - Anti-Hamartin antibody [EPR24364-109] - BSA and Azide free (AB282016)
  • WB

Lab

Western blot - Anti-Hamartin antibody [EPR24364-109] - BSA and Azide free (AB282016)

This data was developed using ab270967, the same antibody clone in a different buffer formulation.

Blocking and diluting buffer and concentration : Intercept® (TBS) Blocking Buffer diluted with an equal volume of 0.1% TBS.

Lanes 1-3 : Merged signal (red and green).

Green - ab270967 observed at 150 kDa.

Red - loading control ab8245 observed at 36 kDa.

ab270967 Anti-Hamartin antibody [EPR24364-109] was shown to specifically react with Hamartin in wild-type HAP1 cells. Loss of signal was observed when the knockout cell line was used. Wild-type and Hamartin knockout samples were subjected to SDS-PAGE. ab270967 and Anti-GAPDH antibody [6C5] - Loading Control (ab8245) were incubated at 4°C overnight at 1/1000 dilution and 1/20000 dilution respectively. Blots were developed with Goat anti-Rabbit IgG H&L (IRDye® 800CW) preadsorbed (ab216773) and Goat anti-Mouse IgG H&L (IRDye® 680RD) preadsorbed (ab216776) secondary antibodies at 1/10000 dilution for 1 hour at room temperature before imaging.

All lanes:

Western blot - Anti-Hamartin antibody [EPR24364-109] (<a href='/en-us/products/primary-antibodies/hamartin-antibody-epr24364-109-ab270967'>ab270967</a>) at 1/1000 dilution

Lane 1:

Wild-type HAP1 (human chronic myelogenous leukemia near-haploid cell) whole cell lysate at 20 µg

Lane 2:

Hamartin knockout HAP1 (human chronic myelogenous leukemia near-haploid cell) whole cell lysate at 20 µg

Lane 3:

HeLa (human cervix adenocarcinoma epithelial cell) whole cell lysate at 20 µg

Secondary

All lanes:

Goat Anti-Rabbit IgG H&L (IRDye® 800CW) (<a href='/en-us/products/secondary-antibodies/goat-rabbit-igg-h-l-irdye-800cw-preadsorbed-ab216773'>ab216773</a>) and Goat Anti-Mouse IgG H&L (IRDye® 680RD) (<a href='/en-us/products/secondary-antibodies/goat-mouse-igg-h-l-irdye-680rd-preadsorbed-ab216776'>ab216776</a>) at 1/10000 dilution

Predicted band size: 130 kDa

Observed band size: 150 kDa

false

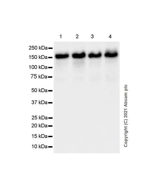
Western blot - Anti-Hamartin antibody [EPR24364-109] - BSA and Azide free (AB282016)
  • WB

Lab

Western blot - Anti-Hamartin antibody [EPR24364-109] - BSA and Azide free (AB282016)

This data was developed using ab270967, the same antibody clone in a different buffer formulation.

Blocking and diluting buffer and concentration : 5% NFDM/TBST.

Lysates were made freshly and used in WB test immediately to minimize protein degradation.

Exposure time : 48 seconds.

All lanes:

Western blot - Anti-Hamartin antibody [EPR24364-109] (<a href='/en-us/products/primary-antibodies/hamartin-antibody-epr24364-109-ab270967'>ab270967</a>) at 1/1000 dilution

Lane 1:

HeLa (human cervix adenocarcinoma epithelial cell) whole cell lysate at 20 µg

Lane 2:

293T (human embryonic kidney epithelial cell) whole cell lysate at 20 µg

Lane 3:

NIH/3T3 (mouse embryonic fibroblast) whole cell lysate at 20 µg

Lane 4:

PC-12 (rat adrenal gland pheochromocytoma) whole cell lysate at 20 µg

Secondary

All lanes:

Western blot - Goat Anti-Rabbit IgG H&L (HRP) (<a href='/en-us/products/secondary-antibodies/goat-rabbit-igg-h-l-hrp-ab97051'>ab97051</a>) at 1/20000 dilution

Predicted band size: 130 kDa

Observed band size: 150 kDa

false

Key facts

Host species

Rabbit

Clonality

Monoclonal

Clone number

EPR24364-109

Isotype

IgG

Carrier free

Yes

Reacts with

Mouse, Rat, Human

Applications

WB, ICC/IF, IP

applications

Immunogen

The exact immunogen used to generate this antibody is proprietary information.

Reactivity data

{ "title": "Reactivity Data", "filters": { "stats": ["", "Species", "Dilution Info", "Notes"], "tabs": { "all-applications": {"fullname" : "All Applications", "shortname": "All Applications"}, "ICCIF" : {"fullname" : "Immunocytochemistry/ Immunofluorescence", "shortname":"ICC/IF"}, "IP" : {"fullname" : "Immunoprecipitation", "shortname":"IP"}, "FlowCyt" : {"fullname" : "Flow Cytometry", "shortname":"Flow Cyt"}, "WB" : {"fullname" : "Western blot", "shortname":"WB"}, "IHCP" : {"fullname" : "Immunohistochemistry (Formalin/PFA-fixed paraffin-embedded sections)", "shortname":"IHC-P"} }, "product-promise": { "all": "all", "testedAndGuaranteed": "tested", "guaranteed": "expected", "predicted": "predicted", "notRecommended": "not-recommended" } }, "values": { "Human": { "ICCIF-species-checked": "testedAndGuaranteed", "ICCIF-species-dilution-info": "0.2 µg/mL", "ICCIF-species-notes": "<p></p>", "IP-species-checked": "testedAndGuaranteed", "IP-species-dilution-info": "", "IP-species-notes": "<p></p>", "FlowCyt-species-checked": "notRecommended", "FlowCyt-species-dilution-info": "", "FlowCyt-species-notes": "<p></p>", "WB-species-checked": "testedAndGuaranteed", "WB-species-dilution-info": "", "WB-species-notes": "<p></p>", "IHCP-species-checked": "notRecommended", "IHCP-species-dilution-info": "", "IHCP-species-notes": "<p></p>" }, "Mouse": { "ICCIF-species-checked": "notRecommended", "ICCIF-species-dilution-info": "0.2 µg/mL", "ICCIF-species-notes": "<p></p>", "IP-species-checked": "testedAndGuaranteed", "IP-species-dilution-info": "", "IP-species-notes": "<p></p>", "FlowCyt-species-checked": "notRecommended", "FlowCyt-species-dilution-info": "", "FlowCyt-species-notes": "<p></p>", "WB-species-checked": "testedAndGuaranteed", "WB-species-dilution-info": "", "WB-species-notes": "<p></p>", "IHCP-species-checked": "notRecommended", "IHCP-species-dilution-info": "", "IHCP-species-notes": "<p></p>" }, "Rat": { "ICCIF-species-checked": "guaranteed", "ICCIF-species-dilution-info": "", "ICCIF-species-notes": "", "IP-species-checked": "guaranteed", "IP-species-dilution-info": "", "IP-species-notes": "", "FlowCyt-species-checked": "notRecommended", "FlowCyt-species-dilution-info": "", "FlowCyt-species-notes": "", "WB-species-checked": "testedAndGuaranteed", "WB-species-dilution-info": "", "WB-species-notes": "<p></p>", "IHCP-species-checked": "notRecommended", "IHCP-species-dilution-info": "", "IHCP-species-notes": "<p></p>" } } }

Product details

ab282016 is the carrier-free version of ab270967.

Patented technology
Our RabMAb® technology is a patented hybridoma-based technology for making rabbit monoclonal antibodies. For details on our patents, please refer to RabMAb® patents.

What are the advantages of a recombinant monoclonal antibody?
This product is a recombinant monoclonal antibody, which offers several advantages including:

  • - High batch-to-batch consistency and reproducibility
  • - Improved sensitivity and specificity
  • - Long-term security of supply
  • - Animal-free batch production

For more information, read more on recombinant antibodies.

Conjugation ready
Our carrier-free antibodies are typically supplied in a PBS-only formulation, purified and free of BSA, sodium azide and glycerol. This conjugation-ready format is designed for use with fluorochromes, metal isotopes, oligonucleotides, and enzymes, which makes them ideal for antibody labelling, functional and cell-based assays, flow-based assays (e.g. mass cytometry) and Multiplex Imaging applications.

Use our conjugation kits for antibody conjugates that are ready-to-use in as little as 20 minutes with 1 minute hands-on-time and 100% antibody recovery: available for fluorescent dyes, HRP, biotin and gold.

Compatibility
This product is compatible with the Maxpar® Antibody Labeling Kit from Fluidigm, without the need for antibody preparation. Maxpar® is a trademark of Fluidigm Canada Inc.

Properties and storage information

Form
Liquid
Purification technique
Affinity purification Protein A
Storage buffer
pH: 7.2 - 7.4 Constituents: PBS
Shipped at conditions
Blue Ice
Appropriate short-term storage conditions
+4°C
Appropriate long-term storage conditions
+4°C

Supplementary information

This supplementary information is collated from multiple sources and compiled automatically.

The protein 'Hamartin' also known as TSC1 plays a mechanical role in cellular processes primarily as a regulator of cellular growth and proliferation. It interacts with Tuberin (TSC2) to form a complex that inhibits the small GTPase Rheb thereby controlling the mTOR signaling pathway. Hamartin has a molecular mass of approximately 130 kDa. It is expressed in various tissues including the brain heart and kidneys highlighting its significance in multiple physiological processes.
Biological function summary

Hamartin functions as part of the TSC1-TSC2 complex which acts as a tumor suppressor. This complex inhibits the mechanistic target of rapamycin complex 1 (mTORC1) an essential regulator of cell growth proliferation and protein synthesis. Through this regulation Hamartin plays a critical role in maintaining cellular homeostasis and preventing abnormal cell growth that can lead to tumorigenesis.

Pathways

Hamartin is integral to the mTOR signaling pathway an important pathway that regulates cell metabolism growth and survival. This pathway involves the interaction of Hamartin with Tuberin (TSC2) helping to control the activation of mTORC1. Additionally Hamartin is involved in the PI3K/Akt signaling pathway which further influences mTOR activity and cellular responses to growth factors.

Disruptions in Hamartin function are linked to Tuberous Sclerosis Complex (TSC) a genetic disorder characterized by tumor development in multiple organs. Mutations in the TSC1 gene lead to the loss of Hamartin function resulting in uncontrolled cell growth. Additionally research indicates that Hamartin may have a connection to certain epilepsy types given its expression in the brain and its role in neuronal development. In these conditions the interaction of Hamartin with Tuberin is essential for regulating cellular behavior and preventing disease progression.

Product protocols

For this product, it's our understanding that no specific protocols are required. You can visit:

Target data

Non-catalytic component of the TSC-TBC complex, a multiprotein complex that acts as a negative regulator of the canonical mTORC1 complex, an evolutionarily conserved central nutrient sensor that stimulates anabolic reactions and macromolecule biosynthesis to promote cellular biomass generation and growth (PubMed : 12172553, PubMed : 12271141, PubMed : 12906785, PubMed : 15340059, PubMed : 24529379, PubMed : 28215400). The TSC-TBC complex acts as a GTPase-activating protein (GAP) for the small GTPase RHEB, a direct activator of the protein kinase activity of mTORC1 (PubMed : 12906785, PubMed : 15340059, PubMed : 24529379). In absence of nutrients, the TSC-TBC complex inhibits mTORC1, thereby preventing phosphorylation of ribosomal protein S6 kinase (RPS6KB1 and RPS6KB2) and EIF4EBP1 (4E-BP1) by the mTORC1 signaling (PubMed : 12271141, PubMed : 24529379, PubMed : 28215400, PubMed : 33215753). The TSC-TBC complex is inactivated in response to nutrients, relieving inhibition of mTORC1 (PubMed : 12172553, PubMed : 24529379). Within the TSC-TBC complex, TSC1 stabilizes TSC2 and prevents TSC2 self-aggregation (PubMed : 10585443, PubMed : 28215400). Acts as a tumor suppressor (PubMed : 9242607). Involved in microtubule-mediated protein transport via its ability to regulate mTORC1 signaling (By similarity). Also acts as a co-chaperone for HSP90AA1 facilitating HSP90AA1 chaperoning of protein clients such as kinases, TSC2 and glucocorticoid receptor NR3C1 (PubMed : 29127155). Increases ATP binding to HSP90AA1 and inhibits HSP90AA1 ATPase activity (PubMed : 29127155). Competes with the activating co-chaperone AHSA1 for binding to HSP90AA1, thereby providing a reciprocal regulatory mechanism for chaperoning of client proteins (PubMed : 29127155). Recruits TSC2 to HSP90AA1 and stabilizes TSC2 by preventing the interaction between TSC2 and ubiquitin ligase HERC1 (PubMed : 16464865, PubMed : 29127155).
See full target information TSC1

Product promise

We are committed to supporting your work with high-quality reagents, and we're here for you every step of the way. In the unlikely event that one of our products does not perform as expected, you're protected by our Product Promise.
For full details, please see our Terms & Conditions

Please note: All products are 'FOR RESEARCH USE ONLY. NOT FOR USE IN DIAGNOSTIC OR THERAPEUTIC PROCEDURES'.

For licensing inquiries, please contact partnerships@abcam.com