JavaScript is disabled in your browser. Please enable JavaScript to view this website.
AB200040

Anti-HAND2 antibody [EPR19451]

5

(2 Reviews)

|

(11 Publications)

Anti-HAND2 antibody [EPR19451] (ab200040) is a rabbit monoclonal antibody detecting HAND2 in Western Blot, Flow Cytometry (Intra), Flow Cytometry, IP, IHC-P, ICC/IF. Suitable for Human, Mouse, Rat.

- Biophysical QC for unrivalled batch-batch consistency
- Over 10 publications

View Alternative Names

BHLHA26, DHAND, HAND2, Heart- and neural crest derivatives-expressed protein 2, Class A basic helix-loop-helix protein 26, bHLHa26, dHAND

10 Images
Immunocytochemistry/ Immunofluorescence - Anti-HAND2 antibody [EPR19451] (AB200040)
  • ICC/IF

Supplier Data

Immunocytochemistry/ Immunofluorescence - Anti-HAND2 antibody [EPR19451] (AB200040)

Immunofluorescent analysis of 4% paraformaldehyde-fixed, 0.1% Triton X-100 permeabilized SH-SY5Y (human neuroblastoma cell line from bone marrow) cells labeling HAND2 with ab200040 at 1/100 dilution followed by Goat Anti-Rabbit IgG H&L (Alexa Fluor® 488) (ab150077) secondary antibody at 1/1000 dilution (green). Nuclear staining in SH-SY5Y cell line.

The nuclear counter stain is DAPI (blue). Tubulin is detected with Anti-alpha Tubulin antibody [DM1A] - Microtubule Marker (Alexa Fluor® 594) (ab195889) (red) at 1/200 dilution.

Secondary antibody only control : Used PBS instead of primary antibody, secondary antibody is Goat Anti-Rabbit IgG H&L (Alexa Fluor® 488) (ab150077) secondary antibody at 1/1000 dilution.

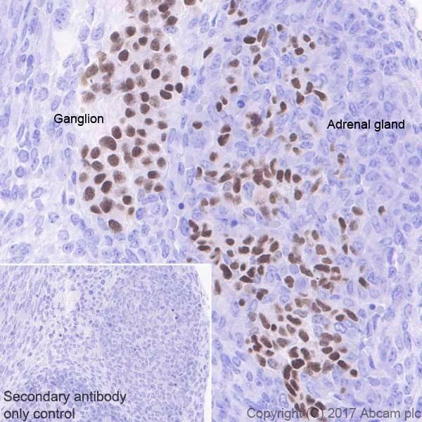
Immunohistochemistry (Formalin/PFA-fixed paraffin-embedded sections) - Anti-HAND2 antibody [EPR19451] (AB200040)
  • IHC-P

Supplier Data

Immunohistochemistry (Formalin/PFA-fixed paraffin-embedded sections) - Anti-HAND2 antibody [EPR19451] (AB200040)

Immunohistochemical analysis of paraffin-embedded mouse E14.5 embryonic adrenal gland tissue labeling HAND2 with ab200040 at 1/1000 dilution, followed by Goat Anti-Rabbit IgG H&L (HRP) Ready to use. Nuclear staining in mouse embryonic (E14.5) ganglion and adrenal gland (PMID : 25248475). Counter stained with hematoxylin.

Secondary antibody only control : Used PBS instead of primary antibody, secondary antibody is Goat Anti-Rabbit IgG H&L (HRP) Ready to use.

Perform heat mediated antigen retrieval with Tris/EDTA buffer pH 9.0 before commencing with IHC staining protocol.

Immunocytochemistry/ Immunofluorescence - Anti-HAND2 antibody [EPR19451] (AB200040)
  • ICC/IF

Supplier Data

Immunocytochemistry/ Immunofluorescence - Anti-HAND2 antibody [EPR19451] (AB200040)

Immunofluorescent analysis of 4% paraformaldehyde-fixed, 0.1% Triton X-100 permeabilized Neuro-2a (mouse neuroblastoma cell line) cells labeling HAND2 with ab200040 at 1/100 dilution followed by Goat Anti-Rabbit IgG H&L (Alexa Fluor® 488) (ab150077) secondary antibody at 1/1000 dilution (green). Nuclear staining in Neuro-2a cell line.

The nuclear counter stain is DAPI (blue). Tubulin is detected with Anti-alpha Tubulin antibody [DM1A] - Microtubule Marker (Alexa Fluor® 594) (ab195889) (red) at 1/200 dilution.

Secondary antibody only control : Used PBS instead of primary antibody, secondary antibody is Goat Anti-Rabbit IgG H&L (Alexa Fluor® 488) (ab150077) secondary antibody at 1/1000 dilution.

Flow Cytometry (Intracellular) - Anti-HAND2 antibody [EPR19451] (AB200040)
  • Flow Cyt (Intra)

Supplier Data

Flow Cytometry (Intracellular) - Anti-HAND2 antibody [EPR19451] (AB200040)

Intracellular flow cytometric analysis of 4% paraformaldehyde-fixed, 90% methanol-permeabilized Neuro-2a (mouse neuroblastoma cell line) cell line labeling HAND2 with ab200040 at 1/400 dilution (red) compared with a Rabbit IgG, monoclonal [EPR25A] - Isotype Control (ab172730) (black) and an unlabeled control (cells without incubation with primary antibody and secondary antibody) (blue). Goat Anti-Rabbit IgG H&L (Alexa Fluorr® 488) (ab150077) at 1/2000 dilution was used as the secondary antibody.

Immunohistochemistry (Formalin/PFA-fixed paraffin-embedded sections) - Anti-HAND2 antibody [EPR19451] (AB200040)
  • IHC-P

Supplier Data

Immunohistochemistry (Formalin/PFA-fixed paraffin-embedded sections) - Anti-HAND2 antibody [EPR19451] (AB200040)

Immunohistochemical analysis of paraffin-embedded rat E14.5 embryonic tissue labeling HAND2 with ab200040 at 1/1000 dilution, followed by Goat Anti-Rabbit IgG H&L (HRP) Ready to use. Nuclear staining in multiple rat embryonic (E14.5) tissues (PMID : 25248475). Counter stained with hematoxylin.

Secondary antibody only control : Used PBS instead of primary antibody, secondary antibody is Goat Anti-Rabbit IgG H&L (HRP) Ready to use.

Perform heat mediated antigen retrieval with Tris/EDTA buffer pH 9.0 before commencing with IHC staining protocol.

Immunohistochemistry (Formalin/PFA-fixed paraffin-embedded sections) - Anti-HAND2 antibody [EPR19451] (AB200040)
  • IHC-P

Supplier Data

Immunohistochemistry (Formalin/PFA-fixed paraffin-embedded sections) - Anti-HAND2 antibody [EPR19451] (AB200040)

Immunohistochemical analysis of paraffin-embedded mouse E14.5 embryo tissue labeling HAND2 with ab200040 at 1/1000 dilution, followed by Goat Anti-Rabbit IgG H&L (HRP) Ready to use. Nuclear staining in multiple tissues of E14.5 mouse embryo (PMID : 25248475). Counter stained with hematoxylin.

Secondary antibody only control : Used PBS instead of primary antibody, secondary antibody is Goat Anti-Rabbit IgG H&L (HRP) Ready to use.

Perform heat mediated antigen retrieval with Tris/EDTA buffer pH 9.0 before commencing with IHC staining protocol.

Western blot - Anti-HAND2 antibody [EPR19451] (AB200040)
  • WB

Supplier Data

Western blot - Anti-HAND2 antibody [EPR19451] (AB200040)

Blocking/Dilution buffer : 5% NFDM/TBST.

The plasmid was kindly provided by Dr. Zhongzhou Yang from Nanjing University.

All lanes:

Western blot - Anti-HAND2 antibody [EPR19451] (ab200040) at 1/1000 dilution

Lane 1:

HEK-293T (human epithelial cell line from embryonic kidney transformed with large T antigen) transfected with an empty vector (vector control) containing a myc tag, whole cell lysate at 10 µg

Lane 2:

HEK-293T (human epithelial cell line from embryonic kidney transformed with large T antigen) transfected with mouse HAND2 expression vector containing a myc tag, whole cell lysate at 10 µg

Secondary

All lanes:

Western blot - Goat Anti-Rabbit IgG H&L (HRP) (<a href='/en-us/products/secondary-antibodies/goat-rabbit-igg-h-l-hrp-ab97051'>ab97051</a>) at 1/100000 dilution

Predicted band size: 116 kDa,24 kDa

Observed band size: 117 kDa,26 kDa

true

Exposure time: 1s

Immunohistochemistry (Formalin/PFA-fixed paraffin-embedded sections) - Anti-HAND2 antibody [EPR19451] (AB200040)
  • IHC-P

Supplier Data

Immunohistochemistry (Formalin/PFA-fixed paraffin-embedded sections) - Anti-HAND2 antibody [EPR19451] (AB200040)

Immunohistochemical analysis of paraffin-embedded rat E14.5 embryonic gut tissue labeling HAND2 with ab200040 at 1/1000 dilution, followed by Goat Anti-Rabbit IgG H&L (HRP) Ready to use. Nuclear staining in rat E14.5 embryonic gut (PMID : 25248475). Counter stained with hematoxylin.

Secondary antibody only control : Used PBS instead of primary antibody, secondary antibody is Goat Anti-Rabbit IgG H&L (HRP) Ready to use.

Perform heat mediated antigen retrieval with Tris/EDTA buffer pH 9.0 before commencing with IHC staining protocol.

Immunoprecipitation - Anti-HAND2 antibody [EPR19451] (AB200040)
  • IP

Supplier Data

Immunoprecipitation - Anti-HAND2 antibody [EPR19451] (AB200040)

HAND2 was immunoprecipitated from 0.35 mg of SH-SY5Y (human neuroblastoma cell line from bone marrow) whole cell lysate with ab200040 at 1/30 dilution. Western blot was performed from the immunoprecipitate using ab200040 at 1/500 dilution. VeriBlot for IP Detection Reagent (HRP) (ab131366), was used for detection at 1/1000 dilution.

Lane 1 : SH-SY5Y whole cell lysate 10 μg (Input).

Lane 2 : ab200040 IP in SH-SY5Y whole cell lysate.

Lane 3 : Rabbit monoclonal IgG (ab172730) instead of ab200040 in SH-SY5Y whole cell lysate.

Exposure time : Less than 1 second.

Blocking and dilution buffer and concentration : 5% NFDM/TBST.

All lanes:

Immunoprecipitation - Anti-HAND2 antibody [EPR19451] (ab200040)

Predicted band size: 24 kDa

Observed band size: 26 kDa

false

Western blot - Anti-HAND2 antibody [EPR19451] (AB200040)
  • WB

Supplier Data

Western blot - Anti-HAND2 antibody [EPR19451] (AB200040)

Exposure times : Lane 1 : 3 minutes; Lane 2 : 10 seconds.

Blocking/Dilution buffer : 5% NFDM/TBST.

The molecular mass observed is consistent with what has been described in the literature (PMID : 26166202); the upper band could be ubiquitinated Hand2 (PMID 21170031).

All lanes:

Western blot - Anti-HAND2 antibody [EPR19451] (ab200040) at 1/1000 dilution

Lane 1:

Neuro-2a (mouse neuroblastoma cell line) whole cell lysate at 10 µg

Lane 2:

SH-SY5Y (human neuroblastoma cell line from bone marrow) whole cell lysate at 10 µg

Secondary

All lanes:

Western blot - Goat Anti-Rabbit IgG H&L (HRP) (<a href='/en-us/products/secondary-antibodies/goat-rabbit-igg-h-l-hrp-ab97051'>ab97051</a>) at 1/100000 dilution

Predicted band size: 24 kDa

Observed band size: 25 kDa

true

  • Carrier free

    Anti-HAND2 antibody [EPR19451] - BSA and Azide free

Key facts

Host species

Rabbit

Clonality

Monoclonal

Clone number

EPR19451

Isotype

IgG

Carrier free

No

Reacts with

Mouse, Rat, Human

Applications

WB, IHC-P, IP, ICC/IF, Flow Cyt (Intra)

applications

Immunogen

The exact immunogen used to generate this antibody is proprietary information.

Reactivity data

{ "title": "Reactivity Data", "filters": { "stats": ["", "Species", "Dilution Info", "Notes"], "tabs": { "all-applications": {"fullname" : "All Applications", "shortname": "All Applications"}, "IP" : {"fullname" : "Immunoprecipitation", "shortname":"IP"}, "WB" : {"fullname" : "Western blot", "shortname":"WB"}, "ICCIF" : {"fullname" : "Immunocytochemistry/ Immunofluorescence", "shortname":"ICC/IF"}, "FlowCytIntra" : {"fullname" : "Flow Cytometry (Intracellular)", "shortname":"Flow Cyt (Intra)"}, "IHCP" : {"fullname" : "Immunohistochemistry (Formalin/PFA-fixed paraffin-embedded sections)", "shortname":"IHC-P"} }, "product-promise": { "all": "all", "testedAndGuaranteed": "tested", "guaranteed": "expected", "predicted": "predicted", "notRecommended": "not-recommended" } }, "values": { "Human": { "IP-species-checked": "testedAndGuaranteed", "IP-species-dilution-info": "1/30", "IP-species-notes": "<p></p>", "WB-species-checked": "testedAndGuaranteed", "WB-species-dilution-info": "1/1000", "WB-species-notes": "<p></p>", "ICCIF-species-checked": "testedAndGuaranteed", "ICCIF-species-dilution-info": "1/100", "ICCIF-species-notes": "<p></p>", "FlowCytIntra-species-checked": "guaranteed", "FlowCytIntra-species-dilution-info": "", "FlowCytIntra-species-notes": "", "IHCP-species-checked": "guaranteed", "IHCP-species-dilution-info": "", "IHCP-species-notes": "" }, "Mouse": { "IP-species-checked": "guaranteed", "IP-species-dilution-info": "", "IP-species-notes": "", "WB-species-checked": "testedAndGuaranteed", "WB-species-dilution-info": "1/1000", "WB-species-notes": "<p></p>", "ICCIF-species-checked": "testedAndGuaranteed", "ICCIF-species-dilution-info": "1/100", "ICCIF-species-notes": "<p></p>", "FlowCytIntra-species-checked": "testedAndGuaranteed", "FlowCytIntra-species-dilution-info": "1/400", "FlowCytIntra-species-notes": "<p></p>", "IHCP-species-checked": "testedAndGuaranteed", "IHCP-species-dilution-info": "1/1000", "IHCP-species-notes": "<p>The human species recommendation is based on the WB results. We do not guarantee IHC-P for human species.</p>" }, "Rat": { "IP-species-checked": "guaranteed", "IP-species-dilution-info": "", "IP-species-notes": "", "WB-species-checked": "guaranteed", "WB-species-dilution-info": "", "WB-species-notes": "", "ICCIF-species-checked": "guaranteed", "ICCIF-species-dilution-info": "", "ICCIF-species-notes": "", "FlowCytIntra-species-checked": "guaranteed", "FlowCytIntra-species-dilution-info": "", "FlowCytIntra-species-notes": "", "IHCP-species-checked": "testedAndGuaranteed", "IHCP-species-dilution-info": "1/1000", "IHCP-species-notes": "<p>The human species recommendation is based on the WB results. We do not guarantee IHC-P for human species.</p>" }, "Transfected cell lysate - Mouse": { "IP-species-checked": "notRecommended", "IP-species-dilution-info": "", "IP-species-notes": "", "WB-species-checked": "testedAndGuaranteed", "WB-species-dilution-info": "1/1000", "WB-species-notes": "<p></p>", "ICCIF-species-checked": "notRecommended", "ICCIF-species-dilution-info": "", "ICCIF-species-notes": "", "FlowCytIntra-species-checked": "notRecommended", "FlowCytIntra-species-dilution-info": "", "FlowCytIntra-species-notes": "", "IHCP-species-checked": "notRecommended", "IHCP-species-dilution-info": "", "IHCP-species-notes": "" } } }

Product details

What is this antibody validated in?
Anti-HAND2 antibody [EPR19451] (ab200040) is a rabbit recombinant monoclonal antibody and is validated for use in Western Blot (WB), Flow Cytometry (Intra), Flow Cytometry (Flow Cyt), Immunoprecipitation (IP), Immunohistochemistry (IHC-P), Immunocytochemistry/immunofluorescence (ICC/IF) in Human, Mouse, Rat samples.

What is the molecular weight of HAND2?
Anti-HAND2 [EPR19451] (ab200040) specifically detects a band for HAND2 (UniProt: Q61039) at a molecular weight of 24kDa.

Trusted by the scientific community
Anti-HAND2 [EPR19451] (ab200040) was first used in a scientific publication in 2017 and has been cited over 10 times in peer-reviewed journals.

Trial sizes available!
Test your antibody or perform pre-screening before committing to a larger quantity. Sold in 10µl. Discover our selection of trial-size antibodies.

Other related products
We have a range of other formats of antibody clone [EPR19451] also available for your convenience: ab200040, Carrier free - ab240353

Patented technology
Our RabMAb® technology is a patented hybridoma-based technology for making rabbit monoclonal antibodies. For details on our patents, please refer to RabMAb® patents.

What are the advantages of a recombinant monoclonal antibody?
This product is a recombinant monoclonal antibody, which offers several advantages including:

  • - High batch-to-batch consistency and reproducibility
  • - Improved sensitivity and specificity
  • - Long-term security of supply
  • - Animal-free batch production

For more information, read more on recombinant antibodies.

Properties and storage information

Form
Liquid
Purification technique
Affinity purification Protein A
Storage buffer
pH: 7.2 - 7.4 Preservative: 0.01% Sodium azide Constituents: PBS, 40% Glycerol (glycerin, glycerine), 0.05% BSA
Shipped at conditions
Blue Ice
Appropriate short-term storage duration
1-2 weeks
Appropriate short-term storage conditions
+4°C
Appropriate long-term storage conditions
-20°C
Aliquoting information
Upon delivery aliquot
Storage information
Avoid freeze / thaw cycle

Supplementary information

This supplementary information is collated from multiple sources and compiled automatically.

HAND2 also known as Heart and Neural Crest Derivatives Expressed 2 is a transcription factor weighing approximately 22 kDa. This protein plays an important role in regulating the expression of genes necessary for specific cell differentiation processes. HAND2 is widely expressed in cardiac and neural tissues with a particular emphasis on the developing heart and nervous system. It belongs to the basic helix-loop-helix (bHLH) family of transcription factors which are known for their function in binding to E-box sequences in DNA and controlling gene expression.
Biological function summary

HAND2 influences cardiac morphogenesis and contributes to neural crest cell migration. It engages in complex interactions with other transcription factors to modulate the expression of genes involved in these processes. HAND2 operates as part of a transcriptional complex often forming heterodimers with other bHLH proteins like E47 and HEB which enhances its DNA-binding capability and specificity. This interaction is essential for the activation of downstream targets that control cellular differentiation and proliferation in cardiac and neural development.

Pathways

HAND2 is an important participant in both heart development and neural crest cell signaling. It integrates signals in the BMP (Bone Morphogenetic Protein) pathway and partners with proteins such as NKX2-5 and GATA4 which are critical for orchestrating cardiac gene expression. HAND2 also plays a significant role in the WNT signaling pathway contributing to the proper guidance and differentiation of neural crest derivatives.

HAND2 mutations or dysregulation have links to congenital heart defects and neural crest-related disorders. In congenital heart defects altered HAND2 function impacts the expression levels of NKX2-5 and GATA4 leading to improper heart formation. Additionally HAND2's involvement in neural crest cell development associates its dysregulation with diseases such as Hirschsprung's disease. Pathological changes in HAND2 activity potentially disrupt the normal neural crest migration patterns contributing to these developmental anomalies.

Product protocols

For this product, it's our understanding that no specific protocols are required. You can visit:

Target data

Essential for cardiac morphogenesis, particularly for the formation of the right ventricle and of the aortic arch arteries. Required for vascular development and regulation of angiogenesis, possibly through a VEGF signaling pathway. Also plays an important role in limb development, particularly in the establishment of anterior-posterior polarization, acting as an upstream regulator of sonic hedgehog (SHH) induction in the limb bud. Is involved in the development of branchial arches, which give rise to unique structures in the head and neck. Binds DNA on E-box consensus sequence 5'-CANNTG-3' (By similarity).
See full target information HAND2

Publications (11)

Recent publications for all applications. Explore the full list and refine your search

Endocrine pathology 35:14-24 PubMed38416360

2024

Hand2 Immunohistochemistry in the Diagnosis of Paragangliomas and Other Neuroendocrine Neoplasms.

Applications

Unspecified application

Species

Unspecified reactive species

Jiri Soukup,Monika Manethova,Vaclav Stejskal,Marie Novakova,Jaroslava Duskova,Helena Hornychova,Maria Hacova,Iva Staniczkova-Zambo,Tomas Zelinka,Mikulas Kosak,Tomas Cesak,David Netuka,Ales Ryska,Filip Gabalec

Journal of the Endocrine Society 7:bvad049 PubMed37153110

2023

Regulation of HAND2 Expression by LncRNA in Ovarian Endometriosis Involving DNA Methylation.

Applications

Unspecified application

Species

Unspecified reactive species

Lingli Liu,Huijing Dong,Yining Guan,Tingting Fan,Wenxia Sun,Indrani C Bagchi,Congxiu Miao,Quanxi Li

Nutrients 15: PubMed36986136

2023

Kaempferol, a Phytoprogestin, Induces a Subset of Progesterone-Regulated Genes in the Uterus.

Applications

Unspecified application

Species

Unspecified reactive species

Tova M Bergsten,Kailiang Li,Daniel D Lantvit,Brian T Murphy,Joanna E Burdette

Journal of animal science and biotechnology 14:6 PubMed36604722

2023

Cysteine dioxygenase and taurine are essential for embryo implantation by involving in E-ERα and P-PR signaling in mouse.

Applications

Unspecified application

Species

Unspecified reactive species

Di Zhang,Zhijuan Wang,Xuan Luo,Hongzhou Guo,Guobin Qiu,Yuneng Gong,Hongxu Gao,Sheng Cui

Cell death & disease 13:871 PubMed36243768

2022

Loss of CASZ1 tumor suppressor linked to oncogenic subversion of neuroblastoma core regulatory circuitry.

Applications

Unspecified application

Species

Unspecified reactive species

Zhihui Liu,Xiyuan Zhang,Man Xu,Haiyan Lei,Jack F Shern,Carol J Thiele

Communications biology 5:820 PubMed35970860

2022

Single-cell transcriptomic profiling unveils dysregulation of cardiac progenitor cells and cardiomyocytes in a mouse model of maternal hyperglycemia.

Applications

Unspecified application

Species

Unspecified reactive species

Sathiyanarayanan Manivannan,Corrin Mansfield,Xinmin Zhang,Karthik M Kodigepalli,Uddalak Majumdar,Vidu Garg,Madhumita Basu

Journal of natural products 85:237-247 PubMed34935393

2021

The Flavonoid Baicalein Negatively Regulates Progesterone Target Genes in the Uterus .

Applications

Unspecified application

Species

Unspecified reactive species

Kailiang Li,Djeneba Diakite,Julia Austin,Jung-Ho Lee,Daniel D Lantvit,Brian T Murphy,Joanna E Burdette

Journal of visualized experiments : JoVE : PubMed34605811

2021

Generating Self-Assembling Human Heart Organoids Derived from Pluripotent Stem Cells.

Applications

Unspecified application

Species

Unspecified reactive species

Yonatan R Lewis-Israeli,Brett D Volmert,Mitchell A Gabalski,Amanda R Huang,Aitor Aguirre

Biology of reproduction 105:859-875 PubMed34106247

2021

Loss of basigin expression in uterine cells leads to subfertility in female mice†.

Applications

Unspecified application

Species

Unspecified reactive species

Kailiang Li,Quanxi Li,Shah Tauseef Bashir,Brent M Bany,Romana A Nowak

Development (Cambridge, England) 146: PubMed31201155

2019

HAND2-mediated epithelial maintenance and integrity in cardiac outflow tract morphogenesis.

Applications

Unspecified application

Species

Unspecified reactive species

Meng Xia,Wen Luo,Hengwei Jin,Zhongzhou Yang
View all publications

Product promise

We are committed to supporting your work with high-quality reagents, and we're here for you every step of the way. In the unlikely event that one of our products does not perform as expected, you're protected by our Product Promise.
For full details, please see our Terms & Conditions

Please note: All products are 'FOR RESEARCH USE ONLY. NOT FOR USE IN DIAGNOSTIC OR THERAPEUTIC PROCEDURES'.

For licensing inquiries, please contact partnerships@abcam.com