JavaScript is disabled in your browser. Please enable JavaScript to view this website.
AB240353

Anti-HAND2 antibody [EPR19451] - BSA and Azide free

4

(1 Review)

|

(1 Publication)

Rabbit Recombinant Monoclonal HAND2 antibody. Carrier free. Suitable for IP, WB, ICC/IF, Flow Cyt (Intra), IHC-P and reacts with Human, Mouse, Rat samples. Cited in 1 publication.

View Alternative Names

BHLHA26, DHAND, HAND2, Heart- and neural crest derivatives-expressed protein 2, Class A basic helix-loop-helix protein 26, bHLHa26, dHAND

8 Images
Immunocytochemistry/ Immunofluorescence - Anti-HAND2 antibody [EPR19451] - BSA and Azide free (AB240353)
  • ICC/IF

Supplier Data

Immunocytochemistry/ Immunofluorescence - Anti-HAND2 antibody [EPR19451] - BSA and Azide free (AB240353)

Immunofluorescent analysis of 4% paraformaldehyde-fixed, 0.1% Triton X-100 permeabilized SH-SY5Y (human neuroblastoma cell line from bone marrow) cells labeling HAND2 with ab200040 at 1/100 dilution followed by Goat Anti-Rabbit IgG H&L (Alexa Fluor® 488) (ab150077) secondary antibody at 1/1000 dilution (green). Nuclear staining in SH-SY5Y cell line.

The nuclear counter stain is DAPI (blue). Tubulin is detected with Anti-alpha Tubulin antibody [DM1A] - Microtubule Marker (Alexa Fluor® 594) (ab195889) (red) at 1/200 dilution.

Secondary antibody only control : Used PBS instead of primary antibody, secondary antibody is Goat Anti-Rabbit IgG H&L (Alexa Fluor® 488) (ab150077) secondary antibody at 1/1000 dilution.

This data was developed using the same antibody clone in a different buffer formulation containing PBS, BSA, glycerol, and sodium azide (ab200040).

Flow Cytometry (Intracellular) - Anti-HAND2 antibody [EPR19451] - BSA and Azide free (AB240353)
  • Flow Cyt (Intra)

Supplier Data

Flow Cytometry (Intracellular) - Anti-HAND2 antibody [EPR19451] - BSA and Azide free (AB240353)

Intracellular flow cytometric analysis of 4% paraformaldehyde-fixed, 90% methanol-permeabilized Neuro-2a (mouse neuroblastoma cell line) cell line labeling HAND2 with ab200040 at 1/400 dilution (red) compared with a Rabbit IgG, monoclonal [EPR25A] - Isotype Control (ab172730) (black) and an unlabeled control (cells without incubation with primary antibody and secondary antibody) (blue). Goat Anti-Rabbit IgG H&L (Alexa Fluor® 488) (ab150077) at 1/2000 dilution was used as the secondary antibody.

This data was developed using the same antibody clone in a different buffer formulation containing PBS, BSA, glycerol, and sodium azide (ab200040).

Immunohistochemistry (Formalin/PFA-fixed paraffin-embedded sections) - Anti-HAND2 antibody [EPR19451] - BSA and Azide free (AB240353)
  • IHC-P

Supplier Data

Immunohistochemistry (Formalin/PFA-fixed paraffin-embedded sections) - Anti-HAND2 antibody [EPR19451] - BSA and Azide free (AB240353)

Immunohistochemical analysis of paraffin-embedded rat E14.5 embryonic tissue labeling HAND2 with ab200040 at 1/1000 dilution, followed by Goat Anti-Rabbit IgG H&L (HRP) Ready to use. Nuclear staining in multiple rat embryonic (E14.5) tissues (PMID : 25248475). Counter stained with hematoxylin.

Secondary antibody only control : Used PBS instead of primary antibody, secondary antibody is Goat Anti-Rabbit IgG H&L (HRP) Ready to use.

This data was developed using the same antibody clone in a different buffer formulation containing PBS, BSA, glycerol, and sodium azide (ab200040).

Perform heat mediated antigen retrieval with Tris/EDTA buffer pH 9.0 before commencing with IHC staining protocol.

Immunohistochemistry (Formalin/PFA-fixed paraffin-embedded sections) - Anti-HAND2 antibody [EPR19451] - BSA and Azide free (AB240353)
  • IHC-P

Supplier Data

Immunohistochemistry (Formalin/PFA-fixed paraffin-embedded sections) - Anti-HAND2 antibody [EPR19451] - BSA and Azide free (AB240353)

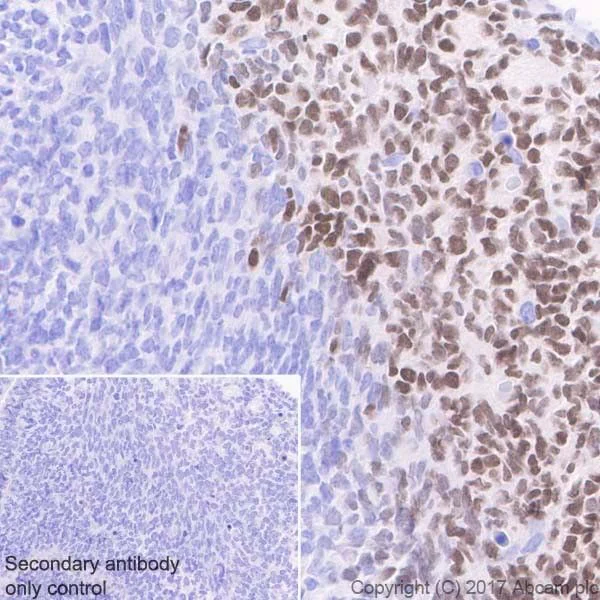
Immunohistochemical analysis of paraffin-embedded mouse E14.5 embryo tissue labeling HAND2 with ab200040 at 1/1000 dilution, followed by Goat Anti-Rabbit IgG H&L (HRP) Ready to use. Nuclear staining in multiple tissues of E14.5 mouse embryo (PMID : 25248475). Counter stained with hematoxylin.

Secondary antibody only control : Used PBS instead of primary antibody, secondary antibody is Goat Anti-Rabbit IgG H&L (HRP) Ready to use.

This data was developed using the same antibody clone in a different buffer formulation containing PBS, BSA, glycerol, and sodium azide (ab200040).

Perform heat mediated antigen retrieval with Tris/EDTA buffer pH 9.0 before commencing with IHC staining protocol.

Immunohistochemistry (Formalin/PFA-fixed paraffin-embedded sections) - Anti-HAND2 antibody [EPR19451] - BSA and Azide free (AB240353)
  • IHC-P

Supplier Data

Immunohistochemistry (Formalin/PFA-fixed paraffin-embedded sections) - Anti-HAND2 antibody [EPR19451] - BSA and Azide free (AB240353)

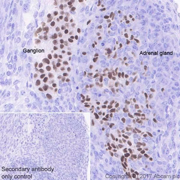
Immunohistochemical analysis of paraffin-embedded mouse E14.5 embryonic adrenal gland tissue labeling HAND2 with ab200040 at 1/1000 dilution, followed by Goat Anti-Rabbit IgG H&L (HRP) Ready to use. Nuclear staining in mouse embryonic (E14.5) ganglion and adrenal gland (PMID : 25248475). Counter stained with hematoxylin.

Secondary antibody only control : Used PBS instead of primary antibody, secondary antibody is Goat Anti-Rabbit IgG H&L (HRP) Ready to use.

This data was developed using the same antibody clone in a different buffer formulation containing PBS, BSA, glycerol, and sodium azide (ab200040).

Perform heat mediated antigen retrieval with Tris/EDTA buffer pH 9.0 before commencing with IHC staining protocol.

Immunocytochemistry/ Immunofluorescence - Anti-HAND2 antibody [EPR19451] - BSA and Azide free (AB240353)
  • ICC/IF

Supplier Data

Immunocytochemistry/ Immunofluorescence - Anti-HAND2 antibody [EPR19451] - BSA and Azide free (AB240353)

Immunofluorescent analysis of 4% paraformaldehyde-fixed, 0.1% Triton X-100 permeabilized Neuro-2a (mouse neuroblastoma cell line) cells labeling HAND2 with ab200040 at 1/100 dilution followed by Goat Anti-Rabbit IgG H&L (Alexa Fluor® 488) (ab150077) secondary antibody at 1/1000 dilution (green). Nuclear staining in Neuro-2a cell line.

The nuclear counter stain is DAPI (blue). Tubulin is detected with Anti-alpha Tubulin antibody [DM1A] - Microtubule Marker (Alexa Fluor® 594) (ab195889) (red) at 1/200 dilution.

Secondary antibody only control : Used PBS instead of primary antibody, secondary antibody is Goat Anti-Rabbit IgG H&L (Alexa Fluor® 488) (ab150077) secondary antibody at 1/1000 dilution.

This data was developed using the same antibody clone in a different buffer formulation containing PBS, BSA, glycerol, and sodium azide (ab200040).

Immunohistochemistry (Formalin/PFA-fixed paraffin-embedded sections) - Anti-HAND2 antibody [EPR19451] - BSA and Azide free (AB240353)
  • IHC-P

Supplier Data

Immunohistochemistry (Formalin/PFA-fixed paraffin-embedded sections) - Anti-HAND2 antibody [EPR19451] - BSA and Azide free (AB240353)

Immunohistochemical analysis of paraffin-embedded rat E14.5 embryonic gut tissue labeling HAND2 with ab200040 at 1/1000 dilution, followed by Goat Anti-Rabbit IgG H&L (HRP) Ready to use. Nuclear staining in rat E14.5 embryonic gut (PMID : 25248475). Counter stained with hematoxylin.

Secondary antibody only control : Used PBS instead of primary antibody, secondary antibody is Goat Anti-Rabbit IgG H&L (HRP) Ready to use.

This data was developed using the same antibody clone in a different buffer formulation containing PBS, BSA, glycerol, and sodium azide (ab200040).

Perform heat mediated antigen retrieval with Tris/EDTA buffer pH 9.0 before commencing with IHC staining protocol.

Immunoprecipitation - Anti-HAND2 antibody [EPR19451] - BSA and Azide free (AB240353)
  • IP

Supplier Data

Immunoprecipitation - Anti-HAND2 antibody [EPR19451] - BSA and Azide free (AB240353)

HAND2 was immunoprecipitated from 0.35 mg of SH-SY5Y (human neuroblastoma cell line from bone marrow) whole cell lysate with ab200040 at 1/30 dilution. Western blot was performed from the immunoprecipitate using ab200040 at 1/500 dilution. VeriBlot for IP Detection Reagent (HRP) (ab131366), was used for detection at 1/1000 dilution.

Lane 1 : SH-SY5Y whole cell lysate 10 μg (Input).

Lane 2 : ab200040 IP in SH-SY5Y whole cell lysate.

Lane 3 : Rabbit monoclonal IgG (ab172730) instead of ab200040 in SH-SY5Y whole cell lysate.

Exposure time : Less than 1 second.

Blocking and dilution buffer and concentration : 5% NFDM/TBST.

This data was developed using the same antibody clone in a different buffer formulation containing PBS, BSA, glycerol, and sodium azide (ab200040).

All lanes:

Immunoprecipitation - Anti-HAND2 antibody [EPR19451] (<a href='/en-us/products/primary-antibodies/hand2-antibody-epr19451-ab200040'>ab200040</a>)

Predicted band size: 24 kDa

Observed band size: 26 kDa

false

Key facts

Host species

Rabbit

Clonality

Monoclonal

Clone number

EPR19451

Isotype

IgG

Carrier free

Yes

Reacts with

Mouse, Rat, Human

Applications

WB, IP, Flow Cyt (Intra), ICC/IF, IHC-P

applications

Immunogen

The exact immunogen used to generate this antibody is proprietary information.

Reactivity data

{ "title": "Reactivity Data", "filters": { "stats": ["", "Species", "Dilution Info", "Notes"], "tabs": { "all-applications": {"fullname" : "All Applications", "shortname": "All Applications"}, "IP" : {"fullname" : "Immunoprecipitation", "shortname":"IP"}, "WB" : {"fullname" : "Western blot", "shortname":"WB"}, "ICCIF" : {"fullname" : "Immunocytochemistry/ Immunofluorescence", "shortname":"ICC/IF"}, "FlowCytIntra" : {"fullname" : "Flow Cytometry (Intracellular)", "shortname":"Flow Cyt (Intra)"}, "IHCP" : {"fullname" : "Immunohistochemistry (Formalin/PFA-fixed paraffin-embedded sections)", "shortname":"IHC-P"} }, "product-promise": { "all": "all", "testedAndGuaranteed": "tested", "guaranteed": "expected", "predicted": "predicted", "notRecommended": "not-recommended" } }, "values": { "Human": { "IP-species-checked": "testedAndGuaranteed", "IP-species-dilution-info": "", "IP-species-notes": "<p></p> Perform heat-mediated antigen retrieval with Tris/EDTA buffer pH 9.0 before commencing with IHC staining protocol.", "WB-species-checked": "guaranteed", "WB-species-dilution-info": "", "WB-species-notes": "<p></p>", "ICCIF-species-checked": "guaranteed", "ICCIF-species-dilution-info": "", "ICCIF-species-notes": "", "FlowCytIntra-species-checked": "guaranteed", "FlowCytIntra-species-dilution-info": "", "FlowCytIntra-species-notes": "", "IHCP-species-checked": "guaranteed", "IHCP-species-dilution-info": "", "IHCP-species-notes": "" }, "Mouse": { "IP-species-checked": "guaranteed", "IP-species-dilution-info": "", "IP-species-notes": "", "WB-species-checked": "guaranteed", "WB-species-dilution-info": "", "WB-species-notes": "<p></p>", "ICCIF-species-checked": "testedAndGuaranteed", "ICCIF-species-dilution-info": "", "ICCIF-species-notes": "<p></p>", "FlowCytIntra-species-checked": "testedAndGuaranteed", "FlowCytIntra-species-dilution-info": "", "FlowCytIntra-species-notes": "<p></p>", "IHCP-species-checked": "testedAndGuaranteed", "IHCP-species-dilution-info": "", "IHCP-species-notes": "<p></p> Perform heat-mediated antigen retrieval with Tris/EDTA buffer pH 9.0 before commencing with IHC staining protocol." }, "Rat": { "IP-species-checked": "predicted", "IP-species-dilution-info": "", "IP-species-notes": "", "WB-species-checked": "guaranteed", "WB-species-dilution-info": "", "WB-species-notes": "<p></p>", "ICCIF-species-checked": "predicted", "ICCIF-species-dilution-info": "", "ICCIF-species-notes": "", "FlowCytIntra-species-checked": "predicted", "FlowCytIntra-species-dilution-info": "", "FlowCytIntra-species-notes": "", "IHCP-species-checked": "predicted", "IHCP-species-dilution-info": "", "IHCP-species-notes": "" } } }

Product details

ab240353 is the carrier-free version of ab200040.

Patented technology
Our RabMAb® technology is a patented hybridoma-based technology for making rabbit monoclonal antibodies. For details on our patents, please refer to RabMAb® patents.

What are the advantages of a recombinant monoclonal antibody?
This product is a recombinant monoclonal antibody, which offers several advantages including:

  • - High batch-to-batch consistency and reproducibility
  • - Improved sensitivity and specificity
  • - Long-term security of supply
  • - Animal-free batch production

For more information, read more on recombinant antibodies.

Conjugation ready
Our carrier-free antibodies are typically supplied in a PBS-only formulation, purified and free of BSA, sodium azide and glycerol. This conjugation-ready format is designed for use with fluorochromes, metal isotopes, oligonucleotides, and enzymes, which makes them ideal for antibody labelling, functional and cell-based assays, flow-based assays (e.g. mass cytometry) and Multiplex Imaging applications.

Use our conjugation kits for antibody conjugates that are ready-to-use in as little as 20 minutes with 1 minute hands-on-time and 100% antibody recovery: available for fluorescent dyes, HRP, biotin and gold.

Compatibility
This product is compatible with the Maxpar® Antibody Labeling Kit from Fluidigm, without the need for antibody preparation. Maxpar® is a trademark of Fluidigm Canada Inc.

Properties and storage information

Form
Liquid
Purification technique
Affinity purification Protein A
Storage buffer
pH: 7.2 - 7.4 Constituents: 100% PBS
Shipped at conditions
Blue Ice
Appropriate short-term storage conditions
+4°C
Appropriate long-term storage conditions
+4°C
Storage information
Do Not Freeze

Supplementary information

This supplementary information is collated from multiple sources and compiled automatically.

HAND2 also known as Heart and Neural Crest Derivatives Expressed 2 is a transcription factor weighing approximately 22 kDa. This protein plays an important role in regulating the expression of genes necessary for specific cell differentiation processes. HAND2 is widely expressed in cardiac and neural tissues with a particular emphasis on the developing heart and nervous system. It belongs to the basic helix-loop-helix (bHLH) family of transcription factors which are known for their function in binding to E-box sequences in DNA and controlling gene expression.
Biological function summary

HAND2 influences cardiac morphogenesis and contributes to neural crest cell migration. It engages in complex interactions with other transcription factors to modulate the expression of genes involved in these processes. HAND2 operates as part of a transcriptional complex often forming heterodimers with other bHLH proteins like E47 and HEB which enhances its DNA-binding capability and specificity. This interaction is essential for the activation of downstream targets that control cellular differentiation and proliferation in cardiac and neural development.

Pathways

HAND2 is an important participant in both heart development and neural crest cell signaling. It integrates signals in the BMP (Bone Morphogenetic Protein) pathway and partners with proteins such as NKX2-5 and GATA4 which are critical for orchestrating cardiac gene expression. HAND2 also plays a significant role in the WNT signaling pathway contributing to the proper guidance and differentiation of neural crest derivatives.

HAND2 mutations or dysregulation have links to congenital heart defects and neural crest-related disorders. In congenital heart defects altered HAND2 function impacts the expression levels of NKX2-5 and GATA4 leading to improper heart formation. Additionally HAND2's involvement in neural crest cell development associates its dysregulation with diseases such as Hirschsprung's disease. Pathological changes in HAND2 activity potentially disrupt the normal neural crest migration patterns contributing to these developmental anomalies.

Product protocols

For this product, it's our understanding that no specific protocols are required. You can visit:

Target data

Essential for cardiac morphogenesis, particularly for the formation of the right ventricle and of the aortic arch arteries. Required for vascular development and regulation of angiogenesis, possibly through a VEGF signaling pathway. Also plays an important role in limb development, particularly in the establishment of anterior-posterior polarization, acting as an upstream regulator of sonic hedgehog (SHH) induction in the limb bud. Is involved in the development of branchial arches, which give rise to unique structures in the head and neck. Binds DNA on E-box consensus sequence 5'-CANNTG-3' (By similarity).
See full target information HAND2

Publications (1)

Recent publications for all applications. Explore the full list and refine your search

Experimental dermatology 33:e15009 PubMed38284185

2024

Road-traffic-related air pollution contributes to skin barrier alteration and growth defect of sensory neurons.

Applications

Unspecified application

Species

Unspecified reactive species

Christelle Le Gall-Lanotto,Anthony Verdin,Fabrice Cazier,Adeline Bataille-Savattier,Christelle Guéré,Marie M Dorr,Joachim W Fluhr,Dominique Courcot,Katell Vié,Laurent Misery
View all publications

Product promise

We are committed to supporting your work with high-quality reagents, and we're here for you every step of the way. In the unlikely event that one of our products does not perform as expected, you're protected by our Product Promise.
For full details, please see our Terms & Conditions

Please note: All products are 'FOR RESEARCH USE ONLY. NOT FOR USE IN DIAGNOSTIC OR THERAPEUTIC PROCEDURES'.

For licensing inquiries, please contact partnerships@abcam.com