JavaScript is disabled in your browser. Please enable JavaScript to view this website.
AB231000

Anti-Haptoglobin antibody

Be the first to review this product! Submit a review

|

(2 Publications)

Rabbit Polyclonal Haptoglobin antibody. Suitable for WB, IHC-P and reacts with Mouse, Rat, Human samples. Cited in 2 publications. Immunogen corresponding to Recombinant Fragment Protein within Rat Hp aa 100 to C-terminus.

View Alternative Names

Haptoglobin, Zonulin, HP

9 Images
Immunohistochemistry (Formalin/PFA-fixed paraffin-embedded sections) - Anti-Haptoglobin antibody (AB231000)
  • IHC-P

Supplier Data

Immunohistochemistry (Formalin/PFA-fixed paraffin-embedded sections) - Anti-Haptoglobin antibody (AB231000)

Formalin-fixed, paraffin-embedded rat spleen tissue stained for Haptoglobin with ab231000 at 20 μg/ml in immunohistochemical analysis.

Immunohistochemistry (Formalin/PFA-fixed paraffin-embedded sections) - Anti-Haptoglobin antibody (AB231000)
  • IHC-P

Supplier Data

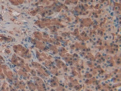
Immunohistochemistry (Formalin/PFA-fixed paraffin-embedded sections) - Anti-Haptoglobin antibody (AB231000)

Formalin-fixed, paraffin-embedded rat liver tissue stained for Haptoglobin with ab231000 at 20 μg/ml in immunohistochemical analysis.

Immunohistochemistry (Formalin/PFA-fixed paraffin-embedded sections) - Anti-Haptoglobin antibody (AB231000)
  • IHC-P

Supplier Data

Immunohistochemistry (Formalin/PFA-fixed paraffin-embedded sections) - Anti-Haptoglobin antibody (AB231000)

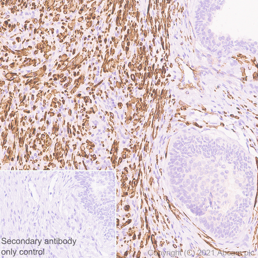
Formalin-fixed, paraffin-embedded rat stomach tissue stained for Haptoglobin with ab231000 at 20 μg/ml in immunohistochemical analysis.

Immunohistochemistry (Formalin/PFA-fixed paraffin-embedded sections) - Anti-Haptoglobin antibody (AB231000)
  • IHC-P

Supplier Data

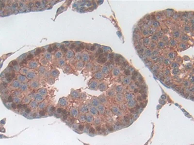
Immunohistochemistry (Formalin/PFA-fixed paraffin-embedded sections) - Anti-Haptoglobin antibody (AB231000)

Formalin-fixed, paraffin-embedded rat testis tissue stained for Haptoglobin with ab231000 at 20 μg/ml in immunohistochemical analysis.

Western blot - Anti-Haptoglobin antibody (AB231000)
  • WB

Supplier Data

Western blot - Anti-Haptoglobin antibody (AB231000)

All lanes:

Western blot - Anti-Haptoglobin antibody (ab231000) at 2 µg/mL

All lanes:

HepG2 (human liver hepatocellular carcinoma cell line) cell lysate

Predicted band size: 45 kDa

false

Western blot - Anti-Haptoglobin antibody (AB231000)
  • WB

Supplier Data

Western blot - Anti-Haptoglobin antibody (AB231000)

All lanes:

Western blot - Anti-Haptoglobin antibody (ab231000) at 2 µg/mL

All lanes:

Recombinant rat Haptoglobin

Predicted band size: 100 kDa,119 kDa,169 kDa,24 kDa,28 kDa,289 kDa,29 kDa,31 kDa,33 kDa,34 kDa,44 kDa,45 kDa,54 kDa,58 kDa,61 kDa,62 kDa,70 kDa,72 kDa,82 kDa,83 kDa

false

Western blot - Anti-Haptoglobin antibody (AB231000)
  • WB

Supplier Data

Western blot - Anti-Haptoglobin antibody (AB231000)

All lanes:

Western blot - Anti-Haptoglobin antibody (ab231000) at 2 µg/mL

All lanes:

Rat serum

Predicted band size: 34 kDa,45 kDa,49 kDa,56 kDa,57 kDa,58 kDa,63 kDa,65 kDa,67 kDa,88 kDa

false

Western blot - Anti-Haptoglobin antibody (AB231000)
  • WB

Supplier Data

Western blot - Anti-Haptoglobin antibody (AB231000)

All lanes:

Western blot - Anti-Haptoglobin antibody (ab231000) at 2 µg/mL

All lanes:

Mouse liver lysate

Predicted band size: 45 kDa

false

Western blot - Anti-Haptoglobin antibody (AB231000)
  • WB

CiteAb

Western blot - Anti-Haptoglobin antibody (AB231000)

Haptoglobin western blot using anti-Haptoglobin antibody ab231000. Publication image and figure legend from Tveitarås, M. K., Selheim, F., et al., 2019, PLoS One, PubMed 31042781.

ab231000 was used in this publication in western blot. This may not be the same as the application(s) guaranteed by Abcam. For a full list of applications guaranteed by Abcam for ab231000 please see the product overview.

Western blot of plasma confirms a major up-regulation of haptoglobin after metastasis.Ponceau S was used as a loading control for total protein.

false

Key facts

Host species

Rabbit

Clonality

Polyclonal

Isotype

IgG

Carrier free

No

Reacts with

Mouse, Rat, Human

Applications

IHC-P, WB

applications

Immunogen

Recombinant Fragment Protein within Rat Hp aa 100 to C-terminus. The exact immunogen used to generate this antibody is proprietary information.

P06866

Reactivity data

{ "title": "Reactivity Data", "filters": { "stats": ["", "Species", "Dilution Info", "Notes"], "tabs": { "all-applications": {"fullname" : "All Applications", "shortname": "All Applications"}, "WB" : {"fullname" : "Western blot", "shortname":"WB"}, "IHCP" : {"fullname" : "Immunohistochemistry (Formalin/PFA-fixed paraffin-embedded sections)", "shortname":"IHC-P"} }, "product-promise": { "all": "all", "testedAndGuaranteed": "tested", "guaranteed": "expected", "predicted": "predicted", "notRecommended": "not-recommended" } }, "values": { "Human": { "WB-species-checked": "testedAndGuaranteed", "WB-species-dilution-info": "0.2-2 µg/mL", "WB-species-notes": "<p></p>", "IHCP-species-checked": "guaranteed", "IHCP-species-dilution-info": "", "IHCP-species-notes": "" }, "Mouse": { "WB-species-checked": "testedAndGuaranteed", "WB-species-dilution-info": "0.2-2 µg/mL", "WB-species-notes": "<p></p>", "IHCP-species-checked": "guaranteed", "IHCP-species-dilution-info": "", "IHCP-species-notes": "" }, "Rat": { "WB-species-checked": "testedAndGuaranteed", "WB-species-dilution-info": "0.2-2 µg/mL", "WB-species-notes": "<p></p>", "IHCP-species-checked": "testedAndGuaranteed", "IHCP-species-dilution-info": "5-20 µg/mL", "IHCP-species-notes": "<p></p>" } } }

Properties and storage information

Form
Liquid
Purification technique
Affinity purification Protein A
Purification notes
Antigen-specific affinity chromatography followed by Protein A affinity chromatography
Storage buffer
pH: 7.4 Preservative: 0.011% Proclin 300 Constituents: PBS, 55.77% Glycerol (glycerin, glycerine)
Shipped at conditions
Blue Ice
Appropriate short-term storage duration
1-2 weeks
Appropriate short-term storage conditions
+4°C
Appropriate long-term storage conditions
-20°C
Aliquoting information
Upon delivery aliquot
Storage information
Avoid freeze / thaw cycle

Supplementary information

This supplementary information is collated from multiple sources and compiled automatically.

Haptoglobin (Hp) also known as Hp protein is a glycoprotein with a molecular weight ranging from 85 to 100 kDa varying due to its ability to form different dimeric and multimeric structures. It is primarily synthesized in the liver and circulating in the plasma. Mechanically haptoglobin binds free hemoglobin released from erythrocytes preventing oxidative damage and hemoglobin-driven deleterious effects. Haptoglobin's binding to hemoglobin forms a haptoglobin-hemoglobin complex that gets cleared by the CD163 receptor on macrophages mainly in the liver and spleen.
Biological function summary

Haptoglobin functions as an antioxidant and an acute phase protein playing roles in inflammation and immune response. It is an essential component of the antioxidant defense system reducing oxidative stress by binding free hemoglobin. Additionally haptoglobin can participate in complex formation with hemoglobin to facilitate the clearance of excess free hemoglobin from circulation. Its expression increases during inflammation under the regulation of cytokines like IL-6.

Pathways

The haptoglobin protein is part of the hemoglobin clearance pathway integral for iron metabolism and homeostasis. This pathway ensures the safe removal of hemoglobin from the blood helping to prevent kidney damage. Haptoglobin is related to other proteins such as CD163 and the liver-derived hepatocellular proteins involved in the clearance process. Also haptoglobin is linked to antioxidant pathways collaborating with oxidative stress regulators to manage reactive oxygen species levels.

Changes in haptoglobin levels are associated with hemolytic anemia and inflammatory conditions. Low haptoglobin levels often suggest hemolytic anemia due to its rapid binding with free hemoglobin in the bloodstream. During inflammation and infections 'anti-Hp' tests (haptoglobin tests) may show increased haptoglobin levels as a response to cytokine signaling. Moreover haptoglobin polymorphisms have a connection with ischemic stroke susceptibility where its isoforms show differing efficiencies in binding free hemoglobin. These findings highlight haptoglobin's relevance as a biomarker for these conditions and illustrate its interaction with hematologic and immune proteins in disease contexts.

Product protocols

For this product, it's our understanding that no specific protocols are required. You can visit:

Target data

As a result of hemolysis, hemoglobin is found to accumulate in the kidney and is secreted in the urine. Haptoglobin captures, and combines with free plasma hemoglobin to allow hepatic recycling of heme iron and to prevent kidney damage. Haptoglobin also acts as an antioxidant, has antibacterial activity, and plays a role in modulating many aspects of the acute phase response. Hemoglobin/haptoglobin complexes are rapidly cleared by the macrophage CD163 scavenger receptor expressed on the surface of liver Kupfer cells through an endocytic lysosomal degradation pathway.. The uncleaved form of allele alpha-2 (2-2), known as zonulin, plays a role in intestinal permeability, allowing intercellular tight junction disassembly, and controlling the equilibrium between tolerance and immunity to non-self antigens.
See full target information HP

Publications (2)

Recent publications for all applications. Explore the full list and refine your search

Frontiers in molecular neuroscience 14:688050 PubMed34630032

2021

Tandem Mass Tag-Based Quantitative Proteomic Analysis Reveals Pathways Involved in Brain Injury Induced by Chest Exposure to Shock Waves.

Applications

Unspecified application

Species

Unspecified reactive species

Changci Tong,Peifang Cong,Ying Liu,Xiuyun Shi,Lin Shi,Shun Mao,Yan Zhao,Mingxiao Hou,Yunen Liu

PloS one 14:e0215909 PubMed31042781

2019

Protein expression profiling of plasma and lungs at different stages of metastatic development in a human triple negative breast cancer xenograft model.

Applications

Unspecified application

Species

Unspecified reactive species

Maria K Tveitarås,Frode Selheim,Kristina Sortland,Rolf K Reed,Linda Stuhr
View all publications

Product promise

We are committed to supporting your work with high-quality reagents, and we're here for you every step of the way. In the unlikely event that one of our products does not perform as expected, you're protected by our Product Promise.
For full details, please see our Terms & Conditions

Please note: All products are 'FOR RESEARCH USE ONLY. NOT FOR USE IN DIAGNOSTIC OR THERAPEUTIC PROCEDURES'.

For licensing inquiries, please contact partnerships@abcam.com