JavaScript is disabled in your browser. Please enable JavaScript to view this website.
AB256454

Anti-Haptoglobin antibody [EPR22856-212]

  • BOND RX™ Validated
  • RabMAb
  • Recombinant
  • 20ul selling size
  • What is this?

Be the first to review this product! Submit a review

|

(13 Publications)

Rabbit Recombinant Monoclonal Haptoglobin antibody. Suitable for IHC-P, WB, IHC-Fr, Flow Cyt (Intra) and reacts with Mouse, Rat, Human samples. Cited in 13 publications.

View Alternative Names

Haptoglobin, Zonulin, HP

8 Images
Immunohistochemistry (Formalin/PFA-fixed paraffin-embedded sections) - Anti-Haptoglobin antibody [EPR22856-212] (AB256454)
  • IHC-P

Unknown

Immunohistochemistry (Formalin/PFA-fixed paraffin-embedded sections) - Anti-Haptoglobin antibody [EPR22856-212] (AB256454)

Immunohistochemical analysis of paraffin-embedded rat liver tissue labeling Haptoglobin with ab256454 at 1/5000 dilution (0.149 ug/ml) followed by a ready to use Rabbit specific IHC polymer detection kit HRP/DAB (ab209101). Positive staining in rat liver. The section was incubated with ab256454 for 10 mins at RT. The immunostaining was performed on a Leica Biosystems BOND® RX instrument. Counterstained with Hematoxylin.

Secondary antibody only control : Secondary antibody is a ready to use Rabbit specific IHC polymer detection kit HRP/DAB (ab209101).

Heat mediated antigen retrieval with citrate buffer (pH 6.0, epitope retrieval solution 1) for 20 mins.

Immunohistochemistry (Frozen sections) - Anti-Haptoglobin antibody [EPR22856-212] (AB256454)
  • IHC-Fr

Unknown

Immunohistochemistry (Frozen sections) - Anti-Haptoglobin antibody [EPR22856-212] (AB256454)

Immunohistochemical analysis of 4% PFA-fixed, 0.2% Triton X-100 permeabilized frozen section of rat lung tissue labeling Haptoglobin with ab256454 at 1/500 dilution, followed by ab150077 AlexaFluor®488 Goat anti-Rabbit secondary at 1/1000 dilution (green). The nuclear counter stain is DAPI (blue). Positive staining on alveolar epithelial type II cells of rat lung (PMID : 19501987).

Heat mediated antigen retrieval using sodium citrate buffer (10mM citrate pH 6.0 + 0.05% Tween-20).

Flow Cytometry (Intracellular) - Anti-Haptoglobin antibody [EPR22856-212] (AB256454)
  • Flow Cyt (Intra)

Unknown

Flow Cytometry (Intracellular) - Anti-Haptoglobin antibody [EPR22856-212] (AB256454)

Intracellular flow cytometric analysis of 4% paraformaldehyde fixed 90% methanol permeabilized Hepa1-6 (mouse hepatoma epithelial cell) cells labeling Haptoglobin with ab256454 at 1/700 dilution (Red) compared with a Rabbit monoclonal IgG (ab172730) / Black isotype control and an unlabeled control (cells without incubation with primary antibody and secondary antibody) (Blue). A Goat anti rabbit IgG (Alexa Fluor® 488, ab150077) at 1/2000 dilution was used as the secondary antibody.

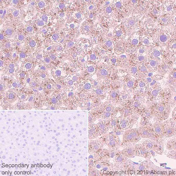
Immunohistochemistry (Formalin/PFA-fixed paraffin-embedded sections) - Anti-Haptoglobin antibody [EPR22856-212] (AB256454)
  • IHC-P

Unknown

Immunohistochemistry (Formalin/PFA-fixed paraffin-embedded sections) - Anti-Haptoglobin antibody [EPR22856-212] (AB256454)

Immunohistochemical analysis of paraffin-embedded mouse lung tissue labeling Haptoglobin with ab256454 at 1/5000 dilution (0.149 ug/ml) followed by a ready to use Rabbit specific IHC polymer detection kit HRP/DAB (ab209101). Positive staining in mouse lung (PMID : 14697247). The section was incubated with ab256454 for 10 mins at RT. The immunostaining was performed on a Leica Biosystems BOND® RX instrument. Counterstained with Hematoxylin.

Secondary antibody only control : Secondary antibody is a ready to use Rabbit specific IHC polymer detection kit HRP/DAB (ab209101).

Heat mediated antigen retrieval with citrate buffer (pH 6.0, epitope retrieval solution 1) for 20 mins.

Immunohistochemistry (Frozen sections) - Anti-Haptoglobin antibody [EPR22856-212] (AB256454)
  • IHC-Fr

Unknown

Immunohistochemistry (Frozen sections) - Anti-Haptoglobin antibody [EPR22856-212] (AB256454)

Immunohistochemical analysis of 4% PFA-fixed, 0.2% Triton X-100 permeabilized frozen section of mouse lung tissue labeling Haptoglobin with ab256454 at 1/500 dilution, followed by ab150077 AlexaFluor®488 Goat anti-Rabbit secondary at 1/1000 dilution (green). The nuclear counter stain is DAPI (blue). Positive staining on alveolar epithelial type II cells and bronchi of mouse lung (PMID : 19501987).

Heat mediated antigen retrieval using sodium citrate buffer (10mM citrate pH 6.0 + 0.05% Tween-20).

Immunohistochemistry (Formalin/PFA-fixed paraffin-embedded sections) - Anti-Haptoglobin antibody [EPR22856-212] (AB256454)
  • IHC-P

Unknown

Immunohistochemistry (Formalin/PFA-fixed paraffin-embedded sections) - Anti-Haptoglobin antibody [EPR22856-212] (AB256454)

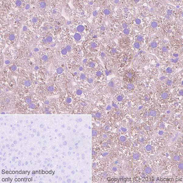
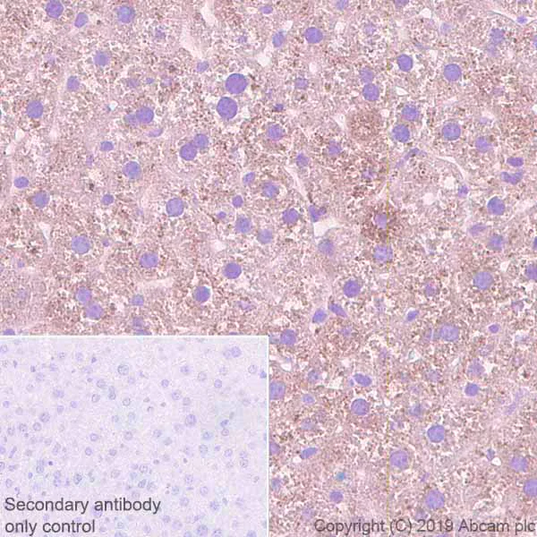
Immunohistochemical analysis of paraffin-embedded mouse liver tissue labeling Haptoglobin with ab256454 at 1/5000 dilution (0.149 ug/ml) followed by a ready to use Rabbit specific IHC polymer detection kit HRP/DAB (ab209101). Positive staining in mouse liver (PMID : 14697247). The section was incubated with ab256454 for 10 mins at RT. The immunostaining was performed on a Leica Biosystems BOND® RX instrument. Counterstained with Hematoxylin.

Secondary antibody only control : Secondary antibody is a ready to use Rabbit specific IHC polymer detection kit HRP/DAB (ab209101).

Heat mediated antigen retrieval with citrate buffer (pH 6.0, epitope retrieval solution 1) for 20 mins.

Western blot - Anti-Haptoglobin antibody [EPR22856-212] (AB256454)
  • WB

Lab

Western blot - Anti-Haptoglobin antibody [EPR22856-212] (AB256454)

Blocking and diluting buffer and concentration : 5% NFDM/TBST.

The molecular weight observed is consistent with what has been described in the literature (PMID : 19805376, 16543473).

Exposure time : Lanes 1-2 : 3 seconds; Lane 3 : 10 seconds.

All lanes:

Western blot - Anti-Haptoglobin antibody [EPR22856-212] (ab256454) at 1/1000 dilution

Lane 1:

Human serum at 20 µg

Lane 2:

Human plasma at 20 µg

Lane 3:

Human liver lysate at 20 µg

Secondary

All lanes:

Western blot - VeriBlot for IP Detection Reagent (HRP) (<a href='/en-us/products/reagents/veriblot-for-ip-detection-reagent-hrp-ab131366'>ab131366</a>) at 1/1000 dilution

Predicted band size: 45 kDa

Observed band size: 42 kDa,45 kDa

false

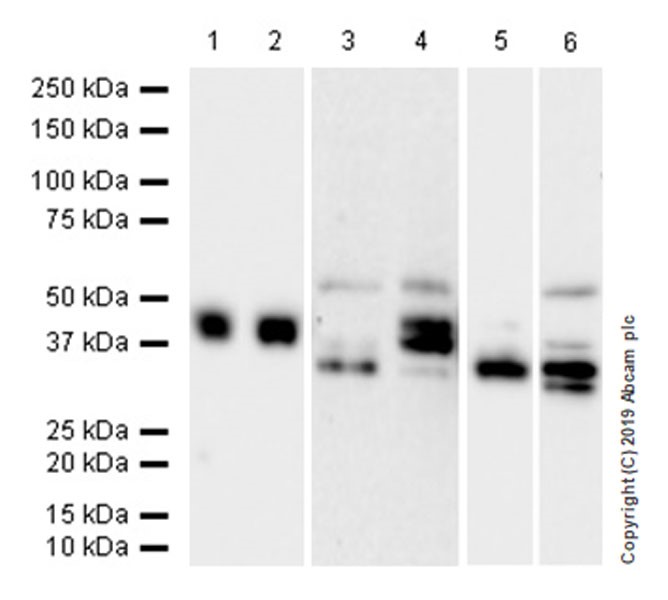
Western blot - Anti-Haptoglobin antibody [EPR22856-212] (AB256454)
  • WB

Lab

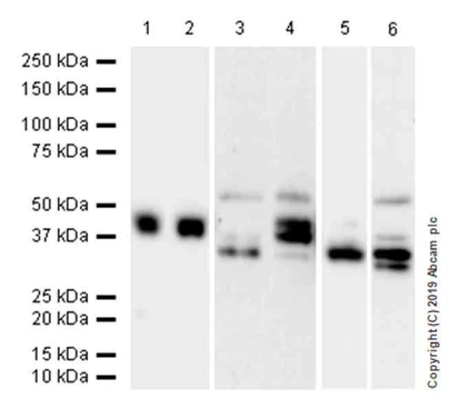
Western blot - Anti-Haptoglobin antibody [EPR22856-212] (AB256454)

Blocking and diluting buffer and concentration : 5% NFDM/TBST.

The molecular weight observed is consistent with what has been described in the literature (PMID : 19805376, 16543473).

Exposure time : Lanes 1-2 : 3 6 seconds; Lanes 3-4 : 3minutes; Lane 5 : 3 seconds; Lane 6 : 59 seconds.

All lanes:

Western blot - Anti-Haptoglobin antibody [EPR22856-212] (ab256454) at 1/2000 dilution

Lane 1:

Mouse serum at 20 µg

Lane 2:

Mouse plasma at 20 µg

Lane 3:

Mouse liver lysate at 20 µg

Lane 4:

Mouse lung lysate at 20 µg

Lane 5:

Rat plasma at 20 µg

Lane 6:

Rat liver lysate at 20 µg

Secondary

All lanes:

Western blot - Goat Anti-Rabbit IgG H&L (HRP) (<a href='/en-us/products/secondary-antibodies/goat-rabbit-igg-h-l-hrp-ab97051'>ab97051</a>) at 1/100000 dilution

Predicted band size: 45 kDa

Observed band size: 36 kDa,42 kDa,45 kDa,52 kDa

false

  • Carrier free

    Anti-Haptoglobin antibody [EPR22856-212] - BSA and Azide free

Key facts

Host species

Rabbit

Clonality

Monoclonal

Clone number

EPR22856-212

Isotype

IgG

Carrier free

No

Reacts with

Mouse, Rat, Human

Applications

IHC-P, WB, IHC-Fr, Flow Cyt (Intra)

applications

Immunogen

The exact immunogen used to generate this antibody is proprietary information.

Specificity

This antibody is not recommended for human IHC-P.

Reactivity data

{ "title": "Reactivity Data", "filters": { "stats": ["", "Species", "Dilution Info", "Notes"], "tabs": { "all-applications": {"fullname" : "All Applications", "shortname": "All Applications"}, "IHCP" : {"fullname" : "Immunohistochemistry (Formalin/PFA-fixed paraffin-embedded sections)", "shortname":"IHC-P"}, "IP" : {"fullname" : "Immunoprecipitation", "shortname":"IP"}, "WB" : {"fullname" : "Western blot", "shortname":"WB"}, "ICCIF" : {"fullname" : "Immunocytochemistry/ Immunofluorescence", "shortname":"ICC/IF"}, "IHCFr" : {"fullname" : "Immunohistochemistry (Frozen sections)", "shortname":"IHC-Fr"}, "FlowCytIntra" : {"fullname" : "Flow Cytometry (Intracellular)", "shortname":"Flow Cyt (Intra)"} }, "product-promise": { "all": "all", "testedAndGuaranteed": "tested", "guaranteed": "expected", "predicted": "predicted", "notRecommended": "not-recommended" } }, "values": { "Human": { "IHCP-species-checked": "guaranteed", "IHCP-species-dilution-info": "", "IHCP-species-notes": "", "IP-species-checked": "notRecommended", "IP-species-dilution-info": "", "IP-species-notes": "<p></p>", "WB-species-checked": "testedAndGuaranteed", "WB-species-dilution-info": "1/1000", "WB-species-notes": "<p></p>", "ICCIF-species-checked": "notRecommended", "ICCIF-species-dilution-info": "", "ICCIF-species-notes": "", "IHCFr-species-checked": "guaranteed", "IHCFr-species-dilution-info": "", "IHCFr-species-notes": "", "FlowCytIntra-species-checked": "guaranteed", "FlowCytIntra-species-dilution-info": "", "FlowCytIntra-species-notes": "" }, "Mouse": { "IHCP-species-checked": "testedAndGuaranteed", "IHCP-species-dilution-info": "1/5000", "IHCP-species-notes": "<p>This antibody is not recommended for human IHC-P.</p> Perform heat-mediated antigen retrieval with citrate buffer pH 6 before commencing with IHC staining protocol.", "IP-species-checked": "notRecommended", "IP-species-dilution-info": "", "IP-species-notes": "<p></p>", "WB-species-checked": "testedAndGuaranteed", "WB-species-dilution-info": "1/1000", "WB-species-notes": "<p></p>", "ICCIF-species-checked": "notRecommended", "ICCIF-species-dilution-info": "", "ICCIF-species-notes": "<p></p>", "IHCFr-species-checked": "testedAndGuaranteed", "IHCFr-species-dilution-info": "1/500", "IHCFr-species-notes": "<p></p>", "FlowCytIntra-species-checked": "testedAndGuaranteed", "FlowCytIntra-species-dilution-info": "1/700", "FlowCytIntra-species-notes": "<p></p>" }, "Rat": { "IHCP-species-checked": "testedAndGuaranteed", "IHCP-species-dilution-info": "1/5000", "IHCP-species-notes": "<p>This antibody is not recommended for human IHC-P.</p> Perform heat-mediated antigen retrieval with citrate buffer pH 6 before commencing with IHC staining protocol.", "IP-species-checked": "notRecommended", "IP-species-dilution-info": "", "IP-species-notes": "", "WB-species-checked": "testedAndGuaranteed", "WB-species-dilution-info": "1/1000", "WB-species-notes": "<p></p>", "ICCIF-species-checked": "notRecommended", "ICCIF-species-dilution-info": "", "ICCIF-species-notes": "", "IHCFr-species-checked": "testedAndGuaranteed", "IHCFr-species-dilution-info": "1/500", "IHCFr-species-notes": "<p></p>", "FlowCytIntra-species-checked": "guaranteed", "FlowCytIntra-species-dilution-info": "", "FlowCytIntra-species-notes": "" } } }

Product details

Patented technology
Our RabMAb® technology is a patented hybridoma-based technology for making rabbit monoclonal antibodies. For details on our patents, please refer to RabMAb® patents.

What are the advantages of a recombinant monoclonal antibody?
This product is a recombinant monoclonal antibody, which offers several advantages including:

  • - High batch-to-batch consistency and reproducibility
  • - Improved sensitivity and specificity
  • - Long-term security of supply
  • - Animal-free batch production

For more information, read more on recombinant antibodies.

Properties and storage information

Form
Liquid
Purification technique
Affinity purification Protein A
Storage buffer
pH: 7.2 - 7.4 Preservative: 0.01% Sodium azide Constituents: PBS, 40% Glycerol (glycerin, glycerine), 0.05% BSA
Shipped at conditions
Blue Ice
Appropriate short-term storage duration
1-2 weeks
Appropriate short-term storage conditions
+4°C
Appropriate long-term storage conditions
-20°C
Aliquoting information
Upon delivery aliquot
Storage information
Avoid freeze / thaw cycle

Supplementary information

This supplementary information is collated from multiple sources and compiled automatically.

Haptoglobin (Hp) also known as Hp protein is a glycoprotein with a molecular weight ranging from 85 to 100 kDa varying due to its ability to form different dimeric and multimeric structures. It is primarily synthesized in the liver and circulating in the plasma. Mechanically haptoglobin binds free hemoglobin released from erythrocytes preventing oxidative damage and hemoglobin-driven deleterious effects. Haptoglobin's binding to hemoglobin forms a haptoglobin-hemoglobin complex that gets cleared by the CD163 receptor on macrophages mainly in the liver and spleen.
Biological function summary

Haptoglobin functions as an antioxidant and an acute phase protein playing roles in inflammation and immune response. It is an essential component of the antioxidant defense system reducing oxidative stress by binding free hemoglobin. Additionally haptoglobin can participate in complex formation with hemoglobin to facilitate the clearance of excess free hemoglobin from circulation. Its expression increases during inflammation under the regulation of cytokines like IL-6.

Pathways

The haptoglobin protein is part of the hemoglobin clearance pathway integral for iron metabolism and homeostasis. This pathway ensures the safe removal of hemoglobin from the blood helping to prevent kidney damage. Haptoglobin is related to other proteins such as CD163 and the liver-derived hepatocellular proteins involved in the clearance process. Also haptoglobin is linked to antioxidant pathways collaborating with oxidative stress regulators to manage reactive oxygen species levels.

Changes in haptoglobin levels are associated with hemolytic anemia and inflammatory conditions. Low haptoglobin levels often suggest hemolytic anemia due to its rapid binding with free hemoglobin in the bloodstream. During inflammation and infections 'anti-Hp' tests (haptoglobin tests) may show increased haptoglobin levels as a response to cytokine signaling. Moreover haptoglobin polymorphisms have a connection with ischemic stroke susceptibility where its isoforms show differing efficiencies in binding free hemoglobin. These findings highlight haptoglobin's relevance as a biomarker for these conditions and illustrate its interaction with hematologic and immune proteins in disease contexts.

Product protocols

For this product, it's our understanding that no specific protocols are required. You can visit:

Target data

As a result of hemolysis, hemoglobin is found to accumulate in the kidney and is secreted in the urine. Haptoglobin captures, and combines with free plasma hemoglobin to allow hepatic recycling of heme iron and to prevent kidney damage. Haptoglobin also acts as an antioxidant, has antibacterial activity, and plays a role in modulating many aspects of the acute phase response. Hemoglobin/haptoglobin complexes are rapidly cleared by the macrophage CD163 scavenger receptor expressed on the surface of liver Kupfer cells through an endocytic lysosomal degradation pathway.. The uncleaved form of allele alpha-2 (2-2), known as zonulin, plays a role in intestinal permeability, allowing intercellular tight junction disassembly, and controlling the equilibrium between tolerance and immunity to non-self antigens.
See full target information HP

Publications (13)

Recent publications for all applications. Explore the full list and refine your search

Respiratory research 26:275 PubMed41024125

2025

ZNF184-mediated transcriptional activation of SAE1 drives the cell cycle entry and immune evasion in non-small cell lung cancer.

Applications

Unspecified application

Species

Unspecified reactive species

Feng Shi,Luquan Zhang,Chunli Wang,Qingwei Meng

Cell death & disease 16:542 PubMed40691131

2025

HIF-1α alleviates ferroptosis in ulcerative colitis by regulation of GPX4.

Applications

Unspecified application

Species

Unspecified reactive species

Weitao Hu,Yanliang Cai,Daxing Cai,Zongchi Chen,Siying Huang,Su Zhang,Huie Zhuang,Taiyong Fang,Xiaoqing Chen

Frontiers in pharmacology 16:1588831 PubMed40371344

2025

Region-specific neuroprotective effects of meldonium pretreatment in two models of sepsis-associated encephalopathy.

Applications

Unspecified application

Species

Unspecified reactive species

Aleksandra Ružičić,Tijana Srdić,Katarina Bobić,Dunja Drakulić,Filip Veljković,Ana Todorović,Siniša Đurašević,Iva Lakić

iScience 27:111066 PubMed39668865

2024

Self-regulation of MGAT4A and MGAT4B activity toward glycoproteins through interaction of lectin domain with their own -glycans.

Applications

Unspecified application

Species

Unspecified reactive species

Naoko Osada,Sushil K Mishra,Miyako Nakano,Yuko Tokoro,Masamichi Nagae,Robert J Doerksen,Yasuhiko Kizuka

Frontiers in immunology 15:1441131 PubMed39114668

2024

Haptoglobin is dispensable for haemoglobin uptake by .

Applications

Unspecified application

Species

Unspecified reactive species

Eva Horáková,Marek Vrbacký,Martina Tesařová,Eva Stříbrná,Jan Pilný,Zuzana Vavrušková,Marie Vancová,Roman Sobotka,Julius Lukeš,Jan Perner

The journal of pain 24:874-887 PubMed36638875

2023

Identification of Potential Visceral Pain Biomarkers in Colon Exudates from Mice with Experimental Colitis: An Exploratory In Vitro Study.

Applications

Unspecified application

Species

Unspecified reactive species

Elsa Cisneros,Anabel Martínez-Padilla,Casimiro Cardenas,Javier Márquez,Arantxa Ortega de Mues,Carolina Roza

Scientific reports 12:15347 PubMed36096917

2022

Salivary orosomucoid 1 as a biomarker of hepatitis B associated hepatocellular carcinoma.

Applications

Unspecified application

Species

Unspecified reactive species

Jiaoxia He,Zhongling Zheng,Tingting Liu,Yupei Ao,Yixuan Yang,Huaidong Hu

International journal of molecular sciences 23: PubMed35742911

2022

Retinal Proteomic Analysis in a Mouse Model of Endotoxin-Induced Uveitis Using Data-Independent Acquisition-Based Mass Spectrometry.

Applications

Unspecified application

Species

Unspecified reactive species

Jing Zhang,Jiangmei Wu,Daqian Lu,Chi-Ho To,Thomas Chuen Lam,Bin Lin

Metabolites 12: PubMed35448550

2022

Flavin-Containing Monooxygenase 3 (FMO3) Is Critical for Dioxin-Induced Reorganization of the Gut Microbiome and Host Insulin Sensitivity.

Applications

Unspecified application

Species

Unspecified reactive species

William Massey,Lucas J Osborn,Rakhee Banerjee,Anthony Horak,Kevin K Fung,Danny Orabi,E Ricky Chan,Naseer Sangwan,Zeneng Wang,J Mark Brown

Cancer discovery 12:1356-1377 PubMed35191482

2022

Tumor ENPP1 (CD203a)/Haptoglobin Axis Exploits Myeloid-Derived Suppressor Cells to Promote Post-Radiotherapy Local Recurrence in Breast Cancer.

Applications

Unspecified application

Species

Unspecified reactive species

Borja Ruiz-Fernández de Córdoba,Haritz Moreno,Karmele Valencia,Naiara Perurena,Pablo Ruedas,Thomas Walle,Alberto Pezonaga-Torres,Juan Hinojosa,Elisabet Guruceaga,Antonio Pineda-Lucena,Marta Abengózar-Muela,Denis Cochonneau,Carolina Zandueta,Susana Martínez-Canarias,Álvaro Teijeira,Daniel Ajona,Sergio Ortiz-Espinosa,Xabier Morales,Carlos Ortiz de Solórzano,Marta Santisteban,Luis I Ramos-García,Laura Guembe,Vratislav Strnad,Dominique Heymann,Sandra Hervás-Stubbs,Rubén Pío,María E Rodríguez-Ruiz,Carlos E de Andrea,Silvestre Vicent,Ignacio Melero,Fernando Lecanda,Rafael Martínez-Monge
View all publications

Product promise

We are committed to supporting your work with high-quality reagents, and we're here for you every step of the way. In the unlikely event that one of our products does not perform as expected, you're protected by our Product Promise.
For full details, please see our Terms & Conditions

Please note: All products are 'FOR RESEARCH USE ONLY. NOT FOR USE IN DIAGNOSTIC OR THERAPEUTIC PROCEDURES'.

For licensing inquiries, please contact partnerships@abcam.com