JavaScript is disabled in your browser. Please enable JavaScript to view this website.
AB261918

Anti-Haptoglobin antibody [EPR22856-212] - BSA and Azide free

Be the first to review this product! Submit a review

|

(1 Publication)

Rabbit Recombinant Monoclonal Haptoglobin antibody. Carrier free. Suitable for IHC-P, WB, IHC-Fr, Flow Cyt (Intra) and reacts with Mouse, Rat, Human samples. Cited in 1 publication.

View Alternative Names

Haptoglobin, Zonulin, HP

6 Images
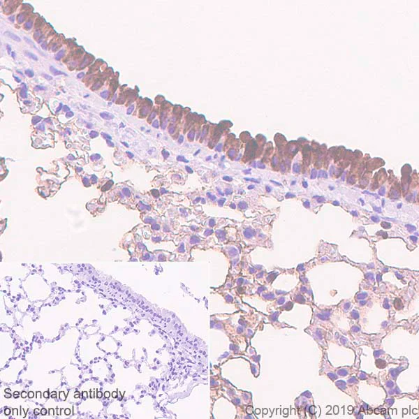
Immunohistochemistry (Formalin/PFA-fixed paraffin-embedded sections) - Anti-Haptoglobin antibody [EPR22856-212] - BSA and Azide free (AB261918)
  • IHC-P

Unknown

Immunohistochemistry (Formalin/PFA-fixed paraffin-embedded sections) - Anti-Haptoglobin antibody [EPR22856-212] - BSA and Azide free (AB261918)

Immunohistochemical analysis of paraffin-embedded mouse lung tissue labeling Haptoglobin with ab256454 at 1/5000 dilution (0.149 ug/ml) followed by a ready to use Rabbit specific IHC polymer detection kit HRP/DAB (ab209101). Positive staining in mouse lung (PMID : 14697247). The section was incubated with ab256454 for 10 mins at RT. The immunostaining was performed on a Leica Biosystems BOND® RX instrument. Counterstained with Hematoxylin.

Secondary antibody only control : Secondary antibody is a ready to use Rabbit specific IHC polymer detection kit HRP/DAB (ab209101).

Heat mediated antigen retrieval with citrate buffer (pH 6.0, epitope retrieval solution 1) for 20 mins.

This data was developed using the same antibody clone in a different buffer formulation containing PBS, BSA, glycerol, and sodium azide (ab256454).

Immunohistochemistry (Frozen sections) - Anti-Haptoglobin antibody [EPR22856-212] - BSA and Azide free (AB261918)
  • IHC-Fr

Unknown

Immunohistochemistry (Frozen sections) - Anti-Haptoglobin antibody [EPR22856-212] - BSA and Azide free (AB261918)

Immunohistochemical analysis of 4% PFA-fixed, 0.2% Triton X-100 permeabilized frozen section of mouse lung tissue labeling Haptoglobin with ab256454 at 1/500 dilution, followed by ab150077 AlexaFluor®488 Goat anti-Rabbit secondary at 1/1000 dilution (green). The nuclear counter stain is DAPI (blue). Positive staining on alveolar epithelial type II cells and bronchi of mouse lung (PMID : 19501987).

Heat mediated antigen retrieval using sodium citrate buffer (10mM citrate pH 6.0 + 0.05% Tween-20).

This data was developed using the same antibody clone in a different buffer formulation containing PBS, BSA, glycerol, and sodium azide (ab256454).

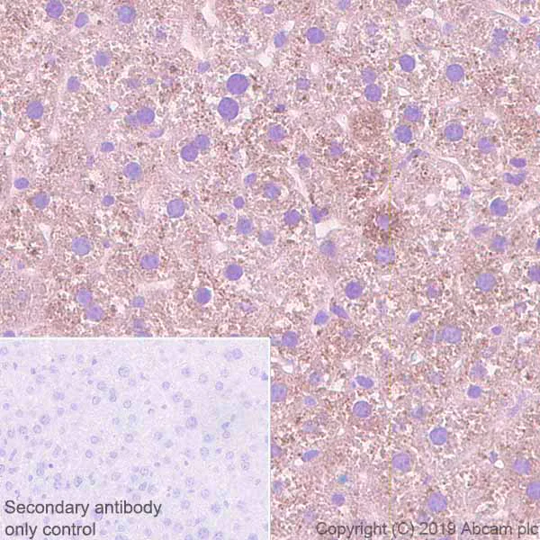
Immunohistochemistry (Formalin/PFA-fixed paraffin-embedded sections) - Anti-Haptoglobin antibody [EPR22856-212] - BSA and Azide free (AB261918)
  • IHC-P

Unknown

Immunohistochemistry (Formalin/PFA-fixed paraffin-embedded sections) - Anti-Haptoglobin antibody [EPR22856-212] - BSA and Azide free (AB261918)

Immunohistochemical analysis of paraffin-embedded mouse liver tissue labeling Haptoglobin with ab256454 at 1/5000 dilution (0.149 ug/ml) followed by a ready to use Rabbit specific IHC polymer detection kit HRP/DAB (ab209101). Positive staining in mouse liver (PMID : 14697247). The section was incubated with ab256454 for 10 mins at RT. The immunostaining was performed on a Leica Biosystems BOND® RX instrument. Counterstained with Hematoxylin.

Secondary antibody only control : Secondary antibody is a ready to use Rabbit specific IHC polymer detection kit HRP/DAB (ab209101).

Heat mediated antigen retrieval with citrate buffer (pH 6.0, epitope retrieval solution 1) for 20 mins.

This data was developed using the same antibody clone in a different buffer formulation containing PBS, BSA, glycerol, and sodium azide (ab256454).

Immunohistochemistry (Frozen sections) - Anti-Haptoglobin antibody [EPR22856-212] - BSA and Azide free (AB261918)
  • IHC-Fr

Unknown

Immunohistochemistry (Frozen sections) - Anti-Haptoglobin antibody [EPR22856-212] - BSA and Azide free (AB261918)

Immunohistochemical analysis of 4% PFA-fixed, 0.2% Triton X-100 permeabilized frozen section of rat lung tissue labeling Haptoglobin with ab256454 at 1/500 dilution, followed by ab150077 AlexaFluor®488 Goat anti-Rabbit secondary at 1/1000 dilution (green). The nuclear counter stain is DAPI (blue). Positive staining on alveolar epithelial type II cells of rat lung (PMID : 19501987).

Heat mediated antigen retrieval using sodium citrate buffer (10mM citrate pH 6.0 + 0.05% Tween-20).

This data was developed using the same antibody clone in a different buffer formulation containing PBS, BSA, glycerol, and sodium azide (ab256454).

Flow Cytometry (Intracellular) - Anti-Haptoglobin antibody [EPR22856-212] - BSA and Azide free (AB261918)
  • Flow Cyt (Intra)

Unknown

Flow Cytometry (Intracellular) - Anti-Haptoglobin antibody [EPR22856-212] - BSA and Azide free (AB261918)

Intracellular flow cytometric analysis of 4% paraformaldehyde fixed 90% methanol permeabilized Hepa1-6 (mouse hepatoma epithelial cell) cells labeling Haptoglobin with ab256454 at 1/700 dilution (Red) compared with a Rabbit monoclonal IgG (ab172730) / Black isotype control and an unlabeled control (cells without incubation with primary antibody and secondary antibody) (Blue). A Goat anti rabbit IgG (Alexa Fluor® 488, ab150077) at 1/2000 dilution was used as the secondary antibody.

This data was developed using the same antibody clone in a different buffer formulation containing PBS, BSA, glycerol, and sodium azide (ab256454).

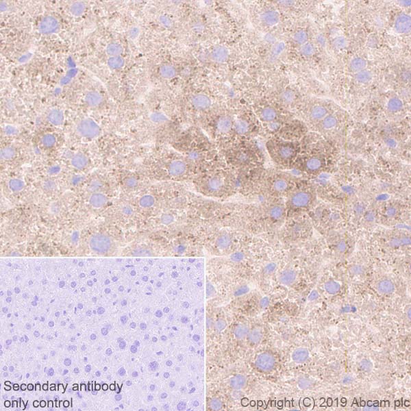
Immunohistochemistry (Formalin/PFA-fixed paraffin-embedded sections) - Anti-Haptoglobin antibody [EPR22856-212] - BSA and Azide free (AB261918)
  • IHC-P

Unknown

Immunohistochemistry (Formalin/PFA-fixed paraffin-embedded sections) - Anti-Haptoglobin antibody [EPR22856-212] - BSA and Azide free (AB261918)

Immunohistochemical analysis of paraffin-embedded rat liver tissue labeling Haptoglobin with ab256454 at 1/5000 dilution (0.149 ug/ml) followed by a ready to use Rabbit specific IHC polymer detection kit HRP/DAB (ab209101). Positive staining in rat liver. The section was incubated with ab256454 for 10 mins at RT. The immunostaining was performed on a Leica Biosystems BOND® RX instrument. Counterstained with Hematoxylin.

Secondary antibody only control : Secondary antibody is a ready to use Rabbit specific IHC polymer detection kit HRP/DAB (ab209101).

Heat mediated antigen retrieval with citrate buffer (pH 6.0, epitope retrieval solution 1) for 20 mins.

This data was developed using the same antibody clone in a different buffer formulation containing PBS, BSA, glycerol, and sodium azide (ab256454).

Key facts

Host species

Rabbit

Clonality

Monoclonal

Clone number

EPR22856-212

Isotype

IgG

Carrier free

Yes

Reacts with

Mouse, Rat, Human

Applications

WB, IHC-P, Flow Cyt (Intra), IHC-Fr

applications

Immunogen

The exact immunogen used to generate this antibody is proprietary information.

Specificity

This antibody is not recommended for human IHC-P.

Reactivity data

{ "title": "Reactivity Data", "filters": { "stats": ["", "Species", "Dilution Info", "Notes"], "tabs": { "all-applications": {"fullname" : "All Applications", "shortname": "All Applications"}, "IHCP" : {"fullname" : "Immunohistochemistry (Formalin/PFA-fixed paraffin-embedded sections)", "shortname":"IHC-P"}, "IP" : {"fullname" : "Immunoprecipitation", "shortname":"IP"}, "WB" : {"fullname" : "Western blot", "shortname":"WB"}, "ICCIF" : {"fullname" : "Immunocytochemistry/ Immunofluorescence", "shortname":"ICC/IF"}, "IHCFr" : {"fullname" : "Immunohistochemistry (Frozen sections)", "shortname":"IHC-Fr"}, "FlowCytIntra" : {"fullname" : "Flow Cytometry (Intracellular)", "shortname":"Flow Cyt (Intra)"} }, "product-promise": { "all": "all", "testedAndGuaranteed": "tested", "guaranteed": "expected", "predicted": "predicted", "notRecommended": "not-recommended" } }, "values": { "Human": { "IHCP-species-checked": "guaranteed", "IHCP-species-dilution-info": "", "IHCP-species-notes": "", "IP-species-checked": "notRecommended", "IP-species-dilution-info": "", "IP-species-notes": "<p></p>", "WB-species-checked": "testedAndGuaranteed", "WB-species-dilution-info": "", "WB-species-notes": "<p></p>", "ICCIF-species-checked": "notRecommended", "ICCIF-species-dilution-info": "", "ICCIF-species-notes": "<p></p>", "IHCFr-species-checked": "guaranteed", "IHCFr-species-dilution-info": "", "IHCFr-species-notes": "", "FlowCytIntra-species-checked": "guaranteed", "FlowCytIntra-species-dilution-info": "", "FlowCytIntra-species-notes": "" }, "Mouse": { "IHCP-species-checked": "testedAndGuaranteed", "IHCP-species-dilution-info": "", "IHCP-species-notes": "<p>This antibody is not recommended for human IHC-P.</p>", "IP-species-checked": "notRecommended", "IP-species-dilution-info": "", "IP-species-notes": "<p></p>", "WB-species-checked": "testedAndGuaranteed", "WB-species-dilution-info": "", "WB-species-notes": "<p></p>", "ICCIF-species-checked": "notRecommended", "ICCIF-species-dilution-info": "", "ICCIF-species-notes": "<p></p>", "IHCFr-species-checked": "testedAndGuaranteed", "IHCFr-species-dilution-info": "", "IHCFr-species-notes": "<p></p>", "FlowCytIntra-species-checked": "testedAndGuaranteed", "FlowCytIntra-species-dilution-info": "", "FlowCytIntra-species-notes": "<p></p>" }, "Rat": { "IHCP-species-checked": "testedAndGuaranteed", "IHCP-species-dilution-info": "", "IHCP-species-notes": "<p>This antibody is not recommended for human IHC-P.</p>", "IP-species-checked": "notRecommended", "IP-species-dilution-info": "", "IP-species-notes": "<p></p>", "WB-species-checked": "testedAndGuaranteed", "WB-species-dilution-info": "", "WB-species-notes": "<p></p>", "ICCIF-species-checked": "notRecommended", "ICCIF-species-dilution-info": "", "ICCIF-species-notes": "<p></p>", "IHCFr-species-checked": "testedAndGuaranteed", "IHCFr-species-dilution-info": "", "IHCFr-species-notes": "<p></p>", "FlowCytIntra-species-checked": "guaranteed", "FlowCytIntra-species-dilution-info": "", "FlowCytIntra-species-notes": "" } } }

Product details

ab261918 is the carrier-free version of ab256454.

Patented technology
Our RabMAb® technology is a patented hybridoma-based technology for making rabbit monoclonal antibodies. For details on our patents, please refer to RabMAb® patents.

What are the advantages of a recombinant monoclonal antibody?
This product is a recombinant monoclonal antibody, which offers several advantages including:

  • - High batch-to-batch consistency and reproducibility
  • - Improved sensitivity and specificity
  • - Long-term security of supply
  • - Animal-free batch production

For more information, read more on recombinant antibodies.

Conjugation ready
Our carrier-free antibodies are typically supplied in a PBS-only formulation, purified and free of BSA, sodium azide and glycerol. This conjugation-ready format is designed for use with fluorochromes, metal isotopes, oligonucleotides, and enzymes, which makes them ideal for antibody labelling, functional and cell-based assays, flow-based assays (e.g. mass cytometry) and Multiplex Imaging applications.

Use our conjugation kits for antibody conjugates that are ready-to-use in as little as 20 minutes with 1 minute hands-on-time and 100% antibody recovery: available for fluorescent dyes, HRP, biotin and gold.

Compatibility
This product is compatible with the Maxpar® Antibody Labeling Kit from Fluidigm, without the need for antibody preparation. Maxpar® is a trademark of Fluidigm Canada Inc.

Properties and storage information

Form
Liquid
Purification technique
Affinity purification Protein A
Storage buffer
pH: 7.2 - 7.4 Constituents: PBS
Shipped at conditions
Blue Ice
Appropriate short-term storage conditions
+4°C
Appropriate long-term storage conditions
+4°C
Storage information
Do Not Freeze

Supplementary information

This supplementary information is collated from multiple sources and compiled automatically.

Haptoglobin (Hp) also known as Hp protein is a glycoprotein with a molecular weight ranging from 85 to 100 kDa varying due to its ability to form different dimeric and multimeric structures. It is primarily synthesized in the liver and circulating in the plasma. Mechanically haptoglobin binds free hemoglobin released from erythrocytes preventing oxidative damage and hemoglobin-driven deleterious effects. Haptoglobin's binding to hemoglobin forms a haptoglobin-hemoglobin complex that gets cleared by the CD163 receptor on macrophages mainly in the liver and spleen.
Biological function summary

Haptoglobin functions as an antioxidant and an acute phase protein playing roles in inflammation and immune response. It is an essential component of the antioxidant defense system reducing oxidative stress by binding free hemoglobin. Additionally haptoglobin can participate in complex formation with hemoglobin to facilitate the clearance of excess free hemoglobin from circulation. Its expression increases during inflammation under the regulation of cytokines like IL-6.

Pathways

The haptoglobin protein is part of the hemoglobin clearance pathway integral for iron metabolism and homeostasis. This pathway ensures the safe removal of hemoglobin from the blood helping to prevent kidney damage. Haptoglobin is related to other proteins such as CD163 and the liver-derived hepatocellular proteins involved in the clearance process. Also haptoglobin is linked to antioxidant pathways collaborating with oxidative stress regulators to manage reactive oxygen species levels.

Changes in haptoglobin levels are associated with hemolytic anemia and inflammatory conditions. Low haptoglobin levels often suggest hemolytic anemia due to its rapid binding with free hemoglobin in the bloodstream. During inflammation and infections 'anti-Hp' tests (haptoglobin tests) may show increased haptoglobin levels as a response to cytokine signaling. Moreover haptoglobin polymorphisms have a connection with ischemic stroke susceptibility where its isoforms show differing efficiencies in binding free hemoglobin. These findings highlight haptoglobin's relevance as a biomarker for these conditions and illustrate its interaction with hematologic and immune proteins in disease contexts.

Product protocols

For this product, it's our understanding that no specific protocols are required. You can visit:

Target data

As a result of hemolysis, hemoglobin is found to accumulate in the kidney and is secreted in the urine. Haptoglobin captures, and combines with free plasma hemoglobin to allow hepatic recycling of heme iron and to prevent kidney damage. Haptoglobin also acts as an antioxidant, has antibacterial activity, and plays a role in modulating many aspects of the acute phase response. Hemoglobin/haptoglobin complexes are rapidly cleared by the macrophage CD163 scavenger receptor expressed on the surface of liver Kupfer cells through an endocytic lysosomal degradation pathway.. The uncleaved form of allele alpha-2 (2-2), known as zonulin, plays a role in intestinal permeability, allowing intercellular tight junction disassembly, and controlling the equilibrium between tolerance and immunity to non-self antigens.
See full target information HP

Publications (1)

Recent publications for all applications. Explore the full list and refine your search

Infection and drug resistance 17:2591-2605 PubMed38953095

2024

Exploration of Antimicrobial Peptides in the Treatment of Gentamicin-Resistant Infection.

Applications

Unspecified application

Species

Unspecified reactive species

Xiaochun Chen,Benhong Zhang,Jin He,Xiaohong Rui,Tian He,Lizhu Zhang,Junfeng Bao,Yanfei Jing,Futao Cao
View all publications

Product promise

We are committed to supporting your work with high-quality reagents, and we're here for you every step of the way. In the unlikely event that one of our products does not perform as expected, you're protected by our Product Promise.
For full details, please see our Terms & Conditions

Please note: All products are 'FOR RESEARCH USE ONLY. NOT FOR USE IN DIAGNOSTIC OR THERAPEUTIC PROCEDURES'.

For licensing inquiries, please contact partnerships@abcam.com