JavaScript is disabled in your browser. Please enable JavaScript to view this website.
AB256455

Anti-Haptoglobin antibody [EPR22856-233]

Be the first to review this product! Submit a review

|

(0 Publication)

Rabbit Recombinant Monoclonal Haptoglobin antibody. Suitable for WB, IHC-P, IHC-Fr and reacts with Mouse samples.

View Alternative Names

Haptoglobin, Hp

5 Images
Immunohistochemistry (Formalin/PFA-fixed paraffin-embedded sections) - Anti-Haptoglobin antibody [EPR22856-233] (AB256455)
  • IHC-P

Unknown

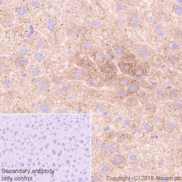
Immunohistochemistry (Formalin/PFA-fixed paraffin-embedded sections) - Anti-Haptoglobin antibody [EPR22856-233] (AB256455)

Immunohistochemical analysis of paraffin-embedded mouse liver tissue labeling Haptoglobin with ab256455 at 1/2000 dilution followed by a ready to use Rabbit specific IHC polymer detection kit HRP/DAB (ab209101). Cytoplasmic staining in mouse liver (PMID : 14697247). The section was incubated with ab256455 for 15 mins at RT. The immunostaining was performed on a Leica Biosystems BOND® RX instrument. Counterstained with hematoxylin.

Secondary antibody only control : Secondary antibody is a ready to use Rabbit specific IHC polymer detection kit HRP/DAB (ab209101).

Heat mediated antigen retrieval with Tris-EDTA buffer (pH 9.0, epitope retrieval solution 2) for 20 mins.

Immunohistochemistry (Frozen sections) - Anti-Haptoglobin antibody [EPR22856-233] (AB256455)
  • IHC-Fr

Unknown

Immunohistochemistry (Frozen sections) - Anti-Haptoglobin antibody [EPR22856-233] (AB256455)

Immunohistochemical analysis of 4% PFA fixed 0.2% Triton X-100 permeabilized frozen mouse lung tissue labeling Haptoglobin with ab256455 at 1/500 (1.17 μg/ml) dilution followed by ab150077 AlexaFluor®488 Goat anti-Rabbit secondary at 1/1000 (2 μg/ml) dilution. The nuclear counterstain was DAPI (Blue). Heat mediated antigen retrieval using sodium citrate buffer (10mM citrate pH 6.0 + 0.05% Tween-20).

Secondary antibody only control : Used PBS instead of primary antibody, secondary antibody was ab150077 AlexaFluor®488 Goat anti-Rabbit secondary at 1/1000 (2 μg/ml) dilution.

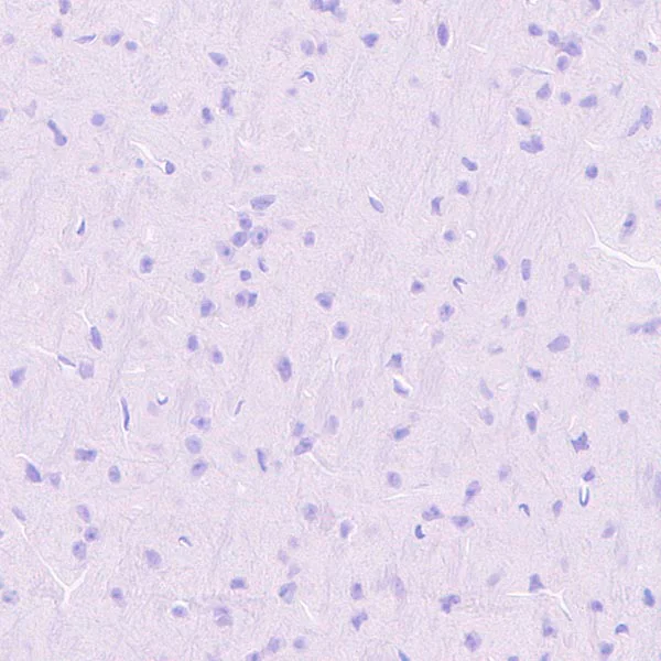
Immunohistochemistry (Formalin/PFA-fixed paraffin-embedded sections) - Anti-Haptoglobin antibody [EPR22856-233] (AB256455)
  • IHC-P

Unknown

Immunohistochemistry (Formalin/PFA-fixed paraffin-embedded sections) - Anti-Haptoglobin antibody [EPR22856-233] (AB256455)

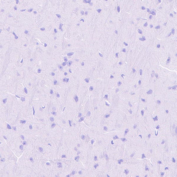
Immunohistochemical analysis of paraffin-embedded mouse cerebral cortex tissue labeling Haptoglobin with ab256455 at 1/2000 dilution followed by a ready to use Rabbit specific IHC polymer detection kit HRP/DAB (ab209101). Negative control : no staining on mouse cerebral cortex (PMID : 14697247). The section was incubated with ab256455 for 15 mins at RT. The immunostaining was performed on a Leica Biosystems BOND® RX instrument. Counterstained with hematoxylin.

Secondary antibody only control : Secondary antibody is a ready to use Rabbit specific IHC polymer detection kit HRP/DAB (ab209101).

Heat mediated antigen retrieval with Tris-EDTA buffer (pH 9.0, epitope retrieval solution 2) for 20 mins.

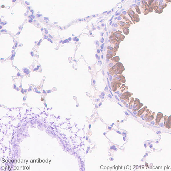
Immunohistochemistry (Formalin/PFA-fixed paraffin-embedded sections) - Anti-Haptoglobin antibody [EPR22856-233] (AB256455)
  • IHC-P

Unknown

Immunohistochemistry (Formalin/PFA-fixed paraffin-embedded sections) - Anti-Haptoglobin antibody [EPR22856-233] (AB256455)

Immunohistochemical analysis of paraffin-embedded mouse lung tissue labeling Haptoglobin with ab256455 at 1/2000 dilution followed by a ready to use Rabbit specific IHC polymer detection kit HRP/DAB (ab209101). Positive staining on bronchi of mouse lung (PMID : 14697247). The section was incubated with ab256455 for 15 mins at RT. The immunostaining was performed on a Leica Biosystems BOND® RX instrument. Counterstained with hematoxylin.

Secondary antibody only control : Secondary antibody is a ready to use Rabbit specific IHC polymer detection kit HRP/DAB (ab209101).

Heat mediated antigen retrieval with Tris-EDTA buffer (pH 9.0, epitope retrieval solution 2) for 20 mins.

Western blot - Anti-Haptoglobin antibody [EPR22856-233] (AB256455)
  • WB

Lab

Western blot - Anti-Haptoglobin antibody [EPR22856-233] (AB256455)

Blocking and diluting buffer and concentration : 5% NFDM/TBST.

The molecular weight observed is consistent with what has been described in the literature (PMID : 19805376, 16543473).

Exposure time : Lanes 1-2 : 3 seconds; Lanes 3-4 : 103 seconds.

All lanes:

Western blot - Anti-Haptoglobin antibody [EPR22856-233] (ab256455) at 1/1000 dilution

Lane 1:

Mouse serum at 20 µg

Lane 2:

Mouse plasma at 20 µg

Lane 3:

Mouse liver lysate at 20 µg

Lane 4:

Mouse lung lysate at 20 µg

Secondary

All lanes:

Western blot - Goat Anti-Rabbit IgG H&L (HRP) (<a href='/en-us/products/secondary-antibodies/goat-rabbit-igg-h-l-hrp-ab97051'>ab97051</a>) at 1/50000 dilution

Predicted band size: 45 kDa

Observed band size: 36 kDa,42 kDa,45 kDa,52 kDa

false

  • Carrier free

    Anti-Haptoglobin antibody [EPR22856-233] - BSA and Azide free

Key facts

Host species

Rabbit

Clonality

Monoclonal

Clone number

EPR22856-233

Isotype

IgG

Carrier free

No

Reacts with

Mouse

Applications

IHC-Fr, IHC-P, WB

applications

Immunogen

The exact immunogen used to generate this antibody is proprietary information.

Reactivity data

{ "title": "Reactivity Data", "filters": { "stats": ["", "Species", "Dilution Info", "Notes"], "tabs": { "all-applications": {"fullname" : "All Applications", "shortname": "All Applications"}, "IP" : {"fullname" : "Immunoprecipitation", "shortname":"IP"}, "FlowCyt" : {"fullname" : "Flow Cytometry", "shortname":"Flow Cyt"}, "WB" : {"fullname" : "Western blot", "shortname":"WB"}, "IHCP" : {"fullname" : "Immunohistochemistry (Formalin/PFA-fixed paraffin-embedded sections)", "shortname":"IHC-P"}, "ICCIF" : {"fullname" : "Immunocytochemistry/ Immunofluorescence", "shortname":"ICC/IF"}, "IHCFr" : {"fullname" : "Immunohistochemistry (Frozen sections)", "shortname":"IHC-Fr"} }, "product-promise": { "all": "all", "testedAndGuaranteed": "tested", "guaranteed": "expected", "predicted": "predicted", "notRecommended": "not-recommended" } }, "values": { "Mouse": { "IP-species-checked": "notRecommended", "IP-species-dilution-info": "", "IP-species-notes": "<p></p>", "FlowCyt-species-checked": "notRecommended", "FlowCyt-species-dilution-info": "", "FlowCyt-species-notes": "<p></p>", "WB-species-checked": "testedAndGuaranteed", "WB-species-dilution-info": "1/1000", "WB-species-notes": "<p></p>", "IHCP-species-checked": "testedAndGuaranteed", "IHCP-species-dilution-info": "1/2000", "IHCP-species-notes": "<p></p>", "ICCIF-species-checked": "notRecommended", "ICCIF-species-dilution-info": "", "ICCIF-species-notes": "<p></p>", "IHCFr-species-checked": "testedAndGuaranteed", "IHCFr-species-dilution-info": "1/500", "IHCFr-species-notes": "<p></p>" } } }

Product details

Patented technology
Our RabMAb® technology is a patented hybridoma-based technology for making rabbit monoclonal antibodies. For details on our patents, please refer to RabMAb® patents.

What are the advantages of a recombinant monoclonal antibody?
This product is a recombinant monoclonal antibody, which offers several advantages including:

  • - High batch-to-batch consistency and reproducibility
  • - Improved sensitivity and specificity
  • - Long-term security of supply
  • - Animal-free batch production

For more information, read more on recombinant antibodies.

Properties and storage information

Form
Liquid
Purification technique
Affinity purification Protein A
Storage buffer
pH: 7.2 - 7.4 Preservative: 0.01% Sodium azide Constituents: PBS, 40% Glycerol (glycerin, glycerine), 0.05% BSA
Shipped at conditions
Blue Ice
Appropriate short-term storage duration
1-2 weeks
Appropriate short-term storage conditions
+4°C
Appropriate long-term storage conditions
-20°C
Aliquoting information
Upon delivery aliquot
Storage information
Avoid freeze / thaw cycle

Supplementary information

This supplementary information is collated from multiple sources and compiled automatically.

Haptoglobin (Hp) also known as Hp protein is a glycoprotein with a molecular weight ranging from 85 to 100 kDa varying due to its ability to form different dimeric and multimeric structures. It is primarily synthesized in the liver and circulating in the plasma. Mechanically haptoglobin binds free hemoglobin released from erythrocytes preventing oxidative damage and hemoglobin-driven deleterious effects. Haptoglobin's binding to hemoglobin forms a haptoglobin-hemoglobin complex that gets cleared by the CD163 receptor on macrophages mainly in the liver and spleen.
Biological function summary

Haptoglobin functions as an antioxidant and an acute phase protein playing roles in inflammation and immune response. It is an essential component of the antioxidant defense system reducing oxidative stress by binding free hemoglobin. Additionally haptoglobin can participate in complex formation with hemoglobin to facilitate the clearance of excess free hemoglobin from circulation. Its expression increases during inflammation under the regulation of cytokines like IL-6.

Pathways

The haptoglobin protein is part of the hemoglobin clearance pathway integral for iron metabolism and homeostasis. This pathway ensures the safe removal of hemoglobin from the blood helping to prevent kidney damage. Haptoglobin is related to other proteins such as CD163 and the liver-derived hepatocellular proteins involved in the clearance process. Also haptoglobin is linked to antioxidant pathways collaborating with oxidative stress regulators to manage reactive oxygen species levels.

Changes in haptoglobin levels are associated with hemolytic anemia and inflammatory conditions. Low haptoglobin levels often suggest hemolytic anemia due to its rapid binding with free hemoglobin in the bloodstream. During inflammation and infections 'anti-Hp' tests (haptoglobin tests) may show increased haptoglobin levels as a response to cytokine signaling. Moreover haptoglobin polymorphisms have a connection with ischemic stroke susceptibility where its isoforms show differing efficiencies in binding free hemoglobin. These findings highlight haptoglobin's relevance as a biomarker for these conditions and illustrate its interaction with hematologic and immune proteins in disease contexts.

Product protocols

For this product, it's our understanding that no specific protocols are required. You can visit:

Target data

As a result of hemolysis, hemoglobin is found to accumulate in the kidney and is secreted in the urine. Haptoglobin captures, and combines with free plasma hemoglobin to allow hepatic recycling of heme iron and to prevent kidney damage. Haptoglobin also acts as an antioxidant, has antibacterial activity and plays a role in modulating many aspects of the acute phase response. Hemoglobin/haptoglobin complexes are rapidly cleared by the macrophage CD163 scavenger receptor expressed on the surface of liver Kupfer cells through an endocytic lysosomal degradation pathway (By similarity).
See full target information Hp

Product promise

We are committed to supporting your work with high-quality reagents, and we're here for you every step of the way. In the unlikely event that one of our products does not perform as expected, you're protected by our Product Promise.
For full details, please see our Terms & Conditions

Please note: All products are 'FOR RESEARCH USE ONLY. NOT FOR USE IN DIAGNOSTIC OR THERAPEUTIC PROCEDURES'.

For licensing inquiries, please contact partnerships@abcam.com