JavaScript is disabled in your browser. Please enable JavaScript to view this website.
AB140640

Anti-HARS antibody [EPR9450(B)(ABC)]

Be the first to review this product! Submit a review

|

(2 Publications)

Rabbit Recombinant Monoclonal HARS antibody. Suitable for IHC-P, WB and reacts with Human samples. Cited in 2 publications.

View Alternative Names

HARS, HRS, HARS1, Histidyl-tRNA synthetase, HisRS

2 Images
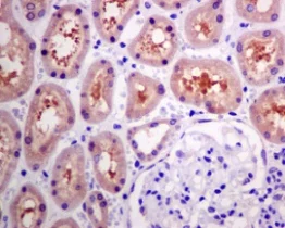
Immunohistochemistry (Formalin/PFA-fixed paraffin-embedded sections) - Anti-HARS antibody [EPR9450(B)(ABC)] (AB140640)
  • IHC-P

Unknown

Immunohistochemistry (Formalin/PFA-fixed paraffin-embedded sections) - Anti-HARS antibody [EPR9450(B)(ABC)] (AB140640)

Immunohistochemical analysis of paraffin-embedded Human kidney tissue labelling HARS with ab140640 at 1/50 dilution.

Perform heat mediated antigen retrieval before commencing with IHC staining protocol.

Western blot - Anti-HARS antibody [EPR9450(B)(ABC)] (AB140640)
  • WB

Unknown

Western blot - Anti-HARS antibody [EPR9450(B)(ABC)] (AB140640)

All lanes:

Western blot - Anti-HARS antibody [EPR9450(B)(ABC)] (ab140640) at 1/1000 dilution

Lane 1:

HeLa cell lysate at 10 µg

Lane 2:

293T cell lysate at 10 µg

Lane 3:

K562 cell lysate at 10 µg

Secondary

All lanes:

HRP-labelled Goat-anti-Rabbit at 1/2000 dilution

Predicted band size: 57 kDa

false

Key facts

Host species

Rabbit

Clonality

Monoclonal

Clone number

EPR9450(B)(ABC)

Isotype

IgG

Carrier free

No

Reacts with

Human

Applications

IHC-P, WB

applications

Immunogen

The exact immunogen used to generate this antibody is proprietary information.

Reactivity data

{ "title": "Reactivity Data", "filters": { "stats": ["", "Species", "Dilution Info", "Notes"], "tabs": { "all-applications": {"fullname" : "All Applications", "shortname": "All Applications"}, "IHCP" : {"fullname" : "Immunohistochemistry (Formalin/PFA-fixed paraffin-embedded sections)", "shortname":"IHC-P"}, "FlowCyt" : {"fullname" : "Flow Cytometry", "shortname":"Flow Cyt"}, "WB" : {"fullname" : "Western blot", "shortname":"WB"}, "ICCIF" : {"fullname" : "Immunocytochemistry/ Immunofluorescence", "shortname":"ICC/IF"} }, "product-promise": { "all": "all", "testedAndGuaranteed": "tested", "guaranteed": "expected", "predicted": "predicted", "notRecommended": "not-recommended" } }, "values": { "Human": { "IHCP-species-checked": "testedAndGuaranteed", "IHCP-species-dilution-info": "1/50 - 1/100", "IHCP-species-notes": "<p>Heat up to 98 <sup>o</sup>C, below boiling, and then let cool for 10-20 min</p> Perform heat-mediated antigen retrieval before commencing with IHC staining protocol.", "FlowCyt-species-checked": "notRecommended", "FlowCyt-species-dilution-info": "", "FlowCyt-species-notes": "<p></p>", "WB-species-checked": "testedAndGuaranteed", "WB-species-dilution-info": "1/1000 - 1/10000", "WB-species-notes": "<p></p>", "ICCIF-species-checked": "notRecommended", "ICCIF-species-dilution-info": "", "ICCIF-species-notes": "<p></p>" } } }

Product details

Species reactivity
Mouse, Rat: We have preliminary internal testing data to indicate this antibody may not react with these species.
Please contact us for more information.

Patented technology
Our RabMAb® technology is a patented hybridoma-based technology for making rabbit monoclonal antibodies. For details on our patents, please refer to RabMAb® patents.

What are the advantages of a recombinant monoclonal antibody?
This product is a recombinant monoclonal antibody, which offers several advantages including:

  • - High batch-to-batch consistency and reproducibility
  • - Improved sensitivity and specificity
  • - Long-term security of supply
  • - Animal-free batch production

For more information, read more on recombinant antibodies.

Properties and storage information

Form
Liquid
Purification technique
Affinity purification Protein A
Storage buffer
pH: 7.2 - 7.4 Preservative: 0.01% Sodium azide Constituents: PBS, 40% Glycerol (glycerin, glycerine), 0.05% BSA
Shipped at conditions
Blue Ice
Appropriate short-term storage conditions
+4°C
Appropriate long-term storage conditions
-20°C

Supplementary information

This supplementary information is collated from multiple sources and compiled automatically.

HARS also known as Histidyl-tRNA synthetase is an enzyme involved in the translation process of protein synthesis. It charges tRNA molecules with histidine facilitating the incorporation of this amino acid into growing polypeptide chains. HARS has an approximate molecular mass of 57 kDa. The enzyme is widely expressed in human tissues including high levels in the liver and skeletal muscle which supports its role in the active protein synthesis associated with these organs.
Biological function summary

Histidyl-tRNA synthetase plays a fundamental role in ensuring accuracy during protein synthesis by attaching histidine to its corresponding tRNA. This enzyme acts as a monomer but often interacts with other synthetases in a multisynthetase complex. By providing histidine-charged tRNAs HARS supports the translation machinery that synthesizes proteins based on encoded genetic instructions reflecting its essentiality in cellular health and function.

Pathways

HARS operates predominantly within the aminoacyl-tRNA biosynthesis pathway which is essential for protein translation. This pathway involves several other aminoacyl-tRNA synthetases including the leucyl-tRNA synthetase (LARS) and lysyl-tRNA synthetase (KARS) which facilitate the attachment of specific amino acids to their respective tRNAs. Additionally HARS links to the broader mTOR signaling pathway a critical pathway for regulating cell growth and protein synthesis in response to nutrient availability.

HARS mutations have association with a range of pathologies particularly autoimmune conditions such as myositis. Changes in HARS expression or function are also observed in neurodegenerative diseases like Charcot-Marie-Tooth disease a disorder characterized by peripheral nerve damage. Connections to these diseases highlight interactions between HARS and proteins involved in immune response and nerve function although the precise mechanisms may require further study.

Product protocols

For this product, it's our understanding that no specific protocols are required. You can visit:

Target data

Catalyzes the ATP-dependent ligation of histidine to the 3'-end of its cognate tRNA, via the formation of an aminoacyl-adenylate intermediate (His-AMP) (PubMed : 29235198). Plays a role in axon guidance (PubMed : 26072516).
See full target information HARS1

Publications (2)

Recent publications for all applications. Explore the full list and refine your search

Biology of reproduction 109:982-993 PubMed37724932

2023

Placental insufficiency and heavier placentas in sheep after suppressing CXCL12/CXCR4 signaling during implantation†.

Applications

Unspecified application

Species

Unspecified reactive species

Ryan L Ashley,Elisa M Trigo,Jacqueline M Ervin

Aging 12:3218-3237 PubMed32062610

2020

LINC00623/miR-101/HRAS axis modulates IL-1β-mediated ECM degradation, apoptosis and senescence of osteoarthritis chondrocytes.

Applications

Unspecified application

Species

Unspecified reactive species

Guohua Lü,Lei Li,Bing Wang,Lei Kuang
View all publications

Product promise

We are committed to supporting your work with high-quality reagents, and we're here for you every step of the way. In the unlikely event that one of our products does not perform as expected, you're protected by our Product Promise.
For full details, please see our Terms & Conditions

Please note: All products are 'FOR RESEARCH USE ONLY. NOT FOR USE IN DIAGNOSTIC OR THERAPEUTIC PROCEDURES'.

For licensing inquiries, please contact partnerships@abcam.com