JavaScript is disabled in your browser. Please enable JavaScript to view this website.
AB236576

Anti-HARS2 antibody

Be the first to review this product! Submit a review

|

(1 Publication)

Rabbit Polyclonal HARS2 antibody. Suitable for WB, IHC-P and reacts with Mouse, Human samples. Cited in 1 publication. Immunogen corresponding to Recombinant Full Length Protein corresponding to Human HARS2.

View Alternative Names

HARSL, HARSR, HO3, HARS2, Histidine--tRNA ligase-like, Histidyl-tRNA synthetase, HisRS

2 Images
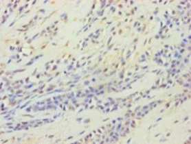
Immunohistochemistry (Formalin/PFA-fixed paraffin-embedded sections) - Anti-HARS2 antibody (AB236576)
  • IHC-P

Supplier Data

Immunohistochemistry (Formalin/PFA-fixed paraffin-embedded sections) - Anti-HARS2 antibody (AB236576)

Paraffin-embedded human breast cancer tissue stained for HARS2 with ab236576 at a 1/100 dilution in immunohistochemical analysis.

Western blot - Anti-HARS2 antibody (AB236576)
  • WB

Supplier Data

Western blot - Anti-HARS2 antibody (AB236576)

All lanes:

Western blot - Anti-HARS2 antibody (ab236576)

All lanes:

Mouse kidney tissue lysate

Secondary

All lanes:

Goat polyclonal to Rabbit IgG at 1/10000 dilution

Predicted band size: 57 kDa

false

Key facts

Host species

Rabbit

Clonality

Polyclonal

Isotype

IgG

Carrier free

No

Reacts with

Mouse, Human

Applications

WB, IHC-P

applications

Immunogen

Recombinant Full Length Protein corresponding to Human HARS2.

P49590

Reactivity data

{ "title": "Reactivity Data", "filters": { "stats": ["", "Species", "Dilution Info", "Notes"], "tabs": { "all-applications": {"fullname" : "All Applications", "shortname": "All Applications"}, "WB" : {"fullname" : "Western blot", "shortname":"WB"}, "IHCP" : {"fullname" : "Immunohistochemistry (Formalin/PFA-fixed paraffin-embedded sections)", "shortname":"IHC-P"} }, "product-promise": { "all": "all", "testedAndGuaranteed": "tested", "guaranteed": "expected", "predicted": "predicted", "notRecommended": "not-recommended" } }, "values": { "Human": { "WB-species-checked": "guaranteed", "WB-species-dilution-info": "", "WB-species-notes": "", "IHCP-species-checked": "testedAndGuaranteed", "IHCP-species-dilution-info": "1/20 - 1/200", "IHCP-species-notes": "<p></p>" }, "Mouse": { "WB-species-checked": "testedAndGuaranteed", "WB-species-dilution-info": "1/500 - 1/2000", "WB-species-notes": "<p></p>", "IHCP-species-checked": "guaranteed", "IHCP-species-dilution-info": "", "IHCP-species-notes": "" }, "Cow": { "WB-species-checked": "predicted", "WB-species-dilution-info": "", "WB-species-notes": "", "IHCP-species-checked": "predicted", "IHCP-species-dilution-info": "", "IHCP-species-notes": "" }, "Orangutan": { "WB-species-checked": "predicted", "WB-species-dilution-info": "", "WB-species-notes": "", "IHCP-species-checked": "predicted", "IHCP-species-dilution-info": "", "IHCP-species-notes": "" } } }

Properties and storage information

Form
Liquid
Purification technique
Affinity purification Protein G
Purification notes
Purity >95%
Storage buffer
pH: 7.4 Preservative: 0.03% Proclin 300 Constituents: PBS, 50% Glycerol (glycerin, glycerine)
Shipped at conditions
Blue Ice
Appropriate short-term storage duration
1-2 weeks
Appropriate short-term storage conditions
+4°C
Appropriate long-term storage conditions
-20°C
Aliquoting information
Upon delivery aliquot
Storage information
Avoid freeze / thaw cycle

Supplementary information

This supplementary information is collated from multiple sources and compiled automatically.

HARS2 also known as Histidyl-tRNA synthetase 2 mitochondrial is an essential enzyme in protein biosynthesis. It is involved in the aminoacylation of tRNA with histidine an important step in protein translation. The mass of HARS2 is approximately 54 kDa. This enzyme is localized in the mitochondria and expressed in various tissues reflecting its important role in cellular metabolism.
Biological function summary

HARS2 plays a critical role in the proper functioning of the mitochondrial translation system by ensuring that histidine is incorporated into proteins as needed. Although it does not form part of a complex its interaction with tRNA is essential for accurate translation. The enzyme supports mitochondrial health by maintaining proper protein synthesis contributing to cellular energy production.

Pathways

The HARS2 enzyme is integral to the mitochondrial protein synthesis pathway. It is also involved in the pathway for amino acid biosynthesis working alongside other tRNA synthetases to support cellular function. HARS2 interacts with similar synthetases like YARS2 to maintain the balance and efficiency of mitochondrial translation processes.

Defects in HARS2 have been linked to Perrault syndrome a genetic disorder characterized by ovarian dysgenesis and sensorineural deafness. Mutations in HARS2 can disrupt protein synthesis in mitochondria leading to impaired cellular functions. Additionally there is a connection between HARS2 and YARS2 in the context of mitochondrial dysfunction which may contribute to the understanding of other mitochondrial-related diseases.

Product protocols

For this product, it's our understanding that no specific protocols are required. You can visit:

Target data

Mitochondrial aminoacyl-tRNA synthetase that catalyzes the ATP-dependent ligation of histidine to the 3'-end of its cognate tRNA, via the formation of an aminoacyl-adenylate intermediate (His-AMP).
See full target information HARS2

Publications (1)

Recent publications for all applications. Explore the full list and refine your search

Frontiers in cellular and infection microbiology 10:328 PubMed32714882

2020

Impairs Antibacterial Innate Immunity to Systemic Infections in Part Through Hemozoin-Bound Bioactive Molecules.

Applications

Unspecified application

Species

Unspecified reactive species

Christopher L Harding,Nicolas F Villarino,Elena Valente,Evelin Schwarzer,Nathan W Schmidt
View all publications

Product promise

We are committed to supporting your work with high-quality reagents, and we're here for you every step of the way. In the unlikely event that one of our products does not perform as expected, you're protected by our Product Promise.
For full details, please see our Terms & Conditions

Please note: All products are 'FOR RESEARCH USE ONLY. NOT FOR USE IN DIAGNOSTIC OR THERAPEUTIC PROCEDURES'.

For licensing inquiries, please contact partnerships@abcam.com