JavaScript is disabled in your browser. Please enable JavaScript to view this website.
AB198846

Anti-HAS1 antibody

Be the first to review this product! Submit a review

|

(7 Publications)

Rabbit Polyclonal HAS1 antibody. Suitable for WB, IHC-P and reacts with Human samples. Cited in 7 publications. Immunogen corresponding to Synthetic Peptide within Human HAS1.

View Alternative Names

HAS, HAS1, Hyaluronan synthase 1, Hyaluronate synthase 1, Hyaluronic acid synthase 1, HA synthase 1, HuHAS1

2 Images
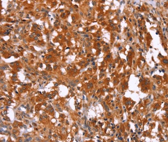
Immunohistochemistry (Formalin/PFA-fixed paraffin-embedded sections) - Anti-HAS1 antibody (AB198846)
  • IHC-P

Supplier Data

Immunohistochemistry (Formalin/PFA-fixed paraffin-embedded sections) - Anti-HAS1 antibody (AB198846)

Immunohistochemical analysis of paraffin-embedded Human thyroid cancer tissue labeling HAS1 with ab198846 at 1/30.

Western blot - Anti-HAS1 antibody (AB198846)
  • WB

Supplier Data

Western blot - Anti-HAS1 antibody (AB198846)

Gel : 6%SDS-PAGE

All lanes:

Western blot - Anti-HAS1 antibody (ab198846) at 1/350 dilution

Lane 1:

Human testis tissue lysate at 40 µg

Lane 2:

Human prostate tissue lysate at 40 µg

Predicted band size: 64 kDa

true

Exposure time: 30s

Key facts

Host species

Rabbit

Clonality

Polyclonal

Isotype

IgG

Carrier free

No

Reacts with

Human

Applications

WB, IHC-P

applications

Immunogen

Synthetic Peptide within Human HAS1. The exact immunogen used to generate this antibody is proprietary information.

Q92839

Reactivity data

{ "title": "Reactivity Data", "filters": { "stats": ["", "Species", "Dilution Info", "Notes"], "tabs": { "all-applications": {"fullname" : "All Applications", "shortname": "All Applications"}, "WB" : {"fullname" : "Western blot", "shortname":"WB"}, "IHCP" : {"fullname" : "Immunohistochemistry (Formalin/PFA-fixed paraffin-embedded sections)", "shortname":"IHC-P"} }, "product-promise": { "all": "all", "testedAndGuaranteed": "tested", "guaranteed": "expected", "predicted": "predicted", "notRecommended": "not-recommended" } }, "values": { "Human": { "WB-species-checked": "testedAndGuaranteed", "WB-species-dilution-info": "1/200 - 1/1000", "WB-species-notes": "<p></p>", "IHCP-species-checked": "testedAndGuaranteed", "IHCP-species-dilution-info": "1/30 - 1/200", "IHCP-species-notes": "<p></p>" } } }

Properties and storage information

Form
Liquid
Purification technique
Affinity purification Immunogen
Storage buffer
pH: 7.4 Preservative: 0.05% Sodium azide Constituents: PBS, 50% Glycerol (glycerin, glycerine)
Shipped at conditions
Blue Ice
Appropriate short-term storage duration
1-2 weeks
Appropriate short-term storage conditions
+4°C
Appropriate long-term storage conditions
-20°C
Aliquoting information
Upon delivery aliquot
Storage information
Avoid freeze / thaw cycle

Supplementary information

This supplementary information is collated from multiple sources and compiled automatically.

HAS1 also known as hyaluronan synthase 1 is an enzyme responsible for synthesizing hyaluronic acid a major component of the extracellular matrix. The mass of HAS1 is approximately 63 kDa. HAS1 is expressed in a variety of tissues including connective tissues and some epithelial tissues. The enzyme plays a critical role in cellular mechanisms by directly converting substrates like uridine diphosphate (UDP)-glucuronic acid and N-acetylglucosamine into hyaluronic acid. This process makes it important for maintaining tissue hydration and structuring.
Biological function summary

HAS1 is involved in cell proliferation migration and differentiation processes. It contributes mainly to the synthesis of hyaluronan which acts as a significant component of the cell surface matrix. Though HAS1 functions independently its activity gets modulated by other proteins such as epidermal growth factor and transforming growth factor-beta. These associations emphasize its roles in dynamic cellular environments affecting the mechanical properties of tissues.

Pathways

The hyaluronic acid synthesis pathway heavily involves HAS1 along with other synthases like HAS2 and HAS3. HAS1 is a part of the broader glycosaminoglycan biosynthesis pathway. It shows interactions with other pathways such as the epithelial-to-mesenchymal transition where it correlates with proteins like CD44 and RHAMM. These pathways highlight the role of HAS1 in cell motility and tissue remodeling important in development and wound healing.

Aberrant regulation of HAS1 connects with pathological conditions such as cancer and arthritis. HAS1 expression levels can correlate with tumor progression as it affects the cellular environment conducive for metastasis. Additionally excessive production of hyaluronic acid by HAS1 associates with inflammatory disorders like rheumatic arthritis. In these conditions interaction with other proteins like matrix metalloproteinases exacerbates tissue degradation. This link demonstrates the impact of HAS1 on disease progression and identifies it as a potential therapeutic target.

Product protocols

For this product, it's our understanding that no specific protocols are required. You can visit:

Target data

Catalyzes the addition of GlcNAc or GlcUA monosaccharides to the nascent hyaluronan polymer. Therefore, it is essential to hyaluronan synthesis a major component of most extracellular matrices that has a structural role in tissues architectures and regulates cell adhesion, migration and differentiation. This is one of the isozymes catalyzing that reaction. Also able to catalyze the synthesis of chito-oligosaccharide depending on the substrate (By similarity).
See full target information HAS1

Publications (7)

Recent publications for all applications. Explore the full list and refine your search

Stem cell research & therapy 16:253 PubMed40394699

2025

Exosomes derived from adipose-derived stem cells alleviate acute radiation-induced dermatitis through up-regulating hyaluronic acid synthase 1 expression.

Applications

Unspecified application

Species

Unspecified reactive species

Meijia Li,Yuan Tian,Xiaotian Wang,Di Sun,Haiqian Xu,Xinyue Wang,Xinyue Chen,Lijun Hao

Molecular medicine reports 31: PubMed40084708

2025

Effects of natural killer cell‑conditioned medium on UVB‑induced photoaging in human keratinocytes and a human reconstructed skin model.

Applications

Unspecified application

Species

Unspecified reactive species

Jung Ok Lee,Jung Min Lee,Yujin Kim,A Yeon Park,Daewon Yoon,Su Young Kim,Jihye Heo,Seungryel Han,Hyungjin Nam,Hye Jin Shin,Kyeongsoo Jeong,Minju Im,Beom Joon Kim

Biomedicines 11: PubMed37509716

2023

CD44 Is Associated with Poor Prognosis of ccRCC and Facilitates ccRCC Cell Migration and Invasion through HAS1/MMP9.

Applications

Unspecified application

Species

Unspecified reactive species

Tan Du,Zonglong Wu,Yaqian Wu,Yunchong Liu,Yimeng Song,Lulin Ma

FASEB journal : official publication of the Federation of American Societies for Experimental Biology 36:e22248 PubMed35239213

2022

Tumor microenvironment remodeling modulates macrophage phenotype in breast cancer lymphangiogenesis.

Applications

Unspecified application

Species

Unspecified reactive species

Yan Du,Manlin Cao,Yiwen Liu,Yiqing He,Cuixia Yang,Guoliang Zhang,Youben Fan,Feng Gao

Molecular medicine (Cambridge, Mass.) 27:56 PubMed34058990

2021

CircHYBID regulates hyaluronan metabolism in chondrocytes via hsa-miR-29b-3p/TGF-β1 axis.

Applications

Unspecified application

Species

Unspecified reactive species

Hong-Xing Liao,Zhi-Hui Zhang,Hui-Lin Chen,Ying-Mei Huang,Zhan-Liang Liu,Jian Huang

Urolithiasis 48:9-18 PubMed31183507

2019

P38 MAPK signaling pathway mediates COM crystal-induced crystal adhesion change in rat renal tubular epithelial cells.

Applications

Unspecified application

Species

Unspecified reactive species

Shiyong Qi,Qi Wang,Bin Xie,Yue Chen,Zhihong Zhang,Yong Xu

Reproductive sciences (Thousand Oaks, Calif.) 26:109-113 PubMed29621955

2018

The Hyaluronic Acid System is Intact in Menstrual Endometrial Cells in Women With and Without Endometriosis.

Applications

Unspecified application

Species

Unspecified reactive species

Jennifer F Knudtson,Jessica E McLaughlin,Marlen Tellez Santos,Peter A Binkley,Rajeshwar R Tekmal,Robert S Schenken
View all publications

Product promise

We are committed to supporting your work with high-quality reagents, and we're here for you every step of the way. In the unlikely event that one of our products does not perform as expected, you're protected by our Product Promise.
For full details, please see our Terms & Conditions

Please note: All products are 'FOR RESEARCH USE ONLY. NOT FOR USE IN DIAGNOSTIC OR THERAPEUTIC PROCEDURES'.

For licensing inquiries, please contact partnerships@abcam.com