JavaScript is disabled in your browser. Please enable JavaScript to view this website.
AB272079

Anti-HAUSP / USP7 antibody [BLR072G] - BSA free

Be the first to review this product! Submit a review

|

(1 Publication)

Rabbit Recombinant Monoclonal HAUSP / USP7 antibody. Suitable for IHC-P, IP, WB, ICC/IF and reacts with Mouse, Human samples. Cited in 1 publication. Immunogen corresponding to Synthetic Peptide within Human USP7 aa 1-50.

View Alternative Names

HAUSP, USP7, Ubiquitin carboxyl-terminal hydrolase 7, Deubiquitinating enzyme 7, Herpesvirus-associated ubiquitin-specific protease, Ubiquitin thioesterase 7, Ubiquitin-specific-processing protease 7

5 Images
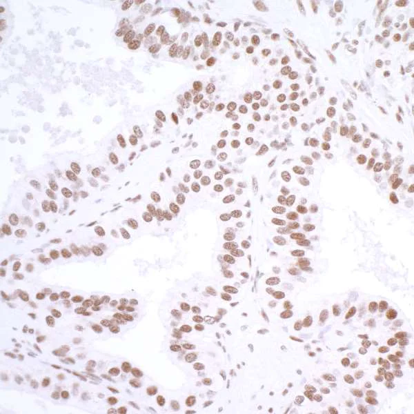
Immunohistochemistry (Formalin/PFA-fixed paraffin-embedded sections) - Anti-HAUSP / USP7 antibody [BLR072G] - BSA free (AB272079)
  • IHC-P

Unknown

Immunohistochemistry (Formalin/PFA-fixed paraffin-embedded sections) - Anti-HAUSP / USP7 antibody [BLR072G] - BSA free (AB272079)

Immunohistochemical analysis of formalin-fixed, paraffin-embedded human prostate carcinoma tissue labeling HAUSP / USP7 with ab264422 at 1/250 dilution.Secondary : HRP-conjugated goat anti-rabbit IgG. Substrate : DAB.

This data was developed using the same antibody clone in a different buffer formulation containing Borate buffered saline, BSA, glycerol and sodium azide (ab264422).

Immunocytochemistry/ Immunofluorescence - Anti-HAUSP / USP7 antibody [BLR072G] - BSA free (AB272079)
  • ICC/IF

Unknown

Immunocytochemistry/ Immunofluorescence - Anti-HAUSP / USP7 antibody [BLR072G] - BSA free (AB272079)

Immunocytochemical analysis of formalin-fixed, paraffin-embedded OVCAR-4 (Human ovarian cancer cell line) cells labeling HAUSP / USP7 with ab264422 at 1/250 dilution. Secondary : HRP-conjugated goat anti-rabbit IgG. Substrate : DAB.

This data was developed using the same antibody clone in a different buffer formulation containing Borate buffered saline, BSA, glycerol and sodium azide (ab264422).

Immunoprecipitation - Anti-HAUSP / USP7 antibody [BLR072G] - BSA free (AB272079)
  • IP

Supplier Data

Immunoprecipitation - Anti-HAUSP / USP7 antibody [BLR072G] - BSA free (AB272079)

HAUSP / USP7 was immunoprecipitated from HEK-293T (human epithelial cell line from embryonic kidney transformed with large T antigen) whole cell lysate (1.0 mg per IP reaction; 20% of IP loaded) with ab264422 at 20 µl/mg lysate. Western blot was performed from the immunoprecipitates using ab264422 at 1/1000 dilution

Lane 1 : ab264422 IP in HEK-293T whole cell lysate.
Lane 2 : Control IgG IP in HEK-293T whole cell lysate.

Detection : Chemiluminescence with an exposure time of 3 seconds.

Lysates prepared using NETN lysis buffer.

This data was developed using the same antibody clone in a different buffer formulation containing Borate buffered saline, BSA, glycerol and sodium azide (ab264422).

All lanes:

Immunoprecipitation - Anti-HAUSP / USP7 antibody [BLR072G] (<a href='/en-us/products/primary-antibodies/hausp-usp7-antibody-blr072g-ab264422'>ab264422</a>)

Predicted band size: 128 kDa

false

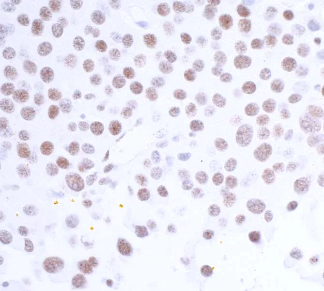
Immunohistochemistry (Formalin/PFA-fixed paraffin-embedded sections) - Anti-HAUSP / USP7 antibody [BLR072G] - BSA free (AB272079)
  • IHC-P

Unknown

Immunohistochemistry (Formalin/PFA-fixed paraffin-embedded sections) - Anti-HAUSP / USP7 antibody [BLR072G] - BSA free (AB272079)

Immunohistochemical analysis of formalin-fixed, paraffin-embedded mouse renal cell carcinoma tissue labeling HAUSP / USP7 with ab264422 at 1/250 dilution. Secondary : HRP-conjugated goat anti-rabbit IgG. Substrate : DAB.

This data was developed using the same antibody clone in a different buffer formulation containing Borate buffered saline, BSA, glycerol and sodium azide (ab264422).

Western blot - Anti-HAUSP / USP7 antibody [BLR072G] - BSA free (AB272079)
  • WB

Supplier Data

Western blot - Anti-HAUSP / USP7 antibody [BLR072G] - BSA free (AB272079)

This data was developed using the same antibody clone in a different buffer formulation containing Borate buffered saline, BSA, glycerol and sodium azide (ab264422).

All lanes:

Western blot - Anti-HAUSP / USP7 antibody [BLR072G] - BSA free (ab272079) at 1/1000 dilution

Lane 1:

RKO whole cell lysate at 50 µg

Lane 2:

HEK-293T (Human epithelial cell line from embryonic kidney transformed with large T antigen) whole cell lysate at 50 µg

Lane 3:

K562 (Human chronic myelogenous leukemia lymphoblast cell line ) whole cell lysate at 50 µg

Lane 4:

HepG2 (Human liver hepatocellular carcinoma cell line) whole cell lysate at 50 µg

Lane 5:

MCF7 (Human breast adenocarcinoma cell line) whole cell lysate at 50 µg

Lane 6:

Jurkat (Human T cell leukemia cell line from peripheral blood) whole cell lysate at 50 µg

Lane 7:

HeLa (Human epithelial cell line from cervix adenocarcinoma) whole cell lysate at 50 µg

Lane 8:

U-2 OS (Human bone osteosarcoma epithelial cell line) whole cell lysate at 50 µg

Lane 9:

NIH/3T3 (Mouse embryonic fibroblast cell line) whole cell lysate at 50 µg

Lane 10:

TCMK-1 (Mouse kidney epithelial cell line) whole cell lysate at 50 µg

Secondary

All lanes:

HRP-conjugated goat anti-rabbit IgG

Predicted band size: 128 kDa

false

Exposure time: 3s

Key facts

Host species

Rabbit

Clonality

Monoclonal

Clone number

BLR072G

Isotype

IgG

Carrier free

No

Reacts with

Mouse, Human

Applications

IHC-P, ICC/IF, WB, IP

applications

Immunogen

Synthetic Peptide within Human USP7 aa 1-50. The exact immunogen used to generate this antibody is proprietary information.

Q93009

Reactivity data

{ "title": "Reactivity Data", "filters": { "stats": ["", "Species", "Dilution Info", "Notes"], "tabs": { "all-applications": {"fullname" : "All Applications", "shortname": "All Applications"}, "IHCP" : {"fullname" : "Immunohistochemistry (Formalin/PFA-fixed paraffin-embedded sections)", "shortname":"IHC-P"}, "IP" : {"fullname" : "Immunoprecipitation", "shortname":"IP"}, "WB" : {"fullname" : "Western blot", "shortname":"WB"}, "ICCIF" : {"fullname" : "Immunocytochemistry/ Immunofluorescence", "shortname":"ICC/IF"} }, "product-promise": { "all": "all", "testedAndGuaranteed": "tested", "guaranteed": "expected", "predicted": "predicted", "notRecommended": "not-recommended" } }, "values": { "Human": { "IHCP-species-checked": "testedAndGuaranteed", "IHCP-species-dilution-info": "", "IHCP-species-notes": "<p></p>", "IP-species-checked": "testedAndGuaranteed", "IP-species-dilution-info": "", "IP-species-notes": "<p></p>", "WB-species-checked": "testedAndGuaranteed", "WB-species-dilution-info": "1/1000", "WB-species-notes": "<p></p>", "ICCIF-species-checked": "testedAndGuaranteed", "ICCIF-species-dilution-info": "", "ICCIF-species-notes": "<p></p>" }, "Mouse": { "IHCP-species-checked": "testedAndGuaranteed", "IHCP-species-dilution-info": "", "IHCP-species-notes": "<p></p>", "IP-species-checked": "guaranteed", "IP-species-dilution-info": "", "IP-species-notes": "", "WB-species-checked": "testedAndGuaranteed", "WB-species-dilution-info": "1/1000", "WB-species-notes": "<p></p>", "ICCIF-species-checked": "guaranteed", "ICCIF-species-dilution-info": "", "ICCIF-species-notes": "" } } }

Product details

ab272079 is the BSA-free version of ab264422.

REACH authorisation
Abcam has not and does not intend to apply for the REACH Authorisation of customers' uses of products that contain European Authorisation list (Annex XIV) substances.
It is the responsibility of our customers to check the necessity of application of REACH Authorisation, and any other relevant authorisations, for their intended uses.

This product is sold under License from Bethyl Laboratories, Inc.

Properties and storage information

Form
Liquid
Purification notes
Purified from cell culture supernatant.
Storage buffer
pH: 8.2 Preservative: 0.09% Sodium azide Constituents: 99% Borate buffered saline
Shipped at conditions
Blue Ice
Appropriate short-term storage duration
1-2 weeks
Appropriate short-term storage conditions
+4°C
Appropriate long-term storage conditions
-20°C
Aliquoting information
Upon delivery aliquot
Storage information
Avoid freeze / thaw cycle

Supplementary information

This supplementary information is collated from multiple sources and compiled automatically.

HAUSP also known as USP7 is a deubiquitinating enzyme with a molecular mass of approximately 135 kDa. It functions by removing ubiquitin molecules from target proteins influencing their stability and activity. HAUSP is widely expressed in various human tissues with notable presence in the nucleus and cytoplasm. Its expression is essential for modulation of multiple signaling pathways. The enzyme's capacity to regulate protein ubiquitination dynamics makes it a significant player in cellular function.
Biological function summary

HAUSP influences several critical cellular processes including DNA repair transcriptional regulation and cell cycle progression. It often interacts with other proteins such as p53 to modify their functions by altering their ubiquitination status. HAUSP does not function in isolation but forms part of larger protein complexes where it plays a role in processing substrate proteins. Its ability to activate or deactivate proteins through deubiquitination highlights its importance in maintaining cellular homeostasis.

Pathways

Research identifies HAUSP as an important component in both the p53 pathway and the Wnt signaling pathway. Through the p53 pathway HAUSP directly interacts with the p53 tumor suppressor protein influencing cell cycle and apoptosis decisions. Its participation in the Wnt signaling pathway associates it with beta-catenin where it supports cellular proliferation and differentiation. These pathway interactions illustrate HAUSP's integral role in maintaining cellular function and responding to various signaling inputs.

HAUSP has implications in cancer and neurodegenerative diseases. Aberrant activity or expression of HAUSP has been linked to tumorigenesis particularly through its interaction with the proteins p53 and MDM2 affecting cell survival and proliferation. In neurodegenerative conditions altered HAUSP activity may impact protein homeostasis and degradation pathways contributing to disease progression. Its connection to these proteins and disease states highlights its potential as a therapeutic target in associated disorders.

Product protocols

For this product, it's our understanding that no specific protocols are required. You can visit:

Target data

Hydrolase that deubiquitinates target proteins such as ARMC5, FOXO4, DEPTOR, KAT5, p53/TP53, MDM2, ERCC6, DNMT1, UHRF1, PTEN, KMT2E/MLL5 and DAXX (PubMed : 11923872, PubMed : 15053880, PubMed : 16964248, PubMed : 18716620, PubMed : 25283148, PubMed : 25865756, PubMed : 26678539, PubMed : 28655758, PubMed : 33544460, PubMed : 35216969). Together with DAXX, prevents MDM2 self-ubiquitination and enhances the E3 ligase activity of MDM2 towards p53/TP53, thereby promoting p53/TP53 ubiquitination and proteasomal degradation (PubMed : 15053880, PubMed : 16845383, PubMed : 18566590, PubMed : 20153724). Deubiquitinates p53/TP53, preventing degradation of p53/TP53, and enhances p53/TP53-dependent transcription regulation, cell growth repression and apoptosis (PubMed : 25283148). Deubiquitinates p53/TP53 and MDM2 and strongly stabilizes p53/TP53 even in the presence of excess MDM2, and also induces p53/TP53-dependent cell growth repression and apoptosis (PubMed : 11923872, PubMed : 26786098). Deubiquitination of FOXO4 in presence of hydrogen peroxide is not dependent on p53/TP53 and inhibits FOXO4-induced transcriptional activity (PubMed : 16964248). In association with DAXX, is involved in the deubiquitination and translocation of PTEN from the nucleus to the cytoplasm, both processes that are counteracted by PML (PubMed : 18716620). Deubiquitinates KMT2E/MLL5 preventing KMT2E/MLL5 proteasomal-mediated degradation (PubMed : 26678539). Involved in cell proliferation during early embryonic development. Involved in transcription-coupled nucleotide excision repair (TC-NER) in response to UV damage : recruited to DNA damage sites following interaction with KIAA1530/UVSSA and promotes deubiquitination of ERCC6, preventing UV-induced degradation of ERCC6 (PubMed : 22466611, PubMed : 22466612). Involved in maintenance of DNA methylation via its interaction with UHRF1 and DNMT1 : acts by mediating deubiquitination of UHRF1 and DNMT1, preventing their degradation and promoting DNA methylation by DNMT1 (PubMed : 21745816, PubMed : 22411829). Deubiquitinates alkylation repair enzyme ALKBH3. OTUD4 recruits USP7 and USP9X to stabilize ALKBH3, thereby promoting the repair of alkylated DNA lesions (PubMed : 25944111). Acts as a chromatin regulator via its association with the Polycomb group (PcG) multiprotein PRC1-like complex; may act by deubiquitinating components of the PRC1-like complex (PubMed : 20601937). Able to mediate deubiquitination of histone H2B; it is however unsure whether this activity takes place in vivo (PubMed : 20601937). Exhibits a preference towards 'Lys-48'-linked ubiquitin chains (PubMed : 22689415). Increases regulatory T-cells (Treg) suppressive capacity by deubiquitinating and stabilizing the transcription factor FOXP3 which is crucial for Treg cell function (PubMed : 23973222). Plays a role in the maintenance of the circadian clock periodicity via deubiquitination and stabilization of the CRY1 and CRY2 proteins (PubMed : 27123980). Deubiquitinates REST, thereby stabilizing REST and promoting the maintenance of neural progenitor cells (PubMed : 21258371). Deubiquitinates SIRT7, inhibiting SIRT7 histone deacetylase activity and regulating gluconeogenesis (PubMed : 28655758). Involved in the regulation of WASH-dependent actin polymerization at the surface of endosomes and the regulation of endosomal protein recycling (PubMed : 26365382). It maintains optimal WASH complex activity and precise F-actin levels via deubiquitination of TRIM27 and WASHC1 (PubMed : 26365382). Mediates the deubiquitination of phosphorylated DEPTOR, promoting its stability and leading to decreased mTORC1 signaling (PubMed : 35216969).. (Microbial infection) Contributes to the overall stabilization and trans-activation capability of the herpesvirus 1 trans-acting transcriptional protein ICP0/VMW110 during HSV-1 infection.. (Microbial infection) Upon infection with Epstein-Barr virus, the interaction with viral EBNA1 increases the association of USP7 with PML proteins, which is required for the polyubiquitylation and degradation of PML.
See full target information USP7

Publications (1)

Recent publications for all applications. Explore the full list and refine your search

Acta pharmaceutica Sinica. B 15:1415-1429 PubMed40370549

2025

Effective therapeutic targeting of tumor lineage plasticity in neuroendocrine prostate cancer by BRD4 inhibitors.

Applications

Unspecified application

Species

Unspecified reactive species

Xiong Zhang,Yatian Yang,Hongye Zou,Yang Yang,Xingling Zheng,Eva Corey,Amina Zoubeidi,Nicolas Mitsiades,Ai-Ming Yu,Yuanpei Li,Hong-Wu Chen
View all publications

Product promise

We are committed to supporting your work with high-quality reagents, and we're here for you every step of the way. In the unlikely event that one of our products does not perform as expected, you're protected by our Product Promise.
For full details, please see our Terms & Conditions

Please note: All products are 'FOR RESEARCH USE ONLY. NOT FOR USE IN DIAGNOSTIC OR THERAPEUTIC PROCEDURES'.

For licensing inquiries, please contact partnerships@abcam.com