JavaScript is disabled in your browser. Please enable JavaScript to view this website.
AB322399

Anti-HBV envelope L+M protein antibody [EPR29888-33]

  • 20ul selling size
  • BOND RX™ Validated
  • RabMAb
  • Recombinant
  • What is this?

Be the first to review this product! Submit a review

|

(0 Publication)

Rabbit Recombinant Monoclonal HBSAG antibody. Suitable for WB, IHC-P, ICC/IF, I-ELISA and reacts with Transfected cell lysate - Hepatitis B virus adw2/Rutter/1979, Transfected cell line - Hepatitis B virus adw2/Rutter/1979, Synthetic peptide samples.

View Alternative Names

Large envelope protein, L glycoprotein, L-HBsAg, Large S protein, Large surface protein, Major surface antigen, LHB, S

5 Images
Immunohistochemistry (Formalin/PFA-fixed paraffin-embedded sections) - Anti-HBV envelope L+M protein antibody [EPR29888-33] (AB322399)
  • IHC-P

Supplier Data

Immunohistochemistry (Formalin/PFA-fixed paraffin-embedded sections) - Anti-HBV envelope L+M protein antibody [EPR29888-33] (AB322399)

Immunohistochemical analysis of paraffin-embedded Panel (A) 293T (human embryonic kidney epithelial cell) transfected with a Hepatitis B virus genotype A2 subtype adw2 (strain Rutter 1979) Middle envelope protein expression vector containing a myc-His-tag and Panel (B) 293T cells transfected with empty vector containing a his tag labeling HBV envelope L+M protein with ab322399 at 1/2000 (0.258 ug/ml) dilution, followed by a ready to use LeicaDS9800 (Bond™ Polymer Refine Detection).

Positive staining on (A) HEK-293T transfected with Hepatitis B virus genotype A2 subtype adw2 (strain Rutter 1979) Middle envelope protein expression vector and no staining on (B) HEK-293T transfected with empty vector.
The section was incubated with ab322399 for 30 mins at room temperature.
The immunostaining was performed on a Leica Biosystems BOND® RX instrument

Counterstained with Hematoxylin.

Secondary antibody only control : Secondary antibody is a ready to use LeicaDS9800 (Bond™ Polymer Refine Detection).

Heat mediated antigen retrieval was performed with Tris-EDTA buffer (pH 9.0, Epitope Retrieval Solution2) for 20 mins

Immunocytochemistry/ Immunofluorescence - Anti-HBV envelope L+M protein antibody [EPR29888-33] (AB322399)
  • ICC/IF

Supplier Data

Immunocytochemistry/ Immunofluorescence - Anti-HBV envelope L+M protein antibody [EPR29888-33] (AB322399)

Immunofluorescent analysis of 4% Paraformaldehyde-fixed, 0.1% TritonX-100 permeabilized 293T (human embryonic kidney epithelial cell) cells labelling HBV envelope L+M protein with ab322399 at 1/4000 (0.129 ug/ml) dilution, followed by ab150081 Goat Anti-Rabbit IgG H&L (Alexa Fluor® 488) preadsorbed antibody at 1/1000 2ug/ml dilution (Green).

Confocal image showing cytoplasmic staining in 293T cells transfected with Hepatitis B virus genotype A2 subtype adw2 (strain Rutter 1979) Middle envelope protein expression vector containing a myc-His-tag® (shown in green). The counterstain was observed in magenta. Nuclear DNA was labelled with DAPI (shown in blue). Image was taken with a confocal microscope (Leica-Microsystems, TCS SP8).

ab223894 Anti-Myc tag mouse monoclonal antibody (Alexa Fluor® 594) was used to counterstain tubulin at 1/100 5 ug/ml dilution (Magenta).

Secondary antibody only control : Secondary antibody is ab150081 Goat Anti-Rabbit IgG H&L (Alexa Fluor® 488) preadsorbed at 1/1000 2ug/ml dilution.

Indirect ELISA - Anti-HBV envelope L+M protein antibody [EPR29888-33] (AB322399)
  • I-ELISA

Supplier Data

Indirect ELISA - Anti-HBV envelope L+M protein antibody [EPR29888-33] (AB322399)

Indirect ELISA analysis of ab322399 at 1000-0 ng/ml. The Secondary antibody used was Alkaline Phosphatase-conjugated AffiniPure Goat Anti-Rabbit IgG (H+L) at 1 : 2500 dilution.

Antigen : HBV envelope M protein.

Antigen concentration : 1000 ng/ml

Western blot - Anti-HBV envelope L+M protein antibody [EPR29888-33] (AB322399)
  • WB

Supplier Data

Western blot - Anti-HBV envelope L+M protein antibody [EPR29888-33] (AB322399)

This antibody cross-reacts with overexpressed Hepatitis B virus genotype A2 subtype adw2 (strain Rutter 1979) Large envelope protein, Middle envelope protein and Hepatitis B virus genotype A1 Large (L) envelope protein.

Blocking and diluting buffer and concentration : 5% NFDM/TBST.

In Western blot, Anti-GAPDH antibody [EPR16891] - Loading Control (ab181602) staining at 1/200000 dilution.

In Western blot, Anti-6X His tag® antibody [EPR20547] - ChIP Grade (ab213204) staining at 1/5000 dilution.

All lanes:

Western blot - Anti-HBV envelope L+M protein antibody [EPR29888-33] (ab322399) at 1/1000 dilution

Lane 1:

293T (human embryonic kidney epithelial cell) cells transfected with an empty vector containing a myc-His-tag®, whole cell lysate at 20 µg

Lane 2:

293T cells transfected with a Hepatitis B virus genotype A2 subtype adw2 (strain Rutter 1979) Large envelope protein expression vector containing a myc-His-tag®, whole cell lysate at 20 µg

Lane 3:

293T cells transfected with a Hepatitis B virus genotype A2 subtype adw2 (strain Rutter 1979) Middle envelope protein expression vector containing a myc-His-tag®, whole cell lysate at 20 µg

Lane 4:

293T cells transfected with a Hepatitis B virus genotype A2 subtype adw2 (strain Rutter 1979) Small envelope protein expression vector containing a myc-His-tag®, whole cell lysate at 20 µg

Lane 5:

293T cells transfected with a Hepatitis B virus genotype H Large (L) envelope protein expression vector containing a myc-His-tag®, whole cell lysate at 20 µg

Lane 6:

293T cells transfected with a Hepatitis B virus genotype D Large (L) envelope protein expression vector containing a myc-His-tag®, whole cell lysate at 20 µg

Lane 7:

293T cells transfected with a Hepatitis B virus genotype A1 Large (L) envelope protein expression vector containing a myc-His-tag®, whole cell lysate at 20 µg

Secondary

All lanes:

Western blot - Goat Anti-Rabbit IgG H&L (HRP) (<a href='/en-us/products/secondary-antibodies/goat-rabbit-igg-h-l-hrp-ab97051'>ab97051</a>) at 1/20000 dilution

Observed band size: 44 kDa,31 kDa,36 kDa

false

Exposure time: 136s

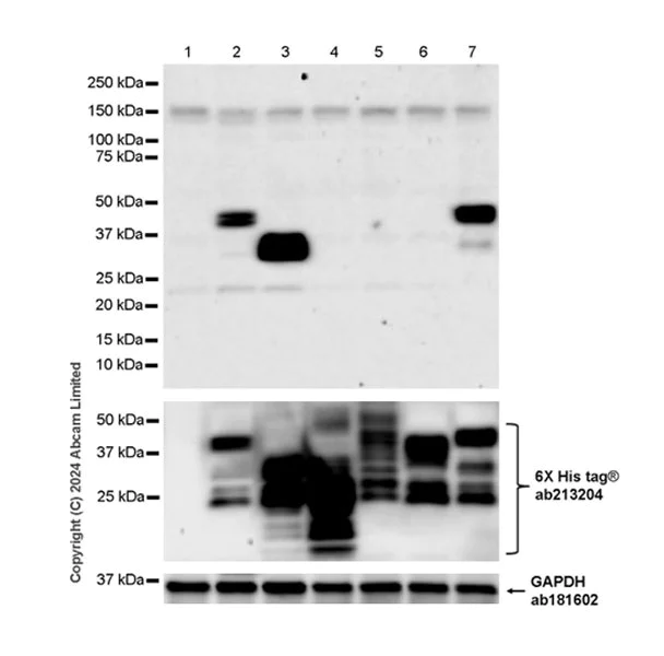
Western blot - Anti-HBV envelope L+M protein antibody [EPR29888-33] (AB322399)
  • WB

Supplier Data

Western blot - Anti-HBV envelope L+M protein antibody [EPR29888-33] (AB322399)

Blocking and diluting buffer and concentration : 5% NFDM/TBST.

This antibody cross-reacts with overexpressed Hepatitis B virus genotype A2 subtype adw2 (strain Rutter 1979) Large envelope protein and Middle envelope protein.

In Western blot, Anti-GAPDH antibody [EPR16891] - Loading Control (ab181602) staining at 1/200000 dilution.

In Western blot, Anti-6X His tag® antibody [EPR20547] - ChIP Grade (ab213204) staining at 1/5000 dilution.

All lanes:

Western blot - Anti-HBV envelope L+M protein antibody [EPR29888-33] (ab322399) at 1/1000 dilution

Lane 1:

293T (human embryonic kidney epithelial cell) cells transfected with an empty vector containing a myc-His-tag®, whole cell lysate at 20 µg

Lane 2:

293T cells transfected with a Hepatitis B virus genotype A2 subtype adw2 (strain Rutter 1979) Large envelope protein expression vector containing a myc-His-tag®, whole cell lysate at 20 µg

Lane 3:

293T cells transfected with a Hepatitis B virus genotype A2 subtype adw2 (strain Rutter 1979) Middle envelope protein expression vector containing a myc-His-tag®, whole cell lysate at 20 µg

Lane 4:

293T cells transfected with a Hepatitis B virus genotype A2 subtype adw2 (strain Rutter 1979) Small envelope protein expression vector containing a myc-His-tag®, whole cell lysate at 20 µg

Secondary

All lanes:

Western blot - Goat Anti-Rabbit IgG H&L (HRP) (<a href='/en-us/products/secondary-antibodies/goat-rabbit-igg-h-l-hrp-ab97051'>ab97051</a>) at 1/20000 dilution

Observed band size: 44 kDa,31 kDa,36 kDa

false

Exposure time: 180s

  • Carrier free

    Anti-Hepatitis B Virus Surface Antigen antibody [EPR29888-33] - BSA and Azide free

Key facts

Host species

Rabbit

Clonality

Monoclonal

Clone number

EPR29888-33

Isotype

IgG

Carrier free

No

Reacts with

Hepatitis B virus adw2/Rutter/1979

Applications

WB, I-ELISA, IHC-P, ICC/IF

applications

Immunogen

The exact immunogen used to generate this antibody is proprietary information.

Specificity

This antibody recognizes large (L) and middle (M) envelop protein from Hepatitis B virus genotypes A2 and A1 but does not cross react with the Hepatitis B virus genotypes H and D.

Reactivity data

{ "title": "Reactivity Data", "filters": { "stats": ["", "Species", "Dilution Info", "Notes"], "tabs": { "all-applications": {"fullname" : "All Applications", "shortname": "All Applications"}, "WB" : {"fullname" : "Western blot", "shortname":"WB"}, "IHCP" : {"fullname" : "Immunohistochemistry (Formalin/PFA-fixed paraffin-embedded sections)", "shortname":"IHC-P"}, "ICCIF" : {"fullname" : "Immunocytochemistry/ Immunofluorescence", "shortname":"ICC/IF"}, "IELISA" : {"fullname" : "Indirect ELISA", "shortname":"I-ELISA"} }, "product-promise": { "all": "all", "testedAndGuaranteed": "tested", "guaranteed": "expected", "predicted": "predicted", "notRecommended": "not-recommended" } }, "values": { "Hepatitis B virus adw2/Rutter/1979": { "WB-species-checked": "predicted", "WB-species-dilution-info": "", "WB-species-notes": "", "IHCP-species-checked": "predicted", "IHCP-species-dilution-info": "", "IHCP-species-notes": "", "ICCIF-species-checked": "predicted", "ICCIF-species-dilution-info": "", "ICCIF-species-notes": "", "IELISA-species-checked": "predicted", "IELISA-species-dilution-info": "", "IELISA-species-notes": "" }, "Synthetic peptide": { "WB-species-checked": "notRecommended", "WB-species-dilution-info": "", "WB-species-notes": "", "IHCP-species-checked": "notRecommended", "IHCP-species-dilution-info": "", "IHCP-species-notes": "", "ICCIF-species-checked": "notRecommended", "ICCIF-species-dilution-info": "", "ICCIF-species-notes": "", "IELISA-species-checked": "testedAndGuaranteed", "IELISA-species-dilution-info": "1000 ng/mL", "IELISA-species-notes": "<p></p>" }, "Transfected cell line - Hepatitis B virus adw2/Rutter/1979": { "WB-species-checked": "notRecommended", "WB-species-dilution-info": "", "WB-species-notes": "", "IHCP-species-checked": "testedAndGuaranteed", "IHCP-species-dilution-info": "1/2000", "IHCP-species-notes": "<p></p>", "ICCIF-species-checked": "testedAndGuaranteed", "ICCIF-species-dilution-info": "1/4000", "ICCIF-species-notes": "<p></p>", "IELISA-species-checked": "notRecommended", "IELISA-species-dilution-info": "", "IELISA-species-notes": "" }, "Transfected cell lysate - Hepatitis B virus adw2/Rutter/1979": { "WB-species-checked": "testedAndGuaranteed", "WB-species-dilution-info": "1/1000", "WB-species-notes": "<p></p>", "IHCP-species-checked": "notRecommended", "IHCP-species-dilution-info": "", "IHCP-species-notes": "", "ICCIF-species-checked": "notRecommended", "ICCIF-species-dilution-info": "", "ICCIF-species-notes": "", "IELISA-species-checked": "notRecommended", "IELISA-species-dilution-info": "", "IELISA-species-notes": "" } } }

Product details

Patented technology
Our RabMAb® technology is a patented hybridoma-based technology for making rabbit monoclonal antibodies. For details on our patents, please refer to RabMAb® patents.

What are the advantages of a recombinant monoclonal antibody?
This product is a recombinant monoclonal antibody, which offers several advantages including:

  • - High batch-to-batch consistency and reproducibility
  • - Improved sensitivity and specificity
  • - Long-term security of supply
  • - Animal-free batch production

For more information, read more on recombinant antibodies.

Properties and storage information

Form
Liquid
Purification technique
Affinity purification Protein A
Storage buffer
pH: 7.2 - 7.4 Preservative: 0.01% Sodium azide Constituents: PBS, 40% Glycerol (glycerin, glycerine), 0.05% BSA
Shipped at conditions
Blue Ice
Appropriate short-term storage duration
1-2 weeks
Appropriate short-term storage conditions
+4°C
Appropriate long-term storage conditions
-20°C
Aliquoting information
Upon delivery aliquot
Storage information
Avoid freeze / thaw cycle

Product protocols

For this product, it's our understanding that no specific protocols are required. You can visit:

Target data

The large envelope protein exists in two topological conformations, one which is termed 'external' or Le-HBsAg and the other 'internal' or Li-HBsAg. In its external conformation the protein attaches the virus to cell receptors and thereby initiating infection. This interaction determines the species specificity and liver tropism. This attachment induces virion internalization predominantly through caveolin-mediated endocytosis. The large envelope protein also assures fusion between virion membrane and endosomal membrane. In its internal conformation the protein plays a role in virion morphogenesis and mediates the contact with the nucleocapsid like a matrix protein.. The middle envelope protein plays an important role in the budding of the virion. It is involved in the induction of budding in a nucleocapsid independent way. In this process the majority of envelope proteins bud to form subviral lipoprotein particles of 22 nm of diameter that do not contain a nucleocapsid.
See full target information S

Product promise

We are committed to supporting your work with high-quality reagents, and we're here for you every step of the way. In the unlikely event that one of our products does not perform as expected, you're protected by our Product Promise.
For full details, please see our Terms & Conditions

Please note: All products are 'FOR RESEARCH USE ONLY. NOT FOR USE IN DIAGNOSTIC OR THERAPEUTIC PROCEDURES'.

For licensing inquiries, please contact partnerships@abcam.com