JavaScript is disabled in your browser. Please enable JavaScript to view this website.
AB8466

Anti-hCG antibody [2092]

Be the first to review this product! Submit a review

|

(1 Publication)

Mouse Monoclonal GLHA antibody. Suitable for WB, IHC-P, IHC-Fr, ELISA and reacts with Human samples. Cited in 1 publication.

View Alternative Names

Glycoprotein hormones alpha chain, Anterior pituitary glycoprotein hormones common subunit alpha, Choriogonadotropin alpha chain, Chorionic gonadotrophin subunit alpha, Follicle-stimulating hormone alpha chain, Follitropin alpha chain, Luteinizing hormone alpha chain, Lutropin alpha chain, Thyroid-stimulating hormone alpha chain, Thyrotropin alpha chain, CG-alpha, FSH-alpha, LSH-alpha, TSH-alpha, CGA

Key facts

Host species

Mouse

Clonality

Monoclonal

Clone number

2092

Isotype

IgG1

Light chain type

unknown

Carrier free

No

Reacts with

Human

Applications

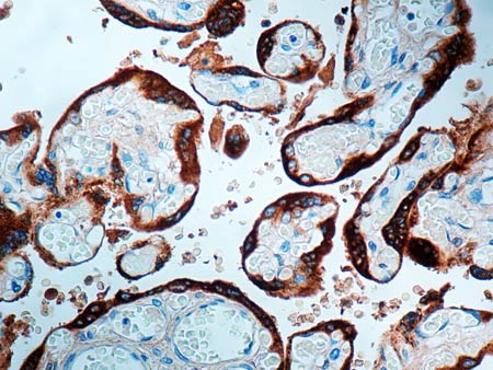
IHC-P, WB, IHC-Fr, ELISA

applications

Specificity

This antibody reacts with high specificity to ß-HCG. This antibody does not detect FSH or MSH There is a slight reaction with LH

Reactivity data

{ "title": "Reactivity Data", "filters": { "stats": ["", "Species", "Dilution Info", "Notes"], "tabs": { "all-applications": {"fullname" : "All Applications", "shortname": "All Applications"}, "WB" : {"fullname" : "Western blot", "shortname":"WB"}, "IHCP" : {"fullname" : "Immunohistochemistry (Formalin/PFA-fixed paraffin-embedded sections)", "shortname":"IHC-P"}, "IHCFr" : {"fullname" : "Immunohistochemistry (Frozen sections)", "shortname":"IHC-Fr"}, "ELISA" : {"fullname" : "ELISA", "shortname":"ELISA"} }, "product-promise": { "all": "all", "testedAndGuaranteed": "tested", "guaranteed": "expected", "predicted": "predicted", "notRecommended": "not-recommended" } }, "values": { "Human": { "WB-species-checked": "guaranteed", "WB-species-dilution-info": "", "WB-species-notes": "<p></p>", "IHCP-species-checked": "guaranteed", "IHCP-species-dilution-info": "1/10", "IHCP-species-notes": "<p></p>", "IHCFr-species-checked": "guaranteed", "IHCFr-species-dilution-info": "1/10", "IHCFr-species-notes": "<p></p>", "ELISA-species-checked": "guaranteed", "ELISA-species-dilution-info": "", "ELISA-species-notes": "<p></p>" } } }

Properties and storage information

Form
Liquid
Purification technique
Affinity purification
Storage buffer
pH: 7.3 Preservative: 0.065% Sodium azide Constituents: 1% BSA
Shipped at conditions
Blue Ice
Appropriate short-term storage duration
1-2 weeks
Appropriate short-term storage conditions
+4°C
Appropriate long-term storage conditions
-20°C
Aliquoting information
Upon delivery aliquot
Storage information
Avoid freeze / thaw cycle

Supplementary information

This supplementary information is collated from multiple sources and compiled automatically.

Human chorionic gonadotropin (hCG) is a glycoprotein hormone composed of two subunits alpha and beta. The beta subunit confers its specific biological activity. Its molecular weight ranges around 36.7 kDa. hCG is produced in the placenta during pregnancy and is also expressed in pituitary cells. Known alternatively as the pregnancy hormone hCG plays a critical role in maintaining the luteal function during the early stages of pregnancy.
Biological function summary

HCG regulates several functions related to reproduction. It supports the corpus luteum in ovaries to secrete progesterone during early pregnancy contributing to the uterine lining's maintenance. Moreover hCG can interact with the luteinizing hormone/chorionic gonadotropin receptor (LHCGR) indicating its involvement in broader reproductive functions. Not as well known hCG may exist in various forms such as hCG intact influencing certain biological pathways differently.

Pathways

Scientists study hCG's role in reproductive signaling and gonadotropin pathways. It interacts closely with luteinizing hormone (LH) with substantial overlap in their pathway functions impacting reproductive health and fertility cycles. hCG's activation of specific receptors like LHCGR plays a role in these pathways connecting it to various fertility-related responses in the human body.

HCG levels can be an indicative marker for certain conditions. Elevated hCG levels may signal trophoblastic diseases such as molar pregnancy or gestational trophoblastic neoplasia. Its abnormal expression might also indicate testicular cancer where it acts as a tumor marker. Both conditions relate to hCG through its shared glycoprotein structure with other hormones like thyroid-stimulating hormone (TSH) which links the hormone to broader endocrine disorder research.

Product protocols

For this product, it's our understanding that no specific protocols are required. You can visit:

Target data

Shared alpha chain of the active heterodimeric glycoprotein hormones thyrotropin/thyroid stimulating hormone/TSH, lutropin/luteinizing hormone/LH, follitropin/follicle stimulating hormone/FSH and choriogonadotropin/CG. These hormones bind specific receptors on target cells that in turn activate downstream signaling pathways.
See full target information CGA

Publications (1)

Recent publications for all applications. Explore the full list and refine your search

Biosensors 7: PubMed28704926

2017

A Label-Free and Ultrasensitive Immunosensor for Detection of Human Chorionic Gonadotrophin Based on Graphene FETs.

Applications

Unspecified application

Species

Unspecified reactive species

Kamrul Islam,Ahmed Suhail,Genhua Pan
View all publications

Product promise

We are committed to supporting your work with high-quality reagents, and we're here for you every step of the way. In the unlikely event that one of our products does not perform as expected, you're protected by our Product Promise.
For full details, please see our Terms & Conditions

Please note: All products are 'FOR RESEARCH USE ONLY. NOT FOR USE IN DIAGNOSTIC OR THERAPEUTIC PROCEDURES'.

For licensing inquiries, please contact partnerships@abcam.com