JavaScript is disabled in your browser. Please enable JavaScript to view this website.
AB131170

Anti-hCG beta antibody [EPHCGR2]

Be the first to review this product! Submit a review

|

(6 Publications)

Rabbit Recombinant Monoclonal Choriogonadotropin subunit beta antibody. Suitable for IHC-P and reacts with Human samples. Cited in 6 publications.

View Alternative Names

CGB, CGB5, CGB8, CGB3, Choriogonadotropin subunit beta 3, Choriogonadotropin subunit beta, Chorionic gonadotropin chain beta, CG-beta

6 Images
Immunohistochemistry (Formalin/PFA-fixed paraffin-embedded sections) - Anti-hCG beta antibody [EPHCGR2] (AB131170)
  • IHC-P

Unknown

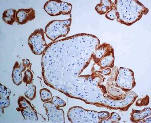
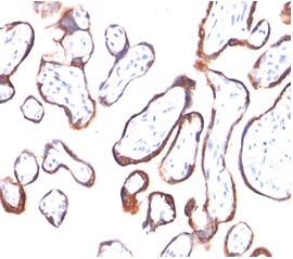
Immunohistochemistry (Formalin/PFA-fixed paraffin-embedded sections) - Anti-hCG beta antibody [EPHCGR2] (AB131170)

Immunohistochemical analysis of paraffin-embedded Human placenta tissue with ab131170 at 1/100 dilution.

Perform heat mediated antigen retrieval with citrate buffer pH 6 before commencing with IHC staining protocol.

Immunohistochemistry (Formalin/PFA-fixed paraffin-embedded sections) - Anti-hCG beta antibody [EPHCGR2] (AB131170)
  • IHC-P

Unknown

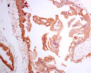
Immunohistochemistry (Formalin/PFA-fixed paraffin-embedded sections) - Anti-hCG beta antibody [EPHCGR2] (AB131170)

ab131170 showing positive staining in Hydatidiform mole tissue.

Perform heat mediated antigen retrieval with citrate buffer pH 6 before commencing with IHC staining protocol.

Immunohistochemistry (Formalin/PFA-fixed paraffin-embedded sections) - Anti-hCG beta antibody [EPHCGR2] (AB131170)
  • IHC-P

Unknown

Immunohistochemistry (Formalin/PFA-fixed paraffin-embedded sections) - Anti-hCG beta antibody [EPHCGR2] (AB131170)

ab131170 showing negative staining in Normal colon tissue.

Perform heat mediated antigen retrieval with citrate buffer pH 6 before commencing with IHC staining protocol.

Immunohistochemistry (Formalin/PFA-fixed paraffin-embedded sections) - Anti-hCG beta antibody [EPHCGR2] (AB131170)
  • IHC-P

Unknown

Immunohistochemistry (Formalin/PFA-fixed paraffin-embedded sections) - Anti-hCG beta antibody [EPHCGR2] (AB131170)

ab131170 showing negative staining in Normal tonsil tissue.

Perform heat mediated antigen retrieval with citrate buffer pH 6 before commencing with IHC staining protocol.

Immunohistochemistry (Formalin/PFA-fixed paraffin-embedded sections) - Anti-hCG beta antibody [EPHCGR2] (AB131170)
  • IHC-P

Unknown

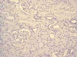
Immunohistochemistry (Formalin/PFA-fixed paraffin-embedded sections) - Anti-hCG beta antibody [EPHCGR2] (AB131170)

ab131170 showing negative staining in Normal kidney tissue.

Perform heat mediated antigen retrieval with citrate buffer pH 6 before commencing with IHC staining protocol.

Immunohistochemistry (Formalin/PFA-fixed paraffin-embedded sections) - Anti-hCG beta antibody [EPHCGR2] (AB131170)
  • IHC-P

Unknown

Immunohistochemistry (Formalin/PFA-fixed paraffin-embedded sections) - Anti-hCG beta antibody [EPHCGR2] (AB131170)

ab131170 showing negative staining in Normal brain tissue.

Perform heat mediated antigen retrieval with citrate buffer pH 6 before commencing with IHC staining protocol.

  • Carrier free

    Anti-hCG beta antibody [EPHCGR2] - BSA and Azide free

Key facts

Host species

Rabbit

Clonality

Monoclonal

Clone number

EPHCGR2

Isotype

IgG

Carrier free

No

Reacts with

Human

Applications

IHC-P

applications

Immunogen

The exact immunogen used to generate this antibody is proprietary information.

Reactivity data

{ "title": "Reactivity Data", "filters": { "stats": ["", "Species", "Dilution Info", "Notes"], "tabs": { "all-applications": {"fullname" : "All Applications", "shortname": "All Applications"}, "IHCP" : {"fullname" : "Immunohistochemistry (Formalin/PFA-fixed paraffin-embedded sections)", "shortname":"IHC-P"}, "WB" : {"fullname" : "Western blot", "shortname":"WB"}, "ICCIF" : {"fullname" : "Immunocytochemistry/ Immunofluorescence", "shortname":"ICC/IF"}, "IP" : {"fullname" : "Immunoprecipitation", "shortname":"IP"}, "FlowCyt" : {"fullname" : "Flow Cytometry", "shortname":"Flow Cyt"} }, "product-promise": { "all": "all", "testedAndGuaranteed": "tested", "guaranteed": "expected", "predicted": "predicted", "notRecommended": "not-recommended" } }, "values": { "Human": { "IHCP-species-checked": "testedAndGuaranteed", "IHCP-species-dilution-info": "1/100 - 1/250", "IHCP-species-notes": "<p></p>", "WB-species-checked": "notRecommended", "WB-species-dilution-info": "", "WB-species-notes": "<p></p>", "ICCIF-species-checked": "notRecommended", "ICCIF-species-dilution-info": "", "ICCIF-species-notes": "<p></p>", "IP-species-checked": "notRecommended", "IP-species-dilution-info": "", "IP-species-notes": "<p></p>", "FlowCyt-species-checked": "notRecommended", "FlowCyt-species-dilution-info": "", "FlowCyt-species-notes": "<p></p>" } } }

Product details

Species reactivity
Mouse, Rat: We have preliminary internal testing data to indicate this antibody may not react with these species.
Please contact us for more information.

Patented technology
Our RabMAb® technology is a patented hybridoma-based technology for making rabbit monoclonal antibodies. For details on our patents, please refer to RabMAb® patents.

What are the advantages of a recombinant monoclonal antibody?
This product is a recombinant monoclonal antibody, which offers several advantages including:

  • - High batch-to-batch consistency and reproducibility
  • - Improved sensitivity and specificity
  • - Long-term security of supply
  • - Animal-free batch production

For more information, read more on recombinant antibodies.

Properties and storage information

Form
Liquid
Purification technique
Affinity purification Protein A
Storage buffer
pH: 7.2 - 7.4 Preservative: 0.01% Sodium azide Constituents: PBS, 50% Tissue culture supernatant, 40% Glycerol (glycerin, glycerine), 0.05% BSA
Shipped at conditions
Blue Ice
Appropriate short-term storage conditions
+4°C
Appropriate long-term storage conditions
-20°C
Storage information
Stable for 12 months at -20°C

Supplementary information

This supplementary information is collated from multiple sources and compiled automatically.

HCG beta also known as beta hCG or hCGβ is a subunit of the human chorionic gonadotropin (hCG) protein. This protein plays critical roles in human reproduction. hCG is a glycoprotein hormone composed of alpha and beta subunits with the beta subunit being unique to hCG and conferring its biological specificity. The mass of the beta hCG is approximately 22.2 kDa. hCG beta is expressed mainly in placental trophoblastic cells during pregnancy where it stimulates the corpus luteum to produce progesterone. This progesterone production is essential to maintain the uterine lining for embryo implantation and growth.
Biological function summary

HCG beta plays a significant role in gestational development. It is not a standalone protein but part of the larger hCG complex conferring specific hormonal activity when paired with the common alpha subunit. This activity involves supporting fetal-placental development and enabling maternal immune tolerance to the embryo. As a marker hCG beta levels are measured in pregnancy tests to confirm conception. In addition to pregnancy-related functions hCG beta has been detected in certain cancers making it useful as a tumor marker. It sometimes gets used in clinical settings to monitor trophoblastic disease and germ cell tumors.

Pathways

HCG beta is intricately involved in reproductive signaling pathways. It plays an important role in the cAMP-PKA pathway by acting through the luteinizing hormone/choriogonadotropin receptor which regulates steroidogenesis in the reproductive system. hCG beta’s activity leads to the stimulation of downstream proteins such as progesterone which modulates various reproductive and systemic effects. The involvement of hCG beta in the Wnt signaling pathway has also been suggested indicating its broader role in cellular growth and differentiation making it an influential factor in both pregnancy and certain oncogenic processes.

HCG beta holds significant importance in oncology and reproductive health. Elevated levels of hCG beta are associated with gestational trophoblastic diseases such as choriocarcinoma a fast-growing cancer originating in the uterus. The protein’s abnormal presence is often an indicator in testicular cancer specifically germ cell tumors where it serves as a marker for diagnosis and treatment monitoring. These connections make hCG beta a valuable target for understanding tumor biology and developing diagnostic strategies. Further interactions with related proteins such as the luteinizing hormone receptor highlight its function in these pathogenic conditions.

Product protocols

For this product, it's our understanding that no specific protocols are required. You can visit:

Target data

Beta subunit of the human chorionic gonadotropin (hCG). hCG is a complex glycoprotein composed of two glycosylated subunits alpha and beta which are non-covalently associated. The alpha subunit is identical to those in the pituitary gonadotropin hormones (LH, FSH and TSH). The beta subunits are distinct in each of the hormones and confer receptor and biological specificity. Has an essential role in pregnancy and maternal adaptation. Stimulates the ovaries to synthesize the steroids that are essential for the maintenance of pregnancy.
See full target information CGB3

Publications (6)

Recent publications for all applications. Explore the full list and refine your search

Recent patents on anti-cancer drug discovery 19:188-198 PubMed38214358

2024

Human Chorionic Gonadotropin Regulates the Smad Signaling Pathway by Antagonizing TGF-β in Giant Cell Tumor of Bone.

Applications

Unspecified application

Species

Unspecified reactive species

Tangbing Xu,Shenglin Xu,Guangwen Ma,Jun Chang,Chi Zhang,Ping Zhou,Chao Wang,Pengfei Xu,Junjun Yang,Yong Hu,Yunfeng Wu

Frontiers in immunology 14:1125203 PubMed37711621

2023

Construction and validation of a signature for T cell-positive regulators related to tumor microenvironment and heterogeneity of gastric cancer.

Applications

Unspecified application

Species

Unspecified reactive species

Yangyang Guo,Yingjue Zhang,Kenan Cen,Ying Dai,Yifeng Mai,Kai Hong

Advanced science (Weinheim, Baden-Wurttemberg, Germany) :e2205451 PubMed36373710

2022

Podocalyxin-Like Protein 1 Regulates Pluripotency through the Cholesterol Biosynthesis Pathway.

Applications

Unspecified application

Species

Unspecified reactive species

Wei-Ju Chen,Wei-Kai Huang,Sarshan R Pather,Wei-Fang Chang,Li-Ying Sung,Han-Chung Wu,Mei-Ying Liao,Chi-Chiu Lee,Hsuan-Hui Wu,Chung-Yi Wu,Kuo-Shiang Liao,Chun-Yu Lin,Shang-Chih Yang,Hsuan Lin,Pei-Lun Lai,Chi-Hou Ng,Chun-Mei Hu,I-Chih Chen,Chi-Hsuan Chuang,Chien-Ying Lai,Po-Yu Lin,Yueh-Chang Lee,Scott C Schuyler,Axel Schambach,Frank Leigh Lu,Jean Lu

Nature communications 13:3147 PubMed35672317

2022

Cell fate roadmap of human primed-to-naive transition reveals preimplantation cell lineage signatures.

Applications

Unspecified application

Species

Unspecified reactive species

Yan Bi,Zhifen Tu,Jianfeng Zhou,Xuehao Zhu,Hong Wang,Shaorong Gao,Yixuan Wang

Frontiers in oncology 11:683582 PubMed34222004

2021

Novel Prognostic Biomarkers in Gastric Cancer: CGB5, MKNK2, and PAPPA2.

Applications

Unspecified application

Species

Unspecified reactive species

Min Qin,Zhihai Liang,Heping Qin,Yifang Huo,Qing Wu,Huiying Yang,Guodu Tang

Cell 169:243-257.e25 PubMed28388409

2017

Derivation of Pluripotent Stem Cells with In Vivo Embryonic and Extraembryonic Potency.

Applications

Unspecified application

Species

Unspecified reactive species

Yang Yang,Bei Liu,Jun Xu,Jinlin Wang,Jun Wu,Cheng Shi,Yaxing Xu,Jiebin Dong,Chengyan Wang,Weifeng Lai,Jialiang Zhu,Liang Xiong,Dicong Zhu,Xiang Li,Weifeng Yang,Takayoshi Yamauchi,Atsushi Sugawara,Zhongwei Li,Fangyuan Sun,Xiangyun Li,Chen Li,Aibin He,Yaqin Du,Ting Wang,Chaoran Zhao,Haibo Li,Xiaochun Chi,Hongquan Zhang,Yifang Liu,Cheng Li,Shuguang Duo,Ming Yin,Huan Shen,Juan Carlos Izpisua Belmonte,Hongkui Deng
View all publications

Product promise

We are committed to supporting your work with high-quality reagents, and we're here for you every step of the way. In the unlikely event that one of our products does not perform as expected, you're protected by our Product Promise.
For full details, please see our Terms & Conditions

Please note: All products are 'FOR RESEARCH USE ONLY. NOT FOR USE IN DIAGNOSTIC OR THERAPEUTIC PROCEDURES'.

For licensing inquiries, please contact partnerships@abcam.com