JavaScript is disabled in your browser. Please enable JavaScript to view this website.
AB248368

Anti-hCG beta antibody [EPHCGR2] - BSA and Azide free

Be the first to review this product! Submit a review

|

(1 Publication)

Rabbit Recombinant Monoclonal Choriogonadotropin subunit beta antibody. Carrier free. Suitable for IHC-P and reacts with Human samples. Cited in 1 publication.

View Alternative Names

CGB, CGB5, CGB8, CGB3, Choriogonadotropin subunit beta 3, Choriogonadotropin subunit beta, Chorionic gonadotropin chain beta, CG-beta

6 Images
Immunohistochemistry (Formalin/PFA-fixed paraffin-embedded sections) - Anti-hCG beta antibody [EPHCGR2] - BSA and Azide free (AB248368)
  • IHC-P

Unknown

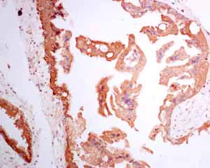
Immunohistochemistry (Formalin/PFA-fixed paraffin-embedded sections) - Anti-hCG beta antibody [EPHCGR2] - BSA and Azide free (AB248368)

This data was developed using ab131170, the same antibody clone in a different buffer formulation.

Immunohistochemical analysis of paraffin-embedded Human placenta tissue with ab131170 at 1/100 dilution.

Perform heat mediated antigen retrieval with citrate buffer pH 6 before commencing with IHC staining protocol.

Immunohistochemistry (Formalin/PFA-fixed paraffin-embedded sections) - Anti-hCG beta antibody [EPHCGR2] - BSA and Azide free (AB248368)
  • IHC-P

Unknown

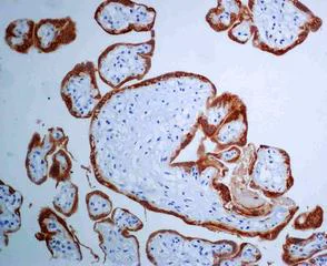
Immunohistochemistry (Formalin/PFA-fixed paraffin-embedded sections) - Anti-hCG beta antibody [EPHCGR2] - BSA and Azide free (AB248368)

This data was developed using ab131170, the same antibody clone in a different buffer formulation.

ab131170 showing positive staining in Hydatidiform mole tissue.

Perform heat mediated antigen retrieval with citrate buffer pH 6 before commencing with IHC staining protocol.

Immunohistochemistry (Formalin/PFA-fixed paraffin-embedded sections) - Anti-hCG beta antibody [EPHCGR2] - BSA and Azide free (AB248368)
  • IHC-P

Unknown

Immunohistochemistry (Formalin/PFA-fixed paraffin-embedded sections) - Anti-hCG beta antibody [EPHCGR2] - BSA and Azide free (AB248368)

This data was developed using ab131170, the same antibody clone in a different buffer formulation.

ab131170 showing negative staining in Normal colon tissue.

Perform heat mediated antigen retrieval with citrate buffer pH 6 before commencing with IHC staining protocol.

Immunohistochemistry (Formalin/PFA-fixed paraffin-embedded sections) - Anti-hCG beta antibody [EPHCGR2] - BSA and Azide free (AB248368)
  • IHC-P

Unknown

Immunohistochemistry (Formalin/PFA-fixed paraffin-embedded sections) - Anti-hCG beta antibody [EPHCGR2] - BSA and Azide free (AB248368)

This data was developed using ab131170, the same antibody clone in a different buffer formulation.

ab131170 showing negative staining in Normal tonsil tissue.

Perform heat mediated antigen retrieval with citrate buffer pH 6 before commencing with IHC staining protocol.

Immunohistochemistry (Formalin/PFA-fixed paraffin-embedded sections) - Anti-hCG beta antibody [EPHCGR2] - BSA and Azide free (AB248368)
  • IHC-P

Unknown

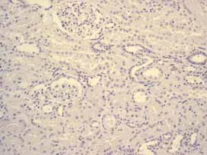
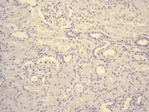
Immunohistochemistry (Formalin/PFA-fixed paraffin-embedded sections) - Anti-hCG beta antibody [EPHCGR2] - BSA and Azide free (AB248368)

This data was developed using ab131170, the same antibody clone in a different buffer formulation.

ab131170 showing negative staining in Normal kidney tissue.

Perform heat mediated antigen retrieval with citrate buffer pH 6 before commencing with IHC staining protocol.

Immunohistochemistry (Formalin/PFA-fixed paraffin-embedded sections) - Anti-hCG beta antibody [EPHCGR2] - BSA and Azide free (AB248368)
  • IHC-P

Unknown

Immunohistochemistry (Formalin/PFA-fixed paraffin-embedded sections) - Anti-hCG beta antibody [EPHCGR2] - BSA and Azide free (AB248368)

This data was developed using ab131170, the same antibody clone in a different buffer formulation.

ab131170 showing negative staining in Normal brain tissue.

Perform heat mediated antigen retrieval with citrate buffer pH 6 before commencing with IHC staining protocol.

Key facts

Host species

Rabbit

Clonality

Monoclonal

Clone number

EPHCGR2

Isotype

IgG

Carrier free

Yes

Reacts with

Human

Applications

IHC-P

applications

Immunogen

The exact immunogen used to generate this antibody is proprietary information.

Reactivity data

{ "title": "Reactivity Data", "filters": { "stats": ["", "Species", "Dilution Info", "Notes"], "tabs": { "all-applications": {"fullname" : "All Applications", "shortname": "All Applications"}, "ICCIF" : {"fullname" : "Immunocytochemistry/ Immunofluorescence", "shortname":"ICC/IF"}, "FlowCyt" : {"fullname" : "Flow Cytometry", "shortname":"Flow Cyt"}, "WB" : {"fullname" : "Western blot", "shortname":"WB"}, "IP" : {"fullname" : "Immunoprecipitation", "shortname":"IP"}, "IHCP" : {"fullname" : "Immunohistochemistry (Formalin/PFA-fixed paraffin-embedded sections)", "shortname":"IHC-P"} }, "product-promise": { "all": "all", "testedAndGuaranteed": "tested", "guaranteed": "expected", "predicted": "predicted", "notRecommended": "not-recommended" } }, "values": { "Human": { "ICCIF-species-checked": "notRecommended", "ICCIF-species-dilution-info": "", "ICCIF-species-notes": "<p></p>", "FlowCyt-species-checked": "notRecommended", "FlowCyt-species-dilution-info": "", "FlowCyt-species-notes": "<p></p>", "WB-species-checked": "notRecommended", "WB-species-dilution-info": "", "WB-species-notes": "<p></p>", "IP-species-checked": "notRecommended", "IP-species-dilution-info": "", "IP-species-notes": "<p></p>", "IHCP-species-checked": "testedAndGuaranteed", "IHCP-species-dilution-info": "", "IHCP-species-notes": "<p></p>" } } }

Product details

ab248368 is the carrier-free version of ab131170.

Species reactivity
Mouse, Rat: We have preliminary internal testing data to indicate this antibody may not react with these species.
Please contact us for more information.

Patented technology
Our RabMAb® technology is a patented hybridoma-based technology for making rabbit monoclonal antibodies. For details on our patents, please refer to RabMAb® patents.

What are the advantages of a recombinant monoclonal antibody?
This product is a recombinant monoclonal antibody, which offers several advantages including:

  • - High batch-to-batch consistency and reproducibility
  • - Improved sensitivity and specificity
  • - Long-term security of supply
  • - Animal-free batch production

For more information, read more on recombinant antibodies.

Conjugation ready
Our carrier-free antibodies are typically supplied in a PBS-only formulation, purified and free of BSA, sodium azide and glycerol. This conjugation-ready format is designed for use with fluorochromes, metal isotopes, oligonucleotides, and enzymes, which makes them ideal for antibody labelling, functional and cell-based assays, flow-based assays (e.g. mass cytometry) and Multiplex Imaging applications.

Use our conjugation kits for antibody conjugates that are ready-to-use in as little as 20 minutes with 1 minute hands-on-time and 100% antibody recovery: available for fluorescent dyes, HRP, biotin and gold.

Compatibility
This product is compatible with the Maxpar® Antibody Labeling Kit from Fluidigm, without the need for antibody preparation. Maxpar® is a trademark of Fluidigm Canada Inc.

Properties and storage information

Form
Liquid
Purification technique
Affinity purification Protein A
Storage buffer
pH: 7.2 - 7.4 Constituents: PBS
Shipped at conditions
Blue Ice
Appropriate short-term storage conditions
+4°C
Appropriate long-term storage conditions
+4°C
Storage information
Do Not Freeze

Supplementary information

This supplementary information is collated from multiple sources and compiled automatically.

HCG beta also known as beta hCG or hCGβ is a subunit of the human chorionic gonadotropin (hCG) protein. This protein plays critical roles in human reproduction. hCG is a glycoprotein hormone composed of alpha and beta subunits with the beta subunit being unique to hCG and conferring its biological specificity. The mass of the beta hCG is approximately 22.2 kDa. hCG beta is expressed mainly in placental trophoblastic cells during pregnancy where it stimulates the corpus luteum to produce progesterone. This progesterone production is essential to maintain the uterine lining for embryo implantation and growth.
Biological function summary

HCG beta plays a significant role in gestational development. It is not a standalone protein but part of the larger hCG complex conferring specific hormonal activity when paired with the common alpha subunit. This activity involves supporting fetal-placental development and enabling maternal immune tolerance to the embryo. As a marker hCG beta levels are measured in pregnancy tests to confirm conception. In addition to pregnancy-related functions hCG beta has been detected in certain cancers making it useful as a tumor marker. It sometimes gets used in clinical settings to monitor trophoblastic disease and germ cell tumors.

Pathways

HCG beta is intricately involved in reproductive signaling pathways. It plays an important role in the cAMP-PKA pathway by acting through the luteinizing hormone/choriogonadotropin receptor which regulates steroidogenesis in the reproductive system. hCG beta’s activity leads to the stimulation of downstream proteins such as progesterone which modulates various reproductive and systemic effects. The involvement of hCG beta in the Wnt signaling pathway has also been suggested indicating its broader role in cellular growth and differentiation making it an influential factor in both pregnancy and certain oncogenic processes.

HCG beta holds significant importance in oncology and reproductive health. Elevated levels of hCG beta are associated with gestational trophoblastic diseases such as choriocarcinoma a fast-growing cancer originating in the uterus. The protein’s abnormal presence is often an indicator in testicular cancer specifically germ cell tumors where it serves as a marker for diagnosis and treatment monitoring. These connections make hCG beta a valuable target for understanding tumor biology and developing diagnostic strategies. Further interactions with related proteins such as the luteinizing hormone receptor highlight its function in these pathogenic conditions.

Product protocols

For this product, it's our understanding that no specific protocols are required. You can visit:

Target data

Beta subunit of the human chorionic gonadotropin (hCG). hCG is a complex glycoprotein composed of two glycosylated subunits alpha and beta which are non-covalently associated. The alpha subunit is identical to those in the pituitary gonadotropin hormones (LH, FSH and TSH). The beta subunits are distinct in each of the hormones and confer receptor and biological specificity. Has an essential role in pregnancy and maternal adaptation. Stimulates the ovaries to synthesize the steroids that are essential for the maintenance of pregnancy.
See full target information CGB3

Publications (1)

Recent publications for all applications. Explore the full list and refine your search

Oncology letters 24:457 PubMed36380881

2022

Suppressive effect of YY1-mediated RGS22 regulation on the proliferation, migration and invasion of pancreatic ductal adenocarcinoma.

Applications

Unspecified application

Species

Unspecified reactive species

Shou-Ji Cao,Wan-Li Ge,Ling-Dong Meng,Qun Chen,Yi Miao,Kui-Rong Jiang,Jing-Jing Zhang
View all publications

Product promise

We are committed to supporting your work with high-quality reagents, and we're here for you every step of the way. In the unlikely event that one of our products does not perform as expected, you're protected by our Product Promise.
For full details, please see our Terms & Conditions

Please note: All products are 'FOR RESEARCH USE ONLY. NOT FOR USE IN DIAGNOSTIC OR THERAPEUTIC PROCEDURES'.

For licensing inquiries, please contact partnerships@abcam.com