JavaScript is disabled in your browser. Please enable JavaScript to view this website.
AB317567

Anti-hCG beta antibody [EPR28726-38]

Be the first to review this product! Submit a review

|

(0 Publication)

Rabbit Recombinant Monoclonal Choriogonadotropin subunit beta antibody. Suitable for I-ELISA, Dot, WB and reacts with Synthetic peptide - Human, Human, Transfected cell lysate - Human samples.

View Alternative Names

CGB, CGB5, CGB8, CGB3, Choriogonadotropin subunit beta 3, Choriogonadotropin subunit beta, Chorionic gonadotropin chain beta, CG-beta

4 Images
Western blot - Anti-hCG beta antibody [EPR28726-38] (AB317567)
  • WB

Supplier Data

Western blot - Anti-hCG beta antibody [EPR28726-38] (AB317567)

Blocking and diluting buffer : 5% NFDM/TBST.

ab181602 was used as a loading control at 1/200000 dilution.

This antibody could detect 2 isoforms produced by alternative splicing.

The expression of hCG beta is upregulated in response to Forskolin treatment (PMID : 23598405).

All lanes:

Western blot - Anti-hCG beta antibody [EPR28726-38] (ab317567) at 1/1000 dilution

Lane 1:

Untreated JEG-3 (human placenta epithelial cell) whole cell lysate at 50 µg

Lane 2:

JEG-3 treated with 100uM Forskolin for 24h whole cell lysate at 50 µg

Lane 3:

Untreated JAR (human placenta choriocarcinoma epithelial cell) whole cell lysate at 50 µg

Lane 4:

JAR treated with 100uM Forskolin for 24h whole cell lysate at 50 µg

Secondary

All lanes:

Goat Anti-Rabbit IgG (HRP) with minimal cross-reactivity with human IgG at 1/2000 dilution

Observed band size: 19 kDa,21 kDa

false

Exposure time: 10s

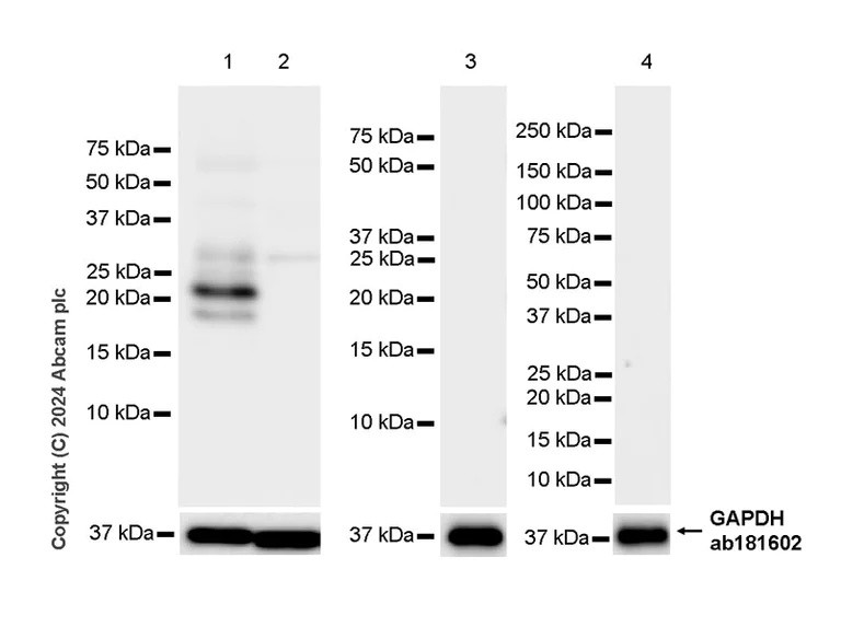
Western blot - Anti-hCG beta antibody [EPR28726-38] (AB317567)
  • WB

Supplier Data

Western blot - Anti-hCG beta antibody [EPR28726-38] (AB317567)

Blocking and diluting buffer and concentration : 5% NFDM/TBST.

Negative control : liver (PMID : 24309898), heart (PMID : 24309898), kidney (PMID : 24309898).

This antibody could detect 2 isoforms produced by alternative splicing.

The identity of the higher MW band at approximately 30 kDa is unknown.

In Western blot, Anti-GAPDH antibody [EPR16891] - Loading Control (ab181602) staining at 1/200000 dilution.

All lanes:

Western blot - Anti-hCG beta antibody [EPR28726-38] (ab317567) at 1/1000 dilution

Lane 1:

Human placenta tissue lysate at 20 µg with 5% NFDM/TBST

Lane 2:

Human liver tissue lysate at 20 µg with 5% NFDM/TBST

Lane 3:

Human heart tissue lysate at 20 µg with 5% NFDM/TBST

Lane 4:

Human kidney tissue lysate at 20 µg with 5% NFDM/TBST

Secondary

All lanes:

Goat Anti-Rabbit IgG (HRP) with minimal cross-reactivity with human IgG at 1/2000 dilution

Observed band size: 19 kDa,36 kDa

false

Exposure time: 15s

Indirect ELISA - Anti-hCG beta antibody [EPR28726-38] (AB317567)
  • I-ELISA

Supplier Data

Indirect ELISA - Anti-hCG beta antibody [EPR28726-38] (AB317567)

Indirect ELISA analysis of ab317567 at 1000-0 ng/ml. The Secondary antibody used was Alkaline Phosphatase-conjugated AffiniPure Goat Anti-Rabbit IgG (H+L) at 1 : 2500 dilution.

Antigen : hCG beta.

Antigen concentration : 1000 ng/ml

Dot Blot - Anti-hCG beta antibody [EPR28726-38] (AB317567)
  • Dot

Supplier Data

Dot Blot - Anti-hCG beta antibody [EPR28726-38] (AB317567)

Dot blot analysis of hCG beta using ab317567 at 1 : 1000 (0.5 ug/ml) followed by a Goat Anti-Rabbit IgG, (H+L), Peroxidase conjugated (ab97051) at 1 : 20,000 dilution.

Exposure time : 10 seconds.

Blocking and diluting buffer and concentration : 5% NFDM/TBST.

This antibody could recognize human CGB3, CGB2, CGB7 and CGB1.

All lanes:

Dot Blot - Anti-hCG beta antibody [EPR28726-38] (ab317567) at 1/1000 dilution

Lane 1:

293T cells transfected with a human CGB3 expression vector containing a His-tag whole cell lysate

Lane 2:

293T cells transfected with a human CGB2 expression vector containing a His-tag whole cell lysate

Lane 3:

293T cells transfected with a human CGB7 expression vector containing a His-tag whole cell lysate

Lane 4:

293T cells transfected with a human CGB1 expression vector containing a His-tag whole cell lysate

Secondary

All lanes:

Dot Blot - Goat Anti-Rabbit IgG H&L (HRP) (<a href='/en-us/products/secondary-antibodies/goat-rabbit-igg-h-l-hrp-ab97051'>ab97051</a>) at 1/20000 dilution

false

Exposure time: 10s

  • Carrier free

    Anti-hCG beta antibody [EPR28726-38] - BSA and Azide free

Key facts

Host species

Rabbit

Clonality

Monoclonal

Clone number

EPR28726-38

Isotype

IgG

Carrier free

No

Reacts with

Human

Applications

WB, Dot, I-ELISA

applications

Immunogen

The exact immunogen used to generate this antibody is proprietary information.

Specificity

This antibody could recognize human CGB3, CGB2, CGB7 and CGB1.

Reactivity data

{ "title": "Reactivity Data", "filters": { "stats": ["", "Species", "Dilution Info", "Notes"], "tabs": { "all-applications": {"fullname" : "All Applications", "shortname": "All Applications"}, "IELISA" : {"fullname" : "Indirect ELISA", "shortname":"I-ELISA"}, "Dot" : {"fullname" : "Dot Blot", "shortname":"Dot"}, "WB" : {"fullname" : "Western blot", "shortname":"WB"}, "FlowCytIntra" : {"fullname" : "Flow Cytometry (Intracellular)", "shortname":"Flow Cyt (Intra)"}, "IHCP" : {"fullname" : "Immunohistochemistry (Formalin/PFA-fixed paraffin-embedded sections)", "shortname":"IHC-P"}, "ICCIF" : {"fullname" : "Immunocytochemistry/ Immunofluorescence", "shortname":"ICC/IF"}, "IP" : {"fullname" : "Immunoprecipitation", "shortname":"IP"} }, "product-promise": { "all": "all", "testedAndGuaranteed": "tested", "guaranteed": "expected", "predicted": "predicted", "notRecommended": "not-recommended" } }, "values": { "Human": { "IELISA-species-checked": "guaranteed", "IELISA-species-dilution-info": "", "IELISA-species-notes": "", "Dot-species-checked": "guaranteed", "Dot-species-dilution-info": "", "Dot-species-notes": "", "WB-species-checked": "testedAndGuaranteed", "WB-species-dilution-info": "1/1000", "WB-species-notes": "<p></p>", "FlowCytIntra-species-checked": "notRecommended", "FlowCytIntra-species-dilution-info": "", "FlowCytIntra-species-notes": "<p></p>", "IHCP-species-checked": "notRecommended", "IHCP-species-dilution-info": "", "IHCP-species-notes": "<p></p>", "ICCIF-species-checked": "notRecommended", "ICCIF-species-dilution-info": "", "ICCIF-species-notes": "<p></p>", "IP-species-checked": "notRecommended", "IP-species-dilution-info": "", "IP-species-notes": "<p></p>" }, "Mouse": { "IELISA-species-checked": "notRecommended", "IELISA-species-dilution-info": "", "IELISA-species-notes": "", "Dot-species-checked": "notRecommended", "Dot-species-dilution-info": "", "Dot-species-notes": "", "WB-species-checked": "notRecommended", "WB-species-dilution-info": "", "WB-species-notes": "<p></p>", "FlowCytIntra-species-checked": "notRecommended", "FlowCytIntra-species-dilution-info": "", "FlowCytIntra-species-notes": "", "IHCP-species-checked": "notRecommended", "IHCP-species-dilution-info": "", "IHCP-species-notes": "<p></p>", "ICCIF-species-checked": "notRecommended", "ICCIF-species-dilution-info": "", "ICCIF-species-notes": "", "IP-species-checked": "notRecommended", "IP-species-dilution-info": "", "IP-species-notes": "" }, "Rat": { "IELISA-species-checked": "notRecommended", "IELISA-species-dilution-info": "", "IELISA-species-notes": "", "Dot-species-checked": "notRecommended", "Dot-species-dilution-info": "", "Dot-species-notes": "", "WB-species-checked": "notRecommended", "WB-species-dilution-info": "", "WB-species-notes": "<p></p>", "FlowCytIntra-species-checked": "notRecommended", "FlowCytIntra-species-dilution-info": "", "FlowCytIntra-species-notes": "", "IHCP-species-checked": "notRecommended", "IHCP-species-dilution-info": "", "IHCP-species-notes": "<p></p>", "ICCIF-species-checked": "notRecommended", "ICCIF-species-dilution-info": "", "ICCIF-species-notes": "", "IP-species-checked": "notRecommended", "IP-species-dilution-info": "", "IP-species-notes": "" }, "Synthetic peptide - Human": { "IELISA-species-checked": "testedAndGuaranteed", "IELISA-species-dilution-info": "1 µg/mL", "IELISA-species-notes": "<p></p>", "Dot-species-checked": "notRecommended", "Dot-species-dilution-info": "", "Dot-species-notes": "", "WB-species-checked": "notRecommended", "WB-species-dilution-info": "", "WB-species-notes": "", "FlowCytIntra-species-checked": "notRecommended", "FlowCytIntra-species-dilution-info": "", "FlowCytIntra-species-notes": "", "IHCP-species-checked": "notRecommended", "IHCP-species-dilution-info": "", "IHCP-species-notes": "", "ICCIF-species-checked": "notRecommended", "ICCIF-species-dilution-info": "", "ICCIF-species-notes": "", "IP-species-checked": "notRecommended", "IP-species-dilution-info": "", "IP-species-notes": "" }, "Transfected cell lysate - Human": { "IELISA-species-checked": "notRecommended", "IELISA-species-dilution-info": "", "IELISA-species-notes": "", "Dot-species-checked": "testedAndGuaranteed", "Dot-species-dilution-info": "1/1000", "Dot-species-notes": "<p></p>", "WB-species-checked": "notRecommended", "WB-species-dilution-info": "", "WB-species-notes": "", "FlowCytIntra-species-checked": "notRecommended", "FlowCytIntra-species-dilution-info": "", "FlowCytIntra-species-notes": "", "IHCP-species-checked": "notRecommended", "IHCP-species-dilution-info": "", "IHCP-species-notes": "", "ICCIF-species-checked": "notRecommended", "ICCIF-species-dilution-info": "", "ICCIF-species-notes": "", "IP-species-checked": "notRecommended", "IP-species-dilution-info": "", "IP-species-notes": "" } } }

Product details

Patented technology
Our RabMAb® technology is a patented hybridoma-based technology for making rabbit monoclonal antibodies. For details on our patents, please refer to RabMAb® patents.

What are the advantages of a recombinant monoclonal antibody?
This product is a recombinant monoclonal antibody, which offers several advantages including:

  • - High batch-to-batch consistency and reproducibility
  • - Improved sensitivity and specificity
  • - Long-term security of supply
  • - Animal-free batch production

For more information, read more on recombinant antibodies.

Properties and storage information

Form
Liquid
Purification technique
Affinity purification Protein A
Storage buffer
pH: 7.2 - 7.4 Preservative: 0.01% Sodium azide Constituents: PBS, 40% Glycerol (glycerin, glycerine), 0.05% BSA
Shipped at conditions
Blue Ice
Appropriate short-term storage duration
1-2 weeks
Appropriate short-term storage conditions
+4°C
Appropriate long-term storage conditions
-20°C
Aliquoting information
Upon delivery aliquot
Storage information
Avoid freeze / thaw cycle

Supplementary information

This supplementary information is collated from multiple sources and compiled automatically.

HCG beta also known as beta hCG or hCGβ is a subunit of the human chorionic gonadotropin (hCG) protein. This protein plays critical roles in human reproduction. hCG is a glycoprotein hormone composed of alpha and beta subunits with the beta subunit being unique to hCG and conferring its biological specificity. The mass of the beta hCG is approximately 22.2 kDa. hCG beta is expressed mainly in placental trophoblastic cells during pregnancy where it stimulates the corpus luteum to produce progesterone. This progesterone production is essential to maintain the uterine lining for embryo implantation and growth.
Biological function summary

HCG beta plays a significant role in gestational development. It is not a standalone protein but part of the larger hCG complex conferring specific hormonal activity when paired with the common alpha subunit. This activity involves supporting fetal-placental development and enabling maternal immune tolerance to the embryo. As a marker hCG beta levels are measured in pregnancy tests to confirm conception. In addition to pregnancy-related functions hCG beta has been detected in certain cancers making it useful as a tumor marker. It sometimes gets used in clinical settings to monitor trophoblastic disease and germ cell tumors.

Pathways

HCG beta is intricately involved in reproductive signaling pathways. It plays an important role in the cAMP-PKA pathway by acting through the luteinizing hormone/choriogonadotropin receptor which regulates steroidogenesis in the reproductive system. hCG beta’s activity leads to the stimulation of downstream proteins such as progesterone which modulates various reproductive and systemic effects. The involvement of hCG beta in the Wnt signaling pathway has also been suggested indicating its broader role in cellular growth and differentiation making it an influential factor in both pregnancy and certain oncogenic processes.

HCG beta holds significant importance in oncology and reproductive health. Elevated levels of hCG beta are associated with gestational trophoblastic diseases such as choriocarcinoma a fast-growing cancer originating in the uterus. The protein’s abnormal presence is often an indicator in testicular cancer specifically germ cell tumors where it serves as a marker for diagnosis and treatment monitoring. These connections make hCG beta a valuable target for understanding tumor biology and developing diagnostic strategies. Further interactions with related proteins such as the luteinizing hormone receptor highlight its function in these pathogenic conditions.

Product protocols

For this product, it's our understanding that no specific protocols are required. You can visit:

Target data

Beta subunit of the human chorionic gonadotropin (hCG). hCG is a complex glycoprotein composed of two glycosylated subunits alpha and beta which are non-covalently associated. The alpha subunit is identical to those in the pituitary gonadotropin hormones (LH, FSH and TSH). The beta subunits are distinct in each of the hormones and confer receptor and biological specificity. Has an essential role in pregnancy and maternal adaptation. Stimulates the ovaries to synthesize the steroids that are essential for the maintenance of pregnancy.
See full target information CGB3

Product promise

We are committed to supporting your work with high-quality reagents, and we're here for you every step of the way. In the unlikely event that one of our products does not perform as expected, you're protected by our Product Promise.
For full details, please see our Terms & Conditions

Please note: All products are 'FOR RESEARCH USE ONLY. NOT FOR USE IN DIAGNOSTIC OR THERAPEUTIC PROCEDURES'.

For licensing inquiries, please contact partnerships@abcam.com