JavaScript is disabled in your browser. Please enable JavaScript to view this website.
AB187285

Anti-hCG beta antibody [HCGb/54]

Be the first to review this product! Submit a review

|

(1 Publication)

Mouse Monoclonal Choriogonadotropin subunit beta antibody. Suitable for IHC-P and reacts with Human samples. Cited in 1 publication. Immunogen corresponding to Recombinant Fragment Protein within Human Choriogonadotropin subunit beta 7.

View Alternative Names

CGB, CGB5, CGB8, CGB3, Choriogonadotropin subunit beta 3, Choriogonadotropin subunit beta, Chorionic gonadotropin chain beta, CG-beta

1 Images
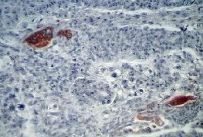
Immunohistochemistry (Formalin/PFA-fixed paraffin-embedded sections) - Anti-hCG beta antibody [HCGb/54] (AB187285)
  • IHC-P

Supplier Data

Immunohistochemistry (Formalin/PFA-fixed paraffin-embedded sections) - Anti-hCG beta antibody [HCGb/54] (AB187285)

Immunohistochemical staining of Formalin-fixed, paraffin-embedded Human placenta tissue labeling hCG using ab187285 at 1 μg/ml.

Key facts

Host species

Mouse

Clonality

Monoclonal

Clone number

HCGb/54

Isotype

IgG1

Light chain type

kappa

Carrier free

No

Reacts with

Human

Applications

IHC-P

applications

Immunogen

Recombinant Fragment Protein within Human Choriogonadotropin subunit beta 7. The exact immunogen used to generate this antibody is proprietary information.

P0DN87

Reactivity data

{ "title": "Reactivity Data", "filters": { "stats": ["", "Species", "Dilution Info", "Notes"], "tabs": { "all-applications": {"fullname" : "All Applications", "shortname": "All Applications"}, "IHCP" : {"fullname" : "Immunohistochemistry (Formalin/PFA-fixed paraffin-embedded sections)", "shortname":"IHC-P"} }, "product-promise": { "all": "all", "testedAndGuaranteed": "tested", "guaranteed": "expected", "predicted": "predicted", "notRecommended": "not-recommended" } }, "values": { "Human": { "IHCP-species-checked": "testedAndGuaranteed", "IHCP-species-dilution-info": "0.5-1 µg/mL", "IHCP-species-notes": "<p></p> Perform heat-mediated antigen retrieval with citrate buffer pH 6 before commencing with IHC staining protocol." } } }

Properties and storage information

Form
Liquid
Purification technique
Affinity purification Protein G
Storage buffer
pH: 7.2 - 7.4 Preservative: 0.05% Sodium azide Constituents: PBS, 0.05% BSA
Shipped at conditions
Blue Ice
Appropriate short-term storage duration
1-2 weeks
Appropriate short-term storage conditions
+4°C
Appropriate long-term storage conditions
-20°C
Aliquoting information
Upon delivery aliquot
Storage information
Avoid freeze / thaw cycle

Supplementary information

This supplementary information is collated from multiple sources and compiled automatically.

HCG beta also known as beta hCG or hCGβ is a subunit of the human chorionic gonadotropin (hCG) protein. This protein plays critical roles in human reproduction. hCG is a glycoprotein hormone composed of alpha and beta subunits with the beta subunit being unique to hCG and conferring its biological specificity. The mass of the beta hCG is approximately 22.2 kDa. hCG beta is expressed mainly in placental trophoblastic cells during pregnancy where it stimulates the corpus luteum to produce progesterone. This progesterone production is essential to maintain the uterine lining for embryo implantation and growth.
Biological function summary

HCG beta plays a significant role in gestational development. It is not a standalone protein but part of the larger hCG complex conferring specific hormonal activity when paired with the common alpha subunit. This activity involves supporting fetal-placental development and enabling maternal immune tolerance to the embryo. As a marker hCG beta levels are measured in pregnancy tests to confirm conception. In addition to pregnancy-related functions hCG beta has been detected in certain cancers making it useful as a tumor marker. It sometimes gets used in clinical settings to monitor trophoblastic disease and germ cell tumors.

Pathways

HCG beta is intricately involved in reproductive signaling pathways. It plays an important role in the cAMP-PKA pathway by acting through the luteinizing hormone/choriogonadotropin receptor which regulates steroidogenesis in the reproductive system. hCG beta’s activity leads to the stimulation of downstream proteins such as progesterone which modulates various reproductive and systemic effects. The involvement of hCG beta in the Wnt signaling pathway has also been suggested indicating its broader role in cellular growth and differentiation making it an influential factor in both pregnancy and certain oncogenic processes.

HCG beta holds significant importance in oncology and reproductive health. Elevated levels of hCG beta are associated with gestational trophoblastic diseases such as choriocarcinoma a fast-growing cancer originating in the uterus. The protein’s abnormal presence is often an indicator in testicular cancer specifically germ cell tumors where it serves as a marker for diagnosis and treatment monitoring. These connections make hCG beta a valuable target for understanding tumor biology and developing diagnostic strategies. Further interactions with related proteins such as the luteinizing hormone receptor highlight its function in these pathogenic conditions.

Product protocols

For this product, it's our understanding that no specific protocols are required. You can visit:

Target data

Beta subunit of the human chorionic gonadotropin (hCG). hCG is a complex glycoprotein composed of two glycosylated subunits alpha and beta which are non-covalently associated. The alpha subunit is identical to those in the pituitary gonadotropin hormones (LH, FSH and TSH). The beta subunits are distinct in each of the hormones and confer receptor and biological specificity. Has an essential role in pregnancy and maternal adaptation. Stimulates the ovaries to synthesize the steroids that are essential for the maintenance of pregnancy.
See full target information CGB3

Publications (1)

Recent publications for all applications. Explore the full list and refine your search

Materials today. Bio 31:101500 PubMed39944530

2025

Cardioprotective effects of hUCMSCs-Exosi-EGR1 MN patch in MI/RI by modulating oxidative stress and mitophagy.

Applications

Unspecified application

Species

Unspecified reactive species

Chen Huang,Xun Zhang,Shi-Xiong Wu,Qing Chang,Zhi-Kun Zheng,Jing Xu
View all publications

Product promise

We are committed to supporting your work with high-quality reagents, and we're here for you every step of the way. In the unlikely event that one of our products does not perform as expected, you're protected by our Product Promise.
For full details, please see our Terms & Conditions

Please note: All products are 'FOR RESEARCH USE ONLY. NOT FOR USE IN DIAGNOSTIC OR THERAPEUTIC PROCEDURES'.

For licensing inquiries, please contact partnerships@abcam.com