JavaScript is disabled in your browser. Please enable JavaScript to view this website.
AB324382

Anti-hCG beta (pan CGB) antibody [EPR29783-529]

  • BOND RX™ Validated
  • RabMAb
  • Recombinant
  • 20ul selling size
  • What is this?

Be the first to review this product! Submit a review

|

(0 Publication)

Rabbit Recombinant Monoclonal CGB2 antibody. Suitable for IHC-P, Flow Cyt (Intra), ICC/IF, WB and reacts with Transfected cell lysate - Human, Human, Transfected cell line samples.

View Alternative Names

Choriogonadotropin subunit beta variant 2, CGB2

9 Images
Immunocytochemistry/ Immunofluorescence - Anti-hCG beta (pan CGB) antibody [EPR29783-529] (AB324382)
  • ICC/IF

Supplier Data

Immunocytochemistry/ Immunofluorescence - Anti-hCG beta (pan CGB) antibody [EPR29783-529] (AB324382)

Immunofluorescent analysis of 4% Paraformaldehyde-fixed, 0.1% TritonX-100 permeabilized JAR (human placenta choriocarcinoma epithelial cell) cells labelling hCG beta (pan CGB) with ab324382 at 1/250 (2.052 ug/ml) dilution, followed by ab150081 Goat Anti-Rabbit IgG H&L (Alexa Fluor® 488) preadsorbed antibody at 1/ab150081 1000 2ug/ml dilution (Green).

Confocal image showing increased cytoplasmic staining in JAR cell line treated with Forskolin (100uM) for 72 hours (shown in green). The counterstain was observed in magenta. Nuclear DNA was labelled with DAPI (shown in blue). Image was taken with a confocal microscope (Leica-Microsystems, TCS SP8).

ab7291 Anti-alpha Tubulin mouse monoclonal antibody was used to counterstain tubulin at 1/ab7291 1000 1ug/ml dilution (Magenta). The Nuclear counterstain was DAPI (Blue).

Secondary antibody only control : Secondary antibody is ab150081 Goat Anti-Rabbit IgG H&L (Alexa Fluor® 488) preadsorbed at 1/ab150081 1000 2ug/ml dilution.

Immunocytochemistry/ Immunofluorescence - Anti-hCG beta (pan CGB) antibody [EPR29783-529] (AB324382)
  • ICC/IF

Supplier Data

Immunocytochemistry/ Immunofluorescence - Anti-hCG beta (pan CGB) antibody [EPR29783-529] (AB324382)

Immunofluorescent analysis of 4% Paraformaldehyde-fixed, 0.1% TritonX-100 permeabilized JEG-3 (human placenta epithelial cell) cells labelling hCG beta (pan CGB) with ab324382 at 1/250 (2.052 ug/ml) dilution, followed by ab150081 Goat Anti-Rabbit IgG H&L (Alexa Fluor® 488) preadsorbed antibody at 1/ab150081 1000 2ug/ml dilution (Green).

Confocal image showing increased cytoplasmic staining in JEG-3 cell line treated with Forskolin (100uM) for 72 hours (shown in green). The counterstain was observed in magenta. Nuclear DNA was labelled with DAPI (shown in blue). Image was taken with a confocal microscope (Leica-Microsystems, TCS SP8).

ab7291 Anti-alpha Tubulin mouse monoclonal antibody was used to counterstain tubulin at 1/ab7291 1000 1ug/ml dilution (Magenta). The Nuclear counterstain was DAPI (Blue).

Secondary antibody only control : Secondary antibody is ab150081 Goat Anti-Rabbit IgG H&L (Alexa Fluor® 488) preadsorbed at 1/ab150081 1000 2ug/ml dilution.

Flow Cytometry (Intracellular) - Anti-hCG beta (pan CGB) antibody [EPR29783-529] (AB324382)
  • Flow Cyt (Intra)

Supplier Data

Flow Cytometry (Intracellular) - Anti-hCG beta (pan CGB) antibody [EPR29783-529] (AB324382)

Flow cytometric analysis of 4% paraformaldehyde fixed 90% methanol permeabilized Isotype (upper left) / 293T cells transfected with a CGB3 expression vector containing a Myc tag (upper middle) / 293T cells transfected with a CGB2 expression vector containing a Myc tag (upper right) / 293T cells transfected with a CGB7 expression vector containing a Myc tag (down left) / 293T cells transfected with a CGB1 expression vector containing a Myc tag (down middle) / 293T (human embryonic kidney epithelial cell) cells transfected with an empty expression vector containing a Myc tag (down right) cells labelling hCG beta (pan CGB) with ab324382 at 1/50 dilution (1ug) compared with a Rabbit monoclonal IgG (ab172730) / Left isotype control and an unlabelled control (cells without incubation with primary antibody and secondary antibody).

Goat Anti-Rabbit IgG (Alexa Fluor® 488, ab150081) at 1/5000 dilution was used as the secondary antibody.

Immunohistochemistry (Formalin/PFA-fixed paraffin-embedded sections) - Anti-hCG beta (pan CGB) antibody [EPR29783-529] (AB324382)
  • IHC-P

Supplier Data

Immunohistochemistry (Formalin/PFA-fixed paraffin-embedded sections) - Anti-hCG beta (pan CGB) antibody [EPR29783-529] (AB324382)

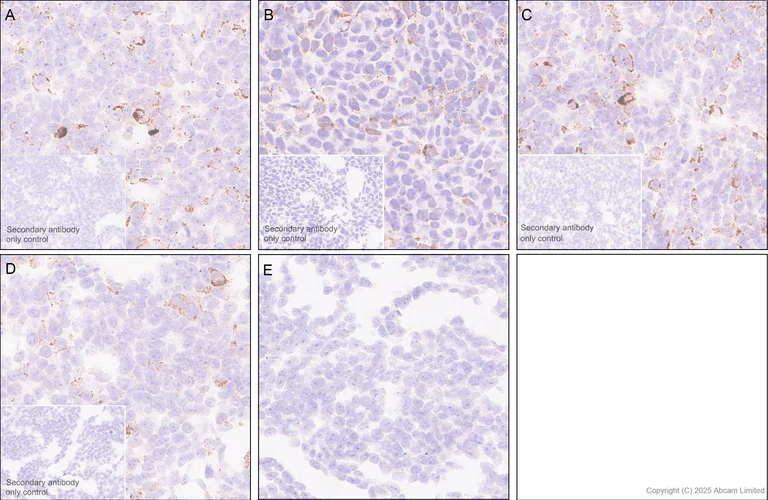
Immunohistochemical analysis of paraffin-embedded (A) HEK-293T (human embryonic kidney epithelial cell) transfected with a human CGB3 expression vector containing a Myc-His tag; (B) HEK-293T transfected with human CGB2 vector expression containing a Myc-His tag; (C) HEK-293T transfected with human CGB7 vector expression containing a Myc-His tag; (D) HEK-293T transfected with human CGB1 vector expression containing a Myc-His tag; (E) HEK-293T transfected with empty vector expression containing a Myc-His tag. tissue labeling hCG beta (pan CGB) with ab324382 at 1/100 (5.13 ug/ml) dilution, followed by a ready to use LeicaDS9800 (Bond™ Polymer Refine Detection).

Positive staining in (A) HEK-293T transfected with a human CGB3 expression vector containing a Myc-His tag, (B) HEK-293T transfected with human CGB2 vector expression containing a Myc-His tag, (C) HEK-293T transfected with human CGB7 vector expression containing a Myc-His tag, (D) HEK-293T transfected with human CGB1 vector expression containing a Myc-His tag, and no signal in (E) HEK-293T transfected with empty vector expression containing a Myc-His tag.
The primary antibody was incubated for 30 mins at room temperature.
The immunostaining was performed on a Leica Biosystems BOND® RX instrument

Counterstained with Hematoxylin.

Secondary antibody only control : Secondary antibody is a ready to use LeicaDS9800 (Bond™ Polymer Refine Detection).

Heat mediated antigen retrieval was performed with Tris-EDTA buffer (pH 9.0, Epitope Retrieval Solution2) for 20 mins

Flow Cytometry (Intracellular) - Anti-hCG beta (pan CGB) antibody [EPR29783-529] (AB324382)
  • Flow Cyt (Intra)

Supplier Data

Flow Cytometry (Intracellular) - Anti-hCG beta (pan CGB) antibody [EPR29783-529] (AB324382)

Flow cytometric analysis of 4% paraformaldehyde fixed 90% methanol permeabilized JEG-3 (human placenta epithelial cell) treated with 100uM Forskolin for 24 hours (Green) / Untreated control (Magenta) cells labelling hCG beta (pan CGB) with ab324382 at 1/50 dilution (1ug) (Magenta) and Green compared with a Rabbit monoclonal IgG (ab172730) (Black) and Grey isotype control and an unlabelled control (cells without incubation with primary antibody and secondary antibody).

Goat Anti-Rabbit IgG (Alexa Fluor® 488, ab150081) at 1/5000 dilution was used as the secondary antibody.

Immunohistochemistry (Formalin/PFA-fixed paraffin-embedded sections) - Anti-hCG beta (pan CGB) antibody [EPR29783-529] (AB324382)
  • IHC-P

Supplier Data

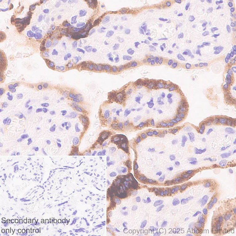
Immunohistochemistry (Formalin/PFA-fixed paraffin-embedded sections) - Anti-hCG beta (pan CGB) antibody [EPR29783-529] (AB324382)

Immunohistochemical analysis of paraffin-embedded Human placenta tissue labeling hCG beta (pan CGB) with ab324382 at 1/100 (5.13 ug/ml) dilution, followed by a ready to use LeicaDS9800 (Bond™ Polymer Refine Detection).

Positive staining in human placenta.
The primary antibody was incubated for 30 mins at room temperature.
The immunostaining was performed on a Leica Biosystems BOND® RX instrument

Counterstained with Hematoxylin.

Secondary antibody only control : Secondary antibody is a ready to use LeicaDS9800 (Bond™ Polymer Refine Detection).

Heat mediated antigen retrieval was performed with Tris-EDTA buffer (pH 9.0, Epitope Retrieval Solution2) for 20 mins

Flow Cytometry (Intracellular) - Anti-hCG beta (pan CGB) antibody [EPR29783-529] (AB324382)
  • Flow Cyt (Intra)

Supplier Data

Flow Cytometry (Intracellular) - Anti-hCG beta (pan CGB) antibody [EPR29783-529] (AB324382)

Flow cytometric analysis of 4% paraformaldehyde fixed 90% methanol permeabilized JAR (human placenta choriocarcinoma epithelial cell) treated with 100uM Forskolin for 72 hours (Green) / Untreated control (Magenta) cells labelling hCG beta (pan CGB) with ab324382 at 1/50 dilution (1ug) (Magenta) and Green compared with a Rabbit monoclonal IgG (ab172730) (Black) and Grey isotype control and an unlabelled control (cells without incubation with primary antibody and secondary antibody).

Goat Anti-Rabbit IgG (Alexa Fluor® 488, ab150081) at 1/5000 dilution was used as the secondary antibody.

Western blot - Anti-hCG beta (pan CGB) antibody [EPR29783-529] (AB324382)
  • WB

Supplier Data

Western blot - Anti-hCG beta (pan CGB) antibody [EPR29783-529] (AB324382)

Blocking and diluting buffer and concentration : 5% NFDM/TBST.

The expression of hCG beta is upregulated in response to Forskolin treatment (PMID : 23598405).

In Western blot, Anti-GAPDH antibody [EPR16891] - Loading Control (ab181602) staining at 1/200000 dilution.

All lanes:

Western blot - Anti-hCG beta (pan CGB) antibody [EPR29783-529] (ab324382) at 1/1000 dilution

Lane 1:

Untreated JEG-3 (human placenta epithelial cell) whole cell lysate at 40 µg

Lane 2:

JEG-3 treated with 100uM Forskolin for 24h whole cell lysate at 40 µg

Lane 3:

Untreated JAR (human placenta choriocarcinoma epithelial cell) whole cell lysate at 40 µg

Lane 4:

JAR treated with 100uM Forskolin for 72h whole cell lysate at 40 µg

Secondary

All lanes:

Western blot - Goat Anti-Rabbit IgG H&L (HRP) (<a href='/en-us/products/secondary-antibodies/goat-rabbit-igg-h-l-hrp-ab97051'>ab97051</a>) at 1/20000 dilution

Observed band size: 21 kDa,36 kDa

false

Exposure time: 26s

Immunohistochemistry (Formalin/PFA-fixed paraffin-embedded sections) - Anti-hCG beta (pan CGB) antibody [EPR29783-529] (AB324382)
  • IHC-P

Supplier Data

Immunohistochemistry (Formalin/PFA-fixed paraffin-embedded sections) - Anti-hCG beta (pan CGB) antibody [EPR29783-529] (AB324382)

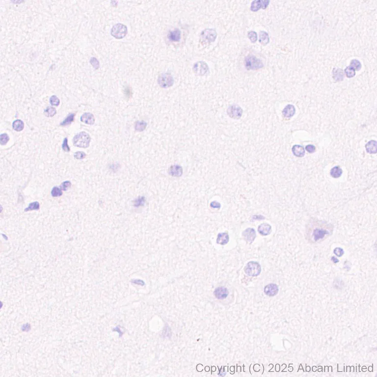
Immunohistochemical analysis of paraffin-embedded Human cerebrum tissue labeling hCG beta (pan CGB) with ab324382 at 1/100 (5.13 ug/ml) dilution, followed by a ready to use LeicaDS9800 (Bond™ Polymer Refine Detection).

Negative control : No staining in human cerebrum.
The primary antibody was incubated for 30 mins at room temperature.
The immunostaining was performed on a Leica Biosystems BOND® RX instrument

Counterstained with Hematoxylin.

Secondary antibody only control : Secondary antibody is a ready to use LeicaDS9800 (Bond™ Polymer Refine Detection).

Heat mediated antigen retrieval was performed with Tris-EDTA buffer (pH 9.0, Epitope Retrieval Solution2) for 20 mins

Key facts

Host species

Rabbit

Clonality

Monoclonal

Clone number

EPR29783-529

Isotype

IgG

Carrier free

No

Reacts with

Human

Applications

ICC/IF, Flow Cyt (Intra), WB, IHC-P

applications

Immunogen

The exact immunogen used to generate this antibody is proprietary information.

Specificity

Unsuitable for WB in human tissues.

Reactivity data

{ "title": "Reactivity Data", "filters": { "stats": ["", "Species", "Dilution Info", "Notes"], "tabs": { "all-applications": {"fullname" : "All Applications", "shortname": "All Applications"}, "IHCP" : {"fullname" : "Immunohistochemistry (Formalin/PFA-fixed paraffin-embedded sections)", "shortname":"IHC-P"}, "FlowCytIntra" : {"fullname" : "Flow Cytometry (Intracellular)", "shortname":"Flow Cyt (Intra)"}, "ICCIF" : {"fullname" : "Immunocytochemistry/ Immunofluorescence", "shortname":"ICC/IF"}, "WB" : {"fullname" : "Western blot", "shortname":"WB"} }, "product-promise": { "all": "all", "testedAndGuaranteed": "tested", "guaranteed": "expected", "predicted": "predicted", "notRecommended": "not-recommended" } }, "values": { "Human": { "IHCP-species-checked": "testedAndGuaranteed", "IHCP-species-dilution-info": "1/100", "IHCP-species-notes": "<p></p>", "FlowCytIntra-species-checked": "testedAndGuaranteed", "FlowCytIntra-species-dilution-info": "1/50", "FlowCytIntra-species-notes": "<p></p>", "ICCIF-species-checked": "testedAndGuaranteed", "ICCIF-species-dilution-info": "1/250", "ICCIF-species-notes": "<p></p>", "WB-species-checked": "testedAndGuaranteed", "WB-species-dilution-info": "1/1000", "WB-species-notes": "<p></p>" }, "Transfected cell line": { "IHCP-species-checked": "notRecommended", "IHCP-species-dilution-info": "", "IHCP-species-notes": "", "FlowCytIntra-species-checked": "testedAndGuaranteed", "FlowCytIntra-species-dilution-info": "1/50", "FlowCytIntra-species-notes": "<p></p>", "ICCIF-species-checked": "notRecommended", "ICCIF-species-dilution-info": "", "ICCIF-species-notes": "", "WB-species-checked": "notRecommended", "WB-species-dilution-info": "", "WB-species-notes": "" }, "Transfected cell lysate - Human": { "IHCP-species-checked": "testedAndGuaranteed", "IHCP-species-dilution-info": "1/100", "IHCP-species-notes": "<p></p>", "FlowCytIntra-species-checked": "notRecommended", "FlowCytIntra-species-dilution-info": "", "FlowCytIntra-species-notes": "", "ICCIF-species-checked": "notRecommended", "ICCIF-species-dilution-info": "", "ICCIF-species-notes": "", "WB-species-checked": "notRecommended", "WB-species-dilution-info": "", "WB-species-notes": "" } } }

Product details

What are the advantages of a recombinant monoclonal antibody?
This product is a recombinant monoclonal antibody, which offers several advantages including:

  • - High batch-to-batch consistency and reproducibility
  • - Improved sensitivity and specificity
  • - Long-term security of supply
  • - Animal-free batch production

For more information, read more on recombinant antibodies.

Patented technology
Our RabMAb® technology is a patented hybridoma-based technology for making rabbit monoclonal antibodies. For details on our patents, please refer to RabMAb® patents.

Properties and storage information

Form
Liquid
Purification technique
Affinity purification Protein A
Storage buffer
pH: 7.2 - 7.4 Preservative: 0.01% Sodium azide Constituents: PBS, 40% Glycerol (glycerin, glycerine), 0.05% BSA
Shipped at conditions
Blue Ice
Appropriate short-term storage duration
1-2 weeks
Appropriate short-term storage conditions
+4°C
Appropriate long-term storage conditions
-20°C
Aliquoting information
Upon delivery aliquot
Storage information
Avoid freeze / thaw cycle

Product protocols

For this product, it's our understanding that no specific protocols are required. You can visit:

Product promise

We are committed to supporting your work with high-quality reagents, and we're here for you every step of the way. In the unlikely event that one of our products does not perform as expected, you're protected by our Product Promise.
For full details, please see our Terms & Conditions

Please note: All products are 'FOR RESEARCH USE ONLY. NOT FOR USE IN DIAGNOSTIC OR THERAPEUTIC PROCEDURES'.

For licensing inquiries, please contact partnerships@abcam.com