JavaScript is disabled in your browser. Please enable JavaScript to view this website.
AB308234

Anti-HCK antibody [HL1673]

Be the first to review this product! Submit a review

|

(0 Publication)

Rabbit Recombinant Monoclonal HCK antibody. Carrier free. Suitable for WB, IHC-P and reacts with Mouse, Human samples. Immunogen corresponding to Synthetic Peptide within Human HCK.

View Alternative Names

Tyrosine-protein kinase HCK, Hematopoietic cell kinase, Hemopoietic cell kinase, p59-HCK/p60-HCK, p59Hck, p61Hck, HCK

5 Images
Immunohistochemistry paraffin embedded sections - Anti-HCK antibody [HL1673] (AB308234)
  • IHC-P

Supplier Data

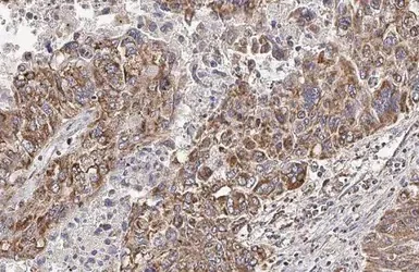
Immunohistochemistry paraffin embedded sections - Anti-HCK antibody [HL1673] (AB308234)

Immunohistochemical analysis of paraffin-embedded human hepatocellular carcinoma labeling HCK protein with ab308234 at 1/1000 dilution. Heat mediated antigen retrieval was performed with citrate buffer pH 6.0 for 15 mins.

Immunohistochemistry paraffin embedded sections - Anti-HCK antibody [HL1673] (AB308234)
  • IHC-P

Supplier Data

Immunohistochemistry paraffin embedded sections - Anti-HCK antibody [HL1673] (AB308234)

Immunohistochemical analysis of paraffin-embedded mouse lung (left) and intestine (right) labeling HCK protein with ab308234 at 1/1000 dilution. Heat mediated antigen retrieval was performed with citrate buffer pH 6.0 for 15 mins.

Western blot - Anti-HCK antibody [HL1673] (AB308234)
  • WB

Supplier Data

Western blot - Anti-HCK antibody [HL1673] (AB308234)

Separated by 10% SDS-PAGE.

All lanes:

Western blot - Anti-HCK antibody [HL1673] (ab308234) at 1/1000 dilution

All lanes:

U937 cell lysate at 30 µg

Secondary

All lanes:

HRP-conjugated anti-rabbit IgG antibody

Predicted band size: 59.6 kDa

false

Western blot - Anti-HCK antibody [HL1673] (AB308234)
  • WB

Supplier Data

Western blot - Anti-HCK antibody [HL1673] (AB308234)

Various whole cell extracts (30 μg) were separated by 10% SDS-PAGE, and the membrane was blotted with HCK antibody [HL1673] (ab308234) diluted at 1/1000. A HRP-conjugated anti-rabbit IgG antibody was used to detect the primary antibody.

All lanes:

Western blot - Anti-HCK antibody [HL1673] (ab308234) at 1/1000 dilution

Lane 1:

HEK293T cell lysate at 30 µg

Lane 2:

A431 cell lysate at 30 µg

Secondary

All lanes:

HRP-conjugated anti-rabbit IgG antibody

Predicted band size: 59.6 kDa

false

Western blot - Anti-HCK antibody [HL1673] (AB308234)
  • WB

Supplier Data

Western blot - Anti-HCK antibody [HL1673] (AB308234)

Various tissue extracts (50 μg) were separated by 10% SDS-PAGE, and the membrane was blotted with HCK antibody [HL1673] (ab308234) diluted at 1/1000. A HRP-conjugated anti-rabbit IgG antibody was used to detect the primary antibody.

All lanes:

Western blot - Anti-HCK antibody [HL1673] (ab308234) at 1/1000 dilution

Lane 1:

Mouse liver lysate at 50 µg

Lane 2:

Mouse spleen lysate at 50 µg

Secondary

All lanes:

HRP-conjugated anti-rabbit IgG antibody

Predicted band size: 59.6 kDa

false

Key facts

Host species

Rabbit

Clonality

Monoclonal

Clone number

HL1673

Isotype

IgG

Carrier free

Yes

Reacts with

Human, Mouse

Applications

IHC-P, WB

applications

Immunogen

Synthetic Peptide within Human HCK. The exact immunogen used to generate this antibody is proprietary information.

P08631

Reactivity data

{ "title": "Reactivity Data", "filters": { "stats": ["", "Species", "Dilution Info", "Notes"], "tabs": { "all-applications": {"fullname" : "All Applications", "shortname": "All Applications"}, "WB" : {"fullname" : "Western blot", "shortname":"WB"}, "IHCP" : {"fullname" : "Immunohistochemistry (Formalin/PFA-fixed paraffin-embedded sections)", "shortname":"IHC-P"} }, "product-promise": { "all": "all", "testedAndGuaranteed": "tested", "guaranteed": "expected", "predicted": "predicted", "notRecommended": "not-recommended" } }, "values": { "Human": { "WB-species-checked": "testedAndGuaranteed", "WB-species-dilution-info": "1/1000", "WB-species-notes": "<p></p>", "IHCP-species-checked": "testedAndGuaranteed", "IHCP-species-dilution-info": "1/100", "IHCP-species-notes": "<p></p> Perform heat-mediated antigen retrieval with citrate buffer pH 6 before commencing with IHC staining protocol." }, "Mouse": { "WB-species-checked": "testedAndGuaranteed", "WB-species-dilution-info": "1/1000", "WB-species-notes": "<p></p>", "IHCP-species-checked": "testedAndGuaranteed", "IHCP-species-dilution-info": "1/100", "IHCP-species-notes": "<p></p> Perform heat-mediated antigen retrieval with citrate buffer pH 6 before commencing with IHC staining protocol." } } }

Product details

What are the advantages of a recombinant monoclonal antibody?
This product is a recombinant monoclonal antibody, which offers several advantages including:

  • - High batch-to-batch consistency and reproducibility
  • - Improved sensitivity and specificity
  • - Long-term security of supply
  • - Animal-free batch production

For more information, read more on recombinant antibodies.

Conjugation ready
Our carrier-free antibodies are typically supplied in a PBS-only formulation, purified and free of BSA, sodium azide and glycerol. This conjugation-ready format is designed for use with fluorochromes, metal isotopes, oligonucleotides, and enzymes, which makes them ideal for antibody labelling, functional and cell-based assays, flow-based assays (e.g. mass cytometry) and Multiplex Imaging applications.

Use our conjugation kits for antibody conjugates that are ready-to-use in as little as 20 minutes with 1 minute hands-on-time and 100% antibody recovery: available for fluorescent dyes, HRP, biotin and gold.

Properties and storage information

Form
Liquid
Purification technique
Affinity purification Protein A
Storage buffer
pH: 7.4 Constituents: PBS
Shipped at conditions
Blue Ice
Appropriate short-term storage duration
1-2 weeks
Appropriate short-term storage conditions
+4°C
Appropriate long-term storage conditions
+4°C
Aliquoting information
Upon delivery aliquot
Storage information
Avoid freeze / thaw cycle

Supplementary information

This supplementary information is collated from multiple sources and compiled automatically.

Hck also known as Hemopoietic cell kinase is a protein with a mass of approximately 59-61 kDa. Hck belongs to the Src family of tyrosine kinases. It is expressed mainly in cells of the myeloid and B-lymphoid lineages such as macrophages neutrophils and certain B-cells. This protein functions as a non-receptor tyrosine kinase which means it's involved in adding phosphate groups to other proteins to modulate their activity. Such phosphorylation events play significant roles in signal transduction impacting cellular responses.
Biological function summary

Hck is involved in immune system regulation and cell signaling processes. It operates within complexes that facilitate its kinase activity and substrate specificity. Hck influences pathways that regulate immune cell responses like phagocytosis and cell migration. It helps in cellular adhesion and the production of reactive oxygen species both of which are vital for the proper functioning of myeloid cells in the immune response.

Pathways

Several signaling processes use Hck for transmitting signals from the outside of the cell to the inside. Hck participates in the Fc gamma receptor-mediated phagocytosis pathway and the chemokine signaling pathway. In these pathways Hck collaborates with proteins such as Src and Lyn enhancing the immune response and cellular communication. These pathways control important immune functions and cellular responses.

Hck has been implicated in certain cancers including myeloid leukemias where its overactivity can lead to uncontrolled cell proliferation. Additionally Hck plays a role in chronic inflammation seen in disorders like rheumatoid arthritis. In these conditions Hck interacts with other proteins such as Fgr and Yes exacerbating inflammation and disease progression. Understanding Hck's function offers insights into potential therapeutic targets for these health issues.

Product protocols

For this product, it's our understanding that no specific protocols are required. You can visit:

Target data

Non-receptor tyrosine-protein kinase found in hematopoietic cells that transmits signals from cell surface receptors and plays an important role in the regulation of innate immune responses, including neutrophil, monocyte, macrophage and mast cell functions, phagocytosis, cell survival and proliferation, cell adhesion and migration. Acts downstream of receptors that bind the Fc region of immunoglobulins, such as FCGR1A and FCGR2A, but also CSF3R, PLAUR, the receptors for IFNG, IL2, IL6 and IL8, and integrins, such as ITGB1 and ITGB2. During the phagocytic process, mediates mobilization of secretory lysosomes, degranulation, and activation of NADPH oxidase to bring about the respiratory burst. Plays a role in the release of inflammatory molecules. Promotes reorganization of the actin cytoskeleton and actin polymerization, formation of podosomes and cell protrusions. Inhibits TP73-mediated transcription activation and TP73-mediated apoptosis. Phosphorylates CBL in response to activation of immunoglobulin gamma Fc region receptors. Phosphorylates ADAM15, BCR, ELMO1, FCGR2A, GAB1, GAB2, RAPGEF1, STAT5B, TP73, VAV1 and WAS.
See full target information HCK

Product promise

We are committed to supporting your work with high-quality reagents, and we're here for you every step of the way. In the unlikely event that one of our products does not perform as expected, you're protected by our Product Promise.
For full details, please see our Terms & Conditions

Please note: All products are 'FOR RESEARCH USE ONLY. NOT FOR USE IN DIAGNOSTIC OR THERAPEUTIC PROCEDURES'.

For licensing inquiries, please contact partnerships@abcam.com