JavaScript is disabled in your browser. Please enable JavaScript to view this website.
AB202900

Anti-HCLS1 antibody [EPR16540]

Be the first to review this product! Submit a review

|

(1 Publication)

Rabbit Recombinant Monoclonal HCLS1 antibody. Suitable for WB, IHC-P and reacts with Human samples. Cited in 1 publication.

View Alternative Names

HS1, HCLS1, Hematopoietic lineage cell-specific protein, Hematopoietic cell-specific LYN substrate 1, LckBP1, p75

4 Images
Immunohistochemistry (Formalin/PFA-fixed paraffin-embedded sections) - Anti-HCLS1 antibody [EPR16540] (AB202900)
  • IHC-P

Supplier Data

Immunohistochemistry (Formalin/PFA-fixed paraffin-embedded sections) - Anti-HCLS1 antibody [EPR16540] (AB202900)

Immunohistochemical analysis of paraffin-embedded Human cerebral cortex tissue labeling HCLS1 with ab202900 at 1/1000 dilution followed by Goat Anti-Rabbit IgG H&L (HRP) (ab97051) at 1/500 dilution. No staining on Human cerebral cortex tissue is observed. Counter stained with Hematoxylin.

Secondary antibody only control : Used PBS instead of primary antibody secondary antibody is Goat Anti-Rabbit IgG H&L (HRP) (ab97051) at 1/500 dilution.

Perform heat mediated antigen retrieval with Tris/EDTA buffer pH 9.0 before commencing with IHC staining protocol.

Immunohistochemistry (Formalin/PFA-fixed paraffin-embedded sections) - Anti-HCLS1 antibody [EPR16540] (AB202900)
  • IHC-P

Supplier Data

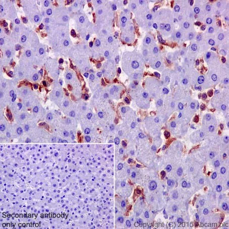
Immunohistochemistry (Formalin/PFA-fixed paraffin-embedded sections) - Anti-HCLS1 antibody [EPR16540] (AB202900)

Immunohistochemical analysis of paraffin-embedded Human liver tissue labeling HCLS1 with ab202900 at 1/1000 dilution followed by Goat Anti-Rabbit IgG H&L (HRP) (ab97051) at 1/500 dilution. Cytoplasmic and nuclear staining on Kupffer cells while no staining on Human liver tissue is observed. Counter stained with Hematoxylin.

Secondary antibody only control : Used PBS instead of primary antibody secondary antibody is Goat Anti-Rabbit IgG H&L (HRP) (ab97051) at 1/500 dilution.

Perform heat mediated antigen retrieval with Tris/EDTA buffer pH 9.0 before commencing with IHC staining protocol.

Immunohistochemistry (Formalin/PFA-fixed paraffin-embedded sections) - Anti-HCLS1 antibody [EPR16540] (AB202900)
  • IHC-P

Supplier Data

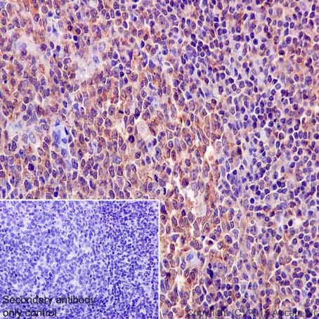
Immunohistochemistry (Formalin/PFA-fixed paraffin-embedded sections) - Anti-HCLS1 antibody [EPR16540] (AB202900)

Immunohistochemical analysis of paraffin-embedded Human tonsil tissue labeling HCLS1 with ab202900 at 1/1000 dilution followed by Goat Anti-Rabbit IgG H&L (HRP) (ab97051) at 1/500 dilution. Cytoplasmic and weakly nuclear staining on Human tonsil tissue is observed. Counter stained with Hematoxylin.

Secondary antibody only control : Used PBS instead of primary antibody secondary antibody is Goat Anti-Rabbit IgG H&L (HRP) (ab97051) at 1/500 dilution.

Perform heat mediated antigen retrieval with Tris/EDTA buffer pH 9.0 before commencing with IHC staining protocol.

Western blot - Anti-HCLS1 antibody [EPR16540] (AB202900)
  • WB

Supplier Data

Western blot - Anti-HCLS1 antibody [EPR16540] (AB202900)

Blocking/dilution buffer : 5% NFDM/TBST.

All lanes:

Western blot - Anti-HCLS1 antibody [EPR16540] (ab202900) at 1/5000 dilution

Lane 1:

Ramos (Human Burkitt's lymphoma cell line) cell lysate at 20 µg

Lane 2:

Daudi (Human Burkitt's lymphoma cell line) cell lysate at 20 µg

Secondary

All lanes:

Western blot - Goat Anti-Rabbit IgG H&L (HRP) (<a href='/en-us/products/secondary-antibodies/goat-rabbit-igg-h-l-hrp-ab97051'>ab97051</a>) at 1/50000 dilution

Predicted band size: 54 kDa

Observed band size: 75 kDa

false

Exposure time: 30s

  • Carrier free

    Anti-HCLS1 antibody [EPR16540] - BSA and Azide free

Key facts

Host species

Rabbit

Clonality

Monoclonal

Clone number

EPR16540

Isotype

IgG

Carrier free

No

Reacts with

Human

Applications

WB, IHC-P

applications

Immunogen

The exact immunogen used to generate this antibody is proprietary information.

Reactivity data

{ "title": "Reactivity Data", "filters": { "stats": ["", "Species", "Dilution Info", "Notes"], "tabs": { "all-applications": {"fullname" : "All Applications", "shortname": "All Applications"}, "WB" : {"fullname" : "Western blot", "shortname":"WB"}, "IHCP" : {"fullname" : "Immunohistochemistry (Formalin/PFA-fixed paraffin-embedded sections)", "shortname":"IHC-P"} }, "product-promise": { "all": "all", "testedAndGuaranteed": "tested", "guaranteed": "expected", "predicted": "predicted", "notRecommended": "not-recommended" } }, "values": { "Human": { "WB-species-checked": "testedAndGuaranteed", "WB-species-dilution-info": "1/1000", "WB-species-notes": "<p></p> Perform heat-mediated antigen retrieval with Tris/EDTA buffer pH 9.0 before commencing with IHC staining protocol.", "IHCP-species-checked": "testedAndGuaranteed", "IHCP-species-dilution-info": "1/1000", "IHCP-species-notes": "<p></p> Perform heat-mediated antigen retrieval with Tris/EDTA buffer pH 9.0 before commencing with IHC staining protocol." } } }

Product details

Patented technology
Our RabMAb® technology is a patented hybridoma-based technology for making rabbit monoclonal antibodies. For details on our patents, please refer to RabMAb® patents.

What are the advantages of a recombinant monoclonal antibody?
This product is a recombinant monoclonal antibody, which offers several advantages including:

  • - High batch-to-batch consistency and reproducibility
  • - Improved sensitivity and specificity
  • - Long-term security of supply
  • - Animal-free batch production

For more information, read more on recombinant antibodies.

Properties and storage information

Form
Liquid
Purification technique
Affinity purification Protein A
Storage buffer
pH: 7.2 - 7.4 Preservative: 0.01% Sodium azide Constituents: 59% PBS, 40% Glycerol (glycerin, glycerine), 0.05% BSA
Shipped at conditions
Blue Ice
Appropriate short-term storage duration
1-2 weeks
Appropriate short-term storage conditions
+4°C
Appropriate long-term storage conditions
-20°C
Aliquoting information
Upon delivery aliquot
Storage information
Avoid freeze / thaw cycle

Supplementary information

This supplementary information is collated from multiple sources and compiled automatically.

The hematopoietic cell-specific Lyn substrate 1 commonly known as HCLS1 or HS1 is a cytoskeletal protein involved in cell signaling. It has a molecular mass of approximately 75 kDa and is expressed predominantly in hematopoietic cells such as lymphocytes and myeloid cells. HCLS1 functions as an adaptor protein playing an important role in the reorganization of the actin cytoskeleton which is critical for cell motility and morphology.
Biological function summary

The protein is important for signal transduction processes in immune cells particularly during the immune response. HCLS1 becomes phosphorylated upon cell activation allowing it to associate with other signaling proteins. It forms complexes with various partners like Lyn kinase and other SH2-containing proteins facilitating cytoskeletal rearrangement and cellular interactions necessary for effective immune function.

Pathways

HCLS1 is involved in key signaling pathways such as the B-cell receptor (BCR) and T-cell receptor (TCR) signaling pathways. In these pathways it works alongside proteins like SLP-76 and Vav to propagate signals that lead to cellular activation and differentiation. HCLS1's ability to bind and interact with proteins in these pathways highlights its role in orchestrating cellular immune responses.

HCLS1 has been implicated in certain autoimmune conditions and cancers including chronic lymphocytic leukemia (CLL) and systemic lupus erythematosus (SLE). In these contexts aberrant expression or activity of HCLS1 can disrupt normal immune signaling leading to pathological conditions. Additionally its interaction with proteins such as Bcl-2 in CLL suggests a role in apoptosis regulation further linking HCLS1 to disease progression and treatment response.

Product protocols

For this product, it's our understanding that no specific protocols are required. You can visit:

Target data

Substrate of the antigen receptor-coupled tyrosine kinase. Plays a role in antigen receptor signaling for both clonal expansion and deletion in lymphoid cells. May also be involved in the regulation of gene expression.
See full target information HCLS1

Publications (1)

Recent publications for all applications. Explore the full list and refine your search

Autophagy 21:1192-1211 PubMed39757940

2025

Nonreceptor tyrosine kinase ABL1 regulates lysosomal acidification by phosphorylating the ATP6V1B2 subunit of the vacuolar-type H-ATPase.

Applications

Unspecified application

Species

Unspecified reactive species

Caiwei Song,Qincai Dong,Yi Yao,Yan Cui,Chunmei Zhang,Lijun Lin,Lin Zhu,Yong Hu,Hainan Liu,Yanwen Jin,Ping Li,Xuan Liu,Cheng Cao
View all publications

Product promise

We are committed to supporting your work with high-quality reagents, and we're here for you every step of the way. In the unlikely event that one of our products does not perform as expected, you're protected by our Product Promise.
For full details, please see our Terms & Conditions

Please note: All products are 'FOR RESEARCH USE ONLY. NOT FOR USE IN DIAGNOSTIC OR THERAPEUTIC PROCEDURES'.

For licensing inquiries, please contact partnerships@abcam.com