JavaScript is disabled in your browser. Please enable JavaScript to view this website.
AB255791

Anti-HCN1 antibody [7C3] - BSA and Azide free

Be the first to review this product! Submit a review

|

(0 Publication)

Rat Recombinant Monoclonal HCN1 antibody. Carrier free. Suitable for WB, IHC-P and reacts with Mouse, Rat, Human samples.

View Alternative Names

Potassium/sodium hyperpolarization-activated cyclic nucleotide-gated channel 1, Hcn1

7 Images
Immunohistochemistry (Formalin/PFA-fixed paraffin-embedded sections) - Anti-HCN1 antibody [7C3] - BSA and Azide free (AB255791)
  • IHC-P

Supplier Data

Immunohistochemistry (Formalin/PFA-fixed paraffin-embedded sections) - Anti-HCN1 antibody [7C3] - BSA and Azide free (AB255791)

Immunohistochemical analysis of paraffin-embedded human cerebrum tissue labeling HCN1 with ab252835 at 0.065μg/ml, followed by ready to use Goat Anti-Rat IgG H&L (HRP polymer) (ab214882). Positive staining on human esophagus tissue is observed. The section was incubated with ab252835 for 30 mins at RT. The immunostaining staining was performed on a Leica Biosystems BOND® RX instrument. Counterstained with hematoxylin.
Secondary antibody only control : Used PBS instead of primary antibody, followed by ready to use Goat Anti-Rat IgG H&L (HRP polymer) (ab214882). Heat mediated antigen retrieval with Tris-EDTA buffer (pH 9.0, epitope retrieval solution 2) for 20 mins.

This data was developed using the same antibody clone in a different buffer formulation containing PBS, BSA, glycerol, and sodium azide (ab252835).

Immunohistochemistry (Formalin/PFA-fixed paraffin-embedded sections) - Anti-HCN1 antibody [7C3] - BSA and Azide free (AB255791)
  • IHC-P

Supplier Data

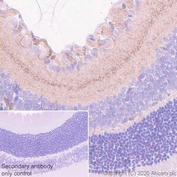
Immunohistochemistry (Formalin/PFA-fixed paraffin-embedded sections) - Anti-HCN1 antibody [7C3] - BSA and Azide free (AB255791)

Immunohistochemical analysis of paraffin-embedded rat retina tissue labeling HCN1 with ab252835 at 0.065μg/ml, followed by ready to use Goat Anti-Rat IgG H&L (HRP polymer) (ab214882). Positive staining on rat retina tissue is observed. Counterstained with hematoxylin.
Secondary antibody only control : Used PBS instead of primary antibody, followed by ready to use Goat Anti-Rat IgG H&L (HRP polymer) (ab214882). Heat mediated antigen retrieval using ab93684 (Tris/EDTA buffer, pH 9.0).

This data was developed using the same antibody clone in a different buffer formulation containing PBS, BSA, glycerol, and sodium azide (ab252835).

Immunohistochemistry (Formalin/PFA-fixed paraffin-embedded sections) - Anti-HCN1 antibody [7C3] - BSA and Azide free (AB255791)
  • IHC-P

Supplier Data

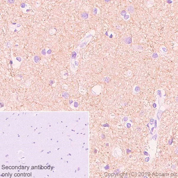
Immunohistochemistry (Formalin/PFA-fixed paraffin-embedded sections) - Anti-HCN1 antibody [7C3] - BSA and Azide free (AB255791)

Immunohistochemical analysis of paraffin-embedded mouse cerebrum tissue labeling HCN1 with ab252835 at 0.065μg/ml, followed by ready to use Goat Anti-Rat IgG H&L (HRP polymer) (ab214882). Positive staining on mouse cerebrum tissue is observed. Counterstained with hematoxylin.
Secondary antibody only control : Used PBS instead of primary antibody, followed by ready to use Goat Anti-Rat IgG H&L (HRP polymer) (ab214882). Heat mediated antigen retrieval using ab93684 (Tris/EDTA buffer, pH 9.0).

This data was developed using the same antibody clone in a different buffer formulation containing PBS, BSA, glycerol, and sodium azide (ab252835).

Immunohistochemistry (Formalin/PFA-fixed paraffin-embedded sections) - Anti-HCN1 antibody [7C3] - BSA and Azide free (AB255791)
  • IHC-P

Supplier Data

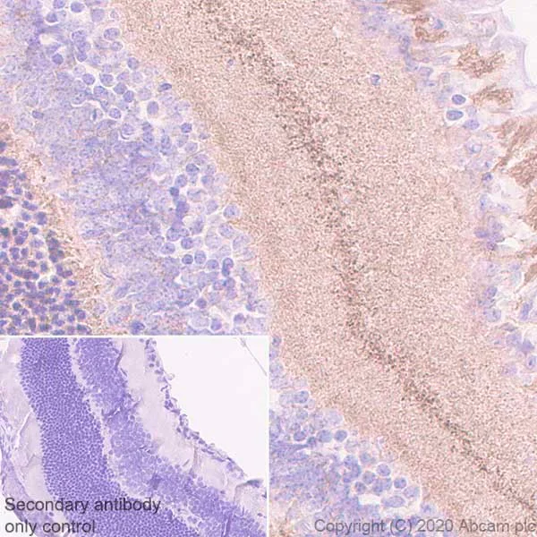
Immunohistochemistry (Formalin/PFA-fixed paraffin-embedded sections) - Anti-HCN1 antibody [7C3] - BSA and Azide free (AB255791)

Immunohistochemical analysis of paraffin-embedded mouse retina tissue labeling HCN1 with ab252835 at 0.065μg/ml, followed by ready to use Goat Anti-Rat IgG H&L (HRP polymer) (ab214882). Positive staining on mouse retina tissue is observed. Counterstained with hematoxylin.
Secondary antibody only control : Used PBS instead of primary antibody, followed by ready to use Goat Anti-Rat IgG H&L (HRP polymer) (ab214882). Heat mediated antigen retrieval using ab93684 (Tris/EDTA buffer, pH 9.0).

This data was developed using the same antibody clone in a different buffer formulation containing PBS, BSA, glycerol, and sodium azide (ab252835).

Immunohistochemistry (Formalin/PFA-fixed paraffin-embedded sections) - Anti-HCN1 antibody [7C3] - BSA and Azide free (AB255791)
  • IHC-P

Supplier Data

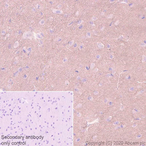
Immunohistochemistry (Formalin/PFA-fixed paraffin-embedded sections) - Anti-HCN1 antibody [7C3] - BSA and Azide free (AB255791)

Immunohistochemical analysis of paraffin-embedded rat cerebrum tissue labeling HCN1 with ab252835 at 0.065μg/ml, followed by ready to use Goat Anti-Rat IgG H&L (HRP polymer) (ab214882). Positive staining on rat cerebrum tissue is observed. Counterstained with hematoxylin.
Secondary antibody only control : Used PBS instead of primary antibody, followed by ready to use Goat Anti-Rat IgG H&L (HRP polymer) (ab214882). Heat mediated antigen retrieval using ab93684 (Tris/EDTA buffer, pH 9.0).

This data was developed using the same antibody clone in a different buffer formulation containing PBS, BSA, glycerol, and sodium azide (ab252835).

Western blot - Anti-HCN1 antibody [7C3] - BSA and Azide free (AB255791)
  • WB

Supplier Data

Western blot - Anti-HCN1 antibody [7C3] - BSA and Azide free (AB255791)

Blocking/Dilution buffer : 5% NFDM/TBST.

Exposure time : 5 secs.

The negative control and the molecular weight of HCN1 observed is consistent with what has been described in the literature (PMID : 12786975).

This data was developed using the same antibody clone in a different buffer formulation containing PBS, BSA, glycerol, and sodium azide (ab252835).

All lanes:

Western blot - Anti-HCN1 antibody [7C3] (<a href='/en-us/products/primary-antibodies/hcn1-antibody-7c3-ab252835'>ab252835</a>) at 0.326 µg/mL

Lane 1:

Human brain tissue lysate at 20 µg

Lane 2:

HEK-293 (human embryonic kidney epithelial cell) whole cell lysate at 20 µg

Secondary

All lanes:

Western blot - Goat Anti-Rat IgG H&L (HRP) (<a href='/en-us/products/secondary-antibodies/goat-rat-igg-h-l-hrp-ab205720'>ab205720</a>) at 1/10000 dilution

Predicted band size: 99 kDa

false

Exposure time: 5s

Western blot - Anti-HCN1 antibody [7C3] - BSA and Azide free (AB255791)
  • WB

Supplier Data

Western blot - Anti-HCN1 antibody [7C3] - BSA and Azide free (AB255791)

Blocking/Dilution buffer : 5% NFDM/TBST.

Exposure time : 3 secs.

This data was developed using the same antibody clone in a different buffer formulation containing PBS, BSA, glycerol, and sodium azide (ab252835).

All lanes:

Western blot - Anti-HCN1 antibody [7C3] (<a href='/en-us/products/primary-antibodies/hcn1-antibody-7c3-ab252835'>ab252835</a>) at 0.326 µg/mL

Lane 1:

Mouse brain tissue lysate at 20 µg

Lane 2:

Rat brain tissue lysate at 20 µg

Secondary

All lanes:

Western blot - Goat Anti-Rat IgG H&L (HRP) (<a href='/en-us/products/secondary-antibodies/goat-rat-igg-h-l-hrp-ab205720'>ab205720</a>) at 1/10000 dilution

Predicted band size: 99 kDa

false

Exposure time: 3s

Key facts

Host species

Rat

Clonality

Monoclonal

Clone number

7C3

Isotype

IgG1

Carrier free

Yes

Reacts with

Mouse, Rat, Human

Applications

WB, IHC-P

applications

Immunogen

The exact immunogen used to generate this antibody is proprietary information.

Reactivity data

{ "title": "Reactivity Data", "filters": { "stats": ["", "Species", "Dilution Info", "Notes"], "tabs": { "all-applications": {"fullname" : "All Applications", "shortname": "All Applications"}, "WB" : {"fullname" : "Western blot", "shortname":"WB"}, "ICCIF" : {"fullname" : "Immunocytochemistry/ Immunofluorescence", "shortname":"ICC/IF"}, "IHCP" : {"fullname" : "Immunohistochemistry (Formalin/PFA-fixed paraffin-embedded sections)", "shortname":"IHC-P"} }, "product-promise": { "all": "all", "testedAndGuaranteed": "tested", "guaranteed": "expected", "predicted": "predicted", "notRecommended": "not-recommended" } }, "values": { "Human": { "WB-species-checked": "testedAndGuaranteed", "WB-species-dilution-info": "0.326 µg/mL", "WB-species-notes": "<p><strong>Human: 99 kDa, Mouse, Rat:110 kDa</strong></p>", "ICCIF-species-checked": "notRecommended", "ICCIF-species-dilution-info": "", "ICCIF-species-notes": "<p></p>", "IHCP-species-checked": "testedAndGuaranteed", "IHCP-species-dilution-info": "0.065 µg/mL", "IHCP-species-notes": "<p><strong>Use at 1:500 dilution for human and 1:5000 dilution for mouse and rat</strong>.</p>" }, "Mouse": { "WB-species-checked": "testedAndGuaranteed", "WB-species-dilution-info": "0.326 µg/mL", "WB-species-notes": "<p><strong>Human: 99 kDa, Mouse, Rat:110 kDa</strong></p>", "ICCIF-species-checked": "notRecommended", "ICCIF-species-dilution-info": "", "ICCIF-species-notes": "<p></p>", "IHCP-species-checked": "testedAndGuaranteed", "IHCP-species-dilution-info": "0.065 µg/mL", "IHCP-species-notes": "<p><strong>Use at 1:500 dilution for human and 1:5000 dilution for mouse and rat</strong>.</p>" }, "Rat": { "WB-species-checked": "testedAndGuaranteed", "WB-species-dilution-info": "0.326 µg/mL", "WB-species-notes": "<p><strong>Human: 99 kDa, Mouse, Rat:110 kDa</strong></p>", "ICCIF-species-checked": "notRecommended", "ICCIF-species-dilution-info": "", "ICCIF-species-notes": "<p></p>", "IHCP-species-checked": "testedAndGuaranteed", "IHCP-species-dilution-info": "0.065 µg/mL", "IHCP-species-notes": "<p><strong>Use at 1:500 dilution for human and 1:5000 dilution for mouse and rat</strong>.</p>" } } }

Product details

ab255791 is the carrier-free version of ab252835.

What are the advantages of a recombinant monoclonal antibody?
This product is a recombinant monoclonal antibody, which offers several advantages including:

  • - High batch-to-batch consistency and reproducibility
  • - Improved sensitivity and specificity
  • - Long-term security of supply
  • - Animal-free batch production

For more information, read more on recombinant antibodies.

Want a custom formulation?
This antibody clone is manufactured by Abcam. If you require a custom buffer formulation or conjugation for your experiments, please contact orders@abcam.com

Conjugation ready
Our carrier-free antibodies are typically supplied in a PBS-only formulation, purified and free of BSA, sodium azide and glycerol. This conjugation-ready format is designed for use with fluorochromes, metal isotopes, oligonucleotides, and enzymes, which makes them ideal for antibody labelling, functional and cell-based assays, flow-based assays (e.g. mass cytometry) and Multiplex Imaging applications.

Use our conjugation kits for antibody conjugates that are ready-to-use in as little as 20 minutes with 1 minute hands-on-time and 100% antibody recovery: available for fluorescent dyes, HRP, biotin and gold.

Compatibility
This product is compatible with the Maxpar® Antibody Labeling Kit from Fluidigm, without the need for antibody preparation. Maxpar® is a trademark of Fluidigm Canada Inc.

Properties and storage information

Form
Liquid
Purification technique
Affinity purification Protein A
Storage buffer
pH: 7.2 - 7.4 Constituents: PBS
Shipped at conditions
Blue Ice
Appropriate short-term storage conditions
+4°C
Appropriate long-term storage conditions
+4°C
Storage information
Do Not Freeze

Supplementary information

This supplementary information is collated from multiple sources and compiled automatically.

The HCN1 protein also known as hyperpolarization-activated cyclic nucleotide-gated channel 1 or HCN1 receptor is an important component in cellular electrical activity. It has a molecular mass of approximately 91 kDa. HCN1 channels are highly expressed in the heart and nervous system particularly in regions like the cortex and hippocampus. Their principal role is serving as pacemaker channels that regulate rhythmic activity in both neurons and cardiac cells.
Biological function summary

HCN1 channels contribute to the generation and modulation of electrical impulses. They belong to a family of ion channels activated by membrane hyperpolarization and modulated by cyclic nucleotides. These channels are part of a larger molecular complex that includes other HCN family members such as HCN2 and HCN4 which together generate coordinated ionic currents essential for maintaining the rhythmic activity.

Pathways

HCN1 channels significantly affect the pacing of cardiac and neuronal circuits. Within the cardiac tissue they partake in regulating heart rate through the If current or pacemaker current together with related proteins like HCN4. In the central nervous system their role extends to neuronal excitability and synaptic transmission interacting with signaling pathways that involve other ion channels and second messengers contributing to complex neuronal network activities.

Alterations in HCN1 function or expression levels can lead to various conditions. In the heart dysregulation of HCN1 is associated with arrhythmias potentially involving interactions with proteins like the HCN4 channel. In the nervous system abnormal HCN1 activity has been linked to epilepsy with potential involvement of other ion channel dysfunctions. Understanding these associations provides insight into treatment strategies targeting these specific ion channel pathways.

Product protocols

For this product, it's our understanding that no specific protocols are required. You can visit:

Target data

Hyperpolarization-activated ion channel that are permeable to sodium and potassium ions. Exhibits weak selectivity for potassium over sodium ions. Contributes to the native pacemaker currents in heart (If) and in neurons (Ih) (By similarity). Participates in cerebellar mechanisms of motor learning (By similarity). May mediate responses to sour stimuli (PubMed : 11675786).
See full target information Hcn1

Product promise

We are committed to supporting your work with high-quality reagents, and we're here for you every step of the way. In the unlikely event that one of our products does not perform as expected, you're protected by our Product Promise.
For full details, please see our Terms & Conditions

Please note: All products are 'FOR RESEARCH USE ONLY. NOT FOR USE IN DIAGNOSTIC OR THERAPEUTIC PROCEDURES'.

For licensing inquiries, please contact partnerships@abcam.com