JavaScript is disabled in your browser. Please enable JavaScript to view this website.
AB84816

Anti-HCN1 antibody [S70]

0

(1 Review)

|

(21 Publications)

Mouse Monoclonal HCN1 antibody. Suitable for Flow Cyt, WB, IHC-P, IHC-Fr and reacts with Human, Rat, Mouse samples. Cited in 21 publications. Immunogen corresponding to Recombinant Fragment Protein within Rat Hcn1 aa 750 to C-terminus.

View Alternative Names

BCNG1, HCN1, Potassium/sodium hyperpolarization-activated cyclic nucleotide-gated channel 1, Brain cyclic nucleotide-gated channel 1, BCNG-1

6 Images
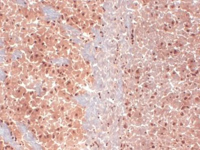
Immunohistochemistry (Formalin/PFA-fixed paraffin-embedded sections) - Anti-HCN1 antibody [S70] (AB84816)
  • IHC-P

Supplier Data

Immunohistochemistry (Formalin/PFA-fixed paraffin-embedded sections) - Anti-HCN1 antibody [S70] (AB84816)

Immunohistochemical analysis of paraffin-embedded (Bouin's Fixative - picric acid, acetic acid and formaldehyde) human hippocampus tissue labelling HCN1 with ab84816 at 1/1000 dilution, for 1 hour at RT followed by secondary antibody Goat Anti-Mouse (FITC) at 1/50 dilution, for 1 hour at RT. Membrane and cytosolic staining on human hippocampus tissue is observed.

Flow Cytometry - Anti-HCN1 antibody [S70] (AB84816)
  • Flow Cyt

Unknown

Flow Cytometry - Anti-HCN1 antibody [S70] (AB84816)

Overlay histogram showing SH-SY5Y cells stained with ab84816 (red line). The cells were fixed with 80% methanol (5 min) and then permeabilized with 0.1% PBS-Tween for 20 min. The cells were then incubated in 1x PBS / 10% normal goat serum / 0.3M glycine to block non-specific protein-protein interactions followed by the antibody (ab84816, 1μg/1x106 cells) for 30 min at 22°C. The secondary antibody used was DyLight® 488 goat anti-mouse IgG (H+L) (ab96879) at 1/500 dilution for 30 min at 22°C. Isotype control antibody (black line) was mouse IgG1 [ICIGG1] (ab91353, 2μg/1x106 cells) used under the same conditions. Acquisition of >5,000 events was performed. This antibody gave a positive result in SH-SY5Y cells fixed with 4% paraformaldehyde (10 min)/permeabilized in 0.1% PBS-Tween for 20 min used under the same conditions.

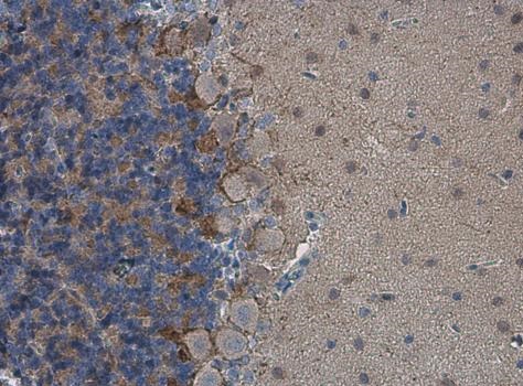
Immunohistochemistry (Frozen sections) - Anti-HCN1 antibody [S70] (AB84816)
  • IHC-Fr

Supplier Data

Immunohistochemistry (Frozen sections) - Anti-HCN1 antibody [S70] (AB84816)

Immunohistochemistry analysis of 10% formalin-fixed mouse frozen brain section labelling HCN1 with ab84816 at 1/1000 dilution for 1 hour at room temperature, followed by biotinylated Goat Anti-Mouse antibody (brown) for 30 minutes at room temperature. Counterstain : Hematoxylin (purple/blue) nuclear stain at 250-500 μl for 5 minutes at room temperature. HRP/DAB detection.

Western blot - Anti-HCN1 antibody [S70] (AB84816)
  • WB

Unknown

Western blot - Anti-HCN1 antibody [S70] (AB84816)

All lanes:

Western blot - Anti-HCN1 antibody [S70] (ab84816) at 1/1000 dilution

All lanes:

Rat brain membrane lysates at 15 µg

Secondary

All lanes:

HRP-Sheep Anti-Mouse IgG antibody

Predicted band size: 99 kDa

Observed band size: 99 kDa

false

Immunohistochemistry - Anti-HCN1 antibody [S70] (AB84816)
  • IHC

CiteAb

Immunohistochemistry - Anti-HCN1 antibody [S70] (AB84816)

Immunohistochemistry-immunofluorescence using Anti-HCN1 antibody [S70], ab84816. Publication image from Kaestner, K. H. et al., 2016, Nat Commun, 27399229. Legend direct from paper.

β cell heterogeneity in normal pancreatic tissue sections.(a) Human pancreas co-labelled with antibodies recognizing CD9 and proinsulin. Most proinsulin+ β cells were CD9− (hollow arrows) but a subset was CD9+ (solid arrows). (b) Tissue co-labelled with antibodies recognizing ST8SIA1 and proinsulin. Most proinsulin+ β cells were ST8SIA1− (hollow arrows) but a subset was ST8SIA1+ (solid arrows). (c) Compound labelling of proinsulin, CD9 and ST8SIA1 reveals proinsulin+ cells expressing every combination of the other markers; examples of β1 (CD9−ST8SIA1−), β2 (CD9+ST8SIA1−), β3 (CD9−ST8SIA1+) and β4 (CD9+ST8SIA1+) cells are indicated. Note that both CD9 and ST8SIA1 are found on proinsulin− (non-β) cell types as well, as shown in Supplementary Fig. 1. (d) HCN1 was detected in a subset of proinsulin+ β cells; examples of high/positive and low/negative cells are indicated with solid and hollow arrows, respectively. Tissues illustrated are 5 µm cryosections of normal human pancreas. Scale bar, 25 µm.

Immunohistochemistry - Anti-HCN1 antibody [S70] (AB84816)
  • IHC

CiteAb

Immunohistochemistry - Anti-HCN1 antibody [S70] (AB84816)

Immunohistochemistry-immunofluorescence using Anti-HCN1 antibody [S70], ab84816. Publication image from Kaestner, K. H. et al., 2016, Nat Commun, 27399229. Legend direct from paper.

β cell heterogeneity in normal pancreatic tissue sections.(a) Human pancreas co-labelled with antibodies recognizing CD9 and proinsulin. Most proinsulin+ β cells were CD9− (hollow arrows) but a subset was CD9+ (solid arrows). (b) Tissue co-labelled with antibodies recognizing ST8SIA1 and proinsulin. Most proinsulin+ β cells were ST8SIA1− (hollow arrows) but a subset was ST8SIA1+ (solid arrows). (c) Compound labelling of proinsulin, CD9 and ST8SIA1 reveals proinsulin+ cells expressing every combination of the other markers; examples of β1 (CD9−ST8SIA1−), β2 (CD9+ST8SIA1−), β3 (CD9−ST8SIA1+) and β4 (CD9+ST8SIA1+) cells are indicated. Note that both CD9 and ST8SIA1 are found on proinsulin− (non-β) cell types as well, as shown in Supplementary Fig. 1. (d) HCN1 was detected in a subset of proinsulin+ β cells; examples of high/positive and low/negative cells are indicated with solid and hollow arrows, respectively. Tissues illustrated are 5 µm cryosections of normal human pancreas. Scale bar, 25 µm.

Key facts

Host species

Mouse

Clonality

Monoclonal

Clone number

S70

Isotype

IgG1

Carrier free

No

Reacts with

Mouse, Rat, Human

Applications

WB, Flow Cyt, IHC-P, IHC-Fr

applications

Immunogen

Recombinant Fragment Protein within Rat Hcn1 aa 750 to C-terminus. The exact immunogen used to generate this antibody is proprietary information.

Q9JKB0

Specificity

No cross reactivity against HCN2

Reactivity data

{ "title": "Reactivity Data", "filters": { "stats": ["", "Species", "Dilution Info", "Notes"], "tabs": { "all-applications": {"fullname" : "All Applications", "shortname": "All Applications"}, "FlowCyt" : {"fullname" : "Flow Cytometry", "shortname":"Flow Cyt"}, "WB" : {"fullname" : "Western blot", "shortname":"WB"}, "IHCP" : {"fullname" : "Immunohistochemistry (Formalin/PFA-fixed paraffin-embedded sections)", "shortname":"IHC-P"}, "IHCFr" : {"fullname" : "Immunohistochemistry (Frozen sections)", "shortname":"IHC-Fr"} }, "product-promise": { "all": "all", "testedAndGuaranteed": "tested", "guaranteed": "expected", "predicted": "predicted", "notRecommended": "not-recommended" } }, "values": { "Human": { "FlowCyt-species-checked": "testedAndGuaranteed", "FlowCyt-species-dilution-info": "1-2 µg for 10^6 Cells", "FlowCyt-species-notes": "<p><a href='/en-us/products/primary-antibodies/mouse-igg1-kappa-monoclonal-15-6e10a7-isotype-control-ab170190'>ab170190</a> - Mouse monoclonal IgG1, is suitable for use as an isotype control with this antibody.</p>", "WB-species-checked": "guaranteed", "WB-species-dilution-info": "", "WB-species-notes": "", "IHCP-species-checked": "testedAndGuaranteed", "IHCP-species-dilution-info": "", "IHCP-species-notes": "<p></p>", "IHCFr-species-checked": "testedAndGuaranteed", "IHCFr-species-dilution-info": "", "IHCFr-species-notes": "<p></p>" }, "Mouse": { "FlowCyt-species-checked": "guaranteed", "FlowCyt-species-dilution-info": "", "FlowCyt-species-notes": "", "WB-species-checked": "guaranteed", "WB-species-dilution-info": "", "WB-species-notes": "", "IHCP-species-checked": "guaranteed", "IHCP-species-dilution-info": "", "IHCP-species-notes": "", "IHCFr-species-checked": "testedAndGuaranteed", "IHCFr-species-dilution-info": "", "IHCFr-species-notes": "<p></p>" }, "Rat": { "FlowCyt-species-checked": "guaranteed", "FlowCyt-species-dilution-info": "", "FlowCyt-species-notes": "", "WB-species-checked": "testedAndGuaranteed", "WB-species-dilution-info": "1-10 µg/mL", "WB-species-notes": "<p></p>", "IHCP-species-checked": "guaranteed", "IHCP-species-dilution-info": "", "IHCP-species-notes": "", "IHCFr-species-checked": "guaranteed", "IHCFr-species-dilution-info": "", "IHCFr-species-notes": "" } } }

Product details

The clone number has been updated from S70-28 to N70/28, both clone numbers name the same antibody clone.

Properties and storage information

Form
Liquid
Purification technique
Affinity purification Protein G
Storage buffer
Preservative: 0.09% Sodium azide Constituents: PBS, 50% Glycerol (glycerin, glycerine)
Shipped at conditions
Blue Ice
Appropriate short-term storage conditions
+4°C
Appropriate long-term storage conditions
-20°C
Aliquoting information
Upon delivery aliquot
Storage information
Avoid freeze / thaw cycle

Supplementary information

This supplementary information is collated from multiple sources and compiled automatically.

The HCN1 protein also known as hyperpolarization-activated cyclic nucleotide-gated channel 1 or HCN1 receptor is an important component in cellular electrical activity. It has a molecular mass of approximately 91 kDa. HCN1 channels are highly expressed in the heart and nervous system particularly in regions like the cortex and hippocampus. Their principal role is serving as pacemaker channels that regulate rhythmic activity in both neurons and cardiac cells.
Biological function summary

HCN1 channels contribute to the generation and modulation of electrical impulses. They belong to a family of ion channels activated by membrane hyperpolarization and modulated by cyclic nucleotides. These channels are part of a larger molecular complex that includes other HCN family members such as HCN2 and HCN4 which together generate coordinated ionic currents essential for maintaining the rhythmic activity.

Pathways

HCN1 channels significantly affect the pacing of cardiac and neuronal circuits. Within the cardiac tissue they partake in regulating heart rate through the If current or pacemaker current together with related proteins like HCN4. In the central nervous system their role extends to neuronal excitability and synaptic transmission interacting with signaling pathways that involve other ion channels and second messengers contributing to complex neuronal network activities.

Alterations in HCN1 function or expression levels can lead to various conditions. In the heart dysregulation of HCN1 is associated with arrhythmias potentially involving interactions with proteins like the HCN4 channel. In the nervous system abnormal HCN1 activity has been linked to epilepsy with potential involvement of other ion channel dysfunctions. Understanding these associations provides insight into treatment strategies targeting these specific ion channel pathways.

Product protocols

For this product, it's our understanding that no specific protocols are required. You can visit:

Target data

Hyperpolarization-activated ion channel that are permeable to sodium and potassium ions (PubMed : 15351778, PubMed : 28086084). Displays lower selectivity for K(+) over Na(+) ions (PubMed : 28086084). Contributes to the native pacemaker currents in heart (If) and in the generation of the I(h) current which controls neuron excitability (PubMed : 29936235, PubMed : 30351409). Participates in cerebellar mechanisms of motor learning (By similarity). May mediate responses to sour stimuli (By similarity).
See full target information HCN1

Publications (21)

Recent publications for all applications. Explore the full list and refine your search

The Journal of neuroscience : the official journal of the Society for Neuroscience 44: PubMed39313321

2024

Selective Vulnerability of GABAergic Inhibitory Interneurons to Bilirubin Neurotoxicity in the Neonatal Brain.

Applications

Unspecified application

Species

Unspecified reactive species

Li-Na Gong,Han-Wei Liu,Ke Lai,Zhen Zhang,Lin-Fei Mao,Zhen-Qi Liu,Ming-Xian Li,Xin-Lu Yin,Min Liang,Hai-Bo Shi,Lu-Yang Wang,Shan-Kai Yin

Nature 619:801-810 PubMed37438528

2023

Spatially resolved multiomics of human cardiac niches.

Applications

Unspecified application

Species

Unspecified reactive species

Kazumasa Kanemaru,James Cranley,Daniele Muraro,Antonio M A Miranda,Siew Yen Ho,Anna Wilbrey-Clark,Jan Patrick Pett,Krzysztof Polanski,Laura Richardson,Monika Litvinukova,Natsuhiko Kumasaka,Yue Qin,Zuzanna Jablonska,Claudia I Semprich,Lukas Mach,Monika Dabrowska,Nathan Richoz,Liam Bolt,Lira Mamanova,Rakeshlal Kapuge,Sam N Barnett,Shani Perera,Carlos Talavera-López,Ilaria Mulas,Krishnaa T Mahbubani,Liz Tuck,Lu Wang,Margaret M Huang,Martin Prete,Sophie Pritchard,John Dark,Kourosh Saeb-Parsy,Minal Patel,Menna R Clatworthy,Norbert Hübner,Rasheda A Chowdhury,Michela Noseda,Sarah A Teichmann

Neurochemistry international 162:105437 PubMed36336089

2022

Activation of HCN channels caused by elevated cAMP levels in periaqueductal gray promotes bone cancer pain.

Applications

Unspecified application

Species

Unspecified reactive species

Xiaolu Lei,Yan Yan,Junwei Zeng,Rong Wang,Song Li,Zhi Xiao,Xiaohong Liu

Neural regeneration research 18:594-602 PubMed36018183

2022

Activation of metabotropic glutamate receptor 1 regulates hippocampal CA1 region excitability in rats with status epilepticus by suppressing the HCN1 channel.

Applications

Unspecified application

Species

Unspecified reactive species

Xiao-Dan Luo,Tao Xiang,Si-Jun Li,Mei-Gang Ma,Mei-Ling Chen,Yuan Wu

Frontiers in medicine 9:783931 PubMed35372451

2022

The Effect of SIRT3/Ac-SOD2 Mediated Oxidative Stress and HCN1 Channel Activity on Anesthesia/Surgery Induced Anxiety-Like Behavior in Mice.

Applications

Unspecified application

Species

Unspecified reactive species

Hui-Hui Miao,Qiang Liu,Ning Wang,Yan-Ping Liu,Chen Chen,Hai-Bi Wang,Hui Huang,Wei-Feng Wu,Jia-Tao Lin,Yong-Kang Qiu,Chuan-Wu Zhang,Cheng-Hua Zhou,Yu-Qing Wu

Hippocampus 30:1112-1126 PubMed32543742

2020

Downregulation of hyperpolarization-activated cyclic nucleotide-gated channels (HCN) in the hippocampus of patients with medial temporal lobe epilepsy and hippocampal sclerosis (MTLE-HS).

Applications

Unspecified application

Species

Unspecified reactive species

Wanrong Lin,Jiaming Qin,Guanzhong Ni,Yinchao Li,Haitao Xie,Jiabin Yu,Hainan Li,Lisen Sui,Qiang Guo,Ziyan Fang,Liemin Zhou

Translational psychiatry 10:101 PubMed32198387

2020

The potential role of the HCN1 ion channel and BDNF-mTOR signaling pathways and synaptic transmission in the alleviation of PTSD.

Applications

Unspecified application

Species

Unspecified reactive species

Lianghui Ni,Yanling Xu,Sixuan Dong,Yujia Kong,Hong Wang,Guohua Lu,Yanyu Wang,Qi Li,Changjiang Li,Zhongde Du,Hongwei Sun,Lin Sun

Human gene therapy 30:590-600 PubMed30381971

2018

An AAV Dual Vector Strategy Ameliorates the Stargardt Phenotype in Adult Mice.

Applications

Unspecified application

Species

Unspecified reactive species

Michelle E McClements,Alun R Barnard,Mandeep S Singh,Peter Charbel Issa,Zhichun Jiang,Roxana A Radu,Robert E MacLaren

Frontiers in psychiatry 9:215 PubMed29896126

2018

Synaptic Ultrastructure Might Be Involved in HCN-Related BDNF mRNA in Withdrawal-Anxiety After Ethanol Dependence.

Applications

Unspecified application

Species

Unspecified reactive species

Lanwei Hou,Yujuan Guo,Bo Lian,Yanyu Wang,Changjiang Li,Gang Wang,Qi Li,Jinjing Pang,Hongwei Sun,Lin Sun

International urology and nephrology 50:639-645 PubMed29460132

2018

The role of HCN channels in peristaltic dysfunction in human ureteral tuberculosis.

Applications

WB, ICC/IF

Species

Unspecified reactive species, Unspecified reactive species

Fan He,Zhenxing Yang,Xingyou Dong,Zhenqiang Fang,Qian Liu,Xiaoyan Hu,Shanhong Yi,Longkun Li
View all publications

Product promise

We are committed to supporting your work with high-quality reagents, and we're here for you every step of the way. In the unlikely event that one of our products does not perform as expected, you're protected by our Product Promise.
For full details, please see our Terms & Conditions

Please note: All products are 'FOR RESEARCH USE ONLY. NOT FOR USE IN DIAGNOSTIC OR THERAPEUTIC PROCEDURES'.

For licensing inquiries, please contact partnerships@abcam.com