JavaScript is disabled in your browser. Please enable JavaScript to view this website.
AB255830

Anti-HCN2 antibody [4A6] - BSA and Azide free

Be the first to review this product! Submit a review

|

(1 Publication)

Rat Recombinant Monoclonal HCN2 antibody. Carrier free. Suitable for IHC-P and reacts with Mouse, Rat, Human samples. Cited in 1 publication.

View Alternative Names

BCNG2, HCN2, Potassium/sodium hyperpolarization-activated cyclic nucleotide-gated channel 2, Brain cyclic nucleotide-gated channel 2, BCNG-2

3 Images
Immunohistochemistry (Formalin/PFA-fixed paraffin-embedded sections) - Anti-HCN2 antibody [4A6] - BSA and Azide free (AB255830)
  • IHC-P

Supplier Data

Immunohistochemistry (Formalin/PFA-fixed paraffin-embedded sections) - Anti-HCN2 antibody [4A6] - BSA and Azide free (AB255830)

Immunohistochemical analysis of paraffin-embedded human cerebrum tissue labeling HCN2 with ab252836 at 1.235μg/ml, followed by ready to use Goat Anti-Rat IgG H&L (HRP polymer) (ab214882). Positive staining on human cerebrum tissue is observed. The section was incubated with ab252836 for 30mins at RT. The immunostaining staining was performed on a Leica Biosystems BOND® RX instrument. Counterstained with hematoxylin.

Secondary antibody only control : Used PBS instead of primary antibody, followed by ready to use secondary.

Heat mediated antigen retrieval with Tris-EDTA buffer (pH 9.0, epitope retrieval solution 2) for 20 mins.

This data was developed using the same antibody clone in a different buffer formulation containing PBS, BSA, and sodium azide (ab252836).

Immunohistochemistry (Formalin/PFA-fixed paraffin-embedded sections) - Anti-HCN2 antibody [4A6] - BSA and Azide free (AB255830)
  • IHC-P

Supplier Data

Immunohistochemistry (Formalin/PFA-fixed paraffin-embedded sections) - Anti-HCN2 antibody [4A6] - BSA and Azide free (AB255830)

Immunohistochemical analysis of paraffin-embedded mouse cerebrum tissue labeling HCN2 with ab252836 at 1.235μg/ml, followed by ready to use Goat Anti-Rat IgG H&L (HRP polymer) (ab214882). Positive staining on mouse cerebrum tissue is observed. The section was incubated with ab252836 for 30mins at RT. The immunostaining staining was performed on a Leica Biosystems BOND® RX instrument. Counterstained with hematoxylin.

Secondary antibody only control : Used PBS instead of primary antibody, followed by ready to use secondary.

Heat mediated antigen retrieval with Tris-EDTA buffer (pH 9.0, epitope retrieval solution 2) for 20 mins.

This data was developed using the same antibody clone in a different buffer formulation containing PBS, BSA, and sodium azide (ab252836).

Immunohistochemistry (Formalin/PFA-fixed paraffin-embedded sections) - Anti-HCN2 antibody [4A6] - BSA and Azide free (AB255830)
  • IHC-P

Supplier Data

Immunohistochemistry (Formalin/PFA-fixed paraffin-embedded sections) - Anti-HCN2 antibody [4A6] - BSA and Azide free (AB255830)

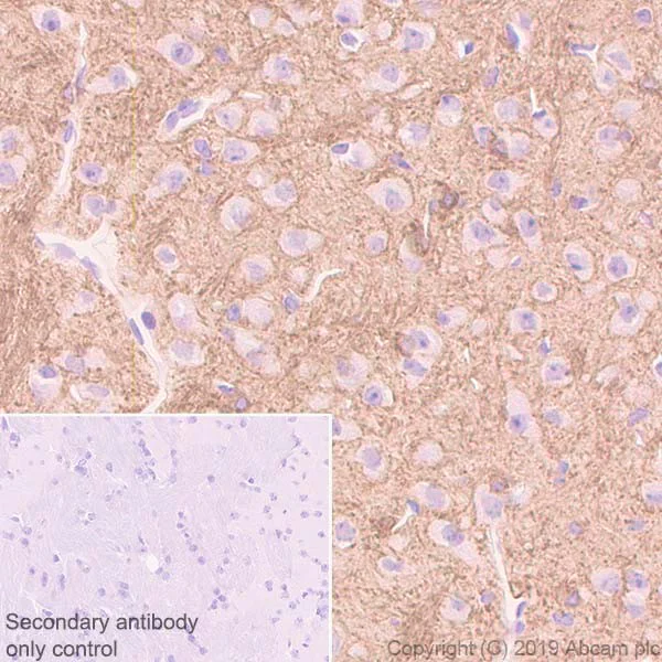
Immunohistochemical analysis of paraffin-embedded rat cerebrum tissue labeling HCN2 with ab252836 at 1.235μg/ml, followed by ready to use Goat Anti-Rat IgG H&L (HRP polymer) (ab214882). Positive staining on rat cerebrum tissue is observed. The section was incubated with ab252836 for 30mins at RT. The immunostaining staining was performed on a Leica Biosystems BOND® RX instrument. Counterstained with hematoxylin.

Secondary antibody only control : Used PBS instead of primary antibody, followed by ready to use secondary.

Heat mediated antigen retrieval with Tris-EDTA buffer (pH 9.0, epitope retrieval solution 2) for 20 mins.

This data was developed using the same antibody clone in a different buffer formulation containing PBS, BSA, and sodium azide (ab252836).

Key facts

Host species

Rat

Clonality

Monoclonal

Clone number

4A6

Isotype

IgG1

Carrier free

Yes

Reacts with

Mouse, Rat, Human

Applications

IHC-P

applications

Immunogen

The exact immunogen used to generate this antibody is proprietary information.

Reactivity data

{ "title": "Reactivity Data", "filters": { "stats": ["", "Species", "Dilution Info", "Notes"], "tabs": { "all-applications": {"fullname" : "All Applications", "shortname": "All Applications"}, "WB" : {"fullname" : "Western blot", "shortname":"WB"}, "IHCP" : {"fullname" : "Immunohistochemistry (Formalin/PFA-fixed paraffin-embedded sections)", "shortname":"IHC-P"} }, "product-promise": { "all": "all", "testedAndGuaranteed": "tested", "guaranteed": "expected", "predicted": "predicted", "notRecommended": "not-recommended" } }, "values": { "Human": { "WB-species-checked": "notRecommended", "WB-species-dilution-info": "", "WB-species-notes": "<p></p>", "IHCP-species-checked": "testedAndGuaranteed", "IHCP-species-dilution-info": "1.235 µg/mL", "IHCP-species-notes": "<p><strong>Use at 1:200 dilution for human, 1:500 dilution for mouse and rat</strong>.</p>" }, "Mouse": { "WB-species-checked": "notRecommended", "WB-species-dilution-info": "", "WB-species-notes": "<p></p>", "IHCP-species-checked": "testedAndGuaranteed", "IHCP-species-dilution-info": "1.235 µg/mL", "IHCP-species-notes": "<p><strong>Use at 1:200 dilution for human, 1:500 dilution for mouse and rat</strong>.</p>" }, "Rat": { "WB-species-checked": "notRecommended", "WB-species-dilution-info": "", "WB-species-notes": "<p></p>", "IHCP-species-checked": "testedAndGuaranteed", "IHCP-species-dilution-info": "1.235 µg/mL", "IHCP-species-notes": "<p><strong>Use at 1:200 dilution for human, 1:500 dilution for mouse and rat</strong>.</p>" } } }

Product details

ab255830 is the carrier-free version of ab255836.

What are the advantages of a recombinant monoclonal antibody?
This product is a recombinant monoclonal antibody, which offers several advantages including:

  • - High batch-to-batch consistency and reproducibility
  • - Improved sensitivity and specificity
  • - Long-term security of supply
  • - Animal-free batch production

For more information, read more on recombinant antibodies.

Want a custom formulation?
This antibody clone is manufactured by Abcam. If you require a custom buffer formulation or conjugation for your experiments, please contact orders@abcam.com

Conjugation ready
Our carrier-free antibodies are typically supplied in a PBS-only formulation, purified and free of BSA, sodium azide and glycerol. This conjugation-ready format is designed for use with fluorochromes, metal isotopes, oligonucleotides, and enzymes, which makes them ideal for antibody labelling, functional and cell-based assays, flow-based assays (e.g. mass cytometry) and Multiplex Imaging applications.

Use our conjugation kits for antibody conjugates that are ready-to-use in as little as 20 minutes with 1 minute hands-on-time and 100% antibody recovery: available for fluorescent dyes, HRP, biotin and gold.

Compatibility
This product is compatible with the Maxpar® Antibody Labeling Kit from Fluidigm, without the need for antibody preparation. Maxpar® is a trademark of Fluidigm Canada Inc.

Properties and storage information

Form
Liquid
Purification technique
Affinity purification Protein A
Storage buffer
pH: 7.2 - 7.4 Constituents: PBS
Shipped at conditions
Blue Ice
Appropriate short-term storage conditions
+4°C
Appropriate long-term storage conditions
+4°C
Storage information
Do Not Freeze

Supplementary information

This supplementary information is collated from multiple sources and compiled automatically.

HCN2 also known as hyperpolarization-activated cyclic nucleotide-gated channel 2 is a protein that forms part of the HCN channel family. These channels are responsible for generating the I_h current in cardiac and neuronal tissues. The HCN2 protein has a molecular mass of approximately 97 kDa. It is prominently expressed in the heart and brain particularly in the sinoatrial node of the heart and various neurons in the brain's central nervous system.
Biological function summary

The HCN2 channel influences the rhythmic activity of cardiac pacemaker cells and certain types of neurons. It belongs to a larger complex of ion channels that contribute to the cardiac pacemaking process and synchronization of neuronal firing. The HCN channels facilitate the flow of potassium and sodium ions which is critical for modulating electrical excitability and rhythmic oscillations in these cells.

Pathways

HCN2 plays a significant role in both cardiac and neurological pathways. In the cardiac context it is part of the heart rate regulation pathway cooperating with other proteins such as HCN4 for managing the heart's rhythmic cycle. Neurologically HCN2 influences the pathway responsible for synaptic transmission and neuronal excitability interfacing with proteins like TRIP8b which modulate the activity of HCN channels in the neurons.

HCN2 shows connections to conditions such as cardiac arrhythmias and pain disorders. Disruptions in HCN2 function may lead to irregular heartbeats or contribute to chronic pain disorders due to its role in modulating electrical excitability. In pain-related pathways it interacts with other ion channels like Nav1.7 which are critical in the pathway of pain signaling and transmission across neurons.

Product protocols

For this product, it's our understanding that no specific protocols are required. You can visit:

Target data

Hyperpolarization-activated ion channel that is permeable to sodium and potassium ions. Displays lower selectivity for K(+) over Na(+) ions (PubMed : 10228147, PubMed : 22006928). Contributes to the native pacemaker currents in heart (If) and in neurons (Ih) (PubMed : 10228147, PubMed : 10524219). Can also transport ammonium in the distal nephron (By similarity). Involved in the initiation of neuropathic pain in sensory neurons (By similarity).
See full target information HCN2

Publications (1)

Recent publications for all applications. Explore the full list and refine your search

Cartilage :19476035251323601 PubMed40119525

2025

Transcriptional Analysis Reveals That the FHL1/JAK-STAT Pathway is Involved in Acute Cartilage Injury in Mice.

Applications

Unspecified application

Species

Unspecified reactive species

Jian Lu,Zhenhua Shi,Lindan Geng,Dong Ren,Haowei Hou,Guowei Ren,Shuangquan Yao,Pengcheng Wang
View all publications

Product promise

We are committed to supporting your work with high-quality reagents, and we're here for you every step of the way. In the unlikely event that one of our products does not perform as expected, you're protected by our Product Promise.
For full details, please see our Terms & Conditions

Please note: All products are 'FOR RESEARCH USE ONLY. NOT FOR USE IN DIAGNOSTIC OR THERAPEUTIC PROCEDURES'.

For licensing inquiries, please contact partnerships@abcam.com