JavaScript is disabled in your browser. Please enable JavaScript to view this website.
AB313873

Anti-HCN2 antibody [EPR26389-129]

  • BOND RX™ Validated
  • 20ul selling size
  • RabMAb
  • Recombinant
  • What is this?

Be the first to review this product! Submit a review

|

(1 Publication)

Rabbit Recombinant Monoclonal HCN2 antibody. Suitable for IHC-P, IP, WB, IHC-Fr and reacts with Human, Mouse, Rat samples. Cited in 1 publication.

View Alternative Names

BCNG2, HCN2, Potassium/sodium hyperpolarization-activated cyclic nucleotide-gated channel 2, Brain cyclic nucleotide-gated channel 2, BCNG-2

16 Images
Immunohistochemistry (Formalin/PFA-fixed paraffin-embedded sections) - Anti-HCN2 antibody [EPR26389-129] (AB313873)
  • IHC-P

Supplier Data

Immunohistochemistry (Formalin/PFA-fixed paraffin-embedded sections) - Anti-HCN2 antibody [EPR26389-129] (AB313873)

Immunohistochemical analysis of paraffin-embedded Human skeletal muscle tissue labeling HCN2 with ab313873 at 1/100 (5.05 µg/ml) followed by a ready to use LeicaDS9800 (Bond™ Polymer Refine Detection). Negative control : no staining on human skeletal muscle. The section was incubated with ab313873 for 30 mins at room temperature. The immunostaining was performed on a Leica Biosystems BOND® RX instrument Counterstained with Hematoxylin. Secondary antibody only control : Secondary antibody is a ready to use LeicaDS9800 (Bond™ Polymer Refine Detection).Heat mediated antigen retrieval was performed with Tris-EDTA buffer (pH 9.0, Epitope Retrieval Solution2) for 20 mins

Immunohistochemistry (Formalin/PFA-fixed paraffin-embedded sections) - Anti-HCN2 antibody [EPR26389-129] (AB313873)
  • IHC-P

Supplier Data

Immunohistochemistry (Formalin/PFA-fixed paraffin-embedded sections) - Anti-HCN2 antibody [EPR26389-129] (AB313873)

Immunohistochemical analysis of paraffin-embedded Human cerebrum tissue labeling HCN2 with ab313873 at 1/100 (5.05 µg/ml) followed by a ready to use LeicaDS9800 (Bond™ Polymer Refine Detection). Positive staining on human cerebrum. The section was incubated with ab313873 for 30 mins at room temperature. The immunostaining was performed on a Leica Biosystems BOND® RX instrument Counterstained with Hematoxylin. Secondary antibody only control : Secondary antibody is a ready to use LeicaDS9800 (Bond™ Polymer Refine Detection).Heat mediated antigen retrieval was performed with Tris-EDTA buffer (pH 9.0, Epitope Retrieval Solution2) for 20 mins

Immunohistochemistry (Formalin/PFA-fixed paraffin-embedded sections) - Anti-HCN2 antibody [EPR26389-129] (AB313873)
  • IHC-P

Supplier Data

Immunohistochemistry (Formalin/PFA-fixed paraffin-embedded sections) - Anti-HCN2 antibody [EPR26389-129] (AB313873)

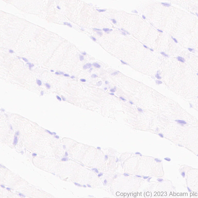
Immunohistochemical analysis of paraffin-embedded Rat skeletal muscle tissue labeling HCN2 with ab313873 at 1/100 (5.05 µg/ml) followed by a ready to use LeicaDS9800 (Bond™ Polymer Refine Detection). Negative control : no staining on rat skeletal muscle. The section was incubated with ab313873 for 30 mins at room temperature. The immunostaining was performed on a Leica Biosystems BOND® RX instrument Counterstained with Hematoxylin. Secondary antibody only control : Secondary antibody is a ready to use LeicaDS9800 (Bond™ Polymer Refine Detection).Heat mediated antigen retrieval was performed with Tris-EDTA buffer (pH 9.0, Epitope Retrieval Solution2) for 20 mins

Immunohistochemistry (Formalin/PFA-fixed paraffin-embedded sections) - Anti-HCN2 antibody [EPR26389-129] (AB313873)
  • IHC-P

Supplier Data

Immunohistochemistry (Formalin/PFA-fixed paraffin-embedded sections) - Anti-HCN2 antibody [EPR26389-129] (AB313873)

Immunohistochemical analysis of paraffin-embedded Mouse skeletal muscle tissue labeling HCN2 with ab313873 at 1/100 (5.05 µg/ml) followed by a ready to use LeicaDS9800 (Bond™ Polymer Refine Detection). Negative control : no staining on mouse skeletal muscle. The section was incubated with ab313873 for 30 mins at room temperature. The immunostaining was performed on a Leica Biosystems BOND® RX instrument Counterstained with Hematoxylin. Secondary antibody only control : Secondary antibody is a ready to use LeicaDS9800 (Bond™ Polymer Refine Detection).Heat mediated antigen retrieval was performed with Tris-EDTA buffer (pH 9.0, Epitope Retrieval Solution2) for 20 mins

Immunohistochemistry (Formalin/PFA-fixed paraffin-embedded sections) - Anti-HCN2 antibody [EPR26389-129] (AB313873)
  • IHC-P

Supplier Data

Immunohistochemistry (Formalin/PFA-fixed paraffin-embedded sections) - Anti-HCN2 antibody [EPR26389-129] (AB313873)

Immunohistochemical analysis of paraffin-embedded Mouse cerebrum tissue labeling HCN2 with ab313873 at 1/100 (5.05 µg/ml) followed by a ready to use LeicaDS9800 (Bond™ Polymer Refine Detection). Positive staining on mouse cerebrum (PMID : 14991560). The section was incubated with ab313873 for 30 mins at room temperature. The immunostaining was performed on a Leica Biosystems BOND® RX instrument Counterstained with Hematoxylin. Secondary antibody only control : Secondary antibody is a ready to use LeicaDS9800 (Bond™ Polymer Refine Detection). Heat mediated antigen retrieval was performed with Tris-EDTA buffer (pH 9.0, Epitope Retrieval Solution2) for 20 mins

Immunohistochemistry (Formalin/PFA-fixed paraffin-embedded sections) - Anti-HCN2 antibody [EPR26389-129] (AB313873)
  • IHC-P

Supplier Data

Immunohistochemistry (Formalin/PFA-fixed paraffin-embedded sections) - Anti-HCN2 antibody [EPR26389-129] (AB313873)

Immunohistochemical analysis of paraffin-embedded Rat cerebrum tissue labeling HCN2 with ab313873 at 1/100 (5.05 µg/ml) followed by a ready to use LeicaDS9800 (Bond™ Polymer Refine Detection). Positive staining on rat cerebrum (PMID : 14991560). The section was incubated with ab313873 for 30 mins at room temperature. The immunostaining was performed on a Leica Biosystems BOND® RX instrument Counterstained with Hematoxylin. Secondary antibody only control : Secondary antibody is a ready to use LeicaDS9800 (Bond™ Polymer Refine Detection).Heat mediated antigen retrieval was performed with Tris-EDTA buffer (pH 9.0, Epitope Retrieval Solution2) for 20 mins

Immunohistochemistry (Frozen sections) - Anti-HCN2 antibody [EPR26389-129] (AB313873)
  • IHC-Fr

Supplier Data

Immunohistochemistry (Frozen sections) - Anti-HCN2 antibody [EPR26389-129] (AB313873)

Immunohistochemical analysis of 4% PFA-fixed, 0.2% Triton X-100 permeabilized frozen Rat cerebrum (fresh) tissue labeling HCN2 with ab313873 at 1/50 (10.1 µg/ml) dilution followed by ab150081 Goat Anti-Rabbit IgG H&L (Alexa Fluor® 488) preadsorbed at 1/1000 2 µg/ml dilution (Green). Confocal image showing positive staining on rat cerebrum. The nuclear counterstain was DAPI (Blue). The section was incubated with ab313873 for 60 mins at room temperature. The section was then mounted using Fluoromount®.The immunostaining was performed on a Leica Biosystems BOND® RX instrument. Image was taken with a confocal microscope (Leica-Microsystems, TCS SP8). is observed. The nuclear counterstain was DAPI (Blue). Secondary antibody control : Secondary antibody is ab150081 Goat Anti-Rabbit IgG H&L (Alexa Fluor® 488) preadsorbed at 1/1000 2 µg/ml dilution.

Immunohistochemistry (Frozen sections) - Anti-HCN2 antibody [EPR26389-129] (AB313873)
  • IHC-Fr

Supplier Data

Immunohistochemistry (Frozen sections) - Anti-HCN2 antibody [EPR26389-129] (AB313873)

Immunohistochemical analysis of 4% PFA-fixed, 0.2% Triton X-100 permeabilized frozen Rat skeletal muscle (fresh) tissue labeling HCN2 with ab313873 at 1/50 (10.1 µg/ml) dilution followed by ab150081 Goat Anti-Rabbit IgG H&L (Alexa Fluor® 488) preadsorbed at 1/1000 2 µg/ml dilution (Green). Negative control : confocal image showing no staining on rat skeletal muscle (PMID : 10228147). The nuclear counterstain was DAPI (Blue). The section was incubated with ab313873 for 60 mins at room temperature. The section was then mounted using Fluoromount®.The immunostaining was performed on a Leica Biosystems BOND® RX instrument. Image was taken with a confocal microscope (Leica-Microsystems, TCS SP8). is observed. The nuclear counterstain was DAPI (Blue). Secondary antibody control : Secondary antibody is ab150081 Goat Anti-Rabbit IgG H&L (Alexa Fluor® 488) preadsorbed at 1/1000 2 µg/ml dilution.

Immunohistochemistry (Frozen sections) - Anti-HCN2 antibody [EPR26389-129] (AB313873)
  • IHC-Fr

Supplier Data

Immunohistochemistry (Frozen sections) - Anti-HCN2 antibody [EPR26389-129] (AB313873)

Immunohistochemical analysis of 4% PFA-fixed, 0.2% Triton X-100 permeabilized frozen Mouse skeletal muscle (fresh) tissue labeling HCN2 with ab313873 at 1/50 (10.1 µg/ml) dilution followed by ab150081 Goat Anti-Rabbit IgG H&L (Alexa Fluor® 488) preadsorbed at 1/1000 2 µg/ml dilution (Green). Negative control : confocal image showing no staining on mouse skeletal muscle (PMID : 10228147). The nuclear counterstain was DAPI (Blue). The section was incubated with ab313873 for 60 mins at room temperature. The section was then mounted using Fluoromount®.The immunostaining was performed on a Leica Biosystems BOND® RX instrument. Image was taken with a confocal microscope (Leica-Microsystems, TCS SP8). is observed. The nuclear counterstain was DAPI (Blue). Secondary antibody control : Secondary antibody is ab150081 Goat Anti-Rabbit IgG H&L (Alexa Fluor® 488) preadsorbed at 1/1000 2 µg/ml dilution.

Immunohistochemistry (Frozen sections) - Anti-HCN2 antibody [EPR26389-129] (AB313873)
  • IHC-Fr

Supplier Data

Immunohistochemistry (Frozen sections) - Anti-HCN2 antibody [EPR26389-129] (AB313873)

Immunohistochemical analysis of 4% PFA-fixed, 0.2% Triton X-100 permeabilized frozen Mouse cerebrum (fresh) tissue labeling HCN2 with ab313873 at 1/50 (10.1 µg/ml) dilution followed by ab150081 Goat Anti-Rabbit IgG H&L (Alexa Fluor® 488) preadsorbed at 1/1000 2 µg/ml dilution (Green). Confocal image showing positive staining on mouse cerebrum. The nuclear counterstain was DAPI (Blue). The section was incubated with ab313873 for 60 mins at room temperature. The section was then mounted using Fluoromount®.The immunostaining was performed on a Leica Biosystems BOND® RX instrument. Image was taken with a confocal microscope (Leica-Microsystems, TCS SP8). is observed. The nuclear counterstain was DAPI (Blue). Secondary antibody control : Secondary antibody is ab150081 Goat Anti-Rabbit IgG H&L (Alexa Fluor® 488) preadsorbed at 1/1000 2 µg/ml dilution.

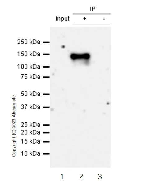
Immunoprecipitation - Anti-HCN2 antibody [EPR26389-129] (AB313873)
  • IP

Supplier Data

Immunoprecipitation - Anti-HCN2 antibody [EPR26389-129] (AB313873)

HCN2 was immunoprecipitated from 0.35 mg Mouse brain tissue lysate with ab313873 at 1/30 dilution (2 µg in 0.35mg lysates). Western blot was performed on the immunoprecipitate using ab313873 at 1/1000 dilution. VeriBlot for IP secondary antibody(HRP)(ab131366) was used at 1/5000 dilution. Lane 1 : Mouse brain tissue lysate Lane 2 : ab313873 IP in Mouse brain tissue lysate Lane 3 : Rabbit monoclonal IgG (ab172730) instead of ab313873 in mouse brain tissue lysate Blocking and dilution buffer and concentration : 5% NFDM/TBST. Exposure time : 93 seconds

All lanes:

Immunoprecipitation - Anti-HCN2 antibody [EPR26389-129] (ab313873) at 1/30 dilution

All lanes:

Mouse brain tissue lysate

Secondary

All lanes:

Immunoprecipitation - VeriBlot for IP Detection Reagent (HRP) (<a href='/en-us/products/reagents/veriblot-for-ip-detection-reagent-hrp-ab131366'>ab131366</a>) at 1/5000 dilution

false

Exposure time: 93s

Western blot - Anti-HCN2 antibody [EPR26389-129] (AB313873)
  • WB

Lab

Western blot - Anti-HCN2 antibody [EPR26389-129] (AB313873)

Blocking and diluting buffer and concentration : 5% NFDM/TBST.

Negative control : lung (PMID : 10228147).

Samples are non-boiled as boiling may cause protein aggregation.

All lanes:

Western blot - Anti-HCN2 antibody [EPR26389-129] (ab313873) at 1/1000 dilution

Lanes 1 and 5:

Mouse brain tissue lysate at 20 µg

Lane 2:

Mouse lung tissue lysate at 20 µg

Lanes 3 and 6:

Rat brain tissue lysate at 20 µg

Lane 4:

Rat lung tissue lysate at 20 µg

Secondary

All lanes:

Western blot - Goat Anti-Rabbit IgG H&L (HRP) (<a href='/en-us/products/secondary-antibodies/goat-rabbit-igg-h-l-hrp-ab97051'>ab97051</a>) at 1/20000 dilution

Observed band size: 100 kDa,110 kDa

false

Exposure time: 180s

Western blot - Anti-HCN2 antibody [EPR26389-129] (AB313873)
  • WB

Supplier Data

Western blot - Anti-HCN2 antibody [EPR26389-129] (AB313873)

Blocking and diluting buffer and concentration : 5% NFDM/TBST.

Negative control : liver (PMID : 10228147, PMID : 9630217); spleen, testis (PMID : 9630217).

This antibody detects bands at ~100 kDa and ~110 kDa representing the non-glycosylated and glycosylated form of HCN2(PMID : 19236845)

This blot was developed using a high sensitivity ECL substrate. The high-sensitivity ECL substrate used allows for the detection of proteins in the mid-femtogram range.

In Western blot, Anti-GAPDH antibody [EPR16891] - Loading Control (ab181602) staining at 1/200000 dilution.

All lanes:

Western blot - Anti-HCN2 antibody [EPR26389-129] (ab313873) at 1/1000 dilution

Lane 1:

Rat brain tissue lysate at 20 µg

Lane 2:

Rat liver tissue lysate at 20 µg

Lane 3:

Rat testis tissue lysate at 20 µg

Lane 4:

Rat spleen tissue lysate at 20 µg

Secondary

All lanes:

Western blot - Goat Anti-Rabbit IgG H&L (HRP) (<a href='/en-us/products/secondary-antibodies/goat-rabbit-igg-h-l-hrp-ab97051'>ab97051</a>) at 1/20000 dilution

Observed band size: 97 kDa

true

Exposure time: 81s

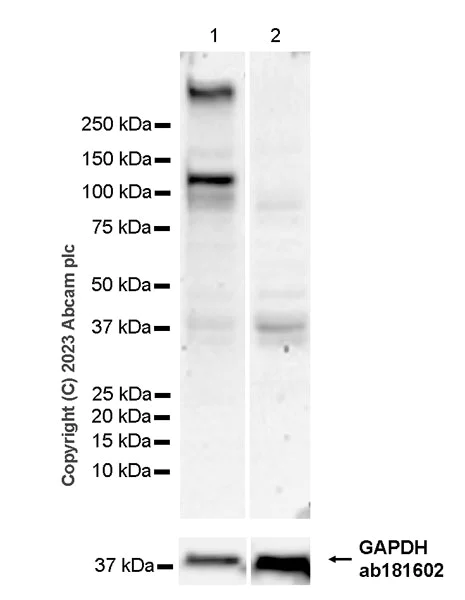
Western blot - Anti-HCN2 antibody [EPR26389-129] (AB313873)
  • WB

Supplier Data

Western blot - Anti-HCN2 antibody [EPR26389-129] (AB313873)

Blocking and diluting buffer and concentration : 5% NFDM/TBST.

Negative control : lung, skeletal muscle (PMID : 10228147, PMID : 9630217); testis (PMID : 9630217).

Bands above 250 kDa are aggregates of HCN2.

This antibody detects bands at ~100 kDa and ~110 kDa representing the non-glycosylated and glycosylated form of HCN2(PMID : 19236845)

This blot was developed using a high sensitivity ECL substrate. The high-sensitivity ECL substrate used allows for the detection of proteins in the mid-femtogram range.

In Western blot, Anti-GAPDH antibody [EPR16891] - Loading Control (ab181602) staining at 1/200000 dilution.

All lanes:

Western blot - Anti-HCN2 antibody [EPR26389-129] (ab313873) at 1/1000 dilution

Lane 1:

Mouse brain tissue lysate at 20 µg

Lane 2:

Mouse lung tissue lysate at 20 µg

Lane 3:

Mouse skeletal muscle tissue lysate at 20 µg

Lane 4:

Mouse testis tissue lysate at 20 µg

Secondary

All lanes:

Western blot - Goat Anti-Rabbit IgG H&L (HRP) (<a href='/en-us/products/secondary-antibodies/goat-rabbit-igg-h-l-hrp-ab97051'>ab97051</a>) at 1/20000 dilution

Observed band size: 110 kDa,100 kDa

true

Exposure time: 3min

Western blot - Anti-HCN2 antibody [EPR26389-129] (AB313873)
  • WB

Supplier Data

Western blot - Anti-HCN2 antibody [EPR26389-129] (AB313873)

Blocking and diluting buffer and concentration : 5% NFDM/TBST.

Negative control : skeletal muscle (PMID : 10228147, PMID : 9630217)

Bands above 250 kDa are aggregates of HCN2.

This antibody detects bands at ~100 kDa and ~110 kDa representing the non-glycosylated and glycosylated form of HCN2(PMID : 19236845)

This blot was developed using a high sensitivity ECL substrate. The high-sensitivity ECL substrate used allows for the detection of proteins in the mid-femtogram range.

In Western blot, Anti-GAPDH antibody [EPR16891] - Loading Control (ab181602) staining at 1/200000 dilution.

All lanes:

Western blot - Anti-HCN2 antibody [EPR26389-129] (ab313873) at 1/1000 dilution

Lane 1:

Rat brain tissue lysate at 20 µg

Lane 2:

Rat skeletal muscle tissue lysate at 20 µg

Secondary

All lanes:

Western blot - Goat Anti-Rabbit IgG H&L (HRP) (<a href='/en-us/products/secondary-antibodies/goat-rabbit-igg-h-l-hrp-ab97051'>ab97051</a>) at 1/20000 dilution

Observed band size: 110 kDa,100 kDa

true

Exposure time: 3min

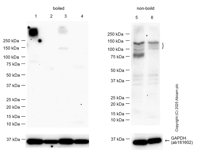
Western blot - Anti-HCN2 antibody [EPR26389-129] (AB313873)
  • WB

Supplier Data

Western blot - Anti-HCN2 antibody [EPR26389-129] (AB313873)

Blocking and diluting buffer and concentration : 5% NFDM/TBST.

Bands above 250 kDa are aggregates of HCN2.

This antibody detects bands at ~100 kDa and ~110 kDa representing the non-glycosylated and glycosylated form of HCN2(PMID : 19236845).

This blot was developed using a high sensitivity ECL substrate. The high-sensitivity ECL substrate used allows for the detection of proteins in the mid-femtogram range.

All lanes:

Western blot - Anti-HCN2 antibody [EPR26389-129] (ab313873) at 1/1000 dilution

Lane 1:

Mouse hippocampus tissue lysate at 20 µg

Lane 2:

Untreated mouse brain tissue lysate at 20 µg

Lane 3:

Mouse brain tissue lysate treated with Protein treated with Peptide:N-glycosidase F (PNGase F) at 20 µg

Secondary

All lanes:

Western blot - Goat Anti-Rabbit IgG H&L (HRP) (<a href='/en-us/products/secondary-antibodies/goat-rabbit-igg-h-l-hrp-ab97051'>ab97051</a>) at 1/20000 dilution

Observed band size: 100 kDa,110 kDa

true

Exposure time: 3min

  • Carrier free

    Anti-HCN2 antibody [EPR26389-129] - BSA and Azide free

Key facts

Host species

Rabbit

Clonality

Monoclonal

Clone number

EPR26389-129

Isotype

IgG

Carrier free

No

Reacts with

Human, Mouse, Rat

Applications

IHC-P, IHC-Fr, WB, IP

applications

Immunogen

The exact immunogen used to generate this antibody is proprietary information.

Reactivity data

{ "title": "Reactivity Data", "filters": { "stats": ["", "Species", "Dilution Info", "Notes"], "tabs": { "all-applications": {"fullname" : "All Applications", "shortname": "All Applications"}, "IHCP" : {"fullname" : "Immunohistochemistry (Formalin/PFA-fixed paraffin-embedded sections)", "shortname":"IHC-P"}, "IP" : {"fullname" : "Immunoprecipitation", "shortname":"IP"}, "WB" : {"fullname" : "Western blot", "shortname":"WB"}, "IHCFr" : {"fullname" : "Immunohistochemistry (Frozen sections)", "shortname":"IHC-Fr"}, "FlowCytIntra" : {"fullname" : "Flow Cytometry (Intracellular)", "shortname":"Flow Cyt (Intra)"}, "ICCIF" : {"fullname" : "Immunocytochemistry/ Immunofluorescence", "shortname":"ICC/IF"} }, "product-promise": { "all": "all", "testedAndGuaranteed": "tested", "guaranteed": "expected", "predicted": "predicted", "notRecommended": "not-recommended" } }, "values": { "Human": { "IHCP-species-checked": "testedAndGuaranteed", "IHCP-species-dilution-info": "1/100", "IHCP-species-notes": "<p></p> Perform heat-mediated antigen retrieval with Tris/EDTA buffer pH 9.0 before commencing with IHC staining protocol.", "IP-species-checked": "guaranteed", "IP-species-dilution-info": "", "IP-species-notes": "", "WB-species-checked": "guaranteed", "WB-species-dilution-info": "", "WB-species-notes": "", "IHCFr-species-checked": "guaranteed", "IHCFr-species-dilution-info": "", "IHCFr-species-notes": "", "FlowCytIntra-species-checked": "notRecommended", "FlowCytIntra-species-dilution-info": "", "FlowCytIntra-species-notes": "", "ICCIF-species-checked": "notRecommended", "ICCIF-species-dilution-info": "", "ICCIF-species-notes": "" }, "Mouse": { "IHCP-species-checked": "testedAndGuaranteed", "IHCP-species-dilution-info": "1/100", "IHCP-species-notes": "<p></p> Perform heat-mediated antigen retrieval with Tris/EDTA buffer pH 9.0 before commencing with IHC staining protocol.", "IP-species-checked": "testedAndGuaranteed", "IP-species-dilution-info": "1/30", "IP-species-notes": "<p></p>", "WB-species-checked": "testedAndGuaranteed", "WB-species-dilution-info": "1/1000", "WB-species-notes": "<p></p>", "IHCFr-species-checked": "testedAndGuaranteed", "IHCFr-species-dilution-info": "1/50", "IHCFr-species-notes": "<p></p>", "FlowCytIntra-species-checked": "notRecommended", "FlowCytIntra-species-dilution-info": "", "FlowCytIntra-species-notes": "<p></p>", "ICCIF-species-checked": "notRecommended", "ICCIF-species-dilution-info": "", "ICCIF-species-notes": "<p></p>" }, "Rat": { "IHCP-species-checked": "testedAndGuaranteed", "IHCP-species-dilution-info": "1/100", "IHCP-species-notes": "<p></p> Perform heat-mediated antigen retrieval with Tris/EDTA buffer pH 9.0 before commencing with IHC staining protocol.", "IP-species-checked": "guaranteed", "IP-species-dilution-info": "", "IP-species-notes": "", "WB-species-checked": "testedAndGuaranteed", "WB-species-dilution-info": "1/1000", "WB-species-notes": "<p></p>", "IHCFr-species-checked": "testedAndGuaranteed", "IHCFr-species-dilution-info": "1/50", "IHCFr-species-notes": "<p></p>", "FlowCytIntra-species-checked": "notRecommended", "FlowCytIntra-species-dilution-info": "", "FlowCytIntra-species-notes": "<p></p>", "ICCIF-species-checked": "notRecommended", "ICCIF-species-dilution-info": "", "ICCIF-species-notes": "<p></p>" } } }

Product details

Patented technology
Our RabMAb® technology is a patented hybridoma-based technology for making rabbit monoclonal antibodies. For details on our patents, please refer to RabMAb® patents.

What are the advantages of a recombinant monoclonal antibody?
This product is a recombinant monoclonal antibody, which offers several advantages including:

  • - High batch-to-batch consistency and reproducibility
  • - Improved sensitivity and specificity
  • - Long-term security of supply
  • - Animal-free batch production

For more information, read more on recombinant antibodies.

Properties and storage information

Form
Liquid
Purification technique
Affinity purification Protein A
Storage buffer
pH: 7.2 - 7.4 Preservative: 0.01% Sodium azide Constituents: PBS, 40% Glycerol (glycerin, glycerine), 0.05% BSA
Shipped at conditions
Blue Ice
Appropriate short-term storage duration
1-2 weeks
Appropriate short-term storage conditions
+4°C
Appropriate long-term storage conditions
-20°C
Aliquoting information
Upon delivery aliquot
Storage information
Avoid freeze / thaw cycle

Supplementary information

This supplementary information is collated from multiple sources and compiled automatically.

HCN2 also known as hyperpolarization-activated cyclic nucleotide-gated channel 2 is a protein that forms part of the HCN channel family. These channels are responsible for generating the I_h current in cardiac and neuronal tissues. The HCN2 protein has a molecular mass of approximately 97 kDa. It is prominently expressed in the heart and brain particularly in the sinoatrial node of the heart and various neurons in the brain's central nervous system.
Biological function summary

The HCN2 channel influences the rhythmic activity of cardiac pacemaker cells and certain types of neurons. It belongs to a larger complex of ion channels that contribute to the cardiac pacemaking process and synchronization of neuronal firing. The HCN channels facilitate the flow of potassium and sodium ions which is critical for modulating electrical excitability and rhythmic oscillations in these cells.

Pathways

HCN2 plays a significant role in both cardiac and neurological pathways. In the cardiac context it is part of the heart rate regulation pathway cooperating with other proteins such as HCN4 for managing the heart's rhythmic cycle. Neurologically HCN2 influences the pathway responsible for synaptic transmission and neuronal excitability interfacing with proteins like TRIP8b which modulate the activity of HCN channels in the neurons.

HCN2 shows connections to conditions such as cardiac arrhythmias and pain disorders. Disruptions in HCN2 function may lead to irregular heartbeats or contribute to chronic pain disorders due to its role in modulating electrical excitability. In pain-related pathways it interacts with other ion channels like Nav1.7 which are critical in the pathway of pain signaling and transmission across neurons.

Product protocols

For this product, it's our understanding that no specific protocols are required. You can visit:

Target data

Hyperpolarization-activated ion channel that is permeable to sodium and potassium ions. Displays lower selectivity for K(+) over Na(+) ions (PubMed : 10228147, PubMed : 22006928). Contributes to the native pacemaker currents in heart (If) and in neurons (Ih) (PubMed : 10228147, PubMed : 10524219). Can also transport ammonium in the distal nephron (By similarity). Involved in the initiation of neuropathic pain in sensory neurons (By similarity).
See full target information HCN2

Publications (1)

Recent publications for all applications. Explore the full list and refine your search

Alzheimer's research & therapy 17:55 PubMed40016780

2025

HCN2 deficiency correlates with memory deficits and hyperexcitability of dCA1 pyramidal neurons in Alzheimer's disease.

Applications

Unspecified application

Species

Unspecified reactive species

Xiaoqin Zhang,Yiping Zhang,Ting Zhang,Jing Wang,Chang Liu,Qing Shang,Xiaojie Wei,Huaqiang Zhu,Haowei Shen,Binggui Sun
View all publications

Product promise

We are committed to supporting your work with high-quality reagents, and we're here for you every step of the way. In the unlikely event that one of our products does not perform as expected, you're protected by our Product Promise.
For full details, please see our Terms & Conditions

Please note: All products are 'FOR RESEARCH USE ONLY. NOT FOR USE IN DIAGNOSTIC OR THERAPEUTIC PROCEDURES'.

For licensing inquiries, please contact partnerships@abcam.com