JavaScript is disabled in your browser. Please enable JavaScript to view this website.
AB313792

Anti-HCN3 antibody [EPR27844-43] - BSA and Azide free

Be the first to review this product! Submit a review

|

(0 Publication)

Rabbit Recombinant Monoclonal HCN3 antibody. Carrier free. Suitable for IHC-P and reacts with Human samples.

View Alternative Names

KIAA1535, HCN3, Potassium/sodium hyperpolarization-activated cyclic nucleotide-gated channel 3

4 Images
Immunohistochemistry (Formalin/PFA-fixed paraffin-embedded sections) - Anti-HCN3 antibody [EPR27844-43] - BSA and Azide free (AB313792)
  • IHC-P

Supplier Data

Immunohistochemistry (Formalin/PFA-fixed paraffin-embedded sections) - Anti-HCN3 antibody [EPR27844-43] - BSA and Azide free (AB313792)

This data was developed using ab313791, the same antibody clone in a different buffer formulation. Immunohistochemical analysis of paraffin-embedded Human cardiac muscle tissue labeling HCN3 with ab313791 at 1/5000 (0.105 ug/ml) followed by a ready to use LeicaDS9800 (Bond™ Polymer Refine Detection). Negative control : No staining on human cardiac muscle (PMID : 16043489). The section was incubated with ab313791 for 30 mins at room temperature.The immunostaining was performed on a Leica Biosystems BOND® RX instrument. Counterstained with Hematoxylin. Secondary antibody only control : Secondary antibody is a ready to use LeicaDS9800 (Bond™ Polymer Refine Detection). Heat mediated antigen retrieval was performed with Citrate buffer (pH 6.0, Epitope Retrieval Solution 1) for 20 mins.

Immunohistochemistry (Formalin/PFA-fixed paraffin-embedded sections) - Anti-HCN3 antibody [EPR27844-43] - BSA and Azide free (AB313792)
  • IHC-P

Supplier Data

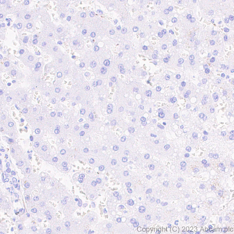
Immunohistochemistry (Formalin/PFA-fixed paraffin-embedded sections) - Anti-HCN3 antibody [EPR27844-43] - BSA and Azide free (AB313792)

This data was developed using ab313791, the same antibody clone in a different buffer formulation. Immunohistochemical analysis of paraffin-embedded Human liver tissue labeling HCN3 with ab313791 at 1/5000 (0.105 ug/ml) followed by a ready to use LeicaDS9800 (Bond™ Polymer Refine Detection). Negative control : No staining on human liver (PMID : 16043489). The section was incubated with ab313791 for 30 mins at room temperature. The immunostaining was performed on a Leica Biosystems BOND® RX instrument Counterstained with Hematoxylin. Secondary antibody only control : Secondary antibody is a ready to use LeicaDS9800 (Bond™ Polymer Refine Detection). Heat mediated antigen retrieval was performed with Citrate buffer (pH 6.0, Epitope Retrieval Solution 1) for 20 mins.

Immunohistochemistry (Formalin/PFA-fixed paraffin-embedded sections) - Anti-HCN3 antibody [EPR27844-43] - BSA and Azide free (AB313792)
  • IHC-P

Supplier Data

Immunohistochemistry (Formalin/PFA-fixed paraffin-embedded sections) - Anti-HCN3 antibody [EPR27844-43] - BSA and Azide free (AB313792)

This data was developed using ab313791, the same antibody clone in a different buffer formulation. Immunohistochemical analysis of paraffin-embedded human hypothalamus tissue labeling HCN3 with ab313791 at 1/5000 (0.105 ug/ml) followed by a ready to use LeicaDS9800 (Bond™ Polymer Refine Detection). Positive staining on human hypothalamus. The section was incubated with ab313791 for 30 mins at room temperature. The immunostaining was performed on a Leica Biosystems BOND® RX instrument. Counterstained with Hematoxylin. Secondary antibody only control : Secondary antibody is a ready to use LeicaDS9800 (Bond™ Polymer Refine Detection). Heat mediated antigen retrieval was performed with Citrate buffer (pH 6.0, Epitope Retrieval Solution 1) for 20 mins.

Immunohistochemistry (Formalin/PFA-fixed paraffin-embedded sections) - Anti-HCN3 antibody [EPR27844-43] - BSA and Azide free (AB313792)
  • IHC-P

Supplier Data

Immunohistochemistry (Formalin/PFA-fixed paraffin-embedded sections) - Anti-HCN3 antibody [EPR27844-43] - BSA and Azide free (AB313792)

This data was developed using ab313791, the same antibody clone in a different buffer formulation. Immunohistochemical analysis of paraffin-embedded human cerebrum tissue labeling HCN3 with ab313791 at 1/5000 (0.105 ug/ml) followed by a ready to use LeicaDS9800 (Bond™ Polymer Refine Detection). Positive staining on human cerebrum (PMID : 16043489). The section was incubated with ab313791 for 30 mins at room temperature. The immunostaining was performed on a Leica Biosystems BOND® RX instrument. Counterstained with Hematoxylin. Secondary antibody only control : Secondary antibody is a ready to use LeicaDS9800 (Bond™ Polymer Refine Detection). Heat mediated antigen retrieval was performed with Citrate buffer (pH 6.0, Epitope Retrieval Solution 1) for 20 mins.

Key facts

Host species

Rabbit

Clonality

Monoclonal

Clone number

EPR27844-43

Isotype

IgG

Carrier free

Yes

Reacts with

Human

Applications

IHC-P

applications

Immunogen

The exact immunogen used to generate this antibody is proprietary information.

Reactivity data

{ "title": "Reactivity Data", "filters": { "stats": ["", "Species", "Dilution Info", "Notes"], "tabs": { "all-applications": {"fullname" : "All Applications", "shortname": "All Applications"}, "IHCP" : {"fullname" : "Immunohistochemistry (Formalin/PFA-fixed paraffin-embedded sections)", "shortname":"IHC-P"}, "WB" : {"fullname" : "Western blot", "shortname":"WB"}, "ICCIF" : {"fullname" : "Immunocytochemistry/ Immunofluorescence", "shortname":"ICC/IF"}, "FlowCyt" : {"fullname" : "Flow Cytometry", "shortname":"Flow Cyt"}, "IP" : {"fullname" : "Immunoprecipitation", "shortname":"IP"}, "IHCFr" : {"fullname" : "Immunohistochemistry (Frozen sections)", "shortname":"IHC-Fr"} }, "product-promise": { "all": "all", "testedAndGuaranteed": "tested", "guaranteed": "expected", "predicted": "predicted", "notRecommended": "not-recommended" } }, "values": { "Human": { "IHCP-species-checked": "testedAndGuaranteed", "IHCP-species-dilution-info": "", "IHCP-species-notes": "<p></p>", "WB-species-checked": "notRecommended", "WB-species-dilution-info": "", "WB-species-notes": "<p></p>", "ICCIF-species-checked": "notRecommended", "ICCIF-species-dilution-info": "", "ICCIF-species-notes": "<p></p>", "FlowCyt-species-checked": "notRecommended", "FlowCyt-species-dilution-info": "", "FlowCyt-species-notes": "<p></p>", "IP-species-checked": "notRecommended", "IP-species-dilution-info": "", "IP-species-notes": "<p></p>", "IHCFr-species-checked": "notRecommended", "IHCFr-species-dilution-info": "", "IHCFr-species-notes": "" }, "Mouse": { "IHCP-species-checked": "notRecommended", "IHCP-species-dilution-info": "", "IHCP-species-notes": "<p></p>", "WB-species-checked": "notRecommended", "WB-species-dilution-info": "", "WB-species-notes": "<p></p>", "ICCIF-species-checked": "notRecommended", "ICCIF-species-dilution-info": "", "ICCIF-species-notes": "", "FlowCyt-species-checked": "notRecommended", "FlowCyt-species-dilution-info": "", "FlowCyt-species-notes": "", "IP-species-checked": "notRecommended", "IP-species-dilution-info": "", "IP-species-notes": "", "IHCFr-species-checked": "notRecommended", "IHCFr-species-dilution-info": "", "IHCFr-species-notes": "<p></p>" }, "Rat": { "IHCP-species-checked": "notRecommended", "IHCP-species-dilution-info": "", "IHCP-species-notes": "<p></p>", "WB-species-checked": "notRecommended", "WB-species-dilution-info": "", "WB-species-notes": "<p></p>", "ICCIF-species-checked": "notRecommended", "ICCIF-species-dilution-info": "", "ICCIF-species-notes": "", "FlowCyt-species-checked": "notRecommended", "FlowCyt-species-dilution-info": "", "FlowCyt-species-notes": "", "IP-species-checked": "notRecommended", "IP-species-dilution-info": "", "IP-species-notes": "", "IHCFr-species-checked": "notRecommended", "IHCFr-species-dilution-info": "", "IHCFr-species-notes": "<p></p>" } } }

Product details

Patented technology
Our RabMAb® technology is a patented hybridoma-based technology for making rabbit monoclonal antibodies. For details on our patents, please refer to RabMAb® patents.

What are the advantages of a recombinant monoclonal antibody?
This product is a recombinant monoclonal antibody, which offers several advantages including:

  • - High batch-to-batch consistency and reproducibility
  • - Improved sensitivity and specificity
  • - Long-term security of supply
  • - Animal-free batch production

For more information, read more on recombinant antibodies.

Conjugation ready
Our carrier-free antibodies are typically supplied in a PBS-only formulation, purified and free of BSA, sodium azide and glycerol. This conjugation-ready format is designed for use with fluorochromes, metal isotopes, oligonucleotides, and enzymes, which makes them ideal for antibody labelling, functional and cell-based assays, flow-based assays (e.g. mass cytometry) and Multiplex Imaging applications.

Use our conjugation kits for antibody conjugates that are ready-to-use in as little as 20 minutes with 1 minute hands-on-time and 100% antibody recovery: available for fluorescent dyes, HRP, biotin and gold.

Compatibility
This product is compatible with the Maxpar® Antibody Labeling Kit from Fluidigm, without the need for antibody preparation. Maxpar® is a trademark of Fluidigm Canada Inc.

Properties and storage information

Form
Liquid
Purification technique
Affinity purification Protein A
Storage buffer
pH: 7.2 - 7.4 Constituents: PBS
Shipped at conditions
Blue Ice
Appropriate short-term storage conditions
+4°C
Appropriate long-term storage conditions
+4°C

Supplementary information

This supplementary information is collated from multiple sources and compiled automatically.

The Hyperpolarization-activated Cyclic Nucleotide-gated channel 3 (HCN3) also known as potassium/sodium hyperpolarization-activated cyclic nucleotide-gated channel 3 is a protein that forms ion channels. These channels facilitate the flow of sodium and potassium ions across the cell membrane which is essential for maintaining the electrical activity in cells. HCN3 has a molecular mass of approximately 97 kDa and is expressed in various tissues including the brain and heart. Its role in creating the 'funny current' makes it important for electrical rhythms in these tissues.
Biological function summary

HCN3 channels contribute to pacemaker activities in neurons and cardiac cells regulating heartbeat and neural firing. HCN3 does not operate in isolation; it can be part of larger channel complexes influencing the excitability of cells. These channels act by responding to membrane hyperpolarization opening to allow ion flow that modulates cell activity and therefore impacts processes like synaptic transmission and cardio-excitatory responses.

Pathways

HCN3 channels integrate into signal transduction pathways involving cyclic nucleotides specifically the cAMP pathway. They interact with other hyperpolarization-activated cyclic nucleotide-gated channels like HCN1 and HCN2 which help refine electrical signaling. HCN3's involvement in the regulation of neural excitability links it to pathways governing neurotransmitter release and heart rate modulation.

HCN3 potentially relates to epilepsy and cardiac arrhythmias. Aberrant HCN3 channel function can disrupt electrical signaling contributing to pathogenesis in these conditions. Interactions with other ion channels such as HCN2 may amplify disturbances in neural firing and cardiac pacing. Understanding HCN3’s functional mechanics offers insight into its role in disease manifestation and could guide therapeutic targeting.

Product protocols

For this product, it's our understanding that no specific protocols are required. You can visit:

Target data

Hyperpolarization-activated ion channel that are permeable to sodium and potassium ions, with an about 3 : 1 preference for potassium ions (PubMed : 16043489). Contributes to the native pacemaker currents in heart (If) and in neurons (Ih). In particular, plays a pivotal role in maintaining excitability and promoting rhythmic burst firing within hypothalamic nuclei. Exerts a significant influence on the configuration of the cardiac action potential waveform. Does not appear to play a prominent role in the processing of acute, neuropathic, or inflammatory pain (By similarity).
See full target information HCN3

Product promise

We are committed to supporting your work with high-quality reagents, and we're here for you every step of the way. In the unlikely event that one of our products does not perform as expected, you're protected by our Product Promise.
For full details, please see our Terms & Conditions

Please note: All products are 'FOR RESEARCH USE ONLY. NOT FOR USE IN DIAGNOSTIC OR THERAPEUTIC PROCEDURES'.

For licensing inquiries, please contact partnerships@abcam.com