JavaScript is disabled in your browser. Please enable JavaScript to view this website.
AB289985

Anti-HCN4 antibody [EPR25291-44] - BSA and Azide free

Be the first to review this product! Submit a review

|

(0 Publication)

Rabbit Recombinant Monoclonal HCN4 antibody. Carrier free. Suitable for IHC-Fr, IHC-P and reacts with Mouse, Rat, Transfected cell line samples.

View Alternative Names

Potassium/sodium hyperpolarization-activated cyclic nucleotide-gated channel 4, HCN4

10 Images
Immunohistochemistry (Formalin/PFA-fixed paraffin-embedded sections) - Anti-HCN4 antibody [EPR25291-44] - BSA and Azide free (AB289985)
  • IHC-P

Lab

Immunohistochemistry (Formalin/PFA-fixed paraffin-embedded sections) - Anti-HCN4 antibody [EPR25291-44] - BSA and Azide free (AB289985)

This data was developed using ab289962, the same antibody clone in a different buffer formulation.

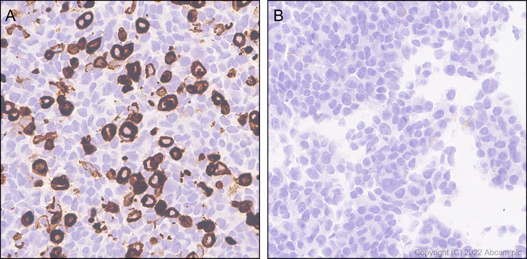
Immunohistochemical analysis of paraffin-embedded (Panel A) HEK-293T cells labelling HCN4 with ab289962 at 1/500 followed by LeicaDS9800 (Bond™, Polymer Refine Detection). Positive staining on (A) HEK-293T transfected with a HCN4 expression vector, no staining on (B) HEK-293T cells transfected with empty vector. The section was incubated with ab289962 for 30 mins at room temperature. The immunostaining was performed on a Leica Biosystems BOND® RX instrument. Counterstained with Hematoxylin.

Secondary antibody only control : Secondary antibody is LeicaDS9800 (Bond™, Polymer Refine Detection).

Heat mediated antigen retrieval with Tris-EDTA buffer (pH 9.0, epitope retrieval solution2) for 20 mins

Immunohistochemistry (Frozen sections) - Anti-HCN4 antibody [EPR25291-44] - BSA and Azide free (AB289985)
  • IHC-Fr

Lab

Immunohistochemistry (Frozen sections) - Anti-HCN4 antibody [EPR25291-44] - BSA and Azide free (AB289985)

This data was developed using ab289962, the same antibody clone in a different buffer formulation.

Immunohistochemical analysis of 4% PFA-fixed, 0.2% Triton X-100 permeabilized frozen Mouse heart (fresh) tissue labeling HCN4 with ab289962 at 1/50 (8.96 μg/ml) dilution followed by ab150081 Goat Anti-Rabbit IgG H&L (Alexa Fluor® 488) preadsorbed at 1/1000 (2 μg/mL) dilution (Green). Positive staining on sinoatrial node of mouse heart is observed. The nuclear counterstain was DAPI (Blue).

Secondary antibody control : Secondary antibody is ab150081 Goat Anti-Rabbit IgG H&L (Alexa Fluor® 488) preadsorbed at 1/1000 (2 μg/mL) dilution.

Immunohistochemistry (Formalin/PFA-fixed paraffin-embedded sections) - Anti-HCN4 antibody [EPR25291-44] - BSA and Azide free (AB289985)
  • IHC-P

Lab

Immunohistochemistry (Formalin/PFA-fixed paraffin-embedded sections) - Anti-HCN4 antibody [EPR25291-44] - BSA and Azide free (AB289985)

This data was developed using ab289962, the same antibody clone in a different buffer formulation.

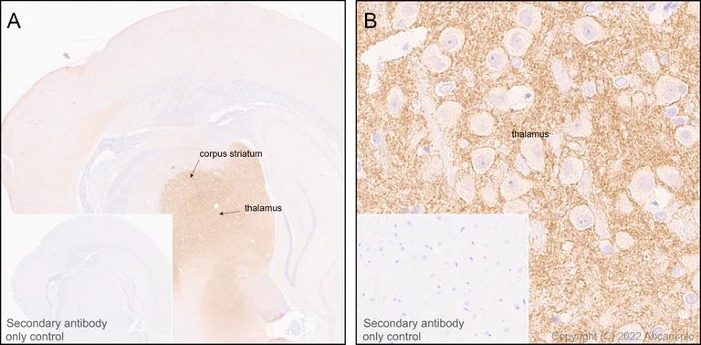
Immunohistochemical analysis of paraffin-embedded Rat brain (coronal section) tissue labelling HCN4 with ab289962 at 1/100 followed by LeicaDS9800 (Bond™, Polymer Refine Detection). Positive staining on mouse thalamus and corpus striatum. (A) Low-powered (magnification, x20) and (B) high-powered (magnification, x400) microscopic images. The section was incubated with ab289962 for 30 mins at room temperature. The immunostaining was performed on a Leica Biosystems BOND® RX instrument. Counterstained with Hematoxylin.

Secondary antibody only control : Secondary antibody is LeicaDS9800 (Bond™, Polymer Refine Detection).

Heat mediated antigen retrieval with Tris-EDTA buffer (pH 9.0, epitope retrieval solution2) for 20 mins.

Immunohistochemistry (Frozen sections) - Anti-HCN4 antibody [EPR25291-44] - BSA and Azide free (AB289985)
  • IHC-Fr

Lab

Immunohistochemistry (Frozen sections) - Anti-HCN4 antibody [EPR25291-44] - BSA and Azide free (AB289985)

This data was developed using ab289962, the same antibody clone in a different buffer formulation.

Immunohistochemical analysis of 4% PFA-fixed, 0.2% Triton X-100 permeabilized frozen Rat liver (fresh) tissue labeling HCN4 with ab289962 at 1/50 dilution, followed by ab150081 Goat Anti-Rabbit IgG H&L (Alexa Fluor® 488) preadsorbed at 1/1000 dilution (Green). Negative control (PMID : 10430953). No staining on rat liver. The nuclear counterstain was DAPI (Blue).

Secondary antibody control : Secondary antibody is ab150081 Goat Anti-Rabbit IgG H&L (Alexa Fluor® 488) preadsorbed at 1/1000 dilution.

Immunohistochemistry (Formalin/PFA-fixed paraffin-embedded sections) - Anti-HCN4 antibody [EPR25291-44] - BSA and Azide free (AB289985)
  • IHC-P

Lab

Immunohistochemistry (Formalin/PFA-fixed paraffin-embedded sections) - Anti-HCN4 antibody [EPR25291-44] - BSA and Azide free (AB289985)

This data was developed using ab289962, the same antibody clone in a different buffer formulation.

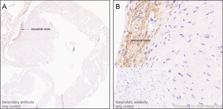
Immunohistochemical analysis of paraffin-embedded Mouse heart tissue labelling HCN4 with ab289962 at 1/100 followed by LeicaDS9800 (Bond™, Polymer Refine Detection). Positive staining on mouse sinoatrial node. (A) Low-powered (magnification, x40) and (B) high-powered (magnification, x400) microscopic images. The section was incubated with ab289962 for 30 mins at room temperature. The immunostaining was performed on a Leica Biosystems BOND® RX instrument. Counterstained with Hematoxylin.

Secondary antibody only control : Secondary antibody is LeicaDS9800 (Bond™, Polymer Refine Detection).

Heat mediated antigen retrieval with Tris-EDTA buffer (pH 9.0, epitope retrieval solution2) for 20 mins.

Immunohistochemistry (Formalin/PFA-fixed paraffin-embedded sections) - Anti-HCN4 antibody [EPR25291-44] - BSA and Azide free (AB289985)
  • IHC-P

Lab

Immunohistochemistry (Formalin/PFA-fixed paraffin-embedded sections) - Anti-HCN4 antibody [EPR25291-44] - BSA and Azide free (AB289985)

This data was developed using ab289962, the same antibody clone in a different buffer formulation.

Immunohistochemical analysis of paraffin-embedded Rat heart tissue labelling HCN4 with ab289962 at 1/100 followed by LeicaDS9800 (Bond™, Polymer Refine Detection). Positive staining on rat sinoatrial node. (A) Low-powered (magnification, x20) and (B) high-powered (magnification, x400) microscopic images. The section was incubated with ab289962 for 30 mins at room temperature. The immunostaining was performed on a Leica Biosystems BOND® RX instrument. Counterstained with Hematoxylin.

Secondary antibody only control : Secondary antibody is LeicaDS9800 (Bond™, Polymer Refine Detection).

Heat mediated antigen retrieval with Tris-EDTA buffer (pH 9.0, epitope retrieval solution2) for 20 mins.

Immunohistochemistry (Formalin/PFA-fixed paraffin-embedded sections) - Anti-HCN4 antibody [EPR25291-44] - BSA and Azide free (AB289985)
  • IHC-P

Lab

Immunohistochemistry (Formalin/PFA-fixed paraffin-embedded sections) - Anti-HCN4 antibody [EPR25291-44] - BSA and Azide free (AB289985)

This data was developed using ab289962, the same antibody clone in a different buffer formulation.

Immunohistochemical analysis of paraffin-embedded Mouse brain (coronal section) tissue labelling HCN4 with ab289962 at 1/100 followed by LeicaDS9800 (Bond™, Polymer Refine Detection). Positive staining on mouse corpus striatum. (A) Low-powered (magnification, x20) and (B) high-powered (magnification, x400) microscopic images. The section was incubated with ab289962 for 30 mins at room temperature. The immunostaining was performed on a Leica Biosystems BOND® RX instrument. Counterstained with Hematoxylin.

Secondary antibody only control : Secondary antibody is LeicaDS9800 (Bond™, Polymer Refine Detection).

Heat mediated antigen retrieval with Tris-EDTA buffer (pH 9.0, epitope retrieval solution2) for 20 mins.

Immunohistochemistry (Frozen sections) - Anti-HCN4 antibody [EPR25291-44] - BSA and Azide free (AB289985)
  • IHC-Fr

Lab

Immunohistochemistry (Frozen sections) - Anti-HCN4 antibody [EPR25291-44] - BSA and Azide free (AB289985)

This data was developed using ab289962, the same antibody clone in a different buffer formulation.

Immunohistochemical analysis of 4% PFA-fixed, 0.2% Triton X-100 permeabilized frozen Rat heart (fresh) tissue labeling HCN4 with ab289962 at 1/50 dilution followed by ab150081 Goat Anti-Rabbit IgG H&L (Alexa Fluor® 488) preadsorbed at 1/1000 dilution (Green). Positive staining on sinoatrial node of rat heart is observed. The nuclear counterstain was DAPI (Blue).

Secondary antibody control : Secondary antibody is ab150081 Goat Anti-Rabbit IgG H&L (Alexa Fluor® 488) preadsorbed at 1/1000 dilution.

Immunohistochemistry (Frozen sections) - Anti-HCN4 antibody [EPR25291-44] - BSA and Azide free (AB289985)
  • IHC-Fr

Lab

Immunohistochemistry (Frozen sections) - Anti-HCN4 antibody [EPR25291-44] - BSA and Azide free (AB289985)

This data was developed using ab289962, the same antibody clone in a different buffer formμlation.

Immunohistochemical analysis of 4% PFA-fixed, 0.2% Triton X-100 permeabilized frozen Mouse liver (fresh) tissue labeling HCN4 with ab289962 at 1/50 dilution followed by ab150081 Goat Anti-Rabbit IgG H&L (Alexa Fluor® 488) preadsorbed at 1/1000 dilution (Green). Negative control (PMID : 10430953). No staining on mouse liver. The nuclear counterstain was DAPI (Blue).

Secondary antibody control : Secondary antibody is ab150081 Goat Anti-Rabbit IgG H&L (Alexa Fluor® 488) preadsorbed at 1/1000 dilution.

Immunohistochemistry (Formalin/PFA-fixed paraffin-embedded sections) - Anti-HCN4 antibody [EPR25291-44] - BSA and Azide free (AB289985)
  • IHC-P

Lab

Immunohistochemistry (Formalin/PFA-fixed paraffin-embedded sections) - Anti-HCN4 antibody [EPR25291-44] - BSA and Azide free (AB289985)

This data was developed using ab289962, the same antibody clone in a different buffer formulation.

Immunohistochemical analysis of paraffin-embedded Mouse liver tissue labelling HCN4 with ab289962 at 1/100 followed by LeicaDS9800 (Bond™, Polymer Refine Detection). Negative control : no staining on mouse liver. The section was incubated with ab289962 for 30 mins at room temperature. The immunostaining was performed on a Leica Biosystems BOND® RX instrument. Counterstained with Hematoxylin.

Secondary antibody only control : Secondary antibody is LeicaDS9800 (Bond™, Polymer Refine Detection).

Heat mediated antigen retrieval with Tris-EDTA buffer (pH 9.0, epitope retrieval solution2) for 20 mins.

Key facts

Host species

Rabbit

Clonality

Monoclonal

Clone number

EPR25291-44

Isotype

IgG

Carrier free

Yes

Reacts with

Mouse, Rat

Applications

IHC-Fr, IHC-P

applications

Immunogen

The exact immunogen used to generate this antibody is proprietary information.

Reactivity data

{ "title": "Reactivity Data", "filters": { "stats": ["", "Species", "Dilution Info", "Notes"], "tabs": { "all-applications": {"fullname" : "All Applications", "shortname": "All Applications"}, "ICCIF" : {"fullname" : "Immunocytochemistry/ Immunofluorescence", "shortname":"ICC/IF"}, "IP" : {"fullname" : "Immunoprecipitation", "shortname":"IP"}, "WB" : {"fullname" : "Western blot", "shortname":"WB"}, "IHCFr" : {"fullname" : "Immunohistochemistry (Frozen sections)", "shortname":"IHC-Fr"}, "FlowCytIntra" : {"fullname" : "Flow Cytometry (Intracellular)", "shortname":"Flow Cyt (Intra)"}, "IHCP" : {"fullname" : "Immunohistochemistry (Formalin/PFA-fixed paraffin-embedded sections)", "shortname":"IHC-P"} }, "product-promise": { "all": "all", "testedAndGuaranteed": "tested", "guaranteed": "expected", "predicted": "predicted", "notRecommended": "not-recommended" } }, "values": { "Human": { "ICCIF-species-checked": "notRecommended", "ICCIF-species-dilution-info": "", "ICCIF-species-notes": "", "IP-species-checked": "notRecommended", "IP-species-dilution-info": "", "IP-species-notes": "", "WB-species-checked": "notRecommended", "WB-species-dilution-info": "", "WB-species-notes": "<p></p>", "IHCFr-species-checked": "notRecommended", "IHCFr-species-dilution-info": "", "IHCFr-species-notes": "", "FlowCytIntra-species-checked": "notRecommended", "FlowCytIntra-species-dilution-info": "", "FlowCytIntra-species-notes": "", "IHCP-species-checked": "notRecommended", "IHCP-species-dilution-info": "", "IHCP-species-notes": "<p></p>" }, "Mouse": { "ICCIF-species-checked": "notRecommended", "ICCIF-species-dilution-info": "", "ICCIF-species-notes": "<p></p>", "IP-species-checked": "notRecommended", "IP-species-dilution-info": "", "IP-species-notes": "<p></p>", "WB-species-checked": "notRecommended", "WB-species-dilution-info": "", "WB-species-notes": "<p></p>", "IHCFr-species-checked": "testedAndGuaranteed", "IHCFr-species-dilution-info": "", "IHCFr-species-notes": "<p></p>", "FlowCytIntra-species-checked": "notRecommended", "FlowCytIntra-species-dilution-info": "", "FlowCytIntra-species-notes": "<p></p>", "IHCP-species-checked": "testedAndGuaranteed", "IHCP-species-dilution-info": "", "IHCP-species-notes": "<p></p>" }, "Rat": { "ICCIF-species-checked": "notRecommended", "ICCIF-species-dilution-info": "", "ICCIF-species-notes": "", "IP-species-checked": "notRecommended", "IP-species-dilution-info": "", "IP-species-notes": "<p></p>", "WB-species-checked": "notRecommended", "WB-species-dilution-info": "", "WB-species-notes": "<p></p>", "IHCFr-species-checked": "testedAndGuaranteed", "IHCFr-species-dilution-info": "", "IHCFr-species-notes": "<p></p>", "FlowCytIntra-species-checked": "notRecommended", "FlowCytIntra-species-dilution-info": "", "FlowCytIntra-species-notes": "<p></p>", "IHCP-species-checked": "testedAndGuaranteed", "IHCP-species-dilution-info": "", "IHCP-species-notes": "<p></p>" }, "Transfected cell line": { "ICCIF-species-checked": "notRecommended", "ICCIF-species-dilution-info": "", "ICCIF-species-notes": "", "IP-species-checked": "notRecommended", "IP-species-dilution-info": "", "IP-species-notes": "", "WB-species-checked": "notRecommended", "WB-species-dilution-info": "", "WB-species-notes": "", "IHCFr-species-checked": "notRecommended", "IHCFr-species-dilution-info": "", "IHCFr-species-notes": "", "FlowCytIntra-species-checked": "notRecommended", "FlowCytIntra-species-dilution-info": "", "FlowCytIntra-species-notes": "", "IHCP-species-checked": "testedAndGuaranteed", "IHCP-species-dilution-info": "", "IHCP-species-notes": "<p></p>" } } }

Product details

ab289985 is the carrier-free version of ab289962

Patented technology
Our RabMAb® technology is a patented hybridoma-based technology for making rabbit monoclonal antibodies. For details on our patents, please refer to RabMAb® patents.

What are the advantages of a recombinant monoclonal antibody?
This product is a recombinant monoclonal antibody, which offers several advantages including:

  • - High batch-to-batch consistency and reproducibility
  • - Improved sensitivity and specificity
  • - Long-term security of supply
  • - Animal-free batch production

For more information, read more on recombinant antibodies.

Conjugation ready
Our carrier-free antibodies are typically supplied in a PBS-only formulation, purified and free of BSA, sodium azide and glycerol. This conjugation-ready format is designed for use with fluorochromes, metal isotopes, oligonucleotides, and enzymes, which makes them ideal for antibody labelling, functional and cell-based assays, flow-based assays (e.g. mass cytometry) and Multiplex Imaging applications.

Use our conjugation kits for antibody conjugates that are ready-to-use in as little as 20 minutes with 1 minute hands-on-time and 100% antibody recovery: available for fluorescent dyes, HRP, biotin and gold.

Compatibility
This product is compatible with the Maxpar® Antibody Labeling Kit from Fluidigm, without the need for antibody preparation. Maxpar® is a trademark of Fluidigm Canada Inc.

Properties and storage information

Form
Liquid
Purification technique
Affinity purification Protein A
Storage buffer
pH: 7.2 - 7.4 Constituents: PBS
Shipped at conditions
Blue Ice
Appropriate short-term storage conditions
+4°C
Appropriate long-term storage conditions
+4°C

Supplementary information

This supplementary information is collated from multiple sources and compiled automatically.

HCN4 also known as hyperpolarization-activated cyclic nucleotide-gated channel 4 is a protein that functions mechanically as an ion channel. It aids in carrying the hyperpolarization-activated non-selective cation current also called I_f or funny current. HCN4 has a molecular mass of about 136 kDa. The channel is expressed prominently in heart tissues particularly in the sinoatrial node which plays an important role in pacemaker activity to regulate heart rate. HCN4 also appears in some regions of the central nervous system and contributes to neural activity.
Biological function summary

Hyperpolarization-activated ion currents mediated by HCN4 contribute to the pacing of cardiac cells. They allow controlled influx of Na^+ and K^+ ions therefore facilitating rhythmic cardiac activity. Although it does not form part of a larger complex HCN4 interacts with auxiliary subunits and regulator proteins that can modulate its activity. It can be influenced by internal cyclic AMP levels leading to changes in its kinetics and voltage dependency.

Pathways

The involvement of HCN4 mostly figures into cardiac conduction and neuronal signaling pathways. Within the cardiac conduction system it plays a pivotal role in maintaining coordinated heart rhythms. HCN4's function relates to proteins like HCN1 HCN2 and HCN3 which together form a family responsible for various rhythmic activities in the heart and brain. It also assists in stabilizing neuronal firing patterns influenced by neurotransmitter-mediated effects but has less direct interaction with these related proteins.

Mutations or dysfunctions in HCN4 can lead to cardiac arrhythmias like bradycardia. Abnormalities in the function of this protein can also contribute to sick sinus syndrome a condition characterized by problems with the sinoatrial node that affects heart rhythm. In these scenarios HCN4's interaction with other channel proteins and regulatory molecules becomes important as interventions might target these associated pathways for treatment.

Product protocols

For this product, it's our understanding that no specific protocols are required. You can visit:

Target data

Hyperpolarization-activated ion channel that are permeable to Na(+) and K(+) ions with very slow activation and inactivation (PubMed : 10228147, PubMed : 10430953, PubMed : 20829353). Exhibits higher selectivity for K(+) over Na(+) ions (PubMed : 10228147). Contributes to the native pacemaker currents in heart (If) that regulate the rhythm of heart beat (Probable) (PubMed : 10228147, PubMed : 16407510, PubMed : 19165230). Contributes to the native pacemaker currents in neurons (Ih) (Probable). May mediate responses to sour stimuli (By similarity).
See full target information HCN4

Product promise

We are committed to supporting your work with high-quality reagents, and we're here for you every step of the way. In the unlikely event that one of our products does not perform as expected, you're protected by our Product Promise.
For full details, please see our Terms & Conditions

Please note: All products are 'FOR RESEARCH USE ONLY. NOT FOR USE IN DIAGNOSTIC OR THERAPEUTIC PROCEDURES'.

For licensing inquiries, please contact partnerships@abcam.com