JavaScript is disabled in your browser. Please enable JavaScript to view this website.
AB280205

Anti-HDAC1 antibody [EPR23847-170] - BSA and Azide free

  • BOND RX™ Validated
  • RabMAb
  • Advanced Validation
  • Recombinant
  • KO Validated
  • What is this?

Be the first to review this product! Submit a review

|

(0 Publication)

Rabbit Recombinant Monoclonal HDAC1 antibody. Carrier free. Suitable for ChIC/CUT&RUN-seq, ICC/IF, IP, ChIP, WB, Flow Cyt (Intra), IHC-P and reacts with Human, Mouse, Rat, Recombinant fragment - Human samples.

View Alternative Names

RPD3L1, HDAC1, Histone deacetylase 1, HD1, Protein deacetylase HDAC1, Protein deacylase HDAC1

20 Images
Immunohistochemistry (Formalin/PFA-fixed paraffin-embedded sections) - Anti-HDAC1 antibody [EPR23847-170] - BSA and Azide free (AB280205)
  • IHC-P

Supplier Data

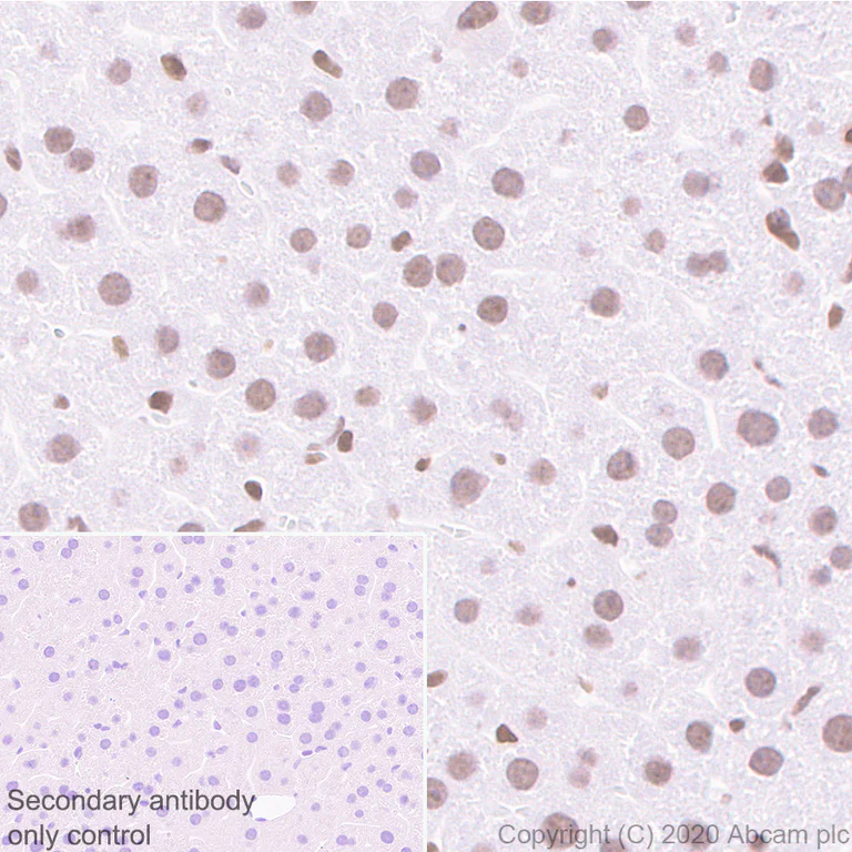
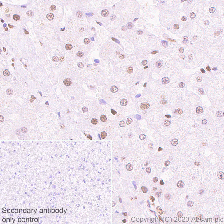
Immunohistochemistry (Formalin/PFA-fixed paraffin-embedded sections) - Anti-HDAC1 antibody [EPR23847-170] - BSA and Azide free (AB280205)

This data was developed using ab280198, the same antibody clone in a different buffer formulation.

Immunohistochemical analysis of paraffin-embedded Human liver tissue labeling HDAC1 with ab280198 at 1/2000 dilution followed by a ready to use Rabbit specific IHC polymer detection kit HRP/DAB (ab209101). Nuclear staining on human liver (PMID : 18264140). The section was incubated with ab280198 for 30 mins at room temperature. The immunostaining was performed on a Leica Biosystems BOND® RX instrument. Counterstained with Hematoxylin.

Secondary antibody only control : Secondary antibody is a ready to use Rabbit specific IHC polymer detection kit HRP/DAB (ab209101).

Heat mediated antigen retrieval with Tris-EDTA buffer (pH 9.0, epitope retrieval solution2) for 20 mins

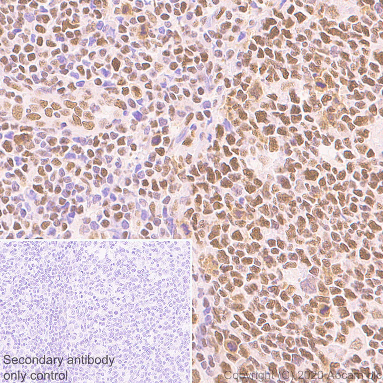
Immunohistochemistry (Formalin/PFA-fixed paraffin-embedded sections) - Anti-HDAC1 antibody [EPR23847-170] - BSA and Azide free (AB280205)
  • IHC-P

Supplier Data

Immunohistochemistry (Formalin/PFA-fixed paraffin-embedded sections) - Anti-HDAC1 antibody [EPR23847-170] - BSA and Azide free (AB280205)

This data was developed using ab280198, the same antibody clone in a different buffer formulation.

Immunohistochemical analysis of paraffin-embedded Human tonsil tissue labeling HDAC1 with ab280198 at 1/2000 dilution followed by a ready to use Rabbit specific IHC polymer detection kit HRP/DAB (ab209101). Nuclear staining on human tonsil (PMID : 23109994). The section was incubated with ab280198 for 30 mins at room temperature. The immunostaining was performed on a Leica Biosystems BOND® RX instrument. Counterstained with Hematoxylin.

Secondary antibody only control : Secondary antibody is a ready to use Rabbit specific IHC polymer detection kit HRP/DAB (ab209101).

Heat mediated antigen retrieval with Tris-EDTA buffer (pH 9.0, epitope retrieval solution2) for 20 mins

Flow Cytometry (Intracellular) - Anti-HDAC1 antibody [EPR23847-170] - BSA and Azide free (AB280205)
  • Flow Cyt (Intra)

Supplier Data

Flow Cytometry (Intracellular) - Anti-HDAC1 antibody [EPR23847-170] - BSA and Azide free (AB280205)

This data was developed using ab280198, the same antibody clone in a different buffer formulation.

Flow cytometric analysis of 4% paraformaldehyde-fixed, 90% methanol-permeabilized HeLa (Human cervix adenocarcinoma epithelial cell) cells labelling HDAC1 with ab280198 at 1/500 dilution (Red) compared with a Rabbit monoclonal IgG (ab172730) (Black) isotype control and an unlabelled control (cells without incubation with primary antibody and secondary antibody) (Blue). A Goat anti rabbit IgG (Alexa Fluor® 488, ab150077) at 1/2000 dilution was used as the secondary antibody.

Immunocytochemistry/ Immunofluorescence - Anti-HDAC1 antibody [EPR23847-170] - BSA and Azide free (AB280205)
  • ICC/IF

Supplier Data

Immunocytochemistry/ Immunofluorescence - Anti-HDAC1 antibody [EPR23847-170] - BSA and Azide free (AB280205)

This data was developed using ab280198, the same antibody clone in a different buffer formulation.

Immunofluorescent analysis of 4% Paraformaldehyde-fixed, 0.1% TritonX-100 permeabilized HeLa cells labelling HDAC1 with ab280198 at 1/5000 dilution, followed by ab150077 Goat Anti-Rabbit IgG H&L (Alexa Fluor® 488) antibody at 1/1000 dilution (Green). Confocal image showing nuclear and weakly cytoplasmic staining in HeLa cell line. ab195889 Anti-alpha Tubulin mouse monoclonal antibody - Microtubule Marker (Alexa Fluor® 594) was used to counterstain tubulin at 1/200 dilution (Red). The Nuclear counterstain was DAPI (Blue).

Secondary antibody only control : Secondary antibody is ab150077 Goat Anti-Rabbit IgG H&L (Alexa Fluor® 488) at 1/1000 dilution.

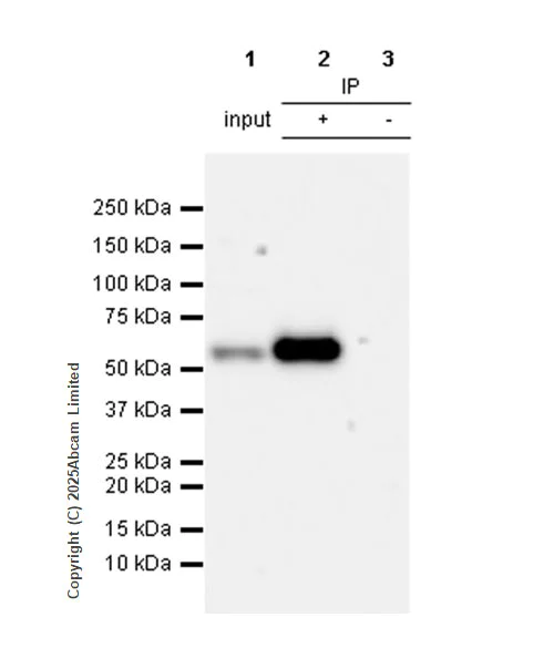
Immunoprecipitation - Anti-HDAC1 antibody [EPR23847-170] - BSA and Azide free (AB280205)
  • IP

Supplier Data

Immunoprecipitation - Anti-HDAC1 antibody [EPR23847-170] - BSA and Azide free (AB280205)

This data was developed using ab280198, the same antibody clone in a different buffer formulation.

HDAC1 was immunoprecipitated from 0.35 mg HeLa (human cervix adenocarcinoma epithelial cell) whole cell lysate with ab280198 at 1/30 dilution (2ug in 0.35mg lysates). Western blot was performed on the immunoprecipitate using ab280198 at 1/1000 dilution. VeriBlot for IP Detection Reagent (HRP)(ab131366) was used at 1/5000 dilution.

Lane 1 : HeLa (human cervix adenocarcinoma epithelial cell) whole cell lysate 10 ug

Lane 2 : ab280198 IP in HeLa whole cell lysate 10 ug

Lane 3 : Rabbit monoclonal IgG (ab172730) instead of ab280198 in HeLa whole cell lysate

Blocking and dilution buffer and concentration : 5% NFDM/TBST.

Exposure time : 1 second

All lanes:

Immunoprecipitation - Anti-HDAC1 antibody [EPR23847-170] - Nuclear Loading Control (<a href='/en-us/products/primary-antibodies/hdac1-antibody-epr23847-170-nuclear-loading-control-ab280198'>ab280198</a>)

Predicted band size: 55 kDa

Observed band size: 62 kDa

false

ChIP - Anti-HDAC1 antibody [EPR23847-170] - BSA and Azide free (AB280205)
  • ChIP

Supplier Data

ChIP - Anti-HDAC1 antibody [EPR23847-170] - BSA and Azide free (AB280205)

This data was developed using ab280198, the same antibody clone in a different buffer formulation.

Chromatin was prepared from K-562 cells according to the Abcam Dual-X-ChIP protocol*. Cells were fixed with 1.5 mM EGS for 30mins and then formaldehyde for 10min.
The ChIP was performed with 25 μg of chromatin, 5 μg of ab280198 (red), or 5 μg of rabbit normal IgG ab172730 (gray) and 25 μl of Protein A/G Dynabeads. The immunoprecipitated DNA was quantified by real time PCR (Sybr green approach).

*http : //www.abcam.com/resources?keywords=X%20ChIP%20protocol

Flow Cytometry (Intracellular) - Anti-HDAC1 antibody [EPR23847-170] - BSA and Azide free (AB280205)
  • Flow Cyt (Intra)

Lab

Flow Cytometry (Intracellular) - Anti-HDAC1 antibody [EPR23847-170] - BSA and Azide free (AB280205)

This data was developed using the same antibody clone in a different buffer formulation containing PBS, BSA, glycerol, and sodium azide (ab280198).

Flow cytometric analysis of 4% paraformaldehyde fixed 90% methanol permeabilized C6 (rat glial tumor glial cell) cells labelling HDAC1 with ab280198 at 1/500 dilution (0.1µg) followed by a Goat Anti-Rabbit IgG (Alexa Fluor® 488, ab150081) at a 1/5000 dilution (Red) compared with a Rabbit monoclonal IgG (ab172730) (Black) isotype control and an unlabelled control (cells without incubation with primary antibody and secondary antibody) (Blue).

Immunohistochemistry (Formalin/PFA-fixed paraffin-embedded sections) - Anti-HDAC1 antibody [EPR23847-170] - BSA and Azide free (AB280205)
  • IHC-P

Supplier Data

Immunohistochemistry (Formalin/PFA-fixed paraffin-embedded sections) - Anti-HDAC1 antibody [EPR23847-170] - BSA and Azide free (AB280205)

This data was developed using ab280198, the same antibody clone in a different buffer formulation.

Immunohistochemical analysis of paraffin-embedded Rat liver tissue labeling HDAC1 with ab280198 at 1/2000 dilution followed by a ready to use Rabbit specific IHC polymer detection kit HRP/DAB (ab209101). Nuclear staining on rat liver. The section was incubated with ab280198 for 30 mins at room temperature. The immunostaining was performed on a Leica Biosystems BOND® RX instrument. Counterstained with Hematoxylin.

Secondary antibody only control : Secondary antibody is a ready to use Rabbit specific IHC polymer detection kit HRP/DAB (ab209101).

Heat mediated antigen retrieval with Tris-EDTA buffer (pH 9.0, epitope retrieval solution2) for 20 mins

Flow Cytometry (Intracellular) - Anti-HDAC1 antibody [EPR23847-170] - BSA and Azide free (AB280205)
  • Flow Cyt (Intra)

Supplier Data

Flow Cytometry (Intracellular) - Anti-HDAC1 antibody [EPR23847-170] - BSA and Azide free (AB280205)

This data was developed using ab280198, the same antibody clone in a different buffer formulation.

Flow cytometric analysis of 4% paraformaldehyde-fixed, 90% methanol-permeabilized NIH/3T3 (Mouse embryonic fibroblast) cells labelling HDAC1 with ab280198 at 1/500 dilution (Red) compared with a Rabbit monoclonal IgG (ab172730) (Black) isotype control and an unlabelled control (cells without incubation with primary antibody and secondary antibody) (Blue). A Goat anti rabbit IgG (Alexa Fluor® 488, ab150077) at 1/2000 dilution was used as the secondary antibody.

Immunocytochemistry/ Immunofluorescence - Anti-HDAC1 antibody [EPR23847-170] - BSA and Azide free (AB280205)
  • ICC/IF

Supplier Data

Immunocytochemistry/ Immunofluorescence - Anti-HDAC1 antibody [EPR23847-170] - BSA and Azide free (AB280205)

This data was developed using ab280198, the same antibody clone in a different buffer formulation.

Immunofluorescent analysis of 4% Paraformaldehyde-fixed, 0.1% TritonX-100 permeabilized NIH/3T3 cells labelling HDAC1 with ab280198 at 1/5000 dilution, followed by ab150077 Goat Anti-Rabbit IgG H&L (Alexa Fluor® 488) antibody at 1/1000 dilution (Green). Confocal image showing nuclear and weakly cytoplasmic staining in NIH/3T3 cell line is observed. ab195889 Anti-alpha Tubulin mouse monoclonal antibody - Microtubule Marker (Alexa Fluor® 594) was used to counterstain tubulin at 1/200 dilution (Red). The Nuclear counterstain was DAPI (Blue).

Secondary antibody only control : Secondary antibody is ab150077 Goat Anti-Rabbit IgG H&L (Alexa Fluor® 488) at 1/1000 dilution.

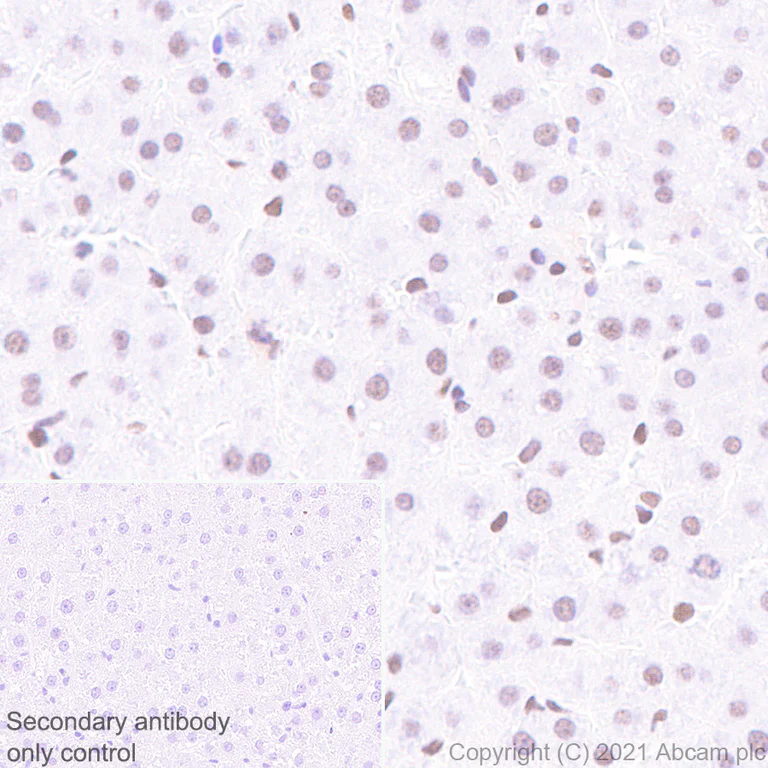
Immunohistochemistry (Formalin/PFA-fixed paraffin-embedded sections) - Anti-HDAC1 antibody [EPR23847-170] - BSA and Azide free (AB280205)
  • IHC-P

Supplier Data

Immunohistochemistry (Formalin/PFA-fixed paraffin-embedded sections) - Anti-HDAC1 antibody [EPR23847-170] - BSA and Azide free (AB280205)

This data was developed using ab280198, the same antibody clone in a different buffer formulation.

Immunohistochemical analysis of paraffin-embedded Mouse liver tissue labeling HDAC1 with ab280198 at 1/2000 dilution followed by a ready to use Rabbit specific IHC polymer detection kit HRP/DAB (ab209101). Nuclear staining on mouse liver. The section was incubated with ab280198 for 30 mins at room temperature. The immunostaining was performed on a Leica Biosystems BOND® RX instrument. Counterstained with Hematoxylin.

Secondary antibody only control : Secondary antibody is a ready to use Rabbit specific IHC polymer detection kit HRP/DAB (ab209101).

Heat mediated antigen retrieval with Tris-EDTA buffer (pH 9.0, epitope retrieval solution2) for 20 mins

Immunocytochemistry/ Immunofluorescence - Anti-HDAC1 antibody [EPR23847-170] - BSA and Azide free (AB280205)
  • ICC/IF

Lab

Immunocytochemistry/ Immunofluorescence - Anti-HDAC1 antibody [EPR23847-170] - BSA and Azide free (AB280205)

This data was developed using the same antibody clone in a different buffer formulation containing PBS, BSA, glycerol, and sodium azide (ab280198).

Immunofluorescent analysis of 4% Paraformaldehyde-fixed, 0.1% TritonX-100 permeabilized C6 (rat glial tumor glial cell) cells labelling HDAC1 with ab280198 at 1/500 dilution followed by a ab150081 Goat Anti-Rabbit IgG H&L (Alexa Fluor® 488) preadsorbed at a 1/1000 (2 µg) dilution (Green).

Confocal image showing nuclear staining in C6 cell line (shown in green). The counterstain was observed in magenta. Nuclear DNA was labelled with DAPI (shown in blue).
Image was taken with a confocal microscope (Leica-Microsystems, TCS SP8).

ab195889 Anti-alpha Tubulin mouse monoclonal antibody - Microtubule Marker (Alexa Fluor® 594) was used to counterstain tubulin at 1/200 (2.5µg/ml) dilution (Magenta). The Nuclear counterstain was DAPI (Blue).

Secondary antibody only control : ab150081 Goat Anti-Rabbit IgG H&L (Alexa Fluor® 488) preadsorbed at a 1/1000 (2 µg) dilution.

Immunoprecipitation - Anti-HDAC1 antibody [EPR23847-170] - BSA and Azide free (AB280205)
  • IP

Lab

Immunoprecipitation - Anti-HDAC1 antibody [EPR23847-170] - BSA and Azide free (AB280205)

This data was developed using the same antibody clone in a different buffer formulation containing PBS, BSA, glycerol, and sodium azide (ab280198).

HDAC1 was immunoprecipitated from C6 (rat glial tumor glial cell) whole cell lysate with ab280198 at 1/30 dilution (2µg in 0.35mg lysates). Western blot was performed on the immunoprecipitate using ab280198 at 1/1000 dilution.

Blocking and dilution buffer and concentration : 5% NFDM/TBST.

All lanes:

Immunoprecipitation - Anti-HDAC1 antibody [EPR23847-170] - Nuclear Loading Control (<a href='/en-us/products/primary-antibodies/hdac1-antibody-epr23847-170-nuclear-loading-control-ab280198'>ab280198</a>) at 1/1000 dilution

Lane 1:

C6 (rat glial tumor glial cell) whole cell lysate (Input) at 10 µg

Lane 2:

C6 (rat glial tumor glial cell) whole cell lysate (+)

Lane 3:

Rabbit monoclonal IgG (<a href='/en-us/products/primary-antibodies/rabbit-igg-monoclonal-epr25a-isotype-control-ab172730'>ab172730</a>) instead of <a href='/en-us/products/primary-antibodies/hdac1-antibody-epr23847-170-nuclear-loading-control-ab280198'>ab280198</a> in C6 whole cell lysate (-)

Secondary

All lanes:

Immunoprecipitation - VeriBlot for IP Detection Reagent (HRP) (<a href='/en-us/products/reagents/veriblot-for-ip-detection-reagent-hrp-ab131366'>ab131366</a>) at 1/5000 dilution

Observed band size: 55 kDa

false

Exposure time: 8s

Immunoprecipitation - Anti-HDAC1 antibody [EPR23847-170] - BSA and Azide free (AB280205)
  • IP

Supplier Data

Immunoprecipitation - Anti-HDAC1 antibody [EPR23847-170] - BSA and Azide free (AB280205)

This data was developed using ab280198, the same antibody clone in a different buffer formulation.

HDAC1 was immunoprecipitated from 0.35 mg NIH/3T3 (mouse embryonic fibroblast) whole cell lysate with ab280198 at 1/30 dilution (2ug in 0.35mg lysates). Western blot was performed on the immunoprecipitate using ab280198 at 1/1000 dilution. VeriBlot for IP Detection Reagent (HRP)(ab131366) was used at 1/5000 dilution.

Lane 1 : NIH/3T3 (mouse embryonic fibroblast) whole cell lysate 10 ug

Lane 2 : ab280198 IP in NIH/3T3 whole cell lysate 10 ug

Lane 3 : Rabbit monoclonal IgG (ab172730) instead of ab280198 in NIH/3T3 whole cell lysate

Blocking and dilution buffer and concentration : 5% NFDM/TBST.

Exposure time : 1 second

All lanes:

Immunoprecipitation - Anti-HDAC1 antibody [EPR23847-170] - Nuclear Loading Control (<a href='/en-us/products/primary-antibodies/hdac1-antibody-epr23847-170-nuclear-loading-control-ab280198'>ab280198</a>)

Predicted band size: 55 kDa

Observed band size: 62 kDa

false

Western blot - Anti-HDAC1 antibody [EPR23847-170] - BSA and Azide free (AB280205)
  • WB

Lab

Western blot - Anti-HDAC1 antibody [EPR23847-170] - BSA and Azide free (AB280205)

This data was developed using ab280198, the same antibody clone in a different buffer formulation.

Blocking and diluting buffer and concentration : 5% NFDM/TBST.

The observed MW is consistent with what has been described in the literature (PMID : 24551070).

Exposure time : 37 seconds

All lanes:

Western blot - Anti-HDAC1 antibody [EPR23847-170] - Nuclear Loading Control (<a href='/en-us/products/primary-antibodies/hdac1-antibody-epr23847-170-nuclear-loading-control-ab280198'>ab280198</a>) at 1/5000 dilution

Lane 1:

Jurkat (human T cell leukemia T lymphocyte) whole cell lysate at 20 µg

Lane 2:

K-562 (human chronic myelogenous leukemia lymphoblast) whole cell lysate at 20 µg

Lane 3:

HeLa (human cervix adenocarcinoma epithelial cell) whole cell lysate at 20 µg

Secondary

All lanes:

Western blot - Goat Anti-Rabbit IgG H&L (HRP) (<a href='/en-us/products/secondary-antibodies/goat-rabbit-igg-h-l-hrp-ab97051'>ab97051</a>) at 1/100000 dilution

Predicted band size: 55 kDa

Observed band size: 62 kDa

false

Western blot - Anti-HDAC1 antibody [EPR23847-170] - BSA and Azide free (AB280205)
  • WB

Lab

Western blot - Anti-HDAC1 antibody [EPR23847-170] - BSA and Azide free (AB280205)

This data was developed using ab280198, the same antibody clone in a different buffer formulation.

Blocking and diluting buffer and concentration : 5% NFDM/TBST.

The observed MW is consistent with what has been described in the literature (PMID : 24551070).

Exposure time : 15 seconds

All lanes:

Western blot - Anti-HDAC1 antibody [EPR23847-170] - Nuclear Loading Control (<a href='/en-us/products/primary-antibodies/hdac1-antibody-epr23847-170-nuclear-loading-control-ab280198'>ab280198</a>) at 1/1000 dilution

Lane 1:

Human heart tissue lysate at 20 µg

Lane 2:

Human kidney tissue lysate at 20 µg

Secondary

All lanes:

Western blot - VeriBlot for IP Detection Reagent (HRP) (<a href='/en-us/products/reagents/veriblot-for-ip-detection-reagent-hrp-ab131366'>ab131366</a>) at 1/1000 dilution

Predicted band size: 55 kDa

Observed band size: 62 kDa

false

Western blot - Anti-HDAC1 antibody [EPR23847-170] - BSA and Azide free (AB280205)
  • WB

Supplier Data

Western blot - Anti-HDAC1 antibody [EPR23847-170] - BSA and Azide free (AB280205)

This data was developed using ab280198, the same antibody clone in a different buffer formulation.

ab280198 Anti-HDAC1 antibody [EPR23847-170] was shown to specifically react with HDAC1 in wild-type HAP1 cells. Loss of signal was observed when knockout cell line (knockout cell lysate) was used. Wild-type and HDAC1 knockout samples were subjected to SDS-PAGE. ab280198 and Anti-GAPDH antibody [6C5] - Loading Control (ab8245) were incubated at room temperature for 2. 5 hours at 1/1000 dilution and 1/20000 dilution respectively. Blots were developed with Goat anti-Rabbit IgG H&L (IRDye® 800CW) preadsorbed (ab216773) and Goat anti-Mouse IgG H&L (IRDye® 680RD) preadsorbed (ab216776) secondary antibodies at 1/20000 dilution for 1 hour at room temperature before imaging.

All lanes:

Western blot - Anti-HDAC1 antibody [EPR23847-170] - Nuclear Loading Control (<a href='/en-us/products/primary-antibodies/hdac1-antibody-epr23847-170-nuclear-loading-control-ab280198'>ab280198</a>) at 1/1000 dilution

Lane 1:

Wild-type HAP1 cell lysate at 20 µg

Lane 2:

HDAC1 knockout HAP1 cell lysate at 40 µg

Lane 3:

HeLa (human cervix adenocarcinoma epithelial cell) whole cell lysate at 20 µg

Lane 4:

NIH/3T3 (mouse embryonic fibroblast) whole cell lysate at 20 µg

Secondary

All lanes:

Goat Anti-Rabbit IgG H&L (IRDye® 800CW) (<a href='/en-us/products/secondary-antibodies/goat-rabbit-igg-h-l-irdye-800cw-preadsorbed-ab216773'>ab216773</a>) and Goat Anti-Mouse IgG H&L (IRDye® 680RD) (<a href='/en-us/products/secondary-antibodies/goat-mouse-igg-h-l-irdye-680rd-preadsorbed-ab216776'>ab216776</a>) at 1/10000 dilution

Predicted band size: 55 kDa

false

ChIC/CUT&RUN sequencing - Anti-HDAC1 antibody [EPR23847-170] - BSA and Azide free (AB280205)
  • ChIC/CUT&RUN-seq

Supplier Data

ChIC/CUT&RUN sequencing - Anti-HDAC1 antibody [EPR23847-170] - BSA and Azide free (AB280205)

ChIC/CUT&RUN was performed using a pAG-MNAse at a final concentration of 700 ng/mL, 2 x 10^5 K-562 (Human chronic myelogenous leukemia lymphoblast) cells and 5 µg of ab280198 [EPR23847-170]. The resulting DNA was sequenced on the Illumina NovaSeq 6000 to a depth of 10 million reads. The negative IgG control ab172730 is also shown. Additional screenshots of mapped reads can be found in the Protocol booklet in the Product Protocol section. The University of Geneva owns patents relevant to ChIC (Chromatin Immuno-Cleavage) methods. This data was developed using ab280198, the same antibody clone in a different buffer formulation.

Western blot - Anti-HDAC1 antibody [EPR23847-170] - BSA and Azide free (AB280205)
  • WB

Lab

Western blot - Anti-HDAC1 antibody [EPR23847-170] - BSA and Azide free (AB280205)

This data was developed using ab280198, the same antibody clone in a different buffer formulation.

Blocking and diluting buffer and concentration : 5% NFDM/TBST.

The observed MW is consistent with what has been described in the literature (PMID : 24551070).

Exposure time : 37 seconds

All lanes:

Western blot - Anti-HDAC1 antibody [EPR23847-170] - Nuclear Loading Control (<a href='/en-us/products/primary-antibodies/hdac1-antibody-epr23847-170-nuclear-loading-control-ab280198'>ab280198</a>) at 1/5000 dilution

Lane 1:

C6 (rat glial tumor glial cell) whole cell lysate at 20 µg

Lane 2:

RAW264.7 (mouse Abelson murine leukemia virus-induced tumor macrophage) whole cell lysate at 20 µg

Lane 3:

PC-12 (rat adrenal gland pheochromocytoma) whole cell lysate at 20 µg

Lane 4:

NIH/3T3 (mouse embryonic fibroblast) whole cell lysate at 20 µg

Secondary

All lanes:

Western blot - Goat Anti-Rabbit IgG H&L (HRP) (<a href='/en-us/products/secondary-antibodies/goat-rabbit-igg-h-l-hrp-ab97051'>ab97051</a>) at 1/100000 dilution

Predicted band size: 55 kDa

Observed band size: 62 kDa

false

Western blot - Anti-HDAC1 antibody [EPR23847-170] - BSA and Azide free (AB280205)
  • WB

Lab

Western blot - Anti-HDAC1 antibody [EPR23847-170] - BSA and Azide free (AB280205)

This data was developed using ab280198, the same antibody clone in a different buffer formulation.

This antibody has no cross-reaction with human HDAC2.

These rec proteins were made in house. These two recombinant proteins were expressed from E.coli expression systems.

Exposure time : 10 seconds

All lanes:

Western blot - Anti-HDAC1 antibody [EPR23847-170] - Nuclear Loading Control (<a href='/en-us/products/primary-antibodies/hdac1-antibody-epr23847-170-nuclear-loading-control-ab280198'>ab280198</a>) at 1/1000 dilution

Lane 1:

His-tagged human HDAC1 recombinant protein (aa1-482) at 0.01 µg

Lane 2:

His-tagged human HDAC2 recombinant protein (aa1-488) at 0.01 µg

Secondary

All lanes:

Western blot - Goat Anti-Rabbit IgG H&L (HRP) (<a href='/en-us/products/secondary-antibodies/goat-rabbit-igg-h-l-hrp-ab97051'>ab97051</a>) at 1/100000 dilution

Predicted band size: 55 kDa

Observed band size: 66 kDa

false

  • Unconjugated

    Anti-HDAC1 antibody [EPR23847-170] - Nuclear Loading Control

  • 519 Alexa Fluor® 488

    Alexa Fluor® 488 Anti-HDAC1 antibody [EPR23847-170]

  • 665 Alexa Fluor® 647

    Alexa Fluor® 647 Anti-HDAC1 antibody [EPR23847-170]

  • Carrier free

    Anti-HDAC1 antibody [EPR23847-170] - BSA and Azide free (Detector)

Key facts

Host species

Rabbit

Clonality

Monoclonal

Clone number

EPR23847-170

Isotype

IgG

Carrier free

Yes

Reacts with

Mouse, Human, Rat

Applications

ChIC/CUT&RUN-seq, IP, Flow Cyt (Intra), IHC-P, ChIP, WB, ICC/IF

applications

Immunogen

The exact immunogen used to generate this antibody is proprietary information.

Reactivity data

{ "title": "Reactivity Data", "filters": { "stats": ["", "Species", "Dilution Info", "Notes"], "tabs": { "all-applications": {"fullname" : "All Applications", "shortname": "All Applications"}, "ChICCUTRUNseq" : {"fullname" : "ChIC/CUT&RUN sequencing", "shortname":"ChIC/CUT&RUN-seq"}, "ICCIF" : {"fullname" : "Immunocytochemistry/ Immunofluorescence", "shortname":"ICC/IF"}, "IP" : {"fullname" : "Immunoprecipitation", "shortname":"IP"}, "ChIP" : {"fullname" : "ChIP", "shortname":"ChIP"}, "WB" : {"fullname" : "Western blot", "shortname":"WB"}, "FlowCytIntra" : {"fullname" : "Flow Cytometry (Intracellular)", "shortname":"Flow Cyt (Intra)"}, "IHCP" : {"fullname" : "Immunohistochemistry (Formalin/PFA-fixed paraffin-embedded sections)", "shortname":"IHC-P"} }, "product-promise": { "all": "all", "testedAndGuaranteed": "tested", "guaranteed": "expected", "predicted": "predicted", "notRecommended": "not-recommended" } }, "values": { "Human": { "ChICCUTRUNseq-species-checked": "testedAndGuaranteed", "ChICCUTRUNseq-species-dilution-info": "", "ChICCUTRUNseq-species-notes": "<p></p>", "ICCIF-species-checked": "testedAndGuaranteed", "ICCIF-species-dilution-info": "", "ICCIF-species-notes": "<p></p>", "IP-species-checked": "testedAndGuaranteed", "IP-species-dilution-info": "", "IP-species-notes": "<p></p>", "ChIP-species-checked": "testedAndGuaranteed", "ChIP-species-dilution-info": "", "ChIP-species-notes": "<p></p>", "WB-species-checked": "testedAndGuaranteed", "WB-species-dilution-info": "", "WB-species-notes": "<p></p>", "FlowCytIntra-species-checked": "testedAndGuaranteed", "FlowCytIntra-species-dilution-info": "", "FlowCytIntra-species-notes": "<p></p>", "IHCP-species-checked": "testedAndGuaranteed", "IHCP-species-dilution-info": "", "IHCP-species-notes": "<p></p> Perform heat-mediated antigen retrieval with Tris/EDTA buffer pH 9.0 before commencing with IHC staining protocol." }, "Mouse": { "ChICCUTRUNseq-species-checked": "guaranteed", "ChICCUTRUNseq-species-dilution-info": "", "ChICCUTRUNseq-species-notes": "", "ICCIF-species-checked": "testedAndGuaranteed", "ICCIF-species-dilution-info": "", "ICCIF-species-notes": "<p></p>", "IP-species-checked": "testedAndGuaranteed", "IP-species-dilution-info": "", "IP-species-notes": "<p></p>", "ChIP-species-checked": "guaranteed", "ChIP-species-dilution-info": "", "ChIP-species-notes": "", "WB-species-checked": "testedAndGuaranteed", "WB-species-dilution-info": "", "WB-species-notes": "<p></p>", "FlowCytIntra-species-checked": "testedAndGuaranteed", "FlowCytIntra-species-dilution-info": "", "FlowCytIntra-species-notes": "<p></p>", "IHCP-species-checked": "testedAndGuaranteed", "IHCP-species-dilution-info": "", "IHCP-species-notes": "<p></p> Perform heat-mediated antigen retrieval with Tris/EDTA buffer pH 9.0 before commencing with IHC staining protocol." }, "Rat": { "ChICCUTRUNseq-species-checked": "guaranteed", "ChICCUTRUNseq-species-dilution-info": "", "ChICCUTRUNseq-species-notes": "", "ICCIF-species-checked": "testedAndGuaranteed", "ICCIF-species-dilution-info": "", "ICCIF-species-notes": "<p></p>", "IP-species-checked": "testedAndGuaranteed", "IP-species-dilution-info": "", "IP-species-notes": "<p></p>", "ChIP-species-checked": "guaranteed", "ChIP-species-dilution-info": "", "ChIP-species-notes": "", "WB-species-checked": "testedAndGuaranteed", "WB-species-dilution-info": "", "WB-species-notes": "<p></p>", "FlowCytIntra-species-checked": "testedAndGuaranteed", "FlowCytIntra-species-dilution-info": "", "FlowCytIntra-species-notes": "<p></p>", "IHCP-species-checked": "testedAndGuaranteed", "IHCP-species-dilution-info": "", "IHCP-species-notes": "<p></p> Perform heat-mediated antigen retrieval with Tris/EDTA buffer pH 9.0 before commencing with IHC staining protocol." }, "Recombinant fragment - Human": { "ChICCUTRUNseq-species-checked": "notRecommended", "ChICCUTRUNseq-species-dilution-info": "", "ChICCUTRUNseq-species-notes": "", "ICCIF-species-checked": "notRecommended", "ICCIF-species-dilution-info": "", "ICCIF-species-notes": "", "IP-species-checked": "notRecommended", "IP-species-dilution-info": "", "IP-species-notes": "", "ChIP-species-checked": "notRecommended", "ChIP-species-dilution-info": "", "ChIP-species-notes": "", "WB-species-checked": "testedAndGuaranteed", "WB-species-dilution-info": "", "WB-species-notes": "<p></p>", "FlowCytIntra-species-checked": "notRecommended", "FlowCytIntra-species-dilution-info": "", "FlowCytIntra-species-notes": "", "IHCP-species-checked": "notRecommended", "IHCP-species-dilution-info": "", "IHCP-species-notes": "" } } }

Product details

ab280205 is the carrier-free version of ab280198.

Patented technology
Our RabMAb® technology is a patented hybridoma-based technology for making rabbit monoclonal antibodies. For details on our patents, please refer to RabMAb® patents.

What are the advantages of a recombinant monoclonal antibody?
This product is a recombinant monoclonal antibody, which offers several advantages including:

  • - High batch-to-batch consistency and reproducibility
  • - Improved sensitivity and specificity
  • - Long-term security of supply
  • - Animal-free batch production

For more information, read more on recombinant antibodies.

Conjugation ready
Our carrier-free antibodies are typically supplied in a PBS-only formulation, purified and free of BSA, sodium azide and glycerol. This conjugation-ready format is designed for use with fluorochromes, metal isotopes, oligonucleotides, and enzymes, which makes them ideal for antibody labelling, functional and cell-based assays, flow-based assays (e.g. mass cytometry) and Multiplex Imaging applications.

Use our conjugation kits for antibody conjugates that are ready-to-use in as little as 20 minutes with 1 minute hands-on-time and 100% antibody recovery: available for fluorescent dyes, HRP, biotin and gold.

Compatibility
This product is compatible with the Maxpar® Antibody Labeling Kit from Fluidigm, without the need for antibody preparation. Maxpar® is a trademark of Fluidigm Canada Inc.

Properties and storage information

Form
Liquid
Purification technique
Affinity purification Protein A
Storage buffer
Constituents: PBS
Shipped at conditions
Blue Ice
Appropriate short-term storage conditions
+4°C
Appropriate long-term storage conditions
+4°C

Supplementary information

This supplementary information is collated from multiple sources and compiled automatically.

HDAC1 also known as Histone Deacetylase 1 is a member of the histone deacetylase family with a molecular weight of approximately 55 kDa. Mechanically HDAC1 removes acetyl groups from lysine residues on histone proteins an action known as histone deacetylation. This process causes chromatin structure to become more compact which leads to transcriptional repression. HDAC1 is broadly expressed in various tissues particularly in the brain heart and kidneys and is vital for cellular development and differentiation.
Biological function summary

The enzymatic activity of histone deacetylase effectively controls gene expression. HDAC1 participates as a part of the multiprotein complexes including SIN3 and NuRD which play vital roles in the regulation of transcription. By altering the acetylation state of histones HDAC1 influences chromatin remodeling thereby affecting the accessibility of transcription factors to DNA and controlling genes necessary for cell cycle progression and proliferation.

Pathways

The function of HDAC1 fits into the regulation of the cell cycle and apoptosis pathways. In the cell cycle pathway HDAC1 interacts with other histone deacetylases (HDACs) and plays a role in controlling the progression of the cell division. The interplay between HDAC1 and proteins such as p53 further showcases its regulatory activity in apoptosis ensuring cell survival or programmed cell death when necessary.

HDAC1 shows significant relevance to cancer and neurodegenerative diseases. In cancer the overexpression or abnormal regulation of HDAC1 can lead to uncontrolled cell proliferation often linked to the silencing of tumor suppressor genes. Within neurodegenerative conditions HDAC1-related disturbances in gene expression may result in impaired neuronal function and survival. The involvement of HDAC1 with proteins such as p53 and other HDACs illustrates its impact on complex disease mechanisms making it a critical target for therapeutic interventions.

Product protocols

For this product, it's our understanding that no specific protocols are required. You can visit:

Target data

Histone deacetylase that catalyzes the deacetylation of lysine residues on the N-terminal part of the core histones (H2A, H2B, H3 and H4) (PubMed : 16762839, PubMed : 17704056, PubMed : 28497810). Histone deacetylation gives a tag for epigenetic repression and plays an important role in transcriptional regulation, cell cycle progression and developmental events (PubMed : 16762839, PubMed : 17704056). Histone deacetylases act via the formation of large multiprotein complexes (PubMed : 16762839, PubMed : 17704056). Acts as a component of the histone deacetylase NuRD complex which participates in the remodeling of chromatin (PubMed : 16428440, PubMed : 28977666). As part of the SIN3B complex is recruited downstream of the constitutively active genes transcriptional start sites through interaction with histones and mitigates histone acetylation and RNA polymerase II progression within transcribed regions contributing to the regulation of transcription (PubMed : 21041482). Also functions as a deacetylase for non-histone targets, such as NR1D2, RELA, SP1, SP3, STAT3 and TSHZ3 (PubMed : 12837748, PubMed : 16285960, PubMed : 16478997, PubMed : 17996965, PubMed : 19343227). Deacetylates SP proteins, SP1 and SP3, and regulates their function (PubMed : 12837748, PubMed : 16478997). Component of the BRG1-RB1-HDAC1 complex, which negatively regulates the CREST-mediated transcription in resting neurons (PubMed : 19081374). Upon calcium stimulation, HDAC1 is released from the complex and CREBBP is recruited, which facilitates transcriptional activation (PubMed : 19081374). Deacetylates TSHZ3 and regulates its transcriptional repressor activity (PubMed : 19343227). Deacetylates 'Lys-310' in RELA and thereby inhibits the transcriptional activity of NF-kappa-B (PubMed : 17000776). Deacetylates NR1D2 and abrogates the effect of KAT5-mediated relieving of NR1D2 transcription repression activity (PubMed : 17996965). Component of a RCOR/GFI/KDM1A/HDAC complex that suppresses, via histone deacetylase (HDAC) recruitment, a number of genes implicated in multilineage blood cell development (By similarity). Involved in CIART-mediated transcriptional repression of the circadian transcriptional activator : CLOCK-BMAL1 heterodimer (By similarity). Required for the transcriptional repression of circadian target genes, such as PER1, mediated by the large PER complex or CRY1 through histone deacetylation (By similarity). In addition to protein deacetylase activity, also has protein-lysine deacylase activity : acts as a protein decrotonylase and delactylase by mediating decrotonylation ((2E)-butenoyl) and delactylation (lactoyl) of histones, respectively (PubMed : 28497810, PubMed : 35044827).
See full target information HDAC1
chicCutRunSequencingBooklet
en

Product promise

We are committed to supporting your work with high-quality reagents, and we're here for you every step of the way. In the unlikely event that one of our products does not perform as expected, you're protected by our Product Promise.
For full details, please see our Terms & Conditions

Please note: All products are 'FOR RESEARCH USE ONLY. NOT FOR USE IN DIAGNOSTIC OR THERAPEUTIC PROCEDURES'.

For licensing inquiries, please contact partnerships@abcam.com