JavaScript is disabled in your browser. Please enable JavaScript to view this website.
AB213701

Anti-HDAC1 antibody [EPR460(2)] - BSA and Azide free

4

(1 Review)

|

(7 Publications)

Rabbit Recombinant Monoclonal HDAC1 antibody. Carrier free. Suitable for Flow Cyt (Intra), IHC-Fr, IHC-P, IP, WB, ICC/IF and reacts with Human, Rat, Mouse samples. Cited in 7 publications.

View Alternative Names

RPD3L1, HDAC1, Histone deacetylase 1, HD1, Protein deacetylase HDAC1, Protein deacylase HDAC1

12 Images
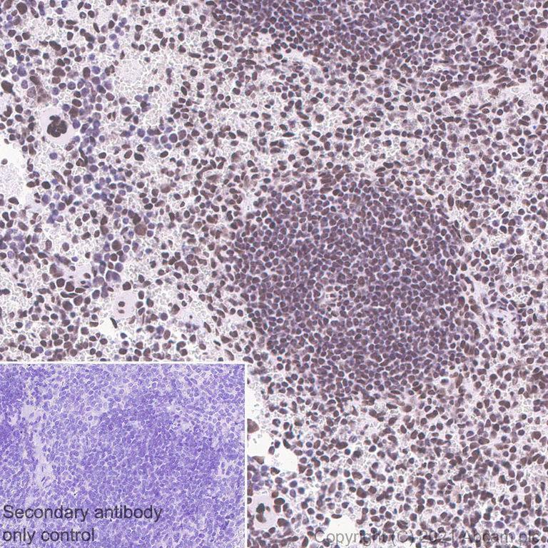
Immunohistochemistry (Formalin/PFA-fixed paraffin-embedded sections) - Anti-HDAC1 antibody [EPR460(2)] - BSA and Azide free (AB213701)
  • IHC-P

Lab

Immunohistochemistry (Formalin/PFA-fixed paraffin-embedded sections) - Anti-HDAC1 antibody [EPR460(2)] - BSA and Azide free (AB213701)

Immunohistochemistry (Formalin/PFA-fixed paraffin-embedded sections) analysis of human tonsil tissue sections labeling HDAC1 with Purified ab109411 at 1 : 100 dilution (1.2 μg/ml). Heat mediated antigen retrieval was performed using . Tissue was counterstained with Hematoxylin. Perform heat mediated antigen retrieval using ab93684 (Tris/EDTA buffer, pH 9.0) secondary antibody was used at 1 : 0 dilution. PBS instead of the primary antibody was used as the negative control.

This data was developed using the same antibody clone in a different buffer formulation containing PBS, BSA, glycerol, and sodium azide (ab109411).

Flow Cytometry (Intracellular) - Anti-HDAC1 antibody [EPR460(2)] - BSA and Azide free (AB213701)
  • Flow Cyt (Intra)

Lab

Flow Cytometry (Intracellular) - Anti-HDAC1 antibody [EPR460(2)] - BSA and Azide free (AB213701)

Flow Cytometry analysis of Jurkat (Human T cell leukemia T lymphocyte) cells labelling HDAC1 with Purified ab109411 at 1 : 20 dilution (5 μg/ml) (Red). Cells were fixed with 4% Paraformaldehyde and permeabilised with 90% Methanol. A Goat anti rabbit IgG (Alexa Fluor® 488, ab150081) secondary antibody was used at 1 : 2000. Isotype control - Rabbit monoclonal IgG (Black). Unlabelled control - Cell without incubation with primary antibody and secondary antibody (Blue).

This data was developed using the same antibody clone in a different buffer formulation containing PBS, BSA, glycerol, and sodium azide (ab109411).

Immunocytochemistry/ Immunofluorescence - Anti-HDAC1 antibody [EPR460(2)] - BSA and Azide free (AB213701)
  • ICC/IF

Lab

Immunocytochemistry/ Immunofluorescence - Anti-HDAC1 antibody [EPR460(2)] - BSA and Azide free (AB213701)

Immunocytochemistry analysis of MCF7 (Human breast adenocarcinoma epithelial cell) cells labeling HDAC1 with Purified ab109411 at 1 : 50 dilution (2.4 μg/ml). Cells were fixed in 100% Methanol and permeabilized with 0.1% tritonX-100. Cells were counterstained with ab195889 Anti-alpha Tubulin antibody [DM1A] - Microtubule Marker (Alexa Fluor® 594) 1 : 200 (2.5 μg/ml). Goat anti rabbit IgG (Alexa Fluor® 488, ab150077) was used as the secondary antibody at 1 : 1000 (2 μg/ml) dilution. DAPI (blue) was used as nuclear counterstain. PBS instead of the primary antibody was used as the secondary antibody only control.

This data was developed using the same antibody clone in a different buffer formulation containing PBS, BSA, glycerol, and sodium azide (ab109411).

Immunocytochemistry/ Immunofluorescence - Anti-HDAC1 antibody [EPR460(2)] - BSA and Azide free (AB213701)
  • ICC/IF

Supplier Data

Immunocytochemistry/ Immunofluorescence - Anti-HDAC1 antibody [EPR460(2)] - BSA and Azide free (AB213701)

This data was developed using the same antibody clone in a different buffer formulation containing PBS, BSA, glycerol, and sodium azide (ab109411).

Immunocytochemical analysis of 4% paradormaldehyde fixed, 0.1% Triton X-100 permeabilised HeLa cells labeling HDAC1 with ab109411 at 1/50 (10.92 μg/ml) dilution, followed by ab150077 Goat Anti-Rabbit IgG H&L (Alexa Fluor® 488) secondary at 1/1000 (2 μg/ml) dilution. ab195889 Anti-alpha Tubulin mouse monoclonal antibody - Microtubule Marker (Alexa Fluor® 594) was used to counterstain at 1/200 (2.5 μg/ml) dilution. Nuclear counterstain : DAPI.

Confocal image showing mainly nuclear staining in HeLa cell line

Immunohistochemistry (Formalin/PFA-fixed paraffin-embedded sections) - Anti-HDAC1 antibody [EPR460(2)] - BSA and Azide free (AB213701)
  • IHC-P

Lab

Immunohistochemistry (Formalin/PFA-fixed paraffin-embedded sections) - Anti-HDAC1 antibody [EPR460(2)] - BSA and Azide free (AB213701)

Immunohistochemistry (Formalin/PFA-fixed paraffin-embedded sections) analysis of mouse spleen tissue sections labeling HDAC1 with Purified ab109411 at 1 : 100 dilution (1.2 μg/ml). Heat mediated antigen retrieval was performed using . Tissue was counterstained with Hematoxylin. Perform heat mediated antigen retrieval using ab93684 (Tris/EDTA buffer, pH 9.0) secondary antibody was used at 1 : 0 dilution. PBS instead of the primary antibody was used as the negative control.

This data was developed using the same antibody clone in a different buffer formulation containing PBS, BSA, glycerol, and sodium azide (ab109411).

Immunocytochemistry/ Immunofluorescence - Anti-HDAC1 antibody [EPR460(2)] - BSA and Azide free (AB213701)
  • ICC/IF

Supplier Data

Immunocytochemistry/ Immunofluorescence - Anti-HDAC1 antibody [EPR460(2)] - BSA and Azide free (AB213701)

This data was developed using the same antibody clone in a different buffer formulation containing PBS, BSA, glycerol, and sodium azide (ab109411).

Immunocytochemical analysis of 4% paradormaldehyde fixed, 0.1% Triton X-100 permeabilised NIH/3T3 cells labeling HDAC1 with ab109411 at 1/50 (10.92 μg/ml) dilution, followed by ab150077 Goat Anti-Rabbit IgG H&L (Alexa Fluor® 488) secondary at 1/1000 (2 μg/ml) dilution. ab195889 Anti-alpha Tubulin mouse monoclonal antibody - Microtubule Marker (Alexa Fluor® 594) was used to counterstain at 1/200 (2.5 μg/ml) dilution. Nuclear counterstain : DAPI.

Confocal image showing nuclear staining in NIH/3T3 cell line

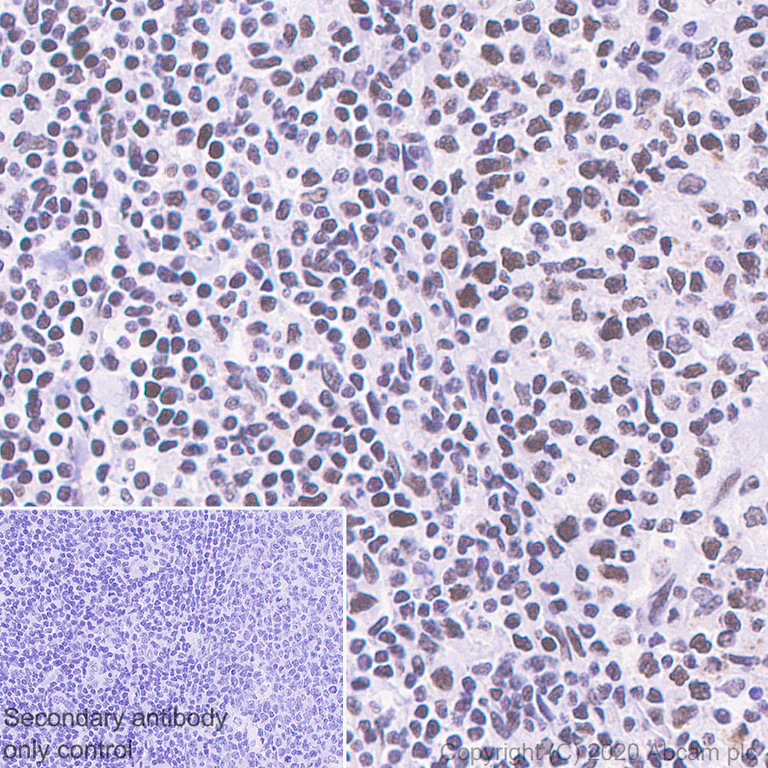
Immunohistochemistry (Formalin/PFA-fixed paraffin-embedded sections) - Anti-HDAC1 antibody [EPR460(2)] - BSA and Azide free (AB213701)
  • IHC-P

Lab

Immunohistochemistry (Formalin/PFA-fixed paraffin-embedded sections) - Anti-HDAC1 antibody [EPR460(2)] - BSA and Azide free (AB213701)

Immunohistochemistry (Formalin/PFA-fixed paraffin-embedded sections) analysis of rat spleen tissue sections labeling HDAC1 with Purified ab109411 at 1 : 100 dilution (1.2 μg/ml). Heat mediated antigen retrieval was performed using . Tissue was counterstained with Hematoxylin. Perform heat mediated antigen retrieval using ab93684 (Tris/EDTA buffer, pH 9.0) secondary antibody was used at 1 : 0 dilution. PBS instead of the primary antibody was used as the negative control.

This data was developed using the same antibody clone in a different buffer formulation containing PBS, BSA, glycerol, and sodium azide (ab109411).

Immunohistochemistry (Frozen sections) - Anti-HDAC1 antibody [EPR460(2)] - BSA and Azide free (AB213701)
  • IHC-Fr

Supplier Data

Immunohistochemistry (Frozen sections) - Anti-HDAC1 antibody [EPR460(2)] - BSA and Azide free (AB213701)

Immunohistochemical analysis of 4% PFA-fixed, 0.2% Triton X-100 permeabilized frozen Mouse hippocampus tissue labeling HDAC1 with ab109411 at 1/500 (5.55 ug/ml) dilution followed by ab150077 AlexaFluor®488 Goat anti-Rabbit secondary at 1/1000 (2 ug/ml) dilution (Green). Nuclear staining on mouse hippocampus. is observed. The nuclear counterstain was DAPI (Blue).

Secondary antibody control : Secondary antibody is ab150077 AlexaFluor®488 Goat anti-Rabbit secondary at 1000 (2 ug/ml) dilution.<\p>

Heat mediated antigen retrieval using sodium citrate buffer (10mM citrate pH 6.0 + 0.05% Tween-20).

This data was developed using the same antibody clone in a different buffer formulation containing PBS, BSA, glycerol, and sodium azide (ab109411).

Western blot - Anti-HDAC1 antibody [EPR460(2)] - BSA and Azide free (AB213701)
  • WB

Supplier Data

Western blot - Anti-HDAC1 antibody [EPR460(2)] - BSA and Azide free (AB213701)

Lane 1 : Wild-type HAP1 cell lysate (20 μg)
Lane 2 : HDAC1 knockout HAP1 cell lysate (20 μg)
Lane 3 : HeLa cell lysate (20 μg)
Lane 4 : Human breast carcinoma lysate (20 μg)
Lanes 1 - 4 : Merged signal (red and green). Green - ab109411 observed at 65 kDa. Red - loading control, ab8245, observed at 37 kDa.
ab109411 was shown to recognize HDAC1 when HDAC1 knockout samples were used, along with additional cross-reactive bands. Wild-type and HDAC1 knockout samples were subjected to SDS-PAGE. ab109411 and ab8245 (loading control to GAPDH) were diluted 1/1000 and 1/10,000 respectively and incubated overnight at 4°C. Blots were developed withGoat anti-Rabbit IgG H&L (IRDye® 800CW) preadsorbed (ab216773) and Goat anti-Mouse IgG H&L (IRDye® 680RD) preadsorbed (ab216776) secondary antibodies at 1/10,000 dilution for 1 h at room temperature before imaging

This data was developed using the same antibody clone in a different buffer formulation containing PBS, BSA, glycerol, and sodium azide (ab109411).

All lanes:

Western blot - Anti-HDAC1 antibody [EPR460(2)] - BSA and Azide free (ab213701)

Predicted band size: 55 kDa

false

Western blot - Anti-HDAC1 antibody [EPR460(2)] - BSA and Azide free (AB213701)
  • WB

Supplier Data

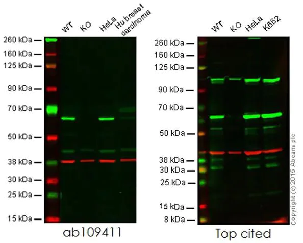
Western blot - Anti-HDAC1 antibody [EPR460(2)] - BSA and Azide free (AB213701)

Lane 1 : Wild-type HAP1 cell lysate (20 μg)
Lane 2 : HDAC1 knockout HAP1 cell lysate (20 μg)
Lane 3 : HeLa cell lysate (20 μg)
Lane 4 : Human breast carcinoma lysate (20 μg) or K562 lysate (20 μg)
Lanes 1 - 4 : Merged signal (red and green). Green - ab109411 observed at 65 kDa. Red - loading control, ab8245, observed at 37 kDa.

This western blot image is a comparison between ab109411 and a competitor's top cited rabbit polyclonal antibody.

Lane 1 : Wild-type HAP1 cell lysate (20 μg)
Lane 2 : HDAC1 knockout HAP1 cell lysate (20 μg)
Lane 3 : HeLa cell lysate (20 μg)
Lane 4 : Human breast carcinoma lysate (20 μg) or K562 lysate (20 μg)
Lanes 1 - 4 : Merged signal (red and green). Green - ab109411 observed at 65 kDa. Red - loading control, ab8245, observed at 37 kDa.

This western blot image is a comparison between ab109411 and a competitor's top cited rabbit polyclonal antibody.

This data was developed using the same antibody clone in a different buffer formulation containing PBS, BSA, glycerol, and sodium azide (ab109411).

All lanes:

Western blot - Anti-HDAC1 antibody [EPR460(2)] - BSA and Azide free (ab213701)

Predicted band size: 55 kDa

false

Western blot - Anti-HDAC1 antibody [EPR460(2)] - BSA and Azide free (AB213701)
  • WB

Unknown

Western blot - Anti-HDAC1 antibody [EPR460(2)] - BSA and Azide free (AB213701)

This data was developed using the same antibody clone in a different buffer formulation containing PBS, BSA, glycerol, and sodium azide (ab109411).

All lanes:

Western blot - Anti-HDAC1 antibody [EPR460(2)] - Nuclear Loading Control (<a href='/en-us/products/primary-antibodies/hdac1-antibody-epr4602-nuclear-loading-control-ab109411'>ab109411</a>) at 1/1000 dilution

Lane 1:

Jurkat (Human T cell leukemia T lymphocyte) whole cell lysate at 20 µg

Lane 2:

HeLa (Human cervix adenocarcinoma epithelial cell) whole cell lysate at 20 µg

Lane 3:

NIH/3T3 (Mouse embryonic fibroblast) whole cell lysate at 20 µg

Lane 4:

C6 (Rat glial tumor glial cell) whole cell lysate at 20 µg

Secondary

All lanes:

Western blot - Goat Anti-Rabbit IgG H&L (HRP) (<a href='/en-us/products/secondary-antibodies/goat-rabbit-igg-h-l-hrp-ab97051'>ab97051</a>) at 1/20000 dilution

Predicted band size: 55 kDa

false

Western blot - Anti-HDAC1 antibody [EPR460(2)] - BSA and Azide free (AB213701)
  • WB

CiteAb

Western blot - Anti-HDAC1 antibody [EPR460(2)] - BSA and Azide free (AB213701)

HDAC1 western blot using anti-HDAC1 antibody [EPR460(2)] - BSA and Azide free ab213701. Publication image and figure legend from Lin, M. Y., de Zoete, M. R., et al., 2015, Front Immunol, PubMed 26579129.

ab213701 was used in this publication in western blot. This may not be the same as the application(s) guaranteed by Abcam. For a full list of applications guaranteed by Abcam for ab213701 please see the product overview.

Immunomodulatory effects of SCFAs are mimicked by the histone deacetylase inhibitor TSA. (A) HDAC activity in HeLa lysates in the presence of 10 mM Na-butyrate, Na-propionate or 2 μM TSA. (B) Immunoblots of HEK293 and HeLa 57A incubated with 10 mM Na-Bu, 10 mM Na-Pro or 2 μM TSA for 30 min or 5 h analyzed with anti-acetyl-lysine antibody to visualize total histone acetylation and anti-HDAC1, HDAC2, HDAC3, and GAPDH antibodies. (C,D). Immunomodulatory effects of SCFAs are mimics by histone deacetylase inhibitor TSA. TLR5-NF-κB assays of HEK293 or HeLa 57A expressing TLR5 and an NF-κB-luciferase reporter. Cells were incubated with 10 mM Na-Bu, 10 mM Na-Pro or 2 μM TSA for 30 min followed by stimulation with S. enteriditis flagellin for 5 h. (E) TLR4-NF-κB assays of HEK293 or HeLa 57A expressing TLR4 and an NF-κB-luciferase reporter incubated with SCFA and LPS. Bars depict mean and SEM of three independent experiments. p < 0.05 (*), p < 0.01 (**), p < 0.005 (***).

false

  • Unconjugated

    Anti-HDAC1 antibody [EPR460(2)] - Nuclear Loading Control

  • 775 Alexa Fluor® 750

    Alexa Fluor® 750 Anti-HDAC1 antibody [EPR460(2)]

  • 665 Alexa Fluor® 647

    Alexa Fluor® 647 Anti-HDAC1 antibody [EPR460(2)]

  • 519 Alexa Fluor® 488

    Alexa Fluor® 488 Anti-HDAC1 antibody [EPR460(2)]

  • 578 PE

    PE Anti-HDAC1 antibody [EPR460(2)]

  • 660 APC

    APC Anti-HDAC1 antibody [EPR460(2)]

  • HRP

    HRP Anti-HDAC1 antibody [EPR460(2)]

  • 617 Alexa Fluor® 594

    Alexa Fluor® 594 Anti-HDAC1 antibody [EPR460(2)]

  • 565 Alexa Fluor® 555

    Alexa Fluor® 555 Anti-HDAC1 antibody [EPR460(2)]

  • 603 Alexa Fluor® 568

    Alexa Fluor® 568 Anti-HDAC1 antibody [EPR460(2)]

Key facts

Host species

Rabbit

Clonality

Monoclonal

Clone number

EPR460(2)

Isotype

IgG

Carrier free

Yes

Reacts with

Mouse, Human, Rat

Applications

Flow Cyt (Intra), WB, IP, IHC-P, ICC/IF, IHC-Fr

applications

Immunogen

The exact immunogen used to generate this antibody is proprietary information.

Reactivity data

{ "title": "Reactivity Data", "filters": { "stats": ["", "Species", "Dilution Info", "Notes"], "tabs": { "all-applications": {"fullname" : "All Applications", "shortname": "All Applications"}, "FlowCytIntra" : {"fullname" : "Flow Cytometry (Intracellular)", "shortname":"Flow Cyt (Intra)"}, "IHCFr" : {"fullname" : "Immunohistochemistry (Frozen sections)", "shortname":"IHC-Fr"}, "IHCP" : {"fullname" : "Immunohistochemistry (Formalin/PFA-fixed paraffin-embedded sections)", "shortname":"IHC-P"}, "IP" : {"fullname" : "Immunoprecipitation", "shortname":"IP"}, "WB" : {"fullname" : "Western blot", "shortname":"WB"}, "ICCIF" : {"fullname" : "Immunocytochemistry/ Immunofluorescence", "shortname":"ICC/IF"}, "ChIP" : {"fullname" : "ChIP", "shortname":"ChIP"} }, "product-promise": { "all": "all", "testedAndGuaranteed": "tested", "guaranteed": "expected", "predicted": "predicted", "notRecommended": "not-recommended" } }, "values": { "Human": { "FlowCytIntra-species-checked": "testedAndGuaranteed", "FlowCytIntra-species-dilution-info": "", "FlowCytIntra-species-notes": "<p><a href='/en-us/products/primary-antibodies/rabbit-igg-monoclonal-epr25a-isotype-control-low-endotoxin-azide-free-ab199376'>ab199376</a> - Rabbit monoclonal IgG, is suitable for use as an isotype control with this antibody.</p>", "IHCFr-species-checked": "guaranteed", "IHCFr-species-dilution-info": "", "IHCFr-species-notes": "", "IHCP-species-checked": "testedAndGuaranteed", "IHCP-species-dilution-info": "", "IHCP-species-notes": "<p></p> Perform heat-mediated antigen retrieval with citrate buffer pH 6 before commencing with IHC staining protocol.", "IP-species-checked": "guaranteed", "IP-species-dilution-info": "", "IP-species-notes": "<p></p>", "WB-species-checked": "testedAndGuaranteed", "WB-species-dilution-info": "", "WB-species-notes": "<p></p>", "ICCIF-species-checked": "guaranteed", "ICCIF-species-dilution-info": "", "ICCIF-species-notes": "<p></p>", "ChIP-species-checked": "notRecommended", "ChIP-species-dilution-info": "", "ChIP-species-notes": "<p></p>" }, "Mouse": { "FlowCytIntra-species-checked": "guaranteed", "FlowCytIntra-species-dilution-info": "", "FlowCytIntra-species-notes": "", "IHCFr-species-checked": "testedAndGuaranteed", "IHCFr-species-dilution-info": "", "IHCFr-species-notes": "<p>Heat mediated antigen retrieval using sodium citrate buffer (10mM citrate pH 6.0 + 0.05% Tween-20)</p>", "IHCP-species-checked": "guaranteed", "IHCP-species-dilution-info": "", "IHCP-species-notes": "", "IP-species-checked": "guaranteed", "IP-species-dilution-info": "", "IP-species-notes": "<p></p>", "WB-species-checked": "testedAndGuaranteed", "WB-species-dilution-info": "", "WB-species-notes": "<p></p>", "ICCIF-species-checked": "guaranteed", "ICCIF-species-dilution-info": "", "ICCIF-species-notes": "<p></p>", "ChIP-species-checked": "notRecommended", "ChIP-species-dilution-info": "", "ChIP-species-notes": "" }, "Rat": { "FlowCytIntra-species-checked": "guaranteed", "FlowCytIntra-species-dilution-info": "", "FlowCytIntra-species-notes": "", "IHCFr-species-checked": "testedAndGuaranteed", "IHCFr-species-dilution-info": "", "IHCFr-species-notes": "<p>Heat mediated antigen retrieval using sodium citrate buffer (10mM citrate pH 6.0 + 0.05% Tween-20)</p>", "IHCP-species-checked": "guaranteed", "IHCP-species-dilution-info": "", "IHCP-species-notes": "", "IP-species-checked": "guaranteed", "IP-species-dilution-info": "", "IP-species-notes": "<p></p>", "WB-species-checked": "testedAndGuaranteed", "WB-species-dilution-info": "", "WB-species-notes": "<p></p>", "ICCIF-species-checked": "guaranteed", "ICCIF-species-dilution-info": "", "ICCIF-species-notes": "<p></p>", "ChIP-species-checked": "notRecommended", "ChIP-species-dilution-info": "", "ChIP-species-notes": "" } } }

Product details

ab213701 is the carrier-free version of ab109411.

Patented technology
Our RabMAb® technology is a patented hybridoma-based technology for making rabbit monoclonal antibodies. For details on our patents, please refer to RabMAb® patents.

What are the advantages of a recombinant monoclonal antibody?
This product is a recombinant monoclonal antibody, which offers several advantages including:

  • - High batch-to-batch consistency and reproducibility
  • - Improved sensitivity and specificity
  • - Long-term security of supply
  • - Animal-free batch production

For more information, read more on recombinant antibodies.

Conjugation ready
Our carrier-free antibodies are typically supplied in a PBS-only formulation, purified and free of BSA, sodium azide and glycerol. This conjugation-ready format is designed for use with fluorochromes, metal isotopes, oligonucleotides, and enzymes, which makes them ideal for antibody labelling, functional and cell-based assays, flow-based assays (e.g. mass cytometry) and Multiplex Imaging applications.

Use our conjugation kits for antibody conjugates that are ready-to-use in as little as 20 minutes with 1 minute hands-on-time and 100% antibody recovery: available for fluorescent dyes, HRP, biotin and gold.

Compatibility
This product is compatible with the Maxpar® Antibody Labeling Kit from Fluidigm, without the need for antibody preparation. Maxpar® is a trademark of Fluidigm Canada Inc.

Properties and storage information

Form
Liquid
Purification technique
Affinity purification Protein A
Storage buffer
pH: 7.2 - 7.4 Constituents: PBS
Shipped at conditions
Blue Ice
Appropriate short-term storage conditions
+4°C
Appropriate long-term storage conditions
+4°C
Storage information
Do Not Freeze

Supplementary information

This supplementary information is collated from multiple sources and compiled automatically.

HDAC1 also known as Histone Deacetylase 1 is a member of the histone deacetylase family with a molecular weight of approximately 55 kDa. Mechanically HDAC1 removes acetyl groups from lysine residues on histone proteins an action known as histone deacetylation. This process causes chromatin structure to become more compact which leads to transcriptional repression. HDAC1 is broadly expressed in various tissues particularly in the brain heart and kidneys and is vital for cellular development and differentiation.
Biological function summary

The enzymatic activity of histone deacetylase effectively controls gene expression. HDAC1 participates as a part of the multiprotein complexes including SIN3 and NuRD which play vital roles in the regulation of transcription. By altering the acetylation state of histones HDAC1 influences chromatin remodeling thereby affecting the accessibility of transcription factors to DNA and controlling genes necessary for cell cycle progression and proliferation.

Pathways

The function of HDAC1 fits into the regulation of the cell cycle and apoptosis pathways. In the cell cycle pathway HDAC1 interacts with other histone deacetylases (HDACs) and plays a role in controlling the progression of the cell division. The interplay between HDAC1 and proteins such as p53 further showcases its regulatory activity in apoptosis ensuring cell survival or programmed cell death when necessary.

HDAC1 shows significant relevance to cancer and neurodegenerative diseases. In cancer the overexpression or abnormal regulation of HDAC1 can lead to uncontrolled cell proliferation often linked to the silencing of tumor suppressor genes. Within neurodegenerative conditions HDAC1-related disturbances in gene expression may result in impaired neuronal function and survival. The involvement of HDAC1 with proteins such as p53 and other HDACs illustrates its impact on complex disease mechanisms making it a critical target for therapeutic interventions.

Product protocols

For this product, it's our understanding that no specific protocols are required. You can visit:

Target data

Histone deacetylase that catalyzes the deacetylation of lysine residues on the N-terminal part of the core histones (H2A, H2B, H3 and H4) (PubMed : 16762839, PubMed : 17704056, PubMed : 28497810). Histone deacetylation gives a tag for epigenetic repression and plays an important role in transcriptional regulation, cell cycle progression and developmental events (PubMed : 16762839, PubMed : 17704056). Histone deacetylases act via the formation of large multiprotein complexes (PubMed : 16762839, PubMed : 17704056). Acts as a component of the histone deacetylase NuRD complex which participates in the remodeling of chromatin (PubMed : 16428440, PubMed : 28977666). As part of the SIN3B complex is recruited downstream of the constitutively active genes transcriptional start sites through interaction with histones and mitigates histone acetylation and RNA polymerase II progression within transcribed regions contributing to the regulation of transcription (PubMed : 21041482). Also functions as a deacetylase for non-histone targets, such as NR1D2, RELA, SP1, SP3, STAT3, ZNF76 and TSHZ3 (PubMed : 12837748, PubMed : 16285960, PubMed : 16337145, PubMed : 16478997, PubMed : 17996965, PubMed : 19343227). Deacetylates SP proteins, SP1 and SP3, and regulates their function (PubMed : 12837748, PubMed : 16478997). Component of the BRG1-RB1-HDAC1 complex, which negatively regulates the CREST-mediated transcription in resting neurons (PubMed : 19081374). Upon calcium stimulation, HDAC1 is released from the complex and CREBBP is recruited, which facilitates transcriptional activation (PubMed : 19081374). Deacetylates TSHZ3 and regulates its transcriptional repressor activity (PubMed : 19343227). Deacetylates 'Lys-310' in RELA and thereby inhibits the transcriptional activity of NF-kappa-B (PubMed : 17000776). Deacetylates NR1D2 and abrogates the effect of KAT5-mediated relieving of NR1D2 transcription repression activity (PubMed : 17996965). Component of a RCOR/GFI/KDM1A/HDAC complex that suppresses, via histone deacetylase (HDAC) recruitment, a number of genes implicated in multilineage blood cell development (By similarity). Involved in CIART-mediated transcriptional repression of the circadian transcriptional activator : CLOCK-BMAL1 heterodimer (By similarity). Required for the transcriptional repression of circadian target genes, such as PER1, mediated by the large PER complex or CRY1 through histone deacetylation (By similarity). In addition to protein deacetylase activity, also has protein-lysine deacylase activity : acts as a protein decrotonylase and delactylase by mediating decrotonylation ((2E)-butenoyl) and delactylation (lactoyl) of histones, respectively (PubMed : 28497810, PubMed : 35044827).
See full target information HDAC1

Publications (7)

Recent publications for all applications. Explore the full list and refine your search

Cell death & disease 11:508 PubMed32641713

2020

Oxidized ATM promotes breast cancer stem cell enrichment through energy metabolism reprogram-mediated acetyl-CoA accumulation.

Applications

Unspecified application

Species

Unspecified reactive species

Dan Yang,Meixi Peng,Yixuan Hou,Yilu Qin,Xueying Wan,Pengpeng Zhu,Shuiqing Liu,Liping Yang,Huan Zeng,Ting Jin,Yuxiang Qiu,Qiao Li,Manran Liu

Human molecular genetics 29:1833-1852 PubMed31943063

2020

Reduction of Tet2 exacerbates early stage Alzheimer's pathology and cognitive impairments in 2×Tg-AD mice.

Applications

Unspecified application

Species

Unspecified reactive species

Liping Li,Yisha Qiu,Miao Miao,Zhitao Liu,Wanyi Li,Yiyi Zhu,Qinwen Wang

Molecular oncology 10:751-63 PubMed26794465

2016

Enhanced efficacy of combined HDAC and PARP targeting in glioblastoma.

Applications

WB

Species

Human

Rikke D Rasmussen,Madhavsai K Gajjar,Kamilla E Jensen,Petra Hamerlik

Frontiers in immunology 6:554 PubMed26579129

2015

Redirection of Epithelial Immune Responses by Short-Chain Fatty Acids through Inhibition of Histone Deacetylases.

Applications

WB

Species

Human

May Young Lin,Marcel R de Zoete,Jos P M van Putten,Karin Strijbis

Molecular and cellular biology 34:765-75 PubMed24344198

2013

ELL inhibits E2F1 transcriptional activity by enhancing E2F1 deacetylation via recruitment of histone deacetylase 1.

Applications

Unspecified application

Species

Unspecified reactive species

Wei Zhang,Wei Ji,Xing Liu,Gang Ouyang,Wuhan Xiao

Histochemistry and cell biology 137:697-702 PubMed22297573

2012

Histone deacetylases 2 and 9 are coexpressed and nuclear localized in human molar odontoblasts in vivo.

Applications

IHC-FrFl

Species

Human

Franz J Klinz,Yüksel Korkmaz,Wilhelm Bloch,Wolfgang H M Raab,Klaus Addicks

Molecular & cellular proteomics : MCP 10:M111.010462 PubMed21566225

2011

Genome-wide characterization of miR-34a induced changes in protein and mRNA expression by a combined pulsed SILAC and microarray analysis.

Applications

WB

Species

Human

Markus Kaller,Sven-Thorsten Liffers,Silke Oeljeklaus,Katja Kuhlmann,Simone Röh,Reinhard Hoffmann,Bettina Warscheid,Heiko Hermeking
View all publications

Product promise

We are committed to supporting your work with high-quality reagents, and we're here for you every step of the way. In the unlikely event that one of our products does not perform as expected, you're protected by our Product Promise.
For full details, please see our Terms & Conditions

Please note: All products are 'FOR RESEARCH USE ONLY. NOT FOR USE IN DIAGNOSTIC OR THERAPEUTIC PROCEDURES'.

For licensing inquiries, please contact partnerships@abcam.com