JavaScript is disabled in your browser. Please enable JavaScript to view this website.
AB219054

Anti-HDAC1 + HDAC2 antibody [EPR20327]

Be the first to review this product! Submit a review

|

(1 Publication)

Rabbit Recombinant Monoclonal HDAC2 antibody. Suitable for IP, WB, ICC/IF, Flow Cyt (Intra), IHC-P and reacts with Human, Mouse, Rat samples. Cited in 1 publication.

View Alternative Names

Histone deacetylase 2, HD2, Protein deacylase HDAC2, HDAC2

16 Images
Immunohistochemistry (Formalin/PFA-fixed paraffin-embedded sections) - Anti-HDAC1 + HDAC2 antibody [EPR20327] (AB219054)
  • IHC-P

Supplier Data

Immunohistochemistry (Formalin/PFA-fixed paraffin-embedded sections) - Anti-HDAC1 + HDAC2 antibody [EPR20327] (AB219054)

Immunohistochemical analysis of paraffin-embedded human testis tissue labeling HDAC1 + HDAC2 with ab219054 at 1/1000 dilution followed by Goat Anti-Rabbit IgG H&L (HRP) Ready to use.

Nuclear staining on human testis is observed.

Counter stained with Hematoxylin.

Secondary antibody only control : Used PBS instead of primary antibody secondary antibody is Goat Anti-Rabbit IgG H&L (HRP) Ready to use.

Perform heat mediated antigen retrieval with Tris/EDTA buffer pH 9.0 before commencing with IHC staining protocol.

Western blot - Anti-HDAC1 + HDAC2 antibody [EPR20327] (AB219054)
  • WB

Supplier Data

Western blot - Anti-HDAC1 + HDAC2 antibody [EPR20327] (AB219054)

Blocking/Dilution buffer : 5% NFDM/TBST.

All lanes:

Western blot - Anti-HDAC1 + HDAC2 antibody [EPR20327] (ab219054) at 1/1000 dilution

Lane 1:

Human fetal heart lysate at 10 µg

Lane 2:

Human fetal kidney lysate at 10 µg

Secondary

All lanes:

Western blot - VeriBlot for IP Detection Reagent (HRP) (<a href='/en-us/products/reagents/veriblot-for-ip-detection-reagent-hrp-ab131366'>ab131366</a>) at 1/4000 dilution

Predicted band size: 55 kDa

Observed band size: 55 kDa

false

Exposure time: 3min

Immunohistochemistry (Formalin/PFA-fixed paraffin-embedded sections) - Anti-HDAC1 + HDAC2 antibody [EPR20327] (AB219054)
  • IHC-P

Supplier Data

Immunohistochemistry (Formalin/PFA-fixed paraffin-embedded sections) - Anti-HDAC1 + HDAC2 antibody [EPR20327] (AB219054)

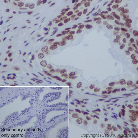
Immunohistochemical analysis of paraffin-embedded human prostate hyperplasia tissue labeling HDAC1 + HDAC2 with ab219054 at 1/1000 dilution followed by Goat Anti-Rabbit IgG H&L (HRP) Ready to use.

Nuclear staining on luminal epithelial cells of human prostate hyperplasia but negative staining on basal cells.

Counter stained with Hematoxylin.

Secondary antibody only control : Used PBS instead of primary antibody secondary antibody is Goat Anti-Rabbit IgG H&L (HRP) Ready to use.

Perform heat mediated antigen retrieval with Tris/EDTA buffer pH 9.0 before commencing with IHC staining protocol.

Immunohistochemistry (Formalin/PFA-fixed paraffin-embedded sections) - Anti-HDAC1 + HDAC2 antibody [EPR20327] (AB219054)
  • IHC-P

Supplier Data

Immunohistochemistry (Formalin/PFA-fixed paraffin-embedded sections) - Anti-HDAC1 + HDAC2 antibody [EPR20327] (AB219054)

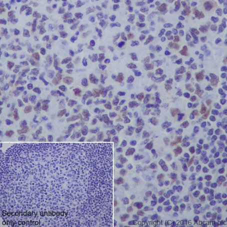
Immunohistochemical analysis of paraffin-embedded human tonsil tissue labeling HDAC1 + HDAC2 with ab219054 at 1/1000 dilution followed by Goat Anti-Rabbit IgG H&L (HRP) Ready to use.

Nuclear staining on lymphocytes of human tonsil is observed.

Counter stained with Hematoxylin.

Secondary antibody only control : Used PBS instead of primary antibody secondary antibody is Goat Anti-Rabbit IgG H&L (HRP) Ready to use.

Perform heat mediated antigen retrieval with Tris/EDTA buffer pH 9.0 before commencing with IHC staining protocol.

Flow Cytometry (Intracellular) - Anti-HDAC1 + HDAC2 antibody [EPR20327] (AB219054)
  • Flow Cyt (Intra)

Unknown

Flow Cytometry (Intracellular) - Anti-HDAC1 + HDAC2 antibody [EPR20327] (AB219054)

Intracellular flow cytometric analysis of 4% paraformaldehyde-fixed HeLa (Human epithelial cell linefrom cervix adenocarcinoma) cells labeling HDAC1 + HDAC2 with ab219054 at 1/700 dilution (red) compared with a rabbit monoclonal IgG isotype control (ab172730; black) and an unlabeled control (cells without incubation with primary antibody and secondary antibody; blue). Goat anti rabbit IgG (Alexa Fluor® 488) at 1/2000 dilution was used as the secondary antibody.

Immunohistochemistry (Formalin/PFA-fixed paraffin-embedded sections) - Anti-HDAC1 + HDAC2 antibody [EPR20327] (AB219054)
  • IHC-P

Supplier Data

Immunohistochemistry (Formalin/PFA-fixed paraffin-embedded sections) - Anti-HDAC1 + HDAC2 antibody [EPR20327] (AB219054)

Immunohistochemical analysis of paraffin-embedded human breast cancer tissue labeling HDAC1 + HDAC2 with ab219054 at 1/1000 dilution followed by Goat Anti-Rabbit IgG H&L (HRP) Ready to use.

Nuclear staining on tumor cells of human breast cancer is observed.

Counter stained with Hematoxylin.

Secondary antibody only control : Used PBS instead of primary antibody secondary antibody is Goat Anti-Rabbit IgG H&L (HRP) Ready to use.

Perform heat mediated antigen retrieval with Tris/EDTA buffer pH 9.0 before commencing with IHC staining protocol.

Immunohistochemistry (Formalin/PFA-fixed paraffin-embedded sections) - Anti-HDAC1 + HDAC2 antibody [EPR20327] (AB219054)
  • IHC-P

Supplier Data

Immunohistochemistry (Formalin/PFA-fixed paraffin-embedded sections) - Anti-HDAC1 + HDAC2 antibody [EPR20327] (AB219054)

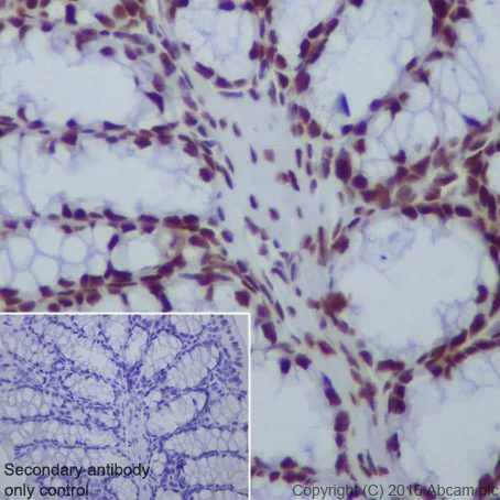
Immunohistochemical analysis of paraffin-embedded mouse colon tissue labeling HDAC1 + HDAC2 with ab219054 at 1/1000 dilution followed by Goat Anti-Rabbit IgG H&L (HRP) Ready to use.

Nuclear staining on mouse colon is observed.

Counter stained with Hematoxylin.

Secondary antibody only control : Used PBS instead of primary antibody secondary antibody is Goat Anti-Rabbit IgG H&L (HRP) Ready to use.

Perform heat mediated antigen retrieval with Tris/EDTA buffer pH 9.0 before commencing with IHC staining protocol.

Immunohistochemistry (Formalin/PFA-fixed paraffin-embedded sections) - Anti-HDAC1 + HDAC2 antibody [EPR20327] (AB219054)
  • IHC-P

Supplier Data

Immunohistochemistry (Formalin/PFA-fixed paraffin-embedded sections) - Anti-HDAC1 + HDAC2 antibody [EPR20327] (AB219054)

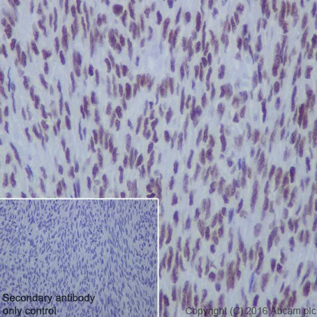
Immunohistochemical analysis of paraffin-embedded human synovial sarcoma tissue labeling HDAC1 + HDAC2 with ab219054 at 1/1000 dilution followed by Goat Anti-Rabbit IgG H&L (HRP) Ready to use.

Nuclear staining on human synovial sarcoma is observed.

Counter stained with Hematoxylin.

Secondary antibody only control : Used PBS instead of primary antibody secondary antibody is Goat Anti-Rabbit IgG H&L (HRP) Ready to use.

Perform heat mediated antigen retrieval with Tris/EDTA buffer pH 9.0 before commencing with IHC staining protocol.

Immunohistochemistry (Formalin/PFA-fixed paraffin-embedded sections) - Anti-HDAC1 + HDAC2 antibody [EPR20327] (AB219054)
  • IHC-P

Supplier Data

Immunohistochemistry (Formalin/PFA-fixed paraffin-embedded sections) - Anti-HDAC1 + HDAC2 antibody [EPR20327] (AB219054)

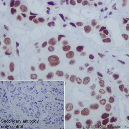
Immunohistochemical analysis of paraffin-embedded human prostate cancer tissue labeling HDAC1 + HDAC2 with ab219054 at 1/1000 dilution followed by Goat Anti-Rabbit IgG H&L (HRP) Ready to use.

Nuclear staining on tumor cells of prostate cancer; weak or negative staining on basal cells.

Counter stained with Hematoxylin.

Secondary antibody only control : Used PBS instead of primary antibody secondary antibody is Goat Anti-Rabbit IgG H&L (HRP) Ready to use.

Perform heat mediated antigen retrieval with Tris/EDTA buffer pH 9.0 before commencing with IHC staining protocol.

Immunocytochemistry/ Immunofluorescence - Anti-HDAC1 + HDAC2 antibody [EPR20327] (AB219054)
  • ICC/IF

Supplier Data

Immunocytochemistry/ Immunofluorescence - Anti-HDAC1 + HDAC2 antibody [EPR20327] (AB219054)

Immunofluorescent analysis of 4% paraformaldehyde-fixed 0.1% Triton X-100 permeabilized NIH/3T3 (Mouse embryonic fibroblast cell line) cells labeling HDAC1 + HDAC2 with ab219054 at 1/1000 dilution followed by Goat anti-rabbit IgG (Alexa Fluor® 488) (ab150077) secondary antibody at 1/1000 dilution (green).

Confocal image showing nuclear staining on NIH/3T3 cell line.

The nuclear counterstain is DAPI (blue).

Tubulin is detected with ab195889 (Anti-alpha Tubulin antibody [DM1A] - Microtubule Marker (Alexa Fluor® 594)) at 1/200 dilution (red).

Secondary antibody only control : Used PBS instead of primary antibody secondary antibody is Goat anti-rabbit IgG (Alexa Fluor® 488) (ab150077) at 1/1000 dilution.

Immunocytochemistry/ Immunofluorescence - Anti-HDAC1 + HDAC2 antibody [EPR20327] (AB219054)
  • ICC/IF

Supplier Data

Immunocytochemistry/ Immunofluorescence - Anti-HDAC1 + HDAC2 antibody [EPR20327] (AB219054)

Immunofluorescent analysis of 4% paraformaldehyde-fixed 0.1% Triton X-100 permeabilized HEK-293 (Human epithelial cell line from embryonic kidney) cells labeling HDAC1 + HDAC2 with ab219054 at 1/1000 dilution followed by Goat anti-rabbit IgG (Alexa Fluor® 488) (ab150077) secondary antibody at 1/1000 dilution (green).

Confocal image showing nuclear staining on HEK-293 cell line.

The nuclear counterstain is DAPI (blue).

Tubulin is detected with ab195889 (Anti-alpha Tubulin antibody [DM1A] - Microtubule Marker (Alexa Fluor® 594)) at 1/200 dilution (red).

Secondary antibody only control : Used PBS instead of primary antibody secondary antibody is Goat anti-rabbit IgG (Alexa Fluor® 488) (ab150077) at 1/1000 dilution.

Immunoprecipitation - Anti-HDAC1 + HDAC2 antibody [EPR20327] (AB219054)
  • IP

Supplier Data

Immunoprecipitation - Anti-HDAC1 + HDAC2 antibody [EPR20327] (AB219054)

HDAC1 + HDAC2 was immunoprecipitated from 0.35 mg of HeLa (Human epithelial cell line from cervix adenocarcinoma) whole cell lysate with ab219054 at 1/30 dilution.

Western blot was performed from the immunoprecipitate using ab219054 at 1/1000 dilution.

VeriBlot for IP Detection Reagent (HRP) (ab131366), was used for detection at 1/10000 dilution.

Lane 1 : HeLa whole cell lysate 10 μg (Input).

Lane 2 : ab219054 IP in HeLa whole cell lysate.

Lane 3 : Rabbit monoclonal IgG (ab172730) instead of ab219054 in HeLa whole cell lysate.

Blocking and dilution buffer and concentration : 5% NFDM/TBST.

Exposure time : 1 second.

All lanes:

Immunoprecipitation - Anti-HDAC1 + HDAC2 antibody [EPR20327] (ab219054)

false

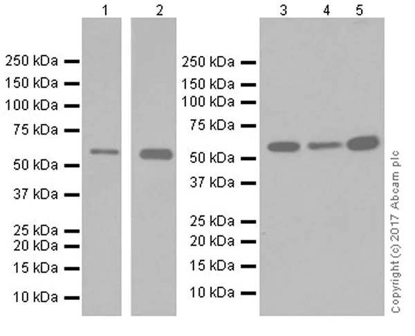
Western blot - Anti-HDAC1 + HDAC2 antibody [EPR20327] (AB219054)
  • WB

Supplier Data

Western blot - Anti-HDAC1 + HDAC2 antibody [EPR20327] (AB219054)

Blocking/Dilution buffer : 5% NFDM/TBST.

Exposure time : Lane 1/3-5 : 3 minutes; Lane 2 : 10 seconds.

All lanes:

Western blot - Anti-HDAC1 + HDAC2 antibody [EPR20327] (ab219054) at 1/1000 dilution

Lane 1:

Mouse brain lysate at 10 µg

Lane 2:

Mouse spleen lysate at 10 µg

Lane 3:

Rat brain lysate at 10 µg

Lane 4:

Rat kidney lysate at 10 µg

Lane 5:

Rat spleen lysate at 10 µg

Secondary

All lanes:

Western blot - Goat Anti-Rabbit IgG H&L (HRP) (<a href='/en-us/products/secondary-antibodies/goat-rabbit-igg-h-l-hrp-ab97051'>ab97051</a>) at 1/100000 dilution

Predicted band size: 55 kDa

Observed band size: 55 kDa

false

Western blot - Anti-HDAC1 + HDAC2 antibody [EPR20327] (AB219054)
  • WB

Supplier Data

Western blot - Anti-HDAC1 + HDAC2 antibody [EPR20327] (AB219054)

Blocking/Dilution buffer : 5% NFDM/TBST.

All lanes:

Western blot - Anti-HDAC1 + HDAC2 antibody [EPR20327] (ab219054) at 1/10000 dilution

Lane 1:

His-tagged human HDAC2 recombinant protein (aa339-488) at 0.01 µg

Lane 2:

His-tagged human HDAC1 recombinant protein (aa1-482) at 0.01 µg

Secondary

All lanes:

Western blot - Goat Anti-Rabbit IgG H&L (HRP) (<a href='/en-us/products/secondary-antibodies/goat-rabbit-igg-h-l-hrp-ab97051'>ab97051</a>) at 1/100000 dilution

Predicted band size: 55 kDa

Observed band size: 22 kDa,60 kDa

false

Western blot - Anti-HDAC1 + HDAC2 antibody [EPR20327] (AB219054)
  • WB

Supplier Data

Western blot - Anti-HDAC1 + HDAC2 antibody [EPR20327] (AB219054)

Blocking/Dilution buffer : 5% NFDM/TBST.

All lanes:

Western blot - Anti-HDAC1 + HDAC2 antibody [EPR20327] (ab219054) at 1/1000 dilution

Lane 1:

C6 (Rat glial tumor cell line) whole cell lysate at 10 µg

Lane 2:

RAW 264.7 (Mouse macrophage cell line transformed with Abelson murine leukemia virus) whole cell lysate at 10 µg

Lane 3:

PC-12 (Rat adrenal gland pheochromocytoma cell line) whole cell lysate at 10 µg

Lane 4:

NIH/3T3 (Mouse embryonic fibroblast cell line) whole cell lysate at 10 µg

Secondary

All lanes:

Western blot - Goat Anti-Rabbit IgG H&L (HRP) (<a href='/en-us/products/secondary-antibodies/goat-rabbit-igg-h-l-hrp-ab97051'>ab97051</a>) at 1/100000 dilution

Predicted band size: 55 kDa

Observed band size: 55 kDa

false

Exposure time: 5s

Western blot - Anti-HDAC1 + HDAC2 antibody [EPR20327] (AB219054)
  • WB

Supplier Data

Western blot - Anti-HDAC1 + HDAC2 antibody [EPR20327] (AB219054)

Blocking/Dilution buffer : 5% NFDM/TBST.

All lanes:

Western blot - Anti-HDAC1 + HDAC2 antibody [EPR20327] (ab219054) at 1/2000 dilution

Lane 1:

HeLa (Human epithelial cell line from cervix adenocarcinoma) whole cell lysate at 20 µg

Lane 2:

LNCaP (Human prostate cancer cell line) whole cell lysate at 20 µg

Lane 3:

SH-SY5Y (Human neuroblastoma cell line from bone marrow) whole cell lysate at 20 µg

Lane 4:

293 (Human epithelial cell line from embryonic kidney) whole cell lysate at 20 µg

Secondary

All lanes:

Western blot - Goat Anti-Rabbit IgG H&L (HRP) (<a href='/en-us/products/secondary-antibodies/goat-rabbit-igg-h-l-hrp-ab97051'>ab97051</a>) at 1/100000 dilution

Predicted band size: 55 kDa

Observed band size: 55 kDa

false

Exposure time: 5s

  • 578 PE

    PE Anti-HDAC1 + HDAC2 antibody [EPR20327]

  • HRP

    HRP Anti-HDAC1 + HDAC2 antibody [EPR20327]

  • 519 Alexa Fluor® 488

    Alexa Fluor® 488 Anti-HDAC1 + HDAC2 antibody [EPR20327]

  • 665 Alexa Fluor® 647

    Alexa Fluor® 647 Anti-HDAC1 + HDAC2 antibody [EPR20327]

  • 565 Alexa Fluor® 555

    Alexa Fluor® 555 Anti-HDAC1 + HDAC2 antibody [EPR20327]

  • Carrier free

    Anti-HDAC1+HDAC2 antibody [EPR20327] - BSA and Azide free

  • 660 APC

    APC Anti-HDAC1 + HDAC2 antibody [EPR20327]

  • 617 Alexa Fluor® 594

    Alexa Fluor® 594 Anti-HDAC1 + HDAC2 antibody [EPR20327]

  • 603 Alexa Fluor® 568

    Alexa Fluor® 568 Anti-HDAC1 + HDAC2 antibody [EPR20327]

  • 775 Alexa Fluor® 750

    Alexa Fluor® 750 Anti-HDAC1 + HDAC2 antibody [EPR20327]

Key facts

Host species

Rabbit

Clonality

Monoclonal

Clone number

EPR20327

Isotype

IgG

Carrier free

No

Reacts with

Mouse, Rat, Human

Applications

IHC-P, Flow Cyt (Intra), WB, IP, ICC/IF

applications

Immunogen

The exact immunogen used to generate this antibody is proprietary information.

Reactivity data

{ "title": "Reactivity Data", "filters": { "stats": ["", "Species", "Dilution Info", "Notes"], "tabs": { "all-applications": {"fullname" : "All Applications", "shortname": "All Applications"}, "IP" : {"fullname" : "Immunoprecipitation", "shortname":"IP"}, "WB" : {"fullname" : "Western blot", "shortname":"WB"}, "ICCIF" : {"fullname" : "Immunocytochemistry/ Immunofluorescence", "shortname":"ICC/IF"}, "FlowCytIntra" : {"fullname" : "Flow Cytometry (Intracellular)", "shortname":"Flow Cyt (Intra)"}, "IHCP" : {"fullname" : "Immunohistochemistry (Formalin/PFA-fixed paraffin-embedded sections)", "shortname":"IHC-P"} }, "product-promise": { "all": "all", "testedAndGuaranteed": "tested", "guaranteed": "expected", "predicted": "predicted", "notRecommended": "not-recommended" } }, "values": { "Human": { "IP-species-checked": "testedAndGuaranteed", "IP-species-dilution-info": "1/30", "IP-species-notes": "<p></p>", "WB-species-checked": "testedAndGuaranteed", "WB-species-dilution-info": "1/1000", "WB-species-notes": "<p></p>", "ICCIF-species-checked": "testedAndGuaranteed", "ICCIF-species-dilution-info": "1/1000", "ICCIF-species-notes": "<p></p>", "FlowCytIntra-species-checked": "testedAndGuaranteed", "FlowCytIntra-species-dilution-info": "1/700", "FlowCytIntra-species-notes": "<p></p>", "IHCP-species-checked": "testedAndGuaranteed", "IHCP-species-dilution-info": "1/1000", "IHCP-species-notes": "<p></p> Perform heat-mediated antigen retrieval with Tris/EDTA buffer pH 9.0 before commencing with IHC staining protocol." }, "Mouse": { "IP-species-checked": "guaranteed", "IP-species-dilution-info": "", "IP-species-notes": "", "WB-species-checked": "testedAndGuaranteed", "WB-species-dilution-info": "1/1000", "WB-species-notes": "<p></p>", "ICCIF-species-checked": "testedAndGuaranteed", "ICCIF-species-dilution-info": "1/1000", "ICCIF-species-notes": "<p></p>", "FlowCytIntra-species-checked": "guaranteed", "FlowCytIntra-species-dilution-info": "", "FlowCytIntra-species-notes": "", "IHCP-species-checked": "testedAndGuaranteed", "IHCP-species-dilution-info": "1/1000", "IHCP-species-notes": "<p></p> Perform heat-mediated antigen retrieval with Tris/EDTA buffer pH 9.0 before commencing with IHC staining protocol." }, "Rat": { "IP-species-checked": "guaranteed", "IP-species-dilution-info": "", "IP-species-notes": "", "WB-species-checked": "testedAndGuaranteed", "WB-species-dilution-info": "1/1000", "WB-species-notes": "<p></p>", "ICCIF-species-checked": "guaranteed", "ICCIF-species-dilution-info": "", "ICCIF-species-notes": "", "FlowCytIntra-species-checked": "guaranteed", "FlowCytIntra-species-dilution-info": "", "FlowCytIntra-species-notes": "", "IHCP-species-checked": "guaranteed", "IHCP-species-dilution-info": "", "IHCP-species-notes": "" } } }

Product details

Patented technology
Our RabMAb® technology is a patented hybridoma-based technology for making rabbit monoclonal antibodies. For details on our patents, please refer to RabMAb® patents.

What are the advantages of a recombinant monoclonal antibody?
This product is a recombinant monoclonal antibody, which offers several advantages including:

  • - High batch-to-batch consistency and reproducibility
  • - Improved sensitivity and specificity
  • - Long-term security of supply
  • - Animal-free batch production

For more information, read more on recombinant antibodies.

Properties and storage information

Form
Liquid
Purification technique
Affinity purification Protein A
Storage buffer
pH: 7.2 - 7.4 Preservative: 0.01% Sodium azide Constituents: PBS, 40% Glycerol (glycerin, glycerine), 0.05% BSA
Shipped at conditions
Blue Ice
Appropriate short-term storage duration
1-2 weeks
Appropriate short-term storage conditions
+4°C
Appropriate long-term storage conditions
-20°C
Aliquoting information
Upon delivery aliquot
Storage information
Avoid freeze / thaw cycle

Supplementary information

This supplementary information is collated from multiple sources and compiled automatically.

HDAC1 and HDAC2 also known as histone deacetylase 1 and 2 are enzymes that remove acetyl groups from histone proteins leading to chromatin condensation and transcriptional repression. HDAC1 has a molecular weight of approximately 62 kDa and is expressed in various cell types including those in the central nervous system heart and immune cells. HDAC2 shares similar expression patterns with a molecular weight around 55 kDa. Both proteins play a role in regulating gene expression by altering chromatin structure.
Biological function summary

Both HDAC1 and HDAC2 are components of large multiprotein complexes such as the Sin3 NuRD and CoREST complexes which are involved in transcriptional regulation. These complexes facilitate the deacetylation of histones transcription factors and other cellular proteins influencing cell cycle progression differentiation and development. HDAC1 and HDAC2 modulate cellular activities impacting cell proliferation and survival.

Pathways

HDAC1 and HDAC2 participate in key cellular processes particularly the cell cycle and apoptosis pathways. These enzymes closely interact with proteins like pRb and E2F influencing the transition between different cell cycle phases. HDAC1 and HDAC2 also connect with tumor suppressor protein p53 affecting apoptotic pathways. By modulating these pathways they play an essential role in maintaining cellular homeostasis.

HDAC1 and HDAC2 are pertinent to certain cancers and neurodegenerative diseases. Their aberrant activity links to cancer progression influencing genes involved in cell cycle regulation. Overexpression or dysregulation may contribute to the development of cancer types such as leukemia. In neurodegenerative diseases particularly Huntington’s disease abnormal HDAC1 and HDAC2 activity impacts pathways involving neuroplasticity and neuron survival. Shared interactions with proteins like p53 highlight their significance in disease mechanisms.

Product protocols

For this product, it's our understanding that no specific protocols are required. You can visit:

Target data

Histone deacetylase that catalyzes the deacetylation of lysine residues on the N-terminal part of the core histones (H2A, H2B, H3 and H4) (PubMed : 28497810). Histone deacetylation gives a tag for epigenetic repression and plays an important role in transcriptional regulation, cell cycle progression and developmental events (By similarity). Histone deacetylases act via the formation of large multiprotein complexes (By similarity). Forms transcriptional repressor complexes by associating with MAD, SIN3, YY1 and N-COR (PubMed : 12724404). Component of a RCOR/GFI/KDM1A/HDAC complex that suppresses, via histone deacetylase (HDAC) recruitment, a number of genes implicated in multilineage blood cell development (By similarity). Acts as a component of the histone deacetylase NuRD complex which participates in the remodeling of chromatin (PubMed : 16428440, PubMed : 28977666). Component of the SIN3B complex that represses transcription and counteracts the histone acetyltransferase activity of EP300 through the recognition H3K27ac marks by PHF12 and the activity of the histone deacetylase HDAC2 (PubMed : 37137925). Also deacetylates non-histone targets : deacetylates TSHZ3, thereby regulating its transcriptional repressor activity (PubMed : 19343227). May be involved in the transcriptional repression of circadian target genes, such as PER1, mediated by CRY1 through histone deacetylation (By similarity). Involved in MTA1-mediated transcriptional corepression of TFF1 and CDKN1A (PubMed : 21965678). In addition to protein deacetylase activity, also acts as a protein-lysine deacylase by recognizing other acyl groups : catalyzes removal of (2E)-butenoyl (crotonyl), lactoyl (lactyl) and 2-hydroxyisobutanoyl (2-hydroxyisobutyryl) acyl groups from lysine residues, leading to protein decrotonylation, delactylation and de-2-hydroxyisobutyrylation, respectively (PubMed : 28497810, PubMed : 29192674, PubMed : 35044827).
See full target information HDAC2

Additional targets

HDAC1

Publications (1)

Recent publications for all applications. Explore the full list and refine your search

EBioMedicine 41:200-213 PubMed30796006

2019

LncRNA EPB41L4A-AS1 regulates glycolysis and glutaminolysis by mediating nucleolar translocation of HDAC2.

Applications

Unspecified application

Species

Unspecified reactive species

Meijian Liao,Weijie Liao,Naihan Xu,Bing Li,Fuhai Liu,Shikuan Zhang,Yanzhi Wang,Songmao Wang,Yuanchang Zhu,Deheng Chen,Weidong Xie,Yuyang Jiang,Liu Cao,Burton B Yang,Yaou Zhang
View all publications

Product promise

We are committed to supporting your work with high-quality reagents, and we're here for you every step of the way. In the unlikely event that one of our products does not perform as expected, you're protected by our Product Promise.
For full details, please see our Terms & Conditions

Please note: All products are 'FOR RESEARCH USE ONLY. NOT FOR USE IN DIAGNOSTIC OR THERAPEUTIC PROCEDURES'.

For licensing inquiries, please contact partnerships@abcam.com