JavaScript is disabled in your browser. Please enable JavaScript to view this website.
AB319060

Anti-HDAC1 + HDAC2 + HDAC3 + HDAC8 antibody [RM1172] - BSA and Azide free

  • BOND RX™ Validated
  • Recombinant
  • RabMAb
  • KO Validated
  • What is this?

Be the first to review this product! Submit a review

|

(0 Publication)

Knockout Tested Rabbit Recombinant Multiclonal HDAC1 antibody. Carrier free. Suitable for Flow Cyt (Intra), IHC-P, IP, ICC/IF, WB and reacts with Human, Mouse, Rat samples.

View Alternative Names

RPD3L1, HDAC1, Histone deacetylase 1, HD1, Protein deacetylase HDAC1, Protein deacylase HDAC1

13 Images
Flow Cytometry (Intracellular) - Anti-HDAC1 + HDAC2 + HDAC3 + HDAC8 antibody [RM1172] - BSA and Azide free (AB319060)
  • Flow Cyt (Intra)

Supplier Data

Flow Cytometry (Intracellular) - Anti-HDAC1 + HDAC2 + HDAC3 + HDAC8 antibody [RM1172] - BSA and Azide free (AB319060)

This data was developed using ab319059, the same antibody clone in a different buffer formulation.

Flow cytometric analysis of 4% paraformaldehyde fixed 90% methanol permeabilized HeLa (human cervical adenocarcinoma epithelial cell) cells labelling HDAC1 + HDAC2 + HDAC3 + HDAC8 with ab319059 at 1/500 dilution (0.1ug) / Magenta compared with a Rabbit monoclonal IgG (ab172730) (Black) isotype control and an unlabelled control (cells without incubation with primary antibody and secondary antibody) (Blue).

Goat Anti-Rabbit IgG (Alexa Fluor® 488, ab150081) at 1/5000 dilution was used as the secondary antibody.

Immunocytochemistry/ Immunofluorescence - Anti-HDAC1 + HDAC2 + HDAC3 + HDAC8 antibody [RM1172] - BSA and Azide free (AB319060)
  • ICC/IF

Supplier Data

Immunocytochemistry/ Immunofluorescence - Anti-HDAC1 + HDAC2 + HDAC3 + HDAC8 antibody [RM1172] - BSA and Azide free (AB319060)

This data was developed using ab319059, the same antibody clone in a different buffer formulation.

Immunofluorescent analysis of 4% Paraformaldehyde-fixed, 0.1% TritonX-100 permeabilized HeLa (human cervical adenocarcinoma epithelial cell) cells labelling HDAC1 + HDAC2 + HDAC3 + HDAC8 with ab319059 at 1/1000 (0.502 ug/ml) dilution, followed by ab150081 Goat Anti-Rabbit IgG H&L (Alexa Fluor® 488) preadsorbed antibody at 1/1000 2 ug/ml dilution (Green).

Confocal image showing nuclear staining in Hela cell line (shown in green). The counterstain was observed in magenta. Nuclear DNA was labelled with DAPI (shown in blue). Image was taken with a confocal microscope (Leica-Microsystems, TCS SP8).

ab195889 Anti-alpha Tubulin mouse monoclonal antibody - Microtubule Marker (Alexa Fluor® 594) was used to counterstain tubulin at 1/200 2.5ug/ml dilution (Magenta). The Nuclear counterstain was DAPI (Blue).

Secondary antibody only control : Secondary antibody is ab150081 Goat Anti-Rabbit IgG H&L (Alexa Fluor® 488) preadsorbed at 1/1000 2 ug/ml dilution.

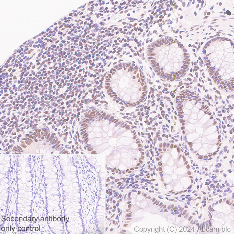
Immunohistochemistry (Formalin/PFA-fixed paraffin-embedded sections) - Anti-HDAC1 + HDAC2 + HDAC3 + HDAC8 antibody [RM1172] - BSA and Azide free (AB319060)
  • IHC-P

Supplier Data

Immunohistochemistry (Formalin/PFA-fixed paraffin-embedded sections) - Anti-HDAC1 + HDAC2 + HDAC3 + HDAC8 antibody [RM1172] - BSA and Azide free (AB319060)

This data was developed using ab319059, the same antibody clone in a different buffer formulation.

Immunohistochemical analysis of paraffin-embedded Human colon tissue labeling HDAC1 + HDAC2 + HDAC3 + HDAC8 with ab319059 at 1/5000 (0.1 ug/ml) dilution, followed by a ready to use LeicaDS9800 (Bond™ Polymer Refine Detection).

Positive staining on human colon. The section was incubated with ab319059 for 30 mins at room temperature.
The immunostaining was performed on a Leica Biosystems BOND® RX instrument

Counterstained with Hematoxylin.

Secondary antibody only control : Secondary antibody is a ready to use LeicaDS9800 (Bond™ Polymer Refine Detection).

Heat mediated antigen retrieval was performed with Tris-EDTA buffer (pH 9.0, Epitope Retrieval Solution2) for 20 mins

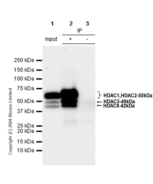
Immunoprecipitation - Anti-HDAC1 + HDAC2 + HDAC3 + HDAC8 antibody [RM1172] - BSA and Azide free (AB319060)
  • IP

Supplier Data

Immunoprecipitation - Anti-HDAC1 + HDAC2 + HDAC3 + HDAC8 antibody [RM1172] - BSA and Azide free (AB319060)

This data was developed using ab319059, the same antibody clone in a different buffer formulation.

HDAC1 + HDAC2 + HDAC3 + HDAC8 was immunoprecipitated from 0.35 mg HeLa (human cervical adenocarcinoma epithelial cell) whole cell lysate with ab319059 at 1/30 dilution (2ug in 0.35mg lysates). Western blot was performed on the immunoprecipitate using ab319059 at 1/1000 dilution. VeriBlot for IP secondary antibody(HRP)(ab131366) was used at 1/5000 dilution.

Lane 1 : HeLa (human cervical adenocarcinoma epithelial cell) whole cell lysate
Lane 2 : ab319059 IP in HeLa (human cervical adenocarcinoma epithelial cell) whole cell lysate
Lane 3 : Rabbit monoclonal IgG (ab172730) instead of ab319059 in HeLa whole cell lysate

All lanes:

Immunoprecipitation - Anti-HDAC1 + HDAC2 + HDAC3 + HDAC8 antibody [RM1172] (<a href='/en-us/products/primary-antibodies/hdac1-hdac2-hdac3-hdac8-antibody-rm1172-ab319059'>ab319059</a>) at 1/30 dilution

All lanes:

HeLa (human cervical adenocarcinoma epithelial cell) whole cell lysate

Secondary

All lanes:

Immunoprecipitation - VeriBlot for IP Detection Reagent (HRP) (<a href='/en-us/products/reagents/veriblot-for-ip-detection-reagent-hrp-ab131366'>ab131366</a>) at 1/5000 dilution

false

Exposure time: 15s

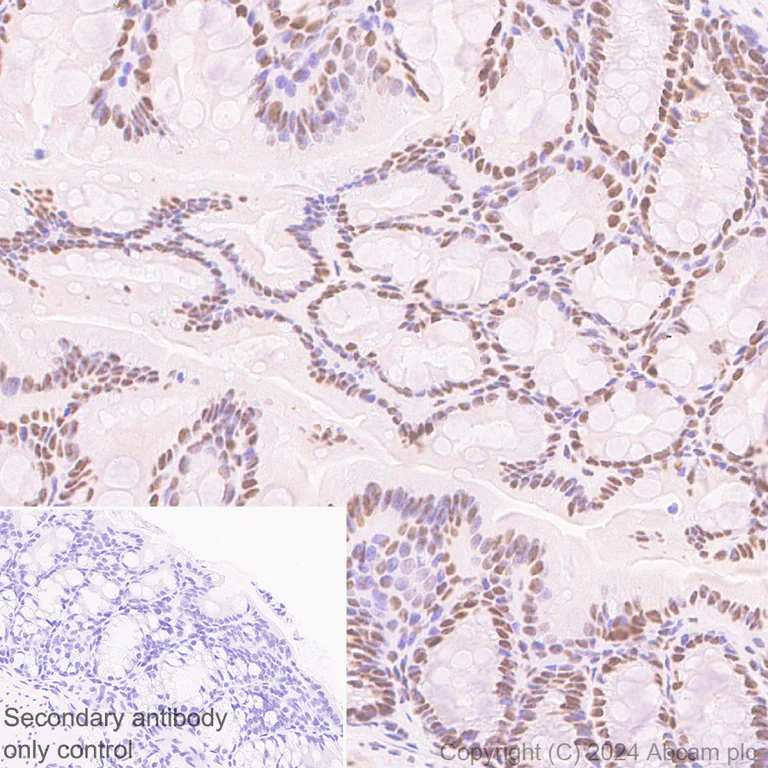
Immunohistochemistry (Formalin/PFA-fixed paraffin-embedded sections) - Anti-HDAC1 + HDAC2 + HDAC3 + HDAC8 antibody [RM1172] - BSA and Azide free (AB319060)
  • IHC-P

Supplier Data

Immunohistochemistry (Formalin/PFA-fixed paraffin-embedded sections) - Anti-HDAC1 + HDAC2 + HDAC3 + HDAC8 antibody [RM1172] - BSA and Azide free (AB319060)

This data was developed using ab319059, the same antibody clone in a different buffer formulation.

Immunohistochemical analysis of paraffin-embedded Rat colon tissue labeling HDAC1 + HDAC2 + HDAC3 + HDAC8 with ab319059 at 1/5000 (0.1 ug/ml) dilution, followed by a ready to use LeicaDS9800 (Bond™ Polymer Refine Detection).

Positive staining on rat colon. The section was incubated with ab319059 for 30 mins at room temperature.
The immunostaining was performed on a Leica Biosystems BOND® RX instrument

Counterstained with Hematoxylin.

Secondary antibody only control : Secondary antibody is a ready to use LeicaDS9800 (Bond™ Polymer Refine Detection).

Heat mediated antigen retrieval was performed with Tris-EDTA buffer (pH 9.0, Epitope Retrieval Solution2) for 20 mins

Immunocytochemistry/ Immunofluorescence - Anti-HDAC1 + HDAC2 + HDAC3 + HDAC8 antibody [RM1172] - BSA and Azide free (AB319060)
  • ICC/IF

Supplier Data

Immunocytochemistry/ Immunofluorescence - Anti-HDAC1 + HDAC2 + HDAC3 + HDAC8 antibody [RM1172] - BSA and Azide free (AB319060)

This data was developed using ab319059, the same antibody clone in a different buffer formulation.

Immunofluorescent analysis of 4% Paraformaldehyde-fixed, 0.1% TritonX-100 permeabilized C6 (rat glial tumor glial cell) cells labelling HDAC1 + HDAC2 + HDAC3 + HDAC8 with ab319059 at 1/1000 (0.502 ug/ml) dilution, followed by ab150081 Goat Anti-Rabbit IgG H&L (Alexa Fluor® 488) preadsorbed antibody at 1/1000 2 ug/ml dilution (Green).

Confocal image showing nuclear staining in C6 cell line (shown in green). The counterstain was observed in magenta. Nuclear DNA was labelled with DAPI (shown in blue). Image was taken with a confocal microscope (Leica-Microsystems, TCS SP8).

ab195889 Anti-alpha Tubulin mouse monoclonal antibody - Microtubule Marker (Alexa Fluor® 594) was used to counterstain tubulin at 1/200 2.5ug/ml dilution (Magenta). The Nuclear counterstain was DAPI (Blue).

Secondary antibody only control : Secondary antibody is ab150081 Goat Anti-Rabbit IgG H&L (Alexa Fluor® 488) preadsorbed at 1/1000 2 ug/ml dilution.

Immunohistochemistry (Formalin/PFA-fixed paraffin-embedded sections) - Anti-HDAC1 + HDAC2 + HDAC3 + HDAC8 antibody [RM1172] - BSA and Azide free (AB319060)
  • IHC-P

Supplier Data

Immunohistochemistry (Formalin/PFA-fixed paraffin-embedded sections) - Anti-HDAC1 + HDAC2 + HDAC3 + HDAC8 antibody [RM1172] - BSA and Azide free (AB319060)

This data was developed using ab319059, the same antibody clone in a different buffer formulation.

Immunohistochemical analysis of paraffin-embedded Mouse colon tissue labeling HDAC1 + HDAC2 + HDAC3 + HDAC8 with ab319059 at 1/5000 (0.1 ug/ml) dilution, followed by a ready to use LeicaDS9800 (Bond™ Polymer Refine Detection).

Positive staining on mouse colon. The section was incubated with ab319059 for 30 mins at room temperature.
The immunostaining was performed on a Leica Biosystems BOND® RX instrument

Counterstained with Hematoxylin.

Secondary antibody only control : Secondary antibody is a ready to use LeicaDS9800 (Bond™ Polymer Refine Detection).

Heat mediated antigen retrieval was performed with Tris-EDTA buffer (pH 9.0, Epitope Retrieval Solution2) for 20 mins

Immunocytochemistry/ Immunofluorescence - Anti-HDAC1 + HDAC2 + HDAC3 + HDAC8 antibody [RM1172] - BSA and Azide free (AB319060)
  • ICC/IF

Supplier Data

Immunocytochemistry/ Immunofluorescence - Anti-HDAC1 + HDAC2 + HDAC3 + HDAC8 antibody [RM1172] - BSA and Azide free (AB319060)

This data was developed using ab319059, the same antibody clone in a different buffer formulation.

Immunofluorescent analysis of 4% Paraformaldehyde-fixed, 0.1% TritonX-100 permeabilized RAW 264.7 (mouse Abelson murine leukemia virus-induced tumor macrophage) cells labelling HDAC1 + HDAC2 + HDAC3 + HDAC8 with ab319059 at 1/1000 (0.502 ug/ml) dilution, followed by ab150081 Goat Anti-Rabbit IgG H&L (Alexa Fluor® 488) preadsorbed antibody at 1/1000 2 ug/ml dilution (Green).

Confocal image showing nuclear staining in RAW 264.7 cell line (shown in green). The counterstain was observed in magenta. Nuclear DNA was labelled with DAPI (shown in blue). Image was taken with a confocal microscope (Leica-Microsystems, TCS SP8).

ab195889 Anti-alpha Tubulin mouse monoclonal antibody - Microtubule Marker (Alexa Fluor® 594) was used to counterstain tubulin at 1/200 2.5ug/ml dilution (Magenta). The Nuclear counterstain was DAPI (Blue).

Secondary antibody only control : Secondary antibody is ab150081 Goat Anti-Rabbit IgG H&L (Alexa Fluor® 488) preadsorbed at 1/1000 2 ug/ml dilution.

Flow Cytometry (Intracellular) - Anti-HDAC1 + HDAC2 + HDAC3 + HDAC8 antibody [RM1172] - BSA and Azide free (AB319060)
  • Flow Cyt (Intra)

Supplier Data

Flow Cytometry (Intracellular) - Anti-HDAC1 + HDAC2 + HDAC3 + HDAC8 antibody [RM1172] - BSA and Azide free (AB319060)

This data was developed using ab319059, the same antibody clone in a different buffer formulation.

Flow cytometric analysis of 4% paraformaldehyde fixed 90% methanol permeabilized RAW 264.7 (mouse Abelson murine leukemia virus-induced tumor macrophage) cells labelling HDAC1 + HDAC2 + HDAC3 + HDAC8 with ab319059 at 1/500 dilution (0.1ug) / Magenta compared with a Rabbit monoclonal IgG (ab172730) (Black) isotype control and an unlabelled control (cells without incubation with primary antibody and secondary antibody) (Blue).

Goat Anti-Rabbit IgG (Alexa Fluor® 488, ab150081) at 1/5000 dilution was used as the secondary antibody.

Flow Cytometry (Intracellular) - Anti-HDAC1 + HDAC2 + HDAC3 + HDAC8 antibody [RM1172] - BSA and Azide free (AB319060)
  • Flow Cyt (Intra)

Supplier Data

Flow Cytometry (Intracellular) - Anti-HDAC1 + HDAC2 + HDAC3 + HDAC8 antibody [RM1172] - BSA and Azide free (AB319060)

This data was developed using ab319059, the same antibody clone in a different buffer formulation.

Flow cytometric analysis of 4% paraformaldehyde fixed 90% methanol permeabilized C6 (rat glial tumor glial cell) cells labelling HDAC1 + HDAC2 + HDAC3 + HDAC8 with ab319059 at 1/500 dilution (0.1ug) / Magenta compared with a Rabbit monoclonal IgG (ab172730) (Black) isotype control and an unlabelled control (cells without incubation with primary antibody and secondary antibody) (Blue).

Goat Anti-Rabbit IgG (Alexa Fluor® 488, ab150081) at 1/5000 dilution was used as the secondary antibody.

Western blot - Anti-HDAC1 + HDAC2 + HDAC3 + HDAC8 antibody [RM1172] - BSA and Azide free (AB319060)
  • WB

Supplier Data

Western blot - Anti-HDAC1 + HDAC2 + HDAC3 + HDAC8 antibody [RM1172] - BSA and Azide free (AB319060)

This data was developed using ab319059, the same antibody clone in a different buffer formulation.

In Western blot, ab319059 was shown to bind specifically to HDAC1, HDAC2, HDAC3, HDAC8. Target of interest was observed at 55kDa in wild-type HAP1 cell lysates (lane 1) with no signal observed at this size in HDAC1 knockout cell line (lane 2).Target of interest was observed at 55kDa in wild-type 293T cell lysates (lane 3) with no signal observed at this size in HDAC2 knockout cell line (lane 4), (lane 4, knockout cell line ab266590 / knockout cell lysate ab256939).Target of interest was observed at 42kDa in wild-type HAP1 cell lysates (lane 5) with no signal observed at this size in HDAC8 knockout cell line (lane 6).

In Western blot, Anti-GAPDH antibody [EPR16891] - Loading Control (ab181602) staining at 1/200000 dilution.

All lanes:

Western blot - Anti-HDAC1 + HDAC2 + HDAC3 + HDAC8 antibody [RM1172] (<a href='/en-us/products/primary-antibodies/hdac1-hdac2-hdac3-hdac8-antibody-rm1172-ab319059'>ab319059</a>) at 1/1000 dilution

Lane 1:

Wild-type HAP1(human chronic myelogenous leukemia near-haploid cell ) whole cell lysate at 20 µg

Lane 2:

HDAC1 knockout HAP1whole cell lysate at 20 µg

Lane 3:

Wild-type 293T (human embryonic kidney epithelial cell) whole cell lysate at 20 µg

Lane 4:

HDAC2 knockout 293T whole cell lysate at 20 µg

Lane 5:

Wild-type HAP1 whole cell lysate at 20 µg

Lane 6:

HDAC8 knockout HAP1 whole cell lysate at 20 µg

Secondary

All lanes:

Western blot - Goat Anti-Rabbit IgG H&L (HRP) (<a href='/en-us/products/secondary-antibodies/goat-rabbit-igg-h-l-hrp-ab97051'>ab97051</a>) at 1/100000 dilution

Observed band size: 42 kDa,49 kDa,55 kDa,36 kDa

false

Exposure time: 1s

Western blot - Anti-HDAC1 + HDAC2 + HDAC3 + HDAC8 antibody [RM1172] - BSA and Azide free (AB319060)
  • WB

Supplier Data

Western blot - Anti-HDAC1 + HDAC2 + HDAC3 + HDAC8 antibody [RM1172] - BSA and Azide free (AB319060)

This data was developed using ab319059, the same antibody clone in a different buffer formulation.

Exposure time : Lanes 1-4 : 10 seconds Lanes 5-9 : 48 seconds

All lanes:

Western blot - Anti-HDAC1 + HDAC2 + HDAC3 + HDAC8 antibody [RM1172] (<a href='/en-us/products/primary-antibodies/hdac1-hdac2-hdac3-hdac8-antibody-rm1172-ab319059'>ab319059</a>) at 1/1000 dilution

Lane 1:

SH-SY5Y (human neuroblastoma epithelial cell) whole cell lysate at 20 µg

Lane 2:

Jurkat (human T cell leukemia T lymphocyte from peripheral blood) whole cell lysate at 20 µg

Lane 3:

HeLa (human cervical adenocarcinoma epithelial cell) whole cell lysate at 20 µg

Lane 4:

K-562 (human chronic myelogenous leukemia lymphoblast) whole cell lysate at 20 µg

Lane 5:

HT-22 (mouse hippocampal neuronal cell) whole cell lysate at 20 µg

Lane 6:

NIH/3T3 (mouse embryonic fibroblast) whole cell lysate at 20 µg

Lane 7:

C6 (rat glial tumor glial cell) whole cell lysate at 20 µg

Lane 8:

RAW 264.7 (mouse Abelson murine leukemia virus-induced tumor macrophage) whole cell lysate at 20 µg

Lane 9:

L6 (rat skeletal muscle myoblast) whole cell lysate at 20 µg

Secondary

All lanes:

Western blot - Goat Anti-Rabbit IgG H&L (HRP) (<a href='/en-us/products/secondary-antibodies/goat-rabbit-igg-h-l-hrp-ab97051'>ab97051</a>) at 1/100000 dilution

Observed band size: 42 kDa,49 kDa,55 kDa

false

Western blot - Anti-HDAC1 + HDAC2 + HDAC3 + HDAC8 antibody [RM1172] - BSA and Azide free (AB319060)
  • WB

Supplier Data

Western blot - Anti-HDAC1 + HDAC2 + HDAC3 + HDAC8 antibody [RM1172] - BSA and Azide free (AB319060)

This data was developed using ab319059, the same antibody clone in a different buffer formulation.

The identity of the lower MW band at approximately 35 kDa is unknown.

Lanes 1-2 are applied with Goat Anti-Rabbit IgG (HRP) with minimal cross-reactivity with human IgG at 1/2000 and lanes 3-6 are applied with Goat Anti-Rabbit IgG, (H+L), Peroxidase conjugated (ab97051) at 1/100000.

All lanes:

Western blot - Anti-HDAC1 + HDAC2 + HDAC3 + HDAC8 antibody [RM1172] (<a href='/en-us/products/primary-antibodies/hdac1-hdac2-hdac3-hdac8-antibody-rm1172-ab319059'>ab319059</a>) at 1/1000 dilution

Lane 1:

Human liver tissue lysate at 20 µg

Lane 2:

Human spleen tissue lysate at 20 µg

Lane 3:

Mouse brain tissue lysate at 20 µg

Lane 4:

Mouse spleen tissue lysate at 20 µg

Lane 5:

Rat heart tissue lysate at 20 µg

Lane 6:

Rat spleen tissue lysate at 20 µg

Secondary

Lanes 1 - 2:

Goat Anti-Rabbit IgG (HRP) with minimal cross-reactivity with human IgG at 1/2000 dilution

Lanes 3 - 6:

Western blot - Goat Anti-Rabbit IgG H&L (HRP) (<a href='/en-us/products/secondary-antibodies/goat-rabbit-igg-h-l-hrp-ab97051'>ab97051</a>) at 1/100000 dilution

Observed band size: 42 kDa,49 kDa,55 kDa

false

Exposure time: 92s

  • Unconjugated

    Anti-HDAC1 + HDAC2 + HDAC3 + HDAC8 antibody [RM1172]

Key facts

Host species

Rabbit

Clonality

Multiclonal

Clone number

RM1172

Isotype

IgG

Carrier free

Yes

Reacts with

Human, Mouse, Rat

Applications

ICC/IF, IHC-P, WB, IP, Flow Cyt (Intra)

applications

Immunogen

This product was produced with the following immunogens:

The exact immunogen used to generate this antibody is proprietary information.

The exact immunogen used to generate this antibody is proprietary information.

The exact immunogen used to generate this antibody is proprietary information.

Specificity

Unsuitable for mouse and rat IP application.

Reactivity data

{ "title": "Reactivity Data", "filters": { "stats": ["", "Species", "Dilution Info", "Notes"], "tabs": { "all-applications": {"fullname" : "All Applications", "shortname": "All Applications"}, "FlowCytIntra" : {"fullname" : "Flow Cytometry (Intracellular)", "shortname":"Flow Cyt (Intra)"}, "IHCP" : {"fullname" : "Immunohistochemistry (Formalin/PFA-fixed paraffin-embedded sections)", "shortname":"IHC-P"}, "IP" : {"fullname" : "Immunoprecipitation", "shortname":"IP"}, "ICCIF" : {"fullname" : "Immunocytochemistry/ Immunofluorescence", "shortname":"ICC/IF"}, "WB" : {"fullname" : "Western blot", "shortname":"WB"} }, "product-promise": { "all": "all", "testedAndGuaranteed": "tested", "guaranteed": "expected", "predicted": "predicted", "notRecommended": "not-recommended" } }, "values": { "Human": { "FlowCytIntra-species-checked": "testedAndGuaranteed", "FlowCytIntra-species-dilution-info": "", "FlowCytIntra-species-notes": "<p></p>", "IHCP-species-checked": "testedAndGuaranteed", "IHCP-species-dilution-info": "", "IHCP-species-notes": "<p></p> Perform heat-mediated antigen retrieval with Tris/EDTA buffer pH 9.0 before commencing with IHC staining protocol.", "IP-species-checked": "testedAndGuaranteed", "IP-species-dilution-info": "", "IP-species-notes": "<p></p>", "ICCIF-species-checked": "testedAndGuaranteed", "ICCIF-species-dilution-info": "", "ICCIF-species-notes": "<p></p>", "WB-species-checked": "testedAndGuaranteed", "WB-species-dilution-info": "", "WB-species-notes": "<p></p>" }, "Mouse": { "FlowCytIntra-species-checked": "testedAndGuaranteed", "FlowCytIntra-species-dilution-info": "", "FlowCytIntra-species-notes": "<p></p>", "IHCP-species-checked": "testedAndGuaranteed", "IHCP-species-dilution-info": "", "IHCP-species-notes": "<p></p> Perform heat-mediated antigen retrieval with Tris/EDTA buffer pH 9.0 before commencing with IHC staining protocol.", "IP-species-checked": "notRecommended", "IP-species-dilution-info": "", "IP-species-notes": "<p></p>", "ICCIF-species-checked": "testedAndGuaranteed", "ICCIF-species-dilution-info": "", "ICCIF-species-notes": "<p></p>", "WB-species-checked": "testedAndGuaranteed", "WB-species-dilution-info": "", "WB-species-notes": "<p></p>" }, "Rat": { "FlowCytIntra-species-checked": "testedAndGuaranteed", "FlowCytIntra-species-dilution-info": "", "FlowCytIntra-species-notes": "<p></p>", "IHCP-species-checked": "testedAndGuaranteed", "IHCP-species-dilution-info": "", "IHCP-species-notes": "<p></p> Perform heat-mediated antigen retrieval with Tris/EDTA buffer pH 9.0 before commencing with IHC staining protocol.", "IP-species-checked": "notRecommended", "IP-species-dilution-info": "", "IP-species-notes": "<p></p>", "ICCIF-species-checked": "testedAndGuaranteed", "ICCIF-species-dilution-info": "", "ICCIF-species-notes": "<p></p>", "WB-species-checked": "testedAndGuaranteed", "WB-species-dilution-info": "", "WB-species-notes": "<p></p>" } } }

Product details

ab319060 is the carrier-free version of ab319059.

What are recombinant multiclonals?
Recombinant multiclonals are a mixture of recombinant antibodies co-expressed from a library of heavy and light chains. They offer several advantages including:

  • - The sensitivity of polyclonal antibodies by recognising multiple epitopes
  • - High batch-to-batch consistency and reproducibility
  • - Improved sensitivity and specificity
  • - Long-term security of supply
  • - Animal-free batch production

View our range of recombinant multiclonal antibodies.

Patented technology
Our RabMAb® technology is a patented hybridoma-based technology for making rabbit monoclonal antibodies. For details on our patents, please refer to RabMAb® patents.

Conjugation ready
Our carrier-free antibodies are typically supplied in a PBS-only formulation, purified and free of BSA, sodium azide and glycerol. This conjugation-ready format is designed for use with fluorochromes, metal isotopes, oligonucleotides, and enzymes, which makes them ideal for antibody labelling, functional and cell-based assays, flow-based assays (e.g. mass cytometry) and Multiplex Imaging applications.

Use our conjugation kits for antibody conjugates that are ready-to-use in as little as 20 minutes with 1 minute hands-on-time and 100% antibody recovery: available for fluorescent dyes, HRP, biotin and gold.

Compatibility
This product is compatible with the Maxpar® Antibody Labeling Kit from Fluidigm, without the need for antibody preparation. Maxpar® is a trademark of Fluidigm Canada Inc.

Properties and storage information

Form
Liquid
Purification technique
Affinity purification Protein A
Storage buffer
pH: 7.2 - 7.4 Constituents: PBS
Shipped at conditions
Blue Ice
Appropriate short-term storage conditions
+4°C
Appropriate long-term storage conditions
+4°C

Supplementary information

This supplementary information is collated from multiple sources and compiled automatically.

Histone deacetylases 1 2 3 and 8 (HDAC1 HDAC2 HDAC3 HDAC8) are critical enzymes involved in chromatin remodeling and gene expression regulation. They operate by removing acetyl groups from lysine residues on histones leading to chromatin condensation and transcriptional repression. HDAC1 has a molecular weight of approximately 61 kDa HDAC2 is around 55 kDa HDAC3 approximately 48 kDa and HDAC8 about 41 kDa. These proteins are expressed in various tissues with high levels found in the brain liver and heart indicating their importance in multiple physiological processes.
Biological function summary

HDAC1 HDAC2 HDAC3 and HDAC8 play roles in transcriptional repression and cell cycle progression. They often exist as part of larger multiprotein complexes like the Sin3 NCoR and CoREST complexes which enhance their deacetylase activity. These enzymes participate in the regulation of genes involved in cell differentiation proliferation and apoptosis. Their activity is important for maintaining the balance of gene expression required for normal cellular function and development.

Pathways

HDAC1 HDAC2 HDAC3 and HDAC8 integrate into the regulation of critical signaling cascades such as the Notch and Wnt pathways. In the Notch pathway they interact with transcriptional repressors to adjust gene expression patterns during cell differentiation. Within these pathways HDAC proteins interact with other key proteins like JAG1 in the Notch pathway and β-catenin in the Wnt pathway modulating the transcriptional activity based on cellular contexts and stimuli.

Dysfunction in HDAC1 HDAC2 HDAC3 and HDAC8 links to conditions such as cancer and neurodegenerative diseases. In cancer these HDACs can promote oncogenic processes by silencing tumor suppressor genes making them targets for cancer therapy. In neurodegenerative diseases like Alzheimer's alterations in their activity may disrupt normal neuronal function and gene expression patterns. The involvement with proteins such as p53 in cancer and tau proteins in neurodegenerative disorders highlights the critical role these HDACs play in disease mechanisms.

Product protocols

For this product, it's our understanding that no specific protocols are required. You can visit:

Target data

Histone deacetylase that catalyzes the deacetylation of lysine residues on the N-terminal part of the core histones (H2A, H2B, H3 and H4) (PubMed : 16762839, PubMed : 17704056, PubMed : 28497810). Histone deacetylation gives a tag for epigenetic repression and plays an important role in transcriptional regulation, cell cycle progression and developmental events (PubMed : 16762839, PubMed : 17704056). Histone deacetylases act via the formation of large multiprotein complexes (PubMed : 16762839, PubMed : 17704056). Acts as a component of the histone deacetylase NuRD complex which participates in the remodeling of chromatin (PubMed : 16428440, PubMed : 28977666). As part of the SIN3B complex is recruited downstream of the constitutively active genes transcriptional start sites through interaction with histones and mitigates histone acetylation and RNA polymerase II progression within transcribed regions contributing to the regulation of transcription (PubMed : 21041482). Also functions as a deacetylase for non-histone targets, such as NR1D2, RELA, SP1, SP3, STAT3 and TSHZ3 (PubMed : 12837748, PubMed : 16285960, PubMed : 16478997, PubMed : 17996965, PubMed : 19343227). Deacetylates SP proteins, SP1 and SP3, and regulates their function (PubMed : 12837748, PubMed : 16478997). Component of the BRG1-RB1-HDAC1 complex, which negatively regulates the CREST-mediated transcription in resting neurons (PubMed : 19081374). Upon calcium stimulation, HDAC1 is released from the complex and CREBBP is recruited, which facilitates transcriptional activation (PubMed : 19081374). Deacetylates TSHZ3 and regulates its transcriptional repressor activity (PubMed : 19343227). Deacetylates 'Lys-310' in RELA and thereby inhibits the transcriptional activity of NF-kappa-B (PubMed : 17000776). Deacetylates NR1D2 and abrogates the effect of KAT5-mediated relieving of NR1D2 transcription repression activity (PubMed : 17996965). Component of a RCOR/GFI/KDM1A/HDAC complex that suppresses, via histone deacetylase (HDAC) recruitment, a number of genes implicated in multilineage blood cell development (By similarity). Involved in CIART-mediated transcriptional repression of the circadian transcriptional activator : CLOCK-BMAL1 heterodimer (By similarity). Required for the transcriptional repression of circadian target genes, such as PER1, mediated by the large PER complex or CRY1 through histone deacetylation (By similarity). In addition to protein deacetylase activity, also has protein-lysine deacylase activity : acts as a protein decrotonylase and delactylase by mediating decrotonylation ((2E)-butenoyl) and delactylation (lactoyl) of histones, respectively (PubMed : 28497810, PubMed : 35044827).
See full target information HDAC1

Additional targets

HDAC8,HDAC3,HDAC2

Product promise

We are committed to supporting your work with high-quality reagents, and we're here for you every step of the way. In the unlikely event that one of our products does not perform as expected, you're protected by our Product Promise.
For full details, please see our Terms & Conditions

Please note: All products are 'FOR RESEARCH USE ONLY. NOT FOR USE IN DIAGNOSTIC OR THERAPEUTIC PROCEDURES'.

For licensing inquiries, please contact partnerships@abcam.com