JavaScript is disabled in your browser. Please enable JavaScript to view this website.
AB251562

Anti-HDAC1+HDAC2 antibody [EPR20327] - BSA and Azide free

Be the first to review this product! Submit a review

|

(1 Publication)

Rabbit Recombinant Monoclonal HDAC1 antibody. Carrier free. Suitable for ICC/IF, IP, WB, Flow Cyt (Intra), IHC-P and reacts with Mouse, Human, Rat samples. Cited in 1 publication.

View Alternative Names

RPD3L1, HDAC1, Histone deacetylase 1, HD1, Protein deacetylase HDAC1, Protein deacylase HDAC1

16 Images
Immunohistochemistry (Formalin/PFA-fixed paraffin-embedded sections) - Anti-HDAC1+HDAC2 antibody [EPR20327] - BSA and Azide free (AB251562)
  • IHC-P

Supplier Data

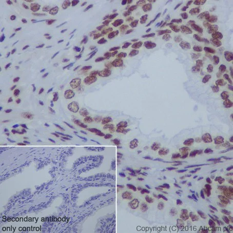
Immunohistochemistry (Formalin/PFA-fixed paraffin-embedded sections) - Anti-HDAC1+HDAC2 antibody [EPR20327] - BSA and Azide free (AB251562)

This data was developed using ab219054, the same antibody clone in a different buffer formulation.

Immunohistochemical analysis of paraffin-embedded human testis tissue labeling HDAC1 + HDAC2 with ab219054 at 1/1000 dilution, followed by Goat Anti-Rabbit IgG H&L (HRP) Ready to use.

Nuclear staining on human testis is observed.

Counter stained with Hematoxylin.

Secondary antibody only control : Used PBS instead of primary antibody, secondary antibody is Goat Anti-Rabbit IgG H&L (HRP) Ready to use.

Perform heat mediated antigen retrieval with Tris/EDTA buffer pH 9.0 before commencing with IHC staining protocol.

Western blot - Anti-HDAC1+HDAC2 antibody [EPR20327] - BSA and Azide free (AB251562)
  • WB

Supplier Data

Western blot - Anti-HDAC1+HDAC2 antibody [EPR20327] - BSA and Azide free (AB251562)

This data was developed using ab219054, the same antibody clone in a different buffer formulation.

Blocking and dilution buffer : 5% NFDM/TBST.

All lanes:

Western blot - Anti-HDAC1 + HDAC2 antibody [EPR20327] (<a href='/en-us/products/primary-antibodies/hdac1-hdac2-antibody-epr20327-ab219054'>ab219054</a>) at 1/1000 dilution

Lane 1:

Human fetal heart lysate at 10 µg

Lane 2:

Human fetal kidney lysate at 10 µg

Secondary

All lanes:

Western blot - VeriBlot for IP Detection Reagent (HRP) (<a href='/en-us/products/reagents/veriblot-for-ip-detection-reagent-hrp-ab131366'>ab131366</a>) at 1/4000 dilution

Predicted band size: 55 kDa

Observed band size: 55 kDa

false

Exposure time: 3min

Immunohistochemistry (Formalin/PFA-fixed paraffin-embedded sections) - Anti-HDAC1+HDAC2 antibody [EPR20327] - BSA and Azide free (AB251562)
  • IHC-P

Supplier Data

Immunohistochemistry (Formalin/PFA-fixed paraffin-embedded sections) - Anti-HDAC1+HDAC2 antibody [EPR20327] - BSA and Azide free (AB251562)

This data was developed using ab219054, the same antibody clone in a different buffer formulation.

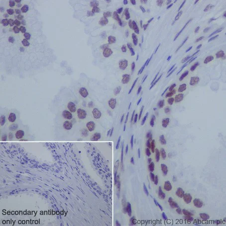
Immunohistochemical analysis of paraffin-embedded human prostate hyperplasia tissue labeling HDAC1 + HDAC2 with ab219054 at 1/1000 dilution, followed by Goat Anti-Rabbit IgG H&L (HRP) Ready to use.

Nuclear staining on luminal epithelial cells of human prostate hyperplasia, but negative staining on basal cells.

Counter stained with Hematoxylin.

Secondary antibody only control : Used PBS instead of primary antibody, secondary antibody is Goat Anti-Rabbit IgG H&L (HRP) Ready to use.

Perform heat mediated antigen retrieval with Tris/EDTA buffer pH 9.0 before commencing with IHC staining protocol.

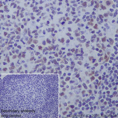
Immunohistochemistry (Formalin/PFA-fixed paraffin-embedded sections) - Anti-HDAC1+HDAC2 antibody [EPR20327] - BSA and Azide free (AB251562)
  • IHC-P

Supplier Data

Immunohistochemistry (Formalin/PFA-fixed paraffin-embedded sections) - Anti-HDAC1+HDAC2 antibody [EPR20327] - BSA and Azide free (AB251562)

This data was developed using ab219054, the same antibody clone in a different buffer formulation.

Immunohistochemical analysis of paraffin-embedded human tonsil tissue labeling HDAC1 + HDAC2 with ab219054 at 1/1000 dilution, followed by Goat Anti-Rabbit IgG H&L (HRP) Ready to use.

Nuclear staining on lymphocytes of human tonsil is observed.

Counter stained with Hematoxylin.

Secondary antibody only control : Used PBS instead of primary antibody, secondary antibody is Goat Anti-Rabbit IgG H&L (HRP) Ready to use.

Perform heat mediated antigen retrieval with Tris/EDTA buffer pH 9.0 before commencing with IHC staining protocol.

Flow Cytometry (Intracellular) - Anti-HDAC1+HDAC2 antibody [EPR20327] - BSA and Azide free (AB251562)
  • Flow Cyt (Intra)

Unknown

Flow Cytometry (Intracellular) - Anti-HDAC1+HDAC2 antibody [EPR20327] - BSA and Azide free (AB251562)

This data was developed using ab219054, the same antibody clone in a different buffer formulation.

Intracellular flow cytometric analysis of 4% paraformaldehyde-fixed HeLa (Human epithelial cell line from cervix adenocarcinoma) cells labeling HDAC1 + HDAC2 with ab219054 at 1/700 dilution (red) compared with a rabbit monoclonal IgG isotype control (ab172730; black) and an unlabeled control (cells without incubation with primary antibody and secondary antibody; blue). Goat anti rabbit IgG (Alexa Fluor® 488) at 1/2000 dilution was used as the secondary antibody.

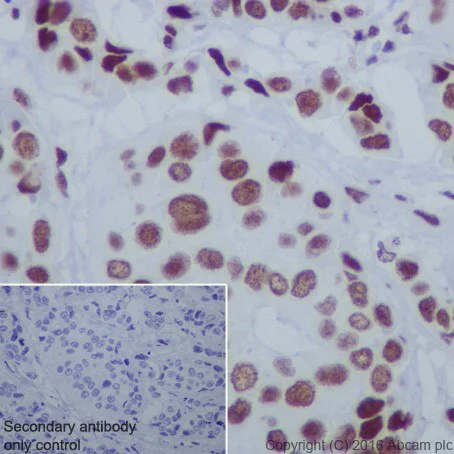
Immunohistochemistry (Formalin/PFA-fixed paraffin-embedded sections) - Anti-HDAC1+HDAC2 antibody [EPR20327] - BSA and Azide free (AB251562)
  • IHC-P

Supplier Data

Immunohistochemistry (Formalin/PFA-fixed paraffin-embedded sections) - Anti-HDAC1+HDAC2 antibody [EPR20327] - BSA and Azide free (AB251562)

This data was developed using ab219054, the same antibody clone in a different buffer formulation.

Immunohistochemical analysis of paraffin-embedded human breast cancer tissue labeling HDAC1 + HDAC2 with ab219054 at 1/1000 dilution, followed by Goat Anti-Rabbit IgG H&L (HRP) Ready to use.

Nuclear staining on tumor cells of human breast cancer is observed.

Counter stained with Hematoxylin.

Secondary antibody only control : Used PBS instead of primary antibody, secondary antibody is Goat Anti-Rabbit IgG H&L (HRP) Ready to use.

Perform heat mediated antigen retrieval with Tris/EDTA buffer pH 9.0 before commencing with IHC staining protocol.

Immunohistochemistry (Formalin/PFA-fixed paraffin-embedded sections) - Anti-HDAC1+HDAC2 antibody [EPR20327] - BSA and Azide free (AB251562)
  • IHC-P

Supplier Data

Immunohistochemistry (Formalin/PFA-fixed paraffin-embedded sections) - Anti-HDAC1+HDAC2 antibody [EPR20327] - BSA and Azide free (AB251562)

This data was developed using ab219054, the same antibody clone in a different buffer formulation.

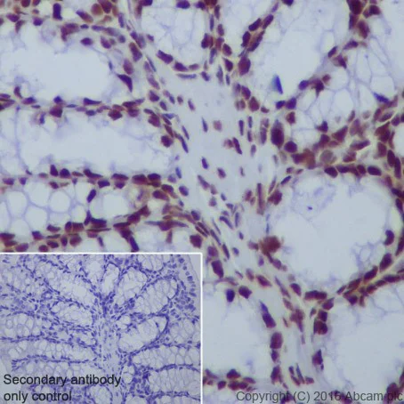
Immunohistochemical analysis of paraffin-embedded mouse colon tissue labeling HDAC1 + HDAC2 with ab219054 at 1/1000 dilution, followed by Goat Anti-Rabbit IgG H&L (HRP) Ready to use.

Nuclear staining on mouse colon is observed.

Counter stained with Hematoxylin.

Secondary antibody only control : Used PBS instead of primary antibody, secondary antibody is Goat Anti-Rabbit IgG H&L (HRP) Ready to use.

Perform heat mediated antigen retrieval with Tris/EDTA buffer pH 9.0 before commencing with IHC staining protocol.

Immunohistochemistry (Formalin/PFA-fixed paraffin-embedded sections) - Anti-HDAC1+HDAC2 antibody [EPR20327] - BSA and Azide free (AB251562)
  • IHC-P

Supplier Data

Immunohistochemistry (Formalin/PFA-fixed paraffin-embedded sections) - Anti-HDAC1+HDAC2 antibody [EPR20327] - BSA and Azide free (AB251562)

This data was developed using ab219054, the same antibody clone in a different buffer formulation.

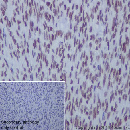
Immunohistochemical analysis of paraffin-embedded human synovial sarcoma tissue labeling HDAC1 + HDAC2 with ab219054 at 1/1000 dilution, followed by Goat Anti-Rabbit IgG H&L (HRP) Ready to use.

Nuclear staining on human synovial sarcoma is observed.

Counter stained with Hematoxylin.

Secondary antibody only control : Used PBS instead of primary antibody, secondary antibody is Goat Anti-Rabbit IgG H&L (HRP) Ready to use.

Perform heat mediated antigen retrieval with Tris/EDTA buffer pH 9.0 before commencing with IHC staining protocol.

Immunohistochemistry (Formalin/PFA-fixed paraffin-embedded sections) - Anti-HDAC1+HDAC2 antibody [EPR20327] - BSA and Azide free (AB251562)
  • IHC-P

Supplier Data

Immunohistochemistry (Formalin/PFA-fixed paraffin-embedded sections) - Anti-HDAC1+HDAC2 antibody [EPR20327] - BSA and Azide free (AB251562)

This data was developed using ab219054, the same antibody clone in a different buffer formulation.

Immunohistochemical analysis of paraffin-embedded human prostate cancer tissue labeling HDAC1 + HDAC2 with ab219054 at 1/1000 dilution, followed by Goat Anti-Rabbit IgG H&L (HRP) Ready to use.

Nuclear staining on tumor cells of prostate cancer; weak or negative staining on basal cells.

Counter stained with Hematoxylin.

Secondary antibody only control : Used PBS instead of primary antibody, secondary antibody is Goat Anti-Rabbit IgG H&L (HRP) Ready to use.

Perform heat mediated antigen retrieval with Tris/EDTA buffer pH 9.0 before commencing with IHC staining protocol.

Immunocytochemistry/ Immunofluorescence - Anti-HDAC1+HDAC2 antibody [EPR20327] - BSA and Azide free (AB251562)
  • ICC/IF

Supplier Data

Immunocytochemistry/ Immunofluorescence - Anti-HDAC1+HDAC2 antibody [EPR20327] - BSA and Azide free (AB251562)

This data was developed using ab219054, the same antibody clone in a different buffer formulation.

Immunofluorescent analysis of 4% paraformaldehyde-fixed, 0.1% Triton X-100 permeabilized NIH/3T3 (Mouse embryonic fibroblast cell line) cells labeling HDAC1 + HDAC2 with ab219054 at 1/1000 dilution, followed by Goat anti-rabbit IgG (Alexa Fluor® 488) (ab150077) secondary antibody at 1/1000 dilution (green).

Confocal image showing nuclear staining on NIH/3T3 cell line.

The nuclear counterstain is DAPI (blue).

Tubulin is detected with ab195889 (Anti-alpha Tubulin antibody [DM1A] - Microtubule Marker (Alexa Fluor® 594)) at 1/200 dilution (red).

Secondary antibody only control : Used PBS instead of primary antibody, secondary antibody is Goat anti-rabbit IgG (Alexa Fluor® 488) (ab150077) at 1/1000 dilution.

Immunocytochemistry/ Immunofluorescence - Anti-HDAC1+HDAC2 antibody [EPR20327] - BSA and Azide free (AB251562)
  • ICC/IF

Supplier Data

Immunocytochemistry/ Immunofluorescence - Anti-HDAC1+HDAC2 antibody [EPR20327] - BSA and Azide free (AB251562)

This data was developed using ab219054, the same antibody clone in a different buffer formulation.

Immunofluorescent analysis of 4% paraformaldehyde-fixed, 0.1% Triton X-100 permeabilized HEK-293 (Human epithelial cell line from embryonic kidney) cells labeling HDAC1 + HDAC2 with ab219054 at 1/1000 dilution, followed by Goat anti-rabbit IgG (Alexa Fluor® 488) (ab150077) secondary antibody at 1/1000 dilution (green).

Confocal image showing nuclear staining on HEK-293 cell line.

The nuclear counterstain is DAPI (blue).

Tubulin is detected with ab195889 (Anti-alpha Tubulin antibody [DM1A] - Microtubule Marker (Alexa Fluor® 594)) at 1/200 dilution (red).

Secondary antibody only control : Used PBS instead of primary antibody, secondary antibody is Goat anti-rabbit IgG (Alexa Fluor® 488) (ab150077) at 1/1000 dilution.

Immunoprecipitation - Anti-HDAC1+HDAC2 antibody [EPR20327] - BSA and Azide free (AB251562)
  • IP

Supplier Data

Immunoprecipitation - Anti-HDAC1+HDAC2 antibody [EPR20327] - BSA and Azide free (AB251562)

This data was developed using ab219054, the same antibody clone in a different buffer formulation.

HDAC1 + HDAC2 was immunoprecipitated from 0.35 mg of HeLa (Human epithelial cell line from cervix adenocarcinoma) whole cell lysate with ab219054 at 1/30 dilution.

Western blot was performed from the immunoprecipitate using ab219054 at 1/1000 dilution.

VeriBlot for IP Detection Reagent (HRP) (ab131366), was used for detection at 1/10000 dilution.

Lane 1 : HeLa whole cell lysate 10 μg (Input).
Lane 2 : ab219054 IP in HeLa whole cell lysate.
Lane 3 : Rabbit monoclonal IgG (ab172730) instead of ab219054 in HeLa whole cell lysate.

Blocking and dilution buffer and concentration : 5% NFDM/TBST.

Exposure time : 1 second.

All lanes:

Immunoprecipitation - Anti-HDAC1 + HDAC2 antibody [EPR20327] (<a href='/en-us/products/primary-antibodies/hdac1-hdac2-antibody-epr20327-ab219054'>ab219054</a>)

false

Western blot - Anti-HDAC1+HDAC2 antibody [EPR20327] - BSA and Azide free (AB251562)
  • WB

Supplier Data

Western blot - Anti-HDAC1+HDAC2 antibody [EPR20327] - BSA and Azide free (AB251562)

This data was developed using ab219054, the same antibody clone in a different buffer formulation.

Blocking and dilution buffer : 5% NFDM/TBST.

Exposure time : Lanes 1, 3-5 : 3 minutes; Lane 2 : 10 seconds.

All lanes:

Western blot - Anti-HDAC1 + HDAC2 antibody [EPR20327] (<a href='/en-us/products/primary-antibodies/hdac1-hdac2-antibody-epr20327-ab219054'>ab219054</a>) at 1/1000 dilution

Lane 1:

Mouse brain lysate at 10 µg

Lane 2:

Mouse spleen lysate at 10 µg

Lane 3:

Rat brain lysate at 10 µg

Lane 4:

Rat kidney lysate at 10 µg

Lane 5:

Rat spleen lysate at 10 µg

Secondary

All lanes:

Western blot - Goat Anti-Rabbit IgG H&L (HRP) (<a href='/en-us/products/secondary-antibodies/goat-rabbit-igg-h-l-hrp-ab97051'>ab97051</a>) at 1/100000 dilution

Predicted band size: 55 kDa

Observed band size: 55 kDa

false

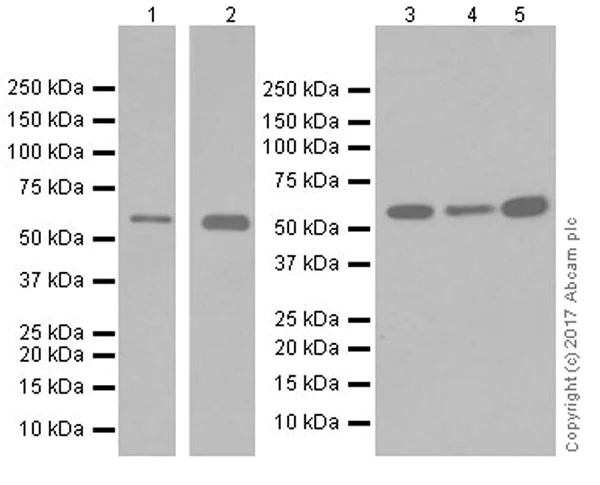
Western blot - Anti-HDAC1+HDAC2 antibody [EPR20327] - BSA and Azide free (AB251562)
  • WB

Supplier Data

Western blot - Anti-HDAC1+HDAC2 antibody [EPR20327] - BSA and Azide free (AB251562)

This data was developed using ab219054, the same antibody clone in a different buffer formulation.

Blocking and dilution buffer : 5% NFDM/TBST.

All lanes:

Western blot - Anti-HDAC1 + HDAC2 antibody [EPR20327] (<a href='/en-us/products/primary-antibodies/hdac1-hdac2-antibody-epr20327-ab219054'>ab219054</a>) at 1/10000 dilution

Lane 1:

His-tagged human HDAC2 recombinant protein (aa339-488) at 0.01 µg

Lane 2:

His-tagged human HDAC1 recombinant protein (aa1-482) at 0.01 µg

Secondary

All lanes:

Western blot - Goat Anti-Rabbit IgG H&L (HRP) (<a href='/en-us/products/secondary-antibodies/goat-rabbit-igg-h-l-hrp-ab97051'>ab97051</a>) at 1/100000 dilution

Predicted band size: 55 kDa

Observed band size: 22 kDa,60 kDa

false

Western blot - Anti-HDAC1+HDAC2 antibody [EPR20327] - BSA and Azide free (AB251562)
  • WB

Supplier Data

Western blot - Anti-HDAC1+HDAC2 antibody [EPR20327] - BSA and Azide free (AB251562)

This data was developed using ab219054, the same antibody clone in a different buffer formulation.

Blocking and dilution buffer : 5% NFDM/TBST.

All lanes:

Western blot - Anti-HDAC1 + HDAC2 antibody [EPR20327] (<a href='/en-us/products/primary-antibodies/hdac1-hdac2-antibody-epr20327-ab219054'>ab219054</a>) at 1/1000 dilution

Lane 1:

C6 (Rat glial tumor cell line) whole cell lysate at 10 µg

Lane 2:

RAW 264.7 (Mouse macrophage cell line transformed with Abelson murine leukemia virus) whole cell lysate at 10 µg

Lane 3:

PC-12 (Rat adrenal gland pheochromocytoma cell line) whole cell lysate at 10 µg

Lane 4:

NIH/3T3 (Mouse embryonic fibroblast cell line) whole cell lysate at 10 µg

Secondary

All lanes:

Western blot - Goat Anti-Rabbit IgG H&L (HRP) (<a href='/en-us/products/secondary-antibodies/goat-rabbit-igg-h-l-hrp-ab97051'>ab97051</a>) at 1/100000 dilution

Predicted band size: 55 kDa

Observed band size: 55 kDa

false

Exposure time: 5s

Western blot - Anti-HDAC1+HDAC2 antibody [EPR20327] - BSA and Azide free (AB251562)
  • WB

Supplier Data

Western blot - Anti-HDAC1+HDAC2 antibody [EPR20327] - BSA and Azide free (AB251562)

This data was developed using ab219054, the same antibody clone in a different buffer formulation.

Blocking and dilution buffer : 5% NFDM/TBST.

All lanes:

Western blot - Anti-HDAC1 + HDAC2 antibody [EPR20327] (<a href='/en-us/products/primary-antibodies/hdac1-hdac2-antibody-epr20327-ab219054'>ab219054</a>) at 1/2000 dilution

Lane 1:

HeLa (Human epithelial cell line from cervix adenocarcinoma) whole cell lysate at 20 µg

Lane 2:

LNCaP (Human prostate cancer cell line) whole cell lysate at 20 µg

Lane 3:

SH-SY5Y (Human neuroblastoma cell line from bone marrow) whole cell lysate at 20 µg

Lane 4:

293 (Human epithelial cell line from embryonic kidney) whole cell lysate at 20 µg

Secondary

All lanes:

Western blot - Goat Anti-Rabbit IgG H&L (HRP) (<a href='/en-us/products/secondary-antibodies/goat-rabbit-igg-h-l-hrp-ab97051'>ab97051</a>) at 1/100000 dilution

Predicted band size: 55 kDa

Observed band size: 55 kDa

false

Exposure time: 5s

  • Unconjugated

    Anti-HDAC1 + HDAC2 antibody [EPR20327]

  • 775 Alexa Fluor® 750

    Alexa Fluor® 750 Anti-HDAC1 + HDAC2 antibody [EPR20327]

  • 578 PE

    PE Anti-HDAC1 + HDAC2 antibody [EPR20327]

  • HRP

    HRP Anti-HDAC1 + HDAC2 antibody [EPR20327]

  • 519 Alexa Fluor® 488

    Alexa Fluor® 488 Anti-HDAC1 + HDAC2 antibody [EPR20327]

  • 665 Alexa Fluor® 647

    Alexa Fluor® 647 Anti-HDAC1 + HDAC2 antibody [EPR20327]

  • 565 Alexa Fluor® 555

    Alexa Fluor® 555 Anti-HDAC1 + HDAC2 antibody [EPR20327]

  • 660 APC

    APC Anti-HDAC1 + HDAC2 antibody [EPR20327]

  • 617 Alexa Fluor® 594

    Alexa Fluor® 594 Anti-HDAC1 + HDAC2 antibody [EPR20327]

  • 603 Alexa Fluor® 568

    Alexa Fluor® 568 Anti-HDAC1 + HDAC2 antibody [EPR20327]

Key facts

Host species

Rabbit

Clonality

Monoclonal

Clone number

EPR20327

Isotype

IgG

Carrier free

Yes

Reacts with

Mouse, Rat, Human

Applications

WB, ICC/IF, IP, Flow Cyt (Intra), IHC-P

applications

Immunogen

The exact immunogen used to generate this antibody is proprietary information.

Reactivity data

{ "title": "Reactivity Data", "filters": { "stats": ["", "Species", "Dilution Info", "Notes"], "tabs": { "all-applications": {"fullname" : "All Applications", "shortname": "All Applications"}, "ICCIF" : {"fullname" : "Immunocytochemistry/ Immunofluorescence", "shortname":"ICC/IF"}, "IP" : {"fullname" : "Immunoprecipitation", "shortname":"IP"}, "WB" : {"fullname" : "Western blot", "shortname":"WB"}, "FlowCytIntra" : {"fullname" : "Flow Cytometry (Intracellular)", "shortname":"Flow Cyt (Intra)"}, "IHCP" : {"fullname" : "Immunohistochemistry (Formalin/PFA-fixed paraffin-embedded sections)", "shortname":"IHC-P"} }, "product-promise": { "all": "all", "testedAndGuaranteed": "tested", "guaranteed": "expected", "predicted": "predicted", "notRecommended": "not-recommended" } }, "values": { "Human": { "ICCIF-species-checked": "testedAndGuaranteed", "ICCIF-species-dilution-info": "", "ICCIF-species-notes": "<p></p>", "IP-species-checked": "testedAndGuaranteed", "IP-species-dilution-info": "", "IP-species-notes": "<p></p>", "WB-species-checked": "testedAndGuaranteed", "WB-species-dilution-info": "", "WB-species-notes": "<p></p>", "FlowCytIntra-species-checked": "testedAndGuaranteed", "FlowCytIntra-species-dilution-info": "", "FlowCytIntra-species-notes": "<p></p>", "IHCP-species-checked": "testedAndGuaranteed", "IHCP-species-dilution-info": "", "IHCP-species-notes": "<p></p> Perform heat-mediated antigen retrieval with Tris/EDTA buffer pH 9.0 before commencing with IHC staining protocol." }, "Mouse": { "ICCIF-species-checked": "testedAndGuaranteed", "ICCIF-species-dilution-info": "", "ICCIF-species-notes": "<p></p>", "IP-species-checked": "guaranteed", "IP-species-dilution-info": "", "IP-species-notes": "", "WB-species-checked": "testedAndGuaranteed", "WB-species-dilution-info": "", "WB-species-notes": "<p></p>", "FlowCytIntra-species-checked": "guaranteed", "FlowCytIntra-species-dilution-info": "", "FlowCytIntra-species-notes": "", "IHCP-species-checked": "testedAndGuaranteed", "IHCP-species-dilution-info": "", "IHCP-species-notes": "<p></p> Perform heat-mediated antigen retrieval with Tris/EDTA buffer pH 9.0 before commencing with IHC staining protocol." }, "Rat": { "ICCIF-species-checked": "guaranteed", "ICCIF-species-dilution-info": "", "ICCIF-species-notes": "", "IP-species-checked": "guaranteed", "IP-species-dilution-info": "", "IP-species-notes": "", "WB-species-checked": "testedAndGuaranteed", "WB-species-dilution-info": "", "WB-species-notes": "<p></p>", "FlowCytIntra-species-checked": "guaranteed", "FlowCytIntra-species-dilution-info": "", "FlowCytIntra-species-notes": "", "IHCP-species-checked": "guaranteed", "IHCP-species-dilution-info": "", "IHCP-species-notes": "" } } }

Product details

ab251562 is the carrier-free version of ab219054.

Patented technology
Our RabMAb® technology is a patented hybridoma-based technology for making rabbit monoclonal antibodies. For details on our patents, please refer to RabMAb® patents.

What are the advantages of a recombinant monoclonal antibody?
This product is a recombinant monoclonal antibody, which offers several advantages including:

  • - High batch-to-batch consistency and reproducibility
  • - Improved sensitivity and specificity
  • - Long-term security of supply
  • - Animal-free batch production

For more information, read more on recombinant antibodies.

Conjugation ready
Our carrier-free antibodies are typically supplied in a PBS-only formulation, purified and free of BSA, sodium azide and glycerol. This conjugation-ready format is designed for use with fluorochromes, metal isotopes, oligonucleotides, and enzymes, which makes them ideal for antibody labelling, functional and cell-based assays, flow-based assays (e.g. mass cytometry) and Multiplex Imaging applications.

Use our conjugation kits for antibody conjugates that are ready-to-use in as little as 20 minutes with 1 minute hands-on-time and 100% antibody recovery: available for fluorescent dyes, HRP, biotin and gold.

Compatibility
This product is compatible with the Maxpar® Antibody Labeling Kit from Fluidigm, without the need for antibody preparation. Maxpar® is a trademark of Fluidigm Canada Inc.

Properties and storage information

Form
Liquid
Purification technique
Affinity purification Protein A
Storage buffer
pH: 7.2 - 7.4 Constituents: PBS
Shipped at conditions
Blue Ice
Appropriate short-term storage conditions
+4°C
Appropriate long-term storage conditions
+4°C
Storage information
Do Not Freeze

Supplementary information

This supplementary information is collated from multiple sources and compiled automatically.

HDAC1 and HDAC2 also known as histone deacetylases 1 and 2 are enzyme molecules with masses of approximately 55 kDa each. Mechanically HDAC1 and HDAC2 remove acetyl groups from histone proteins which affects chromatin structure and transcription regulation. These proteins exert their function within the nucleus of eukaryotic cells. They are expressed in various tissues but have significant levels in the brain heart and muscles.
Biological function summary

HDAC1 and HDAC2 function together as part of larger multiprotein complexes such as the Sin3 and NuRD complexes. These enzymes play key roles in the repression of gene expression. By altering the acetylation status of histones they contribute to chromatin condensation silencing certain gene areas. Their activity is necessary for proper development cell proliferation and differentiation. Scientists have observed that HDACs help maintain stem cell pluripotency and regulate cell cycle progression.

Pathways

HDAC1 and HDAC2 are integral to signaling pathways involved in DNA repair and cell cycle regulation. Specifically they impact the Notch and Wnt pathways which are essential for cell communication and cellular events like apoptosis and differentiation. Notably HDAC1 and HDAC2 interact with proteins such as Rb (retinoblastoma protein) and E2F transcription factors influencing cellular progression through the cell cycle and thereby affecting cell fate decisions.

HDAC1 and HDAC2 have links to cancer and neurological disorders. Their dysregulation can result in aberrant gene expression profiles contributing to tumorigenesis and cancer progression. For instance overexpression of HDACs in various cancers has been reported suggesting that these enzymes facilitate oncogenic processes. HDAC1 and HDAC2 also connect to neurodegenerative diseases by influencing proteins like those involved in Alzheimer's disease; their role in chromatin remodeling and gene expression impacts neuronal cell survival and function.

Product protocols

For this product, it's our understanding that no specific protocols are required. You can visit:

Target data

Histone deacetylase that catalyzes the deacetylation of lysine residues on the N-terminal part of the core histones (H2A, H2B, H3 and H4) (PubMed : 16762839, PubMed : 17704056, PubMed : 28497810). Histone deacetylation gives a tag for epigenetic repression and plays an important role in transcriptional regulation, cell cycle progression and developmental events (PubMed : 16762839, PubMed : 17704056). Histone deacetylases act via the formation of large multiprotein complexes (PubMed : 16762839, PubMed : 17704056). Acts as a component of the histone deacetylase NuRD complex which participates in the remodeling of chromatin (PubMed : 16428440, PubMed : 28977666). As part of the SIN3B complex is recruited downstream of the constitutively active genes transcriptional start sites through interaction with histones and mitigates histone acetylation and RNA polymerase II progression within transcribed regions contributing to the regulation of transcription (PubMed : 21041482). Also functions as a deacetylase for non-histone targets, such as NR1D2, RELA, SP1, SP3, STAT3 and TSHZ3 (PubMed : 12837748, PubMed : 16285960, PubMed : 16478997, PubMed : 17996965, PubMed : 19343227). Deacetylates SP proteins, SP1 and SP3, and regulates their function (PubMed : 12837748, PubMed : 16478997). Component of the BRG1-RB1-HDAC1 complex, which negatively regulates the CREST-mediated transcription in resting neurons (PubMed : 19081374). Upon calcium stimulation, HDAC1 is released from the complex and CREBBP is recruited, which facilitates transcriptional activation (PubMed : 19081374). Deacetylates TSHZ3 and regulates its transcriptional repressor activity (PubMed : 19343227). Deacetylates 'Lys-310' in RELA and thereby inhibits the transcriptional activity of NF-kappa-B (PubMed : 17000776). Deacetylates NR1D2 and abrogates the effect of KAT5-mediated relieving of NR1D2 transcription repression activity (PubMed : 17996965). Component of a RCOR/GFI/KDM1A/HDAC complex that suppresses, via histone deacetylase (HDAC) recruitment, a number of genes implicated in multilineage blood cell development (By similarity). Involved in CIART-mediated transcriptional repression of the circadian transcriptional activator : CLOCK-BMAL1 heterodimer (By similarity). Required for the transcriptional repression of circadian target genes, such as PER1, mediated by the large PER complex or CRY1 through histone deacetylation (By similarity). In addition to protein deacetylase activity, also has protein-lysine deacylase activity : acts as a protein decrotonylase and delactylase by mediating decrotonylation ((2E)-butenoyl) and delactylation (lactoyl) of histones, respectively (PubMed : 28497810, PubMed : 35044827).
See full target information HDAC1

Additional targets

HDAC2

Publications (1)

Recent publications for all applications. Explore the full list and refine your search

Cancer cell 39:1479-1496.e18 PubMed34653364

2021

Signatures of plasticity, metastasis, and immunosuppression in an atlas of human small cell lung cancer.

Applications

Unspecified application

Species

Unspecified reactive species

Joseph M Chan,Álvaro Quintanal-Villalonga,Vianne Ran Gao,Yubin Xie,Viola Allaj,Ojasvi Chaudhary,Ignas Masilionis,Jacklynn Egger,Andrew Chow,Thomas Walle,Marissa Mattar,Dig V K Yarlagadda,James L Wang,Fathema Uddin,Michael Offin,Metamia Ciampricotti,Besnik Qeriqi,Amber Bahr,Elisa de Stanchina,Umesh K Bhanot,W Victoria Lai,Matthew J Bott,David R Jones,Arvin Ruiz,Marina K Baine,Yanyun Li,Natasha Rekhtman,John T Poirier,Tal Nawy,Triparna Sen,Linas Mazutis,Travis J Hollmann,Dana Pe'er,Charles M Rudin
View all publications

Product promise

We are committed to supporting your work with high-quality reagents, and we're here for you every step of the way. In the unlikely event that one of our products does not perform as expected, you're protected by our Product Promise.
For full details, please see our Terms & Conditions

Please note: All products are 'FOR RESEARCH USE ONLY. NOT FOR USE IN DIAGNOSTIC OR THERAPEUTIC PROCEDURES'.

For licensing inquiries, please contact partnerships@abcam.com