JavaScript is disabled in your browser. Please enable JavaScript to view this website.
AB219053

Anti-HDAC2 antibody [EPR20117]

  • Recombinant
  • KO Validated
  • Advanced Validation
  • RabMAb
  • 20ul selling size
  • What is this?

Be the first to review this product! Submit a review

|

(7 Publications)

Rabbit Recombinant Monoclonal HDAC2 antibody. Suitable for ChIC/CUT&RUN-seq, IP, WB, ICC/IF, Flow Cyt (Intra), IHC-P and reacts with Human, Mouse, Rat samples. Cited in 7 publications.

View Alternative Names

Histone deacetylase 2, HD2, Protein deacylase HDAC2, HDAC2

23 Images
Immunohistochemistry (Formalin/PFA-fixed paraffin-embedded sections) - Anti-HDAC2 antibody [EPR20117] (AB219053)
  • IHC-P

Supplier Data

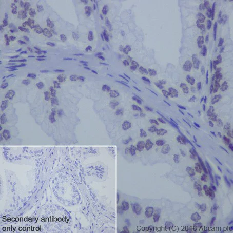
Immunohistochemistry (Formalin/PFA-fixed paraffin-embedded sections) - Anti-HDAC2 antibody [EPR20117] (AB219053)

Immunohistochemical analysis of paraffin-embedded human prostate hyperplasia tissue labeling HDAC2 with ab219053 at 1/4000 dilution, followed by Goat Anti-Rabbit IgG H&L (HRP) Ready to use.

Nuclear staining on luminal epithelial cells of human prostate hyperplasia; negative staining on basal cells.

Counter stained with Hematoxylin.

Secondary antibody only control : Used PBS instead of primary antibody, secondary antibody is Goat Anti-Rabbit IgG H&L (HRP) Ready to use.

Perform heat mediated antigen retrieval with Tris/EDTA buffer pH 9.0 before commencing with IHC staining protocol.

Immunohistochemistry (Formalin/PFA-fixed paraffin-embedded sections) - Anti-HDAC2 antibody [EPR20117] (AB219053)
  • IHC-P

Supplier Data

Immunohistochemistry (Formalin/PFA-fixed paraffin-embedded sections) - Anti-HDAC2 antibody [EPR20117] (AB219053)

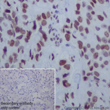
Immunohistochemical analysis of paraffin-embedded human breast cancer tissue labeling HDAC2 with ab219053 at 1/4000 dilution, followed by Goat Anti-Rabbit IgG H&L (HRP) Ready to use.

Nuclear staining on tumor cells of human breast cancer is observed.

Counter stained with Hematoxylin.

Secondary antibody only control : Used PBS instead of primary antibody, secondary antibody is Goat Anti-Rabbit IgG H&L (HRP) Ready to use.

Perform heat mediated antigen retrieval with Tris/EDTA buffer pH 9.0 before commencing with IHC staining protocol.

Immunohistochemistry (Formalin/PFA-fixed paraffin-embedded sections) - Anti-HDAC2 antibody [EPR20117] (AB219053)
  • IHC-P

Supplier Data

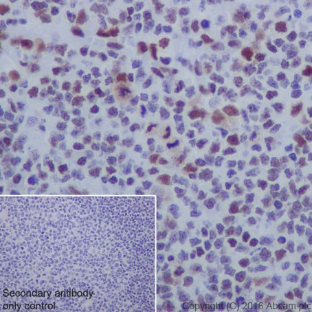
Immunohistochemistry (Formalin/PFA-fixed paraffin-embedded sections) - Anti-HDAC2 antibody [EPR20117] (AB219053)

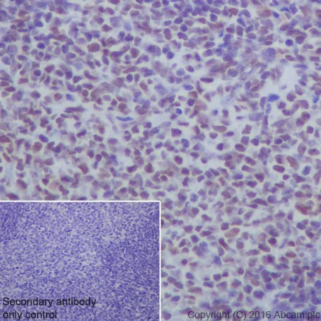
Immunohistochemical analysis of paraffin-embedded human tonsil tissue labeling HDAC2 with ab219053 at 1/4000 dilution, followed by Goat Anti-Rabbit IgG H&L (HRP) Ready to use.

Nuclear staining on lymphocytes of human tonsil is observed.

Counter stained with Hematoxylin.

Secondary antibody only control : Used PBS instead of primary antibody, secondary antibody is Goat Anti-Rabbit IgG H&L (HRP) Ready to use.

Perform heat mediated antigen retrieval with Tris/EDTA buffer pH 9.0 before commencing with IHC staining protocol.

Immunohistochemistry (Formalin/PFA-fixed paraffin-embedded sections) - Anti-HDAC2 antibody [EPR20117] (AB219053)
  • IHC-P

Supplier Data

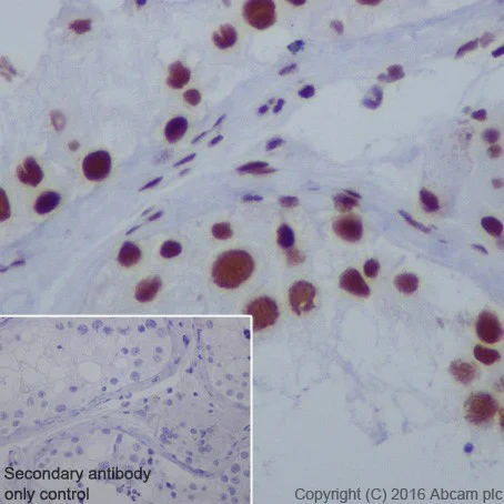
Immunohistochemistry (Formalin/PFA-fixed paraffin-embedded sections) - Anti-HDAC2 antibody [EPR20117] (AB219053)

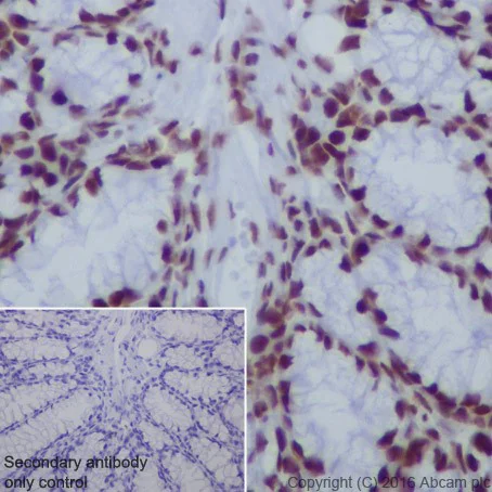
Immunohistochemical analysis of paraffin-embedded human testis tissue labeling HDAC2 with ab219053 at 1/4000 dilution, followed by Goat Anti-Rabbit IgG H&L (HRP) Ready to use.

Nuclear staining on human testis is observed.

Counter stained with Hematoxylin.

Secondary antibody only control : Used PBS instead of primary antibody, secondary antibody is Goat Anti-Rabbit IgG H&L (HRP) Ready to use.

Perform heat mediated antigen retrieval with Tris/EDTA buffer pH 9.0 before commencing with IHC staining protocol.

Immunohistochemistry (Formalin/PFA-fixed paraffin-embedded sections) - Anti-HDAC2 antibody [EPR20117] (AB219053)
  • IHC-P

Supplier Data

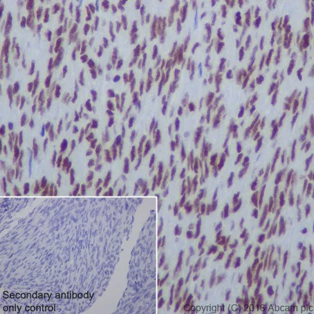
Immunohistochemistry (Formalin/PFA-fixed paraffin-embedded sections) - Anti-HDAC2 antibody [EPR20117] (AB219053)

Immunohistochemical analysis of paraffin-embedded human synovial sarcoma tissue labeling HDAC2 with ab219053 at 1/4000 dilution, followed by Goat Anti-Rabbit IgG H&L (HRP) Ready to use.

Nuclear staining on human synovial sarcoma is observed.

Counter stained with Hematoxylin.

Secondary antibody only control : Used PBS instead of primary antibody, secondary antibody is Goat Anti-Rabbit IgG H&L (HRP) Ready to use.

Perform heat mediated antigen retrieval with Tris/EDTA buffer pH 9.0 before commencing with IHC staining protocol.

Immunocytochemistry/ Immunofluorescence - Anti-HDAC2 antibody [EPR20117] (AB219053)
  • ICC/IF

Supplier Data

Immunocytochemistry/ Immunofluorescence - Anti-HDAC2 antibody [EPR20117] (AB219053)

Immunofluorescent analysis of 4% paraformaldehyde-fixed, 0.1% Triton X-100 permeabilized HEK-293 (Human epithelial cell line from embryonic kidney) cells labeling HDAC2 with ab219053 at 1/1000 dilution, followed by Goat anti-rabbit IgG (Alexa Fluor® 488) (ab150077) secondary antibody at 1/1000 dilution (green).

Confocal image showing nuclear staining on HEK-293 cell line.

The nuclear counterstain is DAPI (blue).

Tubulin is detected with ab195889 (Anti-alpha Tubulin antibody [DM1A] - Microtubule Marker (Alexa Fluor® 594)) at 1/200 dilution (red).

Secondary antibody only control : Used PBS instead of primary antibody, secondary antibody is Goat anti-rabbit IgG (Alexa Fluor® 488) (ab150077) at 1/1000 dilution.

Immunohistochemistry (Formalin/PFA-fixed paraffin-embedded sections) - Anti-HDAC2 antibody [EPR20117] (AB219053)
  • IHC-P

Supplier Data

Immunohistochemistry (Formalin/PFA-fixed paraffin-embedded sections) - Anti-HDAC2 antibody [EPR20117] (AB219053)

Immunohistochemical analysis of paraffin-embedded human prostate cancer tissue labeling HDAC2 with ab219053 at 1/4000 dilution, followed by Goat Anti-Rabbit IgG H&L (HRP) Ready to use.

Nuclear Nuclear staining on tumor cells of prostate cancer; weak or negative staining on basal cells.

Counter stained with Hematoxylin.

Secondary antibody only control : Used PBS instead of primary antibody, secondary antibody is Goat Anti-Rabbit IgG H&L (HRP) Ready to use.

Perform heat mediated antigen retrieval with Tris/EDTA buffer pH 9.0 before commencing with IHC staining protocol.

Immunoprecipitation - Anti-HDAC2 antibody [EPR20117] (AB219053)
  • IP

Supplier Data

Immunoprecipitation - Anti-HDAC2 antibody [EPR20117] (AB219053)

HDAC2 was immunoprecipitated from 0.35 mg of HeLa (Human epithelial cell line from cervix adenocarcinoma) whole cell lysate with ab219053 at 1/30 dilution.

Western blot was performed from the immunoprecipitate using ab219053 at 1/1000 dilution.

VeriBlot for IP Detection Reagent (HRP) (ab131366), was used for detection at 1/10000 dilution.

Lane 1 : HeLa whole cell lysate 10 μg (Input).

Lane 2 : ab219053 IP in HeLa whole cell lysate.

Lane 3 : Rabbit monoclonal IgG (ab172730) instead of ab219053 in HeLa whole cell lysate.

Blocking and dilution buffer and concentration : 5% NFDM/TBST.

Exposure time : 1 second.

All lanes:

Immunoprecipitation - Anti-HDAC2 antibody [EPR20117] (ab219053)

Predicted band size: 55 kDa

Observed band size: 55 kDa

false

Immunocytochemistry/ Immunofluorescence - Anti-HDAC2 antibody [EPR20117] (AB219053)
  • ICC/IF

Supplier Data

Immunocytochemistry/ Immunofluorescence - Anti-HDAC2 antibody [EPR20117] (AB219053)

Immunofluorescent analysis of 4% paraformaldehyde-fixed, 0.1% Triton X-100 permeabilized NIH/3T3 (Mouse embryonic fibroblast cell line) cells labeling HDAC2 with ab219053 at 1/1000 dilution, followed by Goat anti-rabbit IgG (Alexa Fluor® 488) (ab150077) secondary antibody at 1/1000 dilution (green).

Confocal image showing nuclear staining on NIH/3T3 cell line.

The nuclear counterstain is DAPI (blue).

Tubulin is detected with ab195889 (Anti-alpha Tubulin antibody [DM1A] - Microtubule Marker (Alexa Fluor® 594)) at 1/200 dilution (red).

Secondary antibody only control : Used PBS instead of primary antibody, secondary antibody is Goat anti-rabbit IgG (Alexa Fluor® 488) (ab150077) at 1/1000 dilution.

Immunohistochemistry (Formalin/PFA-fixed paraffin-embedded sections) - Anti-HDAC2 antibody [EPR20117] (AB219053)
  • IHC-P

Supplier Data

Immunohistochemistry (Formalin/PFA-fixed paraffin-embedded sections) - Anti-HDAC2 antibody [EPR20117] (AB219053)

Immunohistochemical analysis of paraffin-embedded mouse colon tissue labeling HDAC2 with ab219053 at 1/4000 dilution, followed by Goat Anti-Rabbit IgG H&L (HRP) Ready to use.

Nuclear staining on mouse colon is observed.

Counter stained with Hematoxylin.

Secondary antibody only control : Used PBS instead of primary antibody, secondary antibody is Goat Anti-Rabbit IgG H&L (HRP) Ready to use.

Perform heat mediated antigen retrieval with Tris/EDTA buffer pH 9.0 before commencing with IHC staining protocol.

Flow Cytometry (Intracellular) - Anti-HDAC2 antibody [EPR20117] (AB219053)
  • Flow Cyt (Intra)

Supplier Data

Flow Cytometry (Intracellular) - Anti-HDAC2 antibody [EPR20117] (AB219053)

Intracellular flow cytometric analysis of 4% paraformaldehyde-fixed NIH/3T3 (Mouse embryonic fibroblast cell line) cells labeling HDAC2 with ab219053 at 1/500 dilution (red) compared with a rabbit monoclonal IgG isotype control (ab172730; black) and an unlabeled control (cells without incubation with primary antibody and secondary antibody; blue). Goat anti rabbit IgG (Alexa Fluor® 488) at 1/2000 dilution was used as the secondary antibody.

Immunohistochemistry (Formalin/PFA-fixed paraffin-embedded sections) - Anti-HDAC2 antibody [EPR20117] (AB219053)
  • IHC-P

Supplier Data

Immunohistochemistry (Formalin/PFA-fixed paraffin-embedded sections) - Anti-HDAC2 antibody [EPR20117] (AB219053)

Immunohistochemical analysis of paraffin-embedded rat spleen tissue labeling HDAC2 with ab219053 at 1/4000 dilution, followed by Goat Anti-Rabbit IgG H&L (HRP) Ready to use.

Nuclear staining on rat spleen is observed.

Counter stained with Hematoxylin.

Secondary antibody only control : Used PBS instead of primary antibody, secondary antibody is Goat Anti-Rabbit IgG H&L (HRP) Ready to use.

Perform heat mediated antigen retrieval with Tris/EDTA buffer pH 9.0 before commencing with IHC staining protocol.

Western blot - Anti-HDAC2 antibody [EPR20117] (AB219053)
  • WB

Lab

Western blot - Anti-HDAC2 antibody [EPR20117] (AB219053)

Lanes 1- 2 : Merged signal (red and green). Green - ab219053 observed at 55 kDa. Red - Anti-GAPDH antibody [6C5] - Loading Control (ab8245) observed at 37 kDa.

ab219053 was shown to react with HDAC2 in wild-type HEK-293T cells in western blot. Loss of signal was observed when knockout cell line ab266589 (knockout cell lysate ab256938) was used. Wild-type HEK-293T and HDAC2 knockout HEK-293T cell lysates were subjected to SDS-PAGE. Membrane was blocked for 1 hour at room temperature in 0.1% TBST with 3% non-fat dried milk. ab219053 and Anti-GAPDH antibody [6C5] - Loading Control (ab8245) overnight at 4°C at a 1 in 1000 dilution and a 1 in 20000 dilution respectively. Blots were developed with Goat anti-Rabbit IgG H&L (IRDye®800CW) preadsorbed (ab216773) and Goat anti-Mouse IgG H&L (IRDye®680RD) preadsorbed (ab216776) secondary antibodies at 1 in 20000 dilution for 1 hour at room temperature before imaging.

All lanes:

Western blot - Anti-HDAC2 antibody [EPR20117] (ab219053) at 1/1000 dilution

Lane 1:

Wild-type HEK-293T cell lysate at 20 µg

Lane 2:

HDAC2 knockout HEK-293T cell lysate at 20 µg

Lane 2:

Western blot - Human HDAC2 knockout HEK-293T cell line (<a href='/en-us/products/cell-lines/human-hdac2-knockout-hek-293t-cell-line-ab266589'>ab266589</a>)

Predicted band size: 55 kDa

Observed band size: 55 kDa

false

Western blot - Anti-HDAC2 antibody [EPR20117] (AB219053)
  • WB

Supplier Data

Western blot - Anti-HDAC2 antibody [EPR20117] (AB219053)

Blocking/Dilution buffer : 5% NFDM/TBST.

All lanes:

Western blot - Anti-HDAC2 antibody [EPR20117] (ab219053) at 1/5000 dilution

Lane 1:

HeLa (Human epithelial cell line from cervix adenocarcinoma) whole cell lysate at 20 µg

Lane 2:

SH-SY5Y (Human neuroblastoma cell line from bone marrow) whole cell lysate at 20 µg

Lane 3:

HEK-293 (Human epithelial cell line from embryonic kidney) whole cell lysate at 20 µg

Secondary

All lanes:

Western blot - Goat Anti-Rabbit IgG H&L (HRP) (<a href='/en-us/products/secondary-antibodies/goat-rabbit-igg-h-l-hrp-ab97051'>ab97051</a>) at 1/100000 dilution

Predicted band size: 55 kDa

Observed band size: 55 kDa

false

Exposure time: 10s

Western blot - Anti-HDAC2 antibody [EPR20117] (AB219053)
  • WB

Supplier Data

Western blot - Anti-HDAC2 antibody [EPR20117] (AB219053)

Blocking/Dilution buffer : 5% NFDM/TBST.

Exposure time : Lane 1 : 3 minutes; Lane 2 : 15 seconds; Lane 3 : 2 seconds.

All lanes:

Western blot - Anti-HDAC2 antibody [EPR20117] (ab219053) at 1/5000 dilution

Lane 1:

Human fetal brain lysate at 10 µg

Lane 2:

Human fetal heart lysate at 10 µg

Lane 3:

Human fetal kidney lysate at 10 µg

Secondary

All lanes:

Western blot - VeriBlot for IP Detection Reagent (HRP) (<a href='/en-us/products/reagents/veriblot-for-ip-detection-reagent-hrp-ab131366'>ab131366</a>) at 1/4000 dilution

Predicted band size: 55 kDa

Observed band size: 55 kDa

false

Western blot - Anti-HDAC2 antibody [EPR20117] (AB219053)
  • WB

Lab

Western blot - Anti-HDAC2 antibody [EPR20117] (AB219053)

Lanes 1 - 4 : Merged signal (red and green). Green - ab219053 observed at 55 kDa. Red - loading control, ab9484, observed at 37 kDa.

ab219053 was shown to specifically react with HDAC2 in wild type cells as signal was lost in HDAC2 knockout cells. Wild-type and HDAC2 knockout samples were subjected to SDS-PAGE. ab219053 and ab9484 (Mouse anti-GAPDH loading control) were incubated overnight at 4°C at 1/1000 dilution and 1/20000 dilution respectively. Blots were developed with Goat anti-Rabbit IgG H&L (IRDye® 800CW) preabsorbed ab216773 and Goat anti-Mouse IgG H&L (IRDye® 680RD) preabsorbed ab216776 secondary antibodies at 1/20000 dilution for 1 hour at room temperature before imaging.

All lanes:

Western blot - Anti-HDAC2 antibody [EPR20117] (ab219053) at 1/1000 dilution

Lane 1:

Wild-type HAP1 whole cell lysate at 20 µg

Lane 2:

HDAC2 knockout HAP1 whole cell lysate at 20 µg

Lane 3:

A431 whole cell lysate at 20 µg

Lane 4:

HeLa whole cell lysate at 20 µg

Predicted band size: 55 kDa

false

Western blot - Anti-HDAC2 antibody [EPR20117] (AB219053)
  • WB

Lab

Western blot - Anti-HDAC2 antibody [EPR20117] (AB219053)

Lanes 1-2 : Merged signal (red and green). Green - ab219053 observed at 60 kDa. Red - loading control ab8245 observed at 37 kDa.

ab219053 Anti-HDAC2 antibody [EPR20117] was shown to specifically react with HDAC2 in wild-type HEK-293T cells. Loss of signal was observed when knockout cell line ab266588 (knockout cell lysate ab256937) was used. Wild-type and HDAC2 knockout samples were subjected to SDS-PAGE. ab219053 and Anti-GAPDH antibody [6C5] - Loading Control (ab8245) were incubated overnight at 4°C at 1 in 1000 and 1 in 20000 dilution respectively. Blots were developed with Goat anti-Rabbit IgG H&L (IRDye® 800CW) preadsorbed (ab216773) and Goat anti-Mouse IgG H&L (IRDye® 680RD) preadsorbed (ab216776) secondary antibodies at 1 in 20000 dilution for 1 hour at room temperature before imaging.

All lanes:

Western blot - Anti-HDAC2 antibody [EPR20117] (ab219053) at 1/1000 dilution

Lane 1:

Wild-type HEK-293T cell lysate at 20 µg

Lane 2:

HDAC2 knockout HEK-293T cell lysate at 20 µg

Lane 2:

Western blot - Human HDAC2 knockout HEK-293T cell line (<a href='/en-us/products/cell-lines/human-hdac2-knockout-hek-293t-cell-line-ab266588'>ab266588</a>)

Predicted band size: 55 kDa

Observed band size: 60 kDa

false

Western blot - Anti-HDAC2 antibody [EPR20117] (AB219053)
  • WB

Unknown

Western blot - Anti-HDAC2 antibody [EPR20117] (AB219053)

Lanes 1-2 : Merged signal (red and green). Green - ab219053 observed at 60 kDa. Red - loading control ab8245 observed at 37 kDa.

ab219053 Anti-HDAC2 antibody [EPR20117] was shown to specifically react with HDAC2 in wild-type HEK-293T cells. Loss of signal was observed when knockout cell line ab266590 (knockout cell lysate ab256939) was used. Wild-type and HDAC2 knockout samples were subjected to SDS-PAGE. ab219053 and Anti-GAPDH antibody [6C5] - Loading Control (ab8245) were incubated overnight at 4°C at 1 in 1000 and 1 in 20000 dilution respectively. Blots were developed with Goat anti-Rabbit IgG H&L (IRDye® 800CW) preadsorbed (ab216773) and Goat anti-Mouse IgG H&L (IRDye® 680RD) preadsorbed (ab216776) secondary antibodies at 1 in 20000 dilution for 1 hour at room temperature before imaging.

All lanes:

Western blot - Anti-HDAC2 antibody [EPR20117] (ab219053) at 1/1000 dilution

Lane 1:

Wild-type HEK-293T cell lysate at 20 µg

Lane 2:

HDAC2 knockout HEK-293T cell lysate at 20 µg

Lane 2:

Western blot - Human HDAC2 knockout HEK-293T cell line (<a href='/en-us/products/cell-lines/human-hdac2-knockout-hek-293t-cell-line-ab266590'>ab266590</a>)

Predicted band size: 55 kDa

Observed band size: 60 kDa

false

ChIC/CUT&RUN sequencing - Anti-HDAC2 antibody [EPR20117] (AB219053)
  • ChIC/CUT&RUN-seq

Supplier Data

ChIC/CUT&RUN sequencing - Anti-HDAC2 antibody [EPR20117] (AB219053)

CUT&RUN profiling with HDAC2 antibody demonstrates robust genome-wide enrichment in wild-type (WT) cells, which is markedly diminished in HDAC2 knockout (KO) cells. Heatmaps of genome-wide signal flanking annotated transcription start sites (TSSs, +/- 2 kbp) display CUT&RUN data generated using the CUTANA™ CUT&RUN Kit (EpiCypher 14-1048) with HDAC2 antibody (Abcam ab219053, 0.5 µg). 500,000 HEK293T WT or KO (Abcam ab266590) cells were used per reaction. IgG antibody was included as a negative control to assess non-specific background. Libraries were prepared using the CUTANA™ CUT&RUN Library Prep Kit (EpiCypher 14-1001). Sequencing was performed with paired-end 50 bp reads, and data were processed on CUTANA™ Cloud (cloud.epicypher.com) by alignment to the hg38 genome. Heatmaps were generated using deepTools (Ramнrez et al., Nucleic Acids Res. 2014; PMID : 24799436). Row-linked data are ranked by intensity relative to HDAC2 WT, with red indicating high localized enrichment and blue denoting background. Validated antibodies show genome-wide enrichment above IgG background consistent with HDAC2 binding in WT cells and near complete loss of signal in KO cells.

ChIC/CUT&RUN sequencing - Anti-HDAC2 antibody [EPR20117] (AB219053)
  • ChIC/CUT&RUN-seq

Supplier Data

ChIC/CUT&RUN sequencing - Anti-HDAC2 antibody [EPR20117] (AB219053)

CUT&RUN profiling with HDAC2 antibody reveals the expected genomic enrichment pattern in wild-type (WT) cells, which is substantially reduced in HDAC2 knockout (KO) cells. Representative genome browser tracks show CUT&RUN data generated using the CUTANA™ CUT&RUN Kit (EpiCypher 14-1048) with HDAC2 antibody (Abcam ab219053, 0.5 µg). 500,000 HEK293T WT or KO (Abcam ab266590) cells were used per reaction. IgG, H3K4me3, and H3K27me3 antibodies were included as controls to assess non-specific background, active promoters, and repressed chromatin, respectively. Libraries were prepared using the CUTANA™ CUT&RUN Library Prep Kit (EpiCypher 14-1001). Sequencing was performed with paired-end 50 bp reads, and data were processed on CUTANA™ Cloud (cloud.epicypher.com) by alignment to the hg38 genome. Images were generated using Integrative Genomics Viewer (IGV, Broad Institute).

ChIC/CUT&RUN sequencing - Anti-HDAC2 antibody [EPR20117] (AB219053)
  • ChIC/CUT&RUN-seq

Supplier Data

ChIC/CUT&RUN sequencing - Anti-HDAC2 antibody [EPR20117] (AB219053)

ChIC/CUT&RUN was performed using a pAG-MNAse at a final concentration of 700 ng/mL, 2 x 10^5 K-562 (Human chronic myelogenous leukemia lymphoblast) cells and 5µg of ab219053 [EPR20117]. The resulting DNA was sequenced on the Illumina NovaSeq 6000 to a depth of 10 million reads. The negative IgG control ab172730 is also shown. Additional screenshots of mapped reads can be found in the Protocol booklet in the Product Protocol section. The University of Geneva owns patents relevant to ChIC (Chromatin Immuno-Cleavage) methods.

Western blot - Anti-HDAC2 antibody [EPR20117] (AB219053)
  • WB

Supplier Data

Western blot - Anti-HDAC2 antibody [EPR20117] (AB219053)

Blocking/Dilution buffer : 5% NFDM/TBST.

Exposure time : Lane 1/2 : 15 seconds; Lane 3 : 30 seconds; Lane 4/5 : 3 seconds; Lane 6/7 : 1 second.

Lanes 1 - 5:

Western blot - Anti-HDAC2 antibody [EPR20117] (ab219053) at 1/1000 dilution

Lanes 6 - 7:

Western blot - Anti-HDAC2 antibody [EPR20117] (ab219053) at 1/5000 dilution

Lane 1:

Mouse brain lysate at 10 µg

Lane 2:

Mouse heart lysate at 10 µg

Lane 3:

Rat heart lysate at 10 µg

Lane 4:

Rat brain lysate at 10 µg

Lane 5:

Rat spleen lysate at 10 µg

Lane 6:

PC-12 (Rat adrenal gland pheochromocytoma cell line) whole cell lysate at 10 µg

Lane 7:

NIH/3T3 (Mouse embryonic fibroblast cell line) whole cell lysate at 10 µg

Secondary

All lanes:

Western blot - Goat Anti-Rabbit IgG H&L (HRP) (<a href='/en-us/products/secondary-antibodies/goat-rabbit-igg-h-l-hrp-ab97051'>ab97051</a>) at 1/100000 dilution

Predicted band size: 11 kDa,55 kDa

Observed band size: 55 kDa

false

Western blot - Anti-HDAC2 antibody [EPR20117] (AB219053)
  • WB

Supplier Data

Western blot - Anti-HDAC2 antibody [EPR20117] (AB219053)

Blocking/Dilution buffer : 5% NFDM/TBST.

All lanes:

Western blot - Anti-HDAC2 antibody [EPR20117] (ab219053) at 1/1000 dilution

Lane 1:

His-tagged human HDAC2 recombinant protein (aa339-488) at 0.01 µg

Lane 2:

His-tagged human HDAC1 recombinant protein (aa1-482) at 0.01 µg

Secondary

All lanes:

Western blot - Goat Anti-Rabbit IgG H&L (HRP) (<a href='/en-us/products/secondary-antibodies/goat-rabbit-igg-h-l-hrp-ab97051'>ab97051</a>) at 1/100000 dilution

Predicted band size: 55 kDa

Observed band size: 22 kDa

false

Exposure time: 1s

  • Carrier free

    Anti-HDAC2 antibody [EPR20117] - BSA and Azide free

Key facts

Host species

Rabbit

Clonality

Monoclonal

Clone number

EPR20117

Isotype

IgG

Carrier free

No

Reacts with

Mouse, Rat, Human

Applications

WB, ChIC/CUT&RUN-seq, Flow Cyt (Intra), IHC-P, IP, ICC/IF

applications

Immunogen

The exact immunogen used to generate this antibody is proprietary information.

Reactivity data

{ "title": "Reactivity Data", "filters": { "stats": ["", "Species", "Dilution Info", "Notes"], "tabs": { "all-applications": {"fullname" : "All Applications", "shortname": "All Applications"}, "ChICCUTRUNseq" : {"fullname" : "ChIC/CUT&RUN sequencing", "shortname":"ChIC/CUT&RUN-seq"}, "IP" : {"fullname" : "Immunoprecipitation", "shortname":"IP"}, "WB" : {"fullname" : "Western blot", "shortname":"WB"}, "ICCIF" : {"fullname" : "Immunocytochemistry/ Immunofluorescence", "shortname":"ICC/IF"}, "FlowCytIntra" : {"fullname" : "Flow Cytometry (Intracellular)", "shortname":"Flow Cyt (Intra)"}, "IHCP" : {"fullname" : "Immunohistochemistry (Formalin/PFA-fixed paraffin-embedded sections)", "shortname":"IHC-P"} }, "product-promise": { "all": "all", "testedAndGuaranteed": "tested", "guaranteed": "expected", "predicted": "predicted", "notRecommended": "not-recommended" } }, "values": { "Human": { "ChICCUTRUNseq-species-checked": "testedAndGuaranteed", "ChICCUTRUNseq-species-dilution-info": "5 µg", "ChICCUTRUNseq-species-notes": "<p></p>", "IP-species-checked": "testedAndGuaranteed", "IP-species-dilution-info": "1/30", "IP-species-notes": "<p></p>", "WB-species-checked": "testedAndGuaranteed", "WB-species-dilution-info": "1/1000", "WB-species-notes": "<p></p>", "ICCIF-species-checked": "testedAndGuaranteed", "ICCIF-species-dilution-info": "1/1000", "ICCIF-species-notes": "<p></p>", "FlowCytIntra-species-checked": "guaranteed", "FlowCytIntra-species-dilution-info": "", "FlowCytIntra-species-notes": "", "IHCP-species-checked": "testedAndGuaranteed", "IHCP-species-dilution-info": "1/4000", "IHCP-species-notes": "<p></p> Perform heat-mediated antigen retrieval with Tris/EDTA buffer pH 9.0 before commencing with IHC staining protocol." }, "Mouse": { "ChICCUTRUNseq-species-checked": "guaranteed", "ChICCUTRUNseq-species-dilution-info": "", "ChICCUTRUNseq-species-notes": "", "IP-species-checked": "guaranteed", "IP-species-dilution-info": "", "IP-species-notes": "", "WB-species-checked": "testedAndGuaranteed", "WB-species-dilution-info": "1/1000", "WB-species-notes": "<p></p>", "ICCIF-species-checked": "testedAndGuaranteed", "ICCIF-species-dilution-info": "1/1000", "ICCIF-species-notes": "<p></p>", "FlowCytIntra-species-checked": "testedAndGuaranteed", "FlowCytIntra-species-dilution-info": "1/500", "FlowCytIntra-species-notes": "<p></p>", "IHCP-species-checked": "testedAndGuaranteed", "IHCP-species-dilution-info": "1/4000", "IHCP-species-notes": "<p></p> Perform heat-mediated antigen retrieval with Tris/EDTA buffer pH 9.0 before commencing with IHC staining protocol." }, "Rat": { "ChICCUTRUNseq-species-checked": "guaranteed", "ChICCUTRUNseq-species-dilution-info": "", "ChICCUTRUNseq-species-notes": "", "IP-species-checked": "guaranteed", "IP-species-dilution-info": "", "IP-species-notes": "", "WB-species-checked": "testedAndGuaranteed", "WB-species-dilution-info": "1/1000", "WB-species-notes": "<p></p>", "ICCIF-species-checked": "guaranteed", "ICCIF-species-dilution-info": "", "ICCIF-species-notes": "", "FlowCytIntra-species-checked": "guaranteed", "FlowCytIntra-species-dilution-info": "", "FlowCytIntra-species-notes": "", "IHCP-species-checked": "testedAndGuaranteed", "IHCP-species-dilution-info": "1/4000", "IHCP-species-notes": "<p></p> Perform heat-mediated antigen retrieval with Tris/EDTA buffer pH 9.0 before commencing with IHC staining protocol." } } }

Product details

Patented technology
Our RabMAb® technology is a patented hybridoma-based technology for making rabbit monoclonal antibodies. For details on our patents, please refer to RabMAb® patents.

What are the advantages of a recombinant monoclonal antibody?
This product is a recombinant monoclonal antibody, which offers several advantages including:

  • - High batch-to-batch consistency and reproducibility
  • - Improved sensitivity and specificity
  • - Long-term security of supply
  • - Animal-free batch production

For more information, read more on recombinant antibodies.

Properties and storage information

Form
Liquid
Purification technique
Affinity purification Protein A
Storage buffer
pH: 7.2 - 7.4 Preservative: 0.01% Sodium azide Constituents: PBS, 40% Glycerol (glycerin, glycerine), 0.05% BSA
Shipped at conditions
Blue Ice
Appropriate short-term storage duration
1-2 weeks
Appropriate short-term storage conditions
+4°C
Appropriate long-term storage conditions
-20°C
Aliquoting information
Upon delivery aliquot
Storage information
Avoid freeze / thaw cycle

Supplementary information

This supplementary information is collated from multiple sources and compiled automatically.

HDAC2 or Histone Deacetylase 2 is an important enzyme that plays a role in chromatin remodeling and gene expression regulation. It removes acetyl groups from histone tails allowing chromatin to condense and silencing gene expression. HDAC2 has a molecular weight of approximately 55 kDa. It is expressed in various tissues including brain heart and skeletal muscles indicating its importance in different physiological areas. HDAC2 proteins are often studied using methods like HDAC2 ELISA and HDAC2 anticuero in research settings.
Biological function summary

HDAC2 is involved in cell cycle regulation and differentiation. It is part of the co-repressor complex and interacts with other proteins such as Sin3 and NuRD to repress transcription. These interactions are vital for maintaining normal cellular functions and ensuring proper response to external signals. This protein is also connected to HEK293T cells which are a common model in scientific studies due to their robust expression of proteins like HDAC2.

Pathways

HDAC2 participates in the regulation of transcriptional activity and cellular stress response. It is an important player in the histone modification pathway interacting with proteins such as HDAC1 and transcriptional regulators like REST. HDAC2 is also linked with the Notch signaling pathway which is essential for cell fate decisions. These pathways highlight its role in both maintaining cellular homeostasis and adapting to changes in the cellular environment.

HDAC2 has a significant connection to neurodegenerative diseases and various cancers. Alzheimer's disease for instance shows altered expression levels of HDAC2 affecting synaptic plasticity and memory formation. In cancer HDAC2 interacts with oncogenic proteins such as p53 influencing tumor progression and metastasis. Monitoring HDAC2 levels and activity could provide insights into disease mechanisms and potential therapeutic targets.

Product protocols

For this product, it's our understanding that no specific protocols are required. You can visit:

Target data

Histone deacetylase that catalyzes the deacetylation of lysine residues on the N-terminal part of the core histones (H2A, H2B, H3 and H4) (PubMed : 28497810). Histone deacetylation gives a tag for epigenetic repression and plays an important role in transcriptional regulation, cell cycle progression and developmental events (By similarity). Histone deacetylases act via the formation of large multiprotein complexes (By similarity). Forms transcriptional repressor complexes by associating with MAD, SIN3, YY1 and N-COR (PubMed : 12724404). Component of a RCOR/GFI/KDM1A/HDAC complex that suppresses, via histone deacetylase (HDAC) recruitment, a number of genes implicated in multilineage blood cell development (By similarity). Acts as a component of the histone deacetylase NuRD complex which participates in the remodeling of chromatin (PubMed : 16428440, PubMed : 28977666). Component of the SIN3B complex that represses transcription and counteracts the histone acetyltransferase activity of EP300 through the recognition H3K27ac marks by PHF12 and the activity of the histone deacetylase HDAC2 (PubMed : 37137925). Also deacetylates non-histone targets : deacetylates TSHZ3, thereby regulating its transcriptional repressor activity (PubMed : 19343227). May be involved in the transcriptional repression of circadian target genes, such as PER1, mediated by CRY1 through histone deacetylation (By similarity). Involved in MTA1-mediated transcriptional corepression of TFF1 and CDKN1A (PubMed : 21965678). In addition to protein deacetylase activity, also acts as a protein-lysine deacylase by recognizing other acyl groups : catalyzes removal of (2E)-butenoyl (crotonyl), lactoyl (lactyl) and 2-hydroxyisobutanoyl (2-hydroxyisobutyryl) acyl groups from lysine residues, leading to protein decrotonylation, delactylation and de-2-hydroxyisobutyrylation, respectively (PubMed : 28497810, PubMed : 29192674, PubMed : 35044827).
See full target information HDAC2

Publications (7)

Recent publications for all applications. Explore the full list and refine your search

Cell stress & chaperones 30:100079 PubMed40318841

2025

HDAC1 is involved in the destabilization of the HSF2 protein under nonstress and stress conditions.

Applications

Unspecified application

Species

Unspecified reactive species

Kevin Daupin,Véronique Dubreuil,Johanna K Ahlskog,Annalisa Verrico,Lea Sistonen,Valérie Mezger,Aurélie de Thonel

Frontiers in cardiovascular medicine 12:1557119 PubMed40078459

2025

The role of HDAC2 inhibition in cardioprotection against doxorubicin-induced myocardial injury.

Applications

Unspecified application

Species

Unspecified reactive species

Jinsha Liu,Wenwen Fu,Xue Wang,Zuowen Liang,Fanbo Meng

Respiratory research 25:227 PubMed38812021

2024

Expression of glucocorticoid receptor and HDACs in airway smooth muscle cells is associated with response to steroids in COPD.

Applications

Unspecified application

Species

Unspecified reactive species

Liang Zhou,Michael Roth,Eleni Papakonstantinou,Michael Tamm,Daiana Stolz

Cancer medicine 13:e7175 PubMed38597130

2024

Chidamide plus envafolimab as subsequent treatment in advanced non-small cell lung cancer patients resistant to anti-PD-1 therapy: A multicohort, open-label, phase II trial with biomarker analysis.

Applications

Unspecified application

Species

Unspecified reactive species

Yaxiong Zhang,Zihong Chen,Yu Liu,Liang Han,Wei Jiang,Qiming Wang,Jianhua Shi,Liqin Lu,Jianying Li,Mingjun Zhang,Yan Huang,Yunpeng Yang,Xue Hou,Li Zhang,Jing Li,Wenfeng Fang,Gang Chen

Advanced science (Weinheim, Baden-Wurttemberg, Germany) 11:e2305620 PubMed38087889

2023

Transgelin Promotes Glioblastoma Stem Cell Hypoxic Responses and Maintenance Through p53 Acetylation.

Applications

Unspecified application

Species

Unspecified reactive species

Huan Li,Chao Song,Yang Zhang,Guohao Liu,Hailong Mi,Yachao Li,Zhiye Chen,Xiaoyu Ma,Po Zhang,Lidong Cheng,Peng Peng,Hongtao Zhu,Zirong Chen,Minhai Dong,Sui Chen,Hao Meng,QunGen Xiao,Honglian Li,Qiulian Wu,Baofeng Wang,Suojun Zhang,Kai Shu,Feng Wan,Dongsheng Guo,Wenchao Zhou,Lin Zhou,Feng Mao,Jeremy N Rich,Xingjiang Yu

Cell reports 36:109636 PubMed34469722

2021

Patient-specific iPSCs carrying an SFTPC mutation reveal the intrinsic alveolar epithelial dysfunction at the inception of interstitial lung disease.

Applications

Unspecified application

Species

Unspecified reactive species

Konstantinos-Dionysios Alysandratos,Scott J Russo,Anton Petcherski,Evan P Taddeo,Rebeca Acín-Pérez,Carlos Villacorta-Martin,J C Jean,Surafel Mulugeta,Luis R Rodriguez,Benjamin C Blum,Ryan M Hekman,Olivia T Hix,Kasey Minakin,Marall Vedaie,Seunghyi Kook,Andrew M Tilston-Lunel,Xaralabos Varelas,Jennifer A Wambach,F Sessions Cole,Aaron Hamvas,Lisa R Young,Marc Liesa,Andrew Emili,Susan H Guttentag,Orian S Shirihai,Michael F Beers,Darrell N Kotton

mBio 12:e0079521 PubMed34281390

2021

FKBP3 Induces Human Immunodeficiency Virus Type 1 Latency by Recruiting Histone Deacetylase 1/2 to the Viral Long Terminal Repeat.

Applications

Unspecified application

Species

Unspecified reactive species

Xinyi Yang,Xiaying Zhao,Yuqi Zhu,Yinzhong Shen,Yanan Wang,Panpan Lu,Zhengtao Jiang,Hanyu Pan,Jinlong Yang,Jingna Xun,Lin Zhao,Jing Wang,Zhiming Liang,Xiaoting Shen,Yue Liang,Qinru Lin,Huitong Liang,Lu Jin,Dengji Zhang,Jun Liu,Bin Wang,Shibo Jiang,Jianqing Xu,Hao Wu,Hongzhou Lu,Huanzhang Zhu
View all publications
chicCutRunSequencingBooklet
en

Product promise

We are committed to supporting your work with high-quality reagents, and we're here for you every step of the way. In the unlikely event that one of our products does not perform as expected, you're protected by our Product Promise.
For full details, please see our Terms & Conditions

Please note: All products are 'FOR RESEARCH USE ONLY. NOT FOR USE IN DIAGNOSTIC OR THERAPEUTIC PROCEDURES'.

For licensing inquiries, please contact partnerships@abcam.com