JavaScript is disabled in your browser. Please enable JavaScript to view this website.
AB32117

Anti-HDAC2 antibody [Y461]

  • BOND RX™ Validated
  • RabMAb
  • Advanced Validation
  • Recombinant
  • KO Validated
  • What is this?

5

(12 Reviews)

|

(137 Publications)

Anti-HDAC2 antibody [Y461] (ab32117) is a rabbit monoclonal antibody detecting HDAC2 in Western Blot, Flow Cytometry (Intra), Flow Cytometry, IP, IHC-P, ICC/IF. Suitable for Human, Mouse, Rat.

- KO validated for confirmed specificity
- Biophysical QC for unrivalled batch-batch consistency
- Over 100 publications
- Trusted since 2006

View Alternative Names

Histone deacetylase 2, HD2, Protein deacylase HDAC2, HDAC2

17 Images
Immunohistochemistry (Formalin/PFA-fixed paraffin-embedded sections) - Anti-HDAC2 antibody [Y461] (AB32117)
  • IHC-P

Supplier Data

Immunohistochemistry (Formalin/PFA-fixed paraffin-embedded sections) - Anti-HDAC2 antibody [Y461] (AB32117)

Immunohistochemical analysis of paraffin-embedded fixed (A) Wild-type HEK293T (human embryonic kidney epithelial cell) cell pellet. (B) HDAC2 knockout HEK293T (ab266590) cell pellet staining HDAC2 with ab32117 at 1/10000 dilution followed by a ready to use LeicaDS9800 (Bond™ Polymer Refine Detection). Counter-staining used was hematoxylin. Positive staining on (A) Wild-type HEK293T cell pellet, no staining on HDAC2 knockout HEK293T (ab266590) cell pellet. The section was incubated with ab32117 for 30 mins at room temperature. The immunostaining was performed on a Leica Biosystems BOND® RX instrument Heat mediated antigen retrieval was performed with Tris-EDTA buffer (pH 9.0, Epitope Retrieval Solution2) for 20 mins.

Immunocytochemistry/ Immunofluorescence - Anti-HDAC2 antibody [Y461] (AB32117)
  • ICC/IF

Supplier Data

Immunocytochemistry/ Immunofluorescence - Anti-HDAC2 antibody [Y461] (AB32117)

Immunocytochemistry/ Immunofluorescence analysis of Wild-type HEK293T/HDAC2 KO HEK293T (HDAC2 knockout human embryonic kidney epithelial cell) (ab266590) cells labeling HDAC2 with ab32117 at 1/200 dilution followed by ab150081 Goat Anti-Rabbit IgG H&L (Alexa Fluor® 488) preadsorbed secondary antibody at 1/1000 dilution (2 µg/ml). Cells were fixed in 4% Paraformaldehyde and permeabilized with 0.1% tritonX-100. Cells were counterstained with ab195889 Anti-alpha Tubulin mouse monoclonal antibody - Microtubule Marker (Alexa Fluor® 594) at 1/200 dilution (2.5 µg/ml). DAPI was used as nuclear counterstain. PBS instead of the primary antibody was used as the secondary antibody only control. Confocal image showing nuclear staining in Parental HEK293T cell line. Image was taken with a confocal microscope(Leica-Microsystems, TCS SP8).

Immunohistochemistry (Formalin/PFA-fixed paraffin-embedded sections) - Anti-HDAC2 antibody [Y461] (AB32117)
  • IHC-P

Lab

Immunohistochemistry (Formalin/PFA-fixed paraffin-embedded sections) - Anti-HDAC2 antibody [Y461] (AB32117)

Immunohistochemistry (Formalin/PFA-fixed paraffin-embedded sections) analysis of human breast cancer tissue sections labeling HDAC2 with Purified ab32117 at 1 : 1500 dilution (0.071 μg/ml). Heat mediated antigen retrieval was performed using Heat mediated antigen retrieval using Bond™ Epitope Retrieval Solution 2 (pH 9.0) . Tissue was counterstained with Hematoxylin. Rabbit specific IHC polymer detection kit HRP/DAB (ab209101) secondary antibody was used. PBS instead of the primary antibody was used as the negative control.

Flow Cytometry (Intracellular) - Anti-HDAC2 antibody [Y461] (AB32117)
  • Flow Cyt (Intra)

Lab

Flow Cytometry (Intracellular) - Anti-HDAC2 antibody [Y461] (AB32117)

Flow Cytometry analysis of K-562 (Human chronic myelogenous leukemia lymphoblast) cells labelling HDAC2 with Purified ab32117 at 1 : 20 dilution (5 μg/ml) (Red). Cells were fixed with 4% Paraformaldehyde and permeabilised with 90% Methanol. A Goat anti rabbit IgG (Alexa Fluor® 488, ab150081) secondary antibody was used at 1 : 2000. Isotype control - Rabbit monoclonal IgG (Black). Unlabelled control - Cell without incubation with primary antibody and secondary antibody (Blue).

Immunocytochemistry/ Immunofluorescence - Anti-HDAC2 antibody [Y461] (AB32117)
  • ICC/IF

Lab

Immunocytochemistry/ Immunofluorescence - Anti-HDAC2 antibody [Y461] (AB32117)

Immunocytochemistry analysis of HeLa (Human cervix adenocarcinoma epithelial cell) cells labeling HDAC2 with Purified ab32117 at 1 : 50 dilution (2.1 μg/ml). Cells were fixed in 4% Paraformaldehyde and permeabilized with 0.1% tritonX-100. Cells were counterstained with ab195889 Anti-alpha Tubulin antibody [DM1A] - Microtubule Marker (Alexa Fluor® 594) 1 : 200 (2.5 μg/ml). Goat anti rabbit IgG (Alexa Fluor® 488, ab150077) was used as the secondary antibody at 1 : 1000 (2 μg/ml) dilution. DAPI (blue) was used as nuclear counterstain. PBS instead of the primary antibody was used as the secondary antibody only control.

Immunocytochemistry/ Immunofluorescence - Anti-HDAC2 antibody [Y461] (AB32117)
  • ICC/IF

Unknown

Immunocytochemistry/ Immunofluorescence - Anti-HDAC2 antibody [Y461] (AB32117)

ab32117 staining HDAC2 in wild-type HAP1 cells (top panel) and HDAC2 knockout HAP1 cells (bottom panel). The cells were fixed with 100% methanol (5min), permeabilized with 0.1% Triton X-100 for 5 minutes and then blocked with 1% BSA/10% normal goat serum/0.3M glycine in 0.1% PBS-Tween for 1h. The cells were then incubated with ab32117 at 1/250 dilution and ab195889 at 1/250 dilution (shown in pseudocolour red) overnight at +4°C, followed by a further incubation at room temperature for 1h with a goat secondary antibody to Rabbit IgG (Alexa Fluor® 488) (ab150081) at 2 μg/ml (shown in green). Nuclear DNA was labelled in blue with DAPI.

Image was taken with a confocal microscope (Leica-Microsystems, TCS SP8).

Immunohistochemistry (Formalin/PFA-fixed paraffin-embedded sections) - Anti-HDAC2 antibody [Y461] (AB32117)
  • IHC-P

Lab

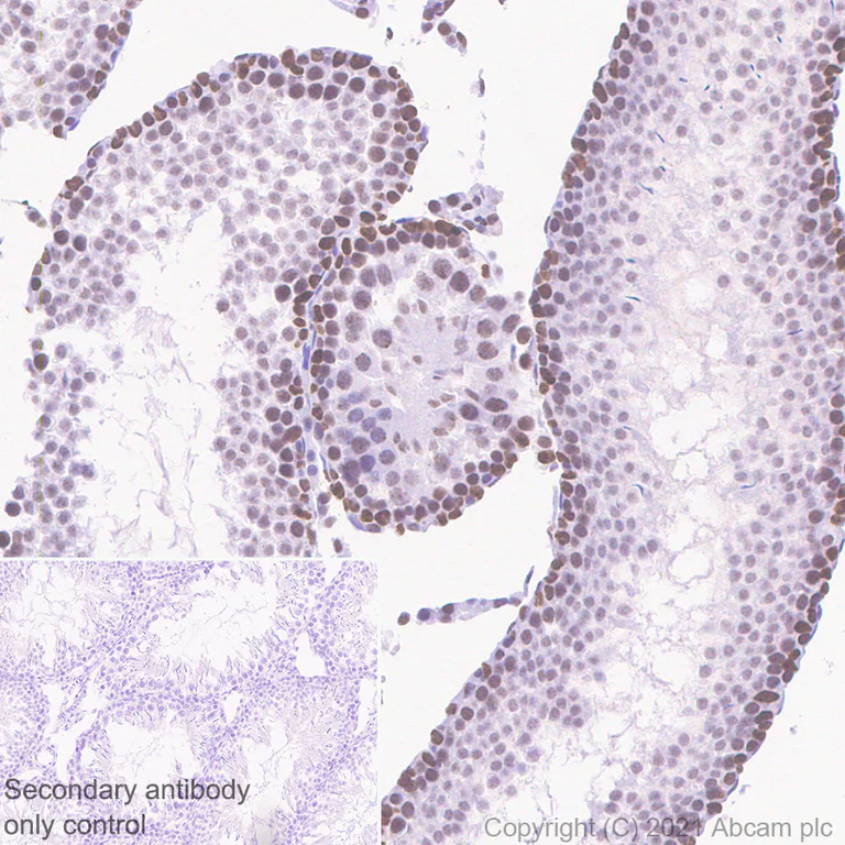
Immunohistochemistry (Formalin/PFA-fixed paraffin-embedded sections) - Anti-HDAC2 antibody [Y461] (AB32117)

Immunohistochemistry (Formalin/PFA-fixed paraffin-embedded sections) analysis of human testis tissue sections labeling HDAC2 with Purified ab32117 at 1 : 1500 dilution (0.071 μg/ml). Heat mediated antigen retrieval was performed using Heat mediated antigen retrieval using Bond™ Epitope Retrieval Solution 2 (pH 9.0) . Tissue was counterstained with Hematoxylin. Rabbit specific IHC polymer detection kit HRP/DAB (ab209101) secondary antibody was used. PBS instead of the primary antibody was used as the negative control.

Immunoprecipitation - Anti-HDAC2 antibody [Y461] (AB32117)
  • IP

Lab

Immunoprecipitation - Anti-HDAC2 antibody [Y461] (AB32117)

Purified ab32117 at 1 : 20 dilution (0.5μg) immunoprecipitating HDAC2 in HeLa whole cell lysate.
Lane 1 (input) : HeLa (Human cervix adenocarcinoma epithelial cell) whole cell lysate 10 μg.
Lane 2 (+) : ab32117 + HeLa whole cell lysate.
Lane 3 (-) : Rabbit monoclonal IgG (ab172730) instead of ab32127 in HeLa whole cell lysate.
VeriBlot for IP Detection Reagent (HRP)(ab131366) (1 : 5000 dilution) was used for Western blotting.
Blocking Buffer and concentration : 5% NFDM/TBST.
Diluting buffer and concentration : 5% NFDM/TBST.
Observed band size : kDa

All lanes:

Immunoprecipitation - Anti-HDAC2 antibody [Y461] (ab32117)

Predicted band size: 55 kDa

false

Immunohistochemistry (Formalin/PFA-fixed paraffin-embedded sections) - Anti-HDAC2 antibody [Y461] (AB32117)
  • IHC-P

Lab

Immunohistochemistry (Formalin/PFA-fixed paraffin-embedded sections) - Anti-HDAC2 antibody [Y461] (AB32117)

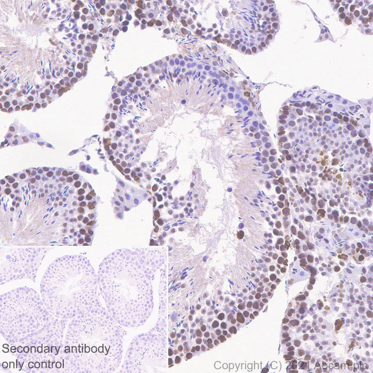
Immunohistochemistry (Formalin/PFA-fixed paraffin-embedded sections) analysis of rat testis tissue sections labeling HDAC2 with Purified ab32117 at 1 : 1500 dilution (0.071 μg/ml). Heat mediated antigen retrieval was performed using Heat mediated antigen retrieval using Bond™ Epitope Retrieval Solution 2 (pH 9.0) . Tissue was counterstained with Hematoxylin. Rabbit specific IHC polymer detection kit HRP/DAB (ab209101) secondary antibody was used. PBS instead of the primary antibody was used as the negative control.

Immunohistochemistry (Formalin/PFA-fixed paraffin-embedded sections) - Anti-HDAC2 antibody [Y461] (AB32117)
  • IHC-P

Lab

Immunohistochemistry (Formalin/PFA-fixed paraffin-embedded sections) - Anti-HDAC2 antibody [Y461] (AB32117)

Immunohistochemistry (Formalin/PFA-fixed paraffin-embedded sections) analysis of mouse testis tissue sections labeling HDAC2 with Purified ab32117 at 1 : 1500 dilution (0.071 μg/ml). Heat mediated antigen retrieval was performed using Heat mediated antigen retrieval using Bond™ Epitope Retrieval Solution 2 (pH 9.0) . Tissue was counterstained with Hematoxylin. Rabbit specific IHC polymer detection kit HRP/DAB (ab209101) secondary antibody was used. PBS instead of the primary antibody was used as the negative control.

Western blot - Anti-HDAC2 antibody [Y461] (AB32117)
  • WB

Unknown

Western blot - Anti-HDAC2 antibody [Y461] (AB32117)

All lanes:

Western blot - Anti-HDAC2 antibody [Y461] (ab32117) at 1/10000 dilution

Lane 1:

HeLa (Human cervix adenocarcinoma epithelial cell) whole cell lysate at 20 µg

Lane 2:

Mouse brain lysate at 20 µg

Lane 3:

Rat brain lysate at 20 µg

Secondary

All lanes:

Western blot - Goat Anti-Rabbit IgG H&L (HRP) (<a href='/en-us/products/secondary-antibodies/goat-rabbit-igg-h-l-hrp-ab97051'>ab97051</a>) at 1/20000 dilution

Predicted band size: 55 kDa

false

Western blot - Anti-HDAC2 antibody [Y461] (AB32117)
  • WB

Lab

Western blot - Anti-HDAC2 antibody [Y461] (AB32117)

Lane 1 : Wild type HAP1 whole cell lysate (20 μg)
Lane 2 : HDAC2 knockout HAP1 whole cell lysate (20 μg)
Lane 3 : A431 whole cell lysate (20 μg)
Lane 4 : Hela whole cell lysate (20 μg)

Lanes 1 - 4 : Merged signal (red and green). Green - ab32117 observed at 60 kDa. Red - loading control, ab8245, observed at 37 kDa.

ab32117 was shown to specifically react with HDAC2 when HDAC2 knockout samples were used. Wild-type and HDAC2 knockout samples were subjected to SDS-PAGE. ab32117 and ab8245 (Mouse anti GAPDH loading control) were incubated overnight at 4°C at 1/2000 and 1/10000 respectively. Blots were developed with 800CW Goat anti Rabbit and 680CW Goat anti Mouse secondary antibodies at 1/10000 dilution for 1 hour at room temperature before imaging.

All lanes:

Western blot - Anti-HDAC2 antibody [Y461] (ab32117)

Predicted band size: 55 kDa

false

ChIC/CUT&RUN sequencing - Anti-HDAC2 antibody [Y461] (AB32117)
  • ChIC/CUT&RUN-seq

Supplier Data

ChIC/CUT&RUN sequencing - Anti-HDAC2 antibody [Y461] (AB32117)

CUT&RUN profiling with HDAC2 antibody demonstrates robust genome-wide enrichment in wild-type (WT) cells, which is markedly diminished in HDAC2 knockout (KO) cells. Heatmaps of genome-wide signal flanking annotated transcription start sites (TSSs, +/- 2 kbp) display CUT&RUN data generated using the CUTANA™ CUT&RUN Kit (EpiCypher 14-1048) with HDAC2 antibody (Abcam ab32117, 0.5 µg). 500,000 HEK293T WT or KO (Abcam ab266590) cells were used per reaction. IgG antibody was included as a negative control to assess non-specific background. Libraries were prepared using the CUTANA™ CUT&RUN Library Prep Kit (EpiCypher 14-1001). Sequencing was performed with paired-end 50 bp reads, and data were processed on CUTANA™ Cloud (cloud.epicypher.com) by alignment to the hg38 genome. Heatmaps were generated using deepTools (Ramнrez et al., Nucleic Acids Res. 2014; PMID : 24799436). Row-linked data are ranked by intensity relative to HDAC2 WT, with red indicating high localized enrichment and blue denoting background. Validated antibodies show genome-wide enrichment above IgG background consistent with HDAC2 binding in WT cells and near complete loss of signal in KO cells.

ChIC/CUT&RUN sequencing - Anti-HDAC2 antibody [Y461] (AB32117)
  • ChIC/CUT&RUN-seq

Supplier Data

ChIC/CUT&RUN sequencing - Anti-HDAC2 antibody [Y461] (AB32117)

CUT&RUN profiling with HDAC2 antibody reveals the expected genomic enrichment pattern in wild-type (WT) cells, which is substantially reduced in HDAC2 knockout (KO) cells. Representative genome browser tracks show CUT&RUN data generated using the CUTANA™ CUT&RUN Kit (EpiCypher 14-1048) with HDAC2 antibody (Abcam ab32117, 0.5 µg). 500,000 HEK293T WT or KO (Abcam ab266590) cells were used per reaction. IgG, H3K4me3, and H3K27me3 antibodies were included as controls to assess non-specific background, active promoters, and repressed chromatin, respectively. Libraries were prepared using the CUTANA™ CUT&RUN Library Prep Kit (EpiCypher 14-1001). Sequencing was performed with paired-end 50 bp reads, and data were processed on CUTANA™ Cloud (cloud.epicypher.com) by alignment to the hg38 genome. Images were generated using Integrative Genomics Viewer (IGV, Broad Institute).

ChIC/CUT&RUN sequencing - Anti-HDAC2 antibody [Y461] (AB32117)
  • ChIC/CUT&RUN-seq

Supplier Data

ChIC/CUT&RUN sequencing - Anti-HDAC2 antibody [Y461] (AB32117)

ChIC/CUT&RUN was performed using a pAG-MNAse at a final concentration of 700 ng/mL, 2 x 10^5 K-562 (Human chronic myelogenous leukemia lymphoblast) cells and 5 µg of ab32117 [Y461] . The resulting DNA was sequenced on the Illumina NovaSeq 6000 to a depth of 10 million reads. The negative IgG control ab172730 is also shown. Additional screenshots of mapped reads can be found in the Protocol booklet in the Product Protocol section. The University of Geneva owns patents relevant to ChIC (Chromatin Immuno-Cleavage) methods.

Western blot - Anti-HDAC2 antibody [Y461] (AB32117)
  • WB

Supplier Data

Western blot - Anti-HDAC2 antibody [Y461] (AB32117)

Blocking and diluting buffer and concentration : 5% NFDM/TBST

All lanes:

Western blot - Anti-HDAC2 antibody [Y461] (ab32117) at 1/1000 dilution

Lane 1:

GH3 (rat pituitary epithelial cell) whole cell lysate at 20 µg

Lane 2:

L6 (rat skeletal muscle myoblast) whole cell lysate at 20 µg

Lane 3:

C6 (rat glial tumor glial cell) whole cell lysate at 20 µg

Lane 4:

AR42J (rat pancreatic tumor epithelial cell) whole cell lysate at 20 µg

Lane 5:

2.4G2 (rat B cell lymphoma B lymphocyte) whole cell lysate at 20 µg

Secondary

All lanes:

Western blot - Goat Anti-Rabbit IgG H&L (HRP) (<a href='/en-us/products/secondary-antibodies/goat-rabbit-igg-h-l-hrp-ab97051'>ab97051</a>) at 1/100000 dilution

Predicted band size: 55 kDa

Observed band size: 60 kDa

false

Exposure time: 37s

Western blot - Anti-HDAC2 antibody [Y461] (AB32117)
  • WB

Supplier Data

Western blot - Anti-HDAC2 antibody [Y461] (AB32117)

Blocking and diluting buffer and concentration : 5% NFDM/TBST

All lanes:

Western blot - Anti-HDAC2 antibody [Y461] (ab32117) at 1/1000 dilution

Lane 1:

HT-22 (mouse hippocampal neuronal cell) whole cell lysate at 20 µg

Lane 2:

SW10 (mouse neuronal Schwann cell) whole cell lysate at 20 µg

Lane 3:

bEnd.3 (mouse brain endothelioma) whole cell lysate at 20 µg

Secondary

All lanes:

Western blot - Goat Anti-Rabbit IgG H&L (HRP) (<a href='/en-us/products/secondary-antibodies/goat-rabbit-igg-h-l-hrp-ab97051'>ab97051</a>) at 1/100000 dilution

Predicted band size: 55 kDa

Observed band size: 60 kDa

false

Exposure time: 26s

Key facts

Host species

Rabbit

Clonality

Monoclonal

Clone number

Y461

Isotype

IgG

Carrier free

No

Reacts with

Human, Rat, Mouse

Applications

Flow Cyt (Intra), ICC/IF, IHC-P, WB, IP, ChIC/CUT&RUN-seq

applications

Immunogen

The exact immunogen used to generate this antibody is proprietary information.

Reactivity data

{ "title": "Reactivity Data", "filters": { "stats": ["", "Species", "Dilution Info", "Notes"], "tabs": { "all-applications": {"fullname" : "All Applications", "shortname": "All Applications"}, "ChICCUTRUNseq" : {"fullname" : "ChIC/CUT&RUN sequencing", "shortname":"ChIC/CUT&RUN-seq"}, "IHCP" : {"fullname" : "Immunohistochemistry (Formalin/PFA-fixed paraffin-embedded sections)", "shortname":"IHC-P"}, "IP" : {"fullname" : "Immunoprecipitation", "shortname":"IP"}, "WB" : {"fullname" : "Western blot", "shortname":"WB"}, "ICCIF" : {"fullname" : "Immunocytochemistry/ Immunofluorescence", "shortname":"ICC/IF"}, "FlowCytIntra" : {"fullname" : "Flow Cytometry (Intracellular)", "shortname":"Flow Cyt (Intra)"} }, "product-promise": { "all": "all", "testedAndGuaranteed": "tested", "guaranteed": "expected", "predicted": "predicted", "notRecommended": "not-recommended" } }, "values": { "Human": { "ChICCUTRUNseq-species-checked": "testedAndGuaranteed", "ChICCUTRUNseq-species-dilution-info": "5 µg", "ChICCUTRUNseq-species-notes": "<p></p>", "IHCP-species-checked": "testedAndGuaranteed", "IHCP-species-dilution-info": "", "IHCP-species-notes": "<p><strong>Purified ab32117 at 1:1500 dilution.</strong></p> Perform heat-mediated antigen retrieval with citrate buffer pH 6 before commencing with IHC staining protocol.", "IP-species-checked": "testedAndGuaranteed", "IP-species-dilution-info": "1/60", "IP-species-notes": "<p></p>", "WB-species-checked": "testedAndGuaranteed", "WB-species-dilution-info": "1/2000", "WB-species-notes": "<p></p>", "ICCIF-species-checked": "testedAndGuaranteed", "ICCIF-species-dilution-info": "1/250 - 1/500", "ICCIF-species-notes": "<p></p>", "FlowCytIntra-species-checked": "testedAndGuaranteed", "FlowCytIntra-species-dilution-info": "1/60 - 1/100", "FlowCytIntra-species-notes": "<p><a href='/en-us/products/primary-antibodies/rabbit-igg-monoclonal-epr25a-isotype-control-ab172730'>ab172730</a> - Rabbit monoclonal IgG, is suitable for use as an isotype control with this antibody.</p>" }, "Mouse": { "ChICCUTRUNseq-species-checked": "guaranteed", "ChICCUTRUNseq-species-dilution-info": "", "ChICCUTRUNseq-species-notes": "", "IHCP-species-checked": "testedAndGuaranteed", "IHCP-species-dilution-info": "", "IHCP-species-notes": "<p><strong>Purified ab32117 at 1:1500 dilution.</strong></p> Perform heat-mediated antigen retrieval with citrate buffer pH 6 before commencing with IHC staining protocol.", "IP-species-checked": "guaranteed", "IP-species-dilution-info": "1/60", "IP-species-notes": "<p></p>", "WB-species-checked": "testedAndGuaranteed", "WB-species-dilution-info": "1/2000", "WB-species-notes": "<p></p>", "ICCIF-species-checked": "guaranteed", "ICCIF-species-dilution-info": "1/250 - 1/500", "ICCIF-species-notes": "<p></p>", "FlowCytIntra-species-checked": "guaranteed", "FlowCytIntra-species-dilution-info": "1/60 - 1/100", "FlowCytIntra-species-notes": "<p><a href='/en-us/products/primary-antibodies/rabbit-igg-monoclonal-epr25a-isotype-control-ab172730'>ab172730</a> - Rabbit monoclonal IgG, is suitable for use as an isotype control with this antibody.</p>" }, "Rat": { "ChICCUTRUNseq-species-checked": "guaranteed", "ChICCUTRUNseq-species-dilution-info": "", "ChICCUTRUNseq-species-notes": "", "IHCP-species-checked": "guaranteed", "IHCP-species-dilution-info": "", "IHCP-species-notes": "", "IP-species-checked": "guaranteed", "IP-species-dilution-info": "1/60", "IP-species-notes": "<p></p>", "WB-species-checked": "testedAndGuaranteed", "WB-species-dilution-info": "1/2000", "WB-species-notes": "<p></p>", "ICCIF-species-checked": "testedAndGuaranteed", "ICCIF-species-dilution-info": "1/250 - 1/500", "ICCIF-species-notes": "<p></p>", "FlowCytIntra-species-checked": "guaranteed", "FlowCytIntra-species-dilution-info": "1/60 - 1/100", "FlowCytIntra-species-notes": "<p><a href='/en-us/products/primary-antibodies/rabbit-igg-monoclonal-epr25a-isotype-control-ab172730'>ab172730</a> - Rabbit monoclonal IgG, is suitable for use as an isotype control with this antibody.</p>" } } }

Product details

What is this antibody validated in?
Anti-HDAC2 antibody [Y461] (ab32117) is a rabbit recombinant monoclonal antibody and is validated for use in Western Blot (WB), Flow Cytometry (Intra), Flow Cytometry (Flow Cyt), Immunoprecipitation (IP), Immunohistochemistry (IHC-P), Immunocytochemistry/immunofluorescence (ICC/IF) in Human, Mouse, Rat samples.

What is the molecular weight of HDAC2?
Anti-HDAC2 [Y461] (ab32117) specifically detects a band for HDAC2 (UniProt: Q92769) at a molecular weight of 55kDa.

Trusted by the scientific community
Anti-HDAC2 [Y461] (ab32117) was first used in a scientific publication in 2006 and has been cited over 100 times in peer-reviewed journals.

Reviewed by scientists
Anti-HDAC2 [Y461] (ab32117) has over 10 independent reviews from customers.

Trial sizes available!
Test your antibody or perform pre-screening before committing to a larger quantity. Sold in 10µl. Discover our selection of trial-size antibodies.

Specificity confirmed
The specificity of Anti-HDAC2 antibody [Y461] (ab32117) has been confirmed by Western blot testing in HDAC2 Knockout HAP1 cells.

Other related products
We have a range of other formats of antibody clone [Y461] also available for your convenience: ab32117, HRP - ab195851, Alexa Fluor® 488 - ab196471, Alexa Fluor® 647 - ab196518, PE - ab210827, Carrier free - ab213700, APC - ab319340, Alexa Fluor® 594 - ab319833, Alexa Fluor® 555 - ab319974, Alexa Fluor® 750 - ab321577

Patented technology
Our RabMAb® technology is a patented hybridoma-based technology for making rabbit monoclonal antibodies. For details on our patents, please refer to RabMAb® patents.

What are the advantages of a recombinant monoclonal antibody?
This product is a recombinant monoclonal antibody, which offers several advantages including:

  • - High batch-to-batch consistency and reproducibility
  • - Improved sensitivity and specificity
  • - Long-term security of supply
  • - Animal-free batch production

For more information, read more on recombinant antibodies.

Properties and storage information

Form
Liquid
Purification technique
Affinity purification Protein A
Storage buffer
pH: 7.2 - 7.4 Preservative: 0.01% Sodium azide Constituents: PBS, 40% Glycerol (glycerin, glycerine), 0.05% BSA
Shipped at conditions
Blue Ice
Appropriate short-term storage conditions
+4°C
Appropriate long-term storage conditions
-20°C
Aliquoting information
Upon delivery aliquot
Storage information
Avoid freeze / thaw cycle

Supplementary information

This supplementary information is collated from multiple sources and compiled automatically.

HDAC2 or Histone Deacetylase 2 is an important enzyme that plays a role in chromatin remodeling and gene expression regulation. It removes acetyl groups from histone tails allowing chromatin to condense and silencing gene expression. HDAC2 has a molecular weight of approximately 55 kDa. It is expressed in various tissues including brain heart and skeletal muscles indicating its importance in different physiological areas. HDAC2 proteins are often studied using methods like HDAC2 ELISA and HDAC2 anticuero in research settings.
Biological function summary

HDAC2 is involved in cell cycle regulation and differentiation. It is part of the co-repressor complex and interacts with other proteins such as Sin3 and NuRD to repress transcription. These interactions are vital for maintaining normal cellular functions and ensuring proper response to external signals. This protein is also connected to HEK293T cells which are a common model in scientific studies due to their robust expression of proteins like HDAC2.

Pathways

HDAC2 participates in the regulation of transcriptional activity and cellular stress response. It is an important player in the histone modification pathway interacting with proteins such as HDAC1 and transcriptional regulators like REST. HDAC2 is also linked with the Notch signaling pathway which is essential for cell fate decisions. These pathways highlight its role in both maintaining cellular homeostasis and adapting to changes in the cellular environment.

HDAC2 has a significant connection to neurodegenerative diseases and various cancers. Alzheimer's disease for instance shows altered expression levels of HDAC2 affecting synaptic plasticity and memory formation. In cancer HDAC2 interacts with oncogenic proteins such as p53 influencing tumor progression and metastasis. Monitoring HDAC2 levels and activity could provide insights into disease mechanisms and potential therapeutic targets.

Product protocols

For this product, it's our understanding that no specific protocols are required. You can visit:

Target data

Histone deacetylase that catalyzes the deacetylation of lysine residues on the N-terminal part of the core histones (H2A, H2B, H3 and H4) (PubMed : 28497810). Histone deacetylation gives a tag for epigenetic repression and plays an important role in transcriptional regulation, cell cycle progression and developmental events (By similarity). Histone deacetylases act via the formation of large multiprotein complexes (By similarity). Forms transcriptional repressor complexes by associating with MAD, SIN3, YY1 and N-COR (PubMed : 12724404). Component of a RCOR/GFI/KDM1A/HDAC complex that suppresses, via histone deacetylase (HDAC) recruitment, a number of genes implicated in multilineage blood cell development (By similarity). Acts as a component of the histone deacetylase NuRD complex which participates in the remodeling of chromatin (PubMed : 16428440, PubMed : 28977666). Component of the SIN3B complex that represses transcription and counteracts the histone acetyltransferase activity of EP300 through the recognition H3K27ac marks by PHF12 and the activity of the histone deacetylase HDAC2 (PubMed : 37137925). Also deacetylates non-histone targets : deacetylates TSHZ3, thereby regulating its transcriptional repressor activity (PubMed : 19343227). May be involved in the transcriptional repression of circadian target genes, such as PER1, mediated by CRY1 through histone deacetylation (By similarity). Involved in MTA1-mediated transcriptional corepression of TFF1 and CDKN1A (PubMed : 21965678). In addition to protein deacetylase activity, also acts as a protein-lysine deacylase by recognizing other acyl groups : catalyzes removal of (2E)-butenoyl (crotonyl), lactoyl (lactyl) and 2-hydroxyisobutanoyl (2-hydroxyisobutyryl) acyl groups from lysine residues, leading to protein decrotonylation, delactylation and de-2-hydroxyisobutyrylation, respectively (PubMed : 28497810, PubMed : 29192674, PubMed : 35044827).
See full target information HDAC2

Publications (137)

Recent publications for all applications. Explore the full list and refine your search

Stem cell research & therapy 16:537 PubMed41035048

2025

Linolamide in apoptotic bodies: a key factor in mesenchymal stem cell immunotherapy for two abortion models.

Applications

Unspecified application

Species

Unspecified reactive species

Zhan Shi,Xiaowen Lu,Haiyi Fei,Xiu Liu,Shiqian Xu,Yuhan Lin,Ling Fang,Lingling Jiang,Songying Zhang

Communications biology 8:1209 PubMed40804340

2025

rTMS ameliorates cerebral ischemia-reperfusion injury by inhibiting Golgi apparatus stress through epigenetic modulation of Gli2.

Applications

Unspecified application

Species

Unspecified reactive species

Chunjiao Zhu,Yongmei Fan,Wenna Peng

Translational cancer research 14:4357-4368 PubMed40792134

2025

miR-490-5p inhibits the progression of osteosarcoma by targeting HDAC2.

Applications

Unspecified application

Species

Unspecified reactive species

Huiqun Jiang,Jiahao Xia,Yuan Tao,Yu Zhang

Cancer cell international 25:263 PubMed40671075

2025

A LINC00472-encoded polypeptide impedes migration and proliferation through modulation of the HDAC2/SP1 axis in non-small cell lung cancer cells.

Applications

Unspecified application

Species

Unspecified reactive species

Lei Xu,Haoyong Kuang,Haodong Peng,Sen Wu,Yu Bai,Xiangbo Jia,Wenjian Yao

Nature methods 22:1226-1236 PubMed40325216

2025

Mild and ultrafast GLORI enables absolute quantification of mA methylome from low-input samples.

Applications

Unspecified application

Species

Unspecified reactive species

Hanxiao Sun,Bo Lu,Zeyu Zhang,Ye Xiao,Zhe Zhou,Lin Xi,Zhichao Li,Zhe Jiang,Jiayi Zhang,Meng Wang,Cong Liu,Yichen Ma,Jinying Peng,Xiu-Jie Wang,Chengqi Yi

PeerJ 13:e19215 PubMed40183048

2025

Temporal and spatial distribution of histone acetylation in mouse molar development.

Applications

Unspecified application

Species

Unspecified reactive species

Wen Du,Wanyi Luo,Liwei Zheng,Xuedong Zhou,Wei Du

Nature communications 16:616 PubMed39805830

2025

CPSF6-RARγ interacts with histone deacetylase 3 to promote myeloid transformation in RARG-fusion acute myeloid leukemia.

Applications

Unspecified application

Species

Unspecified reactive species

Tianhui Liu,Tanzhen Wang,Lijuan Qi,Yujie Liu,Meng Shan,Fuqiang Wang,Yanglan Fang,Sining Liu,Lijun Wen,Suning Chen,Depei Wu,Yang Xu

Epigenetics & chromatin 18:2 PubMed39800758

2025

H3K9 post-translational modifications regulate epiblast/primitive endoderm specification in rabbit blastocysts.

Applications

Unspecified application

Species

Unspecified reactive species

Wilhelm Bouchereau,Hong-Thu Pham,Worawalan Samruan,Van-Hong Vu,Thierry Joly,Marielle Afanassieff,Pierre Savatier,Rangsun Parnpai,Nathalie Beaujean

Acta physiologica (Oxford, England) 240:e14201 PubMed39007513

2024

Endothelial histone deacetylase 1 activity impairs kidney microvascular NO signaling in rats fed a high-salt diet.

Applications

Unspecified application

Species

Unspecified reactive species

Luke S Dunaway,Anthony K Cook,Cailin E Kellum,Claudia Edell,Davide Botta,Patrick A Molina,Randee S Sedaka,Livius V d'Uscio,Zvonimir S Katusic,David M Pollock,Edward W Inscho,Jennifer S Pollock

Cell communication and signaling : CCS 22:312 PubMed38902769

2024

A novel role for KIFC1-MYH9 interaction in triple-negative breast cancer aggressiveness and racial disparity.

Applications

Unspecified application

Species

Unspecified reactive species

Chakravarthy Garlapati,Shriya Joshi,Chunhua Yang,Darshan Shimoga Chandrashekar,Padmashree Rida,Ritu Aneja
View all publications
chicCutRunSequencingBooklet
en

Product promise

We are committed to supporting your work with high-quality reagents, and we're here for you every step of the way. In the unlikely event that one of our products does not perform as expected, you're protected by our Product Promise.
For full details, please see our Terms & Conditions

Please note: All products are 'FOR RESEARCH USE ONLY. NOT FOR USE IN DIAGNOSTIC OR THERAPEUTIC PROCEDURES'.

For licensing inquiries, please contact partnerships@abcam.com