JavaScript is disabled in your browser. Please enable JavaScript to view this website.
AB213700

Anti-HDAC2 antibody [Y461] - BSA and Azide free

  • BOND RX™ Validated
  • RabMAb
  • Advanced Validation
  • Recombinant
  • KO Validated
  • What is this?

Be the first to review this product! Submit a review

|

(15 Publications)

Knockout Tested Rabbit Recombinant Monoclonal HDAC2 antibody. Carrier free. Suitable for ChIC/CUT&RUN-seq, IHC-P, IP, WB, ICC/IF, Flow Cyt (Intra) and reacts with Human, Mouse, Rat samples. Cited in 15 publications.

View Alternative Names

Histone deacetylase 2, HD2, Protein deacylase HDAC2, HDAC2

18 Images
Immunohistochemistry (Formalin/PFA-fixed paraffin-embedded sections) - Anti-HDAC2 antibody [Y461] - BSA and Azide free (AB213700)
  • IHC-P

Supplier Data

Immunohistochemistry (Formalin/PFA-fixed paraffin-embedded sections) - Anti-HDAC2 antibody [Y461] - BSA and Azide free (AB213700)

This data was developed using ab32117, the same antibody clone in a different buffer formulation. Immunohistochemical analysis of paraffin-embedded fixed (A) Wild-type HEK293T (human embryonic kidney epithelial cell) cell pellet. (B) HDAC2 knockout HEK293T (ab266590) cell pellet staining HDAC2 with ab32117 at 1/10000 dilution followed by a ready to use LeicaDS9800 (Bond™ Polymer Refine Detection). Counter-staining used was hematoxylin. Positive staining on (A) Wild-type HEK293T cell pellet, no staining on HDAC2 knockout HEK293T (ab266590) cell pellet. The section was incubated with ab32117 for 30 mins at room temperature. The immunostaining was performed on a Leica Biosystems BOND® RX instrument Heat mediated antigen retrieval was performed with Tris-EDTA buffer (pH 9.0, Epitope Retrieval Solution2) for 20 mins.

Immunocytochemistry/ Immunofluorescence - Anti-HDAC2 antibody [Y461] - BSA and Azide free (AB213700)
  • ICC/IF

Supplier Data

Immunocytochemistry/ Immunofluorescence - Anti-HDAC2 antibody [Y461] - BSA and Azide free (AB213700)

This data was developed using ab32117, the same antibody clone in a different buffer formulation. Immunocytochemistry/ Immunofluorescence analysis of Wild-type HEK293T/HDAC2 KO HEK293T (HDAC2 knockout human embryonic kidney epithelial cell) (ab266590) cells labeling HDAC2 with ab32117 at 1/200 dilution followed by ab150081 Goat Anti-Rabbit IgG H&L (Alexa Fluor® 488) preadsorbed secondary antibody at 1/1000 dilution (2 µg/ml). Cells were fixed in 4% Paraformaldehyde and permeabilized with 0.1% tritonX-100. Cells were counterstained with ab195889 Anti-alpha Tubulin mouse monoclonal antibody - Microtubule Marker (Alexa Fluor® 594) at 1/200 dilution (2.5 µg/ml). DAPI was used as nuclear counterstain. PBS instead of the primary antibody was used as the secondary antibody only control. Confocal image showing nuclear staining in Parental HEK293T cell line. Image was taken with a confocal microscope(Leica-Microsystems, TCS SP8).

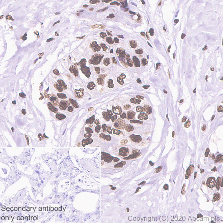
Immunohistochemistry (Formalin/PFA-fixed paraffin-embedded sections) - Anti-HDAC2 antibody [Y461] - BSA and Azide free (AB213700)
  • IHC-P

Lab

Immunohistochemistry (Formalin/PFA-fixed paraffin-embedded sections) - Anti-HDAC2 antibody [Y461] - BSA and Azide free (AB213700)

This data was developed using ab32117, the same antibody clone in a different buffer formulation.
Immunohistochemistry (Formalin/PFA-fixed paraffin-embedded sections) analysis of human breast cancer tissue sections labeling HDAC2 with Purified ab32117 at 1 : 1500 dilution (0.071 μg/ml). Heat mediated antigen retrieval was performed using Heat mediated antigen retrieval using Bond™ Epitope Retrieval Solution 2 (pH 9.0) . Tissue was counterstained with Hematoxylin. Rabbit specific IHC polymer detection kit HRP/DAB (ab209101) secondary antibody was used. PBS instead of the primary antibody was used as the negative control.

Flow Cytometry (Intracellular) - Anti-HDAC2 antibody [Y461] - BSA and Azide free (AB213700)
  • Flow Cyt (Intra)

Lab

Flow Cytometry (Intracellular) - Anti-HDAC2 antibody [Y461] - BSA and Azide free (AB213700)

This data was developed using ab213700, the same antibody clone in a different buffer formulation.
Flow Cytometry analysis of K-562 (Human chronic myelogenous leukemia lymphoblast) cells labelling HDAC2 with Purified ab213700 at 1 : 20 dilution (5 μg/ml) (Red). Cells were fixed with 4% Paraformaldehyde and permeabilised with 90% Methanol. A Goat anti rabbit IgG (Alexa Fluor® 488, ab150081) secondary antibody was used at 1 : 2000. Isotype control - Rabbit monoclonal IgG (Black). Unlabelled control - Cell without incubation with primary antibody and secondary antibody (Blue).

Immunocytochemistry/ Immunofluorescence - Anti-HDAC2 antibody [Y461] - BSA and Azide free (AB213700)
  • ICC/IF

Lab

Immunocytochemistry/ Immunofluorescence - Anti-HDAC2 antibody [Y461] - BSA and Azide free (AB213700)

This data was developed using ab213700, the same antibody clone in a different buffer formulation.
Immunocytochemistry analysis of HeLa (Human cervix adenocarcinoma epithelial cell) cells labeling HDAC2 with Purified ab213700 at 1 : 50 dilution (2.1μg/ml). Cells were fixed in 4% Paraformaldehyde and permeabilized with 0.1% tritonX-100. Cells were counterstained with ab195889 Anti-alpha Tubulin antibody [DM1A] - Microtubule Marker (Alexa Fluor® 594) 1 : 200 (2.5 μg/ml). Goat anti rabbit IgG (Alexa Fluor® 488, ab150077) was used as the secondary antibody at 1 : 1000 (2 μg/ml) dilution. DAPI (blue) was used as nuclear counterstain. PBS instead of the primary antibody was used as the secondary antibody only control.

Immunocytochemistry/ Immunofluorescence - Anti-HDAC2 antibody [Y461] - BSA and Azide free (AB213700)
  • ICC/IF

Unknown

Immunocytochemistry/ Immunofluorescence - Anti-HDAC2 antibody [Y461] - BSA and Azide free (AB213700)

This ICC data was generated using the same anti-HDAC2 antibody clone, Y461, in a different buffer formulation (cat# ab32117).

ab32117 staining HDAC2 in wild-type HAP1 cells (top panel) and HDAC2 knockout HAP1 cells (bottom panel). The cells were fixed with 100% methanol (5min), permeabilized with 0.1% Triton X-100 for 5 minutes and then blocked with 1% BSA/10% normal goat serum/0.3M glycine in 0.1% PBS-Tween for 1h. The cells were then incubated with ab32117 at 1/250 dilution and ab195889 at 1/250 dilution (shown in pseudocolour red) overnight at +4°C, followed by a further incubation at room temperature for 1h with a goat secondary antibody to Rabbit IgG (Alexa Fluor® 488) (ab150081) at 2 μg/ml (shown in green). Nuclear DNA was labelled in blue with DAPI.

Image was taken with a confocal microscope (Leica-Microsystems, TCS SP8).

Immunohistochemistry (Formalin/PFA-fixed paraffin-embedded sections) - Anti-HDAC2 antibody [Y461] - BSA and Azide free (AB213700)
  • IHC-P

Lab

Immunohistochemistry (Formalin/PFA-fixed paraffin-embedded sections) - Anti-HDAC2 antibody [Y461] - BSA and Azide free (AB213700)

This data was developed using ab32117, the same antibody clone in a different buffer formulation.
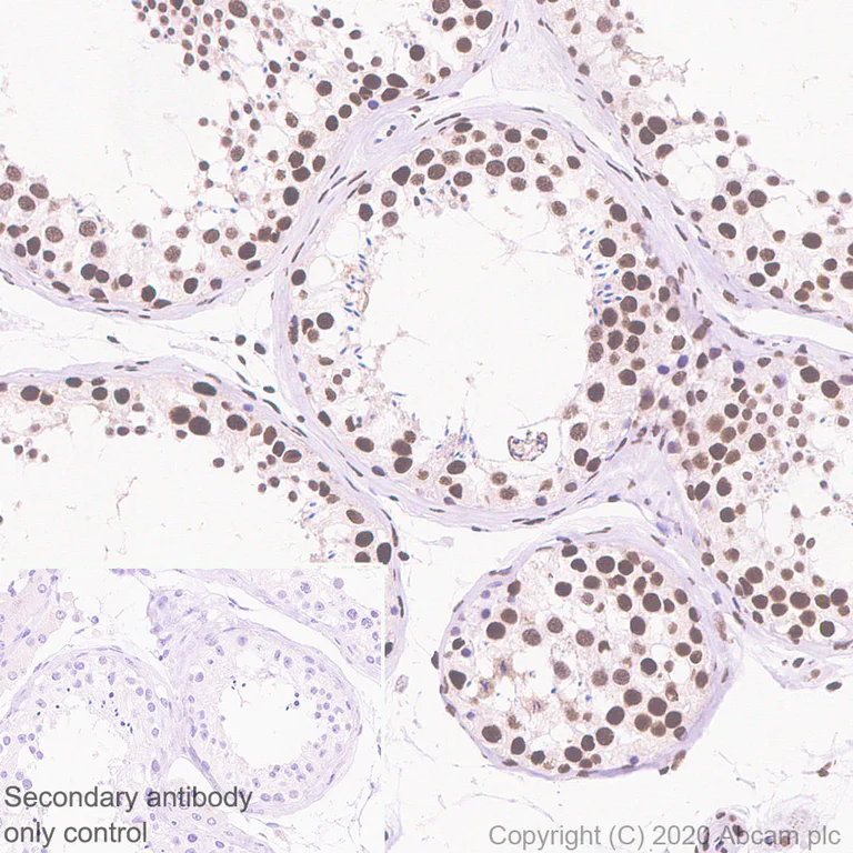
Immunohistochemistry (Formalin/PFA-fixed paraffin-embedded sections) analysis of human testis tissue sections labeling HDAC2 with Purified ab32117 at 1 : 1500 dilution (0.071 μg/ml). Heat mediated antigen retrieval was performed using Heat mediated antigen retrieval using Bond™ Epitope Retrieval Solution 2 (pH 9.0) . Tissue was counterstained with Hematoxylin. Rabbit specific IHC polymer detection kit HRP/DAB (ab209101) secondary antibody was used. PBS instead of the primary antibody was used as the negative control.

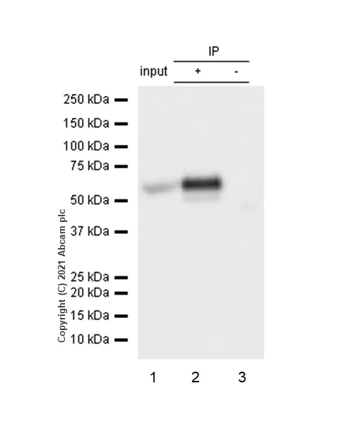
Immunoprecipitation - Anti-HDAC2 antibody [Y461] - BSA and Azide free (AB213700)
  • IP

Lab

Immunoprecipitation - Anti-HDAC2 antibody [Y461] - BSA and Azide free (AB213700)

This data was developed using ab213700, the same antibody clone in a different buffer formulation.
Purified ab213700 at 1 : 20 dilution (0.5μg) immunoprecipitating HDAC2 in HeLa whole cell lysate.
Lane 1 (input) : HeLa (Human cervix adenocarcinoma epithelial cell) whole cell lysate 10 μg
Lane 2 (+) : ab213700 + HeLa whole cell lysate.
Lane 3 (-) : Rabbit monoclonal IgG (ab172730) instead of ab32127 in HeLa whole cell lysate.
VeriBlot for IP Detection Reagent (HRP)(ab131366) (1 : 5000 dilution) was used for Western blotting.
Blocking Buffer and concentration : 5% NFDM/TBST.
Diluting buffer and concentration : 5% NFDM/TBST.
Observed band size : kDa

All lanes:

Immunoprecipitation - Anti-HDAC2 antibody [Y461] (<a href='/en-us/products/primary-antibodies/hdac2-antibody-y461-ab32117'>ab32117</a>)

Predicted band size: 55 kDa

false

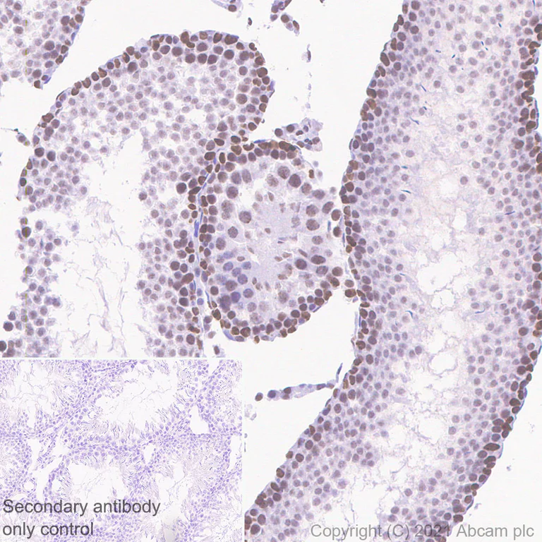
Immunohistochemistry (Formalin/PFA-fixed paraffin-embedded sections) - Anti-HDAC2 antibody [Y461] - BSA and Azide free (AB213700)
  • IHC-P

Lab

Immunohistochemistry (Formalin/PFA-fixed paraffin-embedded sections) - Anti-HDAC2 antibody [Y461] - BSA and Azide free (AB213700)

This data was developed using ab32117, the same antibody clone in a different buffer formulation.
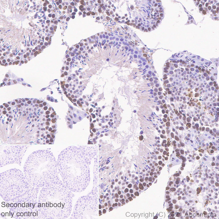
Immunohistochemistry (Formalin/PFA-fixed paraffin-embedded sections) analysis of rat testis tissue sections labeling HDAC2 with Purified ab32117 at 1 : 1500 dilution (0.071 μg/ml). Heat mediated antigen retrieval was performed using Heat mediated antigen retrieval using Bond™ Epitope Retrieval Solution 2 (pH 9.0) . Tissue was counterstained with Hematoxylin. Rabbit specific IHC polymer detection kit HRP/DAB (ab209101) secondary antibody was used. PBS instead of the primary antibody was used as the negative control.

Immunohistochemistry (Formalin/PFA-fixed paraffin-embedded sections) - Anti-HDAC2 antibody [Y461] - BSA and Azide free (AB213700)
  • IHC-P

Lab

Immunohistochemistry (Formalin/PFA-fixed paraffin-embedded sections) - Anti-HDAC2 antibody [Y461] - BSA and Azide free (AB213700)

This data was developed using ab32117, the same antibody clone in a different buffer formulation.
Immunohistochemistry (Formalin/PFA-fixed paraffin-embedded sections) analysis of mouse testis tissue sections labeling HDAC2 with Purified ab32117 at 1 : 1500 dilution (0.071 μg/ml). Heat mediated antigen retrieval was performed using Heat mediated antigen retrieval using Bond™ Epitope Retrieval Solution 2 (pH 9.0) . Tissue was counterstained with Hematoxylin. Rabbit specific IHC polymer detection kit HRP/DAB (ab209101) secondary antibody was used. PBS instead of the primary antibody was used as the negative control.

Western blot - Anti-HDAC2 antibody [Y461] - BSA and Azide free (AB213700)
  • WB

Lab

Western blot - Anti-HDAC2 antibody [Y461] - BSA and Azide free (AB213700)

ab195851 was shown to specifically react with HDAC2 in wild-type HAP1 cells as signal was lost in HDAC2 knockout cells. Wild-type and HDAC2 knockout samples were subjected to SDS-PAGE. ab195851 and ab9484 (Mouse anti-GAPDH loading control) were incubated overnight at 4°C at 1/10000 dilution and 1/20000 dilution respectively. The loading control was imaged using the Licor Odyssey CLx prior to blots being developed with ECL technique.

This data was developed using the same antibody clone in a different buffer formulation containing PBS, BSA, glycerol, and sodium azide (ab195851).

All lanes:

Western blot - HRP Anti-HDAC2 antibody [Y461] (<a href='/en-us/products/primary-antibodies/hrp-hdac2-antibody-y461-ab195851'>ab195851</a>) at 1/10000 dilution

Lane 1:

Wild-type HAP1 whole cell lysate at 20 µg

Lane 2:

HDAC2 knockout HAP1 whole cell lysate at 20 µg

Predicted band size: 55 kDa

Observed band size: 55 kDa

false

Exposure time: 30s

Western blot - Anti-HDAC2 antibody [Y461] - BSA and Azide free (AB213700)
  • WB

Unknown

Western blot - Anti-HDAC2 antibody [Y461] - BSA and Azide free (AB213700)

All lanes:

Western blot - Anti-HDAC2 antibody [Y461] (<a href='/en-us/products/primary-antibodies/hdac2-antibody-y461-ab32117'>ab32117</a>) at 1/10000 dilution

Lane 1:

HeLa (Human cervix adenocarcinoma epithelial cell) whole cell lysate at 20 µg

Lane 2:

Mouse brain lysate at 20 µg

Lane 3:

Rat brain lysate at 20 µg

Secondary

All lanes:

Western blot - Goat Anti-Rabbit IgG H&L (HRP) (<a href='/en-us/products/secondary-antibodies/goat-rabbit-igg-h-l-hrp-ab97051'>ab97051</a>) at 1/20000 dilution

Predicted band size: 55 kDa

false

Western blot - Anti-HDAC2 antibody [Y461] - BSA and Azide free (AB213700)
  • WB

Supplier Data

Western blot - Anti-HDAC2 antibody [Y461] - BSA and Azide free (AB213700)

This data was generated using the same anti-HDAC2 antibody clone, Y461, in a different buffer formulation (cat# ab32117)

Lane 1 : Wild type HAP1 whole cell lysate (20 μg)
Lane 2 : HDAC2 knockout HAP1 whole cell lysate (20 μg)
Lane 3 : A431 whole cell lysate (20 μg)
Lane 4 : Hela whole cell lysate (20 μg)

Lanes 1 - 4 : Merged signal (red and green). Green - ab32117 observed at 60 kDa. Red - loading control, ab8245, observed at 37 kDa.

ab32117 was shown to specifically react with HDAC2 when HDAC2 knockout samples were used. Wild-type and HDAC2 knockout samples were subjected to SDS-PAGE. ab32117 and ab8245 (Mouse anti GAPDH loading control) were incubated overnight at 4°C at 1/2000 and 1/10000 respectively. Blots were developed with 800CW Goat anti Rabbit and 680CW Goat anti Mouse secondary antibodies at 1/10000 dilution for 1 hour at room temperature before imaging.

All lanes:

Western blot - Anti-HDAC2 antibody [Y461] - BSA and Azide free (ab213700)

Predicted band size: 55 kDa

false

ChIC/CUT&RUN sequencing - Anti-HDAC2 antibody [Y461] - BSA and Azide free (AB213700)
  • ChIC/CUT&RUN-seq

Supplier Data

ChIC/CUT&RUN sequencing - Anti-HDAC2 antibody [Y461] - BSA and Azide free (AB213700)

This data was developed using the same antibody clone in a different buffer formulation containing PBS, BSA, glycerol, and sodium azide (ab32117).

CUT&RUN profiling with HDAC2 antibody demonstrates robust genome-wide enrichment in wild-type (WT) cells, which is markedly diminished in HDAC2 knockout (KO) cells. Heatmaps of genome-wide signal flanking annotated transcription start sites (TSSs, +/- 2 kbp) display CUT&RUN data generated using the CUTANA™ CUT&RUN Kit (EpiCypher 14-1048) with HDAC2 antibody (Abcam ab32117, 0.5 µg). 500,000 HEK293T WT or KO (Abcam ab266590) cells were used per reaction. IgG antibody was included as a negative control to assess non-specific background. Libraries were prepared using the CUTANA™ CUT&RUN Library Prep Kit (EpiCypher 14-1001). Sequencing was performed with paired-end 50 bp reads, and data were processed on CUTANA™ Cloud (cloud.epicypher.com) by alignment to the hg38 genome. Heatmaps were generated using deepTools (Ramнrez et al., Nucleic Acids Res. 2014; PMID : 24799436). Row-linked data are ranked by intensity relative to HDAC2 WT, with red indicating high localized enrichment and blue denoting background. Validated antibodies show genome-wide enrichment above IgG background consistent with HDAC2 binding in WT cells and near complete loss of signal in KO cells.

ChIC/CUT&RUN sequencing - Anti-HDAC2 antibody [Y461] - BSA and Azide free (AB213700)
  • ChIC/CUT&RUN-seq

Supplier Data

ChIC/CUT&RUN sequencing - Anti-HDAC2 antibody [Y461] - BSA and Azide free (AB213700)

This data was developed using the same antibody clone in a different buffer formulation containing PBS, BSA, glycerol, and sodium azide (ab32117).

CUT&RUN profiling with HDAC2 antibody reveals the expected genomic enrichment pattern in wild-type (WT) cells, which is substantially reduced in HDAC2 knockout (KO) cells. Representative genome browser tracks show CUT&RUN data generated using the CUTANA™ CUT&RUN Kit (EpiCypher 14-1048) with HDAC2 antibody (Abcam ab32117, 0.5 µg). 500,000 HEK293T WT or KO (Abcam ab266590) cells were used per reaction. IgG, H3K4me3, and H3K27me3 antibodies were included as controls to assess non-specific background, active promoters, and repressed chromatin, respectively. Libraries were prepared using the CUTANA™ CUT&RUN Library Prep Kit (EpiCypher 14-1001). Sequencing was performed with paired-end 50 bp reads, and data were processed on CUTANA™ Cloud (cloud.epicypher.com) by alignment to the hg38 genome. Images were generated using Integrative Genomics Viewer (IGV, Broad Institute).

ChIC/CUT&RUN sequencing - Anti-HDAC2 antibody [Y461] - BSA and Azide free (AB213700)
  • ChIC/CUT&RUN-seq

Supplier Data

ChIC/CUT&RUN sequencing - Anti-HDAC2 antibody [Y461] - BSA and Azide free (AB213700)

ChIC/CUT&RUN was performed using a pAG-MNAse at a final concentration of 700 ng/mL, 2 x 10^5 K-562 (Human chronic myelogenous leukemia lymphoblast) cells and 5 µg of ab32117 [Y461] . The resulting DNA was sequenced on the Illumina NovaSeq 6000 to a depth of 10 million reads. The negative IgG control ab172730 is also shown. Additional screenshots of mapped reads can be found in the Protocol booklet in the Product Protocol section. The University of Geneva owns patents relevant to ChIC (Chromatin Immuno-Cleavage) methods. This data was developed using ab32117, the same antibody clone in a different buffer formulation.

Western blot - Anti-HDAC2 antibody [Y461] - BSA and Azide free (AB213700)
  • WB

Supplier Data

Western blot - Anti-HDAC2 antibody [Y461] - BSA and Azide free (AB213700)

This data was developed using ab32117, the same antibody clone in a different buffer formulation. Blocking and diluting buffer and concentration : 5% NFDM/TBST

All lanes:

Western blot - Anti-HDAC2 antibody [Y461] (<a href='/en-us/products/primary-antibodies/hdac2-antibody-y461-ab32117'>ab32117</a>) at 1/1000 dilution

Lane 1:

GH3 (rat pituitary epithelial cell) whole cell lysate at 20 µg

Lane 2:

L6 (rat skeletal muscle myoblast) whole cell lysate at 20 µg

Lane 3:

C6 (rat glial tumor glial cell) whole cell lysate at 20 µg

Lane 4:

AR42J (rat pancreatic tumor epithelial cell) whole cell lysate at 20 µg

Lane 5:

2.4G2 (rat B cell lymphoma B lymphocyte) whole cell lysate at 20 µg

Secondary

All lanes:

Western blot - Goat Anti-Rabbit IgG H&L (HRP) (<a href='/en-us/products/secondary-antibodies/goat-rabbit-igg-h-l-hrp-ab97051'>ab97051</a>) at 1/100000 dilution

Predicted band size: 55 kDa

Observed band size: 60 kDa

false

Exposure time: 37s

Western blot - Anti-HDAC2 antibody [Y461] - BSA and Azide free (AB213700)
  • WB

Supplier Data

Western blot - Anti-HDAC2 antibody [Y461] - BSA and Azide free (AB213700)

This data was developed using ab32117, the same antibody clone in a different buffer formulation. Blocking and diluting buffer and concentration : 5% NFDM/TBST

All lanes:

Western blot - Anti-HDAC2 antibody [Y461] (<a href='/en-us/products/primary-antibodies/hdac2-antibody-y461-ab32117'>ab32117</a>) at 1/1000 dilution

Lane 1:

HT-22 (mouse hippocampal neuronal cell) whole cell lysate at 20 µg

Lane 2:

SW10 (mouse neuronal Schwann cell) whole cell lysate at 20 µg

Lane 3:

bEnd.3 (mouse brain endothelioma) whole cell lysate at 20 µg

Secondary

All lanes:

Western blot - Goat Anti-Rabbit IgG H&L (HRP) (<a href='/en-us/products/secondary-antibodies/goat-rabbit-igg-h-l-hrp-ab97051'>ab97051</a>) at 1/100000 dilution

Predicted band size: 55 kDa

Observed band size: 60 kDa

false

Exposure time: 26s

Key facts

Host species

Rabbit

Clonality

Monoclonal

Clone number

Y461

Isotype

IgG

Carrier free

Yes

Reacts with

Human, Mouse, Rat

Applications

IHC-P, IP, ICC/IF, WB, ChIC/CUT&RUN-seq, Flow Cyt (Intra)

applications

Immunogen

The exact immunogen used to generate this antibody is proprietary information.

Reactivity data

{ "title": "Reactivity Data", "filters": { "stats": ["", "Species", "Dilution Info", "Notes"], "tabs": { "all-applications": {"fullname" : "All Applications", "shortname": "All Applications"}, "ChICCUTRUNseq" : {"fullname" : "ChIC/CUT&RUN sequencing", "shortname":"ChIC/CUT&RUN-seq"}, "IHCP" : {"fullname" : "Immunohistochemistry (Formalin/PFA-fixed paraffin-embedded sections)", "shortname":"IHC-P"}, "IP" : {"fullname" : "Immunoprecipitation", "shortname":"IP"}, "WB" : {"fullname" : "Western blot", "shortname":"WB"}, "ICCIF" : {"fullname" : "Immunocytochemistry/ Immunofluorescence", "shortname":"ICC/IF"}, "FlowCytIntra" : {"fullname" : "Flow Cytometry (Intracellular)", "shortname":"Flow Cyt (Intra)"} }, "product-promise": { "all": "all", "testedAndGuaranteed": "tested", "guaranteed": "expected", "predicted": "predicted", "notRecommended": "not-recommended" } }, "values": { "Human": { "ChICCUTRUNseq-species-checked": "testedAndGuaranteed", "ChICCUTRUNseq-species-dilution-info": "", "ChICCUTRUNseq-species-notes": "<p></p>", "IHCP-species-checked": "testedAndGuaranteed", "IHCP-species-dilution-info": "", "IHCP-species-notes": "<p></p> Perform heat-mediated antigen retrieval with citrate buffer pH 6 before commencing with IHC staining protocol.", "IP-species-checked": "testedAndGuaranteed", "IP-species-dilution-info": "", "IP-species-notes": "<p></p>", "WB-species-checked": "testedAndGuaranteed", "WB-species-dilution-info": "", "WB-species-notes": "<p></p>", "ICCIF-species-checked": "testedAndGuaranteed", "ICCIF-species-dilution-info": "", "ICCIF-species-notes": "<p></p>", "FlowCytIntra-species-checked": "testedAndGuaranteed", "FlowCytIntra-species-dilution-info": "", "FlowCytIntra-species-notes": "<p><a href='/en-us/products/primary-antibodies/rabbit-igg-monoclonal-epr25a-isotype-control-low-endotoxin-azide-free-ab199376'>ab199376</a> - Rabbit monoclonal IgG, is suitable for use as an isotype control with this antibody.</p>" }, "Mouse": { "ChICCUTRUNseq-species-checked": "guaranteed", "ChICCUTRUNseq-species-dilution-info": "", "ChICCUTRUNseq-species-notes": "", "IHCP-species-checked": "testedAndGuaranteed", "IHCP-species-dilution-info": "", "IHCP-species-notes": "<p></p> Perform heat-mediated antigen retrieval with citrate buffer pH 6 before commencing with IHC staining protocol.", "IP-species-checked": "guaranteed", "IP-species-dilution-info": "", "IP-species-notes": "", "WB-species-checked": "testedAndGuaranteed", "WB-species-dilution-info": "", "WB-species-notes": "<p></p>", "ICCIF-species-checked": "guaranteed", "ICCIF-species-dilution-info": "", "ICCIF-species-notes": "", "FlowCytIntra-species-checked": "guaranteed", "FlowCytIntra-species-dilution-info": "", "FlowCytIntra-species-notes": "" }, "Rat": { "ChICCUTRUNseq-species-checked": "guaranteed", "ChICCUTRUNseq-species-dilution-info": "", "ChICCUTRUNseq-species-notes": "", "IHCP-species-checked": "testedAndGuaranteed", "IHCP-species-dilution-info": "", "IHCP-species-notes": "<p></p> Perform heat-mediated antigen retrieval with citrate buffer pH 6 before commencing with IHC staining protocol.", "IP-species-checked": "guaranteed", "IP-species-dilution-info": "", "IP-species-notes": "", "WB-species-checked": "testedAndGuaranteed", "WB-species-dilution-info": "", "WB-species-notes": "<p></p>", "ICCIF-species-checked": "guaranteed", "ICCIF-species-dilution-info": "", "ICCIF-species-notes": "", "FlowCytIntra-species-checked": "guaranteed", "FlowCytIntra-species-dilution-info": "", "FlowCytIntra-species-notes": "" } } }

Product details

ab213700 is the carrier-free version of ab32117.

Patented technology
Our RabMAb® technology is a patented hybridoma-based technology for making rabbit monoclonal antibodies. For details on our patents, please refer to RabMAb® patents.

What are the advantages of a recombinant monoclonal antibody?
This product is a recombinant monoclonal antibody, which offers several advantages including:

  • - High batch-to-batch consistency and reproducibility
  • - Improved sensitivity and specificity
  • - Long-term security of supply
  • - Animal-free batch production

For more information, read more on recombinant antibodies.

Conjugation ready
Our carrier-free antibodies are typically supplied in a PBS-only formulation, purified and free of BSA, sodium azide and glycerol. This conjugation-ready format is designed for use with fluorochromes, metal isotopes, oligonucleotides, and enzymes, which makes them ideal for antibody labelling, functional and cell-based assays, flow-based assays (e.g. mass cytometry) and Multiplex Imaging applications.

Use our conjugation kits for antibody conjugates that are ready-to-use in as little as 20 minutes with 1 minute hands-on-time and 100% antibody recovery: available for fluorescent dyes, HRP, biotin and gold.

Compatibility
This product is compatible with the Maxpar® Antibody Labeling Kit from Fluidigm, without the need for antibody preparation. Maxpar® is a trademark of Fluidigm Canada Inc.

Properties and storage information

Form
Liquid
Purification technique
Affinity purification Protein A
Storage buffer
pH: 7.2 - 7.4 Constituents: PBS
Shipped at conditions
Blue Ice
Appropriate short-term storage conditions
+4°C
Appropriate long-term storage conditions
+4°C
Storage information
Do Not Freeze

Supplementary information

This supplementary information is collated from multiple sources and compiled automatically.

HDAC2 or Histone Deacetylase 2 is an important enzyme that plays a role in chromatin remodeling and gene expression regulation. It removes acetyl groups from histone tails allowing chromatin to condense and silencing gene expression. HDAC2 has a molecular weight of approximately 55 kDa. It is expressed in various tissues including brain heart and skeletal muscles indicating its importance in different physiological areas. HDAC2 proteins are often studied using methods like HDAC2 ELISA and HDAC2 anticuero in research settings.
Biological function summary

HDAC2 is involved in cell cycle regulation and differentiation. It is part of the co-repressor complex and interacts with other proteins such as Sin3 and NuRD to repress transcription. These interactions are vital for maintaining normal cellular functions and ensuring proper response to external signals. This protein is also connected to HEK293T cells which are a common model in scientific studies due to their robust expression of proteins like HDAC2.

Pathways

HDAC2 participates in the regulation of transcriptional activity and cellular stress response. It is an important player in the histone modification pathway interacting with proteins such as HDAC1 and transcriptional regulators like REST. HDAC2 is also linked with the Notch signaling pathway which is essential for cell fate decisions. These pathways highlight its role in both maintaining cellular homeostasis and adapting to changes in the cellular environment.

HDAC2 has a significant connection to neurodegenerative diseases and various cancers. Alzheimer's disease for instance shows altered expression levels of HDAC2 affecting synaptic plasticity and memory formation. In cancer HDAC2 interacts with oncogenic proteins such as p53 influencing tumor progression and metastasis. Monitoring HDAC2 levels and activity could provide insights into disease mechanisms and potential therapeutic targets.

Product protocols

For this product, it's our understanding that no specific protocols are required. You can visit:

Target data

Histone deacetylase that catalyzes the deacetylation of lysine residues on the N-terminal part of the core histones (H2A, H2B, H3 and H4) (PubMed : 28497810). Histone deacetylation gives a tag for epigenetic repression and plays an important role in transcriptional regulation, cell cycle progression and developmental events (By similarity). Histone deacetylases act via the formation of large multiprotein complexes (By similarity). Forms transcriptional repressor complexes by associating with MAD, SIN3, YY1 and N-COR (PubMed : 12724404). Component of a RCOR/GFI/KDM1A/HDAC complex that suppresses, via histone deacetylase (HDAC) recruitment, a number of genes implicated in multilineage blood cell development (By similarity). Acts as a component of the histone deacetylase NuRD complex which participates in the remodeling of chromatin (PubMed : 16428440, PubMed : 28977666). Component of the SIN3B complex that represses transcription and counteracts the histone acetyltransferase activity of EP300 through the recognition H3K27ac marks by PHF12 and the activity of the histone deacetylase HDAC2 (PubMed : 37137925). Also deacetylates non-histone targets : deacetylates TSHZ3, thereby regulating its transcriptional repressor activity (PubMed : 19343227). May be involved in the transcriptional repression of circadian target genes, such as PER1, mediated by CRY1 through histone deacetylation (By similarity). Involved in MTA1-mediated transcriptional corepression of TFF1 and CDKN1A (PubMed : 21965678). In addition to protein deacetylase activity, also acts as a protein-lysine deacylase by recognizing other acyl groups : catalyzes removal of (2E)-butenoyl (crotonyl), lactoyl (lactyl) and 2-hydroxyisobutanoyl (2-hydroxyisobutyryl) acyl groups from lysine residues, leading to protein decrotonylation, delactylation and de-2-hydroxyisobutyrylation, respectively (PubMed : 28497810, PubMed : 29192674, PubMed : 35044827).
See full target information HDAC2

Publications (15)

Recent publications for all applications. Explore the full list and refine your search

International journal of molecular sciences 15:16719-40 PubMed25244019

2014

Sperm and spermatids contain different proteins and bind distinct egg factors.

Applications

Unspecified application

Species

Unspecified reactive species

Marta Teperek,Kei Miyamoto,Angela Simeone,Renata Feret,Michael J Deery,John B Gurdon,Jerome Jullien

Basic research in cardiology 109:433 PubMed25115184

2014

S-nitrosation of mitochondrial connexin 43 regulates mitochondrial function.

Applications

Unspecified application

Species

Unspecified reactive species

Daniel Soetkamp,Tiffany T Nguyen,Sara Menazza,Christine Hirschhäuser,Ulrike B Hendgen-Cotta,Tienush Rassaf,Klaus D Schlüter,Kerstin Boengler,Elizabeth Murphy,Rainer Schulz

Frontiers in molecular neuroscience 6:43 PubMed24324399

2013

A comprehensive characterization of the nuclear microRNA repertoire of post-mitotic neurons.

Applications

WB

Species

Rat

Sharof A Khudayberdiev,Federico Zampa,Marek Rajman,Gerhard Schratt

PloS one 8:e69947 PubMed23936361

2013

Functional interaction of SCAI with the SWI/SNF complex for transcription and tumor cell invasion.

Applications

Unspecified application

Species

Unspecified reactive species

Camilla Kreßner,Peter Nollau,Robert Grosse,Dominique T Brandt

PloS one 8:e68915 PubMed23894374

2013

Inhibition of histone deacetylase 3 causes replication stress in cutaneous T cell lymphoma.

Applications

WB

Species

Mouse

Christina E Wells,Srividya Bhaskara,Kristy R Stengel,Yue Zhao,Bianca Sirbu,Benjamin Chagot,David Cortez,Dineo Khabele,Walter J Chazin,Andrew Cooper,Vincent Jacques,James Rusche,Christine M Eischen,Laura Y McGirt,Scott W Hiebert

Journal of hematology & oncology 6:53 PubMed23866964

2013

Histone deacetylase inhibitor potentiated the ability of MTOR inhibitor to induce autophagic cell death in Burkitt leukemia/lymphoma.

Applications

WB

Species

Unspecified reactive species

Li Hua Dong,Shu Cheng,Zhong Zheng,Li Wang,Yang Shen,Zhi Xiang Shen,Sai Juan Chen,Wei Li Zhao

International journal of developmental neuroscience : the official journal of the International Society for Developmental Neuroscience 31:415-23 PubMed23220178

2012

Epigenetic control of neurotransmitter expression in olfactory bulb interneurons.

Applications

Unspecified application

Species

Unspecified reactive species

Kasturi Banerjee,Yosuke Akiba,Harriet Baker,John W Cave

The Journal of biological chemistry 287:15622-34 PubMed22416134

2012

Leucine zipper domain is required for Kaposi sarcoma-associated herpesvirus (KSHV) K-bZIP protein to interact with histone deacetylase and is important for KSHV replication.

Applications

Unspecified application

Species

Unspecified reactive species

Francisco Puerta Martínez,Qiyi Tang

PloS one 6:e16727 PubMed21311748

2011

Histone deacetylase activity modulates alternative splicing.

Applications

WB

Species

Human

Jarmila Hnilicová,Samira Hozeifi,Eva Dušková,Jaroslav Icha,Tereza Tománková,David Staněk

Neurotoxicity research 17:399-405 PubMed19779956

2009

Dysregulation of CREB activation and histone acetylation in 3-nitropropionic acid-treated cortical neurons: prevention by BDNF and NGF.

Applications

IP

Species

Rat

Sandra Almeida,Teresa Cunha-Oliveira,Mário Laço,Catarina R Oliveira,A Cristina Rego
View all publications
chicCutRunSequencingBooklet
en

Product promise

We are committed to supporting your work with high-quality reagents, and we're here for you every step of the way. In the unlikely event that one of our products does not perform as expected, you're protected by our Product Promise.
For full details, please see our Terms & Conditions

Please note: All products are 'FOR RESEARCH USE ONLY. NOT FOR USE IN DIAGNOSTIC OR THERAPEUTIC PROCEDURES'.

For licensing inquiries, please contact partnerships@abcam.com