JavaScript is disabled in your browser. Please enable JavaScript to view this website.
AB264126

Anti-HDAC3 antibody

Be the first to review this product! Submit a review

|

(0 Publication)

Rabbit Polyclonal HDAC3 antibody. Suitable for WB, IHC-P and reacts with Mouse, Human samples. Immunogen corresponding to Synthetic Peptide within Human HDAC3 aa 350 to C-terminus.

View Alternative Names

Histone deacetylase 3, HD3, Protein deacetylase HDAC3, Protein deacylase HDAC3, RPD3-2, SMAP45, HDAC3

2 Images
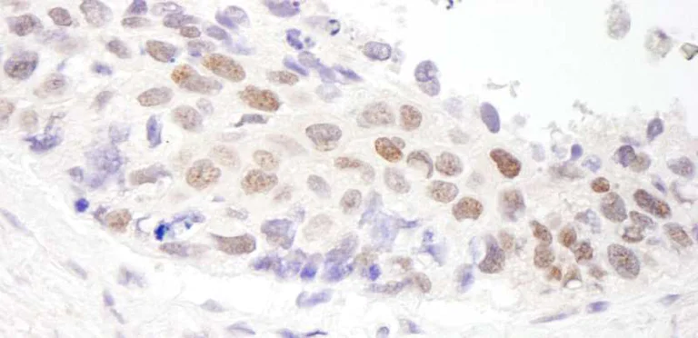
Immunohistochemistry (Formalin/PFA-fixed paraffin-embedded sections) - Anti-HDAC3 antibody (AB264126)
  • IHC-P

Unknown

Immunohistochemistry (Formalin/PFA-fixed paraffin-embedded sections) - Anti-HDAC3 antibody (AB264126)

Immunohistochemical analysis of formalin-fixed, paraffin-embedded human ovarian carcinoma tissue labeling HDAC3 with ab264126 at 1/200 dilution. Detection : DAB.

Epitope retrieval with Tris-EDTA pH 9.0 is recommended for FFPE tissue sections.

Western blot - Anti-HDAC3 antibody (AB264126)
  • WB

Supplier Data

Western blot - Anti-HDAC3 antibody (AB264126)

4-20% SDS-PAGE.

All lanes:

Western blot - Anti-HDAC3 antibody (ab264126) at 0.02 µg/mL

Lane 1:

HeLa (Human epithelial cell line from cervix adenocarcinoma) whole cell lysate at 50 µg

Lane 2:

HeLa whole cell lysate at 15 µg

Lane 3:

HeLa whole cell lysate at 5 µg

Lane 4:

Ramos (Human Burkitt's lymphoma cell line) whole cell lysate at 50 µg

Lane 5:

NIH/3T3 (Mouse embryo fibroblast cell line) whole cell lysate at 50 µg

Predicted band size: 48 kDa

false

Exposure time: 3min

Key facts

Host species

Rabbit

Clonality

Polyclonal

Isotype

IgG

Carrier free

No

Reacts with

Mouse, Human

Applications

WB, IHC-P

applications

Immunogen

Synthetic Peptide within Human HDAC3 aa 350 to C-terminus. The exact immunogen used to generate this antibody is proprietary information.

O15379

Reactivity data

{ "title": "Reactivity Data", "filters": { "stats": ["", "Species", "Dilution Info", "Notes"], "tabs": { "all-applications": {"fullname" : "All Applications", "shortname": "All Applications"}, "WB" : {"fullname" : "Western blot", "shortname":"WB"}, "IHCP" : {"fullname" : "Immunohistochemistry (Formalin/PFA-fixed paraffin-embedded sections)", "shortname":"IHC-P"} }, "product-promise": { "all": "all", "testedAndGuaranteed": "tested", "guaranteed": "expected", "predicted": "predicted", "notRecommended": "not-recommended" } }, "values": { "Human": { "WB-species-checked": "testedAndGuaranteed", "WB-species-dilution-info": "1/5000 - 1/15000", "WB-species-notes": "<p></p>", "IHCP-species-checked": "testedAndGuaranteed", "IHCP-species-dilution-info": "1/100 - 1/500", "IHCP-species-notes": "<p></p>" }, "Mouse": { "WB-species-checked": "testedAndGuaranteed", "WB-species-dilution-info": "1/5000 - 1/15000", "WB-species-notes": "<p></p>", "IHCP-species-checked": "guaranteed", "IHCP-species-dilution-info": "", "IHCP-species-notes": "" }, "Rat": { "WB-species-checked": "predicted", "WB-species-dilution-info": "", "WB-species-notes": "", "IHCP-species-checked": "predicted", "IHCP-species-dilution-info": "", "IHCP-species-notes": "" }, "Orangutan": { "WB-species-checked": "predicted", "WB-species-dilution-info": "", "WB-species-notes": "", "IHCP-species-checked": "predicted", "IHCP-species-dilution-info": "", "IHCP-species-notes": "" } } }

Properties and storage information

Form
Liquid
Purification technique
Affinity purification Immunogen
Storage buffer
pH: 6.8 - 7.4 Preservative: 0.09% Sodium azide Constituents: Tris buffered saline, 0.1% BSA
Shipped at conditions
Blue Ice
Appropriate short-term storage duration
1-2 weeks
Appropriate short-term storage conditions
+4°C
Appropriate long-term storage conditions
-20°C
Aliquoting information
Upon delivery aliquot
Storage information
Avoid freeze / thaw cycle

Supplementary information

This supplementary information is collated from multiple sources and compiled automatically.

HDAC3 or Histone Deacetylase 3 belongs to the class I histone deacetylases and plays an important mechanical role in epigenetic regulation by removing acetyl groups from histone proteins which causes chromatin condensation and gene expression modulation. Often referred to by its alternate name 3g6 HDAC3 has a molecular weight of approximately 49 kDa. The protein expresses broadly in various tissues including the brain liver and heart highlighting its widespread regulatory function across different body systems.
Biological function summary

HDAC3 acts as part of the nuclear receptor corepressor complex engaging with other subunits to modify chromatin structure and gene transcription. This protein influences various cellular processes such as cell cycle regulation and apoptosis. By altering chromatin architecture HDAC3 modulates the expression of numerous genes supporting cellular homeostasis and response to environmental signals.

Pathways

The HDAC3 protein integrates into key signaling networks including the Notch and NF-kB pathways. Within the Notch signaling pathway HDAC3 interacts with proteins like CSL modulating transcriptional responses critical for cell differentiation and developmental processes. In the NF-kB pathway it influences inflammation and immune responses by regulating the transcription of inflammatory genes showcasing its role in mediating complex signaling cascades.

HDAC3 is pivotal in the development and progression of various diseases such as cancer and neurodegenerative disorders. The dysregulation of HDAC3 activity can lead to abnormal cell proliferation and impaired cell death contributing to tumor growth. In neurodegenerative conditions HDAC3 interacts with proteins like tau potentially influencing tau-related pathologies. HDAC3 inhibitors are under investigation for therapeutic approaches to these challenging medical conditions highlighting its relevance in disease management.

Product protocols

For this product, it's our understanding that no specific protocols are required. You can visit:

Target data

Histone deacetylase that catalyzes the deacetylation of lysine residues on the N-terminal part of the core histones (H2A, H2B, H3 and H4), and some other non-histone substrates (PubMed : 21030595, PubMed : 21444723, PubMed : 23911289, PubMed : 25301942, PubMed : 28167758, PubMed : 28497810, PubMed : 32404892, PubMed : 22230954). Histone deacetylation gives a tag for epigenetic repression and plays an important role in transcriptional regulation, cell cycle progression and developmental events (PubMed : 23911289). Histone deacetylases act via the formation of large multiprotein complexes, such as N-Cor repressor complex, which activate the histone deacetylase activity (PubMed : 23911289, PubMed : 22230954). Participates in the BCL6 transcriptional repressor activity by deacetylating the H3 'Lys-27' (H3K27) on enhancer elements, antagonizing EP300 acetyltransferase activity and repressing proximal gene expression (PubMed : 23911289). Acts as a molecular chaperone for shuttling phosphorylated NR2C1 to PML bodies for sumoylation (By similarity). Contributes, together with XBP1 isoform 1, to the activation of NFE2L2-mediated HMOX1 transcription factor gene expression in a PI(3)K/mTORC2/Akt-dependent signaling pathway leading to endothelial cell (EC) survival under disturbed flow/oxidative stress (PubMed : 25190803). Regulates both the transcriptional activation and repression phases of the circadian clock in a deacetylase activity-independent manner (By similarity). During the activation phase, promotes the accumulation of ubiquitinated BMAL1 at the E-boxes and during the repression phase, blocks FBXL3-mediated CRY1/2 ubiquitination and promotes the interaction of CRY1 and BMAL1 (By similarity). The NCOR1-HDAC3 complex regulates the circadian expression of the core clock gene BMAL1 and the genes involved in lipid metabolism in the liver (By similarity). Also functions as a deacetylase for non-histone targets, such as KAT5, MEF2D, MAPK14, RARA and STAT3 (PubMed : 15653507, PubMed : 21030595, PubMed : 21444723, PubMed : 25301942, PubMed : 28167758). Serves as a corepressor of RARA, mediating its deacetylation and repression, leading to inhibition of RARE DNA element binding (PubMed : 28167758). In association with RARA, plays a role in the repression of microRNA-10a and thereby in the inflammatory response (PubMed : 28167758). In addition to protein deacetylase activity, also acts as a protein-lysine deacylase by recognizing other acyl groups : catalyzes removal of (2E)-butenoyl (crotonyl), lactoyl (lactyl) and 2-hydroxyisobutanoyl (2-hydroxyisobutyryl) acyl groups from lysine residues, leading to protein decrotonylation, delactylation and de-2-hydroxyisobutyrylation, respectively (PubMed : 28497810, PubMed : 29192674, PubMed : 34608293, PubMed : 35044827). Catalyzes decrotonylation of MAPRE1/EB1 (PubMed : 34608293). Mediates delactylation NBN/NBS1, thereby inhibiting DNA double-strand breaks (DSBs) via homologous recombination (HR) (PubMed : 38961290).
See full target information HDAC3

Product promise

We are committed to supporting your work with high-quality reagents, and we're here for you every step of the way. In the unlikely event that one of our products does not perform as expected, you're protected by our Product Promise.
For full details, please see our Terms & Conditions

Please note: All products are 'FOR RESEARCH USE ONLY. NOT FOR USE IN DIAGNOSTIC OR THERAPEUTIC PROCEDURES'.

For licensing inquiries, please contact partnerships@abcam.com