JavaScript is disabled in your browser. Please enable JavaScript to view this website.
AB247459

Anti-HDAC3 antibody [EP462Y] - BSA and Azide free

Be the first to review this product! Submit a review

|

(0 Publication)

Rabbit Recombinant Monoclonal HDAC3 antibody. Carrier free. Suitable for IHC-P, WB, ICC/IF, Flow Cyt (Intra) and reacts with Mouse, Rat, Human samples.

View Alternative Names

Histone deacetylase 3, HD3, Protein deacetylase HDAC3, Protein deacylase HDAC3, RPD3-2, SMAP45, HDAC3

8 Images
Immunocytochemistry/ Immunofluorescence - Anti-HDAC3 antibody [EP462Y] - BSA and Azide free (AB247459)
  • ICC/IF

Supplier Data

Immunocytochemistry/ Immunofluorescence - Anti-HDAC3 antibody [EP462Y] - BSA and Azide free (AB247459)

This data was developed using ab76295, the same antibody clone in a different buffer formulation.

Immunocytochemistry/ Immunofluorescence analysis of HeLa (Human cervix adenocarcinoma epithelial cell) cells labeling HDAC3 with Purified ab76295 at 1 : 50 dilution (2.1 μg/ml). Cells were fixed in 4% Paraformaldehyde and permeabilized with 0.1% tritonX-100. Cells were counterstained with ab195889 Anti-alpha Tubulin antibody [DM1A] - Microtubule Marker (Alexa Fluor® 594) 1 : 200 (2.5 μg/ml). Goat anti rabbit IgG (Alexa Fluor® 488, ab150077) was used as the secondary antibody at 1 : 1000 (2 μg/ml) dilution. DAPI nuclear counterstain. PBS instead of the primary antibody was used as the secondary antibody only control.

Immunohistochemistry (Formalin/PFA-fixed paraffin-embedded sections) - Anti-HDAC3 antibody [EP462Y] - BSA and Azide free (AB247459)
  • IHC-P

Unknown

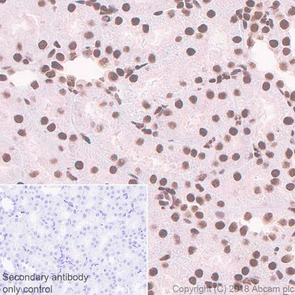
Immunohistochemistry (Formalin/PFA-fixed paraffin-embedded sections) - Anti-HDAC3 antibody [EP462Y] - BSA and Azide free (AB247459)

This data was developed using ab76295, the same antibody clone in a different buffer formulation.

Immunohistochemistry (Formalin/PFA-fixed paraffin-embedded sections) analysis of Rat kidney tissue sections labeling HDAC3 with Purified ab76295 at 1 : 100 dilution (1.03 μg/ml). Heat mediated antigen retrieval was performed using ab93684 (Tris/EDTA buffer, pH 9.0). ImmunoHistoProbe one step HRP Polymer (ready to use)was used as the secondary antibody. Negative control : PBS instead of the primary antibody. Hematoxylin was used as a counterstain.

Immunohistochemistry (Formalin/PFA-fixed paraffin-embedded sections) - Anti-HDAC3 antibody [EP462Y] - BSA and Azide free (AB247459)
  • IHC-P

Unknown

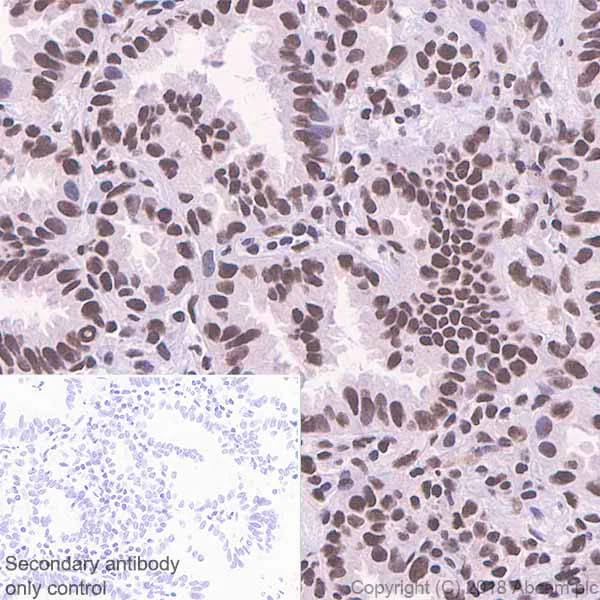
Immunohistochemistry (Formalin/PFA-fixed paraffin-embedded sections) - Anti-HDAC3 antibody [EP462Y] - BSA and Azide free (AB247459)

This data was developed using ab76295, the same antibody clone in a different buffer formulation.

Immunohistochemistry (Formalin/PFA-fixed paraffin-embedded sections) analysis of Human lung carcinoma tissue sections labeling HDAC3 with Purified ab76295 at 1 : 100 dilution (1.03 μg/ml). Heat mediated antigen retrieval was performed using ab93684 (Tris/EDTA buffer, pH 9.0). ImmunoHistoProbe one step HRP Polymer (ready to use)was used as the secondary antibody. Negative control : PBS instead of the primary antibody. Hematoxylin was used as a counterstain.

Flow Cytometry (Intracellular) - Anti-HDAC3 antibody [EP462Y] - BSA and Azide free (AB247459)
  • Flow Cyt (Intra)

Unknown

Flow Cytometry (Intracellular) - Anti-HDAC3 antibody [EP462Y] - BSA and Azide free (AB247459)

This data was developed using ab76295, the same antibody clone in a different buffer formulation.

Intracellular Flow Cytometry analysis of HeLa (Human cervix adenocarcinoma epithelial cell) cells labeling HDAC3 with Purified ab76295 at 1/20 dilution (10 μg/ml) (red). Cells were fixed with 4% Paraformaldehyde. A Goat anti rabbit IgG (Alexa Fluor® 488, ab150077) secondary antibody was used at 1/2000. Isotype control - Rabbit monoclonal IgG (Black). Unlabeled control - Cell without incubation with primary antibody and secondary antibody (Blue).

Immunohistochemistry (Formalin/PFA-fixed paraffin-embedded sections) - Anti-HDAC3 antibody [EP462Y] - BSA and Azide free (AB247459)
  • IHC-P

Supplier Data

Immunohistochemistry (Formalin/PFA-fixed paraffin-embedded sections) - Anti-HDAC3 antibody [EP462Y] - BSA and Azide free (AB247459)

This data was developed using ab76295, the same antibody clone in a different buffer formulation.

Immunohistochemistry (Formalin/PFA-fixed paraffin-embedded sections) analysis of Mouse cerebrum tissue sections labeling HDAC3 with Purified ab76295 at 1 : 100 dilution (1.03 μg/ml). Heat mediated antigen retrieval was performed using ab93684 (Tris/EDTA buffer, pH 9.0). ImmunoHistoProbe one step HRP Polymer (ready to use)was used as the secondary antibody. Negative control : PBS instead of the primary antibody. Hematoxylin was used as a counterstain.

Immunohistochemistry (Formalin/PFA-fixed paraffin-embedded sections) - Anti-HDAC3 antibody [EP462Y] - BSA and Azide free (AB247459)
  • IHC-P

Unknown

Immunohistochemistry (Formalin/PFA-fixed paraffin-embedded sections) - Anti-HDAC3 antibody [EP462Y] - BSA and Azide free (AB247459)

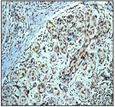
This data was developed using ab76295, the same antibody clone in a different buffer formulation.

ab76295, at a 1/100-1/250 dilution, staining human HDAC3 in breast carcinoma, by Immunohistochemistry, Formalin/PFA-fixed paraffin-embedded tissue.

Heat mediated antigen retrieval was performed before commencing with IHC staining protocol.

Western blot - Anti-HDAC3 antibody [EP462Y] - BSA and Azide free (AB247459)
  • WB

Lab

Western blot - Anti-HDAC3 antibody [EP462Y] - BSA and Azide free (AB247459)

This data was developed using ab76295, the same antibody clone in a different buffer formulation.

All lanes:

Western blot - Anti-HDAC3 antibody [EP462Y] (<a href='/en-us/products/primary-antibodies/hdac3-antibody-ep462y-ab76295'>ab76295</a>) at 1/2000 dilution

Lane 1:

HeLa cell lysate at 20 µg

Lane 2:

Jurkat cell lysate at 20 µg

Lane 3:

HepG2 cell lysate at 20 µg

Lane 4:

NIH/3T3 cell lysate at 20 µg

Lane 5:

PC-12 cell lysate at 20 µg

Secondary

All lanes:

Western blot - Goat Anti-Rabbit IgG H&L (HRP) (<a href='/en-us/products/secondary-antibodies/goat-rabbit-igg-h-l-hrp-ab97051'>ab97051</a>) at 1/20000 dilution

Predicted band size: 48 kDa

Observed band size: 49 kDa

false

Western blot - Anti-HDAC3 antibody [EP462Y] - BSA and Azide free (AB247459)
  • WB

Unknown

Western blot - Anti-HDAC3 antibody [EP462Y] - BSA and Azide free (AB247459)

This data was developed using ab76295, the same antibody clone in a different buffer formulation.

All lanes:

Western blot - Anti-HDAC3 antibody [EP462Y] (<a href='/en-us/products/primary-antibodies/hdac3-antibody-ep462y-ab76295'>ab76295</a>) at 1/2000 dilution

All lanes:

HeLa cell lysate at 10 µg

Secondary

All lanes:

goat anti-rabbit HRP at 1/2000 dilution

Predicted band size: 48 kDa

Observed band size: 49 kDa

false

Key facts

Host species

Rabbit

Clonality

Monoclonal

Clone number

EP462Y

Isotype

IgG

Carrier free

Yes

Reacts with

Mouse, Rat, Human

Applications

Flow Cyt (Intra), IHC-P, ICC/IF, WB

applications

Immunogen

The exact immunogen used to generate this antibody is proprietary information.

Reactivity data

{ "title": "Reactivity Data", "filters": { "stats": ["", "Species", "Dilution Info", "Notes"], "tabs": { "all-applications": {"fullname" : "All Applications", "shortname": "All Applications"}, "IHCP" : {"fullname" : "Immunohistochemistry (Formalin/PFA-fixed paraffin-embedded sections)", "shortname":"IHC-P"}, "IP" : {"fullname" : "Immunoprecipitation", "shortname":"IP"}, "WB" : {"fullname" : "Western blot", "shortname":"WB"}, "ICCIF" : {"fullname" : "Immunocytochemistry/ Immunofluorescence", "shortname":"ICC/IF"}, "FlowCytIntra" : {"fullname" : "Flow Cytometry (Intracellular)", "shortname":"Flow Cyt (Intra)"} }, "product-promise": { "all": "all", "testedAndGuaranteed": "tested", "guaranteed": "expected", "predicted": "predicted", "notRecommended": "not-recommended" } }, "values": { "Human": { "IHCP-species-checked": "testedAndGuaranteed", "IHCP-species-dilution-info": "", "IHCP-species-notes": "<p></p> Perform heat-mediated antigen retrieval before commencing with IHC staining protocol.", "IP-species-checked": "notRecommended", "IP-species-dilution-info": "", "IP-species-notes": "<p></p>", "WB-species-checked": "testedAndGuaranteed", "WB-species-dilution-info": "", "WB-species-notes": "<p></p>", "ICCIF-species-checked": "testedAndGuaranteed", "ICCIF-species-dilution-info": "", "ICCIF-species-notes": "<p></p>", "FlowCytIntra-species-checked": "testedAndGuaranteed", "FlowCytIntra-species-dilution-info": "", "FlowCytIntra-species-notes": "<p></p>" }, "Mouse": { "IHCP-species-checked": "testedAndGuaranteed", "IHCP-species-dilution-info": "", "IHCP-species-notes": "<p></p> Perform heat-mediated antigen retrieval before commencing with IHC staining protocol.", "IP-species-checked": "notRecommended", "IP-species-dilution-info": "", "IP-species-notes": "<p></p>", "WB-species-checked": "guaranteed", "WB-species-dilution-info": "", "WB-species-notes": "", "ICCIF-species-checked": "guaranteed", "ICCIF-species-dilution-info": "", "ICCIF-species-notes": "", "FlowCytIntra-species-checked": "guaranteed", "FlowCytIntra-species-dilution-info": "", "FlowCytIntra-species-notes": "" }, "Rat": { "IHCP-species-checked": "testedAndGuaranteed", "IHCP-species-dilution-info": "", "IHCP-species-notes": "<p></p> Perform heat-mediated antigen retrieval before commencing with IHC staining protocol.", "IP-species-checked": "notRecommended", "IP-species-dilution-info": "", "IP-species-notes": "<p></p>", "WB-species-checked": "guaranteed", "WB-species-dilution-info": "", "WB-species-notes": "", "ICCIF-species-checked": "guaranteed", "ICCIF-species-dilution-info": "", "ICCIF-species-notes": "", "FlowCytIntra-species-checked": "guaranteed", "FlowCytIntra-species-dilution-info": "", "FlowCytIntra-species-notes": "" } } }

You may be interested in:

AB156064

Histone Deacetylase (HDAC) Activity Assay Kit (Fluorometric)

5

1 Reviews

View product

We recommend this product because it’s often used in the same experiment or related research.

We advise that you always check the datasheet to ensure it fits your experiments, or contact ourtechnical teamfor help.

Product details

ab247459 is the carrier-free version of ab76295.

Patented technology
Our RabMAb® technology is a patented hybridoma-based technology for making rabbit monoclonal antibodies. For details on our patents, please refer to RabMAb® patents.

What are the advantages of a recombinant monoclonal antibody?
This product is a recombinant monoclonal antibody, which offers several advantages including:

  • - High batch-to-batch consistency and reproducibility
  • - Improved sensitivity and specificity
  • - Long-term security of supply
  • - Animal-free batch production

For more information, read more on recombinant antibodies.

Conjugation ready
Our carrier-free antibodies are typically supplied in a PBS-only formulation, purified and free of BSA, sodium azide and glycerol. This conjugation-ready format is designed for use with fluorochromes, metal isotopes, oligonucleotides, and enzymes, which makes them ideal for antibody labelling, functional and cell-based assays, flow-based assays (e.g. mass cytometry) and Multiplex Imaging applications.

Use our conjugation kits for antibody conjugates that are ready-to-use in as little as 20 minutes with 1 minute hands-on-time and 100% antibody recovery: available for fluorescent dyes, HRP, biotin and gold.

Compatibility
This product is compatible with the Maxpar® Antibody Labeling Kit from Fluidigm, without the need for antibody preparation. Maxpar® is a trademark of Fluidigm Canada Inc.

Properties and storage information

Form
Liquid
Purification technique
Affinity purification Protein A
Storage buffer
pH: 7.2 - 7.4 Constituents: PBS
Shipped at conditions
Blue Ice
Appropriate short-term storage conditions
+4°C
Appropriate long-term storage conditions
+4°C
Storage information
Do Not Freeze

Supplementary information

This supplementary information is collated from multiple sources and compiled automatically.

HDAC3 or Histone Deacetylase 3 belongs to the class I histone deacetylases and plays an important mechanical role in epigenetic regulation by removing acetyl groups from histone proteins which causes chromatin condensation and gene expression modulation. Often referred to by its alternate name 3g6 HDAC3 has a molecular weight of approximately 49 kDa. The protein expresses broadly in various tissues including the brain liver and heart highlighting its widespread regulatory function across different body systems.
Biological function summary

HDAC3 acts as part of the nuclear receptor corepressor complex engaging with other subunits to modify chromatin structure and gene transcription. This protein influences various cellular processes such as cell cycle regulation and apoptosis. By altering chromatin architecture HDAC3 modulates the expression of numerous genes supporting cellular homeostasis and response to environmental signals.

Pathways

The HDAC3 protein integrates into key signaling networks including the Notch and NF-kB pathways. Within the Notch signaling pathway HDAC3 interacts with proteins like CSL modulating transcriptional responses critical for cell differentiation and developmental processes. In the NF-kB pathway it influences inflammation and immune responses by regulating the transcription of inflammatory genes showcasing its role in mediating complex signaling cascades.

HDAC3 is pivotal in the development and progression of various diseases such as cancer and neurodegenerative disorders. The dysregulation of HDAC3 activity can lead to abnormal cell proliferation and impaired cell death contributing to tumor growth. In neurodegenerative conditions HDAC3 interacts with proteins like tau potentially influencing tau-related pathologies. HDAC3 inhibitors are under investigation for therapeutic approaches to these challenging medical conditions highlighting its relevance in disease management.

Product protocols

For this product, it's our understanding that no specific protocols are required. You can visit:

Target data

Histone deacetylase that catalyzes the deacetylation of lysine residues on the N-terminal part of the core histones (H2A, H2B, H3 and H4), and some other non-histone substrates (PubMed : 21030595, PubMed : 21444723, PubMed : 23911289, PubMed : 25301942, PubMed : 28167758, PubMed : 28497810, PubMed : 32404892, PubMed : 22230954). Histone deacetylation gives a tag for epigenetic repression and plays an important role in transcriptional regulation, cell cycle progression and developmental events (PubMed : 23911289). Histone deacetylases act via the formation of large multiprotein complexes, such as N-Cor repressor complex, which activate the histone deacetylase activity (PubMed : 23911289, PubMed : 22230954). Participates in the BCL6 transcriptional repressor activity by deacetylating the H3 'Lys-27' (H3K27) on enhancer elements, antagonizing EP300 acetyltransferase activity and repressing proximal gene expression (PubMed : 23911289). Acts as a molecular chaperone for shuttling phosphorylated NR2C1 to PML bodies for sumoylation (By similarity). Contributes, together with XBP1 isoform 1, to the activation of NFE2L2-mediated HMOX1 transcription factor gene expression in a PI(3)K/mTORC2/Akt-dependent signaling pathway leading to endothelial cell (EC) survival under disturbed flow/oxidative stress (PubMed : 25190803). Regulates both the transcriptional activation and repression phases of the circadian clock in a deacetylase activity-independent manner (By similarity). During the activation phase, promotes the accumulation of ubiquitinated BMAL1 at the E-boxes and during the repression phase, blocks FBXL3-mediated CRY1/2 ubiquitination and promotes the interaction of CRY1 and BMAL1 (By similarity). The NCOR1-HDAC3 complex regulates the circadian expression of the core clock gene BMAL1 and the genes involved in lipid metabolism in the liver (By similarity). Also functions as a deacetylase for non-histone targets, such as KAT5, MEF2D, MAPK14, RARA and STAT3 (PubMed : 15653507, PubMed : 21030595, PubMed : 21444723, PubMed : 25301942, PubMed : 28167758). Serves as a corepressor of RARA, mediating its deacetylation and repression, leading to inhibition of RARE DNA element binding (PubMed : 28167758). In association with RARA, plays a role in the repression of microRNA-10a and thereby in the inflammatory response (PubMed : 28167758). In addition to protein deacetylase activity, also acts as a protein-lysine deacylase by recognizing other acyl groups : catalyzes removal of (2E)-butenoyl (crotonyl), lactoyl (lactyl) and 2-hydroxyisobutanoyl (2-hydroxyisobutyryl) acyl groups from lysine residues, leading to protein decrotonylation, delactylation and de-2-hydroxyisobutyrylation, respectively (PubMed : 28497810, PubMed : 29192674, PubMed : 34608293, PubMed : 35044827). Catalyzes decrotonylation of MAPRE1/EB1 (PubMed : 34608293). Mediates delactylation NBN/NBS1, thereby inhibiting DNA double-strand breaks (DSBs) via homologous recombination (HR) (PubMed : 38961290).
See full target information HDAC3

Product promise

We are committed to supporting your work with high-quality reagents, and we're here for you every step of the way. In the unlikely event that one of our products does not perform as expected, you're protected by our Product Promise.
For full details, please see our Terms & Conditions

Associated Products

Select an associated product type
Alternative Product
Primary Antibodies

AB264126

Anti-HDAC3 antibody

primary-antibodies

hdac3-antibody-ab264126

0

(0 reviews)

Alternative Product
Primary Antibodies

AB306446

APC Anti-HDAC3 antibody [EP462Y]

primary-antibodies

apc-hdac3-antibody-ep462y-ab306446

0

(0 reviews)

Alternative Product
Primary Antibodies

AB306447

HRP Anti-HDAC3 antibody [EP462Y]

primary-antibodies

hrp-hdac3-antibody-ep462y-ab306447

0

(0 reviews)

Alternative Product
Primary Antibodies

AB306445

PE Anti-HDAC3 antibody [EP462Y]

primary-antibodies

pe-hdac3-antibody-ep462y-ab306445

0

(0 reviews)

Alternative Version
Primary Antibodies

AB309826

Alexa Fluor® 488 Anti-HDAC3 antibody [EP462Y]

primary-antibodies

alexa-fluor-488-hdac3-antibody-ep462y-ab309826

0

(0 reviews)

Alternative Version
Primary Antibodies

AB310196

Alexa Fluor® 647 Anti-HDAC3 antibody [EP462Y]

primary-antibodies

alexa-fluor-647-hdac3-antibody-ep462y-ab310196

0

(0 reviews)

Alternative Version
Primary Antibodies

AB312165

Alexa Fluor® 555 Anti-HDAC3 antibody [EP462Y]

primary-antibodies

alexa-fluor-555-hdac3-antibody-ep462y-ab312165

0

(0 reviews)

Please note: All products are 'FOR RESEARCH USE ONLY. NOT FOR USE IN DIAGNOSTIC OR THERAPEUTIC PROCEDURES'.

For licensing inquiries, please contact partnerships@abcam.com