JavaScript is disabled in your browser. Please enable JavaScript to view this website.
AB219376

Anti-HDAC3 antibody [Y415] - BSA and Azide free

Be the first to review this product! Submit a review

|

(11 Publications)

Rabbit Recombinant Monoclonal HDAC3 antibody. Carrier free. Suitable for IHC-P, IP, WB, ICC/IF, Flow Cyt (Intra) and reacts with Human, Mouse, Rat samples. Cited in 11 publications.

View Alternative Names

Histone deacetylase 3, HD3, Protein deacetylase HDAC3, Protein deacylase HDAC3, RPD3-2, SMAP45, HDAC3

6 Images
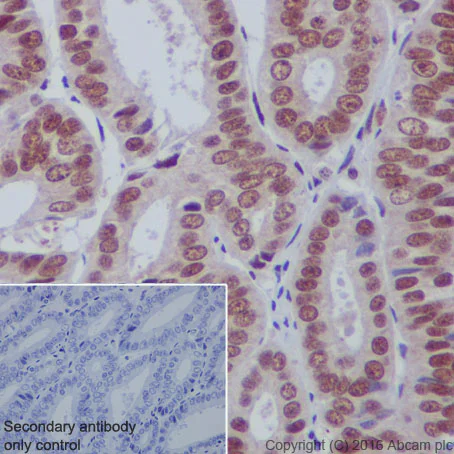
Immunohistochemistry (Formalin/PFA-fixed paraffin-embedded sections) - Anti-HDAC3 antibody [Y415] - BSA and Azide free (AB219376)
  • IHC-P

Unknown

Immunohistochemistry (Formalin/PFA-fixed paraffin-embedded sections) - Anti-HDAC3 antibody [Y415] - BSA and Azide free (AB219376)

Immunohistochemical analysis of paraffin-embedded human endometrial carcinoma sections labelling HDAC3 with purified ab32369 at dilution of 1 : 50. The secondary antibody used was ab97051; a goat anti-rabbit IgG H&L (HRP) at dilution of 1/500. The sample was counterstained with hematoxylin. Antigen retrieval was performed using EDTA Buffer; pH 9.0. PBS was used instead of the primary antibody as the negative control and is shown in the inset.

This data was developed using the same antibody clone in a different buffer formulation containing PBS, BSA, glycerol, and sodium azide (ab32369).

Immunocytochemistry/ Immunofluorescence - Anti-HDAC3 antibody [Y415] - BSA and Azide free (AB219376)
  • ICC/IF

Unknown

Immunocytochemistry/ Immunofluorescence - Anti-HDAC3 antibody [Y415] - BSA and Azide free (AB219376)

Immunocytochemistry/Immunofluorescence analysis of K562 cells labelling HDAC3 with purified ab32369 at 1/500. Cells were fixed with 4% Paraformaldehyde and permeabilized using 0.1% Triton X-100. ab150077, Alexa Fluor®488-conjugated goat anti-rabbit IgG (1/1000) was used as the secondary antibody. Cells were co-stained with ab7291, a mouse anti-tubulin antibody (1/1000) using ab150120, an Alexa Fluor®594-conjugated goat anti-mouse IgG (1/1000) as the secondary. Nuclei were counterstained with DAPI (blue).

For negative control 1, rabbit primary antibody and anti-mouse secondary antibody (ab150120) were used and for negative control 2, mouse primary antibody (ab7291) and anti-rabbit secondary antibody (ab150077) were used.

This data was developed using the same antibody clone in a different buffer formulation containing PBS, BSA, glycerol, and sodium azide (ab32369).

Flow Cytometry (Intracellular) - Anti-HDAC3 antibody [Y415] - BSA and Azide free (AB219376)
  • Flow Cyt (Intra)

Unknown

Flow Cytometry (Intracellular) - Anti-HDAC3 antibody [Y415] - BSA and Azide free (AB219376)

Intracellular Flow Cytometry analysis of HeLa (human cervix adenocarcinoma) cells labeling HDAC3 with purified ab32369 at 1/30 dilution (10ug/mL) (red). Cells were fixed with 4% paraformaldehyde and permeabilised with 90% methanol. A Goat anti rabbit IgG (Alexa Fluor®488) (1/2000 dilution) was used as the secondary antibody. Rabbit monoclonal IgG (Black) was used as the isotype control, cells without incubation with primary antibody and secondary antibody (Blue) were used as the unlabeled control.

This data was developed using the same antibody clone in a different buffer formulation containing PBS, BSA, glycerol, and sodium azide (ab32369).

Immunocytochemistry/ Immunofluorescence - Anti-HDAC3 antibody [Y415] - BSA and Azide free (AB219376)
  • ICC/IF

Unknown

Immunocytochemistry/ Immunofluorescence - Anti-HDAC3 antibody [Y415] - BSA and Azide free (AB219376)

Immunofluorescent staining of HeLa cells
using ab32369 at 1/250 dilutionThis data was developed using the same antibody clone in a different buffer formulation containing PBS, BSA, glycerol, and sodium azide (ab32369).

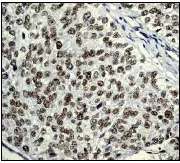
Immunohistochemistry (Formalin/PFA-fixed paraffin-embedded sections) - Anti-HDAC3 antibody [Y415] - BSA and Azide free (AB219376)
  • IHC-P

Unknown

Immunohistochemistry (Formalin/PFA-fixed paraffin-embedded sections) - Anti-HDAC3 antibody [Y415] - BSA and Azide free (AB219376)

Paraffin-embedded human ovary carcinoma
ab32369 at 1/250 dilution

This data was developed using the same antibody clone in a different buffer formulation containing PBS, BSA, glycerol, and sodium azide (ab32369).

Perform heat mediated antigen retrieval with citrate buffer pH 6 before commencing with IHC staining protocol.

Immunoprecipitation - Anti-HDAC3 antibody [Y415] - BSA and Azide free (AB219376)
  • IP

Lab

Immunoprecipitation - Anti-HDAC3 antibody [Y415] - BSA and Azide free (AB219376)

Purified ab32369 at 1/20 immunoprecipitating HDAC3 in K562 whole cell lysate observed at 49 KDa (lanes 1 and 2).

Lane 1 (input) : K562 whole cell lysate 10ug

Lane 2 (+) : ab32369 + K562 whole cell lysate.

Lane 3 (-) : Rabbit monoclonal IgG (ab172730) instead of ab32369 in K562 whole cell lysate

The Detection Reagent used was VeriBlot for IP (HRP) (ab131366) at dilution of 1/1000.

Blocking/Diluting buffer 5% NFDM/TBST.

This data was developed using the same antibody clone in a different buffer formulation containing PBS, BSA, glycerol, and sodium azide (ab32369).

All lanes:

Immunoprecipitation - Anti-HDAC3 antibody [Y415] (<a href='/en-us/products/primary-antibodies/hdac3-antibody-y415-ab32369'>ab32369</a>)

Predicted band size: 48 kDa

false

Key facts

Host species

Rabbit

Clonality

Monoclonal

Clone number

Y415

Isotype

IgG

Carrier free

Yes

Reacts with

Mouse, Rat, Human

Applications

IHC-P, ICC/IF, WB, IP, Flow Cyt (Intra)

applications

Immunogen

The exact immunogen used to generate this antibody is proprietary information.

Specificity

This antibody may detect splice isoform 2 (RPD3-2A).

Reactivity data

{ "title": "Reactivity Data", "filters": { "stats": ["", "Species", "Dilution Info", "Notes"], "tabs": { "all-applications": {"fullname" : "All Applications", "shortname": "All Applications"}, "IHCP" : {"fullname" : "Immunohistochemistry (Formalin/PFA-fixed paraffin-embedded sections)", "shortname":"IHC-P"}, "IP" : {"fullname" : "Immunoprecipitation", "shortname":"IP"}, "WB" : {"fullname" : "Western blot", "shortname":"WB"}, "ICCIF" : {"fullname" : "Immunocytochemistry/ Immunofluorescence", "shortname":"ICC/IF"}, "FlowCytIntra" : {"fullname" : "Flow Cytometry (Intracellular)", "shortname":"Flow Cyt (Intra)"} }, "product-promise": { "all": "all", "testedAndGuaranteed": "tested", "guaranteed": "expected", "predicted": "predicted", "notRecommended": "not-recommended" } }, "values": { "Human": { "IHCP-species-checked": "testedAndGuaranteed", "IHCP-species-dilution-info": "", "IHCP-species-notes": "<p></p> Perform heat-mediated antigen retrieval with citrate buffer pH 6 before commencing with IHC staining protocol.", "IP-species-checked": "testedAndGuaranteed", "IP-species-dilution-info": "", "IP-species-notes": "<p></p>", "WB-species-checked": "guaranteed", "WB-species-dilution-info": "", "WB-species-notes": "<p></p>", "ICCIF-species-checked": "testedAndGuaranteed", "ICCIF-species-dilution-info": "", "ICCIF-species-notes": "<p></p>", "FlowCytIntra-species-checked": "testedAndGuaranteed", "FlowCytIntra-species-dilution-info": "", "FlowCytIntra-species-notes": "<p></p>" }, "Mouse": { "IHCP-species-checked": "predicted", "IHCP-species-dilution-info": "", "IHCP-species-notes": "", "IP-species-checked": "predicted", "IP-species-dilution-info": "", "IP-species-notes": "", "WB-species-checked": "guaranteed", "WB-species-dilution-info": "", "WB-species-notes": "<p></p>", "ICCIF-species-checked": "predicted", "ICCIF-species-dilution-info": "", "ICCIF-species-notes": "", "FlowCytIntra-species-checked": "predicted", "FlowCytIntra-species-dilution-info": "", "FlowCytIntra-species-notes": "" }, "Rat": { "IHCP-species-checked": "predicted", "IHCP-species-dilution-info": "", "IHCP-species-notes": "", "IP-species-checked": "predicted", "IP-species-dilution-info": "", "IP-species-notes": "", "WB-species-checked": "guaranteed", "WB-species-dilution-info": "", "WB-species-notes": "<p></p>", "ICCIF-species-checked": "predicted", "ICCIF-species-dilution-info": "", "ICCIF-species-notes": "", "FlowCytIntra-species-checked": "predicted", "FlowCytIntra-species-dilution-info": "", "FlowCytIntra-species-notes": "" } } }

Product details

ab219376 is the carrier-free version of ab32369.

Patented technology
Our RabMAb® technology is a patented hybridoma-based technology for making rabbit monoclonal antibodies. For details on our patents, please refer to RabMAb® patents.

What are the advantages of a recombinant monoclonal antibody?
This product is a recombinant monoclonal antibody, which offers several advantages including:

  • - High batch-to-batch consistency and reproducibility
  • - Improved sensitivity and specificity
  • - Long-term security of supply
  • - Animal-free batch production

For more information, read more on recombinant antibodies.

Conjugation ready
Our carrier-free antibodies are typically supplied in a PBS-only formulation, purified and free of BSA, sodium azide and glycerol. This conjugation-ready format is designed for use with fluorochromes, metal isotopes, oligonucleotides, and enzymes, which makes them ideal for antibody labelling, functional and cell-based assays, flow-based assays (e.g. mass cytometry) and Multiplex Imaging applications.

Use our conjugation kits for antibody conjugates that are ready-to-use in as little as 20 minutes with 1 minute hands-on-time and 100% antibody recovery: available for fluorescent dyes, HRP, biotin and gold.

Compatibility
This product is compatible with the Maxpar® Antibody Labeling Kit from Fluidigm, without the need for antibody preparation. Maxpar® is a trademark of Fluidigm Canada Inc.

Properties and storage information

Form
Liquid
Purification technique
Affinity purification Protein A
Storage buffer
pH: 7.2 - 7.4 Constituents: PBS
Shipped at conditions
Blue Ice
Appropriate short-term storage conditions
+4°C
Appropriate long-term storage conditions
+4°C
Storage information
Do Not Freeze

Supplementary information

This supplementary information is collated from multiple sources and compiled automatically.

HDAC3 or Histone Deacetylase 3 belongs to the class I histone deacetylases and plays an important mechanical role in epigenetic regulation by removing acetyl groups from histone proteins which causes chromatin condensation and gene expression modulation. Often referred to by its alternate name 3g6 HDAC3 has a molecular weight of approximately 49 kDa. The protein expresses broadly in various tissues including the brain liver and heart highlighting its widespread regulatory function across different body systems.
Biological function summary

HDAC3 acts as part of the nuclear receptor corepressor complex engaging with other subunits to modify chromatin structure and gene transcription. This protein influences various cellular processes such as cell cycle regulation and apoptosis. By altering chromatin architecture HDAC3 modulates the expression of numerous genes supporting cellular homeostasis and response to environmental signals.

Pathways

The HDAC3 protein integrates into key signaling networks including the Notch and NF-kB pathways. Within the Notch signaling pathway HDAC3 interacts with proteins like CSL modulating transcriptional responses critical for cell differentiation and developmental processes. In the NF-kB pathway it influences inflammation and immune responses by regulating the transcription of inflammatory genes showcasing its role in mediating complex signaling cascades.

HDAC3 is pivotal in the development and progression of various diseases such as cancer and neurodegenerative disorders. The dysregulation of HDAC3 activity can lead to abnormal cell proliferation and impaired cell death contributing to tumor growth. In neurodegenerative conditions HDAC3 interacts with proteins like tau potentially influencing tau-related pathologies. HDAC3 inhibitors are under investigation for therapeutic approaches to these challenging medical conditions highlighting its relevance in disease management.

Product protocols

For this product, it's our understanding that no specific protocols are required. You can visit:

Target data

Histone deacetylase that catalyzes the deacetylation of lysine residues on the N-terminal part of the core histones (H2A, H2B, H3 and H4), and some other non-histone substrates (PubMed : 21030595, PubMed : 21444723, PubMed : 23911289, PubMed : 25301942, PubMed : 28167758, PubMed : 28497810, PubMed : 32404892, PubMed : 22230954). Histone deacetylation gives a tag for epigenetic repression and plays an important role in transcriptional regulation, cell cycle progression and developmental events (PubMed : 23911289). Histone deacetylases act via the formation of large multiprotein complexes, such as N-Cor repressor complex, which activate the histone deacetylase activity (PubMed : 23911289, PubMed : 22230954). Participates in the BCL6 transcriptional repressor activity by deacetylating the H3 'Lys-27' (H3K27) on enhancer elements, antagonizing EP300 acetyltransferase activity and repressing proximal gene expression (PubMed : 23911289). Acts as a molecular chaperone for shuttling phosphorylated NR2C1 to PML bodies for sumoylation (By similarity). Contributes, together with XBP1 isoform 1, to the activation of NFE2L2-mediated HMOX1 transcription factor gene expression in a PI(3)K/mTORC2/Akt-dependent signaling pathway leading to endothelial cell (EC) survival under disturbed flow/oxidative stress (PubMed : 25190803). Regulates both the transcriptional activation and repression phases of the circadian clock in a deacetylase activity-independent manner (By similarity). During the activation phase, promotes the accumulation of ubiquitinated BMAL1 at the E-boxes and during the repression phase, blocks FBXL3-mediated CRY1/2 ubiquitination and promotes the interaction of CRY1 and BMAL1 (By similarity). The NCOR1-HDAC3 complex regulates the circadian expression of the core clock gene BMAL1 and the genes involved in lipid metabolism in the liver (By similarity). Also functions as a deacetylase for non-histone targets, such as KAT5, MEF2D, MAPK14, RARA and STAT3 (PubMed : 15653507, PubMed : 21030595, PubMed : 21444723, PubMed : 25301942, PubMed : 28167758). Serves as a corepressor of RARA, mediating its deacetylation and repression, leading to inhibition of RARE DNA element binding (PubMed : 28167758). In association with RARA, plays a role in the repression of microRNA-10a and thereby in the inflammatory response (PubMed : 28167758). In addition to protein deacetylase activity, also acts as a protein-lysine deacylase by recognizing other acyl groups : catalyzes removal of (2E)-butenoyl (crotonyl), lactoyl (lactyl) and 2-hydroxyisobutanoyl (2-hydroxyisobutyryl) acyl groups from lysine residues, leading to protein decrotonylation, delactylation and de-2-hydroxyisobutyrylation, respectively (PubMed : 28497810, PubMed : 29192674, PubMed : 34608293, PubMed : 35044827). Catalyzes decrotonylation of MAPRE1/EB1 (PubMed : 34608293). Mediates delactylation NBN/NBS1, thereby inhibiting DNA double-strand breaks (DSBs) via homologous recombination (HR) (PubMed : 38961290).
See full target information HDAC3

Publications (11)

Recent publications for all applications. Explore the full list and refine your search

Frontiers in oncology 12:875122 PubMed35646715

2022

High Histone Deacetylase 2/3 Expression in Non-Functioning Pituitary Tumors.

Applications

Unspecified application

Species

Unspecified reactive species

Wenxiu Zhao,Xiaobin Jiang,Karrin Weisenthal,Jun Ma,Erin M Botticelli,Yunli Zhou,E Tessa Hedley-Whyte,Baiyao Wang,Brooke Swearingen,Roy J Soberman,Anne Klibanski,Xun Zhang

Frontiers in cell and developmental biology 9:621187 PubMed34354990

2021

MiR-421 Binds to PINK1 and Enhances Neural Stem Cell Self-Renewal HDAC3-Dependent FOXO3 Activation.

Applications

Unspecified application

Species

Unspecified reactive species

Jiaoying Jia,Ming Wang,Min Liu,Zhigang Tan,Yan Cui,Mengqiang Yu

Frontiers in physiology 11:549656 PubMed33343379

2020

Histone Deacetylase 3-Mediated Inhibition of microRNA-19a-3p Facilitates the Development of Rheumatoid Arthritis-Associated Interstitial Lung Disease.

Applications

Unspecified application

Species

Unspecified reactive species

Hui Yuan,Li Jiao,Nan Yu,Haifeng Duan,Yong Yu,Yanrong Bai

Cancer gene therapy 28:141-155 PubMed32655129

2020

HDAC3-dependent transcriptional repression of FOXA2 regulates FTO/m6A/MYC signaling to contribute to the development of gastric cancer.

Applications

Unspecified application

Species

Unspecified reactive species

Zhi Yang,Xiaodi Jiang,Zhenghou Zhang,Zitian Zhao,Weijia Xing,Yiwei Liu,Xiaofeng Jiang,Haiying Zhao

Oncotarget 7:4695-711 PubMed26683361

2015

The role of HDAC2 in chromatin remodelling and response to chemotherapy in ovarian cancer.

Applications

WB, IHC-P

Species

Human, Human

Rui Huang,Simon P Langdon,Matthew Tse,Peter Mullen,In Hwa Um,Dana Faratian,David J Harrison

Proceedings of the National Academy of Sciences of 111:9840-5 PubMed24958871

2014

Histone deacetylase (HDAC) 1 and 2 are essential for accurate cell division and the pluripotency of embryonic stem cells.

Applications

Unspecified application

Species

Mouse

Shereen Jamaladdin,Richard D W Kelly,Laura O'Regan,Oliver M Dovey,Grace E Hodson,Christopher J Millard,Nicola Portolano,Andrew M Fry,John W R Schwabe,Shaun M Cowley

PloS one 8:e73401 PubMed24023871

2013

The HDAC inhibitor LBH589 induces ERK-dependent prometaphase arrest in prostate cancer via HDAC6 inactivation and down-regulation.

Applications

WB

Species

Human

Mei-Jen Chuang,Sheng-Tang Wu,Shou-Hung Tang,Xiang-Me Lai,Hsiao-Chu Lai,Kai-Hsiang Hsu,Kuang-Hui Sun,Guang-Huan Sun,Sun-Yran Chang,Dah-Shyong Yu,Pei-Wen Hsiao,Shih-Ming Huang,Tai-Lung Cha

PloS one 7:e51272 PubMed23272095

2012

A dual reporter mouse model of the human β-globin locus: applications and limitations.

Applications

WB

Species

Mouse

Petros Papadopoulos,Laura Gutiérrez,Reinier van der Linden,John Kong-A-San,Alex Maas,Dubravka Drabek,George P Patrinos,Sjaak Philipsen,Frank Grosveld

PloS one 6:e18950 PubMed21526203

2011

Fasting and high-fat diet alter histone deacetylase expression in the medial hypothalamus.

Applications

IHC-FoFr

Species

Mouse

Hiromasa Funato,Satoko Oda,Junko Yokofujita,Hiroaki Igarashi,Masaru Kuroda

Medical oncology (Northwood, London, England) 27:1144-8 PubMed19898974

2009

Large-cell neuroendocrine carcinoma of the ampulla of Vater.

Applications

Unspecified application

Species

Unspecified reactive species

Z Stojsic,D Brasanac,D Bilanovic,O Mitrovic,R Stevanovic,I Boricic
View all publications

Product promise

We are committed to supporting your work with high-quality reagents, and we're here for you every step of the way. In the unlikely event that one of our products does not perform as expected, you're protected by our Product Promise.
For full details, please see our Terms & Conditions

Please note: All products are 'FOR RESEARCH USE ONLY. NOT FOR USE IN DIAGNOSTIC OR THERAPEUTIC PROCEDURES'.

For licensing inquiries, please contact partnerships@abcam.com