JavaScript is disabled in your browser. Please enable JavaScript to view this website.
AB271355

Anti-HDAC4 + 5 + 9 antibody [EPR19010-77] - BSA and Azide free

Be the first to review this product! Submit a review

|

(0 Publication)

Rabbit Recombinant Monoclonal HDAC4 antibody. Carrier free. Suitable for IHC-P, WB and reacts with Human, Mouse, Rat, Recombinant full length protein - Human samples.

View Alternative Names

KIAA0288, HDAC4, Histone deacetylase 4, HD4

5 Images
Immunohistochemistry (Formalin/PFA-fixed paraffin-embedded sections) - Anti-HDAC4 + 5 + 9 antibody [EPR19010-77] - BSA and Azide free (AB271355)
  • IHC-P

Supplier Data

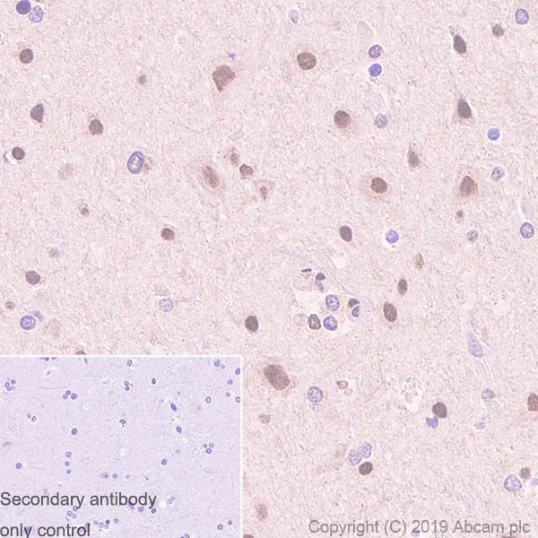
Immunohistochemistry (Formalin/PFA-fixed paraffin-embedded sections) - Anti-HDAC4 + 5 + 9 antibody [EPR19010-77] - BSA and Azide free (AB271355)

This data was developed using ab195241, the same antibody clone in a different buffer formulation.

Immunohistochemical analysis of paraffin-embedded Human cerebrum tissue labelling HDAC4 + HDAC5 + HDAC9 with ab195241 at 1/100 followed by a ready to use Rabbit specific IHC polymer detection kit HRP/DAB (ab209101). Nuclear and weak cytoplasmic staining on human cerebrum. The section was incubated with ab195241 for 15 mins at room temperature.The immunostaining was performed on a Leica Biosystems BOND® RX instrument Counterstained with Hematoxylin.

Secondary antibody only control : Secondary antibody is a ready to use Rabbit specific IHC polymer detection kit HRP/DAB (ab209101).

Heat mediated antigen retrieval with Tris-EDTA buffer (pH 9.0, epitope retrieval solution2) for 20 mins.

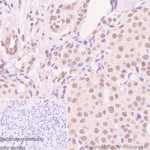
Immunohistochemistry (Formalin/PFA-fixed paraffin-embedded sections) - Anti-HDAC4 + 5 + 9 antibody [EPR19010-77] - BSA and Azide free (AB271355)
  • IHC-P

Supplier Data

Immunohistochemistry (Formalin/PFA-fixed paraffin-embedded sections) - Anti-HDAC4 + 5 + 9 antibody [EPR19010-77] - BSA and Azide free (AB271355)

This data was developed using ab195241, the same antibody clone in a different buffer formulation.

Immunohistochemical analysis of paraffin-embedded Human breast carcinoma tissue labelling HDAC4 + HDAC5 + HDAC9 with ab195241 at 1/100 followed by a ready to use Rabbit specific IHC polymer detection kit HRP/DAB (ab209101). Nuclear and weak cytoplasmic staining on human breast carcinoma. The section was incubated with ab195241 for 15 mins at room temperature. The immunostaining was performed on a Leica Biosystems BOND® RX instrument Counterstained with Hematoxylin.

Secondary antibody only control : Secondary antibody is a ready to use Rabbit specific IHC polymer detection kit HRP/DAB (ab209101).

Heat mediated antigen retrieval with Tris-EDTA buffer (pH 9.0, epitope retrieval solution2) for 20 mins.

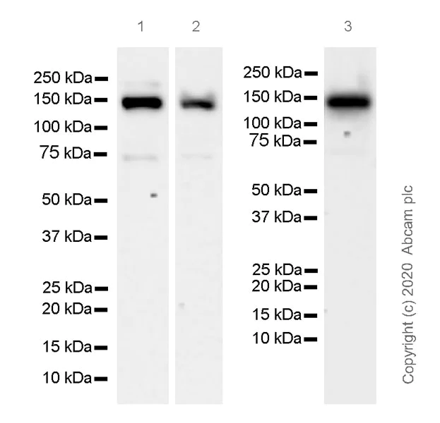
Western blot - Anti-HDAC4 + 5 + 9 antibody [EPR19010-77] - BSA and Azide free (AB271355)
  • WB

Lab

Western blot - Anti-HDAC4 + 5 + 9 antibody [EPR19010-77] - BSA and Azide free (AB271355)

This data was developed using ab195241, the same antibody clone in a different buffer formulation. Blocking and diluting buffer and concentration : 5% NFDM/TBST Reactivity with undetermined proteins which is probably the degradation fragment. Exposure time : Lanes 1-2 : 70 seconds; Lane 3 : 48 seconds.

All lanes:

Western blot - Anti-HDAC4 + 5 + 9 antibody [EPR19010-77] (<a href='/en-us/products/primary-antibodies/hdac4-5-9-antibody-epr19010-77-ab195241'>ab195241</a>) at 1/5000 dilution

Lane 1:

HEK-293 (human embryonic kidney epithelial cell) whole cell lysate at 20 µg

Lane 2:

HUVEC (human umbilical vein endothelial cell) whole cell lysate at 20 µg

Lane 3:

RAW 264.7 (mouse abelson murine leukemia virus-induced tumor macrophage) whole cell lysate at 20 µg

Secondary

All lanes:

Goat Anti-Rabbit IgG, (H+L), Peroxidase conjugated (<a href='/en-us/products/secondary-antibodies/goat-rabbit-igg-h-l-hrp-ab97051'>ab97051</a>) at 1/50000 dilution

Predicted band size: 121 kDa

Observed band size: 140 kDa

false

Western blot - Anti-HDAC4 + 5 + 9 antibody [EPR19010-77] - BSA and Azide free (AB271355)
  • WB

Lab

Western blot - Anti-HDAC4 + 5 + 9 antibody [EPR19010-77] - BSA and Azide free (AB271355)

This data was developed using ab195241, the same antibody clone in a different buffer formulation.

Blocking and diluting buffer and concentration : 5% NFDM/TBST

Reactivity with undetermined proteins which is probably the degradation fragment.

Exposure time : 15 seconds

All lanes:

Western blot - Anti-HDAC4 + 5 + 9 antibody [EPR19010-77] (<a href='/en-us/products/primary-antibodies/hdac4-5-9-antibody-epr19010-77-ab195241'>ab195241</a>) at 1/5000 dilution

Lane 1:

THP-1 (human monocytic leukemia monocyte) whole cell lysate at 20 µg

Lane 2:

NIH/3T3 (mouse embryonic fibroblast) whole cell lysate at 20 µg

Lane 3:

PC-12 (rat adrenal gland pheochromocytoma ) whole cell lysate at 20 µg

Secondary

All lanes:

Goat Anti-Rabbit IgG, (H+L), Peroxidase conjugated (<a href='/en-us/products/secondary-antibodies/goat-rabbit-igg-h-l-hrp-ab97051'>ab97051</a>) at 1/50000 dilution

Predicted band size: 121 kDa

Observed band size: 140 kDa

false

Western blot - Anti-HDAC4 + 5 + 9 antibody [EPR19010-77] - BSA and Azide free (AB271355)
  • WB

Lab

Western blot - Anti-HDAC4 + 5 + 9 antibody [EPR19010-77] - BSA and Azide free (AB271355)

This data was developed using ab195241, the same antibody clone in a different buffer formulation.

Blocking and diluting buffer and concentration : 5% NFDM/TBST

This antibody reacts with HDAC5, HDAC4 and HDAC9, but not HDAC7.

Exposure time : Lane 1 : 15 seconds;

Lanes 2-4 : 3 minutes.

All lanes:

Western blot - Anti-HDAC4 + 5 + 9 antibody [EPR19010-77] (<a href='/en-us/products/primary-antibodies/hdac4-5-9-antibody-epr19010-77-ab195241'>ab195241</a>) at 1/1000 dilution

Lane 1:

E.coli extracts containing his-tagged human HDAC5 recombinant protein at 5 µL

Lane 2:

E.coli extracts containing his-tagged human HDAC4 recombinant protein at 5 µL

Lane 3:

E.coli extracts containing his-tagged human HDAC7 recombinant protein at 5 µL

Lane 4:

E.coli extracts containing his-tagged human HDAC9 recombinant protein at 5 µL

Secondary

All lanes:

Goat Anti-Rabbit IgG, (H+L), Peroxidase conjugated (<a href='/en-us/products/secondary-antibodies/goat-rabbit-igg-h-l-hrp-ab97051'>ab97051</a>) at 1/100000 dilution

Predicted band size: 121 kDa

false

Key facts

Host species

Rabbit

Clonality

Monoclonal

Clone number

EPR19010-77

Isotype

IgG

Carrier free

Yes

Reacts with

Rat, Human, Mouse

Applications

IHC-P, WB

applications

Immunogen

The exact immunogen used to generate this antibody is proprietary information.

Reactivity data

{ "title": "Reactivity Data", "filters": { "stats": ["", "Species", "Dilution Info", "Notes"], "tabs": { "all-applications": {"fullname" : "All Applications", "shortname": "All Applications"}, "ICCIF" : {"fullname" : "Immunocytochemistry/ Immunofluorescence", "shortname":"ICC/IF"}, "IHCP" : {"fullname" : "Immunohistochemistry (Formalin/PFA-fixed paraffin-embedded sections)", "shortname":"IHC-P"}, "FlowCyt" : {"fullname" : "Flow Cytometry", "shortname":"Flow Cyt"}, "IP" : {"fullname" : "Immunoprecipitation", "shortname":"IP"}, "ChIP" : {"fullname" : "ChIP", "shortname":"ChIP"}, "WB" : {"fullname" : "Western blot", "shortname":"WB"} }, "product-promise": { "all": "all", "testedAndGuaranteed": "tested", "guaranteed": "expected", "predicted": "predicted", "notRecommended": "not-recommended" } }, "values": { "Human": { "ICCIF-species-checked": "notRecommended", "ICCIF-species-dilution-info": "", "ICCIF-species-notes": "<p></p>", "IHCP-species-checked": "testedAndGuaranteed", "IHCP-species-dilution-info": "", "IHCP-species-notes": "<p></p> Perform heat-mediated antigen retrieval with Tris/EDTA buffer pH 9.0 before commencing with IHC staining protocol.", "FlowCyt-species-checked": "notRecommended", "FlowCyt-species-dilution-info": "", "FlowCyt-species-notes": "<p></p>", "IP-species-checked": "notRecommended", "IP-species-dilution-info": "", "IP-species-notes": "<p></p>", "ChIP-species-checked": "notRecommended", "ChIP-species-dilution-info": "", "ChIP-species-notes": "<p></p>", "WB-species-checked": "testedAndGuaranteed", "WB-species-dilution-info": "", "WB-species-notes": "<p></p>" }, "Mouse": { "ICCIF-species-checked": "notRecommended", "ICCIF-species-dilution-info": "", "ICCIF-species-notes": "<p></p>", "IHCP-species-checked": "notRecommended", "IHCP-species-dilution-info": "", "IHCP-species-notes": "<p></p> Perform heat-mediated antigen retrieval with Tris/EDTA buffer pH 9.0 before commencing with IHC staining protocol.", "FlowCyt-species-checked": "notRecommended", "FlowCyt-species-dilution-info": "", "FlowCyt-species-notes": "<p></p>", "IP-species-checked": "notRecommended", "IP-species-dilution-info": "", "IP-species-notes": "<p></p>", "ChIP-species-checked": "notRecommended", "ChIP-species-dilution-info": "", "ChIP-species-notes": "<p></p>", "WB-species-checked": "testedAndGuaranteed", "WB-species-dilution-info": "", "WB-species-notes": "<p></p>" }, "Rat": { "ICCIF-species-checked": "notRecommended", "ICCIF-species-dilution-info": "", "ICCIF-species-notes": "<p></p>", "IHCP-species-checked": "notRecommended", "IHCP-species-dilution-info": "", "IHCP-species-notes": "<p></p> Perform heat-mediated antigen retrieval with Tris/EDTA buffer pH 9.0 before commencing with IHC staining protocol.", "FlowCyt-species-checked": "notRecommended", "FlowCyt-species-dilution-info": "", "FlowCyt-species-notes": "<p></p>", "IP-species-checked": "notRecommended", "IP-species-dilution-info": "", "IP-species-notes": "<p></p>", "ChIP-species-checked": "notRecommended", "ChIP-species-dilution-info": "", "ChIP-species-notes": "<p></p>", "WB-species-checked": "testedAndGuaranteed", "WB-species-dilution-info": "", "WB-species-notes": "<p></p>" }, "Recombinant full length protein - Human": { "ICCIF-species-checked": "notRecommended", "ICCIF-species-dilution-info": "", "ICCIF-species-notes": "", "IHCP-species-checked": "notRecommended", "IHCP-species-dilution-info": "", "IHCP-species-notes": "", "FlowCyt-species-checked": "notRecommended", "FlowCyt-species-dilution-info": "", "FlowCyt-species-notes": "", "IP-species-checked": "notRecommended", "IP-species-dilution-info": "", "IP-species-notes": "", "ChIP-species-checked": "notRecommended", "ChIP-species-dilution-info": "", "ChIP-species-notes": "", "WB-species-checked": "testedAndGuaranteed", "WB-species-dilution-info": "", "WB-species-notes": "<p></p>" } } }

Product details

ab271355 is the carrier-free version of ab195241.

Patented technology
Our RabMAb® technology is a patented hybridoma-based technology for making rabbit monoclonal antibodies. For details on our patents, please refer to RabMAb® patents.

What are the advantages of a recombinant monoclonal antibody?
This product is a recombinant monoclonal antibody, which offers several advantages including:

  • - High batch-to-batch consistency and reproducibility
  • - Improved sensitivity and specificity
  • - Long-term security of supply
  • - Animal-free batch production

For more information, read more on recombinant antibodies.

Conjugation ready
Our carrier-free antibodies are typically supplied in a PBS-only formulation, purified and free of BSA, sodium azide and glycerol. This conjugation-ready format is designed for use with fluorochromes, metal isotopes, oligonucleotides, and enzymes, which makes them ideal for antibody labelling, functional and cell-based assays, flow-based assays (e.g. mass cytometry) and Multiplex Imaging applications.

Use our conjugation kits for antibody conjugates that are ready-to-use in as little as 20 minutes with 1 minute hands-on-time and 100% antibody recovery: available for fluorescent dyes, HRP, biotin and gold.

Compatibility
This product is compatible with the Maxpar® Antibody Labeling Kit from Fluidigm, without the need for antibody preparation. Maxpar® is a trademark of Fluidigm Canada Inc.

Properties and storage information

Form
Liquid
Purification technique
Affinity purification Protein A
Storage buffer
pH: 7.2 - 7.4 Constituents: PBS
Shipped at conditions
Blue Ice
Appropriate short-term storage duration
1-2 weeks
Appropriate short-term storage conditions
+4°C
Appropriate long-term storage conditions
+4°C
Aliquoting information
Upon delivery aliquot
Storage information
Avoid freeze / thaw cycle

Supplementary information

This supplementary information is collated from multiple sources and compiled automatically.

HDAC4 HDAC5 and HDAC9 are types of histone deacetylases abbreviated as HDACs. These enzymes remove acetyl groups from histone and non-histone proteins affecting gene expression by changing chromatin structure. HDAC4 has a molecular weight of about 140 kDa. HDAC4 and HDAC5 are highly expressed in the brain heart and skeletal muscle while HDAC9 is more abundant in the heart and skeletal muscle. They act as transcriptional repressors by interacting with various corepressor complexes.
Biological function summary

Histone deacetylases 4 5 and 9 influence gene expression and cellular differentiation. These proteins often form part of larger corepressor complexes such as the N-CoR and SMRT complexes allowing them to modulate transcriptional activity. They play significant roles in muscle differentiation and neural development interacting with transcription factors like MEF2 to regulate various genes involved in these processes.

Pathways

Histone deacetylases like HDAC4 5 and 9 are critical components of signaling pathways related to calcium/calmodulin-dependent calcineurin signal transduction. This pathway influences muscle development and function where they interact with MEF2 family transcription factors to control gene expression. Additionally they are involved in the regulation of the circadian rhythm through their role in the molecular clockwork partnering with proteins like CLOCK and BMAL1.

Alterations in HDAC4 5 and 9 levels or activity have connections to cardiovascular diseases and certain cancers. Dysfunctional HDAC activity can lead to hypertrophy in cardiac cells affecting heart function. Cancer progression often involves aberrant histone deacetylation with HDACs modulating oncogenic transcription factors. These HDACs closely interact with cancer-related proteins like MYC and p53 influencing tumor suppression or progression depending on cellular context.

Product protocols

For this product, it's our understanding that no specific protocols are required. You can visit:

Target data

Responsible for the deacetylation of lysine residues on the N-terminal part of the core histones (H2A, H2B, H3 and H4). Histone deacetylation gives a tag for epigenetic repression and plays an important role in transcriptional regulation, cell cycle progression and developmental events. Histone deacetylases act via the formation of large multiprotein complexes. Involved in muscle maturation via its interaction with the myocyte enhancer factors such as MEF2A, MEF2C and MEF2D. Involved in the MTA1-mediated epigenetic regulation of ESR1 expression in breast cancer. Deacetylates HSPA1A and HSPA1B at 'Lys-77' leading to their preferential binding to co-chaperone STUB1 (PubMed : 27708256).
See full target information HDAC4

Additional targets

HDAC5,HDAC9

Product promise

We are committed to supporting your work with high-quality reagents, and we're here for you every step of the way. In the unlikely event that one of our products does not perform as expected, you're protected by our Product Promise.
For full details, please see our Terms & Conditions

Please note: All products are 'FOR RESEARCH USE ONLY. NOT FOR USE IN DIAGNOSTIC OR THERAPEUTIC PROCEDURES'.

For licensing inquiries, please contact partnerships@abcam.com