JavaScript is disabled in your browser. Please enable JavaScript to view this website.
AB16339

Anti-HDAC4 antibody

Be the first to review this product! Submit a review

|

(1 Publication)

Rabbit Polyclonal HDAC4 antibody. Suitable for WB, IHC-P and reacts with Human samples. Cited in 1 publication. Immunogen corresponding to Synthetic Peptide within Human HDAC4 aa 1-50.

View Alternative Names

KIAA0288, HDAC4, Histone deacetylase 4, HD4

2 Images
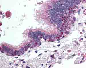
Immunohistochemistry (Formalin/PFA-fixed paraffin-embedded sections) - Anti-HDAC4 antibody (AB16339)
  • IHC-P

Supplier Data

Immunohistochemistry (Formalin/PFA-fixed paraffin-embedded sections) - Anti-HDAC4 antibody (AB16339)

Immunohistochemistry was performed on normal biopsies of deparaffinized Human skin tissue. To expose target proteins, heat induced antigen retrieval was performed using 10mM sodium citrate (pH6.0) buffer, microwaved for 8-15 minutes. Following antigen retrieval tissues were blocked in 3% BSA-PBS for 30 minutes at room temperature. Tissues were then probed at a dilution of 1 : 20 with a Rabbit Polyclonal Antibody recognizing HDAC4 (ab16339 ) or without primary antibody (negative control) overnight at 4°C in a humidified chamber. Tissues were washed extensively with PBST and endogenous peroxidase activity was quenched with a peroxidase suppressor. Detection was performed using a biotin-conjugated secondary antibody and SA-HRP, followed by colorimetric detection using DAB. Tissues were counterstained with hematoxylin and prepped for mounting.

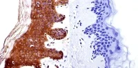
Western blot - Anti-HDAC4 antibody (AB16339)
  • WB

Unknown

Western blot - Anti-HDAC4 antibody (AB16339)

ab16339 at 1/1000 detecting HDAC4 from HeLa cell lysate by Western blot

All lanes:

Western blot - Anti-HDAC4 antibody (ab16339)

Predicted band size: 119 kDa

false

Key facts

Host species

Rabbit

Clonality

Polyclonal

Isotype

IgG

Carrier free

No

Reacts with

Human

Applications

WB, IHC-P

applications

Immunogen

Synthetic Peptide within Human HDAC4 aa 1-50. The exact immunogen used to generate this antibody is proprietary information.

P56524

Reactivity data

{ "title": "Reactivity Data", "filters": { "stats": ["", "Species", "Dilution Info", "Notes"], "tabs": { "all-applications": {"fullname" : "All Applications", "shortname": "All Applications"}, "WB" : {"fullname" : "Western blot", "shortname":"WB"}, "IHCP" : {"fullname" : "Immunohistochemistry (Formalin/PFA-fixed paraffin-embedded sections)", "shortname":"IHC-P"} }, "product-promise": { "all": "all", "testedAndGuaranteed": "tested", "guaranteed": "expected", "predicted": "predicted", "notRecommended": "not-recommended" } }, "values": { "Human": { "WB-species-checked": "testedAndGuaranteed", "WB-species-dilution-info": "1/1000", "WB-species-notes": "<p></p>", "IHCP-species-checked": "testedAndGuaranteed", "IHCP-species-dilution-info": "1/20", "IHCP-species-notes": "<p></p>" } } }

Properties and storage information

Form
Liquid
Purification technique
Affinity purification Immunogen
Storage buffer
Preservative: 0.05% Sodium azide Constituents: PBS, 0.1% BSA
Shipped at conditions
Blue Ice
Appropriate short-term storage conditions
+4°C
Appropriate long-term storage conditions
-20°C
Aliquoting information
Upon delivery aliquot
Storage information
Avoid freeze / thaw cycle

Supplementary information

This supplementary information is collated from multiple sources and compiled automatically.

HDAC4 also known as Histone Deacetylase 4 functions in the regulation of gene expression through chromatin remodeling. This protein removes acetyl groups from histone proteins causing chromatin compaction and transcriptional repression. HDAC4 has a molecular weight of approximately 140 kDa. The protein is found in various tissues including brain heart and skeletal muscle and plays essential roles in various cellular processes. Alternate names for HDAC4 include KIAA0288 and HD4.
Biological function summary

The role of HDAC4 extends beyond chromatin remodeling as it serves as a critical regulator in several cellular functions. As part of a complex HDAC4 interacts with other proteins to control cell cycle differentiation and apoptosis. It cooperates with transcriptional repressors like MEF2 and RUNX2 influencing various signaling pathways. The protein's activity impacts neuronal survival muscle development and cardiac hypertrophy through its regulatory mechanisms.

Pathways

HDAC4 integrates into significant signaling networks notably the MAPK and calcium-calmodulin signaling pathways. Within the MAPK pathway HDAC4 associates with proteins like MEF2 impacting cellular growth and differentiation processes. In the calcium-calmodulin pathway HDAC4 affects gene transcription via its interaction with the phosphatase calcineurin linking intracellular calcium levels with transcriptional responses.

HDAC4 has associations with neurological disorders and cancer. Mutations and dysregulation in HDAC4 are linked to neuronal disorders such as Huntington's disease. In cancer HDAC4 interacts with other oncogenic proteins such as p53 influencing tumor progression and resistance to therapy. Consequently HDAC4 presents as a potential target for therapeutic intervention in these disease contexts.

Product protocols

For this product, it's our understanding that no specific protocols are required. You can visit:

Target data

Responsible for the deacetylation of lysine residues on the N-terminal part of the core histones (H2A, H2B, H3 and H4). Histone deacetylation gives a tag for epigenetic repression and plays an important role in transcriptional regulation, cell cycle progression and developmental events. Histone deacetylases act via the formation of large multiprotein complexes. Involved in muscle maturation via its interaction with the myocyte enhancer factors such as MEF2A, MEF2C and MEF2D. Involved in the MTA1-mediated epigenetic regulation of ESR1 expression in breast cancer. Deacetylates HSPA1A and HSPA1B at 'Lys-77' leading to their preferential binding to co-chaperone STUB1 (PubMed : 27708256).
See full target information HDAC4

Publications (1)

Recent publications for all applications. Explore the full list and refine your search

Cell biology international 46:1264-1274 PubMed35616349

2022

LncRNA MALAT1 promotes decidualization of endometrial stromal cells via sponging miR-498-3p and targeting histone deacetylase 4.

Applications

Unspecified application

Species

Unspecified reactive species

Lijuan Shi,Lihua Zhu,Qiao Gu,Chengcai Kong,Xinmei Liu,Zonghao Zhu
View all publications

Product promise

We are committed to supporting your work with high-quality reagents, and we're here for you every step of the way. In the unlikely event that one of our products does not perform as expected, you're protected by our Product Promise.
For full details, please see our Terms & Conditions

Please note: All products are 'FOR RESEARCH USE ONLY. NOT FOR USE IN DIAGNOSTIC OR THERAPEUTIC PROCEDURES'.

For licensing inquiries, please contact partnerships@abcam.com