JavaScript is disabled in your browser. Please enable JavaScript to view this website.
AB264560

Anti-HDAC4 (pS246) + HDAC5 (pS259) + HDAC7 (pS155) antibody [EPR22997-46] - BSA and Azide free

Be the first to review this product! Submit a review

|

(0 Publication)

Rabbit Recombinant Monoclonal HDAC5 phospho S259 antibody. Carrier free. Suitable for Dot, IP, WB and reacts with Synthetic peptide - Human, Synthetic peptide - Mouse, Synthetic peptide - Rat, Human, Mouse, Rat samples.

View Alternative Names

KIAA0600, HDAC5, Histone deacetylase 5, HD5, Antigen NY-CO-9

2 Images
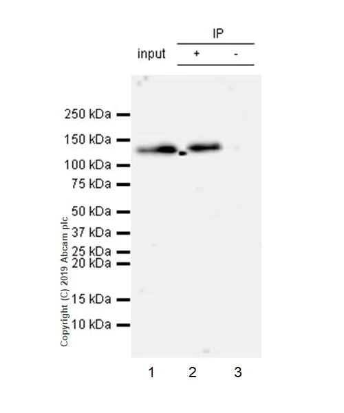
Immunoprecipitation - Anti-HDAC4 (pS246) + HDAC5 (pS259) + HDAC7 (pS155) antibody [EPR22997-46] - BSA and Azide free (AB264560)
  • IP

Unknown

Immunoprecipitation - Anti-HDAC4 (pS246) + HDAC5 (pS259) + HDAC7 (pS155) antibody [EPR22997-46] - BSA and Azide free (AB264560)

HDAC5 (phospho S259) + HDAC4 (phospho S246) + HDAC7 (phospho S155) was immunoprecipitated from 0.35 mg HeLa (human cervix adenocarcinoma epithelial cell) whole cell lysate with ab240643 at 1/30 dilution (2ug in 0.35mg lysates). Western blot was performed on the immunoprecipitate using ab240643 at 1/1000 dilution. VeriBlot for IP Detection Reagent (HRP) (ab131366) was used at 1/5000 dilution.

Lane 1 : HeLa (human cervix adenocarcinoma epithelial cell) whole cell lysate 10ug

Lane 2 : ab240643 IP in HeLa whole cell lysate

Lane 3 : Rabbit monoclonal IgG (ab172730) instead of ab240643 in HeLa whole cell lysate

Blocking and dilution buffer and concentration : 5% NFDM/TBST.

Exposure time : 3 min.

This data was developed using the same antibody clone in a different buffer formulation containing PBS, BSA, glycerol, and sodium azide (ab240643).

All lanes:

Immunoprecipitation - Anti-HDAC4 (phospho S246) + HDAC5 (phospho S259) + HDAC7 (phospho S155) antibody [EPR22997-46] (<a href='/en-us/products/primary-antibodies/hdac4-phospho-s246-hdac5-phospho-s259-hdac7-phospho-s155-antibody-epr22997-46-ab240643'>ab240643</a>)

Observed band size: 140 kDa

false

Dot Blot - Anti-HDAC4 (pS246) + HDAC5 (pS259) + HDAC7 (pS155) antibody [EPR22997-46] - BSA and Azide free (AB264560)
  • Dot

Unknown

Dot Blot - Anti-HDAC4 (pS246) + HDAC5 (pS259) + HDAC7 (pS155) antibody [EPR22997-46] - BSA and Azide free (AB264560)

Dot blot analysis of HDAC4 (phospho S246) + HDAC5 (phospho S259) + HDAC7 (phospho S155) labeled with ab240643 at 1/1000 dilution.

Lane 1 : HDAC5 (phospho S259) peptide (aa254-264).
Lane 2 : HDAC5 non-phospho peptide (aa251-264.
Lane 3 : HDAC7 (phospho S155) peptide (aa147-160).

Goat Anti-Rabbit IgG H&L (HRP) (ab97051) at 1/100000 dilution was used as secondary antibody.

Blocking and dilution buffer : 5% NFDM/TBST.

Exposure time : 15 seconds.

This data was developed using the same antibody clone in a different buffer formulation containing PBS, BSA, glycerol, and sodium azide (ab240643).

  • Unconjugated

    Anti-HDAC4 (phospho S246) + HDAC5 (phospho S259) + HDAC7 (phospho S155) antibody [EPR22997-46]

Key facts

Host species

Rabbit

Clonality

Monoclonal

Clone number

EPR22997-46

Isotype

IgG

Carrier free

Yes

Reacts with

Mouse, Rat, Human

Applications

WB, Dot, IP

applications

Immunogen

The exact immunogen used to generate this antibody is proprietary information.

Reactivity data

{ "title": "Reactivity Data", "filters": { "stats": ["", "Species", "Dilution Info", "Notes"], "tabs": { "all-applications": {"fullname" : "All Applications", "shortname": "All Applications"}, "Dot" : {"fullname" : "Dot Blot", "shortname":"Dot"}, "IP" : {"fullname" : "Immunoprecipitation", "shortname":"IP"}, "FlowCyt" : {"fullname" : "Flow Cytometry", "shortname":"Flow Cyt"}, "WB" : {"fullname" : "Western blot", "shortname":"WB"}, "IHCP" : {"fullname" : "Immunohistochemistry (Formalin/PFA-fixed paraffin-embedded sections)", "shortname":"IHC-P"}, "ICCIF" : {"fullname" : "Immunocytochemistry/ Immunofluorescence", "shortname":"ICC/IF"} }, "product-promise": { "all": "all", "testedAndGuaranteed": "tested", "guaranteed": "expected", "predicted": "predicted", "notRecommended": "not-recommended" } }, "values": { "Human": { "Dot-species-checked": "guaranteed", "Dot-species-dilution-info": "", "Dot-species-notes": "", "IP-species-checked": "testedAndGuaranteed", "IP-species-dilution-info": "", "IP-species-notes": "<p></p>", "FlowCyt-species-checked": "notRecommended", "FlowCyt-species-dilution-info": "", "FlowCyt-species-notes": "<p></p>", "WB-species-checked": "testedAndGuaranteed", "WB-species-dilution-info": "", "WB-species-notes": "<p></p>", "IHCP-species-checked": "notRecommended", "IHCP-species-dilution-info": "", "IHCP-species-notes": "<p></p>", "ICCIF-species-checked": "notRecommended", "ICCIF-species-dilution-info": "", "ICCIF-species-notes": "<p></p>" }, "Mouse": { "Dot-species-checked": "guaranteed", "Dot-species-dilution-info": "", "Dot-species-notes": "", "IP-species-checked": "guaranteed", "IP-species-dilution-info": "", "IP-species-notes": "", "FlowCyt-species-checked": "notRecommended", "FlowCyt-species-dilution-info": "", "FlowCyt-species-notes": "<p></p>", "WB-species-checked": "testedAndGuaranteed", "WB-species-dilution-info": "", "WB-species-notes": "<p></p>", "IHCP-species-checked": "notRecommended", "IHCP-species-dilution-info": "", "IHCP-species-notes": "<p></p>", "ICCIF-species-checked": "notRecommended", "ICCIF-species-dilution-info": "", "ICCIF-species-notes": "<p></p>" }, "Rat": { "Dot-species-checked": "guaranteed", "Dot-species-dilution-info": "", "Dot-species-notes": "", "IP-species-checked": "guaranteed", "IP-species-dilution-info": "", "IP-species-notes": "", "FlowCyt-species-checked": "notRecommended", "FlowCyt-species-dilution-info": "", "FlowCyt-species-notes": "", "WB-species-checked": "testedAndGuaranteed", "WB-species-dilution-info": "", "WB-species-notes": "<p></p>", "IHCP-species-checked": "notRecommended", "IHCP-species-dilution-info": "", "IHCP-species-notes": "<p></p>", "ICCIF-species-checked": "notRecommended", "ICCIF-species-dilution-info": "", "ICCIF-species-notes": "" }, "Synthetic peptide - Human": { "Dot-species-checked": "testedAndGuaranteed", "Dot-species-dilution-info": "", "Dot-species-notes": "<p></p>", "IP-species-checked": "notRecommended", "IP-species-dilution-info": "", "IP-species-notes": "", "FlowCyt-species-checked": "notRecommended", "FlowCyt-species-dilution-info": "", "FlowCyt-species-notes": "", "WB-species-checked": "notRecommended", "WB-species-dilution-info": "", "WB-species-notes": "", "IHCP-species-checked": "notRecommended", "IHCP-species-dilution-info": "", "IHCP-species-notes": "", "ICCIF-species-checked": "notRecommended", "ICCIF-species-dilution-info": "", "ICCIF-species-notes": "" }, "Synthetic peptide - Mouse": { "Dot-species-checked": "testedAndGuaranteed", "Dot-species-dilution-info": "", "Dot-species-notes": "<p></p>", "IP-species-checked": "notRecommended", "IP-species-dilution-info": "", "IP-species-notes": "", "FlowCyt-species-checked": "notRecommended", "FlowCyt-species-dilution-info": "", "FlowCyt-species-notes": "", "WB-species-checked": "notRecommended", "WB-species-dilution-info": "", "WB-species-notes": "", "IHCP-species-checked": "notRecommended", "IHCP-species-dilution-info": "", "IHCP-species-notes": "", "ICCIF-species-checked": "notRecommended", "ICCIF-species-dilution-info": "", "ICCIF-species-notes": "" }, "Synthetic peptide - Rat": { "Dot-species-checked": "testedAndGuaranteed", "Dot-species-dilution-info": "", "Dot-species-notes": "<p></p>", "IP-species-checked": "notRecommended", "IP-species-dilution-info": "", "IP-species-notes": "", "FlowCyt-species-checked": "notRecommended", "FlowCyt-species-dilution-info": "", "FlowCyt-species-notes": "", "WB-species-checked": "notRecommended", "WB-species-dilution-info": "", "WB-species-notes": "", "IHCP-species-checked": "notRecommended", "IHCP-species-dilution-info": "", "IHCP-species-notes": "", "ICCIF-species-checked": "notRecommended", "ICCIF-species-dilution-info": "", "ICCIF-species-notes": "" } } }

Product details

ab264560 is the carrier-free version of ab240643.

Patented technology
Our RabMAb® technology is a patented hybridoma-based technology for making rabbit monoclonal antibodies. For details on our patents, please refer to RabMAb® patents.

What are the advantages of a recombinant monoclonal antibody?
This product is a recombinant monoclonal antibody, which offers several advantages including:

  • - High batch-to-batch consistency and reproducibility
  • - Improved sensitivity and specificity
  • - Long-term security of supply
  • - Animal-free batch production

For more information, read more on recombinant antibodies.

Conjugation ready
Our carrier-free antibodies are typically supplied in a PBS-only formulation, purified and free of BSA, sodium azide and glycerol. This conjugation-ready format is designed for use with fluorochromes, metal isotopes, oligonucleotides, and enzymes, which makes them ideal for antibody labelling, functional and cell-based assays, flow-based assays (e.g. mass cytometry) and Multiplex Imaging applications.

Use our conjugation kits for antibody conjugates that are ready-to-use in as little as 20 minutes with 1 minute hands-on-time and 100% antibody recovery: available for fluorescent dyes, HRP, biotin and gold.

Compatibility
This product is compatible with the Maxpar® Antibody Labeling Kit from Fluidigm, without the need for antibody preparation. Maxpar® is a trademark of Fluidigm Canada Inc.

Properties and storage information

Form
Liquid
Purification technique
Affinity purification Protein A
Storage buffer
pH: 7.2 - 7.4 Constituents: PBS
Shipped at conditions
Blue Ice
Appropriate short-term storage conditions
+4°C
Appropriate long-term storage conditions
+4°C
Storage information
Do Not Freeze

Supplementary information

This supplementary information is collated from multiple sources and compiled automatically.

HDAC4 HDAC5 and HDAC7 are class IIa histone deacetylases. These proteins remove acetyl groups from lysine residues on histones leading to chromatin condensation and transcriptional repression. HDAC4 has a molecular mass of about 140 kDa HDAC5 around 122 kDa and HDAC7 approximately 107 kDa. They express predominantly in heart skeletal muscle and brain tissues. The proteins operate in both the nucleus and cytoplasm but they shuttle between these compartments regulated by phosphorylation.
Biological function summary

Histone deacetylases HDAC4 HDAC5 and HDAC7 play roles in gene expression modulation. They form complexes with transcription factors such as MEF2 (myocyte enhancer factor 2) integral in muscle differentiation processes. These HDACs influence cell cycle progression differentiation and survival by affecting the acetylation status of non-histone proteins. Their ability to silence specific gene sets makes them key regulators of cellular functions under different physiological and stress conditions.

Pathways

HDAC4 HDAC5 and HDAC7 participate in critical signaling events such as the MEF2 and NF-κB pathways. These HDACs interact with proteins in these pathways to modulate inflammation apoptosis and cardiac hypertrophy. They regulate gene expression by altering chromatin structure and functioning as transcription corepressors linking them to diverse cellular responses. Their activity connects closely with kinases like calcium/calmodulin-dependent protein kinase (CaMK) which influences their localization and activity.

HDAC4 HDAC5 and HDAC7 are associated with cardiovascular disease and certain cancers. Aberrant activity or expression of these HDACs links to pathological cardiac remodeling as they regulate genes that affect heart muscle pathology. In cancer they govern processes linked to tumor progression like cell proliferation and survival. Abnormal interactions with proteins such as p53 and MEF2 in the context of these diseases highlight their importance in pathogenesis and potential as therapeutic targets.

Product protocols

For this product, it's our understanding that no specific protocols are required. You can visit:

Target data

Responsible for the deacetylation of lysine residues on the N-terminal part of the core histones (H2A, H2B, H3 and H4). Histone deacetylation gives a tag for epigenetic repression and plays an important role in transcriptional regulation, cell cycle progression and developmental events. Histone deacetylases act via the formation of large multiprotein complexes. Involved in muscle maturation by repressing transcription of myocyte enhancer MEF2C. During muscle differentiation, it shuttles into the cytoplasm, allowing the expression of myocyte enhancer factors. Involved in the MTA1-mediated epigenetic regulation of ESR1 expression in breast cancer. Serves as a corepressor of RARA and causes its deacetylation (PubMed : 28167758). In association with RARA, plays a role in the repression of microRNA-10a and thereby in the inflammatory response (PubMed : 28167758).
See full target information HDAC5 phospho S259

Additional targets

,HDAC7 phospho S155

Product promise

We are committed to supporting your work with high-quality reagents, and we're here for you every step of the way. In the unlikely event that one of our products does not perform as expected, you're protected by our Product Promise.
For full details, please see our Terms & Conditions

Please note: All products are 'FOR RESEARCH USE ONLY. NOT FOR USE IN DIAGNOSTIC OR THERAPEUTIC PROCEDURES'.

For licensing inquiries, please contact partnerships@abcam.com